第81-90集


       第81集

************************************

○○です。

8/28にちょっと書いたLMT bifurcationの画像を提示したいと思います。66歳の男性
で、HT/DM/HL/smoking/obesity/FHとすべてそろっています。

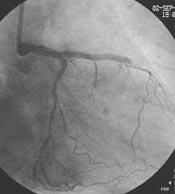
Fig1 PCI前です。IABPが入っており、ガイドカテは8Fr Joガイド JCL4です。
LMT-LADは99%delay、LMT-LCxは90%と読みました。

Fig2 2本のBMWをまず入れて、LMT-LADを2.0mmで前拡張しました。これは、自分的に
は非常にTipsと思っている手技で、これをやることで、IVUS中も、Flexicutの位置決
めの際も、antegrade flowがまず得られますから、hemodynamic collapseを回避で
き、ゆっくり余裕をもって手技を行うことができます。また、こうした病変のplaque
は大抵LCxの対側が中心ですから、いくらLCx入口部方向からカットするといっても
結局LCx入口部方向には、もっともFlexicutのバルーンが高圧であたることになりま
す。バルーンに対するLCx入口部の反応性も予測できます。もし、2.0mmのバルーン
でこちらがdelayになるくらいなら、LCx方向へのワイヤを抜いてDCAなんていう手技
はつらいと思います。万一、2.0mmのバルーンでLCxがダメになりそうなら、DCAはあ
きらめて、kissing stentで逃げてくるつもりでした。LMTは2連銃になるのは仕方な
いと思いました。いざというとき、kissing stentも可能という意味で、こうした病
変では8Frガイドが必須と思います。

Fig.1
Fig.2

Fig3 2.0mmで拡張後です。幸い、LCx入口部は大丈夫でした。

Fig4 plaqueは予想とおり、LCxの対側中心でしたが、分岐部病変に対するDCAの定
石通り、側枝方向であるLCx入口部から20psiでDCA開始しました。ワイヤはIronman
300cmに変更してあります。D1方向のplaqueは少ないので、上からcounter-clockwise
に回して、下を向く少し前あたりからcut開始です。

Fig.3
Fig.4


Fig5 1クールcutしたあと、IVUS前の造影です。これだけ考えたのに、LCxはdelay
となってしまいました(残念)。ここで、気にせずLADをもっと削る、いったんワイ
ヤをLCxに入れ替えてLCxを削る、といった選択もありますが、以前、あるライブで
LADのDCA中にD1が閉塞し、それを拾いなおすのにその道のプロの先生が大変ご苦労さ
れていたのを思い出し、ヘタレの私はステントに移行することにしました。

Fig6 LADにワイヤをjailさせて、LMT-LCxにS670 3.5-18mm/16atmを植え込みまし
た。underなのですが、LMT-LADは4.0mmを入れますから、4.0mmどうしでのKBTにLMTが
耐えられるかどうか気になって3.5mmを選びました。どうでしょうか? ただし、DCA
の霊験はあらたかで、LAD入口部は十分径が確保され、これならstrutのクロスも簡単
です。

Fig.5
Fig.6


Fig7 strutを広げた後、LCxへワイヤをjailさせて、S670 4.0-24mm/16atmで植え込
みました。もう一度、LMT-LADのstrutを拾いなおした後、4.0mmと3.5mmで16atmで高
圧KBTしているところです。

Fig8 できあがりです。

Fig.7
Fig.8


************************************

○○です

さすがの症例ですね
私はDCAはやらないので、コメントが的確でないかも
知れませんが、もし私ならLADが99%ならIABP下
でいきなりKBTを選択すると思います
DCAでもFlex cutはやはり高圧が掛かるわけで
LCxに何か起こす可能性がゼロではないと思うからです
LADはもともと99%なので虚血耐性あるかも知れないですが
LCxが99%になったら血行動態が辛くなる場合も起こりえる
と考えるからです。

きっとステントサイズは○○先生と同じか
ひょっとしたらどちらも4.0mmを選択するか
LMTがやばそうならLADとLCxのBalloonを
入れ替えてLADに3.5mm、LCxに4.0mmでKBTして
終わる方法もありかなと思いました
strutの広がりはstentによって決まってる訳で
いずれにせよ4.0mmとか3.5mmの大きさにはならないと
思います、それよりステント自体の拡張を大事にしたいと
考えるからです

************************************

○○です。
8月29日、30日と、関西TRILiveに行って来ました。
○○先生、お懐かしゅうございました。
○○先生、○○先生、○○先生 お疲れさまでした。

LIVE自体は、いつものライブって感じでした。いつもと違うのはやはり、みんな
DESを意識していて、ステント再狭窄には、convention balloon でsimpleにって
感じで、5Fでさっと終わってました。また、斉藤先生の神業には感動しました。

前日にはDistal protection研究会があって、そちらでは、社会保険川崎などが中心
になってやっているASPARAGUS 試験(綴りが違っていたらすみません)の初期成績が
オープンになりました。
AMI症例で、Distal protection 施行群と非施行群に封筒法でランダマイズし、それ
ぞれ150例ずつに達したとのことでした(Non-protection群でも血栓吸引OKで
す)。
急性期と、1ヶ月後結果の解析についてオープンになりました。で、結果は両群に全
く差が見られないという事でした。ホントに全くです(p=0.9位で差がありませ
ん)。
解釈は難しいのですが、連続症例でなく、もうみんなある程度経験を積んでいる事を
考えると、protectionしないといけない症例は、何となく解っていて、どうでもいい
症例を振り分けしてやはり差が出なかったというところなのでしょうか。それとも、
術前の吸引で十分って所なのでしょうか?結果の詳細はメドトロの関係者に聞いてみ
れば、先日オープンになった分は教えてもらえるでしょう。BARIなんかもそうで
すが、このような試験の結果を解釈するのは難しいですね。
ちなみに、私は、まずBMWをcrossさせ、吸引して、赤色血栓やアテロームらしき
黄色い血栓が引けるか(量は少しでも)、白色血栓(?)が大量に引けたら
protection wireを入れて、direct stenting 、引けなければ、そのままdirect 
stenting としています。

************************************

○○です。

これがフツーに出来ればLMTへのPCIの敷居も低くなるのだと思います・・・が、なか
なかおいそれとは出来ません、フツーの人には。

私の施設でも約1年前に問題にもなりましたが、ここ1年くらいの間で2例だけ行って
います。
(いろいろと考えた末のことでした。)
お一人はそのままStent+KBTで、経過良好です。
もう一人はV stentからreste、結果一部stent in stentでT stentになった方でこの
方はresteしました。

ところで、LMTに対するStent+KBTの成績はいかがでしょうか。MLDが大きい分やはり
成績は良好ですか?また、DCAをかけた場合とそうでない場合には差はありますか?

また、resteしたときにはやはりseverになるものなのでしょうか?
resteってsudden onsetは起こしにくいと思っているのですが、LMTの場合は特別で
しょうか?
いきなり心不全になったりしますか?
先生のご経験ではresteについてはいかがでしょうか?

************************************

○○です

○○先生、○○先生 遠路はるばるお疲れさまでした
関西のみなさまお疲れさまでした
ライブとしてはそれなりにおもしろかったですが・・
TRIとしては何か物足らない気がしているのは、
最近のマニアックライブ(TRA-net系)に多く参加している
からでしょうか?

前日は参加できませんでしたが、うちではACSはまず
6Fr Thrombusterでまず吸引、その後のIVUSで
Distal protectionの有無を決めようと思っていますが
@ Positeive Remodeling
A Soft Plaque
B 広範囲なattenuation
を適応基準としていますが、ACSではやはりそれ以外にもprotection
しています、なんとかprotectionの使用の的確な適応基準があれば
いいのですが・・・
○○先生の方法もいいですね、今度参考にしてみます

************************************

○○です。

朝、mailを開いたところ○○先生の目の覚めるPCIが飛び込んで来ました。
 回旋枝 の灌流域が大きい、しかも回旋枝 osにも病変にあるLMT 病変で結構しびれ
る病変だと思いますがacute resultもすばらしく再狭窄も無く、僕も○○先生同様”
さすがの症例”とおもいました。ただ、○○先生と違うのは(たぶんtranetでは少数
派なのかな?)DCA派ですのでいきなりKBTはせず、PCI治療を患者さんが選択すれば
僕もまずDCAでplaque burdenのreductionを図ります。ただ、最初の造影からLMT-LAD
へのcutでいかにもLCXがつぶれそうなのでちょっといやな感じですよね。危惧した通
りLCXが99%delayになってしまった時点でそっちにもDCAをするかについては、一応
DCAこだわり派なのでIVUSで”もっと削ってくれ”という顔をしたplaqueが多く残っ
ていて、しかもLADを閉塞させる危険が少ないと判断したときは根性をだすかもしれ
ません。ただ、このcaseでは僕も”根性”は別の機会にとっておくかもしれません
が。

************************************

○○です。

○○先生、○○先生、○○先生、いろいろとありがとうございます。

>私はDCAはやらないので、もし私ならLADが99%ならIABP下でいきなりKBTを選択
すると思います

自分も昔は(つい最近まで?)非DCA派だったので、先生のお考えはよくわかりま
す。もし、KBTでpreをするなら、やはりkissing stentで行くほうが安全と思いま
す。バルーンでは、うまくいくかもしれませんが、Y stentの過程の途中で、解離や
recoilのため、ワイヤをjailさせたとしても、LMT-LCxにたとえば先にステントをい
れたとして、Fig 6のようにLADが確保されない確率も低くないかと思います。ここ
で、LAD入口部にぐっとplaque shiftが来てしまうと、つらいですよね。Fig 6は、や
はりきれいにルーメンをとることができるDCAならでは、と考えます。確実性の上で
軍配があがりませんか?

>LMTに対するStent+KBTの成績はいかがでしょうか。MLDが大きい分やはり成績は良
好ですか?また、DCAをかけた場合とそうでない場合には差はありますか?

すべてのデータベースをみる時間はなかったのですが、Stent+KBTの成績は、Park先
生らのペーパーと同じ程度だと思います。Park先生もDCAができるものはすることを
勧めていますが、自分もそのとおりだと思います。というか、やはり、DCAができる
ようなやわらかいものは成績もよくなるのでしょう。そんなに数をやっているわけで
はないので、自施設のデータだけではDCAの是非については何とも言えません(ま
だ、開院して2年数ヶ月です!)。Rotaについては、とてもきれいになるものと、今
ひとつなものと分かれますね。なお、DCAにせよ、Rotaにせよ、LCxの入口にステン
トをTの形でとにかく置かないようにするのが大切だと感じております。

>resteしたときにはやはりseverになるものなのでしょうか?resteってsudden
onsetは起こしにくいと思っているのですが、LMTの場合は特別でしょうか? いきな
り心不全になったりしますか?

ウチでは、通常のステント後のf/u CAGは、6ヶ月後の1回だけにしていますが、LMTに
限ってはやはり3・6ヶ月後の2回を勧めています。ただ、患者さんは調子がよいと
(この不況でもあり)、3ヶ月目をパスされるかたもいます。気にはなりますが、強
制することもできませんから、ちょっとでも変な感じがしたら、我慢しないように
言っています。再狭窄のときは、狭心症の再発で戻ってこられる人の方がずっと多い
ですが、やはりもともと心機能が悪い人の中には、おっしゃるように、心不全になる
方もいますね。

>このcaseでは僕も”根性”は別の機会にとっておくかもしれませんが。

削ってくれといっていたplaqueはもちろんまだ多量にありました。先生にそう言って
いただけると、ほっとします。

non-protected LMT(bifurcation)のうち、stent+KBTでできる形は、Cypher・Taxus
のよい適応と思いますが、このように回旋枝がそれなりに大きくて、双方に狭窄があ
る形は、現在のこういったDESがでても、このやり方(DCAかkissing stent)しかない
ようにも思っています。kissing stentならDESでOKですが、2連銃を作るのはどうな
んでしょうか? 結局、DESではplaque shiftは防げませんし、Cypherにしろ、Taxus
にしろ、(詳しい数字は忘れましたが)closed cellですから、Y stentを作ることは
できますが、物理的に、最大3.5mm弱までしか広がらないと思います。DCA aloneある
いは、coil stentを用いたprovisional bifurcation stentingにならざるを得ないの
ではないのでしょうか? 

ただ、S670にも落とし穴があって、closed cellの部分がLCxの入口部に当たってし
まうと、当然、きれいにひろがりません。acute complicationにはつながりません
が、再狭窄にはなります。メドトロさんにはがんばっていただいて、closed cellの
ない構造であるS7、さらには新素材で再狭窄率もbare metalにしては低いといわれ
ているDriverを、早く上梓してほしいものです。

DESの時代になっても、それだけでは、DCAもRotaも、決して不要にはならないと考え
ております。

************************************

○○です.
ライブに参加された先生方,大変お疲れ様でした.○○
先生のおっしゃるように今回のライブはどのオペレーターの先生もまだまだ余力を残
されていたようで,特に斉藤先生の症例では,そういう考え方もあるんだなと違う意
味で感心させられたようなシンプルな手技でありました.またDistal protection検
討会では○○先生のご報告の通り社保川崎の村松先生主催のアスパラガスstudyでは
1ヶ月目でのフォローでは差が出ていないという報告でありましたが,自分自身では
AMIで血栓吸引の前処置を十分に行っていればprotectionしてもしなくてもCPKの上昇
の程度や終了時の冠血流,左室造影上の壁運動にあまり差がないような印象を持って
いたので一人で納得していたような次第です.

************************************

○○です

確かに○○先生のおっしゃるようにKBTでPreをしても
Y-Stentにするには大変な時があるのは分かります。
しかし、DCAも今回の症例の様な経過を取ることも
有るわけで、私はこのような病変には一番シンプルで
早くて、確実な方法を選択したいです
斎藤滋先生がどかでやっていた2連銃のY-stent(すみません
なんて言うのかネーミング忘れました)ならもっと早いですし
慢性期にゆっくりと料理すると言っておられました
あれなら一番早いですよね
T-Stentは○○先生のおっしゃるようにしないほうが絶対に
良いと思います、後からとんでもないことになる可能性が
高いと考えます

S-670のクローズドセルの話ですが、本日ある研究会で
聞いてきました、見てきました。 同じようにLMTでLCxに
クローズドセルがあって拡張できてませんでした
勉強不足で本日初めて知って勉強になりました

************************************

○○です

Distal protection検討会には参加出来ていませんが、
うちではRescue vs 血栓吸引+Distal protectionでは
有意に血栓吸引+Distal protectionでのMax CPKが低かったです
ランダマイズではなく、時期による差ですが
CPKだけでは梗塞サイズの判定にはなりませんが、確か不整脈
心不全も少なかった様な気がします(JACCTにて発表させて頂きました)
これからうちの○○君が慢性期の壁運動を解析してくれる
予定です。 またデータがでればどこかで発表させて頂きます

************************************

○○です。

○○先生のStudyと似ている内容ですが、当科のdistal protectionのdataとしては、
有為差はないのですが、急性期のMACEが少ない傾向があるという結論でした。(イン
タベ学会東北地方会で発表しました)

CPKは症例によって余りに差が有りすぎ、統計としては有為差がでる様なモノではな
かったです。
同じ血管と発達の仕方、同じ程度の発症時間、同じ背景の患者群ばかりを集めて統計
を取ると良いのでしょうが、...弱小企業としてはそこまでnが集まらないので...。

************************************

○○です。

先日当院でLADのPCI時に興味ある所見が得られました。
詳細は学会等で発表いたしますので今しばらくお待ち願いたいのですが。

CAGで見えているアテローマが初回POBAで剥離し、CAG上filling defectとして認めら
れ大変困ったのですが、ダメ元で試しに7F Thrombusterで吸引したところ、これが吸
引できました。この間念のためdistal protectionも置いておきました。

IVUSではいわゆる非常に減衰の強い像です。

組織もこんな感じですが、不幸にも興味のない病理学者によって切片はポイされてし
まったようです。

ゴミ箱をあさろうにも後の祭り。残ったプレパラートとIVUS像とにらめっこする予定
です。





************************************

○○です

自己レスです すみません
○○先生言われる2連銃とKissing stentは同じものでした
今、調べてみて自分の勘違いが分かりました すみませんでした
確かにこの方法なら早いですし急性期も
確実だと思います。 斉藤先生もTRI2002にも書かれていました
これは慢性期に修復すべきなんでしょうか?(斉藤先生は慢性期に修復すると
言われてました)
その場合はどのようにすればいいのでしょうか?
経験のある方どなたか教えていただけないでしょうか

************************************

○○です

確かに○○先生のおっしゃるようにKBTでPreをしても
Y-Stentにするには大変な時があるのは分かります。
しかし、DCAも今回の症例の様な経過を取ることも
有るわけで、私はこのような病変には一番シンプルで
早くて、確実な方法を選択したいです
斎藤滋先生がどかでやっていた2連銃のY-stent(すみません
なんて言うのかネーミング忘れました)ならもっと早いですし
慢性期にゆっくりと料理すると言っておられました
あれなら一番早いですよね
T-Stentは○○先生のおっしゃるようにしないほうが絶対に
良いと思います、後からとんでもないことになる可能性が
高いと考えます

S-670のクローズドセルの話ですが、本日ある研究会で
聞いてきました、見てきました。 同じようにLMTでLCxに
クローズドセルがあって拡張できてませんでした
勉強不足で本日初めて知って勉強になりました

************************************

○○です

面白い症例ありがとうございます
POBAで剥離するようなプラークってやはり脆弱なものだと
思うのですが、術前のIVUSの短軸像ではどのようなプラークなんでしょう
か?
いわゆるattenuationだけなんですか?
だとしたら、剥離したプラークの組織は白色血栓像と
薄いアテロームなんでしょうか?
できましたら、もう少し情報を知りたいです

************************************

○○です。

○○先生がおっしゃっていたS670のclosed cell、 落とし穴に運悪くはまり、研
究会で発表いたしましたのは私です。
DCA後の再狭窄病変に対し、S670 4x18mmをLMT-LADへ挿入いたしました。LCX
側を3mmのバルーンで拡張もステント部分のIndentationがとれず、IVUSを見
ましたところ2mm程度までしか拡がっていませんでした。jpg imageご参照ください。
○○先生が言われていましたS670のclosed cellに入ったためと思われます。
closed cellの部分をバルーン拡張にてふさぎながら、open cellへwireをrecrossさ
せ、拡張をいたしましたが、まん丸に拡がったclosed cellが邪魔をして、十分には
拡がりませんでした。今のところ発作はありませんが、LCXに再狭窄がきたらどう
しようかとおもっています。
どなたか、いいアイディアがありましたら、ご教示ください。



************************************

○○です。

他施設でISRの処理時にGWがセルをくぐったまま気づかずに拡張し、ステントがク
ラッシュした症例が紹介されました。
もちろん、このことは当院でIVUSをしたところ初めて分かった事でした。
同じセルをGWがくぐったかどうか分かりませんが、やむを得ずロータでステントごと
削りました。幸いno reflowにならずに済みましたがヒヤヒヤものです。

この理屈でLM-LADのステントに横穴を開けるのはどうでしょうか?

もうされた人もいらっしゃいますか?まだ当院では幸いやっていません。

************************************

○○です。

IVUS長軸像にありますように、プラークの最も多いところはMLD部位よりもほんの少
し末梢で、はがれた粥腫もこの部分です。単軸像を一枚お見せします。ご覧のように
非常に減衰の強い病変です。組織も(先ほど病理へ行って探してきました)先にお示
ししましたように、一部フィブリン様の凝固壊死巣のような部分があります。その近
辺には多数のfoam cellやコレステリンの結晶が見えます。



************************************

○○です。

○○先生 ご意見ありがとうございます。
わたしもRotaのことを考えておりました。
JSIC 2003, Vol18, NO4に、豊橋ハートセンターからLMT Stent Jailとなった側枝
病変に対しロータを施行した症例がほうこくされています。Jail stentを削っ
て、いずれもすばらしいできばえですが、
S670のClosed cellの場合、離開させるほどけずって金属片がslow flowを起こさ
ないかと危惧しています。
とりあえず、再狭窄した場合は、7−8Frガイドを用い、遅ればせながらKissing
を行いたいと思います。前回はTRI、6Frでしたので。それでもだめなら、Rota
でしょうか。

************************************

○○です
 
私ならまずその場で6F KBTでなんとか終わりたいと
見ていて思いました。  
例えば、jailしてもそのままで問題ないことも多いと
思いますし、そのままでも問題なければそれはそれで
いいのかなとも思いました。
やはりStrutをロータで削るのはそれなりの
リスクがあると思うからです。
当然ステントが潰れたりして側枝に影響が出たり
再狭窄あれば別ですけど 如何でしょうか
 
************************************

○○
とりあえず、現在は症状なく元気にされていますので、再狭窄がないことを願ってい
るしだいです。
あれば、先生が言われるようにKissingをしたいと思います。

************************************

○○大です

○○先生 IVUS画像ありがとうございます
このようなIVUSでは、個人的にはSlow Flowの
ハイリスクと考えていたのですが、POBAであのような
塊として剥離するとは要注意ですね
このような事もあると知っているとのは重要な事ですので
大変 勉強になりました

○○先生に再度質問ですが この症例はACSでしょうか?
POBAの際にはDistal Protectionはされましたでしょうか?

もしACSならSlow Flowでない、Distal Emboriはひょっとして
このようなプラークが塞栓するものじゃないのかなと考えてしまいました
だからこそ、血栓溶解剤の効果も少ないし・・・・

************************************

○○です。

ACSではありません。
最初のPOBA時にもdistal protectionを置きました。

************************************

○○です

ありがとうございました
なおのこと恐ろしいですね 勉強になりました

************************************

○○病院の○○と申します。

今回TRA-netに新規登録させていただきました。
本格的にPCIを勉強したのは、現在の病院に勤務するようになってからです。
まだ2-3年です。
最近は岩手PTCA研究会などに参加したりして
いろいろと勉強させていただいています。

出身大学と卒業年度  ○○医科大学卒後、○○大学第二内科に入局しました。
H13年より現在の○○病院に勤務しています。
趣味はスキーとスキューバダイビングですが忙しくて全然やってません。

先日は八戸ミニライブへ参加しました。○○先生ありがとうございました。
明日の岩手PTCA研究会のミニライブ 5FTRIライブ ○○先生よろしくお願いし
ます。
いろいろ勉強させて下さい。

以上、簡単ですが自己紹介させていただきました。
よろしくお願いします。

************************************

○○です。

昨日も、non-protected LMT (bifurcatrion) 2例でした。

1例目は、electiveのeffort APで、患者さんのご希望でPCIになりました。LCxの大き
さ(+LCx13からCTO)からkissing stentにはならないと判断、IABPサポート下
に、7Fr TRIでRota stentしました(BX+KBT)。おまけに、LAD・D1の分岐部病変
もやり、LMTにいれたBXのstrut越しにLCx13のCTOあけもやり、ここが1.5mmのバ
ルーンでhematomaになりPL方向にfenestrationしたり、と大変でした。最終的には何
とかbail-outし、カテ室でIABPを抜き、一般病室へ帰室可能でした。

その後きたimpending MIの緊急もLMT bifurcation。IABPサポート下に、Thrombuster
で引いてから、DCAを考えたのですが、胸痛激しく、QRS幅もどんどんひろくなるの
で、○○先生にBX2本でkissing stentしてもらい、とてもきれいになりました。
kissing stentの際は、入りやすいほうは一旦stentをおくまで入れて、2本目をいれ
たところで、引いて位置あわせをするのが大事です。kissing stent後はすぐにQRS幅
も狭くなりました。DCAにこだわっていたら、すべてが崩壊していたと思います。

今日から数日出張しますので、また、もどりましたら画像をupしたいと思います。思
うに、non-protected LMTは、DCA、stent+KBT、Rota stent、Ystent、kissing
stentなどをその場その場の状況にあわせて、これと決め付けずに使い分けるのが、
とても大切だと感じた一日でした。

************************************

○○
○○先生、○○先生大変な症例でしたね。
質問です。
先生の言われるkissing stentは、2連銃ですよね。そうすると、ステントが血管の
なかにういていると思いますが、SAT、ATなどの危険性はどうなんでしょうか?
とくに、AMIでは危険ではないでしょうか?
海外では、以前から報告されている方法ですが、日本には、レオプロもないし、いい
抗血小板剤もないので、その方法は危険かなと思ってました。ただ、LMTのようなお
おきな血管ならいいんでしょうかね?
ASOではこの方法はよくやりますが、おおきなステントだから、可能と理解してまし
たが、いかがなもんでしょうか?

************************************

○○です。

さすがは○○先生のご施設ですね。
kissing stentは以前から気になっていた方法です。
自分ではなかなか勇気がなくて、まだやっていません。
質問したいことが、いっぱいあります。
○○先生の質問の他には、
たとえば、ステントのサイズの決め方は? LMにどの位出すのか? 拡張圧は?
再狭窄は?、片方のステントだけ大きく広がってしまう心配は?、最終的な
IVUS所見は?,他の方法との使い分けは?などなど

画像のアップを楽しみにしています。

************************************

○○です。

いつも説得力のある画像で、今回のLMTの画像も楽しみにしています。先日、某地方会
のビデオーライブデモでLMT kissing stentやLMT-LAD ostialのDCAを拝見したのです
が、TRA-netの画像を見慣れているせいか、「説得力に欠ける。」感じを受けました。

さて、kissinng stentの場合、LMTからLAD,LCxの分岐角度が重要になってくると思う
のですが、いかがでしょうか?二つのステントがねじれの位置になると具 合が悪いと
思うのですが、どうなのでしょう?それぞれの治療法が、適したLMT形態などあるので
しょうか?
○○先生の多の方法との使い分けは?とかぶる質問ですが、宜しくお願いします。

なお、当施設ではAMI以外のLMTは心臓外科でバイパスする方針なので、非保護LMTはPCI
にほとんど廻ってきません。

************************************

○○です。

昨日も濃厚な一日でした。私自身も午前中にACSの非常にtoughな症
例を担当し、結構大変な目にあった日でしたが、一日でIABP3例(うち1例は待機例)
はウチのカテ室でもそうそう無いので、大変印象深い1日でありました。

LMT Kissing stentに関しては意見が分かれる部分だと思いますが、○○先生のご指
摘はその通りで、再狭窄や新規病変で、将来追加したPCIが必要となった場合に、大
きな問題となる可能性があります。昨日の症例も少しねじれの関係にありました。原
則的には緊急避難的な側面が強い手技であり、現時点においては血行動態破綻の危機
に瀕した、ACSに限った手技と思います。○○先生の御指摘の如く、IIb/IIIa拮抗薬
やクロピドグレルが使えない日本では、術後管理に一定のリスクが付き纏います。さ
らに血管径が大きいとは言え、一定の確率で再狭窄の問題がありますので、DES時代
の手技なのかなとも思います。今回の症例はIVUSの画像がありますので、そのうち発
表の機会があると思います。(ですね、○○先生。)

先進国でクロピドグレルが認可されていないのは、極めて稀と聞いていますので、早
く某製薬会社に頑張って欲しいところですし、厚生労働省の官僚の方々にも現状を恥
じて欲しいものです。

************************************




第82集



************************************

○○です。

○○先生、○○先生、○○先生ありがとうございます。来週は心臓病学会もあるの
で、画像は火曜にupできるかと思います。もうしわけありませんが、しばらくお待ち
ください。

>SAT、ATなどの危険性はどうなんでしょうか? とくに、AMIでは危険ではないで
しょうか?

危険性は当然付きまとうと思います。まとまった経験などもちろんなく、何も断定的
なことは言えません。○○先生が書いたように、昨日の緊急症例は、もちろん外科
チームにもすぐ声をかけましたが、LMT-LAD100%(TIMI1)・LMT-LCx90〜95%で、造
影しているうちにどんどん胸痛は強くなるし、何よりQRS幅が延びてきて、いつVT・
Vfになってもおかしくない状況でした。とても手術室の準備ができるまでもちそうも
なかったので、PCIときめ、感覚的にはゆっくりDCAできそうな雰囲気は、ワイヤクロ
ス後消失したので、まさしく、緊急避難的にkissing stentとしました。僕も、この
手技は、あくまで救命のための緊急避難処置、あるいは、CABGや手の込んだPCIをや
るにはちょっとはばかられる超高齢者の方の重症狭心症に対する治療戦略、と思って
います。

>ステントのサイズの決め方は? LMにどの位出すのか? 拡張圧は?再狭窄は?、
片方のステントだけ大きく広がってしまう心配は?、最終的なIVUS所見は?,他の方
法との使い分けは?

kissing stentということで考えを書きます。ステントサイズですが、LMTの足場とも
からんで難しい問題と思います。昨日の緊急例は、LADとLCxのCAG所見から目の子で
決めました。とても、pre-IVUSができる状態ではありませんでした。LMTの足場は健
常部にしっかりとります。

LMTが、M-Mで大きいといっても、こうした方ではある程度のplaqueはついていますか
ら、あまり大口径でkissing stentあるいはKBTしますと、近位部のステントがないと
ころに悪影響がでます。kissing stentではない、普通の(?)LMT stentですが、1
年くらい前の症例で、Rota-stent後の4.5-3.5での高圧KBTでうっすらともれたことも
ありますし、昨日の1例目の待機例も、4.0-3.5のKBTでしたが、やはり近位部に
hematomaができました。自分的には、4-3.5あるいは、4.5-3くらいが安全にやる上限
かなあ、と感じております。ただ、これがいやなら、LMTのaorto-ositialに対する
stentingの成績は良好ですから、LMTのosからしっかりかけてしまう方法もあるかと
思います。この場合は、運が悪ければ、DA1型がありえますから、またそれはそれ
で、覚悟がいるでしょう。どちらがいいかは何とも言えません。拡張圧ですが、僕は
こうした本格的bifurcation lesionでは高圧KBTなので、必ず14気圧はかけます。

>再狭窄は?、片方のステントだけ大きく広がってしまう心配は?、

双方を同じだけの大きさで開きたいため、同じ加圧としています。もちろん、血管の
complianceは違うのでこれで可能かどうかはわかりません。最近の分岐部病変では、
LMTに限らずかならずそうしています。再狭窄ですが、昨日はまず救命でしたから、
これは2の次でよいかと思います。これは、お祈りするほかないし、万一生じた場合
は、elective CABGにするのが普通でしょうが、また、何か変なことを考えるかもし
れませんね(LMT−LADのstrutからLCx方向へクロスして・・・なんて) 

>最終的なIVUS所見は?

ご期待とおりの、2連銃・めがねのような所見になっております。IVUSの画像は、ウ
チはGalaxyなので、撮像はよいのですが、プレゼンの作成がなかなか大変です。○○
先生、可能なら、電子カルテの貼り付け画像を使えば簡単かもしれないので、時間が
あったら、画像をアップしてみてください。

>それぞれの治療法が、適したLMT形態などあるのでしょうか?

あくまで、kissing stentは上記の病態にかぎった特殊な方法と思います。やはり、
こういうところに手を出す以上、ステントを入れるのは当然としても、off-pump
CABGに負けない、エレガントな仕上がりを目指したいですね。待機例なら、DCA
aloneでできる先生と病変はDCA aloneでしょう。僕は、DCA or Rota後にLMT−LADに
ステント植え込みして、高圧KBT。LCxの入口もつらければ、Tにはせず、必ずYにし
て高圧KBTが原則だと思います。

************************************

○○です。

○○先生、toughな症例お疲れ様です。
当院でも、92歳、女性のUAPで薬物治療でも症状取れず、緊急避難的にkissing
stentを行いました。こういった症例では、IVUSはとても無理でIABP下で祈るよ
うな気持ちで、KBT→kissing stentとなりました。幸いLAD、Cxがほぼ同サイズ
でしたので、3.0mmbaloonでKBT、NIR3.5×18mmできれいに仕上がりました。
この方はこの後、大腿骨頭置換術も無事行っております。
います。
待機的であれば、間違いなく、CABGでしょう。



************************************

○○です。この症例の画像をアップします。
LMT bifurcationの血栓像があったので血栓吸引して、KBT,KSTを行っています。
なお血栓吸引後の造影の心電図変化とカテ終了時の心電図を示します。



これをみるとCABGも間に合いそうにないな〜と思いました。最後にLMTの2連銃のス
テント内IVUSを示します。○○先生が危惧されていたように双方のステントはねじれ
て入っています。もちろんこのまま何も起きなければ問題ないのですが、再狭窄が起
きた場合の戦略をどうしようか頭を悩ませています。特にこの方はLAD#6にも病変が
ありS670 3.0/24mmもはいっていますので、、、kissing stentのバルーンの位置が参
考になると思いますが、RAO-CAUで上側はLCXへ、下側はLADのステントの入り口です。
また画像はアップしていませんがspider viewではLAD側にLCXステントの入り口が来
ています。LMTがぎっちり再狭窄すれば手術でも良いと思いますが、LADの再狭窄な
らLMT内でストラットをひろわないようなワイヤー操作が必要で、今考えているの
はTransitなどにBMWをangledPigTailカテの様に曲げたワイヤーで選択して病変部は
もう一本普通の曲げのワイヤーで、と考えています。またLMTに隔壁として存在して
いるメタルはずっとこのままなので今内服しているパナルジン、プレタール、バイア
スピリンは一生切れません。慢性期にじっくりと、という話がありましたが、これ
はCrush Stentの様にするということなのでしょうか?




************************************

○○です。

○○先生、素晴らしいできあがりですね。(拍手)
IVUSの画像ですが、スケールがはっきり見えないのでよくわかりませんが、
LMTの最大径はすごいですね。
4.0と3.5mm を入れたのなら、バルーン拡張時には7mm(?)位に広げられ、
しかも14気圧。それでもLMTって耐えちゃうのですね。

ステントどうしが互いに食い込み合わないように、NIRとかBXなどの
軸方向のストラットが密なステントが良いのでしょうね。

私も機会があればやってみたいと思いました。

************************************

○○です

Kissinng Stentは確かこの様なACSではかなり効果的ですね
後は慢性期ですが、斉藤滋先生がどこかで急性期はKissing Stent
して慢性期にゆっくり治療するみたいなことを言われてた様な
気がします(すみません、ちゃんと覚えていません・・・・)
でも、もし再狭窄した時とか抗血小板薬を内服出来ない
状態になった場合などを考えたら、せめてCrush Stentの
様にして修正するしかないんでしょうね

************************************

○○です。

この症例は血栓吸引後3mm2本でKBTをおこなったらLMTからLAD方向に解離がはいった
のでKissing Stentをやりました。もちろん術者のウデがよく血行動態や心電図が安
定しているなら、Y-stentがbetterと思います。KBT後のIVUSは余裕がなく施行してい
ません。

************************************

○○です。

>本当にどうしようもない時だけにしないと

前にも書きましたが、最初は、Thrombusterで吸引後、自分がDCAをするつもりでし
た。ガイドカテは、ちゃんとJCLになっているのをご確認ください。ただ、添付の心
電図でお分かりいただけると思いますが、途中から、そんな余裕はまったく消失しま
した。まさしく、本当に、他にどうしようもなかったんです!

もちろん、先生のご意見には全面的に賛成で、待機例のnon-protected LMTに対して
は、○○先生が提示されたような超高齢者をのぞいて、僕もkissing stentをやるつ
もりはありません。

たまたま今回訪問した某国の施設が、このテクニックを分岐部病変(4AV-4PDなど)
で多用していました。抗血小板療法について質問してみたのですが、bare metal
stentなら、アスピリンにくわえて、クロピドグレルを1ヶ月だけだそうです。DESに
なると、6ヶ月クロピドグレルだと答えられていました。今までSATはないそうです。
この患者さんでどうするか、何もevidenceはなく難しいのですが、ある程度時間が
たって、浮いているstrutにも内皮がはればアスピリンだけでOKなのかもしれませ
ん。しかし、場所が場所だけに、パナルジンによる副作用がなければ、それを中止に
する勇気もなかなか沸いてきませんね。

************************************

○○です。

Kissing stent、本当に有効でしょうか?というか本当にどうしようもない時だ
けにしないと患者さんに却って慢性期CABGとか慢性期ややこしいPCIとかなりそ
うですが。。。

それはそうと○○先生、これはdirect kissing stent?なんでしょうか?

************************************


了解しました。
bare metal, DESともにこの手法でどの程度の慢性期成績がでるか、ですね。
でもこの様な緊急避難手段を知っておくのは重要です。ありがとうございます。

************************************

○○です。

皆様の高尚なお話の途中で恐縮なのですが、前々から疑問に思っていたことがありま
すのでこの機会に御質問させてください。

Kissing stentでfreeになったLMTのstent strutへの血栓予防のお話がありました
が、
血管内のmetalの露出=血栓性合併症起こしやすい=パナルジン継続が必要
なのでしょうか?

例えばAo os.で飛び出しているsturt、LAD or LCxからLMTへ少し顔出している
strut、stent jailになっているbranch入口部のstrutが露出したままの状態、
referanceの差が大きすぎて(ectasiaなど)edgeが少し浮いているstrut・・・などあ
り得るcaseだと思うのですが、これもやはりパナルジンなしでは危険なのでしょうか


なんとなく思いっきりfreeのstentって血栓性合併症がそんなに起こりやすそうな気
がしないのですが・・・本当になんとなくですが・・・

御教授お願い致します。

************************************

○○です

○○先生の御質問にきっちりお答えできる様なエビデンスって
ないと思うのですが、確かにそのような症例にでも
アスピリンだけで慢性期見ている人は多いです
DESの長期成績でStrutが長期にむき出しになっているために
抗血小板投与は続けるというのは有名ですよね
この場合の抗血小板ってアスピリン プラス α
でした? アスピリンだけでも十分なんでは?

でも、Kissing Stentはどうなんでしょう?
あまりにもむき出しになっている部分が多いし
そこはStrutが2重だし・・・・ やはりパナルジン続けるか
慢性期にCrush Stentにして血管壁に押しつけておくか
でしょうか?

************************************

○○です。

僕も以前、○○先生と同じ疑問、つまりBifurcationにStentを置いた場合に側枝の入
口に内皮がはったら側枝が完全閉塞になってしまうのでは?という疑問を持ったこと
があります。で、調べたことがあるのですがStent Strutだけに1ヶ月間で完全に薄
い内皮がはるためStrutの隙間は大丈夫だそうです。でも、Kissing Stentの場合はど
うなんでしょう、壁から浮いているStrutが多いのでBifurcationのようにはいかない
のでしょうか?でも、再内皮化がちょっと遅れるだけなので○○先生の言われるよう
に長期のパナルジンで大丈夫なんでしょうね。
DESに関しても実験モデルではRadiationのようには再内皮化を遅らせないというData
がありますし、SIRIUS trialでも3ヶ月間のパナルジン(もしくはプラビックス)の
投与で血栓症の率はコントロール群と同じなので大丈夫だと思います。でも、気持ち
悪いので合併症がなければちょっと長めに飲んでもらいたいですね。
あまり意味のないよこやりレスですみません。

************************************

○○です。

○○先生、○○先生resありがとうございます。

>BifurcationにStentを置いた場合に側枝の入口に内皮がはったら側枝が完全閉塞に
なってしまうのでは?
>という疑問を持ったことがあります。で、調べたことがあるのですがStent Strutだ
けに1ヶ月間で完全に薄
>い内皮がはるためStrutの隙間は大丈夫だそうです。
てっきりmetalは剥き出しのままだと思っていました。人間の体って大したものです
ね。これは結構感動しました。
ということはこういう薄皮を被ったstrutをいじくった場合は再度しばらく
ticlopidineが必要なのでしょうか。

************************************

○○です。

LMT の話題が出ているうちに“ついでに”皆様に伺ってみたいと思います。
ちょっと“みっともない”症例であります。

53才、男性です。来院時 pre shock で心電図もやばそう(略)なので IABP を入れて
TFA で開始しました。画像を添付します。

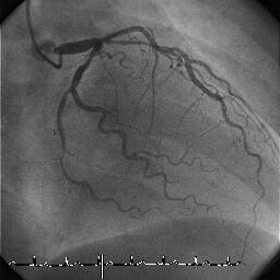
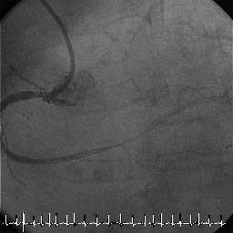
<Fig.1> 前造影です。RCA から Roentrop U の collateral flow あり。
<Fig.2> 7Fr guide で LAD と LCx へ wire を入れた後、余っていた Export
aspiration catheter で吸引。次に Penta 3.0-18 mm を LMT から LAD に留置。その
後 LAD LCx ともに 2.5mm のバルーンで10気圧まで KBT してさっと終了しまし
た。

Fig1
Fig2


<Fig.3 & 4> CCU帰室前に“ちょっと見ておこう”と恐々実施した IVUS 像です。



<Fig.5> 何とか救命して 4週目の冠動脈造影です。色気を出して LCx OM に Penta
2.5-13 mm 入れてしまいました。Max CK 10000 IU/L でしたが、心機能は F-S
Tでした。LMTからLADへの IVUS をやるべきかどうか迷ったのですが、やってま
せん。

<Fig.6> 9月6日の造影です(経済的な理由で発症後18週目となりました)。見事に
reste !!



以下、自分で考えた問題点です。

 1)急性期、血栓吸引直後に IVUSしてから stenting する精神的余裕がなく、
angio 像から 3.0mm の stent を入れてしまいました。また、LMT をstentで full
coverする事も考えつきませんでした。いわんや DCA をや。
     → 思慮が足りなかったでしょうか?

 2)急性期の IVUS で LAD・LCx 分岐部の処理は、一応これで良かったのでは‥‥
と思いましたが、LMT mid portion は明らかに不十分な治療結果です。
     → KBT を 2.5mm 2本でなく、もっとsize up すべきだったのでしょうか

     → または、LMT のみ 3.5mm以上の short balloon で開大すべだった?

 3)4週目に LCx OM に stenting したのに、LMT を IVUS で確認することを怠り
ました。
     → この時期に余計なことをして restenosis を招く一因を作ったのか?

LMT-AMI 急性期治療の end-point について皆様はどうお考えでしょうか?何でも構
いません。
忌憚のないご意見を賜れば幸いです。

************************************

○○です。私見を書きますので、失礼な表現とうありましたら、ご容赦くださ
い。

この症例は、AMIのTIMI 0であって、elecitveの症例とはちがいますから、まず救命
がなによりであり、その意味で成功を収められた先生の手技は素晴らしいと思いす。
もちろん、restenosisがないにこしたことはありまえんが、それを追求するあまり
acute conplicationを起こしてはもともこもありません。そのあたりが、AMIと
electiveでは、根本的に違うと思います。

1)bifurcationを含むLMT AMIの最大の問題点は、大量の血栓によるslow flowです
から、吸引を穿孔させたのは大正解と思います。Pentaはhalf size downですから、
Penta 3.0は、BXなら3,5になりますから、これはありうる選択と思います。ただ、
KBTをするとなれば、できれば、3.5-3はやりたかった気がします。私の少数の経験で
は、3.5-2.5は再狭窄率高いです。

LMTのfull coverというのはosからと言う意味でしょうか? これはこれで、DAのリ
スクがありますから、必要もないのにやる必要はないと思います。 DCAは、やはり
sloew flowのリスクがありますから、やらなければいけないことはないし、僕は、必
要があってやりたい術者がやる(AMIについては、DCAをしないと、Y stentingも苦し
いケースになりますね)で十分と思います。 よくわかりませんが、bodyの健常部が
足場になっているので、良いよう気もしますが。

2)これは、やはりunderだったと思います。3.5-3でやりたかったですね。

3)OSでPCIをされており、LMTはIVUSなどのデバイスを通しただけですたら、影響な
いように思います。

LMT-AMIの急性期でしたら、なによりthorobusの処理をきちんとやってLAD・LCxとも
TIMI 3がとれて、SATを起こさないだけの残存狭窄があったら十分だと思います。む
しろそれを迅速にやることがとても大切ではないでしょうか? electiveとは、まっ
たくstrategyのよってたつ概念が違うと思います。

************************************

○○

○○先生の意見とまったく同感です。

救命がなによりであり、その意味で成功を収められた先生の手技は素晴らしいと思い
す。もちろん、restenosisがないにこしたことはありまえんが、それを追求するあま
りacute conplicationを起こしてはもともこもありません。そのあたりが、AMIと
electiveでは、根本的に違うと思います。 この考え方がすごく大切だと思います。

追加すれば、
急性期を乗り切るためには、このような症例ではslow flowをいかに少なくするかと
いうのが、重要だと思います。そのためにはドラックもありますが、重要なのはステ
ントのサイズ、拡張圧、KBTのサイズ、拡張圧など、再狭窄を少なくしようという手
技(大きく、高圧)は、slow flowの危険性を高めるということですので、急性期で
は逆に悪さする可能性が高いです。このような点からも待機症例とは根本的にサイズ
なども違うように考えなくてはなりませんし、また、SATを起こしたら困るので小さ
すぎても困ります。
ですから、そのサイズなどは、本当に微妙だと思います。でも、優先は救命ですか
ら、今回の症例は小さめで、slow flow起こさず、ivusでステントのアポジションも
確認してるので、完璧ではないですか?再狭窄は、しかたないです。これを、急性期
にいつもと同じようしたら、CAGはいいけど、slow flowや心機能低下でF3になったの
ではと創造します。

************************************

○○です。

まずはLMTの治療そのものは、この場合救命第一ですからどんな方法でも救命に成功
された事はすばらしいと思います。

Pentaに関しての”感想”は個人的には異なります。

Tristarの話も今更ですが、当院での成績は芳しくありませんでした。140本ほど植え
ましたが。

Pentaは120本ほど植えましたが、3月の症例の確認造影が始まって、大変な状態で
す。再狭窄率が異常に高いです。無論悪い人ほど先に戻ってきますので、最初は
悪いのかも知れませんが。いやな予感がしています。

Pentaはよく広がるので小さ目を選ぶという意見が体勢ですが、当院ではQCAの結果
JUSTサイズを選ぶようにしています。圧も14気圧かけないと十分には広がっていま
せん。BXに至ってはワンサイズアップです。(○○先生ともこの点は議論しました
ね。)IVUSガイドの施設では問題ないのでしょうけども。

ですからこの症例に戻って考えると、ひょっとしてPentaが悪かったのか?という疑
問が湧きます。
メーカスペックや海外での結果は信じられないのかも??とも。

以上個人的な感想ですので、「何言ってるんだ!」としからないでくださいね。

************************************

○○です
 
皆さんと同意見です
急性期としては救命第1で、この成績は十分だと思います
 
私ならもう少し大きなサイズを選んだかも知れません
#5 midを見れば・・・
3.5mm S670とか、Y-stentにしないのならVelocityかも
でも、これはその時のオペレーターの判断(感も含んでですが)
が重要ですから、その場の判断で選ばれたStentですばらしい
できばえだと思います
 
再狭窄に関しては仕方がないと思います
この時点でゆっくり再度PCIするかCABGに回すか
判断して、ちゃんと治療すれば問題ないと考えます
 
○○先生のPentaに対するご意見は、当科では
まだ再評価しておりませんので分かりませんが
Tristarが成績悪いのは分かっていて、海外データが
示す通りだと思います
Pentaも個人的な意見ですが、そんなにいいいのか
疑問には感じておりました(IVUSとかの拡張を見て
個人的に感じていたことです、何もデータはありません)
うちでもまもなくPentaの再評価が始まりますので、
どうなるか楽しみにです

************************************

○○です。

僕も急性期治療に関しては全く問題ないと思います。
ただもったいない、と思ったのは4週目の時点で、僕はここで再拡張をしたと思
います。アンギオはいいんですが最初のIVUS像から拡張が足らないと思っている
とこの時点が最もチャンスだったと思います。

それでも再狭窄は確立として存在するわけで再狭窄した時点では最良の治療を選
択するしかないですが。。。

Pentaに関しては他院でも同様の話を聞いたことがあります。うちでは3月からほ
ぼ100%(ほとんど完璧に100%に近く)Pentaを使っていますが再狭窄に関して現
時点では全く関係ない、つまり早く再狭窄で帰ってきている人が多いわけではな
いと感じています。○○先生の所では対象症例にバイアスがかかってませんか?

************************************


> いと感じています。○○先生の所では対象症例にバイアスがかかってませんか?

そうですか、ちょっと安心しました。
確かに戻ってきている症例は元々Type Cばかりですから、まだ仕方ないのかもしれま
せん。

野球じゃないですが、連敗が続くと気が気でありませんね。

破竹の10連勝が待っているといいのですが。

************************************

○○です。

先週のLMT2例のうち、electiveにRota-stentした労作性狭心症 54歳・男性の画像を
upします。CABG拒否のため、PCIとなりました。
Fig1 前造影です。LCxの大きさからkissing stentはなく、また、1.75mm一本で
Rotaする方針にしたので、7Fr rt.TRI (EBU3.75)で、左大腿動脈よりIABPが入ってお
ります。

Fig2 僕は高速回転派なので(失礼! ○○先生)、230,000rpmでRotaをはじめまし
た。ガイドカテの中をplatformとして、LMTは7秒2回でpassしました。いったん、
platformをLAD6にすすめ、LAD7をやりにいきましたが、この高度石灰化がクセ者でし
た。7秒・計6回でようやくpassです。



Fig3 その後、D1にBMWをjailさせ、2.5mmでいったん拡張後、LAD7に
BX3.5-18mm/16atmを植え込みました。D1の開存を確認した後、今度は、LCxにBMWを
jailさせ、LMT-LADにBX4.0-23mm/16atmで植え込みました。さらに、ワイヤでBXの
strutを拾い、LCx方向に進めたところ、LCx13のCTOが通ってしまいました。このあた
りは、絶好調でした。いったん使った2.5mmはsturt不通過でしたが、1.5mmのOTW
Marverickは楽々passし、strutを広げているところです。strutを通す場合、SOEが不
通過のとき、1.5mmのOTWを使うとすっとパスすることが少なくありません。

Fig4 LMT-LADをBX4.0のdeliveryで、LMT-LCxを2.5mmで、16atmでKBT中です。LMTの
手前がhuggingで大きくなりすぎないよう、バルーンの位置は注意したつもりなんで
すが・・・ proximalのmarkerをあえて一致させていないことにご注目ください。



FIg5 LCxのCTOを1.5mmで広げたところ、心房側におおきな解離です。深さから、
hematomaと思うのですが、IVUS不通過でした。バルーンの位置には随分と気を使った
のですが、LMTの入口部もやや解離があり、ここはIVUSでみるとhematomaが確認でき
ます。なにやら、雲行きが怪しくなってきました。

Fig6 5分間観察すると、CTOの部位でacute closureです。LMTの入口部もなんと
なく、径が小さくなってきているような・・・



Fig7 LCxはhematomaと決め打ちし、比較的安全な方法とおもっている、Excelsio
サポート下に、側枝へのワイヤリングでfenestrationしているところです。これで、
flowは回復しましたが、LCx13から末梢までspiralなangiographical dissectionが
認められました。

Fig8 (まず大丈夫とは思うんですが)LMT入口部がやはり不安になり、Nir 4.0-9mm
を位置決めしているところです。ここでは、LAO15°が使いやすいです。大きなBX
は、13mmと18mmしかないのが、つらいとこですね。Nirはさらに、Quantam Marverick
4.5mm/20atmでpostしました。



FIg9 できあがりです。LMT-LADは、まずまずですが、LCxは何とかflowが保たれ
ている状況です。ここで、IABP・radialのシースをともに抜去し(IABPはcloser)、
ヘパリン持続点滴としました。残念ながら、深夜胸痛があり、再造影したところ、LC
x13のCTO部位で閉塞してしまっておりましたが、有効な方法もなく、もともとCTOな
ので、そのまま経過観察としました。患者さんは、お元気に翌々日退院されておりま
す。



以上、適応から手技まで、いろいろ反省点の少なくない症例です。ご意見よろしくお
願いします。

************************************

○○です。

以前は私も必要に駆られてLMTのPCIを行っていましたが、
今はほとんどOPCABに回すためやっていません。先生のその
積極的な姿を見て、またチャレンジしてみようかなとも
思っています。
ただし問題点もいくつかあると思います。時々PCI中に
バルーンで拡げたあと、大きなステントで高圧をかけた瞬間
no flowになったりする事ありますよね。もしこれがLMTで
起こったりするとかなり重篤になる可能性があると思うん
ですが。
それからhematomaに対しExcelsioサポート下に、側枝への
ワイヤリングでfenestrationするとの事ですが、もう少し
具体的にやり方、適応等を教えて下さい。

************************************

○○です

○○先生 いつもながら、タフな症例を、果敢アタックされて見事なできばえで
すばらしいと思います
LCxについては、仕方がないと思いますが、LCxに対しての
Stentingは終了前には考えられなかったんでしょうか?

LMTのHematomaですが、あれくらいのAngio上の経が
あればKBTを普通にすると思うのですが、術前のIVUS
で何か示唆するような所見は有りましたでしょうか?
今後のためにも是非も見せて頂きたいのですが・・・・

************************************

○○です。

○○先生をはじめとし、諸先生方のメール感謝します。
日頃からイメージトレーニングしておかないと、いざって言う時に手が
動きませんから参考になりました。

○○先生のご意見にあった、“なぜ、4週間目に undersize と判ってい
る LMT を拡げなかったか?”については目から鱗が落ちる思いでした。
‥今はそういう時代なんですね。そういう発想はできませんでした。

なお、本症例のその後ですが、経済的な理由から CABG を希望され、9
月9日に両側内胸を用いて治療が行われました。術後経過は順調です。

 →もし、PCI するとしたらどんな戦略が better でしょうか?
   ・3.5 mm, 2.5 mm で KBT ?
   ・4.0 mmでLMTのみ cutting?

************************************

○○です。

○○先生ご無沙汰しております。

 私はこのような(既に梗塞などで)Cxの灌流域が狭い場合、LM-LADにボンとステン
トをおき、LCXは後から開ける程度にしています。念のためGWはLCX側にあらかじめ通
しておきますが、ステントでCXのFlowに問題が生じた場合、もう一本GWを出してなる
べくストラットの奥のほうからCXを選択しなおします。初めのCXのワイヤを抜いて、
CX側にもバルーンをかけますが、理想的にはステントストラットは毛羽立たずに
LAD、CXともなじんでくれているはずです。IVUSで確認して問題なければKissingはせ
ずに終了します。ただ、LM自体を大きくすることそのものが目的の場合はKissingを
します。LAD#6-7、D1分岐部なども同じ方法です。

また、当院にはジンクスがあって、過ぎたるはなお及ばざるが如し、に従って、あま
りついでにこの病変もやってしまおうという事はしません。確かに調子良い時はいい
のですが、悪い時はACになったり、slow flowになったりと、ついでに手を出した病
変のほうに時間が取られる事が多いからです。

これはもって生まれた星の運ですから、皆さんはどうとか、根拠のある話ではありま
せんので、聞き流してください。

************************************

初めまして。○○病院の○○と申します。

この度は、TRA netに参加させていただけるとのことで、大変嬉し
く思っております。

どうぞ宜しくお願いいたします。

************************************

○○病院に勤務しております○○と申します。

平成○○年に鳥取大学卒業後、○○病院、○○市民病院、そして本年7月までは京都の
○○病院でTFIの極みを勉強させてもらいました。
この度○○病院への転勤となり、本格的なTRIの経験を積んでいくこと
となりました。
皆様の貴重なご意見を伺いつつ、このネットのなかで、ひそかに経験値を高めていこ
うと思っています。
よろしくお願い申し上げます。

************************************

初めまして○○の○○と申します。

TRA netへの参加を承諾いただき誠にありがとうございます。
多くの事を勉強させていただきたいと思います。
よろしくお願い致します。

************************************

○○です。

TRA netの皆さんに御教授頂きたいことがあり、メールしました。

当施設では今年の一月からTRA, TRAを本格的に導入したのですが、使用するシール長
についていまだ私自身がよく分からなく困っています。というのは、16cmのradial A
内に収まるシースを使用すればよいのか、それとも25cmのradialを越え、brachial A
まで届くシースを使用すれば良いのかということです。
現在は16cmのスリットシースを使用し、問題なく心カテを行っているのですが、業者
がいろいろなカタログを持ってきて、果たしてどれが最も良いのかなあ(安全かとい
うことですが)といつも悩んでしまっています。
御教授の程よろしくお願い申し上げます。

後、4Frの造影カテは今どこのメーカーが一番評判がよい(造影がよい)かについて
も御教授頂ければ幸甚です。

非常に初歩的な質問で申し訳ございませんがよろしくお願い申し上げます。

************************************

○○です

うちでは16cmのコーティングシースを使用しています
スリットシースもいいと思うのですが、どーしても止めたくんとか
TR-Bandの中に少しでも出血(シースのスリット部分から)するので
なんとなく使ってません
最近はだいたい16cmが多いと思うのですが

4Fについては各社いろいろですよね
比べたことがないのでよく分かりません
うちでは一応テルモです 4FだとIKARIタイプのものが
あります(Guiedingじゃないから不要との意見もありますが)

************************************

○○です。

○○先生、○○先生、○○先生、レスありがとうございます。

>PCI中にバルーンで拡げたあと、大きなステントで高圧をかけた瞬間no flowになっ
たりする事ありますよね。もしこれがLMTで起こったりするとかなり重篤になる可能
性があると思うんですが。

おっしゃる通りなのですが、類似したご質問についてのお返事を8月28日に書いてお
りますので、再掲します。

*本当のslow flowになったら、大汗かきながら(それこそお祈りしながら)スロン
バスター7Frをいれしっかり吸引して、シグマートを打って、と言ったことになると
思います。確かにそういう危険性はありますが、たとえば、CABGだって、mortality
やmorbidityは0%であるはずもなく、今の道具をうまく駆使すれば、(再狭窄は別
にして)急性期PCIのリスクは手術リスクとトントンだと思っています。患者さんは
IABPも、PCI用のシースもカテ室内で抜去し、closerで止血しますから、数時間後に
は歩行可能です。ですから、CABGよりははるかに低侵襲であることは間違いありませ
ん。今後、DESがでてくれば、再狭窄のかなりの部分は解決できるので、ガンガン攻
めていってよいように思っております。

>それからhematomaに対しExcelsioサポート下に、側枝へのワイヤリングで
fenestrationするとの事ですが、

hematomaが末梢までspiralに広がっている場合、どこかでre-entryを作って真腔への
圧迫を減圧しないと、いくら病変部にstentを入れてもflowは回復できません。方法
としては、CB・やや大きめのバルーンを広げて引っ張る などの方法が提唱されてい
ますが、自分が一番やさしいと思うのは、ワイヤによる側枝方向へのre-entryの作成
です。hematomaのなかから、distalの側枝に向かってワイヤリングします。この症例
では、BMWでそのまま可能でしたが、無理なら、Neos IMかMiracle 3.0あたりで容易
に作成できます。

>LCxに対してのStentingは終了前には考えられなかったんでしょうか?

Fig 5の解離があまりにLCx本幹と離れていた印象がありました。IVUS不通過でした
ので、何も確定的なことはいえませんが、hematomaと推測しましたが、かぎりなく
ruptureに近い状態、少なくとも、ruptureの可能性も考えて対処するべきと思いまし
た。stentで、blow out typeに進展することを恐れたこと、hematomaがspiralに末梢
まではいりfenestration後にstentをいれるにしてもfull metal jacketになる可能性
が高いこと、こうした処置すべてがLMTにおいたBXのstrut越しになるのでさらなる
troubleに進展する可能性もありうること、の3点からstentingはしませんでした。

>LMTのHematomaですが、あれくらいのAngio上の経があればKBTを普通にすると思う
のですが、術前のIVUSで何か示唆するような所見は有りましたでしょうか? 今後の
ためにも是非も見せて頂きたいのですが・・・・

IVUSをupします。最初は、通るはずもないと思われたので、Rota後のLMT distalと
proximal、LMT近位部のhematoma、最終所見を提示します。Post-Rota-LMT-distalの
12時方向から入ってくるのがLCxです。術中、IVUSは少し回ったようで、hematomaや
Postでは、2時あたりがLCxになっております。LMTをやっていて思うことは、LMT近
位部にかかるストレスの評価が難しいことです。通常、KBTの場合、huggingになると
ころは、平方根の和のルートで計算しますから、4mm・3mmのKBTなら5mm相当になりま
す。ただ、かなりのだるま型になるので、やはり長径のところは4+3の7mmとはいい
ませんが、5mm以上のストレスはかかっているわけで、少し控えめにやるのも悪くな
いかなあ、と思っています。



>過ぎたるはなお及ばざるが如し、に従って、あまりついでにこの病変もやってしま
おうという事はしません。

LMTがきれいに仕上がれば、strut越しにLCxのCTOもやるつもりで手技をはじめてお
ります。途中、KBTをするため、BMWをLCxの奥深く挿入するところで、CTOをcrossす
るとは確かに思っていませんでした。

また、いろいろとご意見・ご教授、よろしくお願いいたします。

************************************

○○です。

 当院では現在スリットシース+アダプティの組み合わせです。
シースの長さは、使用するガイドワイヤーによっても考え方が変わると思います。
診断カテの場合は4Fで右は23cm、左は肘関節を曲げるので16cmです。

 最初、右も16cmにしていたのですが、アングルタイプのガイドワイヤーを、初心者が
まれに枝に迷入させて皮下血腫を作るので、安全を考えて長いもの 
に変えました。その後は皮下血腫はほとんど起こりません。もしスパスムが起こって
も、スリットシースだと100%解除できます。
 なおスリットからの出血は、抜くときのシースと皮膚の角度にもよるようで、角度を
付けすぎるとスリットが一部開くため血液が漏れやすいようです。

 最近、おもいっきりJ型のガイドワイヤーを試しています。これだと、ほぼブライン
ドでAortaまで運べるので、もっと短いシースでもいいでしょう。

 なお、PCIのときは、16cmの6Fシースです(ワイヤー操作に慣れているのが前提)。

************************************

○○です

○○先生 レス、IVUS画像ありがとうございました
やはりStent前のIVUSであれくらいの近位部なら
KBTすると思いましたサイズに関してはLAD, LCxに
合わして考えるとしてKBTのためだけに新しいバルーンで
サイズダウンしてするのもったいないですので、低圧でするしか
ないんでしょうか
それにしても、あれくらいのプラークでも要注意なんでしょうか?
血管自体の伸展性もあるので少々のストレスには耐えれると
認識していました。
Stent Edgeの病変は問題ないのでしょうか?

************************************

○○です。

○○先生のご質問ですが、血管自体の進展性とう概念は非常に重要だと思います。こ
の症例も180度の石灰化がり、Rotaをやったといっても進展性は不良ですから、そう
いた意味でhematomaが生じたのかもしれません。ただ、LMTなどの、いわば大きな
bifurcation lesionではlumenをしっかりとるため高圧KBTは必須だとおもいますし、
また、KBTのためだけに新しいバルーンを出すわけにもいきませんから、しばらく
は、気持ちLCx側を小さくするようなつもりでやっております。8/28にupした症例
で、LCx方向を3.5mmとしたのには、若干こうした意識があったんですね。

Stent edgeの病変ですが、angiographicalにはないし、IVUSではもちろんある程度の
plaqueはついていますが、そこを何かしないといけない、というほどではありません
でした。

あと、LMTとslow flowについてですが、Park先生・Fajadet先生・Ellis先生らの論
文、また、山田日赤・西川先生が中心になってまとめられている日本のregistryで
も、特にLMTでslow flowが高率とは報告されていませんね。EBM風にご返答するとこ
んな風になるのかしら?

************************************

○○です。

私はスリットシースを使用しています。
○○先生のご指摘のように、抜去時に少量の出血があるのが気になっていました。
最近では挿入時の内筒を捨てずに取っておいて、先端を少しカットしてスパウ 
ダー代わりに使用しています(その際は検査で余ったISDNを希釈して注入して 
います、内筒への注入後はキャップをします)。
これで出血もほとんど回避出来ますし、スパズムも生じません。

************************************

○○です
 当院(年間700例程度ですが)ではテルモさんの16cm コーティングシースです。い
ろいろ試してみましたが。結局これで落ち着いています。このシースでは今のところ
スパズムで困ったことはありません。
 ただ抜けやすいシースなのでone personでやるときにはテガダームとかを張ってお
いた方がワイヤ交換などは安心できます。
 23cmだと「とり回しがちょっと大変かな」と言うところですが、それ以上の理由は
ありません。
 16cmでは、たしかにワイヤが迷入することがありますので、永井シースを使う方が
安心なのかもしれませんが、23cmはUlner loop を越えるかどうか、体格の大きいヒ
トでは微妙なヒトもいるのでないかと思っていたのですが、その辺いかがでしょうか?
使っている方教えてください。

************************************

○○です。
私のところでは○○先生式のsmall J をシースにJのまま挿入する方法を
取っていますが、シース挿入時に透視で確認してアングルワイヤーを
上腕動脈に入れてシースを挿入したら
後はこの方法で側枝に迷入したことは一例もありません

************************************

○○です。

何点か。。。
LMCAのdissectionの原因はステントが若干distalなのが原因と思いました。もう
少しproximalまで入れておいたら、、、と思ったのですがいかがでしょう。

それからLCXの閉塞は最初のtotal (or 99delay? BMWで通ったってことは多分一
筋あった???)の部位ではなくてもっと手前からですよね、ということは
occlusionの原因は#11のバルーンだと思います。それからfalse-trueの
fenestrationは有効な手段の一つと思いますがこの症例ではBMWでdistalに通過
していますからfalse-trueにはwireは通過していないと考えます。
結局最終的にcompleteに使用と思えばLCXにもsmall size Rotablatorでしょうか。

************************************

○○です。

○○先生、レスどうも。ステントの位置ですが、そうかもしれません。あまり長くし
たくなかったので、この位置にしました。

LCxの閉塞ですが、CAGではTIMI 0でしたが、taperingタイプでした。先生のおっ
しゃるとおり、BMWで通ったわけですから、わずかなantegrade channelはあった可能
性が高いです。Fig 6では、LCxはかなり手前から詰まってしまった写真をupしまし
たが、やはり最初おかしくなったのは、解離が心房側に生じたLCx13です。バルーン
は、ここと、KBTの際のLCx11入口部にしかかけていません。BMWですが、解離側にま
わりこませた後、(僕もこれで通るとは思わなかったのでMiracle3に変更しようと
思って)Excelsioをおくまで入れた際、すっとPLに進みました。それでいっきにflow
がでたし、LCx末梢までspiralにdissectionが入っているのがわかりましたから、
やっている人間の印象としては、false→trueかな、と思いました。

LCxをきれいにするなら、確かにRotablatorなんですけど、LMT-LADを作る前にやる
ことは無理だし、BXのstrut越しというのも抵抗あるし、といった感じです。

************************************




第83集



************************************

○○です。

連続ですみません。ちょうど、TCTに参りまして、ホテルに入ったところです。

さて、最近、0.070だけでなく、それを上回る0.071のガイドカテが何種類か上梓され
るようになりました。大半の6Frガイドカテが0.064であったその昔、0.068-0.070が
相次いで登場したとき、これによって、KBTができる、手ロータも可能ということ
で、6Fr TRIの治療戦略が一変したのは記憶に新しいと思います。

0.071のメリットについては、特に何もないかなあ、とずっと思っていました。最
近、ひとつ感じることがあります。それは、手ロータのときです。ウチでは、アシス
トで、耐圧リミッターを通常設定の200psiから50psiにあげて手ロータをやっており
ます。もちろん、7Frガイドカテのような完璧な造影が得られるわけではありません
が、どうも、0.071のほうが、印象的には造影剤の流れが多く、flowの評価が容易な
印象をもっております。

EBUは、ランチャーより全体がやわらかいZUMA2のほうがはるかに挿入しやすいの
で、この目的のためには、テルモのハートレイルBL3.5-4.0あたりを多用していま
す。手ロータをされる先生方からのご意見をお待ちしています。また、手ロータ以外
にも、071になったためここがよかった、ということがありましたら、是非教えてく
ださい。

あと、○○先生に質問です。Ikari-Lは、ちょっと屈曲部分がおおく、いままで手
ロータにはどうかなあ、と思って使ってはいないのですが、先生のご経験ではいかが
ですか?

************************************

○○と申します
シネアンジオ装置の工事が目前となり,駆け込み需要で
ほんのちょっと忙しくしています
(これで忙しいと言ったら,たくさんの先生方に叱られてしまいますが・・・)

.070と.071の違いというのは,定量化したとしても
有意な差になるかどうか,という程度なのでしょうが,
感覚的には「違う」と私は思っています
radialmagic.comを拝見しますと,.071ではExportカテーテルも
通ると報告されていますし・・・
(○○先生以外にトライされた先生はいらっしゃるのでしょうか?)

パワーインジェクタではなく手押しですが,
自分の手の感覚では.071だとさらに楽に注入できるようです
握力の弱い私としては少しでも楽に注入できると嬉しいです

いちエンドユーザーの気ままな感想ということで,
お許しください

************************************

○○です

6FではQカーブ(0.070)を使用して手ローターをはじめました
最近ではIKARI-L (0.071)を使っています
確かに僅かながらの差ですが造影はいいように思います
また、○○先生言われている屈曲が多いからとのご意見ですが
私は特になにも感じませんでした

あと0.071の良いところは5 in 6だと思うのですが
時々は0.071でも、入ってしまうことはありますが
でも、入らないことが多いです

Exportは確かに入りましたが、あんな苦労するのは
つらいです 吸引にしかできません Distal Protection時に
は使えないと思います
外での実験ですがロータワイヤーを使えばティーバックも通りました

************************************

○○です

すみません 一部間違いでした

あと0.071の良いところは5 in 6だと思うのですが
時々は0.070でも、入ってしまうことはありますが
でも、入らないことが多いです

が正しいです すみません

************************************

○○です

6FではQカーブ(0.070)を使用して手ローターをはじめました
最近ではIKARI-L (0.071)を使っています
確かに僅かながらの差ですが造影はいいように思います
また、○○先生言われている屈曲が多いからとのご意見ですが
私は特になにも感じませんでした

あと0.071の良いところは5 in 6だと思うのですが
時々は0.071でも、入ってしまうことはありますが
でも、入らないことが多いです

Exportは確かに入りましたが、あんな苦労するのは
つらいです 吸引にしかできません Distal Protection時に
は使えないと思います
外での実験ですがロータワイヤーを使えばティーバックも通りました

************************************

○○です。

現在、ロータの対象として透析例のみに行っているため、ロータは10%くらい症例が
あるものの、最近手ロータはほとんどやりません。(本当はやりたいんですが)。
Ikariカテの供給が良くなり、当院ほとんどTRIで、透析例と本人がTFIを希望される
方をのぞけば、CTOでもTRIでやっており、100%に近づいていると感じております。例
外の多くが透析例です。さて、Ikariカテの手ロータですが、少数例の経験では全く
問題ないと感じています。Ikariの最もproximalのカーブは右TRIの際には他のカテで
も結局形成されるものですから、そこで引っ掛かった経験はありません。

************************************

○○です。

○○先生、○○先生、○○先生レスありがとうございました。理論的に考えれば○○先
生の言われる通りなので、次回の手ロータのとき、Ikari-L試してみることにしま
す。ちなみに、手ロータをやる人のことを、テロリストというのですね。○○先生の
HPで初めてしりました。どなたの命名なのでしょうか? 何でも8Frでやりたがる人
を、エイトマンというのにも爆笑しました。

さて、今年のTCTですが、今日最大の話題は、Taxus IVが(予想とおり)positiveに
出たことだと思います。1300人もの方を対象にして、再狭窄率で5.5 vs 24.4% (in
stent)、7.9 vs 26.6% (in segment)、TLRで3.0 vs 11.3%というのは素晴らしい結果
だと思います。Ravel・Siriusに続いて、明らかにPCIの大きな方向性が見えたような
気がしました。また、ここにいたるまで緻密なプログラムを組み、一歩一歩進んで
いったボストンさんに敬意を表したいと思いました。

午前中は、bifurcation lesionのセッションを見ていましたが、Crashing technique
が激変したのには驚きました。PCRまでは、Crashingしたらそれでお仕舞でした。と
ころが、今回のTCTから、(小さなdiagonalなどを除いて)、ほとんどすべての術者
がstrutを拾いなおし、KBTで終わることの重要性を強調しだしました。今までのやり
方で、何かnegativeなdataがでたのでしょうか? こちらの事情にお詳しい藤井先
生、何かご存知でしょうか?

また、昨年、Colombo先生がLAD/OM/LCxと、3連銃を決めた症例のre-studyがセッショ
ンの1例目に組まれていました。粋なプログラムです。狭心症の再発もあるようで、
LAD以外のOM/LCxは入口部で再狭窄しており、複雑な病変形態故にか、ad-hoc での
re-PCIは行われずに終わりました。どのように解釈するかは各人によりますが、自分
には、日本的なきちんと広げるPCIと、うまくDESを組み合わせれば、まだまだ私たち
に生きる道はあるように感じました。

************************************

○○です。

TCTにてCrash techniqueがごく普通のやり方のように論議されているのには驚きまし
た。
私は、はじめて見るモノで、ビックリです。
私自身は、ちょっと下品な手法に思えてしまうのですが...。
どうなのでしょう?

Taxus IVは、素晴らしいデータですが、しかし逆にbare metal stentのデータも良い
ので、bare metalの数字を宣伝しているデータにも思えたのですが、いかがでしょう
か?

その他の新しいデバイスは例年よりもとても少ない印象です。
drugに頼りすぎている様な気がします。

いずれにしろ、日本人としての地味なテクニックを追加するともっといいことがあり
そうな世界が拡がっている予感がした、TCTの1日目でした。

************************************

○○です

初めてのTCTで規模の大きさには驚かされました
皆さんが書かれてますが、まさにCrush Stentばかりでした
確かにDrugにこれだけ頼っても良い物かと・・・

Lenoxでは殆どがCyperでしたが、ヨーロッパでの使用率は
それほど高くないと聞きました
アメリカでの使用率はどれくらいなのでしょうか?
(Bare Metalの3倍の値段と聞きました)

************************************

○○です。

○○先生ありがとうございます。今日も、Crushingした側枝の再狭窄例がありまし
た。結局、strutを拾いなおしてKBTでした。non-protected LMTのセッションにも行
きましたが、このやり方を推奨してはいませんでした。やはり、どこか無理があるよ
うです。木曜日に、Colombo先生が、the "Crush Technique" and beyond という発表
をされますので、何らかのまとまった成績が出るようにも思います。

また、世界的に有名な某Power Centerの内情をよくご存知の方とお話しする機会があ
りましたが、Crushingをやめて、大きな側枝がある症例についてはDESを用いた
Y-stentingに移行しているようです。きれいに Y-stentingを作ろう、ということに
なると、次にくるのはdebulkingの復権なのでしょうか? それとも、cuttingあたり
がはやりだすのでしょうか?

************************************

○○先生 
励ましありがとうございます。先生を初めとして、TRA-netの皆様が、自分の環境
を切り開いておられることを考えると、愚痴を言っている暇など無いと深く反省した次
第です。是非今後ともご指導ください。
 近い将来、○○大学を誇れる病院に出来るよう、努力いたします。

************************************

○○です。

皆様、TCT2003お楽しみのことと存じます。
また、貴重な情報をいちはやく提供頂き感謝いたしております。
くれぐれも事故のないようお気をつけ下さい。

さて・・・
> 今日も、Crushingした側枝の再狭窄例がありまし
> た。結局、strutを拾いなおしてKBTでした。non-protected LMTのセッションにも

> きましたが、このやり方を推奨してはいませんでした。やはり、どこか無理がある

> うです。木曜日に、Colombo先生が、the "Crush Technique" and beyond という発

> をされますので、何らかのまとまった成績が出るようにも思います。

たぶんくだらない質問だと思うのでお恥ずかしいですが・・・
DESでもresteするとフツーのISRと同じ(薬はなくなっているでしょうから)なので
しょうか。

************************************

○○です。

○○先生!○○県の明日は先生が握っていますので
是非頑張って下さい。微力ながら私も応援致します。
(あと、日循のあの用紙は○○先生を通じてお送りいたしました)

○○先生の出される症例はいつも勉強になります。
先生のような類稀な技術と頭と根性がない私にとっては
到底真似ができるものではありませんが、
○○循環器病院の○○先生がおっしゃっていた
”日頃からイメージトレーニングしておかないと、いざって言う時に手が
動きませんから”の言葉は重要で、<引き出しの中に多くの物が入っているか>
は特に緊急事態が発生して時には大きな分かれ目になると思います。
TCTからの最新のデータも期待してます。

また、TRAでのシースやガイドワイヤーの話がありましたが
これについては先日の行橋ライブでの○○先生や
○○先生のコメントはとても参考になると思います。
因みに当院では川澄科学の16cmコーティングシースを使っています。
コーティングシースは確かに手技中抜けやすいのですが、川澄のものは
手前3cmには潤滑剤はコーティングされておらず、この点で抜けにくくなっており
ます。
ですから検査後抜去時には、最初若干の抵抗がありますが、コーティング部分に差し
掛かるとスルッと抜けます。
シースの長さやガイドワイヤー、カテーテルについては○○、○○両先生から
非常に良いコメントが戴けると思いますが如何でしょうか?

************************************

○○です。

○○先生いつも教えていただきありがとうございます。

> DESのReste病変がResteしやすいかどうかは知りません。なんとなくしやすそうで

> が、、、。
ということはDESだからといって”入れてしまえばこっちのもの”ではなくて入れる
ときにはresteしたあとのことも考えてきっちり入れなければならないのですね。

ところで・・・
black wallはどのように処理すればよいのですか。
普通のneointimaと同じでしょうか。
それとも飛び易いからdistal protectionが必要・・・なんてことはあるのでしょう
か。

************************************

○○です。

>Crashing techniqueが激変したのには驚きました。ほとんどすべての術者がstrut
を拾いなおし、KBTで終わることの重要性を強調しだしました。

以前にもTRA-netで少し議論があったようにCrashされたStentの側枝入口部の遠位側
のステントストラットが浮いてDrugがいかないのではないかという議論がPCRの頃か
らこちらの学会でされるようになり最近ではCrash後にKBTをするようになったようで
す。Crash techniqueをすると側枝の入口部のステントストラットが3重になるので
当然wireのre-crossは少し難しくなります。実際にre-crossの成功率がどれくらいな
のかは知りませんが、時々wireが通らずにそのまま終わるケースもあります。
長期成績に関してはこのTCTの時にColombo先生が結果を報告すると言ってましたがど
うなんでしょう?Bifurcationもそうですが、特にTrifurcationにこのテクニックを
使ってステントを3本も入れるとDrug StentでもMACEのpredictorであるStent
underexpansionが起こり得るような気がしますし、実際にPost-dilationで高圧をか
けても拡がらないStentをIVUSで確認したこともあります。やはりこのテクニック
は、、、どうなんでしょう?

************************************

○○です。

> DESでもresteするとフツーのISRと同じ(薬はなくなっているでしょうから)なので
> しょうか。

基本的にはフツーのISRと同じ組織のようです。(DCAで組織を採った報告がどっかに
ありました)
でも、時々Reste病変をIVUSで見ると添付の写真のように黒っぽい組織が見られるこ
とがあります
("Black Wall"と呼ばれてます)。これはRadioactive StentやRadiationの後にも
時々見られるのですが、DCAで組織をみた報告があり、増殖内膜内の細胞数が少なく
水成分に富んだプロテオグリカンがリッチな組織のようです。なんでこんなもんがで
きるでしょうかね?
DESのReste病変がResteしやすいかどうかは知りません。なんとなくしやすそうです
が、、、。



************************************

○○です。

>black wallはどのように処理すればよいのですか。

○○先生、いつもながらの鋭いご指摘ですね。どのように処理すれば良いのでしょう
?僕には分かりません(すみません、、、)。実際に臨床の場でBlack wallを見たの
は5回くらいしかありませんが(RadiationとDrug Stentをあわせてですが)、その
うち4例はStent(Drug Stent3例+Bare Metal Stent1例)を入れていたと思いま
すがSlow Flow等の合併症は何も起こりませんでした。うちの施設は何があっても狭
窄=Drug Stentといった感じです。確かに再狭窄は稀なのでしょうがないのかもしれ
ませんが、、、。

話は変わりますが、昨日、滋賀の玉井先生がこっちでCTOの症例をされました。手技
の前は成功率9割以上と言っても誰も信じなかったのですが、簡単にCTOをご自分の
説明通りの手技で通された後は、みんなビックリして質問しまくってました。日本の
株が上がったようで、関係ない僕も嬉しく思いました。

○○先生、今日はCrush Techniqueの長期成績が発表されるとのことでしたが、いか
がでしたでしょうか?個人的にはそんなに再狭窄率は低いようには思えないのです
が。

************************************

○○です
 
すみません、非常に初歩的な質問なのですが….。どなたかご教示ください。
Percu のGuard wireのバルーンの径についてなのですが、どのようにして決定さ
れているのでしょうか?
実は、先日当院でお初にしたのですが、distalの血管内径に合わせて、3mmにし
てPCIを行っていたのですが、
Guard wireのバルーンが抜けてきてしまい、全くprotectionになりませんでし
た。手技上の問題とは思うのですが、なにかコツの様なものがありましたら、ご
教示ください。
お願いします。

************************************

 ○○です。

玉井先生のCTOですが、会場にいた日本からの先生は、みんな、99%通るだろう、と言
いながらみていました。余裕たっぷりに通されましたから、私もとてもうれしく思い
ました。

さて、今日のColombo先生のデータでは、全部で60例少々と比較的少数例の結果なが
ら、Crashingのあと、KBT(−)ではTVR率 8%、KBT(+)では20%と発表されておりまし
た。とうことで、みんなKBTをやりだしたのだと思います。bifurcationについては、
1)必要に応じてpre-dilatation。特に、側枝は6mm長のCB(!)で。
2)DESでCrashing stent。
3)側枝にre-wireして、14-16atmで拡張。
4)最後に、8-10atmでKBT。
というやり方を提唱していました。しばらく前は、分岐部にはDCA stentとおっ
しゃっていたように思いますが、ひとつのやり方でよしとするわけではなく、常に
something newを求めてやまないこの先生は、すごい人だと思います。そのエネル
ギーたるや底知れないものがあります。

************************************

○○ですが、失礼しました。KBTとTVR率は、さかさまです。当然、KBT(-)で20%、
KBT(+)で8%になります。

************************************

○○(イザベルから逃れて成田)です

TCTは大型ハリケーンに見舞われて大変だと思いますが
現地に滞在されておられる方如何でしょうか?

TCTの火曜日にbifurcationのセッションがあって
コロンボ先生の施設から発表されて居ました
○○先生とほぼ同じですが、本幹とと側枝では
当然側枝の法が再狭窄率が高くてKBTなしの時代(今年の4月以前)
では側枝は20%代でした KBTありでは確か10%代だった思います
本幹はやはり一桁代の再狭窄率だったと思います
当然KBTありの方が若干成績が良かったです

確かにいつまでも、追求するあのコロンボ先生の姿は見習うべき
ところが多いと思いました

************************************

○○です
 
確認したいのですが、3mmで拡張した時に造影してちゃんと
Protectされていましたか? 俵状になっていましたか?
いずれにせよ、Guard wireはInflationしていてもそのバルーンで
アンカーのように固定はできません
抜けないように、しかも急いで交換するのがGuard wireの
弱点です

************************************

○○です

Colombo先生の前にLefevre先生が、内容はちょっと違ったのですが、綺麗なおねえさ
んに見とれてガードレールに車が突っ込む写真(crushを皮肉ったか?)を例えとし
て出されて、「本幹大切!脇見運転事故の元!」のような事を言っていたことが私に
は印象的でした。


Crushの成績と手間を考えたときに、遠くなくやって来る(?)日本のDES時代に、
bifurcationに対して日本人は何をするべきか...○○先生、コメントをお願いします。

************************************

○○です。
○○先生、早速ご教示ありがとうございます。
一応、拡張してから造影で確認は行ったのですが….素早く行わなかったのが、
原因かもしれません。
いずれにせよ、Learning curveの要する手技と言うことですね。
何回か試してみます。ありがとうございました。

************************************

○○です
 
確認したいのですが、3mmで拡張した時に造影してちゃんと
Protectされていましたか? 俵状になっていましたか?
いずれにせよ、Guard wireはInflationしていてもそのバルーンで
アンカーのように固定はできません
抜けないように、しかも急いで交換するのがGuard wireの
弱点です

************************************

○○です

素早くというより、焦らずに確実にワイヤーの位置を変えないように
慎重にする練習が必要だと思います
Learning curveは必要です
後はサポートの人とのコンビネーションです
初めのうちは少々虚血に耐え得る症例からされた方が楽だと思います
少々の失敗を積み重ねないと、なかなかうまく行かないと
思います あきらめずに頑張って下さい

************************************

○○です。

○○先生から難しい命題をいただいたので、昨晩から頭痛に悩まされています。ま
ず、遠くなくやって来るのは本当でしょうか? 期待したいです。

Crashingは、日本人的美意識からしても、緊急避難的な場合は除いて、受け入れがた
いと思います。本幹にステントをし、側枝はKBTで何とかするのが基本であることは
変わりないでしょう。ただ、Colombo先生の話にもあったように、どうしても2つス
テントを必要とする事態にはときに遭遇します。欧米でCrashingがはやるのは、その
場の手技としては、“やさしい・時間がかからない”からです。側枝にワイヤを
re-crossできるかどうかは別にして、ステントで確保されている以上、失うことはあ
りません。昨晩は、Colombo先生とたまたま話す機会があり、なぜY-stentingをやら
ないのか? とたずねたところ、どうもワイヤをjailさせずにステントを置くような
ので、側枝へのアプローチが不能になる危険性を指摘されていました。

日本人は何をするか? ですが、non-protected LMTのような、大きなbifurcationに
は、いまや“国技”ともいえるDCAの威力は絶大ですから、DCAが好きな先生はその可
能性を追求するべきでしょう。好きでない先生、あるいは、LAD-D1あたりの
bifurcationでしたら、modular stentを用いたProvisional Y stenting + 高圧KBT 
が本命だと思います。もちろん、stentを植え込むにあたっては、ワイヤのjailは必
須でしょう。Y stenting に向かないような小さな側枝なら(今回のTCTでは小さな
CypherやTaxusでcrashingしていましたが・・・)本幹にステントをいれ、あとはKBT
で十分でしょう。側枝は多少解離が入ってもそのまま様子をみます。本当に、
threatened closureになったとのみ、緊急避難的にステントを考えます。

自分の考えをざっとまとめるとこんなところですが、○○先生はいかがでしょう? 
先生は、」“5Frでバイファ”なんですか??

************************************

○○です。
色々新しい知見が日常業務の中で入ってくる。そして、イメージトレーニングでき
る。
Traの真骨頂です。
○○先生ありがとうございます。

************************************

お疲れのところ申し訳ありません。
○○先生に質問です。
bifurcation stenting に関して、自分自身は本幹死守で、本幹にresteの来にくそう
な手技を考え(エビデンスはありませんが)
@Stent KBT を行い、側枝の状況に応じて
AProvisional T としています。

Yにした方がいいのでしょうか。自分自身の少ない経験では、Yの方が本幹にresteが
来やすいような印象があるのですが・・・・。もちろんLMTとLCX-OMを同じで考えて
はいけないと思いますが、如何でしょうか。

それと、DES時代には こんなこと関係なく Yになるのでしょうか?それとも本幹に
金属がオーバーラップしない手技であるTになるのでしょうか?オーバーラップさせる
と”いつ
までパナルジンを飲ませなければならないのだろうか” と心配性の私は考えてしまい
ます。

************************************

○○です。
若輩者ながら発言させていただきます。


> DESでもresteするとフツーのISRと同じ(薬はなくなっているでしょうから)なので
> しょうか。

6ヶ月後に再狭窄した場合、ポリマーが残ります。
Bare Metal なら neointima regression が多少は期待できるかもしれま
せんが、DES の場合は polymer が更なる炎症を惹起するので、どうで
しょう?ひょっとしたら BMS より悪いかもしれませんね。わかりませ
んが。

それなら polymer を生体吸収型にすればいいわけで、最近のニュース
ではこんなのもあります。
http://www.e-topics.com/ 
index.asp?userid=20020408052039403546&layout=stdnewsdis&hl=everolimus&do 
c_id=NEb0902050.6sw
それにしても $35 million とは... 何か一発当てると大きいですね。

問題は DES ですら再狭窄した病変を次はどう治療するかで、また DES
なのか、radiation なのか、それとも debulking か?興味がつきません。
ちなみに bracytherapy / radioactive stent の慢性期に観察されるecholuc
ent tissue は "black wall" ではなく "black hole" だと思います。
(Castagna MT, Circulation 2001, 103:778)
(Kay IP, Eur Heart J 2001, 22:1311)


僕も TCT に参加させていただきましたが、TAXUS 4 に関しては
%neointimal volume が 12.2% と比較的高値(SIRIUS で 2.9%)なのに
全体の成績は SIRIUS に負けてない事に驚きました。特に DM の再狭窄
率に関しては、in-stent で 5.1% (SIRIUS 8.3%)、stent edge を含めても
6.4% (SIRIUS 17.6%) なのは不思議です。何かからくりがありそうです。


話題が変わりますが、CTO の New Device の(pilot)成績は
Frontrunner で手技成功率 40%少々、Safe-Cross RF wire でも60% 少々
で、perforation の合併症もそれぞれ数%ありました。この分野はまだまだ
克服されそうになく、日本人の先生方の技術が光り輝くと思います。
○○先生が Chairman をされていた session にも参加しましたが、
先生が提示された(確か3症例目の?)「CTO の側枝に wiring し、そこ
に Rota をかけ、その先の本幹を狙う」には感動しました。あの会場にいる
誰にもまねできないと思います。同じ日本人医師である事を誇りに思い、
たくさん力をいただきました。ありがとうございました。

************************************

○○です。

○○先生、お手間をおかけいたしまして申し訳有りません。
私に逆に振られるとは思っていませんでした...。

DESもcrushもY-stentも万能ではないので、「大きな側枝」とか「小さな側枝」とか
をどのように区別するかが今後大切になって来るように思えます。
今回のTCTでも、側枝にちょっと穴開けるだけでいいのでは?と個人的に思うCXの枝
に対してもcrushをするのを見て、costに見合わないPCIだと感じました。

もし、側枝の再狭窄で、slitが入っているだけ・もしくが狭窄はあるが、flowは問題
ない、症状がない症例に対してre-doをしないとしたら、最初から本幹だけをいじる
だけでいいのでは?ということを考えます。
逆にその側枝のみが99% delayで何度re-doしても再狭窄を繰り返す時に、そこだけ
にCABGをするのかどうかも考えます。

Lefevre先生がstent越しに側枝を拡張するだけで、側枝の反対側がひっぱられ
てstentが変形する写真を出されておりました。
だからこそ、IVUSで確認して高圧Kissingと言うのは正しいのかもしれませんが...そ
れが技術的に・時間的に難しいから簡単なcrushが良い?という外人の考え方も解ら
ないワケではないですが...下品な技ですよね、やはり。

DESが出ると、DCAやRotaとの組み合わせのdetaは日本から出ると信じています。
しかも、それが良いdataで有ると期待しておりますので(本当かな?)、それらと
「大きな側枝」「小さな側枝」の区別と合わせて、日本のスタンダードが決まってい
くように考えています。
「とても大きな側枝(LMT)」はDCA & DES、「普通に大きな側枝」にはY-stent&高
圧Kissing、「小さな側枝」には本幹にDESいれて小さな横穴を開けるだけという方向
になるような気がします。

「5Fr de branch」というネタを○○病院の○○先生といっしょにやっていま
す。「小さな側枝」に対しては横穴を開けるだけがよいという考えです。
ちなみに、発案者は私でなく○○君です。
べつに6Frで同じ事をやってもいいのでしょうけど、「5Fr」と入るだけでキワモノの
匂いがする所が私は気に入ってます。

個人的には「5Fr de Kiss!」を目指して、より細いwireやballoonの開発をしている
のですが、難しい問題が沢山あり辛いです。
私はdeviceのdown sizingもここ10年間の大きな進歩だと思っていますので、地味に
自分の楽しみとして、少しだけ前に進めるように頑張ってみています。

************************************

○○です。
○○先生、○○先生レスありがとうございます。また、○○先生、
それにお礼が遅れましたが、○○先生、ご声援ありがとうございます。

>bifurcation stenting に関して、自分自身は本幹死守で、本幹にresteの来にくそ
うな手技を考え(エビデンスはありませんが)
@Stent KBT を行い、側枝の状況に応じて
AProvisional T としています。
Yにした方がいいのでしょうか。

僕も基本的には当然、本幹死守です。Provisionalに何をするかですが、○○先生も
言われたように、側枝の大きさと分岐角度が大切だと思います。LMTにおけるLCx
や、大きな(3.0mmはある)D1だと、やはり側枝入口部が再狭窄しても、症状がでて
TLRが必要になる可能性があります。こうした状況では、Yにしてしっかり入口部を
coverするほうがよいでしょう。ただ、たとえば、LADが3.5mm・D1が2.5mmなどだとY
にしづらいですよね。もちろん、本幹stent+KBTで終われればベストですが、D1があ
やうくなって梗塞が心配される状況になれば、Provisional Tは十分にありうる戦略
だと思います。急性期さえ乗り切れば、仮に、あとでD1入口部だけが再狭窄して
も、まずTLRはいらないと思います。

Yのほうが再狭窄しやすいかどうか、ですが、いままでのpaperをみても、最終的な
KBTの有無、さらには加圧の程度など、はっきりしているものはありません。先生が
おっしゃるように、側枝が小さいLCx-OMでYをやる気にはなりませんが、側枝が
3.0mm以上ある状況では、高圧KBTでしっかり終えるという条件下では、Yの成績は悪
くないと思います。光藤先生が良好な成績を発表されていると思います。

>「とても大きな側枝(LMT)」はDCA & DES、「普通に大きな側枝」にはY-stent&高
圧Kissing、「小さな側枝」には本幹にDESいれて小さな横穴を開けるだけという方向
になるような気がします。

素晴らしいサマリーです。まさしく、この通りにしようかなあ、と思っています。一
言付け加えると、石灰化が高度な分岐部病変なら、Rotablator を使っておきたいで
すね。

************************************

○○です。
皆様がアカデミックな話をされている時に大変恐縮ですが
先週末、大分トリニータvs浦和レッズのJ1サッカーにいって参りました。
以前大分にいた私としては是非トリニータにJ1残留してもらいたいのですが
残念ながら完敗してしまいました。
あとは仙台、京都、神戸の各チームに期待するしかありません。
ところで○○先生!大分に来てました?
ひょっとしてかくれトリニータファン?
と、いうことで失礼いたしました。
あと、○○チャン、今日熊本に行くからね!

************************************

○○です。
○○先生、non-アカデミックでいいです。まってまーーす。
昔はこんなのが多かったように思います。
個人的には、阪神の優勝で盛り上がってます。
CCTの時、ちょうど甲子園で日本シリーズです。
何とか行きたいと思う今日このごろですが、なかなか難しそうです。
前回 優勝した時は学生でした。
次は定年後かな?

************************************

○○
テロがこわく、TCTをキャンセルした○○です。
○○先生の報告参考になりました。
crushing stent時のKBTの成功率、不成功率などの情報があったら、教えて欲しいの
ですが、先生の報告のKBTした症例としなかった症例は、ランダムなんでしょうかそ
れとも、できなかったのが、KBT(−)におおく入ってるのでしょうか?

************************************

九州在住チームを応援しています。○○です。
○○先生ご指摘の通り、大分に行っておりました。レッズファン2名を含む7名でビッグ
アイで観戦してました。勝ったら子供にユニフォームをと考えており 
ましたが、残念な結果でした。
年内にもう一度応援に行くつもりですが、「J1残留をかける試合」にならないように頑
張ってほしいです。

追伸、浦和サポーターの応援は迫力ありましたね。少人数なのに声援でも勝ってまし
た。

************************************

この度は、TRA-netに入会させていただきありがとうございま
す。国立療養所○○病院の○○と申します
。平成元年 ○○大学卒業です。当施設は、診断カテ年間約200
例、PCI約40例の病院です。自分の経験だけでは、わからない
ことが多く、このネットワークも利用して、勉強していこうと
思い入会しました。失神患者に対し、HUTを結構やっており、
それが専門で、また、後輩の指導のもとAVNRTなど簡単なアブ
レーションを始めたところです。今後とも宜しくお願い申し上
げます。

************************************

○○です。○○先生のご質問ですが、

>crushing stent時のKBTの成功率、不成功率などの情報があったら、教えて欲しい
のです

8割だったか、9割以上はうまくいく、とおっしゃっていた記憶はありますが、定かで
はありません。ただ、実際見ていると皆さん難渋されていましたね。wireをjailさせ
ませんから、ステントで角度が浅くなっていても、それなりに難航するときは難航す
るようです。Colombo先生自身も、私がmoderatorをやっていたときの症例で、
Multifunctionカテ&Whisperでようやくstrutを通していました。さらに問題は、ワ
イヤよりもバルーンの通過で、大半の症例は1.5mmの新品でstrutを開けていました。
つまり、preでバルーン1本、CrushingでDES2本、strutをあけるための1.5mm 1本は必
須と言った感じです。1.5mm の後、stentバルーンが通らなければ、さらに新品の
2.5mmが必要です。Multifunctionカテ&Whisperの症例も、1.5mm後、新品の2.5mmが
通らず、結局エースなんていうしびれるくらい古いon the wireタイプのものも開け
ていました。現在の日本の保険医療制度では、何かデバイスを査定されるのが必至の
手技と思います。

>ランダムなんでしょうかそれとも、できなかったのが、KBT(−)におおく入って
るのでしょうか?

ランダムではありません。KBT(+)とKBT(−)がどのような基準で選択されたか
は、お話になりませんでした。

************************************

○○です。

平成5年卒の若輩者ですが、メインでやらせて頂いています。
現在PCIは、250-300/年で、TRIが70%程度です。

TRA-netでは以前より勉強させて頂いていたのですが、これからもよろしくお願いい
たします。

************************************

○○です。

初歩的な事柄で恐縮ですが、悪性腫瘍の術前のPCIはどのようにされていますか?
教科書的にはPOBAで2週間、STENTで4週間はOpeを控えるとなっていますが、
先生方の施設ではどのようになさっているのかご教授ください。
極力POBAで済ませるのか、仕上がりを重視するべきなのか、場合によっては
(進行癌で時間的余裕がない場合)同時CABGを考慮するべきなのか判断に窮す 
る時があります。

************************************

○○です。

> 教科書的にはPOBAで2週間、STENTで4週間はOpeを控えるとなっていますが、
non stent strategyでoptimal resultであれば 2wks待たなくても手術してもらっ
てます。ですので待つことのリスクがあれば可能な限りnon-stent procedureを
考え戦略を立て、急性期の成功を得る可能性が低いと考えればCABGを含めた治療
戦略を考えています。

************************************

○○熊本%PCIについては比較的コンサバ。

malignancyを有する症例で可能な病変であれば、できるだけステントによるPCIで治療
しています。最低2週間のチクロピジン投与で(できれば 
その後一週間オフにして)手術の日程を組んでいます。

つまり三週間の猶予をもらえる症例はステントを用いたPCIしています。

************************************

○○です。

当院では、呼吸器外科が活発なため多くの術前症例を手がけています。しかし、POBA2
週、ステント4週の原則を遵守しています。できるだけ、POBAできれいにする。解離が
生じればあきらめてステントを入れる。その際、4週間くらいは待ってもらうのはあた
りまえです。

10年以上前です。POBAできれいに仕上がったので1週間でOPEしたところ、術中にAMIを
合併しました。今のシネの機械なら解離が見えていたのかもしれませんが、上記の経験
から原則遵守が良いと思います。循環器が許可したのにAMIになると患者側からする
と、PCIが悪かったと言うことになります。言い訳できません。

術前のPCIの目的は心筋梗塞の予防と術中の血行動態の安定にあると思います。これ
は、外科医が失敗して大出血をおこしたりしたときの保険みたいなものを外科医は期待
していると思います。したがって、早期には血行動態は良いかもしれませんが、AMIの
リスクは必ずあり、特に外科医の失敗による血行動態の悪化は危険です。循環器の立場
としては、許可するのは避けたほうが良いでしょう。悪性腫瘍に緊急は基本的にはない
と思います。

悪性腫瘍ではありませんが、胸部大動脈瘤7−8cmの術前にRCAの1枝CTOのPCIを外科
医に依頼されたことがあります。1枝CTOなら問題ないのでこのまま手術をしたらどうか
と返答しました。これは準緊急のサイズですから。しかし、強く依頼され、PCIを行い
ました。2cm長の#2のCTOでミラクルで通し、ステント1個植え込み、大変きれいに
なりました。1ヵ月後に手術ということで外科に返しましたが、患者が手術を拒否して
逃げてしまいました。その後半年、患者が突然死したことを聞きました。その際、心電
図でII,III,aVFでSTが上がっていたので、心筋梗塞による死亡ということに外科医に判
定されました。
SEKはありません。こちらから言えば、大動脈瘤の破裂により血圧が下がってステント
が詰まっただけでしょう。CTOがまた詰まっても何にもおきないはずだと言いたかった
のですが、すべて処理後の話です。

愚痴のようになってしまいましたが、うまく行けばいいのですが、うまく行かないとき
には、外科医はすぐに心臓が悪かったと言い訳を始める傾向があります。皆様の身を守
るためにも、こういう状況は、原則遵守をお勧めします。

************************************

○○です。

基本的には、○○先生もおっしゃったように、ステント4週の原則を遵守するように
しています。POBAは、あんまりやらないですね。

ウチでは、消化器外科が活発なため、大腸がん術前、といったケースの依頼がすくな
くありません。ですから、パナルジン投与による消化管出血のリスクがすこしでもあ
る場合は、ステントを使用できません。これまでも、ステント植え込み後、大下血が
あり、調べてみたら、大腸がんがみつかった、といった症例報告は、地方会レベルで
はかなりあったように記憶しています。幸い、私には経験はありませんが、術前PCI
の場合は、消化器に悪性腫瘍があることがすでに明らかなのですから、そこにパナル
ジンを使って大出血がおこれば、トラブルに発展する可能性が極めて大です。POBAで
は、そうそうきれいにならないので、DCAあるいはCBが多いです。こうした場合のDCA
は、急性期合併症を絶対回避しなくてはならないので、普段よりずっと控えめにやり
ます。%PA 50前後で御の字だと思います。

もし、多枝で複雑病変の場合、普段ならステントを複数使ったり、stagedで
Rota+stentやったりして、比較的簡単にでそうなやつでも、DCAとCBだけでは上手く
いきそうもなければ、○○先生のおっしゃった、off-pump CABGはとても手堅い選択
で、何例かバイパスをお願いしたケースがあります。消化管出血の危険性はまずあり
ませんからね。

もとの悪性腫瘍が、呼吸器か、消化器かでは、ずいぶんとstrategyが違うと思いま
す。

************************************

○○です。

悪性腫瘍術前の PCI の話題でお聞きしたいと思います。

以前いた病院にたまたま遊びに行っていたときの話ですが、
肺癌の術前検査でマスター陽性、シンチ陽性。カテをしたところLAD近位部の1枝病
変の患者でした。
ステント(S670だったと思います)の3.5mmが入り、postも充分拡張し、IVUSはみてい
ませんが、問題なく終了。
術後、バファリン81 2T 2x、パナルジン(100) 2T 2xを1か月間投与し、1か月で確
認カテまでして全く問題なし。で、抗血小板剤をoffとしてその1週間後に肺癌のオ
ペとなりました。ところが、術翌々日に胸痛を訴えてST上昇、ショックとなりました。
カテしたところLADのin-stentが 99% with delay からtotal。LADから続いて LMT,
Cx まで大きな血栓がはっきりありました。まだ distal protentionのない時代で、
IABP入れていろいろ頑張りましたが、、、亡くなってしまいました。

担癌患者であること、手術の出血やストレス侵襲後ということで、血栓傾向にあった
のだろうか、と考察していましたが、いかがでしょうか?

ちなみにその病院では SAT は 0.2%程 しか経験ありません。

みなさまのご意見をいただけたら幸いです。

************************************

○○です

術前は本当に困ることが多いですよね
見てしまったからには・・・・なんてことも多いと思います
基本的にはオペがどの程度待てるか、抗血小板薬に耐えれるか?
をまず考慮します
末梢の病変、狭窄度が75%以下で、出血のリスクが
高い場合は先にオペしてもらいます
そうでない場合で、もしPCIならステントをすれば原則4週間は守ります
オペを急ぐ場合はPOBAだけで終われるようにがんばりますが
PCIは病変しだいなので、ステントになること多いです
いずれにせよ通常の適応以上に色々と考慮して、外科医ともそく相談して
決めてます

************************************

○○です。

 非心臓手術前のステント留置については私も痛い目にあっています。7年ぐらい前
ですが早期胃ガン合併のLAD近位部の安定労作性狭心症患者に近郊の病院からPC
Iの依頼を受け、少なくともステント後一ヶ月はパナルジンを投与が必要と言うこと
を先方に了解して頂いた上でP-Sステントを留置し転院しました。しかし、ステン
ト後2週でパナルジン、アスピリンが中止され、術後18日に胃ガンの手術を受け、
術当日の夜にSATからAMIショックになり、再搬入し、再度PCIを行い血行再
建には施行しましたが、VITALが改善せず数日後に永眠されました。
 手術侵襲というのは、出血に伴い、内因性カテコラミン分泌が亢進しますし、出血
部の止血のために、内因性血小板凝集と凝固能が高度に亢進します。更に抗血小板薬
は通常術前に中止されます。つまり、この上ないSATをきたしやすい環境がまだ内
膜に張り切っていないステント部に提供されます。更に”たち”が悪いのは、SAT
を一度起こすと、今度はステント部の治療のために当然rePCIを行いますがその後に
また、抗血小板薬とヘパリンが必要となり、それが手術した創部からのoozingを助長
し、出血コントロール不能となり高率に救命できなくなります。

  ○○先生の症例は興味深いと思います。ステント後4週間では不足ということを
裏付けていると思います。J Am Coll Cardiol. 2003 Jul 16;42(2):234-40. にmayo
clinicの同様な報告が載っていますが最低6週間必要だろうと指摘しています。

 と言うわけで、トラウマもあって私は非心臓手術術前のステント治療は周術期の心
血管EVENT予防には害こそあれmeritなしと考えています。ステントを入れずに
POBAのみとの選択肢は確かにありますが、私はステントに絶対に入れないことを
前提にしたPCIに自信がないのでなるべく行っていません。
 術前PCIは最低6週は待てるかUAP等のIHD治療を優先すべき症例に限って行ってい
ます。安定した症例ではevidence通りβブロッカーがよいと思っています。

************************************

○○です。

悪性腫瘍の術前のPCIですが当院では
2週間抗血小板剤を内服後中止し、3−7日間手術直前までヘパリンの持続点滴、もし
くは
ヘパリン皮下注をおこなっています。APTTを対照の1.5倍にコントロールするよ
うにして
手術室でプロタミンでヘパリンを中和します。術後止血確認した後に抗血小板剤の内
服を再開しています。
それで7−8年術後SATは生じていません。

************************************

○○です。

忘れていましたが、出血が持続しているような消化管の悪性腫瘍には
この方法は使えないですね。

************************************

○○です。

話のレベルが低くて申し訳ないのですが、私の戦略も少々。

先日MK症例で2枝病変の84歳の男性患者がみえました。
RCAは梗塞領域で、しかもCTO。CX#11も90%でしたが、幸いLADに有意
狭窄はありませんでした。
外科の主治医が同級生のため、術後はこちらで全面バックアップのつもりでそのまま
OPEをして、うまくいきました。

また、どうしてもクリティカルな場合は、Barathで何とか頑張るという手を使いま
す。エビデンスは無いですが、POBAより少しはいいのではという「希望」のためで
す。

やはりステントは1ヶ月以上待ちたいですね。

************************************

○○です。

こういうどうしてもstentしたくない時がDCAの出番じゃないですか。そー思いま
せん?だれかDCA後2週間以内にopeして詰まったなんて人はいますか?

************************************

○○です。

> こういうどうしてもstentしたくない時がDCAの出番じゃないですか。そー思いま
> せん?だれかDCA後2週間以内にopeして詰まったなんて人はいますか?

近位部病変はいいのですが、DCAしにくい病変はどうしますか?
DCA至適?病変には そりゃDCAがいいと思います。

このコメントはつっこみではありませんので。
お手柔らかに > ○○先生

************************************

○○です.先日以下のような症例を経験しました.

症例:56歳,男性
既往歴:糖尿病,肝硬変,肝細胞癌(リザーバー留置術後)
主訴:出血性ショックによる気分不良,倦怠感
現病歴:上記疾患にて通院加療中,熱発を認め精査目的で入院.検査の結果,動注用
のリザーバー周囲に膿瘍の形成と同部位および血液培養にてMRSA検出.外科的にリザー
バー
抜去と膿瘍周囲のdebridementを行った.その数日後突然創部(大腿動脈分岐直前,リ
ザーバーカテ抜去部位)から大出血を生じ出血性ショックとなった.用手圧迫を含めた
処置に
て何とか止血し得たが,エコーでは同部位に径5-6cmの拍動性の仮性動脈瘤を認めた.

破裂の可能性が高く何らかの緊急処置が必要と考えられた.MRSAによる創部感染のた
め血管周囲は癒着含めいわゆる“ぐちゃぐちゃの状態”であったということ,および
MRSAによる菌血症状態である,糖尿病のコントロールは不良である,,がありました.
このような悪条件の症例に対してどのような治療が考えられますでしょうか?ご意見
をお聞かせください.

************************************

○○です。

> 悪性腫瘍の術前のPCIですが当院では2週間抗血小板剤を内服後中止し、3−7日
間手術直前までヘパリンの持続点滴、もしくはヘパリン皮下注をおこなっています。
APTTを対照の1.5倍にコントロールするようにして手術室でプロタミンでヘパリ
ンを中和します。術後止血確認した後に抗血小板剤の内服を再開しています。それで
7−8年術後SATは生じていません。

 確かにいろんな工夫でSATは相当減らせるのだと思います。ただ、悪性腫瘍術前の
狭心症患者を”原則βブロッカー”で治療することにして、私も7年ですが外科や麻
酔科が血圧や出血に慎重に対応している要素もあるかと思いますが、周術期のAMIを
発症した症例は数こそ数えてませんが経験ありません。
 強調したいのはもしSATが起れば大変ということです。非心臓手術前のステント治
療の最初の報告では(J Am Coll Cardiol. 2000 ;35:1288-94)、平均ステント留置2
周間後の手術で、術後EVENT(ほとんどがSAT)率32%、内死亡は6割以上と悲惨な成
績で、mayoのデータこそ、event率4%とかなり改善してますが内死亡は75%と報
告してます。つまり、ひとたびEVENTが起これば術後SATは高率に死亡に直結なわけで
す。少なくとも1月以上期間をおけば大半は大丈夫なのでしょうが、特に悪性腫瘍の
患者を1月以上待たせるのは気が引けますし、ごく数%のSATでもそれが即死亡では決
して数%は低くないと思うわけです。というわけで、当院ではなるべく術後十分回復
してからPCIをしています。
 勿論、全例保存的に見てはいませんが、悲惨な術後SATの結末を体験した私には未
だに金属アレルギーを脱却できず、安定した狭心症患者であればやっぱりこっちの方
がいいと思っているわけです。    

> こういうどうしてもstentしたくない時がDCAの出番じゃないですか。そー思いま
せん?だれかDCA後2週間以内にopeして詰まったなんて人はいますか?


 DCA aloneは確かにできるのならステントを避けれるかなりいい選択だと思いま
す。ただ、DCAを積極的に行っているつもりの当院で20%程度です。あの土金ちゃん
や朝倉先生のとこでも確か全症例の30%以下と言っていたと思います。そうなると、
現実的にはDCAで治療できるケースは多くないでしょう!

************************************

○○

当院も、待てるのは、待つけど、ガンであれば、根治性がなければ、そのような症例
は、術後も内服だけで、みます。
術前に虚血が著明にでるような、症例なんかは、やはり大きな血管であれば、ivus
guided stentingで、小さな血管であれば、rota POBAでいきます。

カッティングや、rota POBAは、慢性期は、POBAとあまりかわりませんが、急性期
は、心血管イベントがあきらかにすくないことが証明されてます。ですから、解離を
おこさずに、拡大するには、ロタもしくはカッティングがこのようなときには、いい
と思います。

ですから、このようなときこそ、ロタではないでしょうか? 

************************************ 

>  DCA aloneは確かにできるのならステントを避けれるかなりいい選択だと思いま
> す。ただ、DCAを積極的に行っているつもりの当院で20%程度です。あの土金ちゃん
> や朝倉先生のとこでも確か全症例の30%以下と言っていたと思います。そうなると、
> 現実的にはDCAで治療できるケースは多くないでしょう!

これは他の症例ではステントを使えるから、ですよね。
現実には最もcriticalな病変のみ、つまりは近位部のみとなるとDCA/CBAでかな
り治療可能と考えます。当然待てる病変は全部術後、ですよ。だからこそかなり
限定した状況にできるし、ステントでの1ヶ月は(最終的にはacceptせざるを得
ませんが)やはり嫌ですので本当に可能な限りDCA/CBAを考えるべきと思います。
当然IVUSも見て、そうすればどの程度の結果になるかもかなり予想つくし。

************************************

○○です。

私の経験ではありませんが、
DCA1−2週でオペしてSAT?を起こした症例の話を聞いたことあります。
DCA後は、異物は入っていませんが、内皮はまったくありませんし、
血小板機能も亢進している事が予測されますので、
2週間以内は早すぎるかもしれませんね。

Rotaについては、解離を減らすという意味では意義があると思いますが、
ガチガチの石灰化病変に対して手術前に行う場合は、
その適応を考える必要があると思います。
つまり、石灰化病変は、ブヨブヨの不安定プラークではありませんので、
オペ中にある程度の虚血がおきることはあっても、
AMIは起こしにくいと思います。
虚血によって心機能が低下するようなことがないのであれば、
石灰化病変は手術後に回してよいと思います。

極論ですが、同じような理由から、
ACSなら術前PCIは絶対適応ですが、
安定労作性狭心症なら、心機能に問題ない場合、
PCIを術前に行う必要はないのではと最近考えております。

************************************

○○です。

瘤切とパッチ閉鎖だけですと、MRSAのコントロールが不十分な場合、
再破裂を起こす可能性がかなりあります。
状況が許せば、
最初から非感染部の血管を含めた広範な切除と再建術(バイパス)を行うのも一手で
しょう。
もちろん、術後は開放創として生食で洗浄を繰り返します。
余り役に立たないコメントで申し訳ありません。

************************************

○○
○○先生に追加させてくださいね。

ロタは、石化化でないところにも、使うことによって、低圧1気圧バルーンで、虚血
を解除できるし、急性冠閉塞もないので、一つの方法として、やってます。

************************************

はじめまして。
北海道の○○病院の○○と申します。
この度は入会を認めていただきありがとうございました。

簡単に自己紹介をします。
○○医大平成5年卒業の35才でこの道に入って9年目、
TransRadial歴はかれこれ7年になります。
まだまた修業中の身ですがよろしくお願いします。

************************************




第84集


************************************

○○です。

本日(もう、昨日ですね。)のことです。
RCA#1の屈曲した肩へPenta4.0×18mmを入れようとしていました。
(ほかに2箇所やったあとだったので)手元にあった3.0mmのballoonでpreかけて
Pentaを入れました。
というか・・・入れたつもりになっていました。
indentationが残ったので手元にあったPowerSail4.0×8mmでpost 20atmでおわりっ!
と思っていたところ、
後ろで後輩のDr.が”これなんですかねぇ?”という手元を見たところ、
ステントの上にいつも被さっているキャップ&芯ありますよね。
(うちではballoon re-lapマシーンとよんでいますが)
何とあの芯にステントが残っているではありませんか。
最近はステントが脱落するなんて思いもしていませんでしたし、キャップを取るとき
に抜けるなんて尚更です。
ん〜、こんなこともあるのかぁ、とびっくりしました。
wireをSDSへ通すときに普通気付くだろう!とお思いかと思いますが、
何分にも若い先生がoperatorだったものですから・・・(なんて、一応護身)

もしかしたら、当然気を付けるべきことなのかもしれませんが、
自分の中ではシュミレーションできていなかったeventでしたので、とってもびっく
りしました。
思わず御報告してしまいました。

************************************

○○です
 
○○先生、ほんまにびっくり!ですね
ペンタって落ちやすいんでしょうか?
P-Sの載せ替え以来 落ちやすいのはOld M-Lだったと
思うのですが やはり伝統は受け継がれているんかな
それにしても、最近のステントでは考えられないですよね

************************************

○○です。

何例かありますよ。うちでもあったし、この間も誰だったっけ、その話をしてま
した。

お気をつけて。

************************************

○○です

○○先生
抜けたステントはその後どうしました?
Balloon re-lapマシーンで再マウントしてdelivery challengeしたのでしょうか?
それとも新品出しました?

それから先生がTRA-netにupしていたsilent LMTの症例
当院でCABG行い昨日確認カテしました
LITA→seg8、RITA→seg12の2本バイパスで良好な仕上がりでした
患者さんも喜ばれておりました
LMTはバイパスがつながった影響もあって?
かなりprogressionしてるように見えました

************************************

○○です。
大変でしたね。
でも、ステントがささくれ立ってないかだとかを含めて、事前に最低限チェックしなき
ゃいけな項目がありますよね。
体の中に入れるんだから。
若い人のセイじゃなくて、それを指導しない自分のセイだよ。
ほんとコロナリーの中ではずれなくて良かったね。

ちょっと過激かな。
気を悪くしないでね。
ほんと気をつけないととんでもない事になるよ。

最近落ち込みの○○でした。

************************************

○○です。

こんなん当然不良品ですよね。再マウントしてトラブルになることを考えれば無
料で新品、当然ですよね。

************************************

○○です。

> でも、ステントがささくれ立ってないかだとかを含めて、事前に最低限チェックし
なきゃ
> いけな項目がありますよね。
> 体の中に入れるんだから。
> 若い人のセイじゃなくて、それを指導しない自分のセイだよ。
もぅ、仰るとおりです。深く反省しております。すみません・・・
自分は個人的になんとなく気になるので入れる前には目で見てる様な気がしますが、
ステントを入念に手で触って意識的にはチェックはしていませんでした。
今後は気を付けます。

> ほんとコロナリーの中ではずれなくて良かったね。
Pentaはmigrationする可能性があるってことですよね。
キャップ取っただけで外れるくらいですから・・・

> こんなん当然不良品ですよね。再マウントしてトラブルになることを考えれば無
> 料で新品、当然ですよね。
はい、もちろんです。
ただ、Pentaは1setしか置いてませんのでS670を入れましたけど。

翌日聞いたら県内でも既に2例あったそうです。
Guidantの方はステントの圧着の問題ではなくキャップがきついからいっしょに外れ
た、と説明されてましたが、そんなにキャップを抜くときに苦労しないような気がする
のでやっぱり圧着が弱いんじゃないかという気がします。

石灰化+屈曲などの厳しい病変にはやめておいたほうがいいのかな?と思ったりして
ます。
○○先生はほとんどがPentaを使われてると伺ってますが、どのようにお考えでしょ
うか?

************************************

○○です。

僕の理解では圧着が弱いのでなく製品の製造過程の問題と思っています。抜けた
もの以外は全く問題なくかなりタイトな部位にもdirect stentできているからで
す。

> Guidantの方はステントの圧着の問題ではなくキャップがきついからいっしょに外れ
> た、と説明されてましたが
こんな説明は納得できないですね、キャップがきついなんて話にならないんじゃ
ないですか?僕もGuidantに聞きますが○○先生ももう一度担当者に聞いてみて
ください。

************************************

○○です

うちではpentaがたぶん抜けた事はない(入れる前に
確認していませんから、自信がありません・・・、IVUSで
ちゃんと入っているのは確認していますからきっと入って
いるのでしょう)ので、分かりませんが 何故抜けるんでしょう?
それに○○先生と同じく末梢に入れても、タイトな石灰化
病変に入れても落ちませんでした。 そもそも最近の
ステントでは落とした記憶がありません
私の記憶の最後はOld MLだけでした

でも、じゃあ何で抜けるんでしょう?
キャップだけでは納得できませんし、是非とも
追求したいです もし、何らかのロットの問題があって
たまたま抜けなかったけど、バルーンとの圧着がゆるくなってる
可能性だって有るわけですよね・・・
怖いです・・・・

************************************

○○です。ご無沙汰しております。○○先生、大変勉強になるレポートを
提示していただき、毎回のことながら大変感謝しております。

> 自分は個人的になんとなく気になるので入れる前には目で見てる様な気がしますが、
> ステントを入念に手で触って意識的にはチェックはしていませんでした。
> 今後は気を付けます。

教えていただきたいのですが、うちのボスはステントを手袋をはめた手で触ると手袋
についている成分(中身はすみません、忘れました)がついてアレルギーからステン
ト再狭窄になる可能性があるからステントそのものには触るなとよく注意されるので
すが、いかがなもんなのでしょうか。ささくれた感じとかはやはりさわってたしかめ
るべきなのでしょうか。初歩的な質問ですみませんが皆様宜しくご教授お願い申し上
げます。

************************************

はじめまして ○○です。
ステント脱落は初めて聞きました。○○先生貴重な報告ありがとうございます。
当院では逆にペンタ留置後バルーンが抜けなくなったケースがありました。
LAD#6〜7のAMI症例で3mmバルーンで前拡張後ペンタ3.0x28を留置しました。
前拡張もステントデリバリーもまったく問題ありませんでした。
ところが14気圧かけてもバルーン中央部が明らかに拡がりません(写真)。
一旦deflate後バルーン抜こうにもまったく抜けなくなりました。
造影確認後18気圧までそろそろと十分再拡張して、やっと抜けました(自然アンカー
状態でカテdeep sheatしてます)。透視でもあきらかにステント中央部が巾着状態と
なってます(写真)。
3mmの別のバルーンで後拡張(すんなり拡がりました)して何とか無事終了しまし
た。
抜いたデリバリーバルーンは中央部で完全にねじれた状態でした。
G社によるとステントをマウントする工程でバルーンに少しねじれが加わったのでは
ないか(用手作業時)ということでした。ステントマウント状態でねじれのあるバ
ルーンを拡張すると、更にバルーンのねじれが増強するそうです。テトラの時に何例
かあったとのことです。

ところで
>>翌日聞いたら県内でも既に2例あったそうです。
とのことですが、分かってるならメーカーは前もってそういう情報を教えてくれよっ
て思いません?
この御時世、商品の売り込みばかりではなく、トラブルケースがあったなら、きちん
とその情報を把握して事例を全国のユーザーに知らせるべきだと思うのですが。
幸いTRA-netのおかげで色々と知ることができますが、、。



************************************

○○です。

この症例は明らかに拡張してませんよね、このステントが不良とはいえないと思
います。ねじれの件は知りませんしどれほど本当か少し疑わしいと思います。
この症例でのねじれは抜こうとしていろんなことをしていたらその途中でできた
ことも否定できないですよね。

少し話は違いますが、特にPentaは最終の出来上がりを予測してサイズ決定をす
ることが非常に重要です。実際は小さめのサイズを選んで高圧をかける、それが
きれいに、かつ追加拡張バルーンを使用せず拡張する方法だと思います。

************************************

○○
早々のお返事ありがとうございます。
> この症例でのねじれは抜こうとしていろんなことをしていたらその途中でできた
> ことも否定できないですよね。
確かにこれは否定できません。
ただこの拡張不全は病変によるものでしょうか?
実際に3mmバルーンで前拡張十分(低圧でもindentationなく、14気圧40秒までかけま
した)やって、
ステントは14気圧x40秒、最終的には18気圧1分いったのですが、まったく
indentation取れませんでした。その後プレで使った3mmバルーンで後拡張すると4気
圧ぐらいかけたところで、すぐ拡がったんです。この18気圧後のステントをみると異
様なくびれに見えるのですが、いかがでしょうか?

************************************

○○です。

とても貴重な症例報告ありがとうございます。前拡張で完全に広がったわけですか
ら、ねじれ説が正しいように思います。自分は、このステントは、多分にtrickyなの
で(○○先生が言われるように、いままでのステントと違った植え込み戦略が必
要)、あまり使いませんが、Rotaをしてもひっかかるような、高度石灰化病変などで
の通過性は、一番よいように思います。何といっても、ひっかかったとき、脱落せず
グイっと押せることろだと思います。flareも生じませんし。むしろ、圧着が強いが
ために、こうしたネジレ現象が生ずるのかもしれません。

しかしながら、こうした現象故に深刻な合併症が続いて、会社側からしっかりした情
報伝達がないとしたら、それは大変由々しき問題と考えます。県内では先生のところ
が3例目ということになるのだと思いますが、たとえば、私のところには何の情報も
来ておりません。

ちなみに、同じ会社が、USで、大動脈グラフトですごいことになっているのをご存知
でしょうか? Cathet Cardiovasc Intervent 2003年9月号の目次の前項に、本件に
ついてのある法律事務所の広告が掲載されています。訴訟大国、アメリカならではの
ものでしょうが。ご興味があるかたのために、一部転記します。

Attention!

Guidant Corporation has recently pulled the Ancure Endograft System off the
market due to thousands of incidents where the device malfunctioned. As you
may know, this device is an endovascular prosthetic graft device used to
treat Abdominal Aortic Aneurysm. Guidant recently pled guilty to ten federal
felony counts and agreed to pay a $92.4 million fine.

Our firm is interested in working with Cardiologists, Cardiothoracic and
Vascular Surgeons, and other Medical Specialists to assist your patients
with potential claims against the manufacturer of this device. You may have
had patients that experienced serious events or died after inserting this
device.

All information will be kept in the strictest of confidence.

Garrison Scott Gamble & Rothenthal, P.C.
(以下、この法律事務所の電話番号などが続きます)

************************************

○○です。
皆様、resありがとうございます。

Pentaの件に関しましてはもう少しmakerの方にも調査していただき詳細を御報告致し
ます。

> 教えていただきたいのですが、うちのボスはステントを手袋をはめた手で触ると手

> についている成分(中身はすみません、忘れました)がついてアレルギーからステ

> ト再狭窄になる可能性があるからステントそのものには触るなとよく注意されるの

> すが、いかがなもんなのでしょうか。ささくれた感じとかはやはりさわってたしか

> るべきなのでしょうか。初歩的な質問ですみませんが皆様宜しくご教授お願い申し

> げます。
そうかもしれません。私は何も考えずに触ってました。
もちろん必要以上には触りませんが・・・


大変な症例、おつかれさまでした。
予想もしない出来事ですね。
もし、もともとねじれてるとしたら、かなりねじれているか、途中でballoonの
lapingが逆向きになっているとか、かなりひどい状況でなければ起きないのではない
でしょうか?

> >>翌日聞いたら県内でも既に2例あったそうです。
> とのことですが、分かってるならメーカーは前もってそういう情報を教えてくれ
よっ
> て思いません?
> この御時世、商品の売り込みばかりではなく、トラブルケースがあったなら、きち

> とその情報を把握して事例を全国のユーザーに知らせるべきだと思うのですが。
> 幸いTRA-netのおかげで色々と知ることができますが、、。
仰るとおりだと思います。
事実関係が明らかでない情報を流すと混乱する可能性がありますが、
事実関係の明らかなトラブルに関しては教えてもらいたいものです。

************************************

○○です。

>事実関係が明らかでない情報を流すと混乱する可能性がありますが、
事実関係の明らかなトラブルに関しては教えてもらいたいものです。

○○先生や、○○先生が報告されたような、深刻な事例ですが、関係各企業さんとし
ては

1例だけのときは、何ともいえないけれど、
2例目の報告があったら、全国(あるいは、その支店内の)営業スタッフに、同様の
事例がないか聞き取り調査を行い、
3例目が起こっていたら、偶然に起きていることではないわけですから、原因につい
てはすぐにはわからない部分が残るのは仕方がないにしても、少なくとも事例の存在
については、全国のドクターに情報を流してほしいと思います。

それに、どう対応されるかは、もちろん個々の先生方、施設の判断になるわけです
が、ただ、このご時世、正確な情報は絶対に早く必要ですね。

************************************

○○です。
ペンタですが前の職場で○○先生のような症例ありました。
こちらは14でindentationがとれず、抜けなくなって手前で16かけてやっと回収
できたのはよかったんですけど、案の定Dissectionができてしまった症例でし
た。
同じ感じでしょうか?

Pre
PENTAのセンターが拡がらない
抜けないPENTA
手前で16atm
Dissection
しょうがないのでNir



************************************

○○です。

状況が良く分かりませんが、これdirect stentですか?前拡張を行っていたのなら
indentationは取れていたのですか?
> こちらは14でindentationがとれず、抜けなくなって手前で16かけてやっと回収
> できたのはよかったんですけど、案の定Dissectionができてしまった症例でし
 た。
14気圧で拡張後にバルーンは手前に動かせたけど抜けなかったという事なのでしょう
か?
治療状況を教えていただければ幸いです。

************************************

○○です。
ACSだったのですが、PreIVUS(画像がまだ届いてなくてすいません)でそれ程固
そうに見えなかったので4mm のDirectSTENTしました。8〜10,12,14とかけていっ
てもindentationがとれず、ちょうど広がりすぎるとの報告が出回っていた時期
だったので一度SDSを戻そうとしたら引っかかってしまいました。抜けるところ
まで引いてきて16かけたらバルーン末梢のくびれがとれて、回収できました。造
影したらDissectionができていました。

説明不足ですいませんでした。

************************************

○○です。 

 当院でも一例同様のケースを経験しています。LAD prokiximal のAMIケースで、
IVUSをステント留置前に観察していますが、硬そうなところは無く、direct
stentingをしたところ、バルーンの後半1/3のところだったでしょうか、indatation
がとれず、一時抜去困難となりましたが、何とかバルーンを引き抜くことができ、別
のバルーンであと拡張行ったところ、低圧で容易に拡張しました(○○先生のケース
と似ていますね)。対外で、ペンタステントバルーンを拡張してみると、拡張の悪かっ
たところに一致して、やはりくびれがあり、高圧にしてやっとくびれが分かりにくく
なるものの、圧を減じていくと、明らかに同じ部からくびれていきました。
 当院で経験した例から考えると、今回報告された○○先生のケースや○○先生のケー
スも、病変の性状の問題ではなく、製品の問題の可能性が高いと思います。当院のス
テントバルーンは、メーカに引き取らせ、原因の報告を待っています。
 当院ではこの一例ですが、全国で、どうやら、同じようなことがもう少し起こって
いる可能性があるのではないでしょうか。

************************************

○○です。

今回の症例のうち、○○先生と○○先生のcaseでは前拡張後だったり、postでの
拡張が低圧で可能であったため明らかにおかしいと思います。

○○先生の症例はdirectで拡がりにくい部分があった、IVUSで観察後であっても
今回のうちのIVUSライブの症例でもあったように通常のhigh echo部ではない部
分で非常に拡張抵抗性の高いプラークがあることがあります。ですのでこの症例
はPentaの問題かどうかは分からないですね。

話は少しそれますがこの症例のIVUSってどんなんでした、○○先生?特に広がら
なかった部分。

************************************

○○です。

Pentaを使い始めたころ、高圧をかけると広がりすぎるので8〜10気圧で遠慮しな
がら広げているとindentationがとれずballoon catheterの回収時に引っ掛かりを感
じ、ガイドカテーテルが引き込まれることが何度かあったので、最近は少し小さめの
ステントを選んで高圧をかけるようにしています。それでも時々balloon catheterの
回収時に引っ掛かりを感じることがあるのは製品によってステントのマウントに問題
があるのでしょうか?

************************************

○○です。

> Pentaを使い始めたころ、高圧をかけると広がりすぎるので8〜10気圧で遠慮し

> がら広げているとindentationがとれずballoon catheterの回収時に引っ掛かりを


当院の検討では、PentaはBXに比べればよく広がりますが、(あたりまえか!)

さほど世間で言うほどは広がっていません。QCAですと、平均最終拡張圧14気圧以上、
Stent/Referenceで1.26でもpre-Refに対して%DSは数%残ります。 一方PLUSでは同じ
設定では−2%以上広がります。

ですから、初回拡張はノミナルで行い、少量の造影でトラブルがない事を確認後、14
気圧程度までは拡張してからバルーンを抜去します。これでも4mmのバルーンは抜けに
くいです。抜けないときはもう一度低圧で拡張してから抜いてみます。

今のところF/U CAGがあまり進んでいないのですが、event-driven CAGばかりで悪い
症例が続いています。(汗)

************************************

○○です。

<話は少しそれますがこの症例のIVUSってどんなんでした、○○先生?特に広が

<なかった部分。
近日中にIVUS画像UPします。記憶の範囲内では全周性のmixed plaqueだったと思
います。

************************************

○○です。

先程、うちの○○ちゃんが、AMI (Seg7 99%)に緊急PCIしているときの出来事です。
ProvisionでPenta 2.5/13を置いてこようと、ワイヤーにPentaをすべらせたとき“変
な手応え”があったそうです。おっととっとっと、とPENTAを抜いてくると、プチン
といった感触とともにステントバルーンの先端チップが、ワイヤーの上にちぎれて
残っているではないですか。シースにいれる前に気づいた出来事なので大事にはいた
らず終わったのですが、最近ペンタネタで盛り上がっていることもあり、メールして
みました。もちろんGUIDANTに調査させ、結果は後日このMLで報告します。
ちぎれたチップの切れ端画像を添付します。



************************************

○○です。

当方でも他社のバルーンで同様にガイドワイヤー上でチップがちぎれた経験があり、
Penta特有の現象ではないと思います。
調べてもらいましたが原因不明のまれなトラブルとのことでした。
ワイヤーに造影剤が付着してそれが引っかかる原因となったのかなと思い、個人的に
はワイヤーを十分に拭いていなかったと考え反省しておりました。
ガイディングの外でこの現象が発生しているのであれば同様の原因である可能性が考
えられると思うのですがいかがでしょうか。

Pentaとは無関係なのですが、ガイダントつながりで.....
先日当院でBMW(hydro coat)が途中で離断するという現象が発生しました。無理な操
作等は一切しておらず、何の抵抗もないところで抜いてきたら先が残ってしまったと
いう現象で、先端リボンよりもはるかに手前の部分(コアの構造が変化しているとこ
ろ)で切れました。幸い容易に離断部分の回収はできたのですが、coronaryに残って
しまったらと考えるとちょっと......
ガイダントによると2例目の報告だそうで、本社サイドで原因究明中だそうです。

************************************

○○です。
ガイダントの逆風の今日この頃ですが、みなさまいかがお過ごしでしょうか。
わたしは、Penta、BMW派ですが、今後どうすべきか悩んでいます。

特にPentaですが、色々な事が起こっていると言う事を解って使って同様の事が発生
し、患者様に不利益がおきてしまい、訴訟になったりしたときに私たちの責任はどう
なるのでしょうか?ガイダントから正式のコメントが出てないので、知らんぷりして
使っても、問題ないのでしょうか(道義上は別にして)。

************************************

○○です。

貴重なご報告ありがとうございます。ひとつ教えたいただきたいのですが、離断した
BMWは、昔からのものなのでしょうか? それとも、スリーブをつけた新作の、BMW
universalなのでしょうか? よろしくお願いいたします。

************************************

○○です。

トラブルを発生したBMWはuniversalではなく、以前からあるタイプです。

************************************

○○です
遅ればせながら、IVUS添付致します。Pre病変部、ProxのDissection、Post病変
部です。



************************************

○○です

IVUSアップありがとうございます
ところでPreとPostは同じ場所でしょうか?
Postでは石灰化が2時から9時に認められるのですが・・
石化化の反体側は結構いぱいに広がってて
いわゆるHigh Risk 症例に見えるのですが

************************************

○○です
一応PreのDiagonalを指標として、Postも秒計測もしたつもりだったのですが...
ズレがありますでしょうか?ゴメンナサイ...
あとPentaは4.0と思い込んでましたが3.5mmでした。

************************************

○○です

すみません
Preではさほど強い石灰化は分からなかったんで
違う場所かなと思ったんですけど・・
PreのIVUSで他の部位には何もなかったですか
特にproximalの石灰化とか?

************************************

○○です
いまIVUSを見直してみたのですが、近位部にもはっきりしたCalcは確認できませ
んでした。病変遠位部にも認められず、病変部のplaqueのなかにちょこっとある
程度以外に高輝度のところはあまりないようでした。

************************************

○○です

○○先生 ありがとうございます
圧縮されたらあれくらいハードに見えるのなら
堅い病変だったんでしょうか?
ところでステントがくびれた後は、他のバルーンで
ポストされてますよね?
簡単に拡張できました?

************************************

○○です。
いえ、違うんです...
最初14かけてくびれがとれず、もう一回14かけたんですがダメでした。Balloon
を抜こうと思ってもひっかっかって抜けず、これ以上ひっぱたらちぎれると思
い、抜けなくなったところで(ひっかかったところで)18かけたら、くびれのと
ころも拡がってくれたんです。そっちはそのまんまで、Proxに解離ができたんで
そこだけNIRをいれました。つまりSTENT mounted balloonで拡げたんです。
IVUS上は半面がいっぱいいっぱいだったので、これ以上は深追いしませんでし
た。

ほんとに説明不足でスイマセン...

************************************

○○です

○○先生おそくにありがとうございました
高圧拡張が必要で、あのPostのIVUSから考えると
やはりどう考えてもすごく短くて硬い偏心性のプラークがあると
思いました
しつこくてすみません

************************************

○○です。

これは非常に興味深いIVUSイメージです。ちょっと絵が汚くて(もっと綺麗な絵
で出して。。。)プラークがどんなものか分かりづらいですが、今年のIVUSライ
ブで痛い目にあったhomogenous iso echoic plaqueの類ではないか、と思います。
pre postで方向は一緒ですか?一緒だとして、18atmでパチッとindentationがと
れたという点からどこか一箇所が裂けた可能性を感じます。それがpre IVUSの6
時かな?と思います。で最も興味深いのは12時方向のプラークの厚みです。これ
がpre postでほとんど変化してないじゃないですか。通常プラークの厚みはある
程度の圧がかかれば減ります。それが全く減らない、これはこのプラークが相当
固いことを意味していると思います。
是非動画を見せてください。

ps. ○○先生、これはcalcではないと思いますよ。後もある程度見えてますし。
Reverberationとしては角度が少しおかしい感じします。

************************************

○○です

preのIVUSは最初 全周性のプラークかと思っていました
ひょっとしてプラークは11時から6時の偏心性プラーク?
それなら理解できました すみません・・

○○先生 それにしてもpreとpostでこれほど輝度て変わる
ものでしょうか?
圧縮もさほどされていないし、Stentの影響?

私も是非 動画を見てみたいです

************************************

○○です。

画像は思いのでCDかなんかで焼いてお贈りしたほうがよろしいでしょうか?
あと、どうしても病変に目がいってしまいがちですが、ステントシステムの問題
は考え難いでしょうか?

************************************

○○です。

IVUSの造詣はもちろんたいしたことありませんが、普通にCAGをみると、透析歴と
か、何か特別なバックグラウンドをもたない53歳・女性のこうした病変が、14気圧で
開かない、というのは俄かには信じられません。僕は、病変に特別な性格をもとめる
より、素直に(Tra-netがらみだけで、ほかに2例は生じているのですから)ステント
システムの問題と考えたいと思います。homogenous iso echoic plaque説がただしい
のであれば、そうした病変の頻度・ステント拡張圧などについて、何かのデータがほ
しい気もします。これの組み合わせも考えられますね。homogenous iso echoic
plaqueのため、他が広がる低圧ではとても広がらない、という現象がまずおこり、こ
のため、ステントのマウントのねじれが増強してしまい、さらにそこだけ広がらなく
なった、といった感じですね。

全国の、Tra-net非加盟施設までサーベイすれば、(SARSではありませんが)可能性
例・疑い例まで入れるとそれなりの数になると解釈するのが自然です。あとは、製造
会社がどれだけ積極的に情報を求め、それをどれだけ早期にdisclosureするか、企
業、それも患者さんの命に直結したmedical device製造企業としての理念と責務が問
われているのだと思います。

************************************

○○です。

Pentaの問題も完全には否定できないです。が、他の状況と違って病変の問題で
あることも否定できず、このIVUSは病変自体の問題である可能性がかなり考えら
れる、と思います。←僕の個人的意見です。

************************************

○○です。

  終わりかけた話題ですが、先週当院でもPentaが脱落しました。
AMI症例で当院の若手がoperatorでしたが、拡張不良に疑問を持ちながらもまさかス
テントがないとは考えられず、手技を終了したところで、私がカテ室に行ったとこ
ろ、造影を見てその事実に気づきました。tranet情報が大いに役立ちました。
 それから、失踪Pentaの大捜査線が引かれ、ゴミ箱あさりが始まりました。その
後、床に踏みつぶされた無惨な姿Pentaが発見されました。やはり、保護カバーを抜
いた時に脱落したようです。
 こういう事例はまだあるのでしょうか・・・?

 それでも、再狭窄予防にはmultilink を超えるステントは未だにないと評価してい
る私は(Multilink plusは今もカテ室に置いていますし)その流れを汲むflexible
tubeのPentaは今も第一選択です。それにしても、SDSは早く何とかしないとせっかく
の評価も下がる一方だと思われます。

************************************




第85集


************************************

○○です

先日、甲子園球場近くのカテラボでミニライブを行いました
なんと、参加全員が5F de Percuを絶賛している時に
ついにpentaが抜けました
といっても最終IVUSでステンとがないことに気づき
探してカテ台の上から発見されました

そのときの写真を貼付しておきます



************************************

○○です。

○○先生、ライブご成功おめでとうございます。添付写真からも、○○先生のお人柄
でしょうか、ミニライブ独特のほのぼの感が伝わってきます。削った、破った-CCT-
の直後だっただけに、参加者みんなリラックスしているようです。行けなかったのが
実に残念です。

さてペンタですが、凄いことになってきましたね。通過性に優れ、再狭窄率もそこそ
このステントで、ちょくちょくつかっていたのですが残念です。それにしても、動か
ざること山の如し、ガイダント、大丈夫か。

************************************

Pentaを抜いた○○です。

一連のPenta脱落事件を他人事のように読ませていただいておりました。
まさか、我が身に降り掛かるとは...

詳細は私のHome Pageに近日画像入りで掲載いたしますが、...5Fr de Percuの後に、
IVUSを見たところ...「ステントがない?!」
大慌て!
手袋をはめて手伝ってくれていた○○先生が、「カバーはどこだ?...
あった!balloonカバーの中にステントが残っていた!」
○○先生の写真のごとく、3.5x28mmのstentが綺麗に残っていました。
もう、さっきまで絶賛された5Fr de Percuの話題はなくなり、落ちたペンタの話ばか
り。
せっかく綺麗にpreで拡張したことになったので、RADIUSを入れました。
その後は脱落Pentaの写真撮影会で盛り上がりました。

Pentaをカバーからはずしたときは、ほとんど抵抗が無かったように思います。何も
気がつきませんでした。
Yコネに入れてもらったときや、位置あわせの時に気がつかなかったのは私が馬鹿で
した(でも、誰も気がつかなかった)。

○○先生や○○先生に「いやぁ、○○はそこまで仕込むのか!普通にやるだけじゃぁな
い。必ず落ち所を作ってくれる!たいしたもんだ!」とお誉めのお言葉?をいただき
ました。

入れるときにはまず確かめて!反省です!

必殺技“5Fr de Percu”よりうウケる“Penta脱落”にジェラシーした一場面でした。

兵庫医大ミニライブ、楽しかったです。
関係者の皆様、ありがとうございました。お疲れさまでした。

************************************

○○です
 
○○先生 来年は是非ともお越し下さい
 
今回はライブ中との事でガイダントは初めて偉い方を
うちに連れてこられました
今回の事と写真を流すことはガイダントに承諾を取っております
関西では2例目らしいです 現在 調査中とのことで
きっちりと返答があると思います
 
海外ではPentaのデリバリーバルーンが異なるゼータという
ステントが日本でのペンタ以前より発売されています
何故に日本ではペンタなんでしょう?
(また日本で在庫処理?)

************************************

○○です。

東京ライブが重なってしまったため、兵庫医大にうかがえず、失礼しました。

ペンタ、どうしてこういうことがおきるのか不思議ではあります。CCT2日目の私の
RCA CTOも、以前、手前に植え込まれたBXにひっかかってS670は不通過でしたが、ペ
ンタは何とか入りました。なぜか、“キャップはずし”さえしのげば、押しても大丈
夫なんですよね。

でも、キャップをはずしたとき、助手に入っていた○○先生と二人で、“ペンタあり
ますね、確かに、”と、二人で声を出して確認したのは放映されましたか? 持ち込
んだあとも、すごくゆっくり加圧しました。ねじれがおこらないか、ヒヤヒヤでし
た。

************************************

○○です

○○先生 次回は是非とも遊びに来て下さい
抜けたペンタですが、触ってみると
ステントに引っかかってるみたいに、カバーにしっかりと
付いていました。 しばらく触ってるうちに引っかかりがなくなり
いとも簡単に動くようになりました
でも、やはり同じところでかるく引っかかるような感じがしました
別にストラットが立っている訳ではなかったと思います
カバーの問題なんでしょうね きっと
でも、カバーで引っかかってはずれるステントって
本当にタイトな病変とかで落ちないんでしょうか?
心配です・・・

************************************

○○です。
CCTでは意識して指差し確認!でしたが、昨日も指差し確認して1本使用しました。

捩れや脱落など散々なMultilink Pentaですが、実際Pentaしか通過しない病変も確か
にありますので、実は今月はタフなACS症例に結構使用しております。確かに実力は
認めるのですが、北米向けがパワーセイルにマウントされたZetaであることを考える
と、わざわざ粗悪バルーンにのっているPentaを販売し続けることを含め、昨今のG社
の企業姿勢にはいささか疑問を感じております。米国ではすでに昨年のTCT2002で
Zetaはデビューしており、大幅に旧型のステントです。もちろん問題点はその他にも
ありますし、G社の対応、本当に大丈夫?ちなみに当院では先月エスプリがdeflateで
きない、というトラブルを経験しました。幸い患者さんには何の迷惑もかからず切り
抜けましたが、同様の経験をなさった先生が他にもおられないでしょうか?

それにしても今年もTRAの会@三宮は盛り上がりましたね。ライブもとても充実して
いましたが、夜の会もTRA-net-Surgicalみたく盛り上がりましたね!お世話頂いた関
係の皆様、誠に有難うございました。兵庫医大へも行きたかったのですが、都合がつ
かず残念でした。今後とも宜しくお願い申し上げます。

************************************

○○

○○先生はじめまして。
PENTAの指差し確認ばっちり放映されていました。
ところであのRCA/CTOは素晴らしかったですね。
順行性にトライしているところはずっと裏で放映されていたのですが、
表になった時にはすでにクロスしてバルーンも通った後でした・・(残念)。
逆行性のクロスはチョイス等を選びましょうかとおっしゃっておられましたが、
実際はどうなされたのでしょうか?クロスした後にそのワイヤーを狙って順行性に
もう一本クロスされたのでしょうか?
私的には一番感動したケースでした!

************************************

○○です。
今年はファカルティからもはずされてしまいましたので
CCTには行きませんでした。
○○先生ライブお疲れ様でした。
また、○○先生!やっぱり何か仕込んでたんですね
八戸でもきっとやってくれることでしょう。

○○がまたおちゃらけか、と思われるでしょうが
九トラののりで勘弁して欲しいのですが、J1大分トリニータ
のユニフォームの胸には”住まいのリフォームペンタ君”と
書いてあります。そのキャラクターを添付します。(まあ
ドーデもいいですが)
先週の土曜日には仕事をサボり熊本に大分vs京都を見に
行ってまいりました。○○先生お疲れ様!
来年もJ1のピッチで”ペンタ君”が見られるように、ガイダント社員
全員とともに応援したいと思っております。



************************************

○○です。

CCT御参加の皆様、お疲れさまでした。
夜の会、いつもながら楽しい時間を過ごさせて頂きました。
○○先生、初めてお会い致し、私と年代も近いようにお見受けいたしましたが
先生のような方が頑張られているのを見ると小生ももっと精進せねば・・・
と考えさせられるものがあります。刺激になりました。ありがとうございます。
○○先生、刺激してくださりありがとうございます。頼もしい先輩です。
○○先生、○○先生”スレンダーclub?”、”スレンダー愛好会?”でしたっけ?
是非とも参加させてください。宜しくお願いします。
○○先生、いつも参加させて頂き感謝いたします。

それではお休みなさいませ。

************************************

○○です

○○先生 「スレンダークラブ」です
細いカテを愛する会です よろしくお願いします

************************************

○○です。

○○先生、「スレンダークラブ」は、元祖5.5Frの○○先生が親分ですよ!
逃げられません!
みんなで握手をした証拠写真もあります。
○○先生、「やっぱり仕込んでいた」というのは勘弁してください。
わざとじゃぁないです...。
八戸ライブも、皆様のじゃまにならないように地味に弁当を食べて時間を過ごしたい
と思っています。

************************************

○○です。

ホークス優勝バンザイ!!
トラキチの○○先生、残念でしたね。
(来年は日ハムが札幌に行くらしいのですが、北海道の先生方の中にもハムキチ
が出てくるのでしょうか?)

○○先生をはじめ、兵庫医大の先生方、先日はお世話になりました。
まさか、ペンタの脱落を目の前で見ることができるとは・・・・
このネットのメンバーが10名程見ている前での出来事でした。
(○○先生、貴重な症例、ありがとうございました。)

夜の盛り上がりも盛大でしたが、ちょうどLenoX Hillの○○先生が帰国されてい
てあちらの話題でも盛り上がりましたが、その発言やご活躍に刺激されて以下の
ような提案がなされました。

「来年、TRA-netでツアーを組んで、TCTに行こう!!」
でも、ただ見学するだけではつまらないので、みんなでデータを出し合って(集
めて)TCTの演題に出そう!!

酔った勢いでこうなったのですが、どうです? この提案。

************************************

○○です

> まさか、ペンタの脱落を目の前で見ることができるとは・・・・
> このネットのメンバーが10名程見ている前での出来事でした。
> (○○先生、貴重な症例、ありがとうございました。)
○○先生まで...いじめないでくださいよぉ。
抜けたのはペンタが悪いのでしょうが、気がつかない私はもっとお馬鹿なので反省し
ております。

> 「来年、TRA-netでツアーを組んで、TCTに行こう!!」
> でも、ただ見学するだけではつまらないので、みんなでデータを出し合って(集
> めて)TCTの演題に出そう!!
私も大賛成です!
○○先生、○○先生、みなさま、よろしくお願いいたします。

> そしてワシントンでベトナム料理食べましょう・・・
是非、是非!

夢が広がってきました!

************************************

もう殆どの方はご存知だとは思いますが、Pentaに限らず、Visionもよく落ちる
ようです。

いずれも保護シースをはずす時にステントが落ちるようで、改良型のPentaは保護
シースの色がオレンジから黄色に変更されています。

もしオレンジのPentaが出てきたら、保護シースを取る時ご注意くださいとのことで
す。
関西ー中部地方に出回ったロットに多いようです。
とのお話をGuidantから聞きました。 既知の事とは思いますが、念のため。

************************************

北海道でも○○の○○先生が脱落例を報告していますが、
その後、G社からは特に情報は来ていません。昨晩AMIに対する
PCIを行った際にPentaを使用したのですが、保護カバーはオレン
ジ色でした。 

************************************

○○です。

> いずれも保護シースをはずす時にステントが落ちるようで、改良型のPentaは保護
> シースの色がオレンジから黄色に変更されています。
>> もしオレンジのPentaが出てきたら、保護シースを取る時ご注意くださいとのことで
> す

いづれもペンタの脱落は保護シースをはずす時に起こっているようですが、この
ような事例が続くと、その時にたまたまステントが脱落しなかったからと言って
も、そのシステムのバルーンとステントの圧着が本当にうまくいっているのかど
うかが疑わしいという点で、いつも不安がつきまとうような気がします。

何とか解決法はないものでしょうか。
(当院でも、またS670が息を吹き返しそうです。)

************************************

○○

ペンタですがG社の○○のマネージャーから話をうかがったところ
ステントのマウントに手作業の行程があり、脱落するようなことが
0.0数パーセント生じたとのことです。現在製造工程を見直しして
不具合の起こる確率を減少させているとのことです。
いまだに手に頼っている行程が多いことに驚きを隠せませんでした。

************************************

○○です。

兵庫医大ライブで勉強した5Fでパークを6in5でAMIに試みました。
通常のパークよりも血栓が多くとれ、手技もシンプルで太いRCAには有効だと感じま
した。
ちなみにステントはオレンジペンタでした。

************************************

○○です

先日のうちでのミニライブでpentaが抜けましたが
当然 オレンジペンタです
で、その時はじめてG社の偉い人がうちにきました
でも、ロットの話、オレンジ色の話は一切されませんでした
知らないんでしょうか?
それともビック施設以外には教えてくれる気ないんでしょうか?

私のモットーはどんなことが事があっても怒らないのですが・・・・・・

************************************

○○です。

>先日のうちでのミニライブでpentaが抜けましたが
>当然 オレンジペンタです
>で、その時はじめてG社の偉い人がうちにきました
>でも、ロットの話、オレンジ色の話は一切されませんでした
>知らないんでしょうか?
>それともビック施設以外には教えてくれる気ないんでしょうか?
>私のモットーはどんなことが事があっても怒らないのですが・・・・・・

当施設にもprotect sheathが黄色い改良版があるという説明はありません。
また、ロットは関係なさそうだとG社の方は言われておられました。
あくまで調査中なので断定的なことではありませんが・・・とのことですが。
最近、Pentaは入れる前に指でチョイチョイっと引っ張って抜けないのを確認してか
ら使っています。


>「来年、TRA-netでツアーを組んで、TCTに行こう!!」
>でも、ただ見学するだけではつまらないので、みんなでデータを出し合って(集
>めて)TCTの演題に出そう!!
是非、私も参加させて下さい。お願いします。

************************************

○○です

○○先生 先生はスレンダークラブの会長として
発表して下さいね・・・ 付いていきますから
鞄持ち、雑用は任して下さい

************************************

○○です。

ウチにも、CCT前に偉い方が見えましたが、調査中の一点張りで何の説明もありませ
んでした。すべての規制に従って製造されており、No1 stentであると信じている、
とのことでした。regulationに対する違反はないという、いかにもかの国らしいご発
言もありました。

キャップの色にしましても、そうなのかもしれませんが、営業担当者が口頭で述べて
いるだけですね。これだけ、全国のPCI施設を震撼させている大問題なのですから、
社長名入りの公文書で回答するのが当たり前だと思います。それですら、第三者機関
の調査結果ではなく、所詮、不具合に対する製造当事者側の言い分ですから、どれだ
け信用できるかは各個人の受け止め方次第だと思います。

脱落の問題も重要ですが、これは指差し確認である程度対応可能です。もっとこわい
のは、ねじれ現象で、不運が重なれば緊急CABGやtable deathの可能性もあります。
これに対しては、全くなんの回答もありませんね。

************************************

○○です

G社がどのように対応していくか、楽しみです
ところで○○先生が以前に書かれていた
エスプリの問題ですが・・・
今後の供給はどうなんでしょうか?

************************************

○○ですが、○○先生、コメントありがとうございます。エスプリの供給という話題
もありましたね。

この件は、偉い人が来院されたときに確認しました。2.5-20mm以上のサイズについて
は、製造を続けるし、新たに供給を希望する施設があれば供給する、と明言されてい
ました。ただ、これも口頭でのお返事ですし、会社をめぐる状況が変われば、ご破算
なのかもしれません。CCTでの力技、“LMTでの2時間inflation”をみても、止血に
パーフュージョンは必須だし、ああいう状況下では、できるだけSOEを使いたいで
す。あの症例もパーフュージョンがあったからこそ、緊急CABGにもならず、ショック
にもならず、素晴らしいbail-outが可能だったわけですよね。

************************************

○○先生 ありがとうございます

エスプリがなくなると聞いたので、焦っておりました
ちょっとだけ安心しました
しかし、今回のPentaに関わる事件はきっちりとした対応が望まれます
そうでないとまた日本で在庫処理してると思われて仕方がないと
思います

************************************

○○です。

○○先生、○○先生
”スレンダークラブ”正規会員、但し”ヒラ”ってところで勘弁してください。
冗談はさておいて本当に是非御一緒させてください。

尚、5.5Fr.GCに関しまして、最初に実物を使用したのは小生ですが、
最初に御考案されたのは○○先生です。念のため。

************************************

○○です。

Pentaは初め出てきた時からうさんくさいステント
だなと思っていましたが、脱落例の話や拡張不能の
話を聞いて以来、私はあえて使っていません。
そもそも最初G社の話では、このステントはdurectが
認められた唯一の物ですと言っていました。でも体外で
はずれれるステントをどうして信じる事が出来るのでしょうか。
現在私としてはBxが復活です。

************************************

○○です

今回のネタ元としては反響の大きさに驚いています。

当方田舎の中小病院ですので、G 社営業の御姉さんからの情報しかありません。
オレンジ、黄色の話もその方から口頭で伺ったものです。文書による説明ではありま
せん。

当方でも現在までオレンジペンタしかありませんが、挿入前に確認しており脱落例は
幸いありませんでした。

でもやっぱり成績自体が振るわないので、BX、PLUS、ELITEなどが復活しています。

************************************

○○です

当院では幸いPentaに関するトラブルはありませんが成績が今ひとつです。
Bxの復活も考えましたが業者さんの話ではJJはCypherに生産をシフトしておりbare
metalはもう手に入りにくい状況らしい、と言われてしましました。
CCTでも欧米の私立病院はほぼ100%Cypherに移行しているという趣旨の発表があった
と思いますし、当然の流れなのかもしれません。
年内〜年明けに新たなstentが数種市場に出るようですのでそちらに少し期待してい
ます。
DESがbare metalより優れているのは確かですが、果たして100%移行する価値のある
デバイスなのかどうか今ひとつ納得がいかない今日この頃です。

************************************

○○です。

別にGuidantの回し者ではありませんが。。。
今回の問題、ステントそのものの問題とcompanyの問題が混在していて少しステ
ントにかわいそうな気もします。当然切り離せない問題ではありますが。。。

確かに脱落の問題はありますが今のところ体内での脱落は報告ない???ような
気がします。この間どうしようもない症例でPentaをanchor techniqueで持って
行きました。脱落することなく通過してくれました。根本的に通過性は非常に
(一番)いいですよね。再狭窄もうちでは全く問題ないですね、大分follow-up
出てますけど。

企業姿勢はどうなんでしょう。Guidantの社長さんは結構まともな人だと思って
ますが社長さんまで問題が届いてないのでしょうか???
黄色とオレンジは本当なんでしょうか???営業マンが勝手に言ってるのであれ
ばそれも問題ですね。

************************************

○○です。

いろいろとトラブルの話が出ていますが、当施設では今のところ
ペンタでは問題はおきていませし、私としては最も頼りにしている
ステントです。
今朝のモーニング・カンファランスでこうした一連の騒動(?)を
スタッフに話し、ペンタを使用する際には、必ず注意するように
話をしたところ、部長より、しばらく使用を控えるようにといわれ
ちゃいました。
これだけ起きている、ということは、そのうち冠動脈内に落として
トラブルになるケースも出てくるでしょうね。
ガイダント側からの正式なコメントが出るまで、なるべく他のステント
を使うように指示しました。

12月ごろ出てくるであろう、次のステントに期待します。

************************************

○○です。
Pentaに関してTRA-netが先日来賑わっており、Guidantの企業姿勢を問うとこ
ろまできています。
最初から思っていたのですがこれってTRA-netの中だけでなくもっとofficial
にすべき問題ではないでしょうか?
バルーンが捩れて拡がらず抜けなくなったら命に関わる問題ですよね。
皆さんすでにご存知のことと思いますが、今年の7月30日から医薬品や医療
用具の使用によって発生する健康被害等の情報を我々が厚労相に直接報告する
制度(義務ではないと思いますが)ができています。
私自身、どこまで報告すべきなのかよくわからないのですが、もしこのまま
officialにしないでどこかで死亡例が出たとしたらもちろんGuidant側に大き
な問題があることは否めませんが、厚労相に報告しなかった我々にも責任があ
るっていうことにはならないでしょうか?
GuidantをいじめすぎてPentaが供給されなくなってしまい、結局自分たちの首
をしめることにもなりかねないかもしれませんが、我々と企業の間だけで話を
済ませようとすると手遅れになりかねないような気もします。
報告制度に関してはhttp://www.pharmasys.gr.jp/info/houkoku.htmlを見てい
ただくとわかります。
このままメーカーの対応待ちだけでいいのでしょうか?

************************************




第86集



************************************

○○先生,ご意見ありがとうございました.

この症例は術創周囲のMRSAによる膿瘍〜感染が強くリザーバー抜去の時にも血管を十
分に露出させることが出来ず十分な止血が出来ていなかったことが原因のようでし
た.ですから非感染部含めた広範な切除なると手術が大がかりとなり,また感染のた
め人工血管も使えないとの外科からの意見であり,結局自家静脈を使用したカバード
ステントを作成し仮性動脈瘤のシーリングに成功しました(手技的にはかなり大変で
したが).このような感染がactiveな状態の時のステントの使用は如何なものでしょ
うか?

************************************

○○です。

前回の出血がどのような機序で起きたのかが問題だと思います。
感染が血管壁にまで及び、
MRSAにより血管壁が破壊されたために生じた出血ならば、
自家静脈によるグラフトも感染にさらされる危険があります。
そうなれば再出血ということになりますし、
ステント部がMRSAの巣窟と化す可能性があると思います。

************************************

○○です。

悪性腫瘍術前の PCIですが、基本的にACSでない限り
必要ないと考えています。stable effort APなんぞ、
そんじょそこらではAMI起こさないでしょう。
APを持った担癌患者は世の中いくらでもいるでしょうが、
術前にしっかり評価している施設がどれだけあるか?
ほとんどの場合はなんの評価もされずopeとなっているはず
です。それでも外科のope中にAMIを発生したなんて事は
ほとんど聞いたことがありません。
やはり、ACS以外は術後にゆっくり料理した方が安全だと
思います。

************************************

○○です。

今回はTRAでもIVUSでもないんですが情報提供として重要と思ったのでメールし
ます。Angiosealについてです。この止血デバイスはCloserのような痛みはほと
んどないので非常にいいと個人的に思っていますが1例結構やばい症例があった
ので報告します。

症例は70台(だったと思う)の男性でCABG術後、少しdementiaがあるかな?とい
う方でAngiosealをしました。その糸を切るまでは問題なかったんですがその後
CAGだったので1hrほどはbedup 45度としていたにも関わらずどうも立ち上がろう
としたそうです。その直後ショック状態、輸液で回復しましたがCTで穿刺部から
皮下を通って下腹部・陰嚢(特に陰嚢はかなり腫大となってました)にかなりの
出血が認められ出血性ショックだったんであろうと考えています。

というわけで添付文書には記載されてないのですが(一応見直しても書いてなかっ
たと思いますが)、安静を保てない症例には使用しない方がいいと思います。

Vasosealと一緒で外に出ないのは怖いですし。でも痛くないからうちは基本的に
CloserからAngiosealに変更、です。

************************************

はじめまして、○○と申します。
どうぞよろしくお願い致します。

************************************

○○です。

10月11日に JSIC の東海北陸地方会がありました。その時の演題の一つについて
皆様のご意見を伺えたら‥と思います。“何を今さら‥”と言われるかもしれま
せんが。

Culprit lesion の同定にIVUSが有用であった急性心筋梗塞の1例

  東海地区の病院からの演題でした。RCA seg3.で血栓閉塞の症例で血栓吸引→
  POBA 後にIVUS施行したところ 4AV に plaque rupture と思われる部位が見
  つかったので、4AV に stenting した‥と言う内容でした。


 急性心筋梗塞の PCI で血栓吸引治療が常識となり、私もやっています。血栓
をできる限り吸引した後に厳しい狭窄がなければ、完全閉塞していた部位を狙っ
て direct stenting して終了することが多くなったように思います。この演題
を聞いて迷いが生じました。
  

# 梗塞責任血管に厳しい器質狭窄がない急性心筋梗塞の場合 #、

 ・不安定プラークが破綻した部位を探して(IVUS等) そこに stenting してお
  られますか?

 ・造影上プラーク破綻部位が不明なら、急性期には stenting しない‥方が
  本当は理に適っていると思われますか?

************************************

○○です

もう少しその演題について詳しく教えて下さい
#3には全く病変が確認されなくて、#4AVの血栓が中枢側に
まで伸びたと思われるでしょうか? それなら#4AVにStent
する意味はあると思いますが、#4AVのプラークは
どんなんだったんでしょうか?
うちでもAMIでまず血栓吸引して、有意狭窄がなくなったら
IVUSでも確認して不安定プラークと思うところだけに
治療します
特にAMIでは完全閉塞部と病変は異なることがまれにあるから
注意が必要かと思います

************************************

○○

このようなケースは、とくに右にみられますよね。
血栓吸引後に有意な狭窄がなければ、そこにステントなどを含めてた治療は不要と思
います。たとえ破綻した病変があっても、狭窄がつよくなければ、そのままこう凝
固、抗血小板で、慢性期まで観察すると、狭窄がなくなっているケースもあります。
エコーで、破綻したプラークがあっても、そこは修復されます。
ですから、心筋梗塞であれば、血流をながせば、治療はよいですから、破綻したプ
ラークイコール治療ではないと考えてます。

************************************

○○です。

○○先生の質問にお答えします。

JSIC 地方会では抄録集の掲載がありません。当院からの発表でないので IVUS 画
像も提示できません。私の印象だけのお答えとなります。
 →発表は小牧市民病院からの演題でした。TRA-net member の方で発表をご覧に
  なった方がいらっしゃるとよいのですが‥‥。

・RCA seg.3 には明らかな狭窄は認められませんでした。
・RCA 4AV には atheroma が破綻した跡と言われれば、“そうか‥”と思える窪
 みと flap らしきものが認められました。同部位の血管狭窄は認められませ
 ん。

ついでですが、○○病院より Thrombuster 先端の黒い部分( guide wire
が通過する部分)が離断した‥という演題も発表されていました。

 演者の先生によると、血栓吸引部分と先端部分は別々に製造され後から接着さ
 れるそうです。事故が起こった製品を製造中にラインで停電があり、復旧直後
 の製品で接着不良が生じた可能性が高いそうです。同ロットは、その後全製品
 が回収されたそうですが‥‥。

これも他人の褌ネタですみません。(○○病院の先生の追加発言があれば
よろしくお願いします。)
 
************************************

○○です。

たぶん別の会場に居たのでそのIVUS像を見てないのですが、

Circulation. 2001;103:934
Healed Plaque Ruptures and Sudden Coronary Death
Evidence That Subclinical Rupture Has a Role in Plaque Progression
Allen P. Burke, MD; Frank D. Kolodgie, PhD; Andrew Farb, MD; Deena K. Weber,
BS; Gray T. Malcom, PhD; John Smialek, MD; Renu Virmani, MD

最近読んだ文献ではこういったプラークの破錠やその後の修復はサブクリニカルにし
ばしば起こっていて、いつかドンと起きれば突然死の原因にもなっているのかと。

斜め読みですので解釈が間違っているかもしれませんが、もし突然死の予防まで深く
突っ込むならここを修復すべきでしょうか?

当院の現状では通常通りの狭窄率判定で治療を行っています。

************************************

○○です。

○○先生も言われておられる(多分多くの人が分かってる?)通り閉塞部の周辺
に血栓ができるのは当然だと思います。ただ今回の話だと4AVでeventが起こって
#3が閉塞、ってのは違和感があります。通常血栓は側枝でとまりますよね、側枝
側この症例では多分4PDがある、そうすると4AVの閉塞でできた血栓が#3まで伸び
るのは。。。おかしい気がします。4PD枝の大きさにもよるでしょうけど。
で、もう一点はACSの時のmultiple plaque ruptureが報告されている、現時点で
日本の施設でも多施設研究を行っていて、ある程度の確率(報告されているほど
ではないですが)でmultiple rupture?が生じているかどうかは分かりませんが
観察されます。この点からも今回のイベントが4AVのものによる、という証拠に
はならないと思われます。さらに最初のイベントの狭窄度が低いものからの
ruptureでthrombusが効率的に吸引されれば、最初のイベントの部位に有意狭窄
がなくてもいいしIVUSでは最初のイベントの全ての血栓が吸引されていなければ
ruptureの痕も鑑別できない可能性は十分あるでしょう。
ということで今回のculpritが4AVというのはちょっと根拠に欠ける印象を持ちま
した。当然全く実物を見てませんからこの判断はかなりいい加減の可能性はあり
ますが。

最後、治療について、plauqe ruptureしてしまっているところってそこそこ内腔
ありますよね、それなら治療は不要じゃないんでしょうか?

************************************

○○です。

病理を米国でやっておりまして、そのときVirumani先生とお話をしたときの内容をお
伝えしたいと思います。彼女の研究では、梗塞責任病変にプラーク破裂が認められる
のが85%くらいで、15%にはプラーク破裂はなく病理的にはplaque erosionのみ
であるとのことでした。逆に、梗塞責任ではない病変を見ていくと、かなりの頻度で
プラーク破裂が認められる。したがって、プラーク破裂というのは、割と普段から起
きていて、そのうちの一部がACSを起こすが、臨床的に何も起きないプラーク破裂が
多数ある。また、通常の動脈硬化の病理組織というのは、火山の噴火後のようで、あ
る時の地層、その後の地層みたいなものが多数存在します。それは、サブクリニカル
に起こったプラーク破裂によると考えれば納得できる。血管の狭窄は徐々に進むので
はなく、突然段階的に細くなるという臨床の観察もあり、これも裏付けている。した
がって、プラーク破裂は、ACSの引き金だけでなく血管の狭窄の原因でもある。とい
うことのようです。

ですから、「プラークの破裂部位=責任病変」というのは病理学的には正しくありま
せん。
症例を見てないので、断定的には言えませんが、とりあえず責任病変の同定は、従来
どおり総合診断でするべきと思います。

Yuji Ikari, MD
Division of Cardiology, Mitsui Memorial Hospital
1, Kanda-Izumi-cho, Chiyoda-ku
Tokyo 101-8643, JAPAN

************************************

○○です。

○○先生,○○先生,○○先生,○○先生,コメントありがとうございます。

# 悩みが深くなったような気がします。#

当方、英語力に難あり数多くの文献を読みこなす力はございません。治療の根拠
にする頼みの綱は ACC/AHA のガイドラインです。2001年版の PCI に対する改定
ガイドラインでは、AMI時の冠動脈ステント留置を肯定的に捉えていると理解しま
して( STENT-PAMI study では、院内および後期死亡がステント群で高いが‥)ス
テントの植え込みをしていました。

ですが正直なところ、“どこにステントを植え込むべきか”についての考察は抜
けていたと思います。単純に“明らかな狭窄部位がなければ、閉塞部位に置く”
ようにしていました。(同様の考え方をしていた方はおられませんか? 私だけ
だと恥ずかしいが‥‥)

今回の演題聴取を機に AMI 時の IVUS 使用頻度を増やさねばならないかな‥と思
いましたが、event free や multiple のプラーク破綻が頻繁に起こっているとな
ると IVUS を使用しても益々迷うことが多くなりそうです。

アブシキシマブの使用認可がいつ認められるのかわかりませんが、これが認めら
れれば血栓吸引後に有意狭窄のない症例では“とりあえずステントを留置せずに
終了する方針”に変更するか‥と思いました。

# 補 #

本演題の演者の先生によりますと、
 1)完全閉塞は RCA seg 3.
 2)Guide wire が 4PD に抜けて血栓吸引→ 4AV は出現せず。LCx も大きめで
   あり 4AV は当初 absent と思われた由。
 3)有意狭窄がないので IVUS で観察しようとした時に GW が抜けた。
 4)再度 GW を入れた際に 4AV を捕らえた→血栓吸引。
 5)4AV〜Seg.3 の観察で 4AV にプラーク破綻と思える場所を見つけた。
との経緯でありました。

************************************

○○です。

諸般の事情で多少暇な日々を送っています。
当院では、血栓吸引して 25%程度の狭窄になり、30分程度observationして変化がな
ければそのまま手をつけずにいます。
ほとんどの症例は30分以内に閉塞しますのでステントを入れていますが、3例ほど
そのままobservationしましたが、なにもおきませんでした。
3ヶ月後のフォローアップカテでもその部位に狭窄の進行は認めていません。1例はそ
の他の
病変のjump upで6ヶ月後に梗塞になりましたが、吸引部分には何もおきてませんで
した。
折角、大きなGCいれてwireとおしているのに、PTCA料をとれずにいます (とってい
いのかな)。
○○先生の書かれるように、4AVのイベントが4PDのbifurcationをこえて#3に及ぶ

は普通ないと思いますし、○○先生の言われているように、またCirculation 2002;
106:804-808にあるように、ruptured plaqueがあるからといって、責任病変ではない
と思います(この論文のpancoronaritisという言葉が好きです)。
でも、梗塞部を開けた後に、末梢の閉塞をみつけたら、distal emboliと決めつけず
に、そこにもruptured plaqueがある可能性を考えるべきなんでしょうね。

************************************

はじめまして。私は平成13年に○○医大を卒業し、今年で3年目になる○○と申しま
す。このたびTra-netに入会することとなりました。自衛隊の仕事をしつつ、○○病院
で研修医として勉強しています。これからradialist目指して頑張っていきたいと思っ
ています。よろしくお願いします。 

************************************

○○です。
たまにはこんなネタもいいかなと思って..

 18日の日本シリーズ・福岡ドーム戦、見てきました!!
 友人が、幸運にも一塁外野席(ホークスの応援団の下です)をゲットできたので、そ
のおこぼれにあずかりました。
 北九州から直行バスで一時間、試合開始一時間前に到着しましたが、ドームの入り口
は、いつもの空気と全然違ってて、すでに心拍数はプラス20。試合開 
始から、追いつ追われつ白熱した展開で、ほんと心臓に悪かったです。こんなときTRA-
netのロゴTシャツ(があったらですが)を着て、ホークスの応 
援してたら、変な目でみられたでしょうね。最後、ズレータのサヨナラヒット。応援席
は最高潮でした。こんな試合、一生見られないだろうな、などと思いつ 
つ、ドームを後にしました。
 今日第二戦も圧勝!! 阪神ファンの皆さま、申し訳ありません。
 それにしても、テレビの解説って、どの局も阪神(セリーグ)寄りだと思いません
か??

************************************
○○です。

度々の初歩的な質問で恐縮ですが、腹部動脈瘤(長径は約4cm)がありHD中 
の方についてです。この場合のPCIのアプローチはどうされますでしょうか? 
HDですのでTFIなのかあるいはocclusionのリスクを考えても、TBIあるいは 
TRIを選択されるのでしょうか?瘤に壁在血栓があればTFIは危険でしょうか、 
御教授いただければ幸いです。

************************************

○○ です。

TRA-netの皆様 お久しぶりです。

最近、腹部大動脈瘤のステントグラフトの症例が割と多かったので思わずメールして
しまいました。

通常の腹部大動脈瘤の場合でしたら、多少の壁材血栓があっても0.035inchのラジフォ

カスガイドワイヤーを軸に用いてガイディングカテーテルを横隔膜より上まであげる
のであれば、何ら問題ないと思います。

問題があるとすれば、”shaggy aorta”といって壁材血栓が非常に不整な症例があり
ます。こうした症例では壁がボロボロで血栓やアテローマが剥がれやすい場合があり
ます。そのため、血管壁の血栓をこそいだりして、臀部や下肢などに末梢塞栓を起こ
す可能性があります。ただし、こういったものは非常に稀であり、大抵は大丈夫と思
います。

以上のように考えますが、如何でしょうか?

************************************

○○です

やはりRadialは透析のことを考えたら使いにくいと
思います。 それなら○○先生と同じで、そっとワイヤー
上げて、ロングシースを胸部まで上げておくのがいいと
思います
いちど上げれば、後はストレスなしに普通に造影でも
PCIでも出来ると思いますが如何でしょうか?

************************************

○○です。○○先生、ありがとうございます。ご質問の件ですが、

>@ 逆行性のGWが病変近くまで行ってなかったら,やはり修正は難しかったので
しょうか?

collateralからの血流ですが、RCA CTOによくあるように、遠位部近位端付近の描出
はややぼけておりました。このため、直上からの穿通を心がけたのですが、Conquest
Proを持ち出したあたりでは、コントロール造影で推測した遠位部近位端よりは、あ
きらかに遠位での穿通を狙っていました。枝も少ないので、short cutでもいいかな
あ、とも思っておりました。逆行性のワイヤは、病変がCTO単独である限り、
collateralを乗り越えてしまえば、遠位部近位端のdistal fibrous capまでは理論的
にも到達するはずだと思います。

先生のおっしゃる“病変”がどこを意味していらしゃるのかはちょっとわからないの
ですが、逆から入ったワイヤは必ずtrueにあるわけで、近くまで来ないとすればそこ
を狙う(short cut?)のも可能だと思います。たとえ逆からであってもワイヤが
入っていれば、血管はある程度進展され、またワイヤで固定されますから、順行性に
穿通しやすくなるのでしょうね。

>A コントロールのangioでは見えていなかったのでしょうか? angio上その屈曲
を読むことは難しかったのでしょうか?

難しかったです。4AVの入口からCTOですから、穿通部位はなんとなくわかるのです
が、方向(4PDとの分岐角度)についてはまったくわかりませんでした。本当は、事
前に4PD方向からIVUS引きたかったのですが、そもそもRCA1のステントを超えませ
んでしたしね。しかし、Miracle3で何とか入ってくれたため、ここは信用して操作
できました。経験的ですが、proximal fibrous capを、そこそこ丁寧な操作の
Miracle3で穿通できれば、部位・方向ともそんなに違っていることはないと思いま
す。その後も、3で入ったところまでは、trueと信じました。

4.5以上、とくに、12やConquest系で穿通したときは、最初から違っているので
はないか、と常々疑がいながら操作しないといけないと思います。ただ、中には、い
きなり側枝でアンカーして、Conquest12とか持ち出さないとどうにもならない病変
もあるのがCTOの難しさでしょうね。

************************************

○○です.

○○先生,私もCCTライブ第2日目の先生のCTO症例を裏画面でずっと見させていただ
いていました(表の手技のことはほとんど覚えていない…).術中の会話からややあ
きらめムードかな??と思っていましたが,今回failureされることが多かっ
たように思えたライブのなかで,本当にお見事な手技でした.そこで2点お尋ねで
す.@あの症例の場合,逆行性の血流が閉塞直後近くまで見えており,実際GW
(ChoicePT)も閉塞直後まで挿入できたため順行性のGWとのずれがはっきり分かった
ように思えたのですが,逆行性のGWが病変近くまで行ってなかったら,やはり修正は
難しかったのでしょうか?AGWのずれから90度近く屈曲していることが分かったとし
て,コントロールのangioでは見えていなかったのでしょうか?逆行性の血流が結構
閉塞近くまで入っていたように思えましたが…angio上その屈曲を読むことは難し
かったのでしょうか?

************************************

○○です。

Pentaで盛り上がってる中、水を差すようで恐縮します。

VariantAPの患者をstent治療する時のプロトコールを教えて欲しいのです。

患者は65才男性。半年前にCAVB、ショックで来院。ST変化から右のAMIと思われ
ましたが、ミオコールスプレーでsinus復帰ST正常化。すぐにCAG施行、coronary
ほぼintact。VarinatAPと診断。その後カルシウム拮抗薬などmedication開始。
入院中に自然発作も捕まえII,III,FのST上昇ありました。dose-upしHolter、運動
負荷でST変化なく退院。退院後軽い発作ありましたがニトロ著効、dose-upで経過
観察中でした。昨日ミオコールスプレーを5回使っても治らない胸痛発作あり入
院となってます。新たにシグマート、Mgなんか追加して幸い発作を鎮圧することが
できたのですが、これでも発作が起こるようなら、spasm部にstent治療を考えてま
す。恐らくRCAのspasmと思われますが、アセチルコリンで誘発してspasm-siteを確
認した後、stenting、その後にさらに誘発testをしてstentの有効性を確認すべき
なのでしょうか?気が付いたらfull-metalなんて恐ろしいことが起きないでしょ
うか?経験豊富な皆様、どうかご意見よろしくお願いします。またmedicationでも
切り札あったら教えてください。

************************************

しばらくROMの○○です。 (八戸ライブもうすぐです)

八戸ライブの宣伝を兼ねてしばらくぶりに一言です。

スパスムサイトは一定していない場合が多く、自然発作時とAch負荷時のサイトが同
じとは考えられないのでステントを入れたことはありません。
最近は少なくなったのですが当院でも以前に同じような症例が多々ありりまし
て"Full-Full"medicationを数ヶ月から一年行うとその後発作は寛解したままの症例
が多いように思います。ちなみにどの位の薬の量かというと...
ノルバスク10mg or more、ヘルベッサーR100〜200mg併用、シグマート40mg、ISDN 0r
ISMN 80mg-160mg、(泰江先生から聞いた.....ビタミンE+C ?????)、発作の時間帯
の決まっている患者さんにはその時間帯をねらってISDN5mg舌下。下腿浮腫がこよう
が歯肉肥厚が来ようが数ヶ月はこれで粘っておりました。大昔に泰江先生に聞いたと
ところによるとこれで血圧が下がった場合には「君! ステロイド使いなさい...」
と言われたことがありますが使ったことはありません。もしかしてスパスムにステン
トを入れている先生がいるのでしょうか!?

東北ではペンタが脱げた話は聞いていませんが東北人が関西で脱がしたとなるとある
ロットの問題でしょうか? Y+Mコンビだと昔から「脱がす」のが得意だったのでそ
うなったのでしょうか......(冗談です) 昔のステント留置の癖でかならずステン
トは触っていますから考えられないコトだと思ってました。こちらのガイダント末梢
にはほとんど情報は入っていないようで随分と問題だと思っています。八戸ライブで
はこの問題で花が咲きそうで楽しみにしています。

************************************

○○です

○○先生の言われるように、スパスムの部位はAch負荷では
絶対に同定はできないと思います
以前、P-Sの頃に50-75%狭窄で、運動負荷では陰性で
Control CAGで狭窄部にスパスムを認め、当時の考えられる薬剤を
投与しても発作のコントロールが出来ない
患者さんにP-Sを留置したことがありますが・・・
それが良かったかどうかは不明です
スパスムの発作自体にも波があって、薬剤抵抗
の時期があると思えば、すっとコントロール良好になったりと
なにがどう効いたのかもわかりませんでした

************************************

○○です。

スパズム-泰江先生と来たからには、一発レスいれます。
まずは、再度アンギオすることをお勧めします。かつて○○先生と経験した症例です
が、LAD #6の25%にSpasmがビシビシおきていた患者さまが、
Ca拮抗剤で一旦落着いた後退院。ところが一年後UAPで受診されました。Full
Medicationしても発作頻発のために、「25%にステントいれるべ」と、アンギオする
と見事に99%に進行していました。ステントいれて難を逃れましたが、時にスパズム
Siteは異常な速さでプログレします。要注意です。

次に、狭窄がないことを確認したら、“ステント”は止めておいたほうが無難です。
多くの患者様はMultivessel Spasm(多枝攣縮)であることがあり、ステントは有効な
治療法になり得ないことがあるからです。太古の昔、研修医であったころ、心臓カ
テーテル検査時に(先輩方が)RCAにAchをいれてSpasmを誘発させ、(ニトロでSpasm
を解除せず)患者様には胸痛を我慢いていただき、スポンタンにRCAのSpasmがおさま
るのを待って、次ぎにLCAにAchをいれてSpasmを誘発するという恐ろしいことをされ
ていましたが、結構両冠動脈に攣縮が起こっており、研修医ながらビックリしたのを
思い出しました。

我慢強くコンサバに治療することが一番です。僕が今診ている患者様はHerbesser R
(100) 4Cup !!, シグマート, アイトロールでようやくSpasmを押さえ込んでいます。
この方はもともとペースメーカが入っていて、ヘルベッサーは強気でいれられるので
助かっていますが、菊池アニがおっしゃられるようにDisease Activityがおさまるま
でガンガンいくしかないと思います。ちなみにビタミン系はあまり効かない印象があ
ります。

じつは半年ほど前に、RCASpasmの患者様が、明け方心停止で救急外来に運ばれてきま
した。結局お亡くなりになられたのですが、ご家族のお話ではお薬を自己中止され、
ニトロも持っておられなかったとのことでした。この患者さまも多枝攣縮であったん
だろうと思いますが、大変悔しい思いをしました。
たかがスパズム、されどスパズムです。Disease Activityが高まっている患者様は、
安易に開業医の先生に紹介せず、Disease Activityがおさまるまで根気良く頑張るし
かない。と思います。

************************************

○○です。

 昔、AchとEMの同時の負荷(Achで出なければEMまでかける、Achで出ても寛解するま
でまって EMをかける)なんてことをやっていた頃を思い出します。
どうしてもコントロールがつけにくい時には ヘルベッサーR 200mg 2xにアダラートL
40mg 2xを使っていました。当時、ニフェジピンとジルチアゼムの組み合わせが最強
であると聞いていたのですが、相加作用でなく相乗作用になるということでした。ア
ムロジピンは今一つというように言われていました。
 また、カルシウム拮抗剤だけではコントロールが難しいときにはシグマートを加え
ると反応がよくなる症例があると聞いたこともあります。
 いずれも理論的な背景ははっきり解りません、薬剤を用いる場合、どういった組み
合わせが最良なのか、皆さん各々の経験則があるでしょうが・・・ 私は今でも上記
の方法を踏襲しています。やはり薬剤で押さえ込むべきでしょう。
 ニトロ後の造影で25%程度の場所にStentを入れるのは下策でないかと思います。

************************************

○○です。

私も再度アンギオすることをお勧めします。○○先生(青森ではお世話になりまし
た。)のご指摘のように急激に進行する例がありBMIPP心筋シンチで欠損が認められ
予後不良だとされています。あとmedicationについてはc−AMPがらみでカテコラミ
ン、テオドールなどの裏技もあります。

************************************

○○です。

私もコントロールの難しいVSAを数例経験しています。
特に昨年頭を悩ました症例があります。
45歳の女性なのですが、右冠動脈のスパスムスは確認しております。
この患者様は胸痛後にVTよりVfを生じ、昨年だけでも2度死にかけています。
このときも心マをしながら、アダラートを舌下をすると血圧が触知
できるようになるという・・・・
私もスパスムスの部位にステントをと考えたのですが、現在は下記のような
内服で発作のコントロールはできています。
スパスムスをある期間押さえられると、コントロールしやすくなるようです。
ちなみに昨年、新たに病変が出現したのではと考え3度CAG試行しましたが、
いずれもnormal coronaryでした。
参考までに処方内容をお知らせいたします。 いろいろ試したのですが(漢方薬
も含め・・・)
やっとこの処方で落ち着きました。昨年は8回入院(うち2回はVf , 心停止、3
回は心不全併発)
今年の4月より入院はおろか、救急外来受診も1度しかなくご本人は快適
だとのことです。
今後の課題としては、どのタイミングで処方を減量しようかと・・・・
ちなみにこれだけの薬漬けでも血圧は120台です。

RP)1.シグマート 4T
   アイトロール4T/4X1
  2.ヒルナミン 3T
   ヘルベッサー3T/3x1 朝、昼、寝る前
  3.アダラートCR 2T/2x1起床時、寝る前
  4.ワソラン6T/3x1 10 時14時 夕食後 
  5.アダラート(10)カプセル5C/6時10時14時18時22時に舌下
  6.ミオコールスプレー/運動時、入浴前に2puff

************************************

○○です。

○○先生に遅れましたが、泰江門下生として一言。

薬剤抵抗性のVasoAPは悩ましいものです。

○○先生の言われるニフェジピンとジルチアゼムの相乗作用はジルチアゼムにニフェ
ジピンを併用するとニフェジピンの血中濃度が上がる作用だと思います
(Hypertension 1996;28:109-114)。

治療は、みなさんが言われるようにorganicの進行のない事の確認と、嵐が過ぎるの
を待つ事だと思います。

ビタミンCやEなど抗酸化ビタミンは論文では効果があるとなっていますが(Kunihisa
Miwa, Vitamin E Deficiency in Variant Angina、Circulation, Jul 1996; 94:
14 - 18)、実際、○○先生の言われるように薬物抵抗性VasoAPに効いたという印象
はあまりないです。しかしながら、教科書的には試してみるべきと思います(わたし
もその昔、VasoAPのビタミンE濃度を測った事がありますが、健常人と有意さはあり
ませんでした)。その他血管内皮が元気になるようにスタチンなんてのもどうでしょ
うか??(ただの思いつきです)。スタチンをいれたら3日で内皮機能が改善するな
んて論文がありましたっけ?

ステントを入れて効いたという症例報告は地方会で聞いた事はありますが、長期予後
に関しては如何なのでしょうか。

************************************

○○です。traの皆様、たくさんの返信ありがとうございました。
おかげでモヤモヤもすっきり。tra-netは最高!また些細な質問するかもしれません
がよろしくお願いします。

入院前の処方がバファリン81、リピトール10 1x。アダラートCR40、アイ
トロール40、ヘルベッサーR200 2x。 カルグート10 2x。アシノン1
50 1x。でした。ユベラN200mgも試しましたが無効な印象で中止してます。入
院後、ニトロール3mlでdivしつつ、シグマート20、カマ1g 2x、セルシン5mg
を追加し、なんとか鎮圧してます。入院後の数時間はニトロールdiv下にも発作が頻
発、ミオコール、マグネゾール注なんかもしましたが効きは今一で、アダラート5mg
とデパス0.5mgを同時に内服させた後ピタっと発作がなくなりました。有効だったの
かもしれません。○○先生をはじめ、皆様の処方量からみるとまだ全然処方量が足りな
かったのですね。井の中の蛙でした恥ずかしいです。
pub-medでvariantAP治療を検索すると、stent治療例がたくさん報告されていて、最
後の切り札として使おうと思ってました。有効例しか報告されてないのですが、
spasmが誘発されなくなるとか、薬が減量できるとか、resteはないとかpositiveな論
文ばかりで。stent治療は完全否定されるものなのでしょうか?実際stent治療された
方はtraにはいないのでしょうか?
VariantAPのspasm-siteはfocalであると認識してましたが、そうではないのでしょう
か?アセチルコリン、エルゴノビンで再現性はないというお話がありましたが、本当
にそうなんですか?泰江先生門下の皆様どうなんでしょうか?
僕の患者も前医を含め2度ほど死にそうになってます。○○先生のすさまじい症例のよ
うにVfを呈する場合、ICDなんかの適応はどうなんでしょうか?
僕の症例ですがmedicationを躊躇無く増量、落ち着いたらCAGしてみます。皆様あり
がとうございました。

************************************

○○です。

○○先生に質問です。
1)アダラートが内服ではなく、舌下なのは何故でしょう?
2)また、ヒルナミンはVSAに対する作用があるのでしょうか?
それとも神経症や不安に対して使用されているのでしょうか?

************************************

○○です。

> spasmが誘発されなくなるとか、薬が減量できるとか、resteはないとかpositiveな

> 文ばかりで。stent治療は完全否定されるものなのでしょうか?実際stent治療され

> 方はtraにはいないのでしょうか?

stent治療により次々にspasmが誘発され、stentだらけになってしまった症例が以前
東海北陸JSIC地方会(失念)で報告されていました。

私は嵐が過ぎ去るまで待つ方に 一票。

************************************

○○です。
> ○○先生に質問です。
> 1)アダラートが内服ではなく、舌下なのは何故でしょう?
初めは発作時に舌下をしていたのですが・・・・頻回発作で一日に4〜5回は
舌下させていました。その後
アダラートCR+アダラート内服としてました。
しかし患者さんから、舌下の方がいいと言われこのような処方になりました。
実際これ以降は入院歴なしですので
内服より効いているようです。一過性に血中濃度を上昇させ即効性があるのでと
思っていますが、特に深い意味はありません。
舌下の時間は発作を訴える時間にあわせています。(特に早朝、昼の運動時
によく起こっていました。)
> 2)また、ヒルナミンはVSAに対する作用があるのでしょうか?
> それとも神経症や不安に対して使用されているのでしょうか?
不安に対してです。この患者さんは30歳頃よりVSAと診断
されていたようですが、離婚後より
大きな発作を頻回に生じるようになりました。心因製な要因が強いと思って
様々な薬を使用しましたが
ヒルナミンが最も効果があった印象でしたので・・・・

************************************

○○です。

○○先生ありがとうございます。
大変参考になりました。

************************************

○○です。

VSA とVF についてコメントさせていただきます。

当院では昨年からVSA 2例にICDをいれました。
両者とも発作時にVFで心肺蘇生を受けている患者です。
1例で1年以内にICDの適正作動がありました。
VSAの発作は薬で完全におさえられるとは限らないので
VFをおこす人であれば適応と考えます。
○○先生の症例でしたら当院ならICD入れると思います。

************************************

○○です

先日VFで運ばれてきた患者さんがいました。
幸いにも蘇生に成功し、
蘇生後の心電図ではST上昇が確認されました。
落ち着いた時点でアセチルコリンやって陽性でしたので
VSAとの確定診断をつけました。

VFはspasmが原因であろうと思いましたが、
EPをやってみますとspasm抜きでもしっかりとVTが誘発されました。
この方にはICDを植え込みました。

HolterなどでST上昇後にVF出現が確認されているなら問題ありません。
しかし、VFで運ばれてきたような患者の場合、
果たしてVFの原因が本当にspasmであったのかどうかは判らないと思います。
EPを行った上でICDの適応を検討すべきではないでしょうか?

************************************

○○です

 ○○先生 ICDの適応にするのはいささか難があるのでないでしょうか?
こういったSpasmに伴うVfは「一過性または可逆性異常による心室性頻脈性不整脈」
で 我が国のガイドラインではclass 3です。AHAのガイドラインでも class3です
基本的にはspasmのコントロールをつけることにつきると思います。
 仮にコントロールがどうして持つかない状態でVfが生じて ICDが作動したとして
も、虚血が解除されていないのであれば、Vfを止めることは困難と思われます。
Vf状態からDCをかけると(自律神経の働きなどで)spasmが解除できるといった裏付
けがあればいいのですが。
入れたくなる気持ちは分からないではありませんが、有効性も明らかでないのに入れ
てしまうのはどうかと思うのですが いかがでしょうか。

************************************

○○です


昔々、大学でホルターの仕事をやらされていた時にはいわゆるVariant anginaの症例
が多く集まりました。また、今ほどlong-actingの薬が無く病棟でも何回もST上昇を
伴う発作をモニターで見ていたような気がします。Tdp / VTはむしろST上昇の極期よ
りもあと、すなわちreperfusionの時期に多かったような気がします。これを考える
とICDが作動するのは虚血が解除されかかっているときが多いかも知れません。
また、冠攣縮性狭心症は日本人に多く(泰江門下生の先生方すみません...)、ICDの
適応を考えるときには日本人はちょっと特殊なのかも知れません。ICDのテーブルディ
スカッションなどの際にはほとんど100%が不整脈関係の先生方ですので今話題になっ
ているような「ものすご〜い治療抵抗性の」冠攣縮性狭心症はあまりみたことが無い
のかも知れません。教科書的には適応無しと思いますが、このような症例がいたらも
しかしたら入れてしまうかもしれません。私自身は虚血も不整脈と二またをかけてい
る状態なのですがこのような患者さんにはまだICDは行ったことがありません。

○○先生、その適正作働はどういったタイミング(胸痛発作との時間的関係など)わ
かることがあったら教えてください。 まさかテレメトリーの心内心電図でST変化と
か分かりませんよね.....

************************************

この度TRA-netに入会いたしました、○○病院の○○と申します。

先月まで○○先生のもと同院にてTRIのトレーニングを積んできましたが、突然
の大学人事で○○先生が大学にご帰還されてしまい、ひとり取り残されてしまい
ました。
さらに、若干31歳、6年目、PCI歴120症例程度(中TRI 100症例程度)にもかか
わらず、事実上のangio & PCIの責任者に君臨してしまいました。
指導医の居ない中、このままではいけないと感じ、諸先輩方の匠の技をメーリン
グリストを通じてイメージトレーニングしていきたいと思っております。
若輩ものではございますが、よろしくおねがいいたします。

************************************

○○です。
 
先週、兵庫医大ミニ・ライブに参加させていただいた後、すぐにtra-netへの入
会をお願いしました。
○○病院は大阪府○○市にあるPCI 160症例/年の施設です。
当院は関西で最初にTRI(TRA)を行った施設らしいのですが、今では私がたまに
施行する程度になってしまいました。
このままではいけないと思い、現在、頑張っております。
これからもどうぞよろしくお願いします。
 
京都市出身、平成7年○○医大卒です。

************************************

○○です。

VSAとICDの件では、言葉が足らず、誤解を招いた可能性もあるので、
お詫びを申し上げます。
当院の症例の経過を説明します。
58歳男性で、胸痛の既往なし。警備員の仕事中、平成14年4月
朝6:30突然うめき声をあげて倒れる。
側にいた同僚が、脈が無いのを確認し、心マ開始。
10分後に救急隊到着し、VFを確認し、DC2回で戻る。意識300。
当院搬送。心エコー:異常なし。救命センターで低体温療法施行。
復温後、抜管。意識回復。
第20病日、トイレに行きたい、と言った後突然意識消失、心肺停止。
ECG : VF。DCでsinusにもどる。
この時点で、2回のVFによる心停止のため、ICDの適応と考え
意識の回復を待ち、ICD 植え込む。
その後、心カテ、EPSを施行。
CAG:正常、Ach 20μで#6-99、#11-total, ISDNで改善。
その時胸痛なし。ECGもV2,3でSTが1-2mm下がる程度。VFなし。
EPS:RVOT 3発刺激でVF誘発されDC。

以後:アムロジン5mg, アイトロール3Tで外来follow となる。
9月:朝8時10分自宅のトイレでうめき声をあげ、倒れているのを
家族が発見。救急隊に連絡し、直近の病院から当院搬送となる。
ICDのEGMではVTが3回おき初回は自然停止、2回はICDで停止、
その後VFが3回おき、すべてICDが作動し停止している。
不整脈の嵐は8時10分から17分の間に出現していた。

その後、再EPS、CAG。
ISDN投与下でのAch負荷20μでRCA#1-99%。ICDのback up
pacingとなるが、ペーシング波形でII, III, aVF, V1-3で著名な
ST上昇波形あり。VFにはいたらず。
ISDN投与下でRVOTの3発刺激でVF誘発される。

以後バファリン、アイトロール4T、シグマート3T、アムロジン5mg
でfollow中だが、VFの再発はない。

結局、VFの症例にICDを植え込んだら、実はVSAであったという症例です。
たしかに、VSAはICD治療の適応外(私もその時点ではそう思っていた)
かもしれませんが、この患者にもしICDが入っていなかったら、助からなかった
と思うのですが、いかがでしょうか?
この症例を経験してから、VSAであってもVFを繰り返す症例には
ICD をいれた方が良いのではと考えるようになりました。
AHAのrecommendationは尊重すべきと考えますが、
逸脱した症例から新しいエビデンスがうまれることもあるのでは、
と考えています。

>○○先生 ICDのEGMではST(?)の変化がありますが、意味づけは
難しいと思います。

PS : JOEステントについては、適応を破るつもりは誓ってありません。

************************************

○○です。
その昔、私や○○先生が研修医だった頃、熊本大学の臨床的なスパスムの研究はすご
いものでした。
カテ室ではアセチルコリンの投与がはじまるは、病棟では色々採血されるはで患者様
は1ヶ月の長きにわたって濃厚な検査(!)を受けられました。その中には、当然新
薬の治験や薬効評価がありました。ホルターをつけて発作の回数を有症候性と無症候
性で数えさせられました。ひどいときには病棟のモニター番をしてSTが動いたら12
誘導をとりに病室に行ったりしていました。そんな事をしていると、泰江先生はうれ
しそうに自分の若いときの事をお話しされるのです。”その昔患者様のとなりに寝
て、発作が起きたときに、腕と腕を結んだヒモを引っ張ってもらって、心電図をとっ
た”ことや、”夜中に患者様にカテ室に寝てもらっていて、発作が起きたときに造影
した”ことなどを。緊急カテのない時代に、公立病院でそんな事をするなんて、やは
りただ者ではありません。
 
 その時の感想では、
@β遮断薬はよくしない(世間でいわれるように悪くするかは解りません)、
A硝酸薬は発作の寛快には有効だけど、予防効果はあまりない(半分くらいにはなる
かな)、
BCa拮抗薬は薬剤で差があって、アダラートとヘルベッサーは効果が絶大だけど、ペル
ジピンや
バイミカードはいまいちかな、コニールは全然効かない という印象があります。薬物

投与量(血中濃度)の問題ももちろんあり、アダラートL10mg 2錠 分2 朝後・寝
る前 では効果が不十分だった様に記憶しています。(Ca拮抗薬投与がVasoの予後改
善の独立した因子である事はCirc 78, 1-9, 1988 の泰江先生の論文をご参照下
さい。)
 また、個人的な経験ですけど、自分が心不全をしていた時代があり、PRAISE 
studyの結果が出た際、Vasoの患者様のヘルベッサー・アダラートを片っ端から中止
してノルバスクに変更した事があります。すると、それまで何年もおきてない発作が
再発した例が、結構あり患者様に恨みを買った事があります。この時、アムロジンは
狭心症に対する容量設定を間違えていて、少なくとも10mg入れないと効果がないよう
に感じました。また、抗スパスム作用は弱いように感じました。
 ○○先生の症例ですが、ヘルベッサーやアダラートに変更してみたらICD作動の頻
度は減るでしょうか。というのは、当院でもVSAでフォロー中に失神を来して来院さ
れ、、最終的にはブルガダ症候群の診断にいたった例があります。Vaso+αの可能性
を疑うのですが如何でしょうか。それこそ、ヘルベッサーをfull dose 内服下にアセ
チルコリンなしでISNDを冠注し、それでもVTが誘発されるなら、別物と診断してもい
いように思いますが、そこまではしませんか?

************************************

○○です

 ○○先生、大変難しい症例でICDに至った経緯もよくわかりました。
ここで論点を整理しておきたいと思うのですが。 
まず 致死摘心室性頻拍の出現(基質)が一過性のものなのかどうかがポイントにな
るかと存じます。これは、○○先生も述べていらっしゃるように「電気生理学的検査
で誘発できるかどうか」が判断の根拠になると思われます。
VSAで固定性の心筋障害(心筋梗塞といってもよいのかもしれませんが)がない場合
は、理論的にはSpasmが生じていなければ正常な心臓であるはずですから、spasmを抑
えきれれば、その後ICDは必要はなくなります。つまりclass3ということになります。
 しかし、電気生理学的検査で誘発された場合は、何らかの不整脈の基質が残ってい
る状態であり、心筋障害部位がある(心筋梗塞になった部位、あるいは偶然に他の器
質的心疾患を合併している)と判断され、この場合はclass1に該当するということで
よいのだと思われます。
 結局、一足飛びにICDに進むのではなく、電気生理学的検査は必須と言うことです。
 誘発ができない症例でも、「薬物でSpasmを抑えきれるかどうかわからないので、
予防的に植え込みが必要である」と考えるかどうかは、最後は各々の医師の裁量にな
るのでしょうが、その前提としてfullに薬物療法をしていることが必要だと思います。
ガイドラインが完全無欠とは思いませんが、治療の道標として我々自らが(学会の偉
いヒトが決めたことで自分は認めないといってしまえばそれまでですが)定めたもの
なのですから、それからはずれる場合は後の検証に耐え得る慎重な姿勢が必要だろう
と思います(もちろん患者さんへの十分な説明(通常でない治療であることも含めて)
も)。
 堅苦しいことばかり述べて申し訳ありません、実際の臨床では建前通りではないこ
とは重々承知しています。

************************************

○○です。

TRA-netに入会させていただき、有り難うございます。当院では、
若手のカテ教育や病棟の問題などもあり、TFA&TFIがメインで
TRAすらまれという現状です。このままではいけない、とTRAを
導入すべく、いろいろと勉強させて頂きたく、入会させていただき
ました。どうぞ、よろしくお願いします。

************************************

○○です


アムロジピンについて一言、ニフェジピンから切り替えるときには要注意です。血中
濃度が上がるまで時間がかかるのでいきなり切り替えで発作がよく起きて文句をよく
言われました。切り替え時にはアムロジピン10mgスタートで数日から1週間程度
重ねないとかなりの確率で発作が起きますがその時期を過ぎると安定します。もちろ
ん重症例ではジルチアゼム徐放製剤の併用です。当院ではこの方法でニフェジピ
ン80mgとか160mgでも発作が起きてた症例はコントロール出来るようになってます。

VSA+αを疑うのは当然と思います。

************************************

○○病院循環器科の○○です。
ご登録いただきありがとうございます。

当院では、心カテを80%近くTRAで行っています。
PCIは100例弱/年です。

この、メーリングリストで経験交流をしたいと考えています。
よろしくお願いします。

************************************

TRA-net に入会させていただきありがとうございます。○○医大の○○と申します。
当院では市中病院よりも症例が少ないのが現状で、その中で研修もなされなければな
らず、ほぼ全例 TFI という状況です。今後は、徐々にTRA &TRI を導入していこうと
考えています。
そのためにもこちらで勉強させていただきたいと思っています。よろしくお願いいた
します。

************************************




第87集



************************************

○○です。
今年の6月より○○病院に異動となり、○○先生の下で修練させてもらって
おります。
さて、先日、当循環器内であることが話題になりました。というのは、ACSで緊
急カテを行う際にculpritと思われる方から造影するべきなのか、culpritと対側
から造影するべきなのかということでした。たわいもないことなのですが、ちょ
っと気になります。
○○先生と話しtra-netでアンケートを取らせて頂き、面白そうな結果であれば
湘南鎌倉で発表させていただこうかと考えております。

@culpritより造影する or culpritと対側より造影するのどちらか 及びAそ
の理
由を御施設名、お名前を添えて下のアドレスまで返信していただけると幸いです

************************************

ウーン?

○○です。
 どちらから造影するか?ですが、僕はCulpritと思われる方から、造影していま
す。理由は、
 @: 後にCulpritではないと思われる(ほとんど当たりますから)冠動脈を造影
しているうちに、必要なカテーテルとかイメージされるデバイスを取りそろえることが

来、時間的無駄がないと思うからです。

 これは、○○病院で受け継がれてきた方法であり、少しでも早く責任病変に対し
ての治療を開始したいとの意思の表れと思います。
 この方法で、しくじったことは少ないように思います。 
 
 A:その昔、対側から造影していたような気がしますが、理由は何でしたっけ??
? 既に忘れてしまいました(最近、物忘れが激しくって!)。

************************************

○○です。

僕は、○○先生とは逆で、対側から必ず造影しています。

その理由は、culpritは造影をしただけで、flowがさらに悪くなることがあります
ね。ここで対側を先に写して、すでにその情報がわかっていれば、1ショット撮影し
ただけで、後は、すぐにcuprit側をガイドカテに変更し、造影をしながらも、必要が
あればすぐにPCIに移行できる体勢を作ることが可能です。culpritから造影すると、
そこでculpritがdelayになっても、対側をみるまではガイドカテを入れられないと思
います。

************************************

○○です。

AMIに関しては、基本的にculpritとおぼしき血管から造影しています。
理由は○○先生と同様で対側を造影している間にPCIに必要な物品のセットアップが
できるからです。
一番速いのは対側を造影して、ガイディングカテをculpritに入れる方法でしょう
が、必ずしもガイディングがフィットするわけではないので、診断カテのengage具合
を参考にガイディングを選んでいます。病変によっては6F,7F,8Fの選択も必要です
し。昔、ICTを行っていた場合には対側からしていましたが、今はPCIが前提ですので
・・・・。

************************************

○○です。

近頃TRI後閉塞radial a.に対してPTAやったり、
femoral a.のCTOに対してPTAやったり…忙しいのか
暇なのかわかりませんが、ま、とにかくROMながら
秋の夜長にTRA -netだけはしっかり読みこなしてお
りました。○○先生のご質問にお答えしますと

@対側から造影します。
A理由は○○先生がかかれているように最初に対側
を確認しておけば、あとはculpritにかかりっきり
になれるからということです。戦略を立てるときに
collateralの状況がわかっていることは大変重要な
ことだと考えております。また3VDやLMTDの場合、
culpritの冠動脈にガイドカテをengageする前に、
CABGの手配が可能であること、IABPのstandbyが可
能であることも理由に挙げます。

************************************

○○です。

施設のやり方としては○○先生と同じです。
理由も同じです。昔から(何となく)そうしているのが正直なところかもしれませ
ん。

責任病変がLADならカテ前診断にまず間違いはないでしょうが、下壁(側)だと回旋
枝末梢病変のことも良くありますね。または、いやーな予感のする場合は左バルサ
ルバショットでLMを先に確認しておきます。

個人的には、
1)入り易そうな方から、とにかく早く、造影剤も少なく、左2-3ショット、右1-2
ショット造影。

2)すぐにGCに交換。

もしくは、下肢アプローチで、診断カテを節約して共用カテを使用する場合には左か
ら造影します。右から造影するとカーブが伸びてしまって左に入りにくくなるからで
す。

************************************

○○です。

私も上司から責任血管の対側から造影するように指導を受けたと思います。
理由は○○先生と同じです。
後輩にも同様の指導をしています。

血行動態安定例と不安定例では造影の順番が変わる術者もいらっしゃると思います
が、私はショック例の場合も補助循環をセットアップしている間に必ず一方向は対側を
造影してから責任血管をPCIするように指導しています。理由はまず全体像を把握した
ほうが良いと考えているからです。

************************************

○○です。

私もその昔、上司から”対側から先に造影してcollateを先に見ろ”と言われた
ような気がします。

しかし、今の私はculpritから造影しています。理由は単に、見たい、知りたい
欲しい情報を一刻も早く把握したいという欲からでしょうか。
(ごちそうが並んでいたら、私は好きなものから箸を付けます)

○○先生の意見はもっともだと思います。
しかし、もし患者がショック状態の場合でLMTがTotal か Delayだったら、
ガイドカテに変更する時間が待てなくて、造影カテのまま035のワイヤーでflow
を出しに行くと思います。
こんな性格ですから、患者が重症であればあるほど、やはりculpritから造影し
たくなります。

************************************

○○と申します
亀レスですが続報です(もう皆さんご存知でしょうか・・・)

昨日1か月半ぶりにPentaを使用しました
オレンジペンタです
今回使用した理由は「置いてある2.75mmのステントが
Penta以外になかった」からです
Guidantの担当の方の目が訴えていたのもありますが・・・
「保護シースの色は関係なく,今当院に持ってきているのは
対策済みの新しいものです」と強調されていました

で,その方のお話によると
社長名入りの文書がそう遠くないうちに配布されるようです

それと,ご経験のある先生がいらっしゃいましたら
教えていただきたいことがございます
昨日のTRIの患者さんですが,ガイドワイヤが小動脈に
迷入し,シースorガイドカテで損傷したために
術後右上腕が腫大しました
マンシェットで加圧して経過を見ておりましたところ,
腫大は止まったようですが,右上肢全体に大小多数の
水泡を形成してしまいました
(マンシェットで圧迫していない部分がむしろメインです)
穿刺部の動脈拍動は良好です
疼痛は軽減しつつありますが,以後どのような点に留意して
経過を見ていけばよろしいでしょうか?
私自身としては初めての経験で,対応が適切でなかったかもしれません
ご教授くださいますよう何卒よろしくお願い申し上げます

************************************

○○です。

 私は○○先生と全く同意見で先にculpritを見ます。PTCRの時代は、1)対側造
影、2)責任病変造影、3)引き続きその診断カテからICT、が無駄のない流れでし
たのでこの順番が全国標準だったと思います。PCIの時代になりoperatorの”せっか
ち度?”によってvariationが生じたのだと思っています。
 ただ、ひょっとして誤解のないように、私も含め先にculprit派の先生は多分、対
側造影をPCI治療後まで後回しにしてるわけではなく、culpritの造影に引き続き行っ
ていると思います。ですから、collateralも含め冠動脈全体の情報をPCI治療の前に
十分得ていると思います。その意味ではどちらを先に写してもせいぜい1-2分の違い
なので大きな差では無いのかもしれません。

 しかし、血行動態が安定しないAMIへの造影は時に僕も順番が重要と思います。
 当院は3次救命救急センターでショックAMIが比較的多く搬入されます。その経験か
らですが、特にLMT(もしくはそれに準ずる多枝閉塞)のAMIではculpritの造影よ
り、むしろ対側造影の方が危険ではないでしょうか????
全心筋灌流が依存した対側冠動脈を先に造影をするとそれだけで一気に循環動態が
collapseすることがままあります。当院では、まずculpritを造影、LMTもしくはそれ
に準ずる最重症例であれば即補助循環(主にPCPS)、その後に対側造影としていま
す。是非、他施設のご意見を・・・!

************************************

  LMTのAMIは一刻も早く開存させたい気持ちはよくわかりますが急いで035wireを
通過して再灌流しても高度のslowが必発で血行動態はむしろ悪化することが多い気が
します。僕もせっかちですがLMT AMIでは急がば回れで、PCPSでまず全身循環を安定
させてからPCIをするのが救命の近道だと思っています。

************************************

○○です.

○○の補足です.
当院はまずculpritから病変を撮しますが,理由は
@○○大先生がおっしゃるように閉塞病変の形態を確認し(病変が確認できれば治療
の方向性が見えてきて何となく安心できますよね),対側を撮している間に治療に必
要なカテーテルとかイメージされるデバイスをセットアップすることが出来るからで
す.ただしフル造影はしません.病変が確認できれば1方向または2方向くらいで対側
に移ります.
A○○先生がいわれるように対側造影にて血行動態がかえって悪化する場合がある
からです.その時にculpritの形態を把握していないとかえって焦ってしまうことに
なりませんか?
culprit側の造影で血行動態が不安定になるような重症例なら,それこそそのまま
culpritの処置に移るか血行動態の安定化(IABP,PCPSなど)を図ればいいので
す...と思います.

************************************

○○です

当院では昔からCulpritの対側より造影していました

まずはおそらくCulpritの情報をCollateralから少しでも
分かりますし、それによってCulpritの造影にも注意が必要かどうか
わかる場合もあります

ただし、ショックの場合はまずは悪いと思う方から造影して
すぐにPCIをします
当然先にIABP、場合によってはPCPSのセットアップはします

************************************

○○です。

> 昨日のTRIの患者さんですが,ガイドワイヤが小動脈に
> 迷入し,シースorガイドカテで損傷したために
> 術後右上腕が腫大しました
> マンシェットで加圧して経過を見ておりましたところ,
> 腫大は止まったようですが,右上肢全体に大小多数の
> 水泡を形成してしまいました

シースはどれでしょう。スーパーシースでしょうか?
あの細くて長くて硬いシース用のGWが迷入したのではないのでしょうか。
そうでしたら私にも経験があります。ほとんど抵抗なく上腕の枝にGWが入ってしまい
ますので、術後パンパンに張ってしまいました。疼痛対処のみで事なきを得ました。

皮膚の水泡ですが、これは同じ側に点滴でも入りましたでしょうか?
私の経験ではたまたま点滴がうまく入らず、点滴ルートを変えたところにこの現象が
起き、おそらく組織圧が上昇しているので点滴が皮下にもれて広範な熱傷様の状態に
なりました。

これも対症療法ですが、広範熱傷に準じて皮膚科にコンサルトしました。

************************************

○○です。

○○医大ではPenta脱落のあおりを受けて、○○先生の”5Fr. de Percu”のすご
さが宙に吹っ飛んでしまいましたが、○○先生の名誉の為にもちょっとフォロー
させて頂きます。

個人的にはあんなにデブリが取れるとは思いませんでした。なるほど、これは有用だと
思いました。
あの手技の最中、カテ室の後ろの方ではいったいどこまでガイドカテを入れるん
だろうという話になりましたが、次の瞬間RCA#3のカーブを超えてガイドカ
テが入ると、若い先生から”すげー”との大きな驚きの言葉が出ていました。
そしてデブリもあれだけ取れたのですから、現場で見ていた若い先生方には非常
に勉強になったと思います。

P.S.
その時カテ室の後ろの方では、もう一つの疑問を論議していました。
それは、”ステント拡張直後にステントを越えてガイドカテをDeepに入れてもス
テントストラットが壊れることがないのだろうか?”という疑問でした。後から
○○先生に聞いてみようということで終わったのですが、その直後にあの事件が
あって聞きそびれてしまいました。○○先生、どうでしょう?

でも結果的にはステントストラットが無かったから壊れるはずないよね。(笑)
あれ!?、このメール、フォローになってないかもしれない。

************************************

○○と申します
早速ご教授いただき感謝申し上げます

ご指摘の通り,スーパーシースです
シース附属のGWの走行がいつもと違うのは透視で確認したのですが,
そのGWではどうしても本幹方向に向かないため,
結局シースを挿入しました
16-17cm長ですので上腕動脈までには達しないだろうと
思ったのですが,よく考えると小柄な高齢女性でしたので
注意するべきでした
ガイドカテを上げるときの035Jワイヤは難なく本幹方向を
上がっていきました

点滴は対側上肢にしています
アプローチ側は前日に採血針を刺した可能性があるぐらいでしょうか
(確認はしていません)
当院は総合病院となっていますが,現在皮膚科常勤医不在です
明日非常勤医が来院しますので,コンサルトします

************************************

○○です

昔、○○のアニキと、○○先生と、私と一緒に仕事をしていると
きに、どちらから先に見るかと論議になったことがありました。
結論は......どうなったか忘れました。
たしか「おいしい方から見るに決まっているだろう!」という結論だったと思ったの
ですが....
現在、○○病院ではどうしているのでしょうか?
アニキのコメントをお待ちしております。

現在○○では、...あまり考えていないのが現状です。
ルーチンで右から見ることが習慣になっていますので、助手の先生から何も考えずに
右から診断カテを渡されると、責任病変がどちらでも右から造影していると思います。

************************************

○○です

"5Fr de Percu"...下品なワザで済みません...

> ”ステント拡張直後にステントを越えてガイドカテをDeepに入れてもス
> テントストラットが壊れることがないのだろうか?”という疑問でした。
以前、deepの時にステントにGCがカチカチ当たる感じが気になって、後日IVUSをし
たことが有りますが、特にめくれあがっている所見は無かったです。ちゃんと密着し
ていました。
一応、deepの際にステントのproximal edgeに引っかからないように、stent balloon
を完全に抜かないで軸にしてdeepすることを心がけています。

"5Fr de Percu"のstentingは「病変が柔らかく、確実に拡張すること」という条件が
付くと思います。
preで病変を探るのも大切と思いますのでdirect stentingでは"5Fr de Percu"はやっ
ていません。

> でも結果的にはステントストラットが無かったから壊れるはずないよね。(笑)
すみません、いつも笑いをとってしまって...

余談ですが、ある有名な先生があるlectureの時に、deep engageをdeep throatとおっ
しゃいました。
これは、本当の話です!(いつも下品ですみません...)

************************************

○○でございます

それは当然「おいしいほう」から造影してます。デバイスを準備させている間に反対
側を造影しています。反対側の造影が終了したとたにガイドカテを握りしめてその2
〜3分後には吸引デバイスかバルーンかステントを握っているように心がけておりま
す。反対側から造影というのは血栓妖怪術時代の名残りと思っていました。例外は診
断カテのエンゲージが困難な場合には新しいカテを袋から出す時間に耐えきれずに反
対側を造影しているくらいのものです。危惧すべきはLMT lesionでしょうけど少しで
もそれが考えられる場合には特注Ultra short tip lt-judkins(Locan Name
"Kaga-Special")を用いています。PCPS入れるにもIABP入れるにもculpritから造影し
て早く診断した方がいいのでは?

PS : 5FrGCのパワーでバルーンを同軸とした場合にはステントは壊れそうにもあり
ませんと思います。

************************************

○○です。
以前(10数年前)湘南鎌倉にいたときは、非責任側から見るように教えられまし
た。でも最近は、責任病変側をみて、その間次の戦略を練りながら、対側見るよ
うにしてます。LMT病変が心電図上、予想されるときは、対側造影からは厳しい
かなと思います。

************************************

○○です。

マンシェットは腕の付け根で加圧してたのでしょうか。これを長時間続けると、腕全
体がパンパンになりますから、 コンパートメント症候群のような状態になってし
まったのではないでしょうか。当院での経験では、出血点を確認してそこだけを圧迫
しております。

> 穿刺部の動脈拍動は良好です
> 疼痛は軽減しつつありますが,以後どのような点に留意して
> 経過を見ていけばよろしいでしょうか?
> 私自身としては初めての経験で,対応が適切でなかったかもしれません
> ご教授くださいますよう何卒よろしくお願い申し上げます

前腕が腫大した場合は、筋内圧が高くなると、フォルクマン拘縮というのが起こるそ
うです。内圧が60mmHG以上になると減張切開が必要になります。内圧60というの
は、前腕がかなりパンパンになり、痛みも生じますが、今のところそこまでひどく
なったことはありません。ラディアルアプローチの安全性の一つの証左だと思いま
す。
この症例はシースのワイヤーによるもののようですが、当院ではガイドカテを進める
際に、スワンワイヤーというのを現在使用しています。これはほとんど側枝にはいら
ず、スムースに進みます。湘鎌ライブのmあ先生のセッションの時に、当院のラディ
アルシステムの全容を披露させていただきたいと思います。

************************************

○○です。

昨晩からのホットな議論、とっても勉強になりました。先生方が、自施設でご覧に
なっている患者さんのバックグラウンドは、当然のことながら、微妙に異なりますか
ら、それがstrategyの違いに反映してきている気がします。u-APが多いのかAMIが多
いのか、AMIでもある程度セレクションされて紹介されるのか、3次救急でDOAに近い
人が救急車で直接に沢山搬送されてくるのか、などなどですね。実際、血行動態が安
定していて、完全閉塞であれば、どちらからやっても大きな違いはないのでしょう。
LMTとか、ショックとかの重症例ですが、どちらからやるにしても、クドクド写さ
ず、場合によってはワンショットでさっさと方針を決めて、ガイドカテに変更する。
循環補助デバイス、とくにPCPSは、機を逸せず挿入する、という2点が重要なんで
しょうか? 

話はぜんぜん変わりますが、ACSだけでなく、確かにCTOでも、donner arteryに高度
狭窄があり、解剖学的にどうしてもそちらを先に治療できない場合は、対側造影回数
を制限しながら、ワイヤリングしたことが何回かあります。もちろん、手前側の
proximal fibrous capの穿通とCTOの道筋にある程度自信がもてる症例です。最後の
一枚をコンケストで破くときにおもむろにカテをいれて、対側をワンショット、とい
う感じです。写すたびに、ST下がってきて、不気味でした。対側を写すことのリス
ク、という概念は、重症例を扱うにあたっては、AMI/CTOを問わずきちんと認識する
のは必須ですね。

************************************

○○です。

私も梗塞責任血管の対側から造影を行います。
理由は○○先生が述べられた通りです。

(現在もそうだと思いますが)小倉記念病院では
対側より造影をしており、その流れで今に至っております。
カテのルーツが小倉に辿り着く施設では、対側からするんでしょうか?
”蒙古斑”みたいなものでしょうか?
そういえばアスピリンをガリガリ噛んで頂いたり、(ヴェノピリン静注
なんてこともしてました)最初は小さいシースから始めたり、アンプラッツは
使わなかったり、といったことも教えられました.

それと上腕動脈の血腫のことですが、整形外科で使用する
タニケットを巻いて対応することがあります。
マンシェットと同じような構造ですが、なんとなく
こちらの方が良いような感じが致します。
TRAの際、上腕動脈と並走する小さな動脈が
時々あり(名前は今はよく分りませんが)
ワイヤーの走行もまったく通常と見分けが付かない
場合があります。(若干の抵抗を感じますが、圧は
通常の動脈圧です)
ということでワイヤーはアングル型よりJ型のほうが
良いのかな?と思っています。

************************************

○○です。

ACSに対する造影ですが、

1.culpritと予想される血管から造影しています。
2.理由は、早く責任冠動脈を診断し、戦略を立て準備に
入りたいのと、反対側を造影中に状態が悪くなって責任
冠動脈の診断が遅れるのがいやだからです。後者のよう
な状態になりそうな症例はカテラボ入室後かERでIABP
入れてますので大丈夫な場合が多いですが。

TFIオンリーですので。。。(^-^;

************************************

○○です。Culpritの造影につきまして、
既に話題も出尽くしているところですが、当院では対側から造影しています。昨日も
AMI-LMT, CHF,  
pre-shock症例もLMTが責任病変と判断していましたが、右冠動脈から造影しました。

LAD,LCXに側副血行路が見えてので、左はcusp  
shotのみですぐにガイドカテに変更しPCIを行いました。かなり久々のLMT-AMIでした。

当科では緊急例などstand-by症例については後日フィルムのレビューするのですが、対
側から造影していないと診断を間違えたのかと叱責はされませ 
んが、ちょっと責められます。

************************************

○○です.

つい最近,以下のようなことがありました.
慢性afに対してVVIペースメーカー留置後14日目の患者さんがAMI疑いで紹介入院とな
り,冠動脈造影を行いました.結果は異常なく,翌々日に転院予定としていました
が,検査翌日の昼過ぎから便秘による腹満(と本人は言っていた)と軽度の腹痛を訴え
られ,もしかしてSMA塞栓症?と思い,まず腹単とりました.しかし異常はなく腹痛
も軽減したとのことであったため経過観察としていましたが,翌日明け方から腹部膨
満感が強くなり腹痛も増悪,出勤後呼ばれ見に行ったら明らかにイレウス所見があ
り,造影CTにてSMA閉塞を認め,緊急手術となった患者がおられました.
後日,リスクマネージメント委員会からインシデントレポートを提出してほしいとの
依頼がありましたが,どの部分が“インシデント”に該当するのか分からない(とい
うより納得できない)ため拒否したことがありました.どうも看護師からの「腹痛あ
り」の上申に対して対応が遅く,結果的に診断が遅くなり手術になった...という
ようにとられていたようです.が,実際は上申を受けた後,速やかに診察しSMA塞栓
症によるイレウスを疑い腹単も撮っていましたし,容態悪化は深夜から明け方にかけ
てなので,むしろその時に当直医に上申すべきだったのでしょうが,,それはされて
いませんでした.

そこでインシデントレポートについての質問です.皆さんの施設ではどの程度のこと
から“インシデント”としてレポートされているのでしょうか?最近話題の上腕内出
血(血管穿孔)などは該当するのでしょうが,シース抜去後の再出血,広範な皮下出
血,仮性動脈瘤,感染などはどうなのでしょうか?それ以外にもカテ中のVFなどは?
???....ご意見をお聞かせください.

************************************

○○

インシデントレポートは以前、看護師さんがやっていた
ハッとメモとかヒヤッとメモ的なものから、搬送中に
モニターが患者さんの足に落ちて内出血が出来たような
ものまで提出しなければなりません
病院としてインシデントレポートの提出数はチェックされており
少なくても、多くてもだめなようです
カテ中の空気塞栓で一時的に血圧が低下したりVFで
DCを使用したものは当然インシデントレポートです
シース抜去後の再出血もインシデントです
ちなみに看護師さんサイドでは患者さんの名前を
呼び間違えたらインシデントです

もし、そのために患者さんの入院が延長したり
手術になったものは医療事故報告書となります
ですから外科的処置の必要な仮性瘤は医療事故となります
血管穿孔もそのために入院期間が延びたり、患者さんに疼痛が
残れば医療事故として扱っています

ですから循環器内科はインシデントレポートの嵐です・・・

************************************

○○先生,恐れ入りました.大変すぎますね.大学病院(公立病院)はともかく,それ
以外の病院の先生方も同じようなのでしょうか?

************************************

○○です

でも、さすがに○○先生の件についてはインシデントならないと思いますが
ちゃんと疑って、検査して はじめは陰性だったんだし
むしろ朝まで患者さんの訴えに対してドクターコールしない方に
問題があるような気がします 

************************************

○○です。

当院でもインシデントを三段階に分類しています。1.ヒヤリハットで終わった「イン
シデント」、2.患者に何らかの悪影響を残した「アクシデン 
ト」、3.アクシデントのなかでも手術や死亡などの重大事象に関係した「セレクテッ
ド=オカレンス」と後になるほど重大事象となります。

この場合の「冠動脈造影した患者がSMA血栓症を起こして、外科的修復を要した。」こ
と自体についてはインシデントレポートの対象となり「セレクテッド 
=オカレンス」レポートを提出する必要があるのではないでしょうか。

VVIペースメーカーと慢性心房再動があるので、カテをしなくても起こしたかも知れま
せんが、カテの影響がなかったとは言い切れません。「誰が悪かった 
か」が問題ではなく、翌々日退院の予定が狂っている=バリアンスが発生しているので
インシデントレポートの対象となると思います。そのレポートに沿っ 
て、その後の処置や対応については問題がなかったかを検証することが重要だと思いま
す。

とは言っても、そのようなケースに遭遇する(ことの多い)インターベンショナル=カ
ルディオロジストってつらい立場ですよね。自戒も込めて書いています。

************************************

○○と申します。平成元年に○○大学を卒
業し、縁あって現在の病院でお世話になっています。若くはありませんので、それ
故に「遅れている、古い」と言われないようにtra-netに参加したく思いました。個
人的にはPCI はcase by caseでTFIとTRIを選択していますが、徐々にTRIの比率が増
加しています。これからよろしくお願い致します。

************************************

○○です

○○先生がお忙しいようなので
横レス失礼致します。

>「スワンワイヤー」何か命名の由来でもあるのでしょうか?

スワンワイヤーというのは、スワンエクセルワイヤー
のことではないでしょうか。
当院でも2ヶ月ほど前から使用していますが、
その先端形状が白鳥の首のような独特の形状をしており、
確かに橈骨反回動脈その他の側枝に迷入しにくく、また、
蛇行や石灰化の強い鎖骨下動脈や腕頭動脈にもスムーズに
追従してくれる優れもののワイヤーだと思います。
ただし、当院で使用しているものは180cmと通常のワイヤー
より一巻き長く、扱いに熟れが必要で、また、カテーテルを
抜く時にはワイヤーがなかなかカテーテル内に入ってくれず
ちょっとイライラします。



************************************

○○です

スワンワイヤーは何例か使用してみましたが
側枝に入らない、入っても柔らかいから安全ですとの事でしたが
シースの出口に枝があるときには、そこに迷入しそうになりました
完全にブラインドで入れるのにはかなり不安な感じがしましたが
如何でしょうか?

当院のシステムはテルモのスモールJで038インチにしてもらっています
これでJの形のままにシースに入れるとシース内ですでにJになっているので、
側枝にはまず入りません。 038なので腰もあって少々の
蛇行でも問題ないです。
このシステムでブラインドで枝に入ったことは一度も
ありませんでした



************************************

○○です。

本院でもテルモ製のJ型ワイヤーを使っています。
これだと上行大動脈までほぼ全例でブライドでいきます。
ただし、ワイヤー先端の形状ゆえ、ワイヤー挿入用の外套を
なくしたりすると非常に大変ですが。

************************************

○○です。

VSAでは基本的にICDが要らない、というのはコントロールできている、というこ
とが前提になりますよね。コントロールしがたく、VFがdocumentされていれば
ICDの適応も考慮に入れるべきなのではないでしょうか。うちでもVSA+LMCA
diseaseでCABG、術後ST上昇を認めemCAGで三枝spasm、その後は薬物療法で発作
なく経過していたのが2-3ヵ月後にCPAとなり脳障害を来たした、という症例があ
りました。この症例ではVFがdocumentされていなかったのでICD適応はないと考
えますが、○○先生の症例は十分考慮すべきだと考えますがいかがでしょうか?
このような症例は数も稀だと思いますので全体のコストとしてもICD適応を考え
てもいいのでは。。。

VSAでは薬物療法が十分効果があるのか特に最初では判断が難しい、のも問題な
のではないでしょうか?

> AHAのrecommendationは尊重すべきと考えますが、
> 逸脱した症例から新しいエビデンスがうまれることもあるのでは、
> と考えています。
この点については本当にそう思います。
ところでVSAでのICDはClassなんぼなんですか?調べたけどよく分からなかった
ので。。。誰か教えてください。

************************************

○○です。

うちでは「左から造影してる」です。昔はnon-culpritから、と言われてました
がほとんど気にならなくていつの間にか普通どおり左から、となっています。そ
れであまり気になることは起こってません。

************************************

○○です。


>普通どおり左から

予断ですが、先生方の施設では通常の造影は左からですか?

私は初めてカテを教わった施設(大学)がジャドキンスで右から造影していま 
したので、TRAで共用カテを使っている現在でも右から造影しています。

************************************

○○です。

通常のカテでは左からです。ご存じの通りTrans Femoralが多いので、、、(TRAnetな
のに済みません)
JL4.0で左を造影し、JR4.0でRCAを造影します。TVDなどCABGを考慮する症例では、その
ままJR4.0で両側ITAを造影します。

その流れで、TRAでも左から造影し、次に右を造影します。使用カテは斉藤の左右共用
カテBRS3.5です。

************************************

○○です。

こちらの話題に参加させていただきます。

私はこのケースにおいてはICD植込みは十分な適応と思います。
AHA・ACCの適応基準はあくまで心筋梗塞後をベースとしている点と深読みすれば訴訟
大国アメリカではこれ以上ない基準と思います。
しかしながらいわゆる器質的心疾患のないVT/VFへの適応基準は確実なものはありま
せん。

このケースにおいては○○先生の経過説明から明らかな医原性となる薬剤の使用はな
かったように思えます。
指摘のあったBrugada症候群であればなおさらVFによるニアミスがあればICD植込みの
適応基準と考えられます。

最近の論文では原因不明の失神の診断としてBrugada症候群を除外する目的で抗不整
脈薬クラスIc群の静注を行ったうえEPSで誘発試験が一般的になってきておりこの
ケースにおいて無理に誘発試験を行わなずICD植込みを行った選択は正しいと思いま
す。
器質的のない心疾患における原因不明の失神もしくはニアミス患者では積極的にEP
Sを行い家族歴での突然死などを含めICD植込みを行った報告がされています。最
近のCirculationでQT延長症候群でなく家族性のQT短縮症候群の突然死の可能性も報
告されていました。

逆にVSAが原因としても確実にCa拮抗薬等を内服してspasmを予防できます!としても
なんらかしらの別の要因で発作が起こる可能性もあります。
そう考えるとVSA発作がVFを誘発するのであればがっちりVSA発作が予防できる保障が
完全でないのでICD植込みするは十分適応と思います。
順序が逆と思いますがICDが誕生したのはひとつはVFを確実に予防する抗不整脈薬が
ないこと、VFが発症したときに確実な治療つまり除細動を行わなければ死につながる
という流れからではないでしょうか?

つい先日このメドトロニクス主催の研究会でICDやCRTの中心的な某アメリカ人教
授が米国、EU、日本で圧倒的にICD植込み件数が多いことを提示してアメリカの
適応が甘いのではないかとフロアから質問攻めにされていたのを眺めていましたが今
回のケースは考えさせられるものでした。

まれなケースと思いますが明らかな医原性もなく、まして2回もニアミスを起こして
いるのであれば患者さんのことを考えればコストの問題ではないのでしょうか?(ち
なみにICDは身体障害者認定であり先々の患者さんの負担も軽く済みますし日本は
まだまだいい国と思います。)

この論議をみると不整脈屋さんと虚血屋(カテ屋)さん、心不全屋さんとで色々意見
が分かれるものだろうなあと感じました。

蛇足ながら不整脈屋さんの大御所の一人、桜田先生がいる広尾病院でこのケースのI
CD植込み適応が検討されたのも大きな意味があったと思います。

初めての参加で舌足らずな意見をお許しください。

************************************

すみません。初めて発言させていただきます。
○○病院・循環器科の○○と申します。
1987年○○大学卒業です。
10月より○○病院にお世話になっております。
それ以前は○○病院というところにおりました。
今年三月の福岡での日循でsevere VSAで
定期的薬物内服加療が行われていたことが確認された167例を平均5.7年
フォローした予後について発表させていただきました。
定期的な薬物内服が行われていたにもかかわらず、経過観察期間中に
心臓死3例、非致死性AMI3例、原因不明の突然死3例を認めました。
VSAのdisease activityは長期にわたってかなりの変化を呈し、病状が悪化した時期
にcadiac evnetを起こしているのではないか。
またそういう時期には薬物内服加療のみではコントロールが困難な可能性が
あるのではないかと考えました。治療に気を抜くことができない疾患と考えていま
す。
○○先生のご意見に私も賛同します。
横レスですみませんでした。

************************************

○○オーランド-AHAです。

朝、7時半からのIntervention Cardiology2003に参加しておりまして、淡々とセッ
ションが続いていく中、12時もまわった最後にCilostazol for RESTenosis (CREST)
Trialの発表がありました。ご存知の方も多いかと思いますが、この薬剤はステン
ト、DCA,、POBA後の再狭窄に対して予防効果があるのではないかとする小規模の
studyが日本でいくつか発表されております。US/Mayoクリニックが中心となって、19
施設・705名に対して、シロスタゾールとPlaceboを投与し、6ヶ月後の再狭窄を比較
しようというものです。In segmentでlate lossは、0.56mm vs 0.75mm、6ヵ月後MLD
は1.77mm vs 1.61mm、再狭窄率は21% vs 34.5%と、明らかな有意差を認め、
clostazolの有効性が見事に立証されました。特に、糖尿病・小血管(<3.0m
m)で有効性がより顕著というものです。通常使用量の経口投与薬によって、多施設
における再狭窄予防効果が立証された、世界ではじめてのstudyと思います。あのラ
パマイシンでさえ、通常使用量の経口投与ではnegativeですから、意義は大きいもの
でしょう。risk reductionは、30%台半ばになりますが、これは、POBAに対してのPS
stentとほぼ同様の値だったと思います。90年代半ば過ぎに、自分が関係した施設
で、この薬を積極的に使用していた時代、PS stent後の再狭窄があんまり少ないの
で、一部では、“魔法の薬”と言われていましたが、はからずもそれが立証された形
です。

当時、シロスタゾールのSAT予防効果は、PS stent単独を高圧で植え込んでいれば、
臨床的には十分と思っていましたが、その後、より長いステントやcoil stentが上梓
されるにつれ、チクロピジンほど強力ではないことが判明し、最近はあまりこの薬剤
は注目を集めていませんでした。CREST Trialでは、アスピリンとクロピドグレル
は、baseで両群に投与し、SATはしっかりと防いでおいた上で、シロスタゾールの再
狭窄予防効果だけを検討しようとしたのが、このstudyの成功の原因でしょう。

この薬剤とかつてかかわった自分としては嬉しい部分もある反面、数年前になります
が、ほぼ同様のプロトコールも決まり、core lab.も決まり、多施設前向き試験を開
始しようとした直前、シロスタゾールをステント植え込み後に使用することは、“健
康保険適応外”になることから、インターベンションを含むすべての診療費用を企業
が負担しない限り、そうした“多施設”での前向き試験はできそうもないことが判明
し、日本でのトライアルは中止になってしまいました。今日のプレゼンのバックグラ
ウンドには、富嶽三十六景の浮世絵が使われ、日本の薬剤であることは示されている
のですが、またしても、USに一番おいしい所はさらわれた感じですね。サボってばか
りいる自分が偉そうなことは何もいえませんが、今回のAHAでも、基礎はもちろん、
PCIでもIVUSを中心としたimagingでは本邦はがんばっているものの、一般的なPCIに
おいては演題数は数年前に比較して減少してる感じで、地盤沈下は否めません。何と
いっても、DESの演題など、出しようがないわけですから・・・。医療を取り巻く環
境がある程度改善されないと、そう遠くない将来、世界でただ一国、取り残されてし
まうのではないか、とても心配になっております。

************************************

○○です。

○○先生に質問です。
ごめんなさい。AHA/ACCのguidelineのページがあれば教えてください。

************************************

○○です。

 以前に『VSAにICDを入れてVfで作動してもspasmが解除されるわけではないの
で、一次的に除細動されてもまた繰り返すためあまり有効でないと』教えられた
ことがあり、自分自身も漠然とそういうものかなと思っていました。
 しかし、よくよく考えてみると普通のAMIの時のVfでもDCしたからといって再
潅流するわけでもないけど、ほとんどの場合はうまく除細動されて、DCやっても
やっても繰り返す人って稀ですよね。
 本当のところVSA→VfにDC(体外式でも埋込み型でも)かけたときの有効率って
どうなんでしょうか?印象でもかまいませんのでご経験のある先生方のご意見を
お教えいただけませんでしょうか?
 他の疾患に起因するVfと比較してそんなに悪くないんならば治療抵抗性ないし
高リスクのVSA患に対してのICDは結構いい適応(もちろん今のガイドラインから
ははずれているでそうけど)かなと思うのでうすが?

************************************

○○です。

昼休みに送ったはずのメールが届いていないようなので、もう一度送ります。

しばらくアクセスできずにいるうちに話題が変わってしまいレスする
チャンスを逸していました。いい機会なのでレスさせて頂きます。


>○○先生
大学時代の話、たいへん興味深く読ませていただきました。
不勉強で、Ca拮抗剤はなんでも一緒やろ、と思っていました。
今度発作を起こしたら、ヘルベッサーに変更しようと思います。
VSA+αについては、この患者さんは一度も胸痛の既往がありません。
EPSもアムロジン内服下で、直前にISDN投与下でVFが誘発されています
のでVFにたまたまVSAを合併した可能性はあります。

>○○先生
VSA に対するICDの適応についての記載はありません。
一番新しい、2002年のGuide line (Circulation 2002;106:
2145-2161)のClass IIIの4 に
『一過性または可逆性障害(急性心筋梗塞、電解質異常、薬剤、外傷など)
による心室性頻脈性不整脈があり、障害の是正が可能で不整脈の再発の
リスクをかなり低下させると考えられる場合』、
というのがあり、VSAはこの(....など)、に入るというのが
○○先生のご指摘です。

確かにVSAは可逆的ですし、嵐のような発作も落ち着いてしまうと
嘘のようにおとなしくなりますので、VSAにICDを入れるべきではない、
という意見も理解できます。しかし『十分な薬物投与』の基準が明らかでなく、
どれだけ薬剤を使用したら『十分』なのか、保証がないので、ICDに関しては
VFが明らかにされているのなら、ICDをいれておいた方が良いと考えていますが、
施設の方針になってしまうのでしょうね。この患者さんについては、薬物
量が不足していたと思いますが、適正に作動していますので、本人にとっては
よかったと思っています。

>○○先生
貴重な、研究データーのご紹介ありがとうございました。
是非、論文にしてください。

************************************

○○先生、皆さんどうも。
○○です。

私は前にいた病院でずっとエルゴノビン負荷をしていました。
先輩からの伝統をそのままにしっぱなしで、
(ペーメーカーリードを入れるのが面倒なこともあって)
アセチルコリン負荷をしませんでした。
連続約1800例のエルゴノビン負荷症例で恥ずかしいですが
2例、負荷中にsevere spasmが解除できなくなり、Vfになってしまいました。
DCで両症例とも後遺症もなく、退院できましたが
大量のニトロを冠注しているので、それが効いたのかもしれません。
ただsevere VSAの患者さんが薬物を十分に内服していたにもかかわらず
(AM11時頃にVfになりましたがその日の朝も内服をしていました)
胸痛発作からVfになり、搬送されてきたときは1時間以上蘇生をがんばりましたが
戻りませんでした。
やはりVfになってから集中的治療を開始するまでの時間が
大きな決定因子になっているのではないでしょうか。
その意味ではICDが有効な可能性もあるのでは?
私はsevere VSAの患者さんでコントロール不良でVfを起こしたり、
AMIを発症したことのある症例ではICD植え込みは有効な治療になりうると考えます。

************************************

○○です。

アクセスがしばらくできず済みませんでした。

○○先生からすでに掲示されていました。蛇足ながら
http://circ.ahajournals.org/cgi/reprint/106/16/2145.pdfを開いていただけれ
ば....

> > 最近の論文では原因不明の失神の診断としてBrugada症候群を除外する目的で抗
不整
> > 脈薬クラスIc群の静注を行ったうえEPSで誘発試験が一般的になってきておりこ

> > ケースにおいて無理に誘発試験を行わなずICD植込みを行った選択は正しいと思
いま
> > す。
> この意味は?どういうことでしょうか?Brugadaを除外する必要がなかった?っ
> てことでしょうか?

言葉が足りずにすみません。決してBrugada症候群の除外が必要ないとのことではあ
りません。
guide lineに四角四面にあてはめるようですが
Brugada症候群はClass IIb、○○先生のご指摘のようにVSAのVFがClass IIIであると
すると
EPS(薬物負荷も含め)でのBrugadaを除外が必要ですが、除外ができたとしても
Classが下がるものの
両方もLevel of Evidence: CつまりA lower rank (C) was given when expert
consensus was the primary basis for the recommendation.
専門家で討議して一致が認めれば.....となるので、今回のケースでも、失神を伴う
BrugadaでもおそらくICD適応と考えてよいのでしょうか?

かなり屁理屈ですが○○先生の提示された症例についてどんなものだろうと今回
guide lineをにらめっこして色々考えていて言葉たらずな発言となってしまいまし
た。すみません。


> > つい先日このメドトロニクス主催の研究会でICDやCRTの中心的な某アメリカ
人教
> > 授が米国、EU、日本で圧倒的にICD植込み件数が多いことを提示してアメリ
カの
> > 適応が甘いのではないかとフロアから質問攻めにされていたのを眺めていました
が今
> > 回のケースは考えさせられるものでした。
> これはUSがEU 日本に比べて多かった、てことですよね。どの程度の違いがある
> んですか?もしよければ大まかでいいですので教えてください。

Freedmanだったと思うのですが半分ICD宣伝で来ているみたいな講演でした。
前半はmega trial MUSTT, MADIT, MIRACLE等のまとめをして、次に実際に植え込み症
例数をUS、EU、日本で差があることをグラフにしていました。
ひとつにはやはりMI後の植込み症例がUSで圧倒的に多い点を指摘していたこと、mega
trialで低左心機能へのICD植込みが予後の改善がありそれを裏付けるように件数が増
えたことなどが理由としてい説明していました。USとEUとの差については聞き落とし
てしまい。あまりはっきりとした説明はなかったように思います。ただ新しいguide
lineのclass IIaのMIの治療後PCIやCABG後でEF30%以下についてのICD植込みを
もっと積極的にしても良いのではと強調はしていました。

************************************

○○です。
お返事遅れて申し訳ありません。
ご指摘の通り、スワンエクセルワイヤーのことです。先端形状がアンプラッツのよう
になっているのが、側枝に入りにくい理由のようです。
今まで使った中では、一番側枝に入りにくいと思います。それと、カテやYコネに直
接入れられるのもいい点だと思います。
実は私自身はどんなワイヤーでもいいと思ってるのですが、乱暴にカテを進める人が
多いので、上肢アプローチだとしばしばcoronaryにワイヤーが入ることがあります。
Jワイヤーなら大丈夫かと思ったのですが、それでもたまに入ることがあります。さ
すがにスワンだと、先端カーブが大きいので、その心配はほとんどありません。
現在、某メーカーに依頼して、スワンワイヤーのぱくりで「グースワイヤー」という
のを作成中です。

************************************

○○です。
以前○○先生がレスされていたように、Vasoの不整脈はST低下がはじまっておきるも
のが多いとされています。
(論文になっているかどうかは解りません。調べてみます)
ですから、DCを一回かけてやればとれる可能性が高いと思います。
確かに、いわれてみればVasoにICDを入れる事は有効でしょうね。でも適応をどうす
るかという事の関しては難しい問題になると思います(○○先生の書かれたように、
コントロール不良で十分な薬物投与下でVfを起こした例は対象にしていいでしょうけ
ど・・・・。 AMIはどうなのでしょうか)。

○○先生に質問ですが、
severeVasoの定義はどうされたのでしょうか?
いずれにせよとても貴重なデータと思います。
是非形のあるものにして下さい。
できれば、宴会の時でもどこでもいいからもう一度しゃべってもらえないでしょうか


************************************

はじめまして。

この度、登録していただきました ○○と申します。
4年前より札幌の○○病院に勤務しております。

現在は○○先生、○○先生の下でPCIの修行中で、お二人がライブにでかけられたと
きの留守番オペレーターです...というわけでなかなか大きなライブに行く機会がな
いので、このメーリングリストで多くの Radialist とコミュニケーションがとれれ
ばと思っております。よろしくお願いします。

カヌー、テニス、スノーボード、フライフィシングなど昔はいろいろなことに手を染
めましたが、最近は学会に出かけたときに家庭から解放されておいしいものが食べれ
られることぐらいです。

************************************

はじめまして。

今回Tra-Netに登録させて頂きました○○と申します。

○○医大を平成10年に卒業し、昨年度よりPCIを始めたばかりの初心者です。

北海道の○○市立病院 に4月から勤務しております。
人口5万人弱の自治体病院で、症例もさほど多くなく緊急例がPCIの大部分を占める様
な施設です。
その様な環境では、このTra-Netからの情報、有意義なのもで大変ありがたく勉強さ
せて頂いてます。

まだまだ、PCI初心者でつまらない質問をするかと思いますが、どうかよろしくお願
いします。

************************************

○○です。

左鎖骨下動脈のインターベンションを予定している患者さんが
いるのですが、ステントを入れると、一部vertebral arteryにかかることになると思
うのですが、distal protectionの必要性などについて、詳しい先生がいましたら教
えていただけますでしょうか。
以前何かの研究会の時に聞いた話では、バルーンをdeflateする時に、上肢から挿入
しているシースの先端から吸引したりするというのを聞いたのですが、いかがなもの
でしょうか。

************************************

皆さんどうも。
○○です。

「severe VSA」は「有意狭窄が無く、エルゴノビン負荷で99% with delayもしくは
100%の出現」としました。

私のつまらないデータを出せと言っていただけるのは本当に光栄です。
きちんと論文にしたいのですが英語ができないので大変です。
宴会のときしゃべるほうがはるかに現実的です。
生意気なことを言ってすみません。
○○先生にしゃべれと言われればがんばります。

************************************

○○です

左鎖骨は簡単だよという先生がいらっしゃる一方で、私は慎重派です。末梢の会では岸
和田の横井先生とバトルになります。対極の意見としてお聞きください。

椎骨動脈は、塞栓を起こすと死亡します。内頚動脈は麻痺はおこしても死にません。そ
れが最大の理由で当院の院長は内頚のステントは認めてくれますが、椎骨は禁止されて
います。先日、LITA−LADの方の左鎖骨下99%にフェモラールアプローチでステント
をいれました。(左はほとんど脈が触れないためフェモラールアプローチにしました)
方向から言って明らかに椎骨へ飛びそうでしたので、パークサージで椎骨をプロテクト
しステントを置きました。幸い脳梗塞も心筋梗塞もなく、胸痛も減り、術前にあった椎
骨の虚血と考えられるフラフラ感も改善しました。しかし、左手に末梢塞栓を起こし、
あやうく左II指が切断か?となりましたが、周3回リプルの点滴に通院してもらい、切
断は免れることができました。

左上腕7Fシースを入れて、パークサージで椎骨をプロテクトし、本幹にもう一本ワイ
ヤーを入れて、ステントを植え込みシースのわきからデフレーションと同時に吸引をか
ける方法は有効と思います。たぶん、手に飛ぶのも防げると思います。しかし、椎骨に
ステントがかかるとなるとこの方法は使えません。パークサージが抜けなくなります。
症例を見てないのでなんともいえませんが、ステントがかかるリスクがあると怖くてプ
ロテクトできません。椎骨にかけてのステント植え込みが避けられないとなると、かな
り難しい症例と考えますが。

************************************

 はじめまして。
Tranet新規登録させていただいた○○市民病院 循環器科 ○○とい
います。
昨年9月に、新病院開院とともに循環器科が新設され、医長として赴任、診療を開始
しています。
それ以前は、僕自身は、○○救命救急センターにおいて、現在
○○病院勤務の○○先生の下で、診療に当たらせていただいておりました。
昨年9月から、心カテ室が開き、早速、ACSの治療及び待機的PCI(おもにTRI)を開始
しています。
さらに本年1月からは、PTAも開始し、さらにDCAも開始しております。走り始めた、
この1年間で、
カテ件数340例、カテーテルインターベンションが75例、そのうちでACSが35例、待機
的が40例です。
ボリュームとしては小規模循環器施設となります。そのため、経験数が小さく、情報
不足となりがちですので、
Tranet情報の場に参加させていただき、諸先生方の多くの生の情報を吸収して診療に
活かして
行きたいと思います。今後ともよろしくお願い申し上げます。

************************************




第88集


************************************

○○です。

一連のペンタ事件に対するガイダントの回答をいただきました。
これまでの問題点を整理すると、

1,ペンタが体外で脱落する問題
2,ペンタのバルーンの中央部が拡がらなくてステント拡張が不十分なため、バ
ルーンが抜けなくなるという問題
3,これらの問題点を全国のインターベンショナリストに素早く認知させるべき
システムや、その気が現在のところガイダントにはないという問題

以上の3点のように見受けられます。
これに対し、ガイダントの回答は、
1については、0.054%と書かれてあり、これらをステントに付いている添
付文書に載せる。
2については全く認識がないようです。
3については、個別の苦情に対しては14日以内に回答するように努力するそう
ですが、会社の方から広くインターベンショナリストへ認知させる事は、やはり
添付文書で行うそうです。
(一体、いつになるのでしょうか)

う〜〜〜ん。会社の姿勢がこれならば、自分たちや患者さんを守るためには、我
々はやっぱりネットなどを通じて情報を仕入れるしかないのでしょうか。

************************************

○○です

うちにもガイダントの担当の方が同じような見解を持って
こられました。

脱落に関しても何ら危機感はなくて0.054%ですから・・・って
数字のデータを見せてくれました。
たったこれだけの頻度ですから大丈夫ですよって感じでした
この危機感のなさは困ると思いました

************************************

○○です。

ウチには、今日現在まだいらしていませんが、その0.054%という数字はどこから来た
のでしょうか? 約2000本について1本になりますね。1ヶ月あたり、全国でどのくら
いペンタが使われていたのか、もちろん、私にはわかりませんが、1年間の全国のPCI
が15万件とすると、ステントが10万件くらいでしょうか? 一症例あたり何本ステン
トが平均で使われているのかにもよりますが、ペンタが半分強選択されたとして、6
万本/年くらいなんでしょうか? そうすると、おおよそ1ヶ月あたり5000本という概
算になりますね。0.054%なら3本は脱落しないことになります。PCIの全症例数にたい
するTra-net加盟施設のシェアはわかりませんが、Tra-net加盟施設だけでもっとあっ
たような気がしますね。いかがでしょう? 私は、その数字の根拠をぜひ聞いてみた
い気がします。

ところで、○○先生、Tra-net加盟施設のシェア ってわかりますか?

************************************

○○です

うちにもガイダントの担当の方が同じような見解を持って
こられました。

脱落に関しても何ら危機感はなくて0.054%ですから・・・って
数字のデータを見せてくれました。
たったこれだけの頻度ですから大丈夫ですよって感じでした
この危機感のなさは困ると思いました

************************************

○○と申します
当院の担当の方は「本社の回答がこれでは
申し訳ない気がします」と恐縮しておられました
ロットが古い分は今週中に新しいものに
交換していただけるようです

************************************

○○です。

本日当施設にも担当者が回答書を持って来ました。
それによるとこれまで全世界で85万本のペンタが使われ(国内では7万本になるそう
です)、そのうち460本くらいに血管外での脱落が生じたという計算です。
460本というとやはりびっくりする数だと思います。しかし欧米では血管外ではずれ
ただけでは患者さんには直接的な被害がないためほとんど問題にならなかったとのこ
とです(つまりはずれた件数はもっとあった可能性があるということかも知れませ
ん)。こういった認識のため日本ガイダントから本社に報告しても本社サイドでは当
初大した問題とはとらえられなかったということと、実害がなかったため?(体外で
の脱落に関して)厚生省の指導も添付文書の改定で周知させるようにとのことであっ
たため(つまりあまり緊急性のある情報との認識がなかった)回答が遅れたとのこと
でした。またこれは裏情報ですがステントキャップをゆるくしたnew Pentaでも脱落
があったとのことです。したがって在庫がnew Pentaに一新された後でも指差し確認
が必要そうです。

************************************

○○です。

当院へも先週の水曜日に担当者の方が社長名の文書を持参されました。
“これでは、回答になっていないかもしれないが‥‥”と手渡されました。

意図するところが分かりにくい文章ではありましたが、0.05%という数字は
製品に不都合はない‥とする自信を表明しているのだろうと感じました。

この数字を直接、統計学上の解釈に適用することはできませんが、0.05%
を製品自体に問題があるとする数値(いわゆるアルファエラー:私たちが
統計学的有意差とよんでいるもの)に仮定しますと“実用上全く問題なし”
ということになります。

また、統計では“実際には差があるのに差がないという結論を下す危険
率”も存在します(ベータエラー)。このベータエラーの数値はわからないの
ですが、実験計画法ではベータエラーの数値はアルファエラーの4倍として
統計に必要なサンプルサイズを決定するものだ‥と昔教わりました。

日本国内では相当数の Penta stent が使用されていると思いますので、
単純に0.05×4=0.2%としますと、(1−ベータ)は比較すべき2群の差の
検出力になりますので99.8%のパワーで問題なしと企業は言うのではな
いか‥と思います。(但し、ステントの体外での脱落に関してのみ)
 →統計学に詳しい方に批判されても返す言葉はございませんが。

ステントバルーンの問題については言及がありませんでしたが、いずれ
にしましても会社からは、これ以上の回答を引き出すことは難しいと感じ
ます。当院の○○先生が10月29日に書き込みましたように、問題発生
の時点で厚労省に報告する制度を活用していくことの必要性が益々高ま
っているのではないか‥と感じています。

************************************

○○です。

0.054%はアメリカのデータと言うことです。
日本ではその倍くらいと、営業の方が言ってました。

「日本でこのくらいの頻度で、こんなアクシデントが起こっています。外国より多い
ので、原因を調査いたします。」と正式文書で出すことは出来ないかと聞いたところ、
「今までもずっと日本は他の国よりもクレイムが多く、物の不良品扱いが多いために、
日本のアクシデントのデータは信用できないし公表しない。」とのことです。

余りにもバカにした態度に呆れました。

「他の国で使わなくなった古い物を、他の数倍の値段で売りつけ、不良品があっても
無視。それでも日本人はニコニコと使っていると思ってるのかな?会社の方針が、日
本人の医師に対して余りにバカにしていないか?まぁ、ペンタもあと一ヶ月の命だか
らもう良いという意味?そうなら、撤収してもらってかまわないよ。」と言ってしま
いました。

会社の偉い人が悪いだけで、営業の皆様は悪くはないのは解っているのですが、さす
がに黙って「そうですか」と納得するワケには行かない今回の返答でした。

DCA以外は全部撤収しようとマジで考えています。

************************************

○○です。

以前、このMLで「(GCに挿入する前に)PENTAの先端チップがGW上で断裂した。」ことを
報告しましたが、日本ガイダント社から回答がありました。要約すると、
1.製品には問題がなかった可能性が高い。
2.ガイドワイヤーに血液や造影剤が付着して、デザインの限界を越えた過度の力が
チップにかかった可能性が高い。
3.ペンタの製造工程は、複数の工程で点検が行われており、製品規格にも全く問題が
ない。
とのことでした。

いかにも、「術者のミスでちぎれたんじゃい。」みたいな報告書でハラワタが煮え繰り
返ったのですが、「報告書とはそんなものです。」と逆にガイダント営業マンにたしな
められました。

とりあえず報告まで。

************************************

○○です

ガイダントの営業の人に確認したのですが
0.054%は全世界的に体外での脱落例の報告された件数のようです
ペンタのシェアーは約50%前後らしいです
他のステントでもこれくらいの脱落例あるんでしょうか? 
あまり聞いたことないのですが・・・

だからこそ危機感を持って欲しいと思いますし、 ○○先生の
お怒りはもっともだと思います

カテ室では怒らないをモットーにしている私は、にこやかに
今日もS670を使いました

************************************

○○です

○○先生、私も怒りませんよ。
まるで、私が怒りんぼみたいじゃぁないですか。
いやだなぁ。こんな穏和な人をつかまえて...。

カテ室で怒らないことをモットーとしている私は、にこやかに今日は某社のバルーン
とワイヤーの在庫の撤収をお願いいたしました。
「怒ったらこんなもんじゃぁねーぞ!」と一言付け加えてです。

************************************

○○です

いやいやそう言う訳ではなくて、あの温厚で有名な○○先生でも
怒るくらいなひどい出来事ってことですよ
私たちにニコニコスレンダークラブなのに・・・

でも、結構S660/670は良いステントだと思うのですけど
また最近になって再認識しました
IVUSでみたらちゃんと正円形になってるし

************************************

○○です。

最近ガイダントねたで盛り上がっていますが、
盛り上がりついでにもう一つ。
ついこの間、ExcelsiorとBMWでPCIを行っていた所、
血管がtortuousのため、Excelsiorを残しGWをchoice
に変えようと、BMWを抜きました。勿論この時は何の抵抗も
ありません。そしてchoiceをExcelsiorに入れていった所、
途中で変な抵抗がありました。あれっと思い透視を視ると
先端マーカーの先に1cm位の髭が出ていました。
GWの長さ的にはまだcoronaryに入るはずもないのにおかしいなと
思い、choiceを引っ張ってもそれは動きません。Excelsiorの先端
にこんな髭なかったよなと思いつつ、もう少しchoiceを押し込んだら
その髭は長くなりました。絶対におかしいと思い、Excelsiorを
ゆっくり引っ張ると幸いなことに髭も一緒に付いてきます。そのまま
回収すると、何とBWMの先端15cm位が断裂し残っていました。
私自身はほっとしましたが、ガイダントの担当者は冷えたようです。
今会社のほうで調べてもらっています。ペンタはバルーンに
乗っていること確認しなければいけないし、BMWは抜いた後先端が
あるか確認しないといけないし、本当にガイダント製品は忙しいですね。

************************************

○○です。

1年以上前に、初めてBMWを使ったときのことです。
PCIが終わって、BMWを抜去しようとしたとき、強い抵抗を感じました。
思いっきりひっぱって何とか抜けたのですが、先端付近に内膜らしきものがついてい
ました。

それ以来二度とBMWは使っていません。

************************************

○○です。

先ほどボストンの担当者(末梢血管)から電話があり、下肢用のWall Stentの使
用をしばらく見合わせて欲しいと言われました。
何でも、末梢にWall Stentを入れた(広げた)直後に、ステントカバーの先端が
断裂した例が2例出て、1例は回収できたが、1例は末梢に飛んだそうです。

先週会った時には何も言っていなかったのに、本日急に、しかも電話で(異例の
事だと思いました)このような使用自粛のお願いがあったということは、もしか
したらPenta事件の波及効果でしょうか。

他社もあの事件を重く考えているのかもしれません。(ガイダントはどうだかわ
かりませんが・・・・)

************************************

○○です。

以前○○先生から、「TRA-netへの参加者の所属施設数は、一体全国の施設のう
ちのどのくらいの割合を占めるのか?」という趣旨のご質問をいただきました。

ちょっと調べてみましたが、○○人のメンバーのうち、同一施設からの2人目、
3人目・・・の方々が計○○人いらっしゃいましたので、差し引き○○施設の
先生方がこのネットに入っている計算になります。

さて、全国にはインターベンションをされる施設が700〜800ぐらいと聞い
ています。(こんなに多いの!?)
だとすれば、「○○%ちょっと」というのが回答になります。

************************************

○○です

以前より一度は行ってみたかった八戸ライブに行き、非常に内容の濃いライブを楽し
むことができました。
○○先生をはじめ、関係諸先生方ご苦労様でした。

帰りには、誰もがおすすめの八食センターに行ってきました。
買った魚介類(秋刀魚、烏賊、帆立貝・・)を七輪で焼いて食しましたが、なかなか
の味でした。飛行機の時間に遅れそうになり、少しひやりとしましたが・・・

来年は、飛行機の時間が同じ近畿圏のDrで集まって、”八食の会”を催そうという案
まで出ました。近畿圏の諸先生方、是非とも実現しましょう!!

************************************

今回はじめて八戸ライブに参加しました○○病院 ○○です。
様々な先生方に大変お世話になり本当にありがとうございます。

○○先生のライブ症例では、あれほどangioとIVUSの所見が違うものかとあらためて
IVUSの読みの勉強をしなくてはと痛感しました。
その他いろいろと勉強になりました。

○○先生はじめ諸先生方本当にお疲れ様でした。

************************************

○○です。

皆様、寒い中、遠くから八戸までお疲れさまでした。

「また、あいつ何かやらかすぞ!」の期待に応えてしまいました。
未熟な私で反省しております。

○○先生に「もう、その帽子3回目やないか!だめだなぁ」と言われて悪い予感がして
おりました。

皆様のおかげで最終的には綺麗に仕上がったのですが、大御所S先生からは「困って、
足から7Frに変更するとは万死に値する罪だ!世界中のradialistに申し訳ないと思わ
ないのか!」と説教を受けました。たぶん、東北の大御所K先生は「だから最初から
足から7Frだろ!」と今週末に言われるのだろうと思っています。
多くの先生方の「だから5Frはねぇ...」という意見も聞こえます。

手技が終わってから帰るまでに、50人くらいの先生方に叱咤激励などの色々なお言葉
をいただきました。

...でも、たぶん、明日からも5Frの日々を過ごす私です。
地味に精進いたします。
次は上手くやろうと思う、懲りない私です。

今後ともよろしくお願い申し上げます。

************************************

○○です。

八戸ライブに参加された皆様、お疲れ様でした。
○○先生、そしてスタッフの皆様、有意義なライブを
本当に有難うございました。
今年のライブは分岐部あり、TFIへのBailoutあり、DCAあり、
IVUS勉強会ありと内容盛りだくさんでした。
そして恒例の浴衣でのサテライトシンポジウム・・・。
大御所S先生が浴衣姿のままタクシ−にのって2次会に
行っちゃったのにはびっくりしましたが・・。
お年なんで肺炎にでもなったらどうしようとちょっと心配しました。
とにかく、例年通り○○先生のお人柄がよく出た和やかで
内容の濃い、素晴らしいライブでした。
また来年も参加します。よろしくお願いします。

追伸:○○先生、そんなに落ち込まないでください。あの時、
先生と会場はまさに気持ちが一つになり、一体感、連帯感を
ひしひしと感じました。皆が先生の健闘を称えていると思いますよ。
これにめげずに細いカテPCIを続けてください。もし北海道のライブで
お呼びする時もやっぱり5Frでやってもらうことになるっと思いますから。

************************************

○○です。

八戸ライブ、○○先生をはじめ、皆様お疲れ様でした。

> 追伸:○○先生、そんなに落ち込まないでください。あの時、
> 先生と会場はまさに気持ちが一つになり、一体感、連帯感を
> ひしひしと感じました。皆が先生の健闘を称えていると思いますよ。
> これにめげずに細いカテPCIを続けてください。

私もそう思いました。

私は日頃から、「臨機応変に対応しながら、何事もなかったような涼しい顔で手
技を短時間に終わらせる」のが真のRadialist だと思っていますから、あの場面
ではサッサとアプローチを変えて患者さんに大きな不利益を与えないでそこそこ
の時間で終わることができたという意味では、自分達の手技に慣れている
(Radialアプローチや5Fr.の限界を熟知している)真のRadialistだと思いまし
た。
万死に値するというのは、S.S先生独特のジョークですよ。
でも、雪が降っている八戸の夜に1人だけ浴衣にスリッパでウロウロしている姿
は、誰がどう見ても怪しげなオッサンでしたね・・・・。

************************************

○○です。

はじめまして、どうぞよろしくお願い致します。
八戸ライブに出席された先生方お疲れ様でした。

現在、○○にて○○先生のもとで、修行をつんでおります。
卒後3年目のペーペーですが、どうぞよろしくお願いします。

************************************

○○です。八戸では皆様有難うございました。

○○先生の症例は、最終的には完璧仕上がりではないでしょうか。素晴らしい
bail-outでしたし、会場で見ている私たち後輩にとっては、非常に貴重な勉強でし
た。そんなに落ち込まないで下さい!

私個人はもともと九州男児ですから、北日本には本当に疎いのですが、昨年の鎌倉ラ
イブ以降、多くの北日本方面の先生方にお会いできて面識が急増し、この八戸で一気
に全国展開となり大変嬉しく思っています。○○先生が小さなMLとして始められた
TRA-netが、たった数年で施設シェア○○%を越えたなんて、凄いですね!これからます
ます業界に大きな影響力を発揮するメディアになりそうです。その意味でも今回のよ
うな八戸ライブの手法は新しさを感じましたし、今後主流になって行くのではないで
しょうか。

日本も漸くDES時代が見えてきましたが、隣人大韓民国では一歩先に、来月から償還
されるらしいですね。今後日本の若手はアジアのライバルに負けないように頑張らね
ばと、決意をした八戸の夜でした。

○○先生、八戸のスタッフの皆様、誠にお疲れ様でした。来年も是非頑張って下さ
い。

************************************

○○です

○○先生、まいどながらすばらしいライブに感動致しました
スタッフのみなさま、F1の様な患者さんの入れ替えにも
びっくり致しました 1カテでのライブでも、十分出来る
事を改めて認識させていただきました

○○先生の症例はバックステージで拝見しておりました
あのBail outはすばらしいと思いますし、斎藤先生が
言われたようにBalloonでアンカーしてガイディングを
ディープにできれば、きっとぱっと終わっていたのでしょう
でも、POBAができ、IVUSもでき これならステントもって
思うのが人情ってもんです
最終的のパンツを脱がせても綺麗に仕上がれば
問題ないと思います
これからも、5Fの日々を続けて下さい
私もスレンダークラブの一員として非常に勉強に
なりましたし、応援しております

個人的には斎藤先生のLCxへのワイヤーリングと
あの引き際に改めて感動しました

それに今回も皆様とお会いでき、いっぱいお話しできて
光栄です

追伸:夜は去年の教訓を生かして、始めから
上着着用での望んだのですが(昨年は上着なしで
薄着のS先生に街に連れていかれました・・・)、
今年はあのS先生のお姿を見てびっくり致しましたし、
まだまだ修行が足りないと自覚しました

************************************

○○です。

今回、初めて八戸ライブに参加させていただきました。
以前より、アットホームですばらしいライブであると聞いていたのですが、
○○先生のお人柄が会の雰囲気に出ていて、本当にすばらしいライブ
だと思いました。各症例をじっくりと検討する会が少なくなっているので、
このような会の存在は貴重です。○○先生、これからもぜひ続けてくだ
さい。

TRAネットで「御高名」な○○先生ともお話することができました。○○
先生! みごとなBailoutだったと思いますよ。

************************************

○○です。

今年で 6回目を迎える八戸ライブですが、前回までと異なるところは、八戸市民病
院内の院内ライブから会場を八戸ホールに移したところです。ただし、会場自体がい
い感じの大きさで、いつもながらのアットホーム感は損なわれず、(例年同様)お昼
のお弁当も最高でした。お客さんの入りは、いきなり立ち見ありの大盛況で、Radial
Interventionへの興味の大きさを感じました。ライブの構成自体は、相変わらず「○○
アニ」は裏方に徹しており、きめこまやかな配慮と雰囲気つくりはさすがに6回目
ということもあり、堂々としていました。特に午前中の部門は○○アニご自身は病院
にはおられず、会場から指示をだされていたのですが、進行はてきぱきとした気持ち
のよいもので、スケジュール通りに、サクサクとライブは進んでいきました。
ライブパフォーマンス(?)自体は、歴戦のRadialist 6人(遠藤先生、○○先生、○○
先生、○○先生、斉藤滋先生、○○先生)が次々にお得意のフィールドでcoronary
interventionを繰り広げていかれるのですが、すべての症例で患者様にとって最良の
結果を出されていくのは皆さんさすがでした。もちろん、各先生のabilityを最大限
に発揮できるような症例を、Directorである○○アニ自身が準備されているわけで、
そう言う意味では、裏方に徹しながらも実に良い具合に八戸ライブのカラーをだされ
ているのかな、と思いました。ライブの最後は○○アニ自身が登場し、締められたの
ですが、(ライブにはめずらしく)コメンテーターの言われる通りに手技をすすめな
がらも、ピッタシ17:00に終了するところは貫禄でした。
PCIライブ乱立の昨今だからこそ、独自のスタンスで回を重ねていかれる八戸ライブ
は貴重だろうと思います。夜の懇親会では○○先生から「近畿TRI研究会」立ち上げ
の朗報もあり、今後一層各地のTRA仲間の連携が深まっていくのではないでしょう
か。
さて次ぎは12/13,14の湘南鎌倉ライブです。うちからも2題演題を予定しています。
本当にたのしみですね。

************************************

○○です。

○○先生をはじめ関係者の皆様、ライブに参加された全国の皆様お疲れさまでした。

ライブも順調に進み午前中の自分のセッションは早く終わり過ぎるのではと勝手に危
惧していましたが、○○先生が期待どうり仕込みをしてくれて12時過ぎまでハラハ
ラ、ドキドキでした。
”万死に値する”などということはありません。これからも生き恥をさらしながら5F
ガイドで全国を行脚していただきたいと思います。

(これで激励になったかな??)

************************************

○○です。

○○先生八戸ライブ楽しかったです。勉強になりました。これからも、がんばってく
ださい。
北海道から参加して、北海道がどちらかというと、カッターマンが増殖し(ロタマン
は僕だけですが、)コンプレックスに向かっているスタンスとは、違う、TRIのすば
らしさを認識しました。北海道は、TRIを含めた独自性のものを発信したいと、みん
なで考えています。斉藤先生の○○先生の励ましは、大切だと思います。なぜなら、
radialistは、冷や汗かいても(斉藤先生はかきませんが)、涼しげな顔で、単なる
穿刺部位の違いですからといっておきながら、絶対手からやるというスタンスが僕
は、大好きです。日曜日、医療講演のために帰りましたが、次回はちゃんと参加した
いと、思ってます。

************************************

○○です。

皆様、激励ありがとうございます。
皆様の暖かいお言葉を胸に、こりずに「生き恥」をさらし続けます。

芸の基本は「恥」を忘れる事と思っております。
芸に生きる私に「恥」という言葉は誇りです。

当然、こりずに今も5FrGCと0.010'GWで楽しんできました。

************************************

○○です。

TRAネットの皆様、八戸ライブに対するご協力を本当に有り難うございます。ペンタ
は脱げませんでしたが○○先生の「パンツ」が脱げてしまいました。彼は本当に役者
です(今回のMVPではないかと思っています)。 また来年もライブをやろうかと現
段階では考えておりますのでよろしくお願いいたします。しかし、TRIのライブは症
例選びが本当に難しいです。

************************************

○○と申します。
卒後4年目でなにも知りませんがよろしくお願いします。

************************************

○○です(最近この呼び名に少しなれた気がする)。

 世の中にこんなに真面目で、楽しいライブがあって良いのだろうか? と飲み過ぎ
た翌日の朝風呂に入りながら考えたしだいで、
 初参加の八戸ライブの旅は、八食センターツアーから始まった。 まったくここの
海産物と来たら、回転寿司でさえ絶品の必殺技が出てくるんだから、、、不意打ちの
フックに右膝を着いてしまった。

 午後5時になるとあたりは真っ暗。 少し雪まじりの八戸の冷たい空気の中で、露
天風呂につかってぼんやり過ごすのが、なんて言うのか実に至福の時で…ここに就職
しようかな(市民病院ではなく温泉の方に)なんて考えたりして。

 と、遊んでばかりではなかったんですよ。(僕はいったい誰に話しかけているので
しょうね?)

サテライトシンポジウムの『電子カルテの光と影』も12月1日から現実のものとな
る僕にとって、とても勉強になりました(○○先生、うちもF通の電子カルテです
が、入力している間は患者さんの顔色を見ている暇なんかありませんよね)。 
私見としては現在手書きで行っている部分の入力の支援方法が解決しない限り
は、満足できるシステムとはなり得ないと考えています。

 それから○○先生。 あそこで素早くアプローチを変えて、合併症無く手技を完結
させたあたり、ただ者ではないとお見受けしました。本当はランチョンが終わっても
未だ続いていたらどうしようなんて思っていたんですが、よかったです。
 患者さんの心機能を損なうことなく治療を行えたのだから、結果は良しであって、
S.S先生がおっしゃっていた『balloonふくらませているうちに5Frをディープにすれ
ば…』が良かったかもしれないし、先生があの時心配された『ここでカテを押すと近
位部付近を傷めるかも…』も起こりうる心配であって、所詮PCIなんてどこからやって
も一寸先は闇なのだと再認識させていただいた次第です。

 しっかり勉強・しっかり栄養の凄い演出をされた○○先生と、それを支えていらっ
しゃる○○先生をはじめとされるF1チームの皆様の努力に感謝いたします。

 これだけ書けば、今年これなかった先生方は、さぞかし悔しがられるだろうな〜!

************************************

○○の○○と申します。

昭和60年○○大学卒業です。
このたびはTRA-netに入会を認めていただき有り難うございます。

私の施設では、いまだにTFIが主力で、TRIはこれからといった状況です。
TRA-netの過去ログをROMしながら勉強しておりましたが、
いろいろと皆様に御教授していただければと思い、入会を申し込ませていただきまし
た。

諸先生方、何卒宜しくお願い申し上げます。

************************************

みなさん、はじめまして。○○病院 循環器科 ○○です。
平成6年 ○○大学医学部を卒業しました。
当会の○○先生の指導の下、TRA&TRIを行っております。
まだまだradial punctureに苦労する状態です。
どうかよろしくお願いいたします。

************************************

○○病院循環器科の○○と申します。

平成4年○○大学卒です。北海道の地方中核病院に勤務しており、循環器のみならず救
急科のような立場で働いています。病院のPCI数が年間120件程 
度で、ハウプトでのPCI経験数は100件程度と未熟者ですがよろしくお願いします。当院
ではTFIを中心に行なっていますが、TRIの症例も増やして 
行きたいと考えております。
女みたいな名前ですが男です。どうぞよろしくお願いします。

************************************

はじめまして

○○病院の○○です。
今回 Tra-netに入会させていただきました。
昭和63年 ○○大学卒です。

○○大学病院で現○○病院の○○先生にTRIの免許皆伝をいただき、そ
の後シドニーではラディアール用シースを取り寄せるところから始めて(当時シド
ニーではTRIは普及していなかった模様)、三年間現地でのTRI活動とスタッフへの伝
授の後、現在は葛飾でTRIでの活動をしてます。

今後ともよろしくお願いいたします。

************************************

○○です

先程、名古屋の日循東海北陸地方会より戻ってまいりました。
昨日・本日と学会に併せ、書籍販売コーナーが設けられていましたが、
昨日平積みされていた○○先生の本が今朝は見当たらなかったので
書籍コーナーのひとにお伺いしたところ、昨日のうちに完売されたようです。
因みに私は当然昨日のうちにゲットしております。
PS. 横浜でサイン会はあるのでしょうか?

************************************

○○です。

僕のサイン希望の方は個人的に言っていただければ何ぼでも。。。

************************************

○○です。
当院でも、アンジオシールを使用するcaseが増えています。ア
ンジオシールは、患者さんの疼痛の訴えが少ないということを
以前、聞いたのですが、当院では、アンジオシール使用時に、
痛がる患者さんが多いような感じです。アンジオシールを使用
されている先生方で、使用前に局所麻酔を行なっていますか?
また、アンジオシール使用後の圧迫、安静解除はどのようにし
ていますか?
当院では、アンジオシール終了後3時間圧迫。その後止血され
ていれば、安静解除としています。

************************************

○○です。
当院でも、ここのところTFIをする症例が続いており、
アンジオシールを使っています。うちでの印象では
クローザーなどのスーチャーデバイスに比較して、
痛がる症例は少ないと思います。一応、追加の
局所麻酔はしています。当初、メーカーの言うとおり、
40分で開放としていましたが、1例もうまくいった例が
なく、40分後にじわーと出血して、1時間圧迫固定後
でもダメでした。やはり3時間程度(ACTが回復するまで)
は圧迫固定が必要な印象です。バネを浮かすのが
必要ならしく、プラスチックビーカーをかぶせています。
前回、使用時には、コラーゲンを押し込むはずの緑の
チューブがコラーゲンを突き抜けてしまい(指の感覚で)、
止血不十分となり、その場合も結局4時間程度の
圧迫固定が必要でした。

************************************

アンギオシールの話がTRA IVUSともに出たので両方にレスします。。。

まず○○先生の皮下が薄い人の場合、
Angiosealの専門家、外人さんに聞いたところ、コラーゲンを皮膚で覆うように
してください、とのことでうちではコラーゲンが出てる人はコッヘルか何かで皮
膚をつまんで引っ張ってコラーゲンを覆うようにしています。皮下組織がペリッっ
て剥がれる感じがして綺麗に覆えます。それで問題ないです。こうするとコラー
ゲンを過剰に抑える必要がなくどの人でも同じ形のコラーゲン止血になると思い
ます。

○○先生と○○先生のしこりや痛み、ですが
うちでの使用例は40例以上ですが、「しこり」はそれほど言われてないです。少
なくともCloserよりはいいと思います。「痛み」も明らかにCloserより少ないで
す。アンカーをひっかけて引っ張る時に痛む人もいますが少数です。
うちではCloserからの経験で「Eキシロ」を使用しています。痛みが少ない原因
かもしれません。ただ忘れてしてしまった人もいますが痛みはあまりないです。
アンギオシール使用後はメーカー推奨どおりの時間(CAG 30min PCI 45min)ま
でベッド上安静、糸を切って推奨どおりの時間(アンギオシールした時間からCAG
2hr PCI 4hr)までベッドアップ45度、その時間で安静解除、で39/40で問題あり
ません。残る一例は以前報告した途中で起き上がった人です。
これもその外人さんからのrecommendationですがあまり圧迫するとコラーゲンが
潰れて止血不成功になることがある、とのことでしたのでうちではoozingに対処
するために厚めのガーゼをあててますが圧迫は全くしていません。不要のようで
す。
○○先生のところも糸は途中で切ってるんですよね?あれも長くしてると引っ張
る力でアンカーが抜けることがあるってことでした。45min以上はしないように、
とのことでした。

************************************

○○です。

しつこいようですが、うちでは39/40でほぼ全例プロトコール通り成功してます。
PCIでもACTは全く戻してません、うちのヘパリン量は多めでCAG 5000 PCI
10000+アルファ、ですが問題ないですよ。
Eキシロを使うとoozingは減ると思います。それとアンカーがきっちり血管壁に
くっついているか、でしょうか、違いを想像すれば。。。???

************************************

○○

○○先生に質問。

○○先生のところも糸は途中で切ってるんですよね?あれも長くしてると引っ張
る力でアンカーが抜けることがあるってことでした。45min以上はしないように、
とのことでした。

そんなことで、アンカーぬけるの?だとしたら、コラーゲンを押すときに力いっぱい
やるとだめなのかしら?

うちでは、すでに70例以上の経験から、コラーゲンをくっつけるときに、思いっき
りやらないともれる事が多いので、アンカーをかなり強めに引くようにしてるんだけ
ど、これじゃぬけるのかな?

************************************

○○です。

すぐは大丈夫らしいです。体温で暖かくなるとやばい可能性がある、らしいです
よ。うちでは早くバネ外しているのでどうなるか分かりませんが。。。

************************************

○○

ありがとうございます。
いま、調べたら103例やってました。
一例だけ、アンカーがおくにいれてからカチッとなって、ひいても、しっかり固定さ
れていたのに、全体をひっぱて来るときに、アンカーが一緒にに抜けてしまったとい
う経験があります。そのアンカーはちゃんと開いてませんでした。こわいですね。

************************************

○○です。

> これもその外人さんからのrecommendationですがあまり圧迫
するとコラーゲンが
> 潰れて止血不成功になることがある、とのことでしたのでう
ちではoozingに対処
> するために厚めのガーゼをあててますが圧迫は全くしていま
せん。不要のようで
> す。

○○先生の施設のように、アンギオシール後、圧迫をしないと
いう方法は、他の施設の先生方も行なっているのでしょうか?

また、brachial approachの際の止血にクローザーあるいはア
ンギオシールを使用したことがある先生はいらっしゃいますか

************************************

○○です。

brachialにProster, Closerを数例に使いました。最初はいい感じで、
brachiocloseだ、とか言っていたんですが、ある例で閉塞を起こしました。その
方は3本バイパスで3本とも閉塞していたのを全て血行再建した方で、全身動脈硬
化が強くradialはおろかAAAバイパス後で屈曲・狭窄が強くfemoralからの
approachが困難である方でした。インターベンションをLt brachialから行った
後1ヵ月後だったと思いますが、の外来で「先生、どうも左手で物を持つと力が
入らないんですよ」と言われ、まずいと思って脈を触れても全く触れませんでし
た。PTAも話しましたがcollateralの増加を待つ、ということで経過観察しどう
やらcollateralが増えたようで今では問題なくなってますが、この症例から後、
brachiocloseは止めてます。

Angiosealのbrachial使用はありません。

************************************

○○です。

○○先生の質問に対するコメントです。

経験はありませんが、brachialの場合、
皮下組織が薄いので感染リスクが高くなる可能性があります。
また、止血縫合器による血管縫合は、

術者の手による直視可の縫合とは異なり、
blindで確実に止血する必要があり、
また細かい調整もできませんので、
どうしても血管のひきつれが強くなるかと推察します。
したがって、大腿動脈のような大血管の縫合には適しても、
小血管の縫合には適さないのではないでしょうか?


************************************

○○病院の○○です.遅レスですが,○○先生,八戸ライブお疲れ様でした.今年
もいろいろ勉強させられることが多くとても良い会であったと思います.九州のライ
ブもこうありたいものだと思いました.
先日から「Duraflex」がいいステントで側枝アクセスがしやすいという話が出ていて,
八戸ライブ中の「Sステント」でのkissingの話を思い出しましたので遅ればせながら
メールさせていただきました.当院の経験で「Sステント」バルーンを用いてkissing法
が可能であった組み合わせは,,,
  3.0mm S670+ 3.0mm Premio (6F Mach1)
  3.0mm S670+ 3.0mm Marveric ( 6F BrightTip)
  3.5mm S670+2.5mm Marveric2 (6F Mach1)
  3.0mm S670+2.75mm Dangan (6F Mach1)
  2.5mm S660+2.5mm Apollo (6F Mach1)
...などがあります.

○○先生?が言われていましたが,S670(3.0)とRyujin(2.75)の組み合わせは不可能
でした(6F IL4.0).ご参考までに.

************************************

○○

膝下動脈のアンギオシールの経験があります。
うつぶせのtrans pop.、アプローチによるSFACTOのPVIで、3例 pop.Aをアンギオ
シールで止血しましたが、問題なかったです。

************************************




第89集


************************************

○○です。

いつもお世話になります。
皆様の御意見伺いたいと思います。
Pentaが悪いわけじゃない(?)と思うんですが・・・先日、破ってしまいました。

Case 89y.o. male
AP、risk factor: HT
Penta 4×8mmを入れました。10atmでdirect stentしたら思いのほかangioで大きく見
えましたので
まずいなあぁ、と思いながら造影すると破れていました。心のう内へは恐らくステン
ト外(?)からdistal方向へ向かってleak flowを認めました。
幸いSDS 2atm×4minで止血できました。

IVUSですが、LADが4-5時方向から入りますので2-3時方向が心外膜側だと思います。
Stentのpre prox.edgeが53:39、dist.edgeが53:23でpost prox.edgeが39:46、
dist.edgeが39:30です。
53:33が最もcalc.の強いところですがむしろplaqueの対側にcalc.があり、正常に近
い血管壁部分はほとんどありません。血管壁の弱そうなところは、強いて言えば4時
方向でしょうか?
39:37がPostで最も大きくなったところです。ここの2時方向から破れているのでしょ
うか?53:30がそのpreにあたります。

これはやはり、perforation high risk groupだったのでしょうか?
反省すべき点は鉄則どおり8atmで一回見るべきでした。
high ageであることも考慮すべきであったと思います。
ただ、PostのIVUSではcompliance chart径より大きいような気がします。
angioで思ったよりも大きく見えたので気にはなったのですが、4.5mmくらいありま
す。
これに関しては実際のSDSの拡張圧毎の径を調べてもらうようお願いしました。
また、short stent (balloon)の場合、圧が逃げるところがないためキッチリ広がっ
てしまうことも影響しているのでしょうか。

皆様宜しくお願い致します。

53'23
53'30
53'33
53'35
53'39
39'30
39'33
39'37
39'46


************************************

○○です

○○先生 お久しぶりです
別にペンタの悪口ではないのですが、
High Risk Groupかどうかは○○先生のご意見を
お待ちしていますが
私個人的には 53.30の4時方向とか、53.33の11時から2時まで
と4時方向って石灰化がちょうどなくて、プラークもないので
危ないかなと思いました
それと、私なら術前のIVUSであれだけ石灰化があったら
Direct Stentはしないと思います ローターするかどうかは
別にして、Ballonnで反応見ると思います(だってペンタの高圧は怖いから)

それと4mmのステントってペンタの場合ノミナルプレッシャーでも
1/4アップ、高圧だと1/2アップになるのをIVUSで測定して
データーをだしました 参考までに見て下さい
このデーターだとかなり大きいと思うのですが・・・

私だったらもし、ペンタを置くなら3.5mmで10気圧から
段階的に圧をあげる方法をするかなと思いました




************************************

○○です。

いつも勉強させていただいてありがとうございます。以前も○○先生に話した事があ
るんですが、3mmのペンタを8atmで留置してIVUSで3.3mmに広がってたり、先日も
3.5mmペンタが8atmで3.8mmになってました。ハーフダウンサイズのつもりで使用して
ますが、3.5mmくらいの血管に3mmのペンタを使い8atmではインデンテーションが取れ
なかったので12atmまで拡張し、バルンが広がったのでやれやれと思い造影してみる
と前後がズタズタにさけていた事がありました。
広がりにくい病変でこのバルンで拡張すると広がった時には、広がりやすい病変では
より大きくなってしまい、このようなことが起こるのではと思っています。圧をかけ
なければいけない時はもう一本出すか、もしくは最初からペンタを使用する時には、
できるだけプレをしてから、バルンをカンタム系の高圧かかるバルンにしています。
同じ思いをしている先生方は多いのではないでしょうか?

************************************

○○ です。

動画でないので断定しづらいですが。。。
まずpre IVUSから予想最終ステント獲得径は4弱と思いますので選択すべきサイ
ズは3.5mm それを16atmというのがよかったと思います。
4.0mmで10atmだと4.2程度でしょうか、、、やはり大きいですよね。高齢者と言
うのも関係しているかもしれませんがここに関してはデータがないので分かりま
せん。

プラーク自体はperforation high riskではないですよね。破れているのは39:37
の11時方向です。心外膜が2-3時方向であるので心房側が過拡張してperforation
してるアンギオともよく一致します。

○○先生、動画を見せてください。

************************************

○○です。

○○先生ご呈示のグラフを興味深く見せて頂きましたが、他のステントでは同様
のデータはありませんか?

************************************

亜mです

他のステントでも純粋にステントの広がりかたの
データーを出してみます
すみません 今はまだありません

************************************

○○です。

○○先生、○○先生、○○先生ありがとうございます。
Pentaは大きくなるというのはわかっていたつもりでしたが、どちらかと言うと
nominalでもキッチリ開くステント、ととらえていました。
今回は病変部前後はM-M≧4.0mmあり、少量のplaqueがある程度ですので仮に4.0mmを
超えても少しくらいなら拡張してくれるだろうと踏んでいました。実際、病変部前後
はなんとなく収まってくれているように思うのですが・・・
病変部もM-M:4.0mm位あり、plaqueが固くって広がらないにしても10-1時と4時に拡張
が逃げる余地がある、また、10atmかけてもきっと固ければindentationとして残って
くれるだろうと考えてしまいました。calcも長くはなかったですし・・・少し甘かっ
たようです。
10atm位なら開くところは開くけれど固いところは開かない圧、という認識をもって
いました。(over sizeは別として・・・)

確認させて頂きたいのですが、まず、MSD end pointが4.0mmというのは大きすぎたの
でしょうか?
○○先生のデーターによると4.0mm Pentaはlow pressureでも4.6mm位は覚悟すべきっ
てことですか?

○○先生、IVUSは後日お送り致します。宜しくお願い致します。

P.S. 先日私もDuraflex 3.5×14mmを使いました。
calcが強くindentationがとれなかったので18atmまでかけました。
そのときは固いところは3mm位しか拡がってませんでしたが両端は3.8mm位まで拡がっ
ていました。
SDSがApollo(semi-com)なので当然かもしれませんがDuraflexもPentaと同じ様にover
expandに注意したほうがよいのでしょうか?個人的にはPenta程ではないような印象
を受けたのですが・・・どうなのでしょう?

************************************

○○です。

○○先生のチャレンジングな姿勢は勉強になります。
でも、使用経験の少ないステント(システム)を石灰化病変にdirectに持っていくの
は、すこしリスキーでは・・・・。
(破った後ですし。)
そこで、みなさんに教えていただきたいのですが、Direct stentingの適応は如何お
考えでしょうか?
自分自身は石灰化のある症例では、バルーンで前拡張してステントを入れています。
この時のバルーンはpostを考えて、non-con. を使ってます。

追伸:○○先生を非難してる訳じゃないよ。
  勉強したいだけですし、みんなの考えを聞きたいだけです。
  気を悪くしないでね。

************************************
  
○○です。

○○先生、いつも御指導ありがとうございます。
率直な御意見で大変勉強になりますし、反省もします。

preをかけるなら、少しunder sizeのほうが良い場合が多いような気がしますが、そ
れでもSDSだけではきっちり開ききらないことが少なくないように思います。
そうするとpostのballoonは2本目になりますので保険的に少々つらいと思います。
end point diameterのballoonでpreをかけるとすれば、
それよりもdirect stentの後、8mmPowerSailできっちり広げたほうが最終的にはgain
が大きいのではないかと思いますし、あまりSDS high pressureで頑張りすぎてedge
を割るよりはpost short balloonで拡がらないところを狙い撃ちするほうが効果的か
な?と思い最近はdirect stentが多いです。
ただし、あまりにもcalcが強くballoonで拡がらないかもしれないと思う症例はま
ず、balloonで拡張の度合いを見てます。
これに関して、pre balloonがあるほうがgainが大きいのか、postでしっかり拡げれ
ばpreはなくてもよいのか、そんなrandamize studyやってみようかなぁと思ってまし
た。思ってただけです。もしかしたら、もう既に過去にそのようなstudyあるので
しょうか?

************************************

○○です

ペンタは大きくなるなぁと思い IVUSで計測したらあのような
データでした 以後は高圧が必要な場合はハーフダウン
低圧で末梢の径と中枢の径が異なる場合には末梢のジャストサイズ
低圧でおいて、中枢側にずらして高圧してました
私の印象ですが、ペンタってそんなにはきっちり広がらないと
思っていました。 慢性期の成績は別にして急性期には
病変に応じて半月型とかに拡張されたという印象です

ですから、石灰化のある場合はステントと同じサイズで
プレをして、拡張が悪ければ、ワイヤーを横にいれて
ワイヤーで割っていました(ワイヤー割!)
やはり、ステント留置の時にインデンテーション取れないのが
いちばん恐ろしいと思っています

************************************

このたび、入会させていただくことになりましたので、自己紹介します。

陸上自衛隊○○駐屯地医務室所属の○○2尉と申します。
H13年○○医大卒業です。
卒後三年目を自衛隊の健康管理に捧げている一方で、○○病院にお邪魔して
カテのいろはを教えてもらっています。
”噂の”TRA-NETでいろいろと勉強させていただこうと思っております。
よろしくお願いします。

************************************

○○です。

はじめまして。今回、新規会員として登録していただいた○○です。
○○医科大学卒業の4年目です。
現在、○○病院循環器に所属してます。
循環器としてカテを始めて2年目です。
超初心者のため、このような場で発言するには勇気がいりますが、
いろいろ勉強させていただきがんばりますのでよろしくお願いいたします。

************************************

○○です。

あのぐらいなら、僕はdirectで十分拡張すると思います、というかぜんぜん問題
なし、ですね。ただし最終拡張形をちゃんと予想して高圧がかけられる径を選択
しなくてはいけませんが。

************************************

○○です。
このたびはTRA-netに入会させていただきありがとうございます。○○医科大学H4年
卒業です。○○病院に勤務して1年半が過ぎ、11年前の手動式アームのシ
ネ装置(島津製作所)に愛着を感じ始めたところでしたが、来年春に最新式のフラッ
トパネルに変わることになりました。うれしいことですがなんとなくさびしい気もし
ています。新しいシネ装置になったらよりいっそうがんばりますので、御指導よろし
くお願いいたします。

************************************

○○大学循環器内科の○○と言います。

毎日何か面白い話がないかとたのしみにメールチェックさせていただいておりま
す。
今回は初歩的な質問で恐縮なのですが、どの本にも載っていない(と思う)ので
質問させていただきました。
以前より時折感じていたのですが、ectasicなcoronaryの際に、ガイドワイヤー
(GW)がcoronaryの外を走っているようにみえることがないでしょうか?(変な
図ですが、下に書いてみました。)
時折ライブなどで、“層流の影響で血管内腔が十分造影されていない”などとい
うようなことを耳にすることがあるので、そのことと何か関連があるのでしょう
か?
実はこれもよくわかっておらず、“造影剤は、血管の外側を流れたがるのかな”
などと勝手に考えたりしていたのですが、本当のところどういうことなのでしょ
うか?
この点について、何か少しでも教えていただけることがあれば是非教えていただ
けないでしょうか?
どうぞよろしくお願いいたします。

************************************

○○です

特にRCAが大きい場合に造影剤が十分に満たされておらずに
GWが外に見えたり、解離に見えたりすることが度々ありますよね
こんな造影所見を見て、解離様に見えたのでIVUSで確認したけど
なにもありませんでしたって発表していた、阪神間の
有名な先生もおられました
そのような所見は造影剤が管腔を十分に満たしておらず、
またそのスピードが遅い時に造影剤の重みで造影剤が
管腔内の背中側を流れるからだと思います

************************************

Radialistの皆様

初めまして、Stanford大学の○○と申します。2001年の4月からこちらに来ておりま
す。私は、平成4年に○○医科大学 
を卒業し、地元○○県の僻地医療の後、こちらに来ております。
現在、こちらでは、豚のカテを毎日しております。豚のRadialは、かなり細いので、
大 腿動脈や、頸動脈からカテをしております。主に、こちらのベンチャーと一緒に
PTCAのNew Device(ほとんどが、Crazyなものですが)の開発や、急性心筋梗塞の薬の
開発などやってます。
アメリカでは、残念ながら、一度も、TRAをみたことがありません。訴訟のこともある
かもしれませんが、やはり一番は、日本人の技術は、世界1であるこ 
との証明かもしれません。

それでは、今後ともなにとぞよろしくお願いします。

************************************

○○先生、久しぶりです。同期の誰かの結婚式以来でしょうか? 
同期の鹿児島の○○です。
私もTRA net でさまざまなことを勉強させていただいています。TRAではいろんな情報
で勉強させていただくことが重要ですが、それ以上に多くのradialist の先生方がこ
んなに頑張っているんだなあ、と自分のmotivationが高められる感じがしています。
日本に帰る機会があったら、ぜひ横須賀に寄っていって下さい。部長の○○先生はじ
め、同期の○○、○○Drも一緒にTRI してます。
Deviceの開発なんて仕事も面白そうですね。

************************************

はじめまして。○○市立病院におります○○と申します。
平成11年に○○大学を卒業し循環器研修に入り3年目の小童です。
カテを始めた当初からRadialも少しずつですが経験させていただいております。
早くこちらにいらっしゃる先生方のように一人前といえるように日々精進したいと思っ
ております。
どうぞよろしくお願いいたします。

************************************

○○先生、どうもありがとうございます。

“なぞ”が解けました。
本当にありがとうございました。
また是非いろいろと教えてください。

明日は横浜で勉強させていただきます。
Come come club楽しみです。

************************************

○○です。

鎌倉Live御参加の先生方お疲れさまでした。
年々、益々の盛況ぶりで驚くぐらいでした。
今回も、皆様よりたくさんのことを勉強させて頂きました。
また、少し賢くなった気がします。
また、○○先生、○○先生カッコよかったです。
○○先生の5Fr.へこだわったPCIと、大和魂、○○先生の”俺のpunctureを見ろ!”
と本幹命、いずれもoperatorの先生のカラーがにじみ出た手技だったように感じまし
た。感動しました。

ところで皆様、御帰宅早々で申し訳ございませんが治療方針で悩む症例がありますの
で御相談させてください。
Case 49y.o. female
risk factor: HL, DM(no treatment), Smoking
少し前にUAPであったが現在はno anginaである方です。
LAD jp:75-90% diffuse&tortuosでjpにはruptured plaqueがあり、これがUAPの遺残
ではないかと思っています。
現在はergometer exercise test: negative, ATP stress scintigraphy: negativeで
す。
しかし、狭窄度としてはそれなりにありますし、UAPのeventを考えるとischemiaの
signはありませんが血行再建をすべきではないかと考えました。
しかし、少々やっかいです。
DCAは入らないかもしれないですし、tortuosもあり、素人には難しそうです。
jpにステント置くにしてもHL br.ありますし、若年ですからそのようなステントの置
き方はなるべくしたくりませんし・・・なんとなくですが・・・

良い方法がありますでしょうか?
宜しく御指導お願い致します。



************************************

○○です

○○先生 鎌倉ライブお疲れさまでした

この所見で、虚血がネガティブならもう少しこのまま
Risk Factorの管理をきっちりとすると思います
私はDCAはしないので、分かりませんが
この病変はDCAの適応にはならないじゃないからと思いました
今なら待てるので、このややこしい場所手を出すのなら
DESまで待った方が良いかもと考えました

************************************

○○です。

 mあ先生の意見に一票! LAD jp:75-90% diffuse&tortuosでjpにはruptured
plaqueってのはやや末梢側のことでしょうか?最後の画像を見る限りJPの病変がよく
解らず、更に現在虚血が証明されない49歳であれば、スタチンをしっかり飲んでい
ただき定期的に外来で運動負荷などの虚血の評価を行 ってみるって方法ではダメな
のかな?

************************************

○○です。

○○先生、○○先生お疲れのところ早速のresありがとうございます。
確かに、仰る通りかな、と思います。
ただ、angioでちょっと狭いかなと思いましたものですから・・・
一応、拡大写真添付します。

ruptured plaqueかな?と思ったのはHL分枝直後のところです。



************************************

○○です。

僕はこの症例はPCIすべきだと思います。僕ならします。
まず狭窄度が十分高度であること、UAPからどのようにstableになったかは分か
りませんがunstable化していたプラークで完全にruptureはしていないと見ます
ので今後のrupture riskを考慮すべきこと、リスク領域が大きいこと、が理由で
す。

虚血に関しては、これだけlogn + stenosis lesionで本当に虚血がないの???
と言いたくなりますし、positiveなら血行再建の大きな理由になるが negative
が血行再建を完全に否定するものではないと考えるのでこの病変ではしないほう
がいい強い理由にはならないと思います。

PCIはPCI siteからのplaque ruptureが少ない、多分これはpaperも出ていたよう
に思いますし経験的にも組織学的にも正しいと思いますが、ことから僕はこの症
例はむしろ積極的にPCIをすると思います。
ただstentは○○先生のいわれるとおりDES待ち、でostiumだけでなく
proximal-mid LADにも本当にやばい時以外はdissectionでもwatchingとする、と
いう方針でやります。

************************************

○○です

皆様、鎌倉ライブお疲れさまでした。
○○先生、○○先生の根性はかっこよかったです。
あとは一番最後の裏ライブが凄いメンバーで楽しかった(爆笑の渦!)です。
○○先生お疲れさまでした。

○○先生の症例に関しては、私もPCIもしくはCABGなどを考えてもよい症例かと思い
ます。
可能で有れば、シンチなど積極的に虚血を確認する手段で適応を決め、処置した方が
良いと思います。

PCIとしては...私には難しいと思います。
自分ならCABGに逃げるかもしれません。

************************************

○○です。

鎌倉お疲れさまでした。
町内の餅つき大会にかり出されて、いけませんでした。
テロも起きなかったし・・・・・。
来年こそはよろしくお願いします。

さて、○○先生、いつも、おもしろい症例呈示、ありがとうございます。
この症例が血行再建すべき根拠は、Circulation 2003; 108: 1324-1328 で、MIに
なった病変は、その後stableでも心事故が多い、で上司を説得しましょう
(Editorialはみせてはいけません)。で、PCIするかCABGするかですが、術者の技量
でしょう。私はとても手を出す気になりません。LMにステント入れて、HL、LCXを助
けることは私には不可能です。根性なしです。
LITA-OPCAB一本勝負が絶対できる術者なら任せます。そうでなければ、スタチン(リ
ピトール)+ARB(ACE)+β遮断薬 でこまめに運動負荷していきます。
もう一つ、いま、症状がなければDESまで待って、LAD justにおきますか?その際に
はJJよりBostonがベターでしょうか?

************************************

○○です。

鎌倉ライブでは、お世話になりました。

○○先生の症例ですが、私も血行再建をするほうに賛成します。ただ、DMで無症状で
すから、何らかの形で、客観的な心筋虚血の証拠を得ておきたいと思います。負荷心
筋シンチを、運動負荷でなく、ATPでやった理由は何なのでしょうか?

血行再建は、MID-CABGでも、もちろんよいでしょうし、PCIも患者さんが希望されれ
ばやりますね。LMTとLADの血管径が(すくなくともCAG上は大きくことなるので)、
LMTからステントをいれるのは、避けたい気がします。入口部から1カッター分だけ
DCA alne にして、中隔枝をまたぐあたりはステントにしたいと思います。DCAの前
に、そのあたりは、軽くバルーンをかけておくかもしれません。少し小さめのステン
トをいれて、IVUSガイドで前後に解離を作らないよう、short balloonでしっかり後
拡張をしたいと思います。

もし、DCA中に解離などで入口部からのステントを余儀なくされる場合は、LMTとLAD
の血管径を考えれば、またぎステントは難しいし、LCxの分岐角度はRAOで90度を超
えていますので、Plaque shiftの可能性は少ないと考え、HLにprotect wireをいれ
て、ぎりぎりから植え込むと思います。HLのワイヤで、手前の位置あわせもよりやさ
しくなるのではないでしょうか? HLには、plaque shiftがくる可能性があります
が、その場合は、KBTをLAD-HLで行います。

************************************

○○と申します
ライブにご参加のTRA-netの先生方,おつかれさまでした
「大」忘年会も盛り上がっていましたね
写真はバッチリ撮れましたか? ○○さん

昨日はトランシーバで裏中継を聞きながらはまぎんホールで観ていましたが,
最後だけは日石ホールにわざわざ移動して,豪華メンバーのコメントを
拝聴し楽しませていただきました

○○先生の症例ですが,「待てる」ならCypherが使える時期まで
待ちたいです(私も○○先生に一票!)
そうでなければ,上手な先生に動脈グラフトをつないでいただくよう
お願いすると思いました

************************************

○○です。今年は鎌倉ライブに参加できなかったので非常に残念です。
参加された皆様ご苦労様でした。うらやましい限りです。

○○先生の症例に私も一言
少し前のUAPが一ヶ月以内であれば安静BMIPP心筋シンチで虚血領域と重症度がわかる
ので、現在虚血が誘発されないのであればBMIPP心筋シンチをお勧めします。結果、
欠損領域が前下降枝の広範囲であれば文句なく血行再建の適応があると思います。そ
うでなければ本当にLADが責任部位である証拠もないわけですから、狭心症、糖尿
病、高コレステロール血症の内服加療と禁煙で経過観察です。

************************************

11月にご登録いただいた、○○病院の○○といいます。

自己紹介遅れまして、申し訳ありません。
昨日鎌倉ライブで知人から「TRAネットの自己紹介まだじゃない?」と指摘受け
まして、遅ればせながら自己紹介させていただきます。

昭和63年○○大学卒で、一昨年まで○○病院におりました。

現在は○○にある○○病院で、PCIの立ち上げを(細々とですが)行
なっております。
ご指導のほど、宜しくお願いいたします。

************************************

みなさま鎌倉ライブお疲れ様でした。
○○です。

○○先生・○○先生ライブかっこよかったです。
○○先生のパンクチャーからのライブが実は先生自身がリクエストしたと聞いてさら
に感動しました。

TRIビアの泉では○○先生の5Fへの情熱が伝わり「そのうち5FPCIの時代が来る」と
いう予感がしてきました。(5FIkariカテ!)
本当にいろいろ勉強になることが多かったライブでした。
またいろいろな先生方にお世話になりありがとうございました。

○○先生の症例は自分ごときがコメントできる立場ではないですが、経験も根性もな
い自分にはとてもPCIをしようという考えはなくmedicationで経過を見てCABGの検討
をすると思います。

************************************

○○です。
鎌倉ライブへご参加の先生方、お疲れ様でした。また術者・座長・コメンテーターの
先生方、ご苦労様でした。

今年もますます盛大な会であり、TRA-netの隆盛を象徴する会でした。特に夜の忘年
会は参加者が50名を越えて、知りうる範囲では過去最大の規模となり、大変楽しく過
ごしました。関係各位のご尽力に深謝致します。○○先生のセッションも今年3回目
でしたが、年々活発な討論が出てきて、まるでMLのライブ版といった感じで、楽しく
拝聴いたしました。鎌倉ライブの参加者数の増加に、とても大きく貢献していると思
います。勿論全国各地のコメディカルの皆さんの演題も、面白かったです。

今年は随分全国各地でメンバーの先生方にお会いして、直接貴重なお話を伺う機会に
恵まれました。私自身も今後はもっと情報発信が出来るように、努力して行きたいと
思います。今後とも宜しくお願い致します。

************************************

○○です。

 ○○先生、お久しぶりです。
 なかなか難しい症例ですね。当院ならしばらく様子を見て、CABGでしょうね。
当面はmedicationで見るとして、LAD領域の虚血のfollow upに、心エコーによる冠動脈
血流の評価はどうでしょうか。
 最近、某先生の影響もあり、片っ端から冠動脈エコー撮りまくってますが、LADとRCA
に関しては、follow 
upに十分使えると思います。負荷をかけなくてもdiastolic/systolic velocity 
ratioが1.5(1.2という説も)を切ってくれば、そろそろあやしいと考える。外来で何
度でも行えるし、コストも安いので、おすすめです。

************************************

○○です。

多くの皆様、御指導ありがとうございます。

○○先生が仰られるように1度BMIPPはやってみます。
当院のシンチのstressはATPがルーチンですのでそれで行いました。
運動負荷も検討してみます。

なんとなくですが・・・stable anginaであの狭窄度だと待てるかな(DESまで)と思
うのですが、
不安なのは○○先生が仰られるようにunstable plaqueでUAP/AMIの再発/発症を引き
起こしてしまうかもということです。
その評価は難しいと思いますが、それが○○先生の示されたevidenceなのでしょう
か。

(実は本日のPCIで痛い目にあっていますので弱気になっていることも手伝ってか・
・・)
やはり、この症例に対し、DESのない状態でPCIするのは私には難しいと思います。
現実的にはatrbastatin+DM controlでplaqueをstabilize、外来で運動負荷、冠動脈
エコ-
をしていくことでしょうか?私にとりましては・・・

************************************

○○です。

Kamakura Live 皆様お疲れ様でした。
とても勉強になり、かつ楽しい時間でした。
遅ればせながら○○先生の本もゲットしました
(今回サインを戴けなかったので、今度お会いしたときに
サインください!○○さん江 って書いてくださいね)
それにしても皆さん英語が上手なんですね。
自分も勉強しなくちゃ、と思いました。

帰ってきたとたんの○○先生からのメール、横浜では
黙ってて、、、なんだ九州の人間でもネタを仕込んでる
奴いるじゃん、って感じです。

確かに虚血はあってもおかしくない様な気もしますが
現時点で証明できなければ、私もスタチン、ACEI(ARB)入れて
の薬物治療でしょうか。(心臓リハビリなんてのはどうでしょうか?)
外科的手術はDM患者でLCXやRCAにも今後進みそうな病変はありますし
にわかにはお勧めしたくない感じもします。PCIはやっても再狭窄が生じた際には
きっと今より狭窄度は強くなっていることでしょうし、そうなると悪循環に入り込む
恐れがありますので、よっぽど再狭窄を生じさせない手を打たないといけない
気がします。となると私には無理です。

エイやっと!ステントを入れて、LMTを含んだ再狭窄を生じ、
それでバイパスへ。という例を以前どこかで経験したことがありますが、
(私がしたんじゃありません、あのお方が、、、、、)
そういう風には私はしたくないと肝に銘じております。

最後に負荷としてATPは良くないんですか?よく知りませんので教えてください。
当院ではATP、ペルサンチンでしていますが、やはりスティール系は不充分なので
しょうか?

************************************

○○です。

鎌倉ライブに参加されたみなさん、お疲れ様でした。
確かに2次会には50人以上来られていましたね。びっくりしました。

TRIビアの泉も、急遽キムニー先生の講演が入ったのにも関わらず、ほぼ時間
通りに進めることができ、皆様のおかげと感謝しています。

○○先生の本は私もゲットして、サインしてもらいました。
○○先生のコメンテーターの英語は、謙遜しておられる割には上手でびっくりし
ました。次は是非、「偏差値○○から始める英会話」という本を出してください。
(○○は敢えてバラしません)

************************************

○○です。

TRA,TRI始めて6年くらいになりましょうか。私の様な
年寄り(第一世代に含まれるのでしょうか?個人的には第二世
代!)にも大変有り難い手技だと思っています。当然これで全
てをまかなう事は出来ませんが,可能なものであれば,極力イ
ージーな方法を選択しています。チープでディープでイージー
をモット−の私のTRA,TRIを更に洗練させたく,皆様の
情報,お知恵を拝借したいと考えております。またこれからも
,宜しくお願いいたします。

************************************

○○です。

最近、ROMばかりで申し訳ございませんでした。
鎌倉ライブも当直の関係上、参加できず残念です。

久しぶりに症例についてのご相談をいたします。

症例は56才男性で、riskはDM、 CRF on HDです。
2002年12月、HD導入の際、CAGを施行したところ、#6 50% #7-8 diffuseに
75-90%(long lesion) #13 99-100%でした。
今年の1月、LAD #7-8に対し、Rota→stent 2.5mm NIR for #8 , 3.0mm ML TriStar
for #7にて終了しております。
今回、follow したところ、PCI siteはrestenosisを免れていましたが、今度は
LMT-#6 midにかけて90%に病変が進行しております。
現在、歩行時などに軽い胸部不快を認めております。HD中は症状なしです。
このような病変に対して、
1.LMTから#6にstent→LAD/LcxにKBT
2.DCA
3.あっさりCABG
の3通りを考えました。個人的には1.が好きですが・・・。3.も捨てがたいところ
です。

よい方法がありましたら、ご教授いただければ幸いです。



************************************

○○先生へ

DCAに1票。

************************************

○○です。

透析症例ですから、TFIですね。8Fr JCLで入り、IVUS上DCAができそうならもちろん
DCAです。IVUS不通過、あるいは石灰化でDCAが無理そうなら1.75→2.15mmで最高回転
ロータをします。どちらを選ぶにせよ、そのあと、LMT→LAD#6にステントして、高圧
KBTで終了します。やはり再狭窄予防の意味ではステントを入れるほうがよろしいか
と思います。DCA aloneにはしません。

LCxは#13で99-100%とのことですが、あまり灌流域は大きくなさそうなので、IABP
supportはいらない感じがします。また、治療中、何か重篤な合併症が発生しかけた
ら(幸いにしてありませんが)、待機症例ですが、V stentingで逃げれば良いと思い
ます。この1年間くらいでしょうか、殆どこの場所は、同じような流れで治療してい
ます。

************************************

○○です

○○先生言われるようにLCxは潅流域が小さいので
サポートはしないと思います
DCAですが、私はたぶんせずにステントをLMT-#6にポンと
入れてLCxへKBTで終了だと思います
こんな病変は早く終わらせるのが一番だと思います
もしIVUSが通過しないのなら、1.75mmでローターはすると思います

************************************

岡山市の○○病院に勤務しております○○
と申します。H3卒です。部長の方針でPCIの基本は8F femoral
ですが、診断カテは可能な方はradialでしております。TRIはASO
でfemoral approachが不可能な方患者さんに数例しか経験が
ありません。今後はTRIが主流になると考え、勉強中です。TRA-net
に入会させていただき勉強させていだたきたく存じます。ご指
導よろしくお願い申し上げます。

************************************

初めまして。
私は、○○医科大学第2外科の本間と申します。H11年卒です。
外科に所属する私がなぜTRAに関わりを持ったかと申しますと、私たちの科で
は、自前で術前・術後のカテや、場合によってはPCIを行っていることがきっか
けとなります。
外科医の常として、以前はfemoral approachばかりを行っていたのですが、関連
病院に出張中に、偶然TRAを指導して頂く機会があり、TRAって素晴らしい!と感
動した次第です。
外科ではなかなか受け入れられにくいのも事実ですが、地道に活動していくつも
りです。
現在は、大学院生として実験中の身であり、臨床からは遠ざかっており、なかな
か情報を得る機会もなく、鬱々としておりましたところ、このメーリングリスト
の存在を知り、登録させて頂いた次第です。
若輩者ではありますが、貴重な情報を元に勉強させていただけたらと思っており
ます。
よろしくお願い申し上げます。

************************************

○○です。

 僕もDCAに一票です。DCA aloneにしたいところですが、DM+HD症例なのでそれなり
の石灰化が予想されるので、optimaは難しそうです。その時はDCA stentにします。
 
 ○○先生の症例も血行再建を選択するならosはDCAで行きます。曲がりは血管さえ
伸びれば(石灰化さえなければ)普通にDCAできます。奧は僕もステントでいいと思
います。(ですから○○先生と同じ方針です。)それがHLとLCXをinjuryしないbest
methodと思います。

************************************

間です。

○○先生は、私の高校、大学、クラブ(ラグビー部)の先輩です。

先輩、お久しぶりです。
風のたよりでは、北海道の○○の病院でカテをやっているとお聞きしていたので
すが、長野県へ移られたのですか?
ようこそ、TRA-netへ。 今後ともよろしくお願い申し上げます。

************************************

○○です。

DCAですね。○○先生、僕も頑張ってIVUS見て大きくLMCAからstent+KBTとしてい
ましたが慢性期結果は残念ながらDCAをすべき、という結果となりました。

ですのでこれはもうDCAですね。

************************************

○○

私もLMTからLAD近位部にかけて病変の治療は、可能であればDCAでのdebulkingをした
方が良いと思っています。でも、CRF on HDの患者さんですので石灰化があって十分
なdebulkingが出来ない可能性がありますので、LMTからLADにかけてのstent留置
とKBTも必要な状況と思います。もし、DESがあればstentのみで良いのでしょうが。
私も、DMによるCRF on HDの患者さんでCABG後のLITA→LADが閉塞して、○○先生の症
例とまったく同じようなLMTから#6 JPの狭窄にDCA+stentを行った症例があります。
しかし、残念ながら、その症例はrestを繰り返していてDESが待ち遠しいです。

************************************

○○先生お久しぶり。
そうなんです。一時○○でプータローを
しており医師なのか、漁師なのか解からない生活を致しており
ました。でも旭川のK医院で斎藤先生のTRIを見に行ったり
もしてました。朝の4時に起きてね。ラーメンも目的ではあり
ましたが。また少しまともな医者業に戻っております。チープ
でディープでイージーなTRA,TRIを完遂すべく色々とお
勉強させてください。 

************************************

○○です

○○先生 IVUS guide Stent vs DCAの慢性期成績は
どれくらいの差があるんでしょうか? もしよかったら教えて下さい

************************************

○○です.

Rota-man○○先生への個人的な質問です.tra-netを使わせていただきましてすいま
せん.
分岐部病変へのステント留置時に側枝へのワイヤー(ステントのしたじきになってい
る)を残してアンカーとし,ストラットへバルーンを通過させる方法をコメントされ
ていましたが,目から鱗が落ちた,,思いをさせられた次第でした(既に一般的な方
法であるのなら勉強不足ですいません).その際,ストラット越しに側枝へバルーン
が通過できた時点で下敷きとなったワイヤーを抜いて本幹へ通し直すのですか?それ
とも本幹用に3本目のワイヤーを使用するのですか?教えていただければ幸いです.

 P.S. ○○時代,○○のPCIの数を目標に『○○には負けるな!』と毎日N
先生から尻をたたかれていたことが懐かしく思い出される今日この頃です.

************************************

○○、よこはいりです。

○○先生と同じような質問ですが…
「DCAできる症例はDCAしたほうが良い」ってことでしょうか、○○先生。

ちなみに私が現状でDCAをするなら、可能な限りDES待ちDCA aloneだと考えていま
す。

************************************

○○

○○先生へ、ステントのプチアンカーですが、
バルーンが枝を通過した時点で、ワイヤーを抜きます。すると、こんどはバルーンが
が、逆アンカーとなり、ガイディングを固定するので、そく枝のワイヤーを抜くとき
にG.C.が冠動脈にはいることを防げます。で、そのワイヤーを本かんに戻しても
いいです。そのときは、バルーンをなるべく奥まで、アンカーでいれとかないと、バ
ルーンが邪魔でG.W.が入りにくいです。、結局ぼくは、ワイヤーもう一本だしま
す。とくにBXステントで、硬い病変に治療するときは、そくしにバルーンを通過さ
せることが、大変なことが多いのでとくに有効です。で、そのような症例では、1.
5のバルーンを節約できるし、ガイディングのostiumの障害も予防できる一石二鳥の
方法です。

************************************

○○です。

もっと早くレスしようと思ったのですが亀レスですいません。鎌倉は虎(あえて漢字
で書きます、○○先生 来年も盛り上がりましょう!)の忘年会のみに参加したのです
が、大盛況ぶりにビックリしました。○○さんもさぞ大変だったと思います。

さて今更○○先生の症例ですが、DCAかmidCABGかDES待ちか皆さんの意見を参考にさ
せていただきました。うちでは○○先生がレスしていたようにDCAをすると思います。
でも私が全てを行うという前提であればDCAの技量がないのでDES待ちになるかとも思
います。ただ待っている間、○○先生も書いておられましたが、スタチンなどを
投与しながら心臓リハビリを行うと思います。もうずいぶん昔になりますが、○○先
生と一緒に自治大宮で働いていたころ、狭心症の運動療法というテーマでスタディを
組もうとしたことがあります。pilot studyで狭心症のある以下の3例(1:LAD
CTO,normal LVfunction,2:postCABG のLITAstringになった例,3:severe triple
vessel ,DM で血行再建不能例)に運動療法を行い、エコー、シンチ、運動耐用能な
どを前後で比較した結果、症例1,2は明らかな改善、3は運動耐用能は変わらず左
室の拡大を認めるという結果でした。自分の中では、single vesselの運動療法は側
副血行の発達と運動能力の向上、冠危険因子の是正など良いことばかりだが、側副血
行を出す血管にも狭窄があるような多枝病変ではischemic cardiomyopathyを進行さ
せるのではないかと考えています。○○先生の症例はsingle vesselなので、DESが使
えるようになるまで運動療法のよい適応ではないかと思います。なお、狭心症の運動
療法は、あまりに投入症例が少なくて(だって拡げちゃうんだもん!)断念しました。

************************************

○○です。

僕も横はいりなのですが、この症例におけるDCAの一番の目的は、再狭窄率を減らす
こと以上に、LCxの入口にplaque shiftを起こさせないことじゃないでしょうか? 
LCxの近位部は、LMT-LADから浅い角度ででていますから、入口部にCAG上狭窄がなく
ても、単純にLMT-LADにステントを植え込むと、狭窄が来ると思いますね。もちろ
ん、LAD入口部のplaqueは、LCxの対側中心なのですが、角度が浅いものは、DCAしな
いと、とてもきつい気がします。

ですから、DESがでても、DCAは(適応は減るにはしても)無くなることはないと思い
ます。Rotaは、POBAだけではステントが入らない例、高度石灰化例がありますから、
むしろ重要になるような気もします。

あと、個人的な感想なんですが、DES待ちといっても、いつになるのかまったく見当
がつきませんから、つらいものがありますね。変な問題提起なんですが、もし、待っ
ている間に、不幸にも梗塞などの心事故が発生してしまったとしたら、主治医だけが
責められるんでしょうね。逆に、認可直前にbare metal入れて再狭窄したらどうなん
でしょうか? これは、問題ないような気もしますが。ややこしい世の中になってき
ているので、いろいろ考えてしまいます。

************************************

○○です。

○○先生レスありがとうございます。

心臓リハビリに関しましては知識はほぼ皆無ですのでいくつか教えてください。
まず、適応ですが
@血行再建しない(出来ないも含む)症例
A心機能低下症例
などはなんとなく理解できるのですが・・・
今回の症例に対する心リハの有効性についてはどのような効果によるものなのでしょ
うか。
今回の症例は高度狭窄による虚血というよりはunstable plaqueの関与が大きいと
思っているのですが、そのような症例でもやはり有効なのでしょうか。
例えば運動することで炎症が鎮静化しplaqueがstabilizeされたりとか、
K(ATP)chanelを開くとか、そんな効果が期待できるのでしょうか。
collateralに関してはそれなりの虚血、何らかの虚血の所見がある程度でなければで
きないような気もします。

心リハの有効性について御教示いただければ幸いです。

************************************

○○です。

○○先生、DCAのadvantageのデータはちょっと待っててくださいね、今手元にな
いので。症例数も少ないバイアスのあるうちのデータ、でよければ。。。

別の話ですが、昨日札幌の○○先生の工学士さんが来られてたんですがそこでと
んでもないことになってしまいました。

RCA CTOで、例によってTerumo IVUS guidedで入口を確保、途中も一度falseに出
たのをtrueに戻して「よしよし」状態だったんですがtrueに戻した4PL2からwire
perforationしていた部位がoozingしてしまっていてそこをバルーン止血しなが
ら最後に残っていた大きな4PDにwire crossを試みて、intermediateで比較的簡
単に通ったかな?と思って1.5mmバルーンで拡張しているときにやっぱりどうも
おかしいと感じてワイヤを動かすとなんとどこでも動くじゃないですか。。。
「外や、しかも外まで1.5mmで拡げてしまった。。。」。。。
やっちゃった状態に気づいて、CTOだったんですでに通っていた4PL2のワイヤに2.5mm
バルーンを入れて4PD分枝部に進めていつでも止血できるようにしました。当然
この間1.5mmを拡張しておいて全く出血しないようにしておきました。
準備万端にして1.5mmを抜いて造影すると、、、「あれ?漏れてない?ラッキー?」っ
て一瞬思ったんですが良く見るとボウボウ吹いてるじゃないですか。。。ボウボ
ウすぎて一瞬分かりませんでした。

で、やっぱりと思って、2.5mmで4PD出口をふさいで、できれば4PDの口は残して
おきたかったんでまずコイル止血を試みました。2.5mmを拡張したままTransitを
もう一本の4PDのワイヤに乗せて2.5mmバルーン直前まで持っていって一瞬2.5mm
バルーンをdeflationした時に4PDまで進めてすぐ2.5mmバルーンを再拡張、この
状態のままでコイルは進んだので全く出血させないままコイル留置、で確認造影
するとどうもまだ出てそうでした。ここで血栓による閉塞?が今思えば一番良かっ
たんでしょうがしたことなかったんで考えつかず時間もかなり経過していたので
「仕方ない、Joで4PDの口を塞ごう」と決定してJoステントを持っていきました。
この際対側用のルートを4Fから6Fに換えてそこから新しい2.5mmバルーンを進め
て一度今まで止血していた2.5mmロングバルーンとスイッチ、2.5mmロングバルー
ンにJoステントをのせて持って行きました。
これで止血完了、と実は行かず、かしめすぎて2.5mmロングバルーンがburstして
いて拡がりません。両端だけ少し広がった状態でこのロングバルーンを引き戻す
とJoステントごと引けてきたので何とかここでJoステントを脱落させようと手前
で先ほどの対側から止血に使っていた2.5mmバルーンをJoステントのすぐ手前で
少しだけ拡張してJoのバルーンを引くとうまく脱落させることができて次にJoス
テント中に2.0mmバルーンを進めて、この状態でややJoステントが手前すぎたの
でずれ止めのための2.5mmバルーンを1atmで拡張させたまま3-4mm先に動かして
best positionにして留置、最終的にいい位置にちゃんと留置できて完全に止血
できました。
途中でcollateralからの出血がないことも確認して、最終的には4PL1 PL2とも拡
張して終了できました。

この間全く血行動態に変化なく、最終の心エコーでも心嚢液は0.5mm以下正常分
より本の少し多いのかな???という程度、でした。

こうすればblow outでもタンポナーデにしなくて済むっていうbail out方法の紹
介でした。

以前どっかの会で偉い先生に「一度タンポナーデにしてちゃんと抜いた方がいい
んじゃないの?」って言われましたがここまで出血させずにできれば当然この方
法のほうがいいです。

ps.という訳で本人さんも全く元気でbail outできたと技士さんに言ってあげと
いてください、○○先生。

************************************

○○です。

まず○○先生のご報告の最初の返信が私であれば
大変申し訳なく思います。何故なら私は時々メールを送信しては
その内容はおちゃらけたもので、(飲み会等で私をご存知の方は
ご容赦して頂けると思いますが、ご存じない方は<何やあいつは
けしからん!>と思われているでしょうから、、、)
このメールも類稀な先生の技量に対する学術的な考察でも、質問でも
ないからです。
先生のご報告を目にした時(まあ何時もといえば何時もですが)
、驚愕とともに尊敬の念が湧き上がるのを禁じ得ません。
今更私が申し上げるのもなんですが、○○先生はスゴイ!
”日本の宝”です。

(もうされているかもしれませんが)今後我々や日本にためにも世界を舞台に
その技量を発揮されるべきだと確信いたします。
延吉、光藤、斉藤、○○といった諸先生方に続き世界をまたにかけたご活躍を
心より希望いたしております。

別に酔っ払って書いてるわけではなく、一度送信すれば何百人の方が
このメールをご覧になり、どこかで「あの馬鹿野郎!脱会させろ!」といわれる
ことを思うと最後の送信ボタンをクリックするのはかなり躊躇いたしますが
○○先生の凄さが私をしてそうせしめた(つまり私のせいじゃない)
ということで、、、最後に皆様のお情けを頂戴致したく存じ上げます。

************************************

○○です。

VAIOも私も風邪をひいて調子が悪く反応が遅くなっていますが、○○先生の問題
提起に考えさせられました。
vulnerable plaque ではなくて vulnerable patientなら一箇所治療してもほかの病
変で心事故が起こってしまうかもしれないし、DESが出るまでは、planned
stenting ではなくてprovisional stentingで頑張ったほうが良いかもしれない。で
も、DCAはともかくいまさらPOBAで終わることができるやろか?などなど、考
えています。

************************************

お褒めいただき???ありがとうございます。

破るな、と言われればそれまでなんですが、破った時に次のbestな手を行う、と
いう点でこのバルーンをスイッチしながら止血手技を行うのはメチャクチャ役に
立つと思います。

************************************

○○です

これは危機回避にいい手段ですね
とても参考になりました
でも、使いたい技ではないですね
やっぱり、知っておくと便利だと思います

************************************

○○です。

○○先生、相変わらず遅い(早い?)時間のレス、御忙しいことと御見受けします。
この症例の運動療法の効果ですが、はっきり言ってプラークを安定させるという効果
はないと思います。もし不安定プラークで不安定狭心症なら運動は禁忌で、可及的速
やかな血行再建が必要ですよね。ulcerationがlipid poolの抜け殻で、治療はDESま
で待てると判断すれば抗血小板薬やスタチンを投与しつつの運動療法は有効だと思い
ます(といってもその判断は結構難しいですよが、、)。
運動療法の一般的な効果は、高脂血症の改善(といってもスタチンよりは弱い)DM
の改善(もちろんインスリンよりは弱いが、インスリン抵抗性は改善する可能性あり)
、軽症高血圧の改善(降圧剤よりも弱い)、肥満の改善(食事療法と併用)、運動能
力の改善(これは顕著に現れる)です。さらに禁煙指導や精神的なケア、食事療法を
含めて包括的な心臓リハビリテーションと呼んでいます。積極的に取り組む病院では
医師、看護師、理学療法士、栄養士、薬剤師、精神科医やカウンセラーと組んで心リ
ハチームを持っているようです。前述の通り運動の効果は薬物よりは弱いので、目に
見える数値としてはあまり劇的に改善しないのですが、きちんと指導すると入院前よ
りも患者本人が健康を強く自覚することが多いようです。個人的には毎日運動負荷試
験を行っているようなものなので、狭心症や再狭窄の早期発見に役立つと思います。
今回の症例も、今、狭心症がなくても病変が進行する可能性はありますよね。毎月ト
レッドミルなどを行うことでも良いのですが、毎日運動してもらうほうが早く見つか
るような気がします。そうなったら、DESは待てずになんらかの血行再建を考えると
思います。
以下はマニアな部分なので読み飛ばしOKです。運動療法に興味のあるかたはどうぞ!
具体的な運動療法の指導法ですが、亀のようにノロノロ歩いては運動になりませんし、
100mダッシュや重量挙げは心臓に負担がかかりすぎます。もちろんこれは極端な
例ですが、心負荷もホドホドで、運動能力を向上させる運動量というのを把握しない
といけません。運動を行うと乳酸が上がってきます。この乳酸は酸素によって代謝分
解されますが、運動強度を上げると乳酸も上がってきて運動中に摂取した酸素のみで
は足りなくなり乳酸アシドーシスになります。ここまでの運動を好気性代謝運動=エ
アロビクス、これ以降の運動を嫌気性代謝運動=アネロビクスと呼びます。理論上エ
アロビクスはいつまででも続けられる運動で心臓の負担もそれほどかかりませんが、
アネロビクス(先に上げたような100m走や重量挙げがこれに入る)は心臓にかな
り負担がかかり筋肉痛の原因にもなります。理想的な運動強度は好気性代謝から嫌気
性代謝にかわる(嫌気性代謝閾値)レベルの運動量が最も良いとされています。では
どのように嫌気性代謝閾値を調べるかというと運動中頻回に血ガスや乳酸を調べれば
良いのですが非現実的なので、実際は運動中の呼気ガス分析を行います。
好気性代謝中は酸素摂取量と二酸化炭素排出量はほぼ等しいのですが、嫌気性代謝が
始まると乳酸アシドーシスに対して呼吸性アルカローシスになるので、二酸化炭素の
排出量が増加していきます。これを計測すればよいのですが、かなりマニアな病院で
ないと運動中の呼気ガス分析器は置いていません。もう一つの方法は、ダブルプロダ
クトブレークポイントを参考にする方法で、決して正確ではありませんがひとつの目
安にはなります。やり方は運動中の経過時間を横軸、その時の脈拍×収縮期血圧を縦
軸にとって、直線を引くと、途中に変曲点があるように見えます。(2本の直線がひ
ける)その変曲点の運動強度が運動療法に適した運動強度になります。
ただし、これをやるには徐々に運動強度の上がるようなエルゴメーターのランプ負荷
でないとダメです。また心房細動には使えません。
もっと簡単な方法は、軽く息が弾む程度の運動といって、患者本人に任せる方法です。
患者に「軽く息が弾む程度の速足散歩 30分以上、毎日。散歩にでなければ家の中で
足踏み!」と話します。
暇だったのでながながと書いてスイマセンでした。最後の一行だけで事が足りたかも
しれませんが、患者指導としては重要な一言だと思います。

************************************

○○といいます。

ぼくも○○先生とまったく同感です!
(賛同意見があまりでてこないので思い切ってメールさせていただきました。)
IVUSの本もあれで4700円はとても安いと思います。
いろんなことが載っているので何度も読もうと思っています。現実にはなかなか
ゆっくり読めませんが・・・

ただ、このnetの先生方は豪華メンバーがそれっておられますので、ほかの先生
ならどうされただろうというのがとても興味があります。どうでしょうか。
もしよければ教えていただきたいのですが・・・

************************************

○○です。

○○先生の手技は、すばらしく、とても参考になりました。役に立つ機会がないとよ
いのですが、万一の際は、活用させていただくつもりです。

実は、私も、数年前に似たような状況にたたされたとこがあります。もう昔のこと
で、患者さんの名前だけは鮮烈に記憶しているのですが、手技の詳細はあまり覚えて
いないのでお許しください。RCA#1のCTOで、RV枝に穿通したとおもっていました。し
かし、実際は、RV枝の入口はtrueだったのですが、あとでangioを見直すと、その直
後で、RV枝の屈曲を破って、心嚢内に達していたようです。当時は、parallel wire
techniqueが確立される前で、これはside branch techniqueでいただき、と思って
SOE 1.5mmでRV枝方向に広げに行ったら、途中の屈曲から思いっきり穿孔しました。
このときは、CTO開けをもちろん断念して、結果的には、RCA本幹にコイルを数個打ち
込んで、ようやく止血できました。それからというもの、長時間にわたるparallel
wireの操作などで遠位部冠動脈が圧排されかかって、本当にtrueに抜けたかどうか、
2方向から対側造影をしても自信が持てないときは、以下のような確認作業をするよ
うにしております。

まず、マイクロカテをSOEではなく、OTWの1.5mmに換えて、バルーン先端がCTOを少し
ばかりこえるところまで持ち込みます。この状態で、ConquestやMiracleを抜去し
て、BMWなり、Routeなりに変更します。ワイヤがtrueをとらえていれば、必ずこうし
たfloppy wireに変更可能なはずです。そのあとで、拡張にうつります。今年のCCTで
もこの作業をやりましたので、おぼえていてくださった方もいらっしゃるかもしれま
せん。

OTWでCTOをクロスできないときは、SOE 1.5mmを使いますが、anchor balloonとかを
使わないで、普通にSOEが通った場合は、拡張せず、一回引き戻して造影します。こ
れでantegrade flowがでればtrueに抜けたことを確認できますね。かりに破っていて
もバルーンを広げていませんから、損害は軽微なはずです。しっかりantegrade flow
をみた後で拡張します。一度通れば、拡張させないかぎり、必ずもう一度SOEは通る
はずです。このやり方でも、手前のCTOでふさがれて、antegrade flowがでなけれ
ば、SOE 1.5mmで拡張せざるを得ません。

ただ、バルーン不通過で、bare wire exchangeでRotafloppyに換える場合など、バ
ルーンが通らなくても、Rotafloppyに換える段階で、ごくわずかにantegrade flowが
出る場合も少なくないかと思います。バルーンにせよ、Rotaにせよ、CTOを開ける作
業は、出来うる限り、わずかでもantegrade flowを見てからにしたいものです。

ところで、○○先生、変なところに名前を入れないでくださいませんか? お
戯れが過ぎるというものです。失礼いたしました。

************************************

○○です。

○○先生、早速のレスありがとうございます。
心リハって単に心臓に負荷をかけるだけではないのですね。
先生の仰ることが分かったような気がします。(マニアな部分は別として・・・)
ありがとうございました。

************************************


第90集


************************************

○○です。

いつもくだらない御質問ばかりでご迷惑をおかけしております。
先日、”え"〜!”と思ったことがあったのでreportさせて頂きます。

Case 68y.o. male
AMI of inferior
ECG: ST elev. in U,V,aVF
6Fr. TRI
4PL(prox.): 99% がcalprit、dist.はCTOと思い、できればballoonだけで終われれば
いいなあと思っていました。
(多分、横位心のため)JRは下を向いてしまいうまくengageしないためCordis BRを
使用しました。
wireは比較的問題なく通過したのですがtortuousのため2.0mmのballoonがやっとの思
いでprox. lesionへ届く程度の状況でした。
とりあえずそこでPOBAしたのですがdissection。
GCを交換しようかとも思ったのですが子カテを使ってみました。
distal のtotalへ2.0mmのballoonを当てて手前にstent入れて終了のつもりでした。
ところが・・・子カテって120cmですよね。
balloonが届きません。”え"〜!”とプチパニック。
ここで冷静に#1にmild lesionがあるからGCをMACへ代えて再挑戦・・・と考えればよ
かったのですが、プチパニックでしたのでそれならdeepしかないでしょう、と#2まで
deep sheatしてしまいました。
それでもdistal lesionへはギリギリballoonの頭がかかる程度で十分には届きません
でした。
一応、recanalizationできたのでそこはよしとしてprox.へBx 2.75×8mmを置いて終
了しました。
その頃になってそういえば・・・手前のちょっと狭かったところ大丈夫かなあ、と見
てみると案の定hazy。
するつもりのなかったIVUSを出してみてみるとビッチリついたplaqueの一部がやっぱ
り少し割れていました。
仕方がないのでS6 4.0mmを入れて終了。

distal lesionであるが故の子カテの使用でしたがdistal lesionへは届かないことも
ある・・・ということを学びました。
きっと周知のことなのでしょうが・・・私の中ではシュミレーションできていなかっ
たので、”へ〜”と思い、御報告してしまいました。

くだらないネタだったらすみません。



************************************

○○です。

> ところが・・・子カテって120cmですよね。
> balloonが届きません。”え"〜!”とプチパニック。

私も同意見で、120cmは長すぎます。
115cmを作ってくれと言っているのですが・・・・

************************************

○○と申します


先月私も同様の経験をしました
radialmagic.comの"TRI-GC Technique"に登場するRCAのように
seg.1から2にかけて高度に屈曲した先で完全閉塞になった
AMIの患者さんで,「これこそ5 in 6の出番!」と
5Fr Heartrail straightを使用し,RV branchでanchoringして
何とか子カテを進めたのですが,病変拡張後の造影で
seg.4分岐直前に90%狭窄が見つかり,まずここにステントを
留置しようとしました
が,あとちょっとで届かず・・・
(先端マーカーが狭窄のちょっと手前までしか入りません)
Yコネをはずして再度tryしましたが,ごそごそしている間に
システムがすべてRCAから抜けてしまいました
Oh, My God!
幸い再閉塞せずにすみましたが,seg.3までステントを持ち込む
気力が無く(seg.3はwireが通っただけです),やっとのことで
子カテを再挿入し,culpritにステントをおいて引き揚げました

115cmなら届いていたと思います
Terumoの方,よろしくお願いしまーす

************************************

○○です

そんなに末梢には使ったことないので・・・
なるほど115cmでいいですよね

でも、子カテ入れて、親カテをディープにしたら出来たら届きません?
って無理なんでしょうか? したことないので分かりませんが・・・

************************************

○○です。

最終的には素晴らしい出来具合で、お疲れ様でした。ちょっと違った見方から一言付
け加えさせてください。この患者さんのCAG所見のポイントのひとつは、RCA#3が、
LAOやAP cranialで一回転していることと思います。経験的な言い方ですが、#3で一
回転しているRCAは、縦方向に非常に硬く、superficial calcも多いように思ってい
ます。つまり、ワイヤを通しても伸びにくく、どこで(特にステントが)引っかかる
かわからないわけです。おそらく一番ステント持込に難渋するanatomyのひとつで
す。ですから、横位心でJRが下を向くなら、バックアップは普通にはとりにくいわけ
ですから、最初から、tipが長めのMACやIkari-Rか、そうした特殊な形状がなければ
JL反転がよかったのではないでしょうか? BRというのはどんなかたちなのか、
ちょっと存じ上げませんが。

あと、RCA#2の解離ですが、カテでできたのかもしれませんが、造影で生じたのかも
しれないですね。大変だったようですから、子カテの先端に注意がいって、力いっぱ
い造影したため、解離が生じてしまった可能性ありません? 自分は、高度屈曲RCA
で、deep必至のときは、割と最初から6FrでもSH付きにして注入圧を逃がすようにし
ています。また、ウチはアシストなのですが、カテをdeepしたあとは、機会打ちにせ
ず、いったん注射器に造影剤をとって、手で、意識的に少量をゆっくりと打つように
しています。

************************************

入会のご承諾ありがとうございました。
 平成7年から○○病院に勤務しています、○○と申します。
 平成○○年 防衛医大卒 (6年間海上自衛隊に所属;従って船酔いには強いハ
ズ?)
 広島県出身(当然カープファンでアンチ巨人)
 radialアプローチは当院では○○先生(当院の部長)が早期から取り組んでいたた
め、自分自身も比較的早くから親しんできたように思います。現在待期的PTCAの7割
強がradialアプローチです。○○は田舎のためか、高齢者やとんでもない合併症を抱
えた患者様が多く、このような症例になんとかスマートな(?)PTCAを実施すべく
日々悪戦苦闘中(修行中)です(年間自分自身のオペレーター数は150−170症
例くらいです)。
未熟者ですが今後とも宜しくお願い申し上げます。

************************************

○○です。

Interventionとは関係ないのですがお教え下さい。

平成9年前後にMedtronic社より販売されたMosaic生体弁を用いて弁置換術をした症例
のPVF(Prosthetic valve failure)が頻発しています(今月はそのための再弁置換
術が2例ありました)。みなさまの所では、そのような話はないでしょうか?よろし
かったら、心外の先生のなどに聞いてもらえませんでしょうか。
たとえば、DVRした症例は、不良弁のみの交換でいいのか、将来的なことを考えてDVR
すべきなのか、情報があればお教え下さい。
その後のMedtroの対応は、まさにGuidantと同じで、我々の所には、情報が来ませ
ん。どのくらいの症例が問題となっているかが解りません。

************************************

○○です。

○○先生、○○先生、○○先生、レスありがとうございます。

仰るとおりです。
末梢の病変でshort lesionでしたのであわよくばPOBAのみで終われる?Stent入れる
にしても8mmなら比較的容易に通るのでは・・・と甘い読みを持っていました。
balloonが通りにくかった時点でしまった、と思いました。
MACもIkariも常備しています。MAC4.0へ交換しようと思い、出しかけたのですが子カ
テのほうがback upがよいと思い子カテを選択致しました。
ちなみにBRは斎藤太郎先生のcustum shapeでIMに似ておりますが、1st curveは少し
ゆるく、2nd curveは少しきつくしてあるものです。かつて、師匠の○○先生が
(たまに)愛用されておられましたのをまねしております。

Ikari-Rは何本かしか使ったことがないのですが、横位心の方でJRと同じく下を向い
てしまいengageが困難であったcaseを経験したことがあります。それ以来横位心では
腰が引けてIRは使えないでいます。このような傾向はあるのでしょうか。


> あと、RCA#2の解離ですが、カテでできたのかもしれませんが、造影で生じたのか
> もしれないですね。大変だったようですから、子カテの先端に注意がいって、力
> いっぱい造影したため、解離が生じてしまった可能性ありません? 自分は、
> 高度屈曲RCAで、deep必至のときは、割と最初から6FrでもSH付きにして注入圧を
> 逃がすようにしています。また、ウチはアシストなのですが、カテをdeepしたあと
> は、機会打ちにせず、いったん注射器に造影剤をとって、手で、意識的に少量を
ゆっ
> くりと打つようにしています。
確かにそうかもしれません。
ただし、私は相当なビビリでGCで造影する時にはちょろちょろ打ちしかできません。
5FrGCの圧は常にしっかり出ていましたのでそこまで気が回りませんでした。
以後、気を付けます。
昨年のCCT(?)で先生がLt.TRIで6Fr.MACを使用された際にwedgeしたため迷わずSHへ変
更されたのを見て以来、私も6FrでもSHをしばしば使うようにしております。

個人的には110cmでも50mm位はカテ先から出るわけですからそれでもいいかな?と
思ったりもします。

************************************

○○です。

○○先生の探求熱心なのには、いつも感心させられてます。
Ikari-Rについての下記質問がありますので、私のコメントを。

Ikari-Rは何本かしか使ったことがないのですが、横位心の方でJRと同じく下を向い
てしまいengageが困難であったcaseを経験したことがあります。それ以来横位心では
腰が引けてIRは使えないでいます。このような傾向はあるのでしょうか。

入らなかったのは、IR1.5でしょうか?IR1.0でしょうか?

IRはバルサルバに入れてワイヤーを抜くと、多くは左のカスプに入っており、クロッ
クに回転させるとJRと同じような感じで入れることができます。このとき、1.5だ
と先端が長いので、左のカスプから右のカスプへ入るときに引っ掛かって右冠動脈の
やや上へ行きますから、少し押し込んで下へ入れると良いと思います。これはJRを上
肢アプローチで使うときと全く同じテクニックです。

JRと違うテクニックとして、冠動脈入口が上向きでIRの先端が下を向いている時に
は、大動脈弁に押し付けてやると上向きになりますからそれを挿入するときれいに入
ります。これは、ソーンズのテクニックと同じです。

実は、これ以外の特別の方法はないと思うのですが、これらで右に入らなかった例は
私は経験がありません。IRは何でもできるカテで、左冠動脈がJL3.5でも大きいか
ら、JL3はないのか(本当にこの世にないようですけど)と思うときには、
Ikari-R2.5でぴったりいくので、何例も左もやってますし、SVGもやってますし、当
院ではユーテリティーカテとして使用しています。○○先生是非よろしければ、入り
にくかったのがどんな症例か教えていただけると私も勉強になります(お暇なときに
よろしくお願いします)。

実は、私も○○先生と同じで5 in 6はやったことがありません。必要ないといったほ
うが正しいかもしれません。でも、テルモの人に115cmストレートを作ったらい
かが?と伝えておきました。なぜテルモの人に会ったかって?先日の鎌倉ライブでト
リビアの会で酔った勢いで、スレンダークラブの入会宣言をしてしまったので、5
FIkariカテを生産ラインに乗せるように依頼したのですよ。

************************************

○○です

すみません 5 in 6は本当に少ないのですが時々してます
届かない程の末梢には使用したことがなかったんです
誤解をまねく表現でしたね
確かにIKARIを使用すると5 in 6の機会は減りますよ
僕も○○先生に教えて頂いて、窮地を救って頂いてから
どうしてもIL-3.5でも入らない症例の左にIRを使っています
右にもIL-3.5を使って、左右同じガイディングですることもあります

○○先生、親カテだけをディープにするのではなくて
親カテ、子カテのシステム全体をディープにすれば届くかなって
思っただけです

************************************

○○です。

○○先生、ご無沙汰しております。お問い合わせの件ですが、当院心外の○○先生
にメールにて問い合わせたところ、下記のようなお返事をいただきました。ご参考に
なれば幸甚です。

>小生もMosaicは発売以来よく使いましたが,自身の症例や○○グループでは,術直
後に比較的高いPGをきたすことがあるが約2週間ぐらいで正常化する,という特徴
以外,valve failureは1例も経験していません.もっとも,A弁のみですが.ちな
みに,パリからの中期成績でもすこぶる良好という印象ではありました.

************************************

○○です。

>IRはバルサルバに入れてワイヤーを抜くと、多くは左のカスプに入っており、ク
ロックに回転させるとJRと同じような感じで入れることができます。このとき、1.
5だと先端が長いので、左のカスプから右のカスプへ入るときに引っ掛かって右冠動
脈のやや上へ行きますから、少し押し込んで下へ入れると良いと思います。

○○先生のおっしゃるとおりです。この操作は、JRを使っての空中戦でなく、対側大
動脈にあててバックアップを取れるカテで、RCAの複雑病変をやっつける場合の基本
だと思います。むしろ、横位心かつshephrd's crookで、JRでは難渋しそうな症例ほ
ど、威力をはっきするわけです。IRだけでなく、MACでも、JL反転でも、MRでも、
Kimnnyでも、操作法はみんな同じです。右のカスプに入れるまでは引き気味にして
ゆっくり回し、境界を乗り越え、右に入ってRCA入口部の真下に達しする手前くらい
から押しにかかります。ここの所だけ、僕の経験では違っていて、カスプを超えるま
で引き気味に操作するので、MACやJL反転だと、RCA入口部の下に来て、上向きに(下
から上へ)押し込む感じになります。

RCAに入る瞬間の感覚は慣れればわかるので、そこでちょっと引いてRCA近位部が損傷
するのを回避します。この操作の間は、必ず0.032のワイヤを上行大動脈中ほどまで
残しておきます。Kinkを防ぐだけでなく、トルク伝達や手前とカテ先の押し引きの対
応が1:1に近くなり、操作が簡単になります。先端近くまで入れてしまうと、か
えってカテのしなやかさが失われて、特にカスプの乗り越えやその後の押し付けが難
しくなりがちですが、SH付きの場合は、敢えて先端近くまでいれて、横方向へのKink
を防止するケースもあります。

>当院ではユーテリティーカテとして使用しています。

自分は、IRをそうした用途で使ったことはありませんが、似たような感覚でよく
Champを使いました。LCA入口部が後方起枝で、垂直に上方向に出ている場合なんか、
Champ 2.5-3.0あたりで上手くいった場合もあります。Champが少し開くとIRに似てき
ますね。

僕自身も、5 in 6 は一例も経験がありませんので、必要性を感じません。ウチで調
べてみたら、バイパスグラフトで1例だけ過去に使っていました。バルーン不通過で
使用されることが多いようですが、自分だったら、anchor balloonかRotablatorにし
ちゃいます。それに、例の“グリグリちゃん”も、近い将来に使えそうな感じです。
また、CTOの場合は、6Frだと複雑な手技に制限が多いので、最近は、ほとんど7Fr
以上でやっています。

“わざわざ6Frの中に5Frを入れるくらいなら、はじめから5Frにしたら?” とい
う意見がどっかから聞こえてきそうな感じもします。○○先生は、5 in 6 について
どうお考えですか?

************************************

○○です。

○○先生お休みにもかかわらず早速のレスありがとうございます。

先のcaseですが後日画像をお出し致します。
まず、IR1.5を使ったのですが、engageできず、次にIR1.0を出しました。
何とかengageは出来たのですがascending.Ao.→RCC→RCAの角度がIRの1st curveに
勝っており、やはり入れるときにはRCA Ao.osの前下血管壁に当たる形となりまし
た。
押しをかけながらclock wiseに回しengageは出来るのですが常にRCA血管壁へstress
がかかっている感じでした。
balloonは通りにくかったのですが、押しているうちにGCがぬけてきました。
するとre-engageが難しい・・・という状況でした。
きっと上手な方(普通の方が)がするとこんなに苦労しないんだとは思いますが・・


ちなみにJL3.0,SL3.0,EBU3.0などMedtronicからはreleaseされていると思いますが。

○○先生すみません。
つまらないことを言ってしまいました。
実は私の症例はもう手元では少し子カテを入れる余裕があったのですが
RCA#2のstenosis&tortuosのため子カテの先端はそれ以上入れられない
という状況でした。
ですから、私の症例に限ってはdeep出来ませんでした。
勝手に私の症例の場合だけ考えていました。申し訳ございません。
一般的には先生の仰るとおりです。

************************************

○○です

すみません
そもそも子カテを入れて、さらにディープにすること自体に
無理があるかも知れませんね
できるかどうかは分からないんで、
どなたか経験のある方いらっしゃいますか?

************************************

○○です。

> 実は、私も○○先生と同じで5 in 6はやったことがありません。必要ないといったほ
> うが正しいかもしれません。でも、テルモの人に115cmストレートを作ったらい
> かが?と伝えておきました。

当院にも本日テルモの担当者が来たのでインナーガイドカテの120cmは長すぎると
改めて言いました。

でも、ベストの長さは115cmではなく、112.2cmだからこの長さで作
れないかとも言いました。
何てったって5 in 6に必要なのは、「いい筒(112.2)」です。

果たしてテルモは5Fr.で112.2cmのストレートガイドカテ、
「イーツツ」を作ってくれるでしょうか?
(外国では通用しないかも・・・)

************************************

○○です。

○○先生のご指名ですので5Fr in 6Frについての私の考えです。

> “わざわざ6Frの中に5Frを入れるくらいなら、はじめから5Frにしたら?”
ではなく、
私も、“わざわざ6Frの中に5Frを入れるくらいなら、はじめから7Frでやらせて下さ
い”です。
最初から大変そうなときには、足から太いカテを突っ込んでしまいます。
radialistとして万死に値する事かもしれませんが、根性無しなので済みません...。

そんなわけで私も経験がありません。
理由は面倒くさいものが嫌いだからです。
興味は有るのですが、ものが複雑になると良い事はないと思っています。
1本のGCを操るのにも精一杯なのに、5FrGCを出し入れするときの親カテの形や伸び方
や入り方が変わってくるのをコントロールする自信も無いです。

昔、何度か5Fr in 8Frをやった事があります。
強い強いback upが必要という事と、なによりdeepを行い、ワイヤーやカテを病変に対
してcoaxialに入れたかったからです。
Rotaも無い、良いwireもballoonも無かったですし、何より私も今より更に未熟でした
ので、こんな技を使って見たりもしました。
GCを切って、シースを繋げて、糸で縛って...いや、大変でした。

今でも、6FrでCTOをやるときは「できるものに限る!」と決めていますので、5 in 6無
しで何とかなっていました。
最近の素晴らしいwireやballoonの恩恵が大きいと思っています。

5Fr単独では難しいモノは出来ないと思っています。
5Fr GCのdeep & coaxial engagementだけで対応できるものは限られていると思いま
す。
万能ではないのも承知しております。
ハモン先生のように「94%は5Fr」というのは私には無理です。
私の中の5Frの基本は「できるものは5Frで。できないものはあきらめる」と思っていま
す。

> それに、例の“グリグリちゃん”
私も触せていただいたのですが、これは使えるものに成るのではないかと思っていま
す。
期待しています。
グリグリちゃん(逆回転ではメキメキ拡がるちゃん?)ができるとまた世界が拡がるよ
うな気がします。
でも、グリグリちゃんは南都法で抜けるのでしょうか?難しそうです...。

Percu Surge使用時の5Fr in 6Frは、良い方法だと思います。
しかし、ものぐさな私は、それこそ最初から5Frをdeepで突っ込んでしまうのでやった
事はありません。

こんな所で勘弁してください。

○○先生、「イーツツ(112.2)作ろう鎌倉ライブ」ということで受験にはバッチリで
す!

************************************

○○です。

ご質問があります。ご存知のように、24日、米国ではじめてのBSE感染牛が報告され
ました。Angiosealのコラーゲンですが、もちろん神経組織などの危険部位とは関係
ないわけですが、米国の牛由来ではあります。担当販売会社のほうでは、厚生労働省
にさっそく問い合わせをして、25日夕方に、使用を継続してかまわない、との連絡を
受けたとのことです。私自身は、米国でのBSEの発生がこれで済むのか、さらに多数
例に及ぶのか全くわかりませんし、機械による解体処理に際して、一部の施設では、
食肉中に神経組織の混入が報告されたりしております。

コラーゲンの抽出過程が、具体的にどうなっているのかは、全くわかりません。安全
だというのも早急すぎる気がするし、かといって、危険だと断定するのも科学的根拠
にかけます。といって、数年してから後悔の念にさいなまされるだけは、何としても
避けたいと思います。そこで、ウチでは、Angiosealを一旦中止にして、当面は、
Closerを使用しようと考えています。皆さんはどうされますか? 

************************************

○○です。

○○先生、先日のIRをうまく使いこなせなかったcaseの画像を提示致します。
今、見ると言うほど横位心ではない様にも見えますが・・・Ao.は寝ていたように記
憶しています。

clock wiseに捻りをかけてなんとかengageできるのですが、coaxialに入るというよ
りはRCA Ao.os前壁に常にtentionを感じながらの状態でした。
balloon or stentをinsertするときにengageが外れるのですがそのときにはRACの前
下壁に当たった状態になります。balloonのshaftを軸にしてGCを入れようとしていた
のですが、
その時にAo.osにinjury作ってしましました。

以上のような状況でした。
何分、素人ですので手技的な問題が大きいとは思います。
お恥ずかしいですが・・・
ただ、個人的には横位心の症例はMACの方がカテが全体的にcurveしている
分、出し入れがやり易いような気がしますので、私のような素人に向いている?とい
う気がしています。



子カテの有用性についてですが、
事前にbuck upが必要だと分かっていれば7femo/8femoを考えると思うのですが、
私は読みが悪いので、思ってたようにはGCがengageしてくれなかったり、思いのほか
buck upが足らなかったりするととがしばしばあります。(それはそれで問題?)
そんなとき、GCをexchange or approach switchするより子カテを使うことで簡単に
安定したengageやbuck upが得られるのではないかと思います。
鎌倉でもどなたかが仰られていましたが子カテを入れることでGCのsize upと同様な
GCの形状になる(最初から大きなGCは掛けられなくても子カテで後からGCを大きく出
来る=要するにtipが長くなる)という効果が期待できるように思います。
ですからGCの先から少し出すだけでもbuck upが違ってくるのでしょうか。
それにshort tip type→long tip type GCへ変身できる?
GC exchangeの時と違ってGWが抜ける心配も無いですし・・・
今のところ私は主にbail out的な使い方をしようかなぁ・・・と思っております。
すみません、あくまで個人的な思いです。

> でも、ベストの長さは115cmではなく、112.2cmだからこの長さで作
> れないかとも言いました。
> 何てったって5 in 6に必要なのは、「いい筒(112.2)」です。
> 果たしてテルモは5Fr.で112.2cmのストレートガイドカテ、
> 「イーツツ」を作ってくれるでしょうか?
> (外国では通用しないかも・・・)

最高に面白いですね。
どうしてこのようなことが思いつくのかと感動してしまいました。(ツボにハマりま
した)

> ○○先生、「イーツツ(112.2)作ろう鎌倉ライブ」ということで受験にはバッチ
リです!

最高の切り返しです。

************************************

○○です

私はやはり生体材料に関しての安全性には疑問視
しておりましたので、Angiosealはいっさい使用していません
Closerがいいのですが、在庫確保するのに結構困っています
なんとかならないのでしょうか?

************************************

○○です。

僕の理解では、12月24日付けで、一回、販売自粛にして、厚生労働省に確認の問
い合わせをいれたそうですが、25日の夕方、当局より、当面その必要はないとコメン
トがあったようです。

僕も、先生の112.2cmと○○先生の切り替えしには感動しました。一瞬で大笑いでき
て、Tra-netの醍醐味です。

************************************

○○です。

○○先生、画像のupありがとうございます。大変勉強になりました。

LAO,とcranial viewでは何て事のないRCAで同軸に入っているように見えますが、RAOで
はRCAの前方起始のような、起始部で90度近くの角度がガイドカテとRCA入口で形成され
る症例とお見受けしました。

このような症例では、ガイドカテを奥深く入れるのは困難ですね。
Ikariはカテ先端が引っかかっていれば、対側大動脈にあたることで、そこそこにバッ
クアップがでるので、深く入れることは考えず、空中戦に持ち込むと思います。

前方起始右冠動脈の空中戦の成績は、現在のところ全勝で他のガイドやTFIに移行した
例はありません。radialistの熟練した先生は空中戦を嫌われるとおもいますが、Ikari
カテのある意味特徴的な使用法かと思います。左のIkariもカテ先端が多少浮いていて
もバックアップがでますので、radialistの熟練者から見ると違和感があるかもしれま
せんが、私は多少カテがはずれていてもグイグイ押してます。

ただし、右冠動脈入口の解離は重大な合併症です。とても先生の技術的問題ではなく、
カテーテルの問題であります。大いに私も反省させていただきます。実は私も、IRの先
端はもう少し柔らかくても良いと思い、すでにテルモに注文をしてありましたが、なか
なか返答がありませんでした。改良版を急ぐよう改めて伝えます。

************************************

○○です。

私も最近伊苅カテをよく使わせていただいております。皆さんのお話を
お聞きしますとIRはJRとはまったく異質なものということがわかりました。IRを
JR的に操作しようとするとちっとも言うことを聞いてくれないと感じていまし
た。
JRはengageの後、すこしだけ奥に入れたいときはクロックワイズに捻じ
れば回転に応じて深く入っていきます。(さらに1/4回転以上ねじるとずぼっ
とSeg2まで入ってしまいます。) 逆に少しカテ先を引きたいときはカウンター
にねじります。この操作はJRの背中がフリーだからできることで、IRでは背中に
支点があるためほとんど回転せず、場合によっては逆に動いてしまうことだって
あるとおもいます。
○○先生が言われるようにengageまでは他のカテと基本的に同じです
が、engageの後は少し違うようです。IRは空中戦だという認識で使用する事が大
事なようです。そうすると入口部がcoaxialにengageしにくそうな形状(横位心
の肩上がり)に最適で、むしろRCA入口部を傷つけにくいカテと言うことですよ
ね。
「いかり肩には伊苅型(type)」○○先生こういうことでよろしいでしょうか。

************************************

○○です。

 今回のAngiosealとBSE問題との関係で思い出されるのがVasoSealです。
数年前の話になりますが、体表面エコーガイド下でVasoSealを安全に使用する方法を
検討していたので、結構沢山使用していました。この時イギリスでBSE問題が発生
したために、VasoSealの箱にはしっかりと牛由来コラーゲンと書いてあり、その正体
がプリオン蛋白質にあると発表されたことを受けVasoSealの使用を中止しました。

 現時点で、Angiosealの安全性を確約できるものはないと思われ、○○先生のご意
見と同じく本学でも現在使用を見合わせています。 もとより、Closerの方がその
場で確実な止血が得られることから、僕個人としては今でもCloserの方が使用しやす
いと思っています。

************************************

○○です。

○○先生・○○先生へのレスになります。RCAは前方起枝することが多いですが、昔
作成したMRカテは、こうした解剖学的特性を考えて3-D shapeにしました。engageは
少し難しいですが、前方起枝でも、カテ先が引っかかれば、その後は前方→後方への
屈曲が付けてあるので、clockwiseにまわすとしっかり入ります。ただ、後述のよう
に、今のステントの通貨性を考えると、こうしたheavy dutyなカテでなくても、通常
のlong-tip&anchor balloonで十分にも感じております。

もし、病変が#2以降で、バックアップに不安があるなら、一般的にはanchor
balloonが一番良いと思います。long-tipカテはanchor balloonすれば、バルーン
シャフトをひいて、カテを押すだけで簡単にdeep engage可能です。IRでは経験あり
ませんが、MAC/MR/JL反転ではすべて容易に可能です。○○先生、IRではどうでしょ
うか?この操作で、clockwiseへの回転の必要がないことは、JRとの大きな違いです
ね。また、この場合は、バルーンシャフトが冠動脈内にありますので、deep engage
の際、入口部を損傷する危険性もより低くなります。

○○先生がおっしゃるように、こうしたAorta対側で支えるカテは空中戦も可能で
す。RCA前方起枝の場合、特に気をつけることは、ステントの位置で、ステントが冠
動脈内にすべてはいり、その先の抵抗に対して押すのならよいのですが、長いステン
トでまだaortaの中に顔を出している状態で無理をすると、同軸性が得られていませ
んから、カテ先でステントにflareを生じ、結果的にうまくステントが入らなかった
場合、カテ先からステントを回収できない可能性が生じてしまいます。構造的には、
Sシリーズ・Duraflex・Expressともありえると思います。ですから、安全性を考え
て、anchor balloonでdeep engageできるなら、そのほうが良いのではないでしょう
か。僕は、○○先生と違って、こうした危険性がつきまとう手技と考えているので、
どこの冠動脈であれ空中戦はできるかぎり回避する戦略を考えています。

なお、病変が#1でdeep engageに適さないなら、buddy wireを3本くらいやって、近
位部の肩を完全に伸ばしてしまうことを考慮します。

************************************

○○です。

昨日の症例ですが、5in 6でガイドカテ内の血栓を確認したので報告します。

LADFproxymalとFdistalの2カ所をtargetにTRIを開始しました。
ガイドカテは、テルモの新しい内腔073のガイドで形状はイカリ(IL3.5)でした。
両方をバルーニングした後、Proxymalに大きな解離を生じ、カーブにかかるとこ
ろだったので、S670 3.0-24を入れました。しばらくすると末梢病変にも解離が
はっきり認められるようになったため、末梢にはDuraflex 3.0-18を入れようと
したのですが、手前のステントの中で、Duraflexのストラットが引っかかってど
うしても通過しません。

そこで、5 in 6を行おうと、テルモの120cmを出しました。
071のガイドでは何度も経験があったのですが、073のガイドでは初めてだっ
たので、
1,両ガイドの間に隙間が生じて血液の逆流がないかどうか
2,逆流が無いまでも、隙間に血栓を作らないか
という2点について危惧していたので、この2点に注目して手技を進めました。

5Fr.のカテは全く抵抗なく6Fr.内に装着することができました。
隙間からの逆流も手技が終わるまで1滴もありませんでした。

手技は5Fr.のガイドを、手前のステントの中まで入れたところ、、Duraflexは
通過し、5in 6のおかげで良好な仕上がりとなりました。
(120cmはやはり長すぎてギリギリでした。早くイーツツを・・・)

最後の造影は5Fr.を6Fr.に入れたまま造影し、終わりました。
その直後ガイドカテをシステムごと抜去し、体外で観察しながら5Fr.を6Fr.か
ら抜きましたが、5Fr.の外側には血栓は全く着いていませんでした。
そして、残りの6Fr.ガイドカテの中を生食でガーゼに向けてフラッシュしたの
が添付の写真です。
このように、結構大きい血栓が出てきました。
思わずドリカムの”血栓の金曜日”を口ずさみました。



これが、073だからこそできたものだという確証はありませんが、もし不用意
に体内で5Fr.を抜いてしまい、6Fr.ガイド単独で最後の確認造影を行おうとす
ると、冠動脈にブチ込む可能性があるということです。

今後、5 in 6をされた先生方で(070〜073のどれでも)、手技直後に体外
で5Fr.を抜いて、残りの6Fr.をフラッシュしていただき、血栓があったかどう
かのご報告をお待ちしています。
(このデータを集めてどこかで発表しようか。 だって、5 in 6なんて世界中の
どこもやってないんじゃない?))

************************************
   
このたびはTRA-NETへの参加をご了承いただきありがとうございます。○○の○○とい
います。平成4年卒、○○大学出身です。99年よ
りPCIをしておりますが、TRIを本格的にはじめたのはここ1、2年です。皆様にお
教えいただくことがたくさんあるかと思います。何卒よろしくお願いいたします。

************************************

○○です。

○○先生、○○先生、レスありがとうございます。

○○先生のおっしゃるように、JRはクロックに回すと深く入り、カウンターに回すと浅
くなります。しかし、この現象は、IRではありません。IRは最初からJRをクロックに回
した形をしていますので、さらにクロックに回して変形させることはできず、最初から
最大バックアップの形態をしています。バックアップが足りなければアンカーさせる
か、IR2.5のようなウルトラロングチップに変えるのが良いと思います。したがっ
て、浅くしたいときはカウンターに回しても良くなくて、単純に引きぬくとよいと思い
ます。逆にTFIで使うJRは引いても抜けてきませんから、引いて抜ける右用カテは新鮮
かもしれません。
また、「いかり肩にはイカリカテ」もそのとおりです。是非いかり肩には試してくださ
い。
○○先生のコメントのように安全性を考えると、空中戦は避けるべきというのももっと
もです。特にステントが右入口で引っかかることを考えるとそのとおりです。よく考え
てみると、自分でもradiusステントをこういうケースでは使用しています。
protective シースをかぶっていますし、脱落してステントが大動脈内行方不明という
事態は避けられます。
○○先生のおっしゃるバルーンなどをアンカーにして反転させることも他のカテと同様
に可能です。うまく反転できれば、前方起始例も困難は半減ですから。そうした場合、
○○先生の症例のような入口の解離が起こらない、deepでも安全な先端構造をさらに研
究するように伝えましたので、回答があり次第報告させていただきます。

************************************

○○です.

○○先生のオリジナルはRRタイプですか? 昨年の八戸ライブ以来Ikariカテーテル
の使用頻度がすごく増え(特に右),アンプラッツの使用頻度を遙かに超えるように
なりました.自分が使用した限りでは必要に応じディープエンゲージさせるだけで強
力なバックアップが得られて治療不成功に終わった症例はありませんでした.扱いに
慣れていないとIR2.5の方がむしろエンゲージしにくいような気がするのですが?

> したがって、浅くしたいときはカウンターに回しても良くなくて、単純に引きぬく
とよいと思います。逆にTFIで
> 使うJRは引いても抜けてきませんから、引いて抜ける右用カテは新鮮かもしれませ
ん。
右Ikariの場合,引き抜いていくと冠動脈にエッジが立ったようなポジションとなり
かえって解離の危険性が大きくなりませんか?当院でも右Ikariになれない先生がオ
ペレーターされていた時に2例解離を作りステントで押さえたことがありました.い
ずれも挿入が不十分で冠動脈にエッジが立ったようになりながら手技を行った症例で
した.


> ○○先生のおっしゃるバルーンなどをアンカーにして反転させることも他のカテと
同様に
> 可能です。うまく反転できれば、前方起始例も困難は半減ですから。
前方起始例ではやったことはありませんが,anchor balloon+deep engageの手技は
十分可能で,強力なバックアップが得られます.何度もお世話になりました.ジャド
キンス派としては悔しいけど,とても良いカテーテルだと思います.RRタイプだと
もっとディープしやすくなると思うのですが?逆に粘りがなくなってしまうのでしょ
うか?

************************************

○○です

5 in 6に血栓、これは気が付きませんでした
今後、少ないですけど5 in 6があればうちでも
血栓の金曜日(うちのPCIも金曜日が多いです・・・)
を確認させて頂きます

************************************

○○です。

アンギオシールですが、うちでもしばらく使用中止としました。製造過程を全て
チェックできていない可能性、つまり本当のリスクの可能性、それ以上に現時点
での患者さんの心情的な問題、からです。

ただうちでは50例以上に使用してますが例の1例を除き現時点で止血は全例成功
しています。はっきり言ってCloserより絶対成功率も高いし、糸がかからないよ
うな血管でもアンギオシールできるし、すぐに座れないこと以外はCloserよりい
いのでアンギオシールが使えないのは痛手です。

************************************

○○です。

○○先生、コメントありがとうございます。
私が使っているのはSTタイプ(固めシャフト)です。
私の手癖があまりdeepに持っていかない方なので、バランス的にはSTがベストです
が、deepを好まれる先生は、RR(軟らかめシャフト)の方が良いかもしれません。先
生のご指摘のとおりです。ただ、右入口部の解離の問題は、シャフトにあるのか、先
端チップの硬さにあるのかもう少し研究が必要だと思います。
もし、deep好きの先生で、RRシャフトのIkariの使用経験のある方、是非使用感を教
えてください。

入れやすさからいうと、IR1.0またはIR1.5が断然入れやすく標準品です。IR
2.5はすごく入れにくいです。私もほとんど使いませんが、一旦入ると、絶大な
バックアップを発揮してくれますので、CTO用の究極カテと考えています。CTOも通常
は使いやすいのでIR1.5でスタートしますが、アンカーでもバルーン不通過のとき
は、ワイヤー残しでガイドをIR2.5に交換すると必ず通ります。まだIR2.5でア
ンカー必要となった例はありません。

引っ張るとIRが立った形になるという指摘ですが、そのとおりです。サイズが長いも
のを使ったときにその傾向が強いと思います。JRだと引っ張って入り口から外れてし
まうと、それですべて仕切りなおしになりますが、IRは外れても立った形でまだPCI
ができてしまいます。これは、IRの利点なのですが、その際カテと入り口に90度くら
いの屈曲ができますので、バルーンなどでリードせずにやると解離に危険が増す可能
性は確かにあります。これを回避するには、立った位置で入った場合にはワイヤーを
挿入し、可能ならバルーンでリードした状態で、ガイドをcoaxial に持っていってく
ださい。すると、バックアップも強力になりますし、解離の心配もなくなると思いま
す。

************************************

○○です

うちはRRタイプです、Deep好きじゃないですけど・・・
必要に応じてDeepにしていますし、しやすいです
でも、IRやILは少しだけのDeepでいいんです Judkinsの
様に奥まで入れる必要はありませんでした

スレンダークラブとして来年は5F IKARIにチャレンジです

************************************

○○です。

 ○○先生、ご意見もごもっともです。確かに当院で使用した症例は10例程度
にとどまっていますが、Angiosealによる止血でも初症例で圧迫しすぎて解放後若干
出血したのを除けば確実に止血できており別に文句を言うほどのこともないのです
が、コラーゲンを体内に残すことに対して若干の抵抗があります。また、表皮から血
管壁までの距離が短くコラーゲンが余ってしまう症例も経験したために、今のところ
Closer派としています。

そこで質問です。

今回のBSE問題が解決されたとして、現在使用可能な器具はコラーゲンなどを用い
た糊によるケミカルな止血と、Closerのようなメカニカルな止血にわけられると思い
ますが、結局の所どの様な止血器具が理想になるとお考えでしょうか?

************************************
 
○○です。

アンギオシールを使うまではメカニカル派だったんですがアンギオシールの止血
が本当に完璧だったんで今ではコラーゲン派です。

> 表皮から血
> 管壁までの距離が短くコラーゲンが余ってしまう症例も経験したために
これは簡単に解決できます。最初に引き抜いた時にコラーゲンが皮膚より外に出
ますよね、ゲゲッと思いつつ数回青い棒で突っついて糸を左手で保持してその時
点で皮膚をコッヘルでつまんで引っ張ります。これでコラーゲンは皮膚の下に入っ
て問題なくなります。

************************************

○○と申します。
この度は、Tra-netにご登録いただき有難うございます。

平成8年○○大学卒で、現在の病院は平成14年4月から勤務しております。
今年の○○ライブでIVUSのみで終了した症例のオペレーター(?)をしていたの
が私です。また、八戸ライブでアナムネを読み上げていたのもそうです。

当院は、診断カテは約80%がTRAですが、TRIはまだわずかで、これから少しずつ
増やしていきたいと考えております。先生方には御指導をよろしくお願いいたしま
す。

************************************

○○です。

初めて発言させていただきます。昨日の緊急症例の対処につきご相談させてくださ
い。
症例は61歳の男性で、胸痛出現後2時間で紹介受診となりました。冠危険因子は高血
圧と喫煙です。心電図はU、V、aVfで1.5mm上昇、V1-V4でMax5mm上昇。エコーは前
壁領域の壁運動低下が認められました。血行動態は落ち着いていました。
右から映してみると、どこにもRCAがない!!もしや起始異常かなと思いJLに変更
したらLCAにかかったのでまずこちらからと造影するとRAO 30 CAU 30でseptalの
反対側から比較的大きなRCAがでておりその5-10mmさきで#7 99% delay(血栓
様)TIMI 2となっておりLADは心尖部をまわりこむreferrenceもまあまあのおおき
いLADでした。また#6からRCAが出るまでもアンギオhazy
で50-75%くらいありました。ここでどう対処すべきか迷ったのは
@血栓吸引などしてRCAに落としたらショックになる可能性
ADistal Protectionはしたほうがいいのか?
BRCAのプロテクトワイヤーは必要か、
などです。IVUSをすればよかったんですけど人があまりに少なく残念ながらできてい
ません(○○先生に多分なんでIVUSしてないねん!って後でおこられますが・・
・)。
いろいろ悩みましたが結局3.5mmでpreして4×25mmのDuraflexをRCAの出たちょっ
と奥
から12atmでいれ、ちょっとSlow-flowになったけどシグマート冠注でTIMI3になり終
了しました。
あと問題なのが#6からRCA手前までの病変が進行してきて虚血が出てきたときです
が、このようなとき慢性期どのような治療戦略を立てればよいのでしょうか?ご教授
の程宜しくお願いします。




************************************

○○です。

この症例はRCAはLVを灌流していないんじゃないですか?写真からはそう見えま
す。ということはdominant LCX caseにeqivalentですからRCAはRV branchと考え
て対処すればいいと考えます。

つまり(1)の心配は無用で(3)も必要なし、(2)についてはareaの大きなLADですか
らdistal protectionはした方がいい、結果的にもした方が良かった、というこ
とになると思います。

この症例で血行動態が落ち着いていたらIVUSした方がいいと思います。血管径は
大きいし最終像でも近位部は怪しいし、IVUS情報が有効な症例ですよね。

************************************

○○です

すみません私の不在時での症例です
○○先生の御指摘のようにこの症例の今後に関しては
IVUSが必要です(もちろん普段は緊急でもIVUSしてます
・・・・よね ○○先生)

このRCAに関しては動画で灌流域を確認します
もし、RV Branchとしても詰まったら前壁梗塞プラス
右室梗塞なんてややこしいことにはならないんでしょうか?
場所的にはまず詰まらないとは思いますが

************************************

○○です。

大晦日の忙しい時点での症例提示ご苦労様です。

こんなところから、RCAが出ている例ははじめてみました。これは、かなり珍しいよ
うに思いますが、皆さんの経験はいかがでしょう?

インターベンションは、本例では、LMTは3枝領域をカバーするスーパーLMT、RCA分岐
までのいわゆる#6が2枝領域をカバーするLMTに相当すると思います。したがって、
ここは#7ですけど、#6のjust proximal病変相当と考えられます。側枝(RCA)に
血栓を落とさないように注意しつつPCIということで、この戦略で問題なしですね。
再狭窄時も同様でよいと思いますが、#6病変が進行した場合はLMTと考えて、CABG
に送るか、IABPサポートで気合をいれてPCIをするかで良いのではないかと思いま
す。

************************************