第125集


************************************

○○です。

今週はCrush Cypherの再狭窄が2例あったので報告します。
一例はHD患者さん。やっぱりHD患者さんはおかしいです。異常に再狭窄率が高い
です。DMとかsmall vesselなんか目じゃない感じです。
もう一例は角度の強い人でした。この人は多分LCX入口部でfructureしてます。
IVUSでstrutのない部分がありました。どうしようもないですね。。。こういう
人は。。。

DK-Crushは明らかにClassic Crushよりいいでしょうけど、HDと角度の強い人は
ダメかもしれないと思ってます。

************************************

○○です。

もう一例、今日の緊急症例なんですが、mid LADの閉塞の人で発症からの時間が
早かったためAMIになるかならないか程度ですが明らかにmid LADの「7年前に留
置したGFXステントの中で」閉塞してました。これはLate thrombosisというので
しょうか?それとも通常の動脈硬化が進んでplaque ruptureを発症した???と
考えるべきなのでしょうか?下の先生がPCIしたのですがワイヤ感触はある程度
固かった、つまり動脈硬化が進んでいた可能性を感じるとのことでした。

************************************


当然やってます、がステントがある程度ちゃんと広がっていた、という以外は特
に大きな問題ない、とざあっと見たときは思ってました。鎌倉から帰ったらメー
ルで出します。

************************************

○○です

○○先生 非常に珍しい症例だと思います
是非ともIVUS画像を見せて下さい

************************************

○○です

本日の鎌倉ライブでの金網DESマッチで参加された皆さんに
お願いしたのですが、Cypherの再狭窄をSingle Centerでいくら
データを出しても5%前後の再狭窄率では全くデータになりません
やはりIVUSを使用してPCIをしている日本こそReal Worldな
Cypherの再狭窄(もちろんIVUSがあればベストですがCAGでもなんでも)
のデータを皆さんで協力して海外に発信しませんでしょうか?
面倒な解析などはよろしければうちの施設でさせて頂きます

詳細な事は全く考えていませんが、早急に考えておりますので
よろしくお願いいたします

みなさんのご参加をお待ちしております

************************************

○○です。

昨夜のTRIビア+金網DESマッチ+TRAの忘年会ご苦労さまでした。
さて、○○先生の提案、大変心意気を感じます。すばらしいです。何とかcypherのデー
タに一つ乗っかりたいのは私も常々考えていました。

現在日本におけるcypher registryは、厚生省のpost marketing studyが2000例ですで
に登録完了で、5年までのフォロー予定。京都大学中心のJ-cypherが1万五千例の予定
で動いています。まともに戦ったら症例数でも、タイミングでも負けてしまいそうで
す。また、registryにも相当予算が必要で京都大学ではJ-cypherデータ登録の専任職員
を用意しているようです。

こういう状況を考えると、予算を取ってなおかつ、日本発できちんと論文で仕上がる
registryということで、透析例のregistryはどうかと考えていました。すでにJJにはお
話し、プランを提出しました。JJのアメリカの本社の承認待ちということになっていま
す。OKが出たら是非TRA-netの皆様に参加を依頼しようかと思っていましたので、また
その時には再度お知らせします。

日本発のデータ、今後はきちんとやっていきたいですね。

************************************

○○です。

鎌倉ライブから帰ってきました。昨日の忘年会にも楽しく参加させて頂き、一年の締
めに欠かせない年中行事になってきました。幹事の皆様、ご苦労様です。
一時期流行っていたmodified Tはどこへ行ってしまったのでしょうか?私が見ていた
ライブの中では、一度も登場しませんでしたが・・・。この手法のlong term resultの
初期データがそろそろ出る頃かと思いますが、やっぱり、classical Tと大差ない結
果なのでは?と思ってしまいます。(現状では、TLRにおいて、crushに優るevidence
が出ているstentingはありません。Crushは実験結果から決してbestの方法ではあり
ませんが、modified Tがこれを超える方法でもなさそうで、私がCrushはこの時代の
必要悪だと言い続けているのは、このためです。)私は、海外事情は全くわかりませ
んが、少なくとも論文発表されているものはほとんどないことから考えると、こんな
にmodified Tが盛んに行われているのもわが国だけなのではないでしょうか?再狭窄
データベースが立ち上がり、このあたりを明らかにすることも大変面白いかと思いま
す。
○○先生、ぜひ、データベースに参加させて頂きます!

************************************

○○です。

皆様お疲れ様でした。年末の恒例行事が終了し、一気に年末年始モードですね。

さて、crush stentはDK crushという手技が登場して、一応の成熟が見られた感があり
ます。もちろんcypherのプラットフォームの限界という側面がありますので、これが
最終形というわけではありません。taxusやendeavorなどに期待が寄せられます。それ
と今回の○○先生のカラーの実験はわかり易かったですね。素晴らしいです。

ひとつだけ私のフロアからの発言の訂正ですが、金網DESマッチのセッションの一番最
後の質疑で、classic crush手技でのバルーンのリクロスは、「3枚のメタル」と間違
って申し上げましたが、言うまでも無く「2枚のメタル」です。謹んで訂正します。
(恥!)

DK crushになって、バルーンの本数が劇的に節約できますよね。上手くすると1本で済
んだりします。レセプト的には大助かりですね。もちろん丁寧にリラップする事が重
要ですが…。

DES再狭窄ですが、新しいデーターになると良いですね。当院では本当にDES再狭窄は
殆ど無いですが、RCA ostiumとLCx ostiumはやはり経験があります。可能な範囲で御
協力できればと思っています。

今年もあと僅かになりましたが、会員の皆様方良い年末年始をお迎え下さい。少し気
が早いですが(笑)、来年も宜しくお願い申し上げます。私は来年もペリフェラルで
頑張ります。(あれ?)

************************************

鎌倉ライブお疲れ様でした。
○○です。
○○先生に質問があります。
本日のRadialist of the yearでCypherを半分にしてLMTに入れたと発表されてま
したが、Cypherを切ってremountするときはどのようにされているのでしょう
か。
あまり指でごしごしすると、薬がはがれそうな気がするのですが?慢性期の成績
なども含め、ご教授お願いします。

************************************

○○です。数は多くありませんが,時に(希に)遭遇します.確かPalmaz-Schatzの長期
追跡ということでうちにいた○○先生が第1回JACCTのシンポジウムで報告し論文投稿
もしていると思います(JACCTの雑誌ですが).また昨年の日循でもうちの○○先生が発
表していたと思います.BMSでいったん治癒と判定した症例(留置から2年以上経過して
して有意な再狭窄がないような症例)で,その後数年してACSを発症するような場合は新
規病変としてカウントしています。

************************************

○○です。

○○先生、ありがとうございます。造影剤にメチレンブルーとスダンVの染色液を混
ぜただけでしたが、思いのほか綺麗に写ってたでしょう?

それから、金網デスマッチで、Dr. Omistonが、高圧KBTでDESのpolymerがはがれ
ることを発表していると発言しましたが、あとから何人かの先生から、ご質問が来ま
した。Summmit MDのホームページから見ることができます。
http://www.summitmd.com/
coronary lesion subset: Bifurcationを選び、slide presentationの中から、
Bench Insights into Bifurcation Stenting Strategies. An Updateを選んでくださ
い。26−28枚目の写真にKBTでのpolymer損傷の写真が出ています。

************************************

○○です。○○先生お久しぶりです。
今年のJSIC/JACTTの九州合同地方会で発表させてもらったのですが当院でも8年
目のBMS内のACS症例がありました。これは!と思ったのでIVUSで確認後(きれい
に撮れなかったのですが)、スロンバスターでおもいっきり引いてみました。病
理に出すと、血栓成分の中に泡沫状の細胞やコレステリンなどのいわゆるアテ
ローマ成分が引けていました。察するにステントを入れても8年もたてば通常の
ACSを引き起こすような動脈硬化ができるんだなあと考えました。スタチンなど
の後療法はやはり大切だと思います。ひょっとしたらこれはDESでもいっしょか
もしれませんね。

************************************

○○です。

○○先生にお聞きしたいのですが、最終日の午後のLADの石灰化症例で、ロータは
いらないとおっしゃいましたが、もしもCT所見がなくてIVUS所見だけでそれを
言い切ることはできるのでしょうか?シネ上はかなり石灰化が強く、しかも厚かった
ように思いますが(後ろのほうにいたのでよく見えませんでしたが)。確かにCTの
cross-sectional viewでは石灰化の内側にLDAが見えましたが決して広いとは思いま
せんでした。CTは石灰化を過大評価するので、あのくらい内側にLDAが見えていれ
ば石灰化部分は深くロータは必要ないということでしょうが、その見極めをもう少し
教えてください。

結局、齋藤先生がロータされたのでわかりませんが、確かにロータのバーはあっさり
通過し、STも上昇しませんでした。

************************************

○○先生の御発言を引き出した○○です。

DESマッチ会場ではDK本当に大丈夫?みたいな発言をしましたが、
本当はDK大賛成です。自分自身ではY−stentはBXの限界として
LADもCXも入口部が開ききらないことが良くないのではと考えています。
裏を返せば別のplatformではY-stentも復活するかも、と考えています。
但し、Y-stentは大事な血管のwireも一旦抜去しなければならないし
斉藤先生はDKに否定的でしたが斉藤先生のような名人でもclassical
Crushではwire handlingに苦労されているのをみると我々はDKが
手技成功率を高める上でも良さそうです。
早くDKの長期成績が出ると良いですね。

追伸 ○○先生、ホームページのご紹介ありがとうございます。
参考に致します。

************************************

○○です。IVUSは緊急症例でもあったし、きっと
やっておられないんですよね。

************************************

○○です。

私も、約3年ほどまえに経験しました。冠危険因子は肥満のみの60歳台後半の男性
が、PS3.5mmを植え込んでから9年後、その部位にあらたに90%狭窄が発生しました
(fig-1)。治療としてはDCAを選択し(fig-2)、max 45psiで12回切除し、13mgの組織
を採取して、0%としました(fig-3)。採取された組織は、fig4にしめします。一部、
金属片もありましたが、それ以外の部分は、膠原繊維・泡沫細胞・リンパ球や一部に
石化化を認め、血栓も伴っていた との報告をもらっており、いわゆる、ステント再
狭窄の病理所見とは異なるようです。もし、病理に詳しいかたがいらっしゃいました
ら、是非、コメントください。ですから、これは、あらたに動脈硬化が生じたと考え
るべきなのだと思います。なお、DCA後のfollow-up CAGでは、再狭窄はありませんで
した。



************************************

○○と申します。以前国循の病理で2年ほど勉強させてもらっていまし
た。

以前にも同じような議論がされていた時にコメントさせていただいたのですが、
動脈硬化は多くの場合プラーク破綻の修復の過程で新生内膜が形成されますが、そこ
に更にリピットが沈着し
そこにプラークが形成されるということを繰り返し狭窄度が進行していきます。
動脈硬化巣の断面像をミクロで見ると昔の破綻像の上に新生内膜が張っているという
所見は当たり前に見られます。

ステント内の新生内膜も当然傷の修復過程なのでその部分にリピットが沈着し、新たな
プラークが形成される事は予想されますし実際そのような病変も確認してます。
なのでステントを留置しても二次的予防を続けなければならないというのも当然なんだ
と思います。

************************************

○○です。

○○先生、○○先生、○○先生、○○先生、○○先生、レスありがとうございま
す。

アンギオとIVUSをスライドにしたものを添付します。ただ、IVUSは再灌流障害で
バタついたので3.5mmのバルーン後なんでなんともいえません。。。

○○先生が書かれていた点と、この症例からの僕の疑問なんですが、
まず○○先生への質問、先生が書かれているrupture -> healing = intima
increaseというのはmake senseでVHなんかがlayered necrotic areaを探そう、
としているのがまさにその点だと思うのですが、ステント後にAMIが起こるまで
どの程度の時間が必要なんでしょうか?1年以内ではまず起こってないと思いま
すし、2-3年でも少ない?5年程度が必要?なんでしょうか?

次の疑問は、Cypherではneointimaがないからまず上記のprocessのAMIって非常
に起こりにくいと思います。FIMの4年なんか見てもほとんどツルツルですから。
アンギオで軽度狭窄からのAMIと言っても所詮アンギオで、ですからIVUSでプラー
クもほとんどないCypherからはplaque rupture >> AMIは本当に少ないのではな
いでしょうか?とすれば Cypherのlate thrombosisがBMSのlate AMIとの比較と
して問題になる、そうすると問題はより小さくなるのでは? という気がしてる
のですがどうでしょうか?

************************************

○○です。

この話題は人前では話せません。あのプレゼンには気合を入れすぎて出してしまっ
て反省をしています。もしどうしても情報を欲しい方は個人的にこそっとメール
をください。非常にいろいろ問題がありますのでよくお考えになってからメール
をいただければ、と思います。申し訳ありません。

************************************

○○です。

あの症例、2日目の最後から2例目のLAD CTOの症例、は僕にとっても会心の症例
でした。当たり前と言えば当たり前なんですが、CT imageがIVUS imageとちゃん
と一致してる、IVUS情報をCTでgetできることを皆さんに見てもらえましたから。
去年と違って斎藤先生のところの画像がMIPを主体としている、と言う点も幸い
でした。
で、IVUSでロータブレータ必要かどうかがいえるか、それはいえると思います。
あの症例ではロータブレータなしでも十分拡張は得られていたと思います。問題
はアンギオで見えていた石灰化の強い、厚い部分ではなくてその先の部分、結局
ここでロータブレータも少し通過しづらかったのですが、そのdistal segmentの
部分ですがそれもIVUSから大丈夫拡張できるだろう、と思いました。CTはその部
分を出せてなかったので、本当はそこまで出してもらえると一番よかったんです
が。

CTでもIVUSでも、ですが、あのアンギオで石灰化の強い・厚い部分は加藤先生の
言われるとおり内部のlow densitiy areaが大きいからロータブレータはほとん
ど無意味だと思います。見極めのポイントは、ロータブレータを通してどうなる
かの予測で、それには本江先生が言われていたIVUSの通過している場所(これは
CTでは分からない???したことないですが、ある程度まっすぐにワイヤが通る
として予測はできそうですが…)とロータブレータのburr sizeから予測してい
ます。
ちなみにあの手の強い・分厚い石灰化ってある程度あの症例のようにロータブレー
タ不要症例を含んでいると思います。というか、ちゃんとIVUSで見て大丈夫って
判断してバルーン・ステントできている例がかなりあります。

************************************

○○ です。

会場でも発現しましたが、心のそこから言います。
「どうせCrushするなら DKしましょう」
本当に楽だし確実だし。もう一つ付け加えれば
「どうせDKするならIVUSもしてwireを側枝centerに入れましょう」
です。これはまだ慢性期成績がないので実績のない思い込みの可能性はあります
が。。。

************************************

○○です。

当直なんでメールしまくりですみません。。。

鎌倉で、○○先生?が「CTでCTOはまだ早い」と言われていたと聞きました。でも
本当に役に立つんですよ。○○先生。まだ手に入れてなかったら是非getしてくだ
さい。CT。CTOに使うだけなら今なら安い16列でもかなり役に立ちます。コスト
的にpayはしないでしょうけど。でも1日15−20例検査すればリース代は出ますか
ら他の検査を入れればまず損はしないと思います。

ps. もし○○先生じゃないのなら。。。○○先生ごめんなさい。

************************************

○○です。
ご存知の先生に教えて頂きたいのですが、鎌倉ライブで、分岐部の表示に0−1−0?
とかコードがありました。discussionで簡単な説明はありましたが、よくわかりませ
ん。教えて頂けるとありがたいです。

************************************

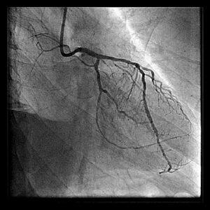
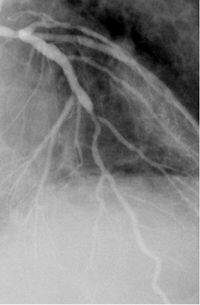
○○です

S670を植え込んだほぼ1年後に、血栓性の閉塞を来したAMI症例を経験したこと
があります。
画像のPCI-1、2、3は1stPCIで1年後のAMI、resque後、stenting後となっています。
resqueでは血栓が引けたように記憶しています。



************************************

○○です。
僕の記憶に間違いがなければ、
あれはヨ−ロッパの分岐部病変の分類法で
左から、分枝直前−分枝起始部(分枝側)−分枝直後の
状態を表し、狭窄があれば1、無ければ0です。
つまりTrue Bifurcationだと上記すべて狭窄があるので
1−1−1になるそうです(と確かDr.Garciaが言ってました)。
もし間違ってたらどなたか訂正してください。

************************************

○○です。

僕の記憶に間違えなければ、
分枝直前-本幹distal-分枝distalだと思ったんですが。。。
Garciaの隣に座って話してて間違えてたら恥ずかしいですが。。。
間違ってたら遠慮なく言ってください。

************************************

○○です。

○○先生の書かれた
「分枝直前-本幹distal-分枝distal」の様です。
http://www.bifurc.net/medtools.php?
PHPSESSID=3b15ac5e0cccbfe7ebfa517c248de3eb&bas=.ICPStool01&id=67&=43a7a4
93703a1&page=studview
のslide 19に記載があります。

************************************

○○です。
すみません、何となく聞き流してたので
間違えてました。
で、○○先生、slide 19ってどこにあるんですか?
サイトにはたどり着いたんですけど・・・。

************************************

○○です。

○○先生、見られませんか。
上段にslide 19-27のリンクがないでしょうか。

bifurc.netのtop pageからstudies ->
1. Definition, epidemiology, classification, differentiation from
standard lesions
Bernard Chevalier, MD
のスライド集の一枚です。

************************************

○○です。

○○先生、ありがとうございました。
ちなみにIVUSでは石灰化の外側はASですべて抜けてしまって石灰化の厚みがわか
りませんよね。
それでも容易に拡張できるという予測ができるのは、透視でみた石灰化の厚みや連続
性をかなり意識しているからではないでしょうか?
あるいはIVUSを通過させたときの抵抗の有無とか・・・
IVUS画像だけではなかなか判断しかねる病変があるように思います(まだまだわ
かっていないといわれそうですが・・・)。

高エコー輝度の病変がすべて石灰化とは限らないし、IVUSでの石灰化が組織上の
石灰化と必ずしも一致しないと先生が著書にも書かれていますが、本当の石灰化と石
灰化にみえるけれどそうではない組織のIVUS画像の鑑別点を教えていただけない
でしょうか?素人な質問ですみません。

************************************

○○です。

○○先生、見られました!有り難うございます。
それにしても面白いサイトですね。
これから活用させて頂きます。
貴重な情報を有り難うございました。

************************************

○○です。

欧米での分岐部病変の分類はすべてアンジオベースです。ですから、あるはずのない
(というか、ある可能性がとっても低い場所に)平気でplaqueが書かれています。こ
の分類の一番左のやつ(1.1.1)ですと、上が近位部ですから、 LMTであれば、LCx入
口部・LAD側にplaqueが存在することになりますが、そんなの、まずもってみたこと
ないです。また、negative remodeling(shrinkage)は一切無視されることになりま
す(細ければ、すべてplaqueがある?)

分岐部病変こそ、plaque分布を正確に反映するIVUSに基づいて分類されるべきものと
思います。○○先生や○○先生に御願いしたいのですが、何か素晴らしい分類を考案
していただけません?

************************************

○○です。

どこまで拡がるとIVUSで言えるかと言えば deep calcまでは拡がる、と予測でき
ます。だからあのdeep calcの径までは容易に拡張ができる、と言うことです。
あのときにコメントもしましたが、deep calcまで拡がることで十分かどうか、
は問題になりえます。あの症例ではそれが一つ心配のたねでした。

透視の情報の利用は、石灰化がある=ロータブレータが必要となる可能性がある、
程度ですね。結局本当にロータブレータをするかどうかは透視上石灰化が強くて
もIVUS情報や、IVUSの通過性(これは先生の言われるとおりです)、最近はCT情
報、で決定しています。ライブとかで透視だけ見て「じゃ、ロータブレータ」っ
て言うのを聞くたびに「本当に必要か怪しいもんだ」って思ってます。

> 高エコー輝度の病変がすべて石灰化とは限らないし、IVUSでの石灰化が組織上の
> 石灰化と必ずしも一致しないと先生が著書にも書かれていますが、本当の石灰化と石
> 灰化にみえるけれどそうではない組織のIVUS画像の鑑別点を教えていただけない
> でしょうか?
これは無理です。ただ僕らが知りたいのは石灰化かそうでないか、ではなく拡が
るかどうか、ですからIVUS上石灰化「様」に見えればやっぱり気をつけるべきだ
と思います。DCAの時にはこの鑑別がある程度大事だったんですがステントでは
どっちも結局拡張抵抗性が高いので僕自身はほとんど気にしてません。それより
この石灰化「様」のものが血管のどこにあるか、つまりは拡張しすぎて
perforationになるリスクがどの程度あるか、最終像がどの程度になるかの予想、
を大事と思って考えています。

************************************

○○です。

全く素晴らしいものではないですが、1-0のscoringにアンギオOKだけどIVUSでプ
ラークのある0.5というscoreをうちでは入れようか、と思ってます。Garcia先生
に言ったら一笑に付されましたが。。。
Negative remodelingは治療上結局そこを放っておくことにはならない、少なく
とも僕は結局治療していることがほとんどですから無視してもいいと思ってます。

Scoringはアンギオベースって言われてましたが結局IVUSを使ったらその情報も
入れて考えている感じでしたけど。

************************************

○○です。

鎌倉で○○先生の話を聞いていて、日石ホールで自分のところのデータを見直し
ていましたがりんくうでCypherの再狭窄・再治療が31病変ありました。6ヶ月以
上経過した病変数は712病変あったので再治療率は5%程度でしょうか。
うちのfollow-up CAGは1年目で、しかもCAGはどんどんしない方向になってます
のでclinical factor driven TLR、これで5%であれば高いという話もあるとは思
うのですが、CTOやHDやsmall vesselやらいろいろの対象に入れてますので個人
的には全く問題ないすばらしいデータと思います。
それとHDが10例でした。1/3です。これってすごくないですか???

とにかく、registryは必要だと思います。各施設が後ろ向きにとったデータを誰
かがまとめたらIRBも不要とも思いますし、是非簡単にやりやすい形でしたいで
すね。

************************************

○○です

先日の岩手ライブでもDES再狭窄のセッションがあったのですが、結局は「症例数が少
ないのでよく解らないですね。今後の検討が必要でしょう」という結論でした。

○○先生、期待しております。

************************************

○○です。

当直明けで疲れてしまい、
個人的な関係の忘年会をすっぽかしたのですが、
つい自宅で飲んでしまい、すでに酔っ払い状態に陥っております。
冒頭の挨拶は聞き流してください。

○○ちゃん(と、某所では呼ばれております)の
提案はとても重要なことだと思います。
とにかくregistryを作り発信することだと思います。
後ろ向きであっても、real worldを反映するという意味では
非常に面白いデータが出るはずです。
熟練した術者もビギナーも、typeAも分岐部も、HDも非HDもすべてひっくるめて
resteはどのくらいなのか?
とっても知りたいと思います。
すんごいセクシーです。

きれいなデータを出すのは簡単です。
LAD6のshort lesionで非分岐部の再狭窄はどのくらいか、
QCAではどうか、IVUS所見はどうなのか。
きっとP<0.05のデータは出るのでしょうが、
そのようなスタディーはトラネットには似合いません。

そもそも患者さんにムンテラするときに
あなたのPCIは○○先生がされる予定です。
その先生は30例の経験者です。
もちろん私が隣で指導します。
病変は前下行枝の○番というところにあり、
IVUS所見がむにゅむにゅだから
再狭窄の予測は○%だなんて言いますか?
トラネットとのメンバーはアンギオのデータだけで行くのだ!

トラネットの使命はリアルワールドでのDESの実態解明!
レジストリーと簡単な予後調査で必要十分。
100症例レベルでは何の参考にもなりませんが、
数千例くらい皆さんがその気になればすぐに集まるはずです。
とてつもないデータになるはずです。
あとは○○先生、○○先生、○○先生、○○先生などが
イニシアティブをとってまとめ上げてください。
(もちろんIVUS所見で再狭窄の病態解明も大切なのですが、
それは是非サブスタディーで。
まずはリアルワールドの結果を出してください)
よろしくお願いします。

と、思うんですがいかがでしょう。
ではバイビー。

************************************

○○です。

このような分類をしている背景には、bifurcationの治療の成績比較において
backgroundが大きく関与しているだろう、という点が一つの理由としてあると思
います。この程度の分類ならかなりsimpleでいいと僕自身は思います。

************************************

教えて頂きました先生方、ありがとうございました。○○先生いわれていたスライドに
私もようやたどりつきまして、よくわかりました。大変おもしろいサイトですね。
これまでもいろいろな分類がありましたけど、実際的にはwire protect alone?、SS 
KBT?, Crush?など治療戦略を考える上では、△−△−1か△−△−0かのどっちかでも
いい気もしますが、いかがでしょうか。大動脈解離でStanford A/Bみたいにシンプルな
のはだめなんですかね。

************************************

○○です 返事遅れてしまって申し訳ございません


>まず○○先生への質問、先生が書かれているrupture -> healing = intima
>increaseというのはmake senseでVHなんかがlayered necrotic areaを探そう、
>としているのがまさにその点だと思うのですが、ステント後にAMIが起こるまで
>どの程度の時間が必要なんでしょうか?1年以内ではまず起こってないと思いま
>すし、2-3年でも少ない?5年程度が必要?なんでしょうか?
>
再狭窄病変での新たなPlaque形成にどのくらい時間がかかるというのは、わかってい
ないのが現状です。
ISRを起こしていても患者さんのリスクファクターコントロールなどがどれくらいで
きているかにも随分と依存してしまうのではと個人的には考えております。
病理の弱点として一時点しか確認できないところなんですが、それを解明するには
ISRのDCA標本の解析が必要と思われます。ちゃんとしたお答えが出来なくて申し訳ご
ざいません。

>次の疑問は、Cypherではneointimaがないからまず上記のprocessのAMIって非常
>に起こりにくいと思います。FIMの4年なんか見てもほとんどツルツルですから。
>アンギオで軽度狭窄からのAMIと言っても所詮アンギオで、ですからIVUSでプラー
>クもほとんどないCypherからはplaque rupture >> AMIは本当に少ないのではな
>いでしょうか?とすれば Cypherのlate thrombosisがBMSのlate AMIとの比較と
>して問題になる、そうすると問題はより小さくなるのでは? という気がしてる
>のですがどうでしょうか?

DESの場合のLateThrombosisに関してはやはり先生のおっしゃるとおりだと思いま
す。
内視鏡でもステントが留置されてPlaque剥き出しのままとなっている所見が観察され
ることがありますが、
BMSであったら修復されるところが、修復が起こらないので血栓源性物質が剥き出し
の状態が続いていると考えております。ただこれが長期にわたって修復されずに続い
ているのかは分かりません。

************************************

大変申し訳ありません。名前を入れ忘れました。

○○です。

遅いレスで大変申し訳ありません。先生の個人的には、と前置きしつつもCYPHER
の欠点につき述べられていることは私も同感です。私も同じく患者であったならできる
かぎりDESはいれてほしくはありません。

私のDESとBMSの使い分けですが(とゆうより厳密にはDESとそれ以外のディバ
イスの使い分け)、基本的にはIVUSにてどれだけのLumen areaがとれるかで
判断しております。原則としてはMLAが10mm2以上とれるようであればDESはいれま
せん。
当院で私がきてからの4年間の全例のデータではありませんが、MLAで10mm2以上確
保できている場合は再狭窄はほほ10%はきっています。Postで10mm2以上とれる
かどうかは、血管径とプラークの条件(特に石灰化)が大きくかかわってくると思いま
すが、preIVUSで10mm2以上とれそうであればDES以外のものを使用します。
確かにそれでもDESの再狭窄率よりは、少し高くはなるかもしれませんが(ただしP
ostの条件をを12mm2以上にまであげればDESにも負けない結果だと思いま
す)、留置後の抗血小板剤の内服期間、中止の際の重さの違い、5年.10年といった長期
の安全性の不安、などを含めれば、reste.10%弱までにおさえれれるのであれば、やは
りDES以外に十分軍配はあがるのではと考えております。

また気になるのは、慢性期にはいってから手術などなんらかの都合で抗血小板剤を中止
した後にThrombosisがおきたという例です。(オランダのPatrick Serruys教授が自身
の経験で3名のかたが留置後1年以上の経過で手術などで抗血小板剤を中止後血栓性閉塞
による重篤なMIをおこされたとのこと)BMS留置後の2年以上を経過してのAMI
症例はいままで2、3例は今までありますが、やはりなんらかの理由で抗血小板剤を中止
後に突然閉塞するものとはその発生の機序や意味はかなり違うものと思います。

個人的には慢性期再狭窄がなければそれでOKというだけでなく、再狭窄がないなかに
も優、良、可があり、優が再狭窄がないうえで、DCA,CB、POBA後で異物がは
いっていないもの、良が長期の安全性がほぼ保障されたといえるBMS,そして可が、
DES と考えています。

高率な再狭窄が予想される症例で、DESによって良好な慢性期結果を経験すること
は、もちろんたくさんあるのですが、DESをいれなくても良好な慢性期結果がえられ
ると思われるものに関してはいれないでいくことも重要なことのように現段階では考え
ています。

************************************

○○です。

僕自身の考え、本当に僕の個人的な考えですが、僕はDESを入れて欲しいですね。
DES特にCypherが入って治療が終了しましたよ、と言われて、心臓のことは忘れ
てまた生活ができる、というのが僕の希望です。

というわけで「使い分け」はDESを入れることに本当にデメリットがある人、結
局抗血小板剤を継続して飲むのが問題になる人だけがDES適応から外れる、と考
えます。

再治療に関する成績ではDESにBMSが迫るsubsetはあっても凌駕するsubsetはない
でしょう。それなら保険でDESを入れることが認められている日本でDESを入れな
い、つまりBMSを入れることは(僕にとっては)まず有り得ない選択です。外国
でコストの問題でDESを入れられない人の治療をする時に痛感します。
BMSをいれてもそんなに再狭窄率が変わらないんだったらいいやん、という意見
もありますが、再狭窄とde novoのDESの成績を見たらde novoの方がよくて
restenosis lesionに対する成績は悪いですよね。つまりBMSを入れて、再狭窄し
てDESを入れて再狭窄するという最悪のシナリオになる可能性をどうやって減ら
すか、それは最初からDESを入れることだと思います。バルーンだけってのもか
なりの場合非現実的ですし、バルーンであっても再狭窄病変に対しDES、っての
は避けたいです。

もっと最悪なのは分枝部病変です。分枝部にBMSを入れて再狭窄になって、じゃ、
どうやってDESで治療するか?結構な割合でつらい状況になりませんか?
ま、分枝部はDESでもどうやればいいか辛いところなんですが、とにかく安易に
BMSを入れるのはよくない、特に後でDESを入れることをあまり考えずに入れられ
たBMSは最悪だと思います。


慢性期のlate thrombosisの問題、欧米みたいにいきなり投薬全部切って?代替
療法もしないのなら危ないのは分かったわけですから、それに対しては手段があ
るわけです。アンプラーク+プレタールに変えて、最後はヘパリンをいって、そ
れで現状うちでは問題はありません。だから予定手術に関しては十分コントロー
ルできると思います。
最近の話題どおりBMSだとプラークができるから慢性期に動脈硬化進行によるス
テント部の血栓性閉塞でない新規のAMIが起こることがあるわけですよね、それ
がDESではないと思いませんか?
動脈硬化進行のAMIと投薬中止によるlate thrombosisと、どっちがコントロール
できるか、それはlate thrombosisの方がコントロールできると思います。
慢性期再狭窄がなければOKでないという○○先生の考え方には賛成ですが、僕に
とってはBMSが可、で異物が入ってない方法とDESが優か良と思います(予想しま
す)。

極論ですが、現状の保険制度の日本で、本当にDESを入れないで治療を行うこと
が許されるか、よく考えないといけないと思います。つまり安易なnon-DES治療
で再治療が必要になったらどうするの?ってことです。患者さんが十分納得して
いないと後々問題になる可能性もあるんじゃないでしょうか。特にBMSは一回入
れてしまったステントは取れないですし。。。


ちょっと話はそれますが…
別の問題としてはphysicianがDESを入れるのにどれほど努力しているか、これも
気になります。よく「この病変はDES留置の問題があるからBMSでいきましょう」っ
ていう論点が話になりますが、なんでそんなに安易にあきらめるの?っていつも
思います。その後のことを考えたら(たいていそんな病変はcomplexですから
restenosis rateも低くないですし)「どうDESを留置するか」をまず考えるべき
でしょ、って思います。Cypherは通りにくいからってそれをどうするかを考えな
いとダメだと思っています。

************************************

○○です。

>先生がもしLADosやLMTなどにDESを入れた(入れられた)ならば,その後の抗血小板
剤のレジメはどのようにされるのでしょうか?

私も、○○先生と同じ理由で、(STEMIやチクロピジン内服不能例を除いて)ほぼ全
例DESですし、自分もDESを入れてほしいと思います。STEMIも、純医学的には、DESで
何ら問題ないと思いますが、保険上の査定の問題や医療訴訟の懸念があるので、これ
だけはBMSですが、あとでDESの使用が可能であれば、と悔やまれることがままありま
す。

LADosやLMTの場合、治療の理由は、単に症状をとるだけでなく、特にLMTでは明らか
に(内科的治療と比べての)生命予後の改善があろうかと思います。いわば、命と引
き換えなのですし、PCIでうまく治療できなければCABGを受けるわけですから、自分
が患者の立場にあっても、アスピリンとチクロピジン(多分、来年からはクロピドグ
レル?) を飲み続けることに抵抗ありません。また、LMTも、もし、複雑な
bifurcation stentingでなく、cross-over + KBTだったら、1年くらいでチクロピジ
ンはやめても、良いのではと思います。このあたり、もっとevidenceが欲しいところ
です。

LADosやLMTにBMSを入れてISRをきたした場合、LCxという大きな分岐部が絡みますか
ら、DESで治療するのは時に難しく、CABGせざるを得ない場合も少なくないです。
CABGすれば、手前側のISRは、しばしばCTOになってしまいますが、そういう状況で
は、万一、graft failureすれば、PCIによるnativeあけは困難で、またre-CABGが必
要になります。いろいろ考えれば、こういう場所こそ、DESで1回ですっきり直して、
あとは、しっかり薬を飲むほうが、予後も、QOLも、ずっと良好なんじゃないでしょ
うか?

Late Thrombosisは、ポリマーが絡んでいることが予想されますが、BMSに後戻りする
のではなく、例えば、生体吸収性のポリマーや、EPCコーティングなどの技術の進歩
で、Late Thrombosisの心配がないDESが、一日も早く登場することを期待します。

************************************

○○です。

基本的には、全症例アスピリン+パナルジンはずっと継続としています。
最近は、パナルジンが効くまでの間のAT/SATを少しでも減らせるように?といっ
ても最近は全くないのですが、3日間のアンプラーク+プレタールも使用してい
ます。

************************************

○○です。

さまざまな御意見をいただきありがとうございます。

DES賛成派、反対派(というより非賛成派)のどちらの先生方の御意見ともにうなず
けるものがありました。
皆様の御意見、御教授を参考にいろいろと自分の中で消化しながら患者さんにベスト
な方法を模索していきたいと思います。
特に内服薬についての御教授は参考になりました。ありがとうございます。

○○先生の御指摘のように少しでもLate Thrombosisの心配がないDES、より生体適合
性が高く再狭窄が少ないStent素材の出現を期待しながらPCIを続けていきたいと思い
ます。

************************************

○○です。

○○先生。素晴らしい方法ですね。probing catheterは僕も分枝部のwiringでラブリ
ーなdeviceですが、こんなTIPSは思いつきませんでした。ちなみに造影はOTWのballoon
の交換で使用するような3mlのシリンジを使用するのでしょうか?先日PCI後無尿とな
り、現在CHDFを使用している患者さんがいるのですが、stableな状態となれば、残存病
変のPCIで早速この方法を使用してみます。

************************************
○○

DESと以外との使いわけについて、もう少しいわせてください。
僕自身容易なnon-DES治療をいっているわけではなく、治療後とれるLumen area
で原則判断するということです。
僕自身は以前にのべた抗血小板剤と長期の安全性の点をやはり重視してしまうのでIVUS
で10mm2をひとつの基準としておりますが、12mm2以上取れる部位に関しては、スタ
ンダートとしてnon-DESを原則として問題ないと考えます。(non-DES=BMSというわけ
ではなく、結果的に12mm2のlumenをとることで、BMSはそのひとつのskillです。当院
としてはプラークの性状で可能ならDCAaloneをめざし、
石灰化などのプラーク側の条件の問題などで困難な場合にはRotaやBMSを使用し結果と
して12mm2以上をとるということです)
全例のデータではありませんが、当院でもpostで12mm2以上とれた部位の再狭窄は3%
程度です。
(○○先生はおそらくほぼ全例IVUSは使用されておられると思うのですが、Post
12mm2以上とれた場合の再狭窄率はとんでもなく少なくないですか?)
するとLMTなどは必然的にnon-DESが当院では多くなります。(LMTだからnon-DESという
わけでなくLMTはlarge lumenのとれるとpreで予想される病変が多いからです)
当院へ来てからの3年半ほどで約30例の待機的LMTのPCIでの再狭窄はありません。
LMT分岐部もDCAのみでは解決できない病変では12mm2とれる場合は、BMSをクロスオー
バーでいれてます。CYPHERしか使えない現状では、分岐部病変ではBMSのほうが分岐部
に適したステントがあるからです。

やはり患者さんは心臓以外にも多くの病気をもっておられることがあり、(またこのよ
うなかたはけっこうみうけられるのですが、性格的に生涯にわたって定期的に内服継続
されることが困難なかたも含め)
現実的には抗血小板剤を半永久的にのみ続けることが困難な場合はあろうかと思いま
す。また途中中止の際の不安は完全には解消はされておりません。
non-DESでCYPHERなみの慢性期成績が出せるものに関しては、やはりnon-DESに軍配があ
ると考えます。


> 最近の話題どおりBMSだとプラークができるから慢性期に動脈硬化進行によるス
> テント部の血栓性閉塞でない新規のAMIが起こることがあるわけですよね、それ
> がDESではないと思いませんか?
> 動脈硬化進行のAMIと投薬中止によるlate thrombosisと、どっちがコントロール
> できるか、それはlate thrombosisの方がコントロールできると思います。

上記のことが慢性期の現実とするならば、CYPHER表面の内膜は通常のものとは
違うものということですよね。僕も慢性期のことは不安はありながらも、一応将来
内膜は通常のものと同じように内膜ははっている、(病理解剖所見での結果も踏まえ)
と信じておりますのlumenが大きく取れないものはほぼ全例CYPHERをいれております。

なのでもし上記が現実とするなら、僕自身はさらにCYPHER留置はDESでなければ高率な
再狭窄が予想される症例にかぎって使用しなければいけないと思ってしますのが正直な
感想です。

************************************

○○先生、なるほどすばらしい方法ですね。
私も、これは造影剤ではないのですが、スパスム傾向が非常に強い症例でのPCI
でマルファンを使用して側孔よりニトロを打ちながらやったことがあります。
まさにマルチファンクションですね。

************************************

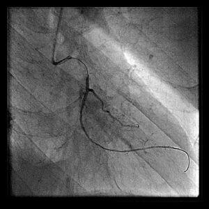
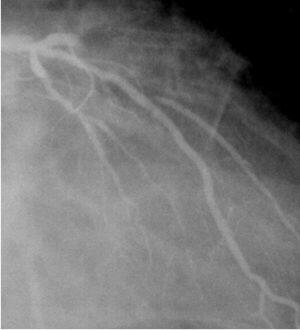
○○です。

今日、いい方法に気がつきました。
添付したイメージのようにLCX distalのtotal? subtotal?という病変(図:
pre_02s.jpg)に対しmini-ContrastでPCIしました。Wireは通ったんですがガイ
ドから造影するには造影剤がもったいないし、当然IVUSはテルモにしてdistalか
らチェックをしていますがそれでも本当のdistalは見えないし、マイクロカテか
ら造影するにはワイヤを抜かないとダメだし。。。
そこでハタと気がつきました。マルファンがあるじゃないか!!!
で、マルチファンクションから造影したイメージが pst_1MFs.jpg です。ほぼ
1mlの造影剤使用ですがかなりよく造影されているのが分かると思います。内腔
が若干太め?のためか造影効果はかなりいいです。当然ワイヤを抜かなくていい
のでそれも最高。



で、最終造影は pst_2GCs.jpg です。マルファン造影の質がいいのが分かると思
います。

ちなみにマルファン造影+IVUS+マーカワイヤ、でLCX13のsubtotal-total(結
局WhisperMSで通ったのでsubtotalか?)をあけて、LAD8にCypher入れて、造影
剤使用は23mlでした。

************************************

○○です。

○○先生がおっしゃるとおり、BMSでも、12mm2以上をとれれば、まず特殊な症例を除
いて再狭窄はおきないと私も思います。(データはすこし古いですが)BMS時代に、
ウチでやった22例のLMTの結果を添付しておきます。全体としてのデータは、22例中
再狭窄3例で、acceptableだと思うのですが、私がBMSで問題と感ずるのは

まず、DCA可能な病変はともかく、石灰化でDCAが難しく、Rota+Stentになる場合
は、どんなにがんばっても、final CSAの予測がなかなか難しいと思います。意外に
取れるときもあるし、思ったように広がらないときもあります。削った後、4.5mm/3.
5mmで高圧KBTして、じわっと破れたことも経験しました。ちょうど12mm2くらいとれ
ましたし、穿孔に再狭窄なし、の格言通り、再狭窄はありませんでしたが、やはり、
LMTで破けると、術者はなかなか冷えます。

また、LCx入口部にも病変があって、クロスオーバー+KBTでは対応できず、どうして
も2 stentが必要な場合は、BMSでは、最適な方法が提示できません。

先生がおっしゃるように、DESに、長期的な種々の問題があるのは私も認めますが、
再狭窄減少だけでなく、PCI手技そのものの安全性、つまり、acute complication
(とくに、rupture)の減少には、大きく貢献している印象があります。慢性期にほ
しいCSAの1.25倍とればよいので、LMTやperforation high risk病変に際してのプ
レッシャーは激減しました。



************************************

○○です。

○○先生の意見は、去年のDESが出始めのころに、DCAを多くする先生がいっていた意見
という気がします。なつかしいですね。
LMTなどで、再狭窄が3%というのも、すばらしいと思いますし、いい成績がでるとい
うのも十分理解できます。
ただ、BMS時代は、再狭窄は12mm2とったとしても、不確定な要素により、再狭窄を完
全に予測できませんでした。
一年間DESをつかうと、再狭窄は、理由をともなって生じますし、なによりも、完璧に
いれると、再狭窄どころか、いれたままの血管を維持しています(%DS=0%)。
ですから、BMS時代の再狭窄が少ないといっても、%DS<50%というだけのような気が
してなりませんし、DESの再狭窄率が少ないという意味とは全然違う感覚と感じていま
す。
あと、やはり気にいらないのは、どんなに完璧に大きくしあげても、数はすくないとは
言え、再狭窄するひとはいます。結局DESが選択されます。
○○先生のいうとうり、DESをいれると、もう心臓は大丈夫だよ。再発しないよと、力
強くいえます。この点で、DESはやっぱりいいと思います。
あと、○○先生のいうとうり、本当に冠動脈穿孔はへりましたね。BMS時代は、月1はや
っていた気がしますが、いまは、ほとんどありません。
○○先生が今後、どのように意見が変るのか、このままいくのか、楽しみにしていま
す。

という、僕も来年は、○○先生に戻っているかもしれませんが・・・・・・

************************************

○○です

随分前に、○○先生がルミネかウルトラフューズかどちらかを使用して、こんな造影
を行っていた様な気がしたのですが、...

○○先生、コメントを御願いできませんでしょうか?

************************************

○○です。

私は過去にAMIで血栓が多い症例で、その血栓の中にルミネをズブズブと突っ
込み血栓溶解剤をしばらく注入した後、その血栓の溶け具合を見るためにルミネ
の側孔から造影剤を撃ったことはあります。
しかし、このようなケースでしかも造影剤を節約する目的で使用したことはあり
ません。

造影剤を節約する目的ならこの方法は効果的だと思います。

P.S.
マルチファンクションは昔、倉敷ライブで光藤先生が多用されていたことを覚え
ていますが、今も販売されているのですか?
(当時はシュナイダーかボストンだったと記憶していますが・・・・・)

************************************

○○です

○○先生、コメントありがとうございます。

たしか、CTOを通された時ルミネで造影したように思ったんですが...。
省造影剤目的かどうかは解りませんが、現○○市民病院の○○先生とその後「こんな使
い方もあるんだぁ」と話し合い、とても印象に残ったので覚えているのですけど..。
間違っていたらごめんなさい。

最近、カネカよりマルチファンクションでています。
細いカテにもOKです。
時々私も使用しております。

************************************

○○です。
当院で現在使用しているのは、ボストンのものです。一昨年に商品の不具合があり、
半年程商品の供給がありませんでした。そのとき、probing catheterの代わりにスロ
ンバスターを使用していました。

************************************

○○です。

昨日もCTOでcollateral checkをしたいけどガイドがside holeつきで造影効率が
悪くてよく見えない。。。って時にマルファンで造影しました。ガイドうちより
本当によさそうです。

○○先生へ。僕は10ccのシリンジでうってます。内腔がある程度大きいためと思
いますが10ccシリンジで全く問題なしです。

一時回収になったのは手元のハブがすぐ割れたからですが改善されて今は全く問
題なく使用できます。○○先生が書かれたとおりボストンさんです。

あと、マルファンのTips追加、ですが、マルファンを抜く時なんですが、インデ
フを使えば南都ができます。最初のワイヤをちゃんと保持して15atmかけてずーーっ
と抜けてきたらマルファンの最初のワイヤのexit portで手に引っかかりますか
ら、そこで15atmをkeepしたままYコネの手前に出ているワイヤ2本を持って抜い
てくると2本とも位置を変えずにマルファンが抜けます。ちょっとややこしいで
すが。。。

************************************

○○です。

亀レスですが、他の先生から書き込みが無いようですので・・・。
○○病院の○○先生が考案された
MUSICカテーテルは、朝日インテック社製のはずです。
3Fr診断カテ、6FrシースレスGC共に
一般供用は2006年春頃からと聞いています。

************************************

○○です。

○○先生ありがとうございました。レス付かず寂しく過ごしておりました。
朝日インテックに連絡して早速、来年使ってみます。

みなさん、今年も終わりますね。熊トラ等、いろいろとTRANETの諸先生方々には助けて
いただきました。
来年もいろいろと企画しています。田舎ですが、皆さん遊びに来てください。来年もよ
ろしく。

************************************

○○と申します。
遅いレスですみません。
実家へ帰省しており、メールに目を通せないでいました。
すでに○○先生からのレスにありましたとおり、MUSICガイデ
ィングカテは、朝日インテックからのものです。
ただ現時点では、6Frと7Frのシースレスのみとなりますが…。
また、3Fr、4Frの診断カテは、フクダ電子から出ています。
ガイディングも診断カテも、まだしばらくは手に入りにくい状
況だと思います。

************************************