51〜60総集編



第51集


**************************************

○○です。 

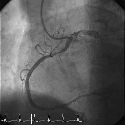
症例のご相談をいたします。症例は60才男性で1990年にUAPにてSVG to RCA SVG to
Lcxの2枝CABGを施行されている方です。Riskは高血圧です。川崎病なし、FHなしです。
術後12年間は胸痛なく、Ca拮抗剤にて血圧も安定しておりました。2002年9月ころよ
り安静時の胸部不快感を自覚されたために10月1日にCAGを施行いたしました。(TBA)
結果、#1 100% #13 100% SVG to RCA patent SVG to Lcx patentでありましたがLAD
に冠動脈瘤を認めました。また#7に75%狭窄を認めます。LAD flowは瘤+狭窄のた
めdelayとなっております。心臓血管外科がいないということもありIVUSをしようと
したら周囲に止められましてIVUSは施行しておりません。



今後の治療方針ですがIVUSなどで瘤のneckが広基性であればbypass+瘤切除or結紮、
有茎性で距離が短ければJo stent?と考えております。それとも広基性であってもPCI
は可能なのでしょうか?TRA netの諸先生方のご意見を伺いたく存じます。(なお術
後造影ではこのような冠動脈瘤は認めておりません)(画像がみにくくて申し訳あり
ません)

**************************************

○○です。

とても珍しい症例ですね。冠動脈瘤は、どうでしょう、2cmくらいはあるんでしょう
か? 何かしないといけませんよね。もちろん、僕も、こうした冠動脈瘤に、Joした
ことなんかないので、外科に頼むと思います。それに、結構、固そうな冠動脈です
が、bulkyなJo stentは、入っていくのでしょうか?

ウチの○○先生に見てもらいましたが、冠動脈瘤のなかに血栓が形成され、塞栓を
起こすことを一番心配していました。LITA-LADをおいて、動脈瘤をひらき、内側から
結紮しようかな、とのことでした。また、再手術症例なので、もし癒着が高度だった
り、術中に動脈瘤の壁が固そうであれば、破裂してタンポナーデになる危険性は少な
いので、遠位部の結紮とLITA-LADだけでもいいかもしれないとのことでした。

自分は、冠動脈瘤に隣接した狭窄にPCIした経験は何度かありますが、入口と出口が
離れていて、同軸でなかったり、あるいは、出口に狭窄があると、ワイヤリングがと
ても難しかった記憶があります。

**************************************


初めまして、○○病院(東京)の○○です。netへの参加を快諾し
ていただきまして、ありがとうございました。私は平成6年に○○大学を卒業し
付属病院での研修後、○○先生のもとで心カテを勉強させていただきまし
た。その後○○病院では○○先生にご指導していただきました。本年
6月より現在の○○病院へ赴任しましてカテをやっています。当院はまだまだ症
例数が少なく、それまではTFA、TFIのみでしたが6月より積極的にTBA、TRA、TRI
を行っています。まだまだ未熟で至らない点も多々ありますが、このnetでの諸
先輩方の貴重なご意見を参考にさせていただきたいと存じます。宜しく御願い申
し上げます。

**************************************

○○です

大きな瘤ですね Joでカバーできるんでしょうか?
瘤の入り口の大きさもこれだけ瘤が大きかったら分かりにくいです

私も○○先生と同じ意見ですが、やっぱりオペだと思います
瘤切除+LITA-LADですね

**************************************

○○です。○○先生・○○先生、早速のresありがとうございます。先生方
のご意見を参考にして治療計画を進めていきたいと思います。
angio中、まず頭をよぎったのは、ボクもBypass+瘤切除でした。
そして、「あるいはPCIも可能か?」と考えましたが、いずれにしても瘤の性状をよ
り正確に把握しないと治療方針がたたない…と考え、IVUSを行うことも考えました。
周囲に止められました。(当然といえば当然です)あるいは瘤が大きくて、完全に描
出できないかもしれませんが。

このような症例でのIVSU像を経験された先生のご意見をお聞きしたいです。

**************************************

○○です。

アンギオのLAD-2の方を見れば瘤の中にLADがある程度重なって濃く見えるように
思われます。静止画だけなので不確実ですが開口部はそれ程長くないのではない
か、と思われます。
当然、IVUSを行えばどのような形態かほぼ完全に明らかにできると思います。
Joステントはしっかりpreparationすると思ったより通過性があります。このケー
スでは留置はできると思います。問題は再狭窄です。Diffuse narrowでゲインが
あまり取れなければ再狭窄率は高いですし。

さて、僕なら、ですが、患者さんはre-opeでもあるのでIVUSまではまず試みます。
IVUSをすることで破れるような血管があるとは思いません(iatrogenic
perforation後を除けば)。で、Joがどの程度拡張できるか見てどの程度の再狭
窄率かをある程度の予測をして、re-opeとの話をします。
実はある程度広がる病変でPCIだけで終わればこの患者さんにとって大きなメリッ
トと思います。その評価は少なくともするべきではないでしょうか。

**************************************

○○です。

○○先生、ありがとうございます。さっきのレスのとき、実は、Joが通りそうかどう
か、先生を指名して伺ってみたかったんです。ウチでは、カテ室の物品棚の一番高貴
な場所に玉座を設けまして、Joは、女王様として安置し、奉っているのですが、幸か
不幸か、一度もお世話になったことがないので、通過性については、タッチサンプル
を触った印象から想像しました。昔のbared PSくらいかなと思っていたのですが、
ずっと良いのですね?

僕が手術を考えたのは、冠動脈瘤以外の部分も、diffuseなplaqueがべったりついて
いて、angio上のreferenceはそう大きくなく、あと、こうした瘤というか拡張性病変
を合併した血管では、たいてい、superficial calcが高度で、普通にバルーン・ステ
ントしただけでは、拡張不良になるケースが多いからです。瘤を合併した狭窄にやっ
たことはありませんが、狭窄の部分は、ロータしたいような性状で、ステントも、せ
いぜい、3mmがやっとかな、と感じた故でもあります。

>Joがどの程度拡張できるか見てどの程度の再狭窄率かをある程度の予測をして、

といのは、なかなか難しくはありませんか? 一旦ワイヤ通してしまうと、(意思の
弱い)私なら、そこで踏みとどまることができず、最後のJoまでやってしまいそうで
すから、外科を考えました。なお、ワイヤリングですが、開口部が短くても、前後の
血管の軸がチョットずれていると、意外にとっても難しいことがすくなくなかったで
す。

**************************************

○○です。

アンギオのLAD-2の方を見れば瘤の中にLADがある程度重なって濃く見えるように
思われます。静止画だけなので不確実ですが開口部はそれ程長くないのではない
か、と思われます。
当然、IVUSを行えばどのような形態かほぼ完全に明らかにできると思います。
Joステントはしっかりpreparationすると思ったより通過性があります。このケー
スでは留置はできると思います。問題は再狭窄です。Diffuse narrowでゲインが
あまり取れなければ再狭窄率は高いですし。

さて、僕なら、ですが、患者さんはre-opeでもあるのでIVUSまではまず試みます。
IVUSをすることで破れるような血管があるとは思いません(iatrogenic
perforation後を除けば)。で、Joがどの程度拡張できるか見てどの程度の再狭
窄率かをある程度の予測をして、re-opeとの話をします。
実はある程度広がる病変でPCIだけで終わればこの患者さんにとって大きなメリッ
トと思います。その評価は少なくともするべきではないでしょうか。

**************************************

○○です

○○先生のおっしゃる様にIVUSを見ればインフォメーションは
多くなると思います
この瘤ではIVUSで破れる事はないと思いますが、○○先生に
質問ですがIatrogenic perforationd後のIVUSって破れ易いのですか?
通常は怖くてしませんが、時々どうなっているのか見たくなる時が
あるのです・・・ やはりIVUSやらなくて正解なんでしょうか?

**************************************

○○先生への回答です。

> 通過性については、タッチサンプル
> を触った印象から想像しました。昔のbared PSくらいかなと思っていたのですが、
> ずっと良いのですね?
ずっとよくはありません。bared PSがいいところだと思います。ただmountする
と分かるのですがかなりprofileが大きいです。その印象よりはまし、というこ
とです。

再狭窄率の予測ですが、今までの僕の多くない経験でも再狭窄率は通常ステント
より高いと思います。ですから少なくとも通常のMSA-restenosis rateの予測←
これはかなりできますよね、データもあるし、よりさらに悪い、つまり結構大き
くしないと再狭窄は高い、という意味です。

で、僕も書きましたし、○○先生も書かれているようにこの症例はreferenceが
小さい、さらに瘤の前後の石灰化も可能性が高い、という点で使えるデバイスは
全て使って(別にIVUS見て判断すればロータブレータもあり、でしょう)どこま
でMSAを確保できるか、ですね。

瘤のワイヤ通過、これは○○先生の言われるとおりです。軸がまっすぐで全く問
題なく通ればいいですが、ずれててかなりwire crossが困難だった症例、僕もあ
ります。

> といのは、なかなか難しくはありませんか? 一旦ワイヤ通してしまうと、(意思の
> 弱い)私なら、そこで踏みとどまることができず、最後のJoまでやってしまいそうで
> すから、外科を考えました
僕は先生より意志が強いのかも... この症例だったらJoを一期的には入れない
と思います。ただIVUSが何もしなくて通過するかどうか、これは厳しいかもしれ
ません。ワイヤ通してGrandslamに替えるかparallel wireにして、それでもダメ
かも。ただ、前回も書きましたがこの症例にPCIをすることのリスクは再狭窄が
ほとんどで急性期リスクは高くない、つまりperforationなどのリスクはかなり
低いと考えて、それなら再狭窄したらOpe、と言う考え方は選択肢に入ると思い
ます。

○○先生のiatrogenic perforation後のIVUS、ですが、最近は僕はほとんど全て
のperforationの止血後にIVUSをしています。よく見えますよ、出血とか血腫と
か。で、再出血は1例もありません。といってもPerforation自体10例弱(それで
も多い?)ですが。再出血の可能性はIVUSを入れて出すだけなら大丈夫と思いま
す。基本的に止血はadventitiaの穴とその外の血管周囲組織に血腫を作って止血
される訳ですからワイヤにIVUSを乗せて進めることでそこに直接あたる可能性は
まず低いと思います。ただIVUSを入れてdistalがnear wedgeで造影なんかすると
perforation部位の圧が上がって止血してる血腫が外れて再出血、と言う可能性
は考えられると思います。
PerforationのIVUSを見るといろんなことが見えます。どこが破れたか、どの程
度出血してるか(見える範囲内だけですが)、どの程度止血しかかっているか、
などです。余談ですが、IVUS-MLで書いた「CTOでfalseにcrossした後IVUS見なが
らwireをtrueに戻す手技」の途中でwire perforationしてるIVUSを見ました。当
たり前ですが全く血管のないところにwire (Conquest)があってpull backすると
血管の中に入っていくという多分世界でも例の少ないだろうIVUSを見てしまいま
した。こんなのも見えます。あまり見たくないですが。

**************************************


> →単に再狭窄を予防するためではなく、現在のDCAの主たるスタンスは、plaque
> shift対策だと思います
本当にplaque shift careって意味があるんでしょうか???

TRAnetを母体にregistryしましょうか?
○○先生他DCA派:bifurcationにDCA
僕その他non-DCA派:bifurcationにStent 基本的にはstent for main + POBA
for branch、stent aloneもあり。T-stentは???

Registryってretrogradeでもいいんですか?

**************************************

○○ですが、DCA派なんて、とんでもない!!

本当のDCA派は、本幹だけでなく、側枝の入口まで削って、しかもaloneで終わらない
と気がすまない先生方、4AV-4PDの分岐でもDCAされる先生方ではないですか?

私は、側枝に影響が出ない程度に(というか、stent for main + POBA for branchで
終了し、T-stentを回避するために)、plaqueをDCAである程度とってやれば十分なよ
うに考えています。基本的には、stent
使用します。plaqueが側枝の反対側で、側枝入口部に狭窄がなければ、DCAせずに、
stent for main + POBA for branch、stent aloneのこともたくさんあります。もち
ろん、分岐部ということで、DCAを出すのは、LMTやLAD入口部がらみを除けば、今の
ところ、LAD-D1だけです。

中間派ってことろでしょうか?

**************************************

○○です。
Plaque shiftのregistryはおもしろいと思います。
LAD Ostiumに関して言えばPlaqueはLCXの反対側に分布すると言われていますが実際に
LAD ostiumにStentingするとLCXのostiumが細くなるのを良く見るような気がしま
す。いわゆるplaque shiftがおこっているのだと思うのですがそのplaqueはやはり反対
側のものがところてんみたいに”ぷにゅっ”っと回ってくるのか、それともplaqueでは
なく何か違う原因でおこっているのかずっと気になっていました。DCAでplaqueを
debulkしてやるとそれが防げるような気もするのですが実際どうなのか非常に興味があ
るのでBifurcation(特にOs-LAD)へのDCAを経験されている先生方、意見をお願いしま
す。

Intravascular ultrasound assessment of plaque distribution in the ostium of 
the left anterior descending coronary artery.
Am J Cardiol 1996 Oct1; 78(7)

**************************************

○○です    

昨日、percu-surgeのGuard Wire+カネカ6F吸引カテの組み合わせで
を使用しました 吸引を無事終えて、Guard WireのBalloonをデフレーションさ
せて
吸引カテを抜こうと思ったんですがどうもワイヤーのおしりのゴールドマーカー
でひっかかり
ました まあ体の外だし終了前だったんでエイ!と引き抜いきました
その後、IVUSして手技は終了しました
終わってから良く見るとGuard Wireのお尻のゴールドマーカーが
ありません? 探して、探してすると吸引カテのワイヤールーメンの中に
ありました。 基本的には体内に残したわけでもありませんが
こういうこともあるみたいです 参考までに


**************************************

○○です

plaque shiftのregistry賛成です
registryもしされるなら参加させて下さい
未だ結論のない部分ですよね、私は前にも書きましたがLMT以外に関しては
本幹命です (本幹ステント+POBA)です

**************************************

○○です

○○先生にお聞きしたいのですが何回吸引されたかわかりませんが、途中で吸引カテ
をGuard Wireに進める時は特にゴールドマーカーで抵抗はなかったのですか?
吸引カテの内腔とワイヤーの外径の問題?それとも血栓の付着の問題?
ゴールドマーカーって簡単にはずれるのですか?(これはMedtroに聞くべきか)
カネカの吸引カテの使い心地はPercusurgeのものと比べていかがですか?

以上単純に質問です。
皆さんもカネカ6F吸引カテの印象を教えてください。

**************************************

○○です

○○先生のご質問の答えですが
Guard Wireに進める時には特にゴールドマーカーで抵抗は全くありませんでした
一つには吸引カテを抜くときにワイヤーをきっちり拭いていなかったためと思い
ます
でも、通常のワイヤーの時って抜く前に拭いたりしますでしょうか?
抜いた後に、次に備えて拭くんだと思うのですが
吸引カテの内腔とワイヤーの問題でしょうか? それに血栓の付着が悪さをした
と考えております

> ゴールドマーカーって簡単にはずれるのですか?(これはMedtroに聞くべきか

メトトロの人の目の前でなったんですが、GuardWireの専門の人も初めて見たと
言われてました

カネカの使い心地はpercu-surgeと比べてはないのですが、なんといっても
6Fで使えることでしょうか
そりゃ 7Fの方が吸引力あがると思うのですが
同じ7Fでのカネカ vs percu-surgeでは分かりません
注射器が大きい分 カネカの勝ち?

**************************************

○○です。

> 以上単純に質問です。
> 皆さんもカネカ6F吸引カテの印象を教えてください。
>
>

メドトロに比べてflexible、通過性は良好の様な気がします。シリンジを20ml、30ml、
50mlにして各シリンジの最大の陰圧をかけても吸引力はそれほど差がありません。
6frで出来るのは最高です。

**************************************

はじめまして、○○大学循環器内科の○○と申します。同僚の○○先生の紹介でこのメ
ーリングリストに参加させていただきました。私どもは、大学病院の過酷な労働条件を
克服すべく、早くから、radial approachを取り入れて来ました。以前、maniac 
conferenceという、謎の合宿に参加した際、○○先生をお見かけしました。
最近は若い人がシース抜去をしてくれるので、radialの比率がやや減りましたが、基本
的にはradialで可能な場合はradial approachという姿勢は変わっておりません。いろ
いろと有益な情報が得られることを期待しております。どうぞ今後ともよろしくお願い
します。

**************************************

○○です。

PCI中に花が咲いたりするのはあまり好きではありません。
好きな人は誰もいませんね。
しかし、好きでなくてもperforationが合併することもあります。

質問ですが、Jo stent(covered stent)はどのように入手されていますか?

**************************************

○○です

Jo-Stentは個人輸入の書類を書いて、Jo-medから
直接購入しました。
個人輸入の書類は病院長の印鑑などが必要でしたが
やはりお守りは欲しかったものですから
カテ室のお守りとして大事にしまっております
値段は1000ユーロだったような気がします

はやく認可されて欲しいですね・・・・・
夏にはと言ってたような気がしますが

**************************************

○○です。

Jo-Stentの個人輸入は厚生省の指導で不可能な状態になりました。

当院では昨年暮れより2個をキープしていましたが、
取りあえず圧迫止血で逃げ切っていました。
が、本日bailout不可能な花が咲き、
ついに第一例目の植え込みを行ないました。
残りが1個となったので、追加をお願いしたところ、
以上のような回答を受けました。
来年の認可へ向けて頑張るとのことですが、
それまでに使い切ってしまわないかと不安です。
裏道はきっとあると思います。
○○先生頑張ってください。

**************************************

○○です

個人輸入もダメになったんですか?
花が咲かないことを祈るしかないんでしょうか・・・?
来週にでもJo-medに再確認してみます

**************************************

○○です。
10月15日、○○病院に見学に行って参りました。○○先生をはじめ、
○○先生・○○先生・○○先生・○○先生、お忙しい日常業務のなか、お相手いた
だきまして、ご迷惑だったかと思います。ありがとうございました。
幸い、予定DCAを始めUAPのEmergent→再閉塞、Ad-hoc PCI、dissection→stentと盛
り沢山の内容でした。本当に勉強になりました。
以前の○○先生のreportにもありましたが、とにかくカテ室がきれい、整頓されてい
る、そしてdoctorはもとより、co-medical stuffのレベルの高さに、まず驚きました。
印象ですが、○○先生の「ism」がカテラボ全体に浸透しているように感じました。
その中で、各先生がたは○○先生に対し自由にdisscussionできる雰囲気があり、つ
ねに「for the patient」のspiritが感じられました。

PCIでは#3 UAP→Thrombaster→stent;hematomaの症例で、IVUSでstent前後
のhematomaがきれいに描出されたのには、殆ど感動しました。もう、あのimageが見
れただけでも金沢から出向いた甲斐があたというものです。
またDCAをはじめとして、○○先生のPCI styleの「一貫したlogicalな姿勢」といっ
たものを感じとれたように思います。ボクもPCIの時にはlogicalたらんと心掛けてい
ますが、まさに「こうあるべき」なstyleでした。

追記ー1
○○病院に赴任して最初の7日に10件の緊急カテとなったときに部長のT先生から
「あんた福の神やね」と言われた事を午後4時ころに思い出していた藤田です。忙し
かった1日はあるいは北陸からの訪問者の呪いであったかもしれません。改めまして、
○○病院の皆様、御苦労さまでした。また、「普段のカテラボ」を余すとこなく見せ
ていただきまして、ありがとうございました。

追記ー2
○○先生、機会がありましたら金沢に足を伸ばしてみてください。お待ちしてます。

**************************************

一般的な質問ですいません。
AMIに対するmutant t-PAの使用についてですが、みなさんの施
設では、高齢者(特に75歳以上)のAMIに対しては、mutant t-PA
を使用していますか?
当院では発症2時間以内の症例に対しクリアクターを使用して
いますが、搬入から冠動脈検査までの時間が短いこともあり、
ほとんどmutant -tPAのみで再灌流されている症例はありませ
ん。
先日、85歳、女性で発症1時間で搬入されたanterior AMIのに
対し、mutant t-PAを使用しました。出血性合併症はとくにな
く経過されていますが、急性期の冠動脈造影では#7
100%で、PTCA
行っています。
AHAのguidelineでは、75歳以上のcaseではclass IIaですが、
高齢者に投与するのは、出血のこともあり、mutant tPA使用せ
ずPTCAの方が良いのではないかと思っています。
他の先生方の意見、使用方法など教えていただけたら幸いです

**************************************

○○です。

○○先生、遠いところいらしていただき、ありがとうございました。過分のお言葉を
いただき、医師・コメディカルを代表して御礼申し上げます。

>co-medical stuffのレベルの高さに、まず驚きました。
カテ室のスタッフに伝えます。皆、喜んでくれると思います。

>UAPのEmergent→再閉塞、Ad-hoc PCI、dissection→stentと盛り沢山の内容でし
た。
最近平和なPCIが多いんですが、先生の呪力で、たいへんな一日になってしまいまし
た。また、閑古鳥が鳴いて困っているとき、遊びにきてください。

僕は、hematomaと思われる症例は何度も経験してきましたが、最近まであまりIVUSし
ていなかったので、きれいなhematomaのIVUS像を見たのは、やっと2度目です。
logicalなPCIをやって行く上で、正確にbail-outしていく上で、IVUSは重要なんだな
あ、と改めて実感した1例でした。

**************************************

○○です。
 TRA−netではいつも色々な情報やアドバイスを頂き、勉強させて頂いておりま
す。有り難うございます。 私事で恐縮ですが、入会当初は○○病院に在籍
しておりましたが、本年9月より沖縄県の○○病院に赴任致しました。
 これまでよりPCIの症例数も増えてくるかと思いますので、TRA−netを通じて
もっと勉強しなければと、考えております。これからもよろしくお願いします。
  ところで、教えて頂きたい症例がありますので、どうかアドバイスをお願い
致します。
  今度GR−II再狭窄と思われる症例(70台 M)のre−PCIをする事になりまし
た。前回のデータが不明で詳細は解りませんが、angio上の形態から、恐らくGR−IIが
 留置されており、ひょっとしたら、multi−link(?)が重なっているかもしれな
いとの情報がありました。場所はRCA#2で、#1はよくあるshoulder(90度近い角
度)になっております。PCI時には、まずIVUSを使用し、評価をするつもりなのです
が、今のところperfusion balloonは通過しにくい様に思われます。 
 私自身はGR−IIのre−PCIの経験がほとんど有りません (幸いにも使用したい
 時には、GR-IIが手に入りませんでした)。
 また、これまでapproachはfemo.がほとんどで、TRIの経験は、そう多くありま
せん。
 一応治療戦略としては、TRI,cutting balloonを考えておりますが、GR-IIの
再拡張の可能性が解りません。@このままの戦略で良いのか、それともperfusion ball
oonや通常のballoonで高圧で拡張したほうが良いのか?。 またperfusion balloon
を使用することも考え、Aapproachをfemoralに変える事も考えたほうが良いのか?。
 初歩的な質問かもしれませんが、先生方のアドバイスを頂けませんでしょうか

 御教示頂けます様、どうかよろしくお願い致します。

**************************************

○○です

GR II & ML?の再狭窄についてですが、まずはIVUSを
見て、以前のステントがどれくらいになっているかが大事だと
思います
ステントがRe-coilしているようなら高圧のバルーンでしっかり
開けなおす必要があるでしょうし、新生内膜だけならCBを使います
ステントの中なら少々圧を上げてもおそらく大丈夫だと考えます

しかしCBが通る症例ならPerfusion Blloonも通ると思うのですけど

肩の具合によってはTFIも必要かもしれませんが、僕ならTRI
→IVUS→CB or High pressure balloonです

**************************************

○○です。
 
 ○○先生、御教示有り難うございます。
先生にアドバイス頂いたように、まずはTRI,
IVUS,CBの予定で治療方針を立ててみたいと思います。
しかし、GR IIは拡張できるのでしょうか?
また拡張してもすぐにrecoilでは?と不安になっております。
しかしやってみなければ先に進まないと思いますので、
頑張ってtryしてみます。
アドバイス頂き有り難うございました。
今後とも、御指導よろしくお願い致します。

**************************************

皆様、始めまして。
○○病院の○○です。

当院は○○の外れにあります、脳神経外科病院です。
10年以上前ですが、○○選手が搬送されたことで全国ネットになりました。
現在脳外科関連手術年間800例、脳アンギオ年間1500例の規模となっています。
その割には着任前の心カテ件数は年60例、PTCAは10件以下という状態でした。
私は縁あって昨年3月にカテ室を立ち上げ、夏には月間カテ100例となり、そのまま
現在に至ります。
ひとえに、脳外科の全面的バックアップ(むしろ脳外科のコバンザメ)なだけですが、
お蔭様で初年度のPTCA件数は約370件、2年目の今年は2割増し程度の見込みで
す。
当然、シースを抜いている暇がないので昨年のTRA、TRI率は95%程度でした。
今年はTRAを殆どTBAに移行しましたが、依然TRI率は90%以上です。
(当院では心カテはRADIALから、脳アンギオはFEMORALから、という概念
が定着しておりますので、たまに足からPTCAをすると、ナースはPTCAついでに
脳アンギオですか??などと訊いてくる始末です。)

各勢力の台風の目の○○市内のそのまた台風の目の当院で一人こっそり楽しんでいる予
定だったのですが、若輩者なのでしばしば路に迷っております。今回、ふとしたことか
らこのネットワークの存在を知り、時にご指導など頂戴できましたら、と仲間に入れて
頂きました次第です。
何卒宜しくお願い申し上げます。

**************************************

○○です。

オランダ行ってきました。気温はかなり寒かったですが、TRIへの熱い思いが伝わる
10
周年ライブでした。1日で13例の症例予定、術者は世界中から10名。日本代表はもちろ

斎藤先生で、穿刺から止血まで世界のトッププレイヤーの手技を拝見させていただきま

た。まずは、皆さんの穿刺がうまいことに驚きです。キムニー先生は助手にさせていま

たが、助手が入らずヘマトーマにしてしまい、それをキムニーが何とかすべくしていた

が最も時間がかかっていましたが、それ以外は使う針も皆異なり、ワイヤーも異なって

るのですが、それぞれの方法でうまくやっていました。私自身、韓国のライブでやった

きに英語と緊張で穿刺で手が震えたのを記憶していますが、ライブという困難な状況下

おいても皆さん上手でした。Drug-elutingがもっと使用されているかと思いきや、ほと

ど通常のメタルステント(express, JOなど)で少々驚きました。値段が高いという理

で実際drug elutingはヨーロッパ市場の8%とのことです(メーカーの人の話で正確か

うかは不明)。bifurcationをどうするというのが、議論としては多かったように思い

す。

私は最後の2症例のモデレーターを仰せつかっておりましたが、なんと時間の都合でス

ップとなり、役目を果たせず、あとで、キムニーさんには謝られました。その後夜の懇

会へ行きましたが、TRI好きの会ということで、英語ですがいろいろな方と同じよう

興味、同じような悩み、問題点ということで盛り上がりました。ついでにIkariカテの

伝も少々してきました。来年の1月からヨーロッパでの販売が始まる予定です。また、

ーロッパ工場の技術者(ベルギー人)にIkariカテにつき矢のような質問を受け、答え

きました。

さて、今回の感想ですが、まず参加者が130名とかなり少ないのが印象でした。キムニ

先生は300名くらいを見込んでいたらしいのですが。ヨーロッパでTRIは全体の8%

いうことで、あまり広まっていないというところです。キムニーやルーバート先生方も

方に出向いて初心者講習のようなことをやっているらしいのですが。ちょっと話をした

ペイン人の医師もTRIは興味はあるが、きっかけがないとのことで、始めてないとのこ

でした。

まだまだ、世界を見るとTRIは少数派であるのが現実です。TRA-netの皆様ますます頑張

ましょう。

**************************************

○○です。

本日、当院へ○○先生にお越し頂きPCI 2例して頂きました。
○○先生お忙しい中ありがとうございました。
おまけに全く見えないシネでご迷惑をおかけいたしました。RCAは特に見えません。
(ほんとにballoonのマーカーが見えないことがあります。)
現在、当院はアナログのシネだけなので皆様に画像をお届けするのが非常に困難な状
況となっております。文字だけでのご紹介とさせていただきます。

一例目は2週間前のLCxのMI post PCI の方で
本日のtargetはLAD mid diffuse 75〜90% with calc.です。
LAD take offの立ち上がりが90°でそのすぐ先でまた90°の屈曲があり、しかもび
みょうに50%くらいの狭窄があります。
さらに#6 dist.にeccentric75%狭窄があり、その先の病変なのです。
前後を見るとそれなりに血管径はあり、m-mは3.5mmくらいかな、と思うのですが、
lesion付近はdiffuseに狭窄があり最狭窄部前後の血管径は2.5mmくらいでした。
とってもいやーな予感がしたので○○先生にシネを見ていただき、結局お越し願い手技
をお願いすることに致しました。
始まってみると予感的中。
とりあえずBMWはtrapされてlesion超えて少ししたところで進まなくなりました。
CrossSail 2×20mmを進めましたがこれもdeep sheatしてやっとこさlesionを越えた
という状況。
それからLAD dist.までwireingされました。
IVUS tryするも全く進まず、Stentはまず無理といった雰囲気でした。
とりあえずCrossSail 2×20mmで拡張したところ予想のほか綺麗になったためこれで
週了とされました。

二例目はSVG-RCA occludeの方でnativeを開けていただきました。
#1:90%、#2:90%、#3(anastomosis):90%でした。
ただし、入口部からdiffuseな狭窄あり、カテのengageは到底不可能、GCを浮かせた
まま手技を開始していただきました。
BMWは#3をこえず、Choice PTでcross、2wireとされました。
例のごとくIVUSは通らず、2.0mm→2.5mm balloonで拡張、何とかTristarを最も狭窄
の強かった#2へ持ってていってもらい、Stent入れられました。#3はballoon通過不
能。
#1はballoonで50%へ拡張。以上で終了されました。
私の読みが悪く、当初、そんなにかちんこちんの硬い血管とは思ってませんでした。
これをGCプカプカのpoor buck upでPCIするのって至難の業だったと思います。

今日は2例ともいやな予感的中。○○先生に来ていただいてほんとによかったと思いま
した。
お忙しい中、ありがとうございました。

TRA-net入っててよかったと思いました。

************************************** 


第52集


*************************************

○○です。 

先日、大事件がありました。
あまり聞いたこともないですし、もちろん経験もない出来事でした。

57歳男性 UAP
以前、LAD6-7にNIR 3-25mm入れられてる方です。
以前より#3dist.の比較的大き目のbranchの分岐部に90%あり、今回、RCA#1入口部か
ら10-15mmくらいの所に90%のnew lesionが出現していました。
systemは7Fr.Prime7 JR4、GW:Neo's Rinato×2
ヘパリンはカテ前に3000単位、PCI前に5000単位投与。
とりあえずwire 1本入れてIVUSしたところfibrous plaqueでreference m-mは4.5-5mm
でした。
今回は#3もあたらなくてはならないと思い、2本目のwireを#3branchに入れました。
#1 lesionのcrossはスムーズでしたがその先でwireの進みが渋くなりおかしいな、と
思いましたが、crossはできたのでそのまま手技を継続しました。さて、balloonを入
れよう・・・と思ったときに突然、#1がoccludeしました。GCを病変まで入れた記憶
は全く無かったのですが、GCのinjury以外には考えつかずballoonで拡張、末梢の
flowを出してBx 4.5×18mmを入れましたがそれでもStent部から全くflowが出ませ
ん。このときballoon・Stentを進めるのになぜか抵抗がありました。更にStent
balloonを回収すると血栓が一緒に付着していました。このとき思ったのはspiral
dissection→thrombusでした。引き続きそれを確認するためLumineを進めましたが抵
抗があり#2 dist.までしか進みませんでした。おかしいと思いながらも先端造影し、
spiral様の所見でした。とりあえず押さえねば・・・とS670 4.0×30mmを持っていき
ましたが、これも#3 midで進まなくなりました。おかしいと思いながらもとりあえず
dissectionを押さえようとそこにStentを置きました。でもやっぱり#1から全く造影
されません。このときもやはりStent balloon回収すると血栓が付いてました。これ
はきっとdissectionによって血栓が出来てRCAの中に溜まってるに違いないと思い、
次にRescueを持って行こうとしました。するとGCの中で吸引が止まりました。
このとき初めて気が付きました。”GCの中に血栓がある!”その時点でSystemごと抜
去。GWを抜いてみると添付写真のような状況でした。何度もdeviceを出し入れした後
でこれですから、かなりの血栓を冠動脈に押し込んでいたものと考えられます。その
ままCABGお願いしました。
信じられない出来事でした。血栓だと気づいてすぐ採血をした検体ではPlt:35万、
APTT:110%でした。AC起こしたのが手技開始後1時間後程度ですからそんなに時間は
経ってませんが、ヘパリンが全く効いてません。やはりこれが原因なのでしょうか?

このようなご経験、お気付きの点等ございましたらお教えください。宜しくお願い致
します。



*************************************

○○です。

ご報告が遅くなりましたが、10/?に、○○先生にわざわざお越しいただき、
とっても complexな 2例を PCI していただきました。

1例目はバイパスが閉塞してしまった RCA の native で、入口部から99%、seg1
の曲がりが90%、seg3〜4PD,4PL がそれぞれ99% with delay などなど、、

2例目は RCA seg2 の90% と、LAD の CTO でした。

どちらもとってもタフな症例でしたが、さすがわれらが○○先生、
見事に成功されました。(詳しい手技はまたの機会に)

自分が触ったこともない、いろんなwire が出てきて、 IVUS もフルに使われて、
私は何のアシストもできずにただただ圧倒されて見てました。

で、終わったのが19時半で、そのあと「反省会」して、
○○を出られたのが24時頃。
翌日は7時に家を出られて、○○先生の○○で2例、、
午後はご自分の本拠地で数例PCIされて、、、
夕方帰宅途中にまた AMI。
RCA, Cx total で IABP support下に PCI されたとお聞きしました。。。

どこまでも元気な○○先生にびっくりです。
本当にありがとうございました。
入ってて良かった TRA-net。またよろしくお願いします!!

*************************************

○○です

○○先生 お久しぶりですね
少し質問なんですけど
GCの圧モニターはちゃんと出てたんでしょうか?
もし、GC内の血栓だったとしても、なぜIVUSが通過したのに
その他のデバイスが通過しなかったのでしょうか? 
ガイドカテ内の血栓のため? ひょっとしたらガイドカテ内の血栓
以外にコロナリーではDisectionがあったのかなと思われるんですけど

うちでも、以前UAPの患者さんで通常にヘパリンを使用して
ガイドカテを入れたら、圧は出ない・注射器でも引けない症例があって
これはプラークを削ったのかなと思い、外でフラッシュしたら
血栓が出てきた事があります その時のACTは250位だったんですが
ヘパリンを少しだけ追加して、POBAのみで終了しました
造影剤を打つ前でよかった・・とその時は思った事がありました
ちなみにその患者さんはその後血小板減少も認めませんでしたから、
HITではなさそうでした

*************************************

○○です。

○○先生早速のresありごとうございます。

>GCの圧モニターはちゃんと出てたんでしょうか?
最後まできちんと出てました。

>もし、GC内の血栓だったとしても、なぜIVUSが通過したのに
>その他のデバイスが通過しなかったのでしょうか? 
>ガイドカテ内の血栓のため? ひょっとしたらガイドカテ内の血栓
>以外にコロナリーではDisectionがあったのかなと思われるんですけど
IVUSまでは何の問題もありませんでした。その後wireをもう一本入れた後、shotした
ときにoccludeしました。
取り出したwireにはご覧の通りの血栓が付着していましたが、GCをフラッシュしても
ほとんど血栓は出てきませんでした。どうやら血栓はwireのみに付着していたようで
す。
deviceを入れるたびに次々にできるwireの血栓を冠動脈内に押し込んだため徐々に
deviceが入りにくくなったのではないかと考えて(想像して)います。

*************************************

○○です

ガイドワイヤーだけに付着しておれば、そういうことも
あるんでしょうね
ところで、ヘパリンは時々ものすごく効く人と全然効かない人が
いますね
うちではACT無限大の人から、○○先生の症例までは
行きませんが効きの悪い人まで経験しました
うちではPCIの時には100単位/Kgにしています
昔ですが、一度UAPで術中のヘパリンをうっかり忘れて術前の2000単位だけで
PCIをしてしまったことがあるのですがBalloon何回拡張しても
Abrupt closureを繰り返しました。 ヘパリン打ってない事
を思い出して10000単位追加したとたんすぐにTIMI IIIになったことが
ありますので、それ以来ヘパリンは必ず使っています
使用する量は10000単位から100単位/Kgに減りましたけど
みなさんの施設でのヘパリンの使用量はどれくらいなのでしょうか?

*************************************

○○です。

僕はほとんど血栓性のトラブルに見舞われていません。なぜか?僕はヘパリン
10000単位使ってるから、の可能性があります。
みんなの話を見ているとヘパリン少ないですよね、何ででしょうか?出血の問題
はほとんどないんですけど...

*************************************

○○です

4月からTRIをするようになり、最近はTFIでもCloserを
使用するようになって出血の合併症は皆無です
それ4月以前は昔ながらのシースを置いて帰室して、ACT下がったら
圧迫で抜いていましたが、手技の問題もあるんでしょうが
血瘍の嵐でした・・・・(恥ずかしながら)
ちょっとでも、帰室後早くにシースを抜けるようにするために
ヘパリンを減らしたのも事実です
でも、100単位/Kgって少ないんでしょうか?

*************************************

○○です

僕も、このところ、ヘパリン少な目です。100単位/Kgが原則です。DCAとロータで
は、もう少しヘパリンを効かしたほうが良いといわれていますから、150単位/Kgくら
いつかいます。ACTは、術中合併症が生じない限り、使用しません。このプロトコー
ルで、特別困ったことは経験しておりません。

*************************************

○○です。
うちの施設では、ヘパリンは7000単位使用しています。しかしACTチェックし
追加が必要なときは追加しています。
手技時間が1時間を超えるときはその都度2000単位追加しています。
通常、ヘパリン7000単位使用でACT220〜270程度です。
小柄な人は300を超える場合もあります。

*************************************

○○です。

○○先生、はじめまして。
大変、興味深い(というか、恐ろしい)イベントで驚きました。

ヘパリンが効いていなかったようなので
GCよりもWireの方がThrombogenicityが強いはずですから
Wireのみに赤色血栓が付着していたことは納得できると思います。

ところで、ヘパリンに効きの悪さに関してですが
この症例は、以前にもPCIを施行されてますし、
今回のイベント後もCABGをされているとのことですが
その際の、ヘパリンの利き、血栓性のイベントに関して
何か情報がありますでしょうか

特に、CABGで体外循環を回すときには
通常、ACTでモニタリングしながらヘパリンを使用するので
この症例のヘパリン反応性に関して、
情報が得られるではないでしょうか

たとえば、ACTをあげるためにAT-III製剤の使用が必要であったとか....

もし、CABGの際のヘパリン反応性について問題がなければ、
(大変、失礼なコメントで申し訳ないのですが)
ヘパリンを投与したラインが漏れてたなど、何らかの理由で予定量のヘパリンが
投与されていなかった可能性も考えなくてはいけないように思うのですが、
どうでしょう。

*************************************

○○です。

○○先生、はじめまして。resありがとうございます。
今回に留まらず今後とも御指導宜しくお願い致します。

> この症例は、以前にもPCIを施行されてますし、
> 今回のイベント後もCABGをされているとのことですが
> その際の、ヘパリンの利き、血栓性のイベントに関して
> 何か情報がありますでしょうか
以前、UAPで#6-7にStent入れてますが、このときもヘパリンは計8000単位使用してた
はずですが、このときは特に問題は無かったようです。
実は当院は心外がなく、他院へ搬送いたしました。確かに術中のヘパリンの反応性は
有力な情報になりますね。その後、心外の先生と連絡が取れてないので何か問題が
あったかは分かりませんが、後日確認してみます。

> もし、CABGの際のヘパリン反応性について問題がなければ、
> (大変、失礼なコメントで申し訳ないのですが)
> ヘパリンを投与したラインが漏れてたなど、何らかの理由で予定量のヘパリンが
> 投与されていなかった可能性も考えなくてはいけないように思うのですが、
> どうでしょう。
仰るとおりです。私もその可能性は考えました。
私は、TRA診断カテのヘパリン3000単位はシースから入れますが、TRIのヘパリン追加
5000単位は末梢ルートからNsに入れてもらっています。
今回もTRIでしたので末梢から入れるよう頼みました。ルートに問題があったかどう
かなどそれ以上のことは不明です。
もし、CABGの際のヘパリン反応性に問題なかったならば、何らかの原因で体内にヘパ
リンが入っていなかった可能性を考えざるを得ないかもしれません。
今度からは自分で入れたほうがいいのかな、と考え直しました。

*************************************

○○です

当院ではヘパリン量は100単位/kgです。
これでほとんどACTは200から300の間へ入りますので以前はACT計っていません
でしたが、下記の症例以後、全例でACTを計測するようにしています。

実は本例と同じ経験があります。
透析例で60kgくらいの男性と記憶していますが、きちんとルーチンどおりヘパリ
ンをうったはずなのに冠動脈内にワイヤー沿いにごろごろと血栓ができ、Yコネク
ターあたりまで血栓を発見したため全システムを引き抜いて、ACTを測定しました。
すると全くヘパリンが効かず、ACTを上げるために結局ヘパリンを3万単位必要とし
ました。HITTSに関する知識の乏しい頃で、なぜなのかよくわかりませんでしたが、
現在はHITTSだったのかなと勝手に解釈しています。(もう一度カルテを確認する必
要がありますが、、、)

私がカテーテルを始めた頃はヘパリンなしでCAGをしていましたが、別にあまりトラ
ブルはありませんでした。カテーテルにぞろぞろの血栓ができるのは、ヘパリンが効
いていないだけではこんなことは起きないでしょう。何かの理由で血栓性が亢進した
状態になっているはずです。するとHITTSと考えるのが最も考えやすそうです。その
後血小板の低下はありませんでしたか?

血栓症がヘパリン使用後、10分程度で発症しているので、こういう劇症型のHITTS
というのは確立されているのでしょうか。当院カテ室では次にこのような症例に出
会ったときは、すぐにアルガトロバンを使用するように準備してあります。

*************************************

○○です。

今回の話題の症例について、ではありませんが、ヘパリンなしのCAGについて 
です。
僕も非常に少数例ですがヘパリンなしのCAGをしたことがあります。ただし一度
痛い目にあって止めました。それは子宮ガンの放射線治療後のおばあさんで出血
問題がありヘパリンなし、としたのですが問題なく冠動脈の造影が終わって、左
室造影をしようとしていたがpig tailが左室に入りづらくすこし時間がかかって、
入らないのでガイドワイヤを入れて抜きました。その後その患者さんは脳梗塞に
なってしまいました。Pig tailの血栓をガイドワイヤで押し出した可能性が最も
疑われました。
ヘパリンなしでは異物であるカテーテルに血栓がつくのは血栓性が亢進してなく
ても不思議ではないと思います。←試した訳ではありませんし、カテーテルのコー
ティングなどにもよるでしょうが。

その症例の後はやはりヘパリンなしでのカテーテル検査は止めました。

*************************************

○○です。
○○先生、貴重な症例提示有難うございます。正直なところちょっと驚きました。ヘ
パリンの投与量が話題になっていますが当院では最初5000〜7000を投与し、90分で
2000〜3000を追加しております。しかし100単位/kgを投与したとしても、分子量
が様々なヘパリンでは当然効果に差が出ると思いますのでACTは測るべきだと思って
います。

*************************************

○○です。

○○先生の症例は、「ヘパリンを使ったのに効かなかった」のではなく、「ヘパリン使
用後に著しく血栓性が亢進した」ことが問題の本質と思います。
恥ずかしい話ですがヘパリンを静注したつもりだったのに、ワイヤー通過後に「おっと
静注してない!」なんてこともたまにはありますが、血栓が付くのは稀だと思います。
もっと言えば、3mmの血管に金属片(ステント)を留置して、抗血小板剤を使用すれば
ヘパリンもワーファインもなしで、血栓症(SAT)は1%以下なのです。抗血小板剤は内
服しているはずですから、ベースラインの血栓性ではワイヤーにぞろぞろの血栓が付く
とは説明できず、血栓性の亢進がなければならないと思います。

○○先生の症例も悪性腫瘍があり血栓性が亢進していたんではないでしょうか。
(当院でもヘパリンなしのCAGは今では決してやっていません。CAGでは、femoral or 
bracheal20単位/kg、radial 50 U/kg使用しています)

Medlineを見てみても、このような症例は報告がありません。たぶん外国では、すぐに
ReoProが入ってしまうので、このようなことが起きないのではないかと思われます。
ReoProがなぜか認可されていない極東の国での特異的事象かもしれませんが、私は症例
報告に値すると思います。報告の際には原因が何かが最大の問題になるでしょう。
HITTSとすれば、その後の血小板の経過、抗ヘパリン抗体(SRLで測ってくれます)、先
天性のものであれば、protein C, protein S, ATIII, 活性型protein C抵抗性(これも
SRLで測ってくれます)などが必要でしょうか。

私の症例は透析例で別の原因ですでに死亡されており、残念ながら上記の検索はできま
せんでした。
おせっかいなことを書いて失礼しました。お許しください。

*************************************

○○です。

血栓性には血流、が大きな影響をしていると思います。これは血栓病変でもflow
がよければ慢性期に血栓がなくなり、flowが悪いと閉塞していることが多いこと
や、川の流れのいいところにはゴミがたまらないけど流れが悪いところにはゴミ
が溜まる、というイメージです。

ですからcoronaryのflowのいい部位での血栓性とガイドカテーテルの中でろくに
フラッシュもしないでflowがなくなった状態とは全く異なった状態であろうと思
います。Coronary perforation後のheparin reverse後にはカテーテルをフラッ
シュしなさい、と言うのもそのためでしょう。
流れがないところでカテーテルやワイヤの異物に血液が接している状態は非常に
危険と思うべきだと思いますが、どうでしょう?

○○先生の症例の真実は???ですが、ヘパリンが入ってなくて、カテーテル内
に血流がとどまる状況なら起ってもしかるべき、かもしれません。

*************************************

○○です

今回の症例は色々と考えさせられる症例ですね
みなさんのおっしゃる様にHITやその他の凝集能の亢進
ヘパリンの投与不足、Fllowの問題など
TRIに限らずPCIを行って、特にステントを留置している
我々にとっても重要な問題だと思います

○○先生の写真をもう一度見ていてふっと思い出したんですが
昔、動物実験でヘパリン無でウサギの頚動脈にバルーンで
損傷を与える実験をしていたのですが、内視鏡で
見てみようと思いバルーンで閉塞するタイプの内視鏡を
見ていた時です 何度も、何度もフラッシュしながら
観察していたら、奥の方から血栓らしき血液の塊が
動いているのが見えました、よーく見てみるとガイドワイヤーに
ついた血栓が動いていました
その時に内視鏡のフラッシュもしていたのですが、やはり
ヘパリンは重要だと思いました。 ウサギには悪いのですが
臨床の場でなくてよかったと反省したことがあります

○○先生この症例の問題解決のためにも是非、色々な可能性を
検証してみてください

ヘパリンの投与の問題について、
もう一つみなさんにお聞きしたいのですが
IABPを動かしている時のヘパリンは如何されてますか?
うちではACT220以上で厳重にコントロールしているのですが
HITと思われる症例にはアルガトロバンも使用しています
(IABP時のみですが)

*************************************

○○です。

皆様、様々な考察、御指導ありがとうございます。
なんで?なんで?と混沌としていた私の頭の中が少し整理整頓されて
原因としてどんな可能性を考え、検索すればよいか見えてきた気がします。

このようなことは防げるものであれば必ず可能性を考え
今後同じようなことが起こらないよう対策を立てなくてはならないと思っています。
原因究明に努め今後の診療に生かすことが患者さんに対する敬意であり
我々の義務であると思います。
このPt.は現在、CABGのため他院へ転院・入院中ですが、近々当院へ戻って来られる
予定ですので皆様のご指摘のような疾患、異常の検索にあたりたいと思います。
今回のようなtrubleを”びっくりしたなぁ、こんな事もあるんだなぁ”で終わること
のない自分の環境をとても幸せに思い、皆様に感謝いたします。
結果は後日ご報告致します。
今後ともよろしくお願い致します。

*************************************

○○です。

今夜は皆様神戸で盛り上がっているでしょうか。

以前にこのネット上で呼びかけたIkariカテの多施設集計の途中経過です(10月30日現
在)。12施設26術者から172症例が集まりました。

成績ですが、Ikariカテによる全体の成功率は93%(161/172)です。
不成功の11例の内訳は、2例はカテのサイズが合わず、交換しようとしたらその場にサ
イズがなかったもの。3例は他のカテでも不可能でTFIに変更となったものでした。6例
は他のカテーテルに変更しTRIで施行しました。サイズの合うカテがなくてIkariカテ不
成功とされた2例を除けば成功率は95%(161/170)となります。

かなり良好な成績で驚いています。

今後詳細な検討をしていきますが、唯一の問題点は、172例のうち100例が○○からとい
うことです。「多施設の成績」として報告するには過半数を占める施設が一つあると方
法に問題ありと言われる可能性があります。テルモによるとすでに400くらい使用され
たらしいので、もう少し症例を集めた方が良いようです。

このような理由で、もう少し締め切りを延長させていただきます。
とりあえず年内いっぱいまで集計させていただきます。
ただし、この延長は成績不良でもなく計画の頓挫でもなく、前向きな延長戦ですから、
皆様何卒よろしくご協力の程お願い申し上げます。

*************************************

初めてのミサ・・・楽しかったです。
酒を飲みながらこんなにディープな話が出来るとは・・・
入ってて良かった!TRA-net!!

○○Dr.の横にいた男・・・○○です。
今後ともよろしくお願いします。

*************************************

○○です。

神戸の夜、多くの先生方にお会いできて、楽しく過ごさせて頂きました。いつも会を
主催されている○○先生、どうも有難うございます。またいつも素晴らしい幹事役の
○○さんと、その仲間(手下?)の皆様、有難うございます。TRA-netでは超有名人の
方々とお会いできて、「有名人」や「ブランド」にヨワイ私は、毎回感動しておりま
す。

私は皆様よりちょっと早く、今日は日直当直で通常の日常診療に復帰しています。
さっきAMIの触れ込みで近医より救急搬送が1例あったのですが、ゼロ枝病変でストレ
ス心筋症(蛸壺)でした。

*************************************

○○です。

IVUS見てperforationした症例、できればその後もIVUSしてればそのIVUSも含め
て症例を探しています。

というのは、IVUSでperforationのpredictができるかどうか、はっきりさせたい
からです。Debulkingはどんな血管でもperforaionしようとするとperforationで
きるでしょうから、Stent POBA Cuttingに限りたいと思っています。
僕自身がStentによるperforationで4例、POBA CBAは数えてませんが全部で10例
はあると思います。ある程度まとめられたらperforation high risk caseをIVUS
でpredictできて非常に有用と思われます。是非連絡ください。

○○先生、やぶいたのありましたよね。IVUSあります???

*************************************

○○です。

神戸盛り上がったそうですね。参加したかったのですが、今年も○○で留守番でした。
もちろん八戸では大騒ぎします(楽しみっす)。

冠動脈はここ最近で6本(この1年では5本)破きました。
破きすぎだ!と、多数の先生からご指導受けております(反省)。
Stent;2, Cutting;1, DCA;1, Rota;1, Balloon Rupture(インデフの圧ゲージ故障);1
といった内訳です。
Stent症例では一症例のみはIVUSをpreに施行しています。全周性のプラークの中に一部
分Caがあったような記憶があるのですが、去年の10月の症例でよく覚えていません(カ
ルテやIVUSデータは全て残っています)。もちろんStudyにはEntryさせていただきま
す。全てTRIで破って、bailoutしているのですが、鎌倉ライブのネタとしてはどうでし
ょうか?○○先生!

*************************************

○○です。

○○先生の提案、面白そうですね。
パーフォレーション寸前のIVUSで何かわかれば、臨床上も大変役に立つ報告だと思いま
す。ネット上の論文ということで、IKARIカテでも皆様にお世話になってますし
是非参加したいのですが。

当院ではステントパーフォレーションは1994年にPalmaz-Schatzで一発やって依頼、大
嫌いになり、以後無理をしないステントサイズで通してきていますので、ここ数年間全
くありません。1994年とJoステントもIVUSもない時代で緊急手術例ですからIVUSはあり
ません。私のステントサイズは○○先生はご存知と思いますが、○○先生よりもたぶん
1サイズ小さいのではないでしょうか。しかし、決して再狭窄率は高くないと思います
が、これに関してはまたどこかでデータをつき合わせてみないと結論は出ないでしょ
う。

残念ですが、今回はご容赦を。

*************************************

○○です。

ご活躍のことと存じます。>○○先生
CCTではポスター演題を拝見しましたが、素晴らしいデータでした。>○○Dr
私にも責任の一端があるのかもしれませんが、積極果敢なPCIですね。改めてこう
やって書き出してみると凄いです。

最近当施設では全例にIVUSを施行しておりますが、angio-baseで見るのとまた違った
情報が多く、予想外の血管のnegative remodelingを時々経験します。こういった病
変と、石灰化が悪条件として重なったときが危ないのでしょうね。病変部に極めて限
局した短いnegative remodelingは、石灰化が強くなければ、前後のmedia-to-media
であわせてステントを入れて大丈夫と思っているのですが、このスタディではそのよ
うな場合のリスクの見極めにも重要な情報を見出せるかもしれません。

*************************************
○○です。
○○先生、レスありがとうございます。

もちろん私一人で全症例破ったわけでもないのですが、カテラボのボスとしては大変反
省し、本院でもIVUSを購入しました。最近の症例にはすべてIVUSを施行し、経験値を高
めています。

それにしても破きすぎですよね。いろんな人に十分怒られましたので(笑)TRA-NET
のみなさん許してください。

*************************************

○○です。皆さん先週は楽しい神戸の夜をありがとうございました。私は2次
会からの参加で皆さまとじっくり話せなかったのが心残りですが、またミサの時には
参加させていただこうと思います。さて本題ですが、昨日土曜だというのに午後から
緊急カテが2件連続であって、うちの○○先生と昼飯も食わず低血糖発作をおこしな
がらやっていました。extensive anterior AMI発症3日目、killip-3の症例での経験
ですが、LAD#6 99%delayのためガイドワイヤー通過後にthrombuster(6Fr)で吸引
しIVUS施行後direct stentという流れでPCIを行いました。最初のthrombusterはほと
んど内容物が引けてこなかったのですがdirect stent後見事なslow flowとなったの
で○○先生の御助言もあり再度thrombusterをやってみましたがなにも引けずflowも
改善せずでした。シグマートでも打っておこうと思い、
"radialmagic.com"にあるようにトランジットでselectiveに注入!とも考えました
がせっかくthrombusterがあるので、吸引後にうしろの注射器をはずしてそこからシ
グマートを打ち、めでたくflowは改善しました。こういう使い道もアリですね。

*************************************


 はじめまして。TRA-netに入会してはや1カ月、ご挨拶もせず、大変失礼しました。
何か、気の利いたことをと思いながら、ずいぶんと月日が経ってしまいました。
 
 H5年○○大卒、○○大循環器内科に所属しています。
 H14/4月より、前任の○○先生と交代で○○病院に赴任いたしました。
H14/4-9月末までの6カ月間のCAG件数は302例、PCI件数65例、うちAMIは45例でした。
まだ、赴任したばかりですので、待機的PCIはEasy caseを選んでPCIをしていますの
で、PCI件数は、○○先生の時代より若干減少しています。
 
 TRA-netの話題は、いつも大変勉強になっております。
 まだまだ、初心者でわからないことばかりで、これからはいろいろと質問すると思
いますが、
宜しくお願い申し上げます。

*************************************

○○です。○○先生、先日はお忙しい所をおじゃましてしまって、すみま
せんでした。また見学させてくださいね。
ミサ…、今度こそ参加したいですね。

> 吸引後にうしろの注射器をはずしてそこからシ
> グマートを打ち、めでたくflowは改善しました。こういう使い道もアリですね。

ボクも先日、同じようにシグマート・ニトプロ冠注しました。やはりLAD #6 total
のcaseでML stent後もさっぱりflowが得られず、半ば諦めかけながらの冠注でしたが
このcaseもflowはめでたく改善しました。
ところで、冠注後もno-flowだったら、皆さんはどう対処していきますか?IABP挿入
して撤退?

*************************************

TRA-net 諸先生御机下
初めまして、○○病院 循環器科の○○です。
1990年に○○大学卒業後、94年まで○○病院にて研修いたしました。○○先生
には、心カテの”いろは”から御指導頂きました。97-01年の4年間 兵役(大学院)
に付き、昨年より○○病院にて働いております。
○○病院は、その名の通り 500床の○○病院です。
現在、2004年の病院リニューアルに向けて、改革の真っ最中です。我が循環器科も、
04年に心臓外科を誘致し(現在 心外なしでがんばっております)、充実した循環器セ
ンターを設立できるよう努力しております。まだまだ発展途
上のカテ室です。
TRA-net の諸先生方には、今後とも御指導頂けます様 宜しくお願いいたします。少
しでも討論に参加できる様、勉強させて頂くつもりです。今後とも宜しくお願いいた
します。

************************************* 


第53集

**************************************

○○です。

皆さま、ご無沙汰しております。
CCTも盛り上がったようで羨ましいです。
今、とても困っています。
大学病院へやってきて半年以上が過ぎました。
色々な制限の中PCI頑張ったつもりです。
去年の一年分の件数を半年で終わりました。
一生懸命働いて件数を増やしボーナスでも出るのかと思ったら、...病院より怒られ
ました。

事務より、器財の購入費の一年分を半年で使い切ってしまった旨の通告が来ました。
要するに、お金がないのでカテやバルーンが買えないようです。

国立大学はモノの購入費は前年度(前々年度?)の売り上げで決まっており、どんな
に本年度の収入があってもそれは国庫に直接はいるので、今年度の購入費には加わら
ないのだそうです。
御上からいただいた枠の中での診療・治療しかできないのです。
しらなかった私がバカでした... 。

ここでは件数を増やせば、赤字が増えるだけだという事です。
仕事をしなければ、黒字。
もらったお金を使わない、辛抱が美しいようです。
仕事をすると誉められる世界に慣れていたのでびっくりです!

IVUSもやってはいけないようです。
せっかく認定がおりたRotaもどのくらいまで使えるのか解りません。
Percu Surgeは、古いので購入価が安くなりそうなRESCUEにしたら良いのではと勧め
られました。

普通は人件費が一番痛いはずなのですが、別会計で国からそのまま出るので、リスト
ラも減給も無いようです。

私立病院の節約とはひと味違う、「件数をこなすと赤字」という事に関して、全国の
国立大学系の先生方は、どのようにしているのでしょうか?
やはり、やらない方が良いのでしょうか?
国立大学病院出身の先生方も経験などより教えていただければ幸いです。
また、私立病院系の先生方の御意見もいただければと思います。

ちなみに、薬もよく使うモノほど強制的にゾロ品に変更です。
なんだか情けない。
このような国立大学病院は日本中にどのくらい有るのでしょうか?

**************************************
○○です

Thrumbusterでの使い方 面白いですね
今はなるべくGuard-wire + 6F Thrombuster でよろうとしているところで
以前は、再潅流前に末梢にマイクロカテを入れてニコランジルを投与していまし

これで、予防できたかどうかは不明です(残念ながら症例数が足りませんでし
た)
末梢まで血流のあるAPでは術前投与が明らかにslow flowを改善していました

MAXまで冠注後もFlowが改善しない例はIABPを挿入して終了しています
残念ながら これからは末梢プロテクションでこのような症例がなくなればいい
と思っています

**************************************

○○です。○○先生、先日はお忙しい所をおじゃましてしまって、す
みま
せんでした。また見学させてくださいね。
ミサ…、今度こそ参加したいですね。

> 吸引後にうしろの注射器をはずしてそこからシ
> グマートを打ち、めでたくflowは改善しました。こういう使い道もアリです
ね。

ボクも先日、同じようにシグマート・ニトプロ冠注しました。やはりLAD #6
total
のcaseでML stent後もさっぱりflowが得られず、半ば諦めかけながらの冠注でし
たが
このcaseもflowはめでたく改善しました。
ところで、冠注後もno-flowだったら、皆さんはどう対処していきますか?IABP
挿入して撤退?

**************************************

○○です

私立大学卒業、私立大学勤務しか経験のない
私にとっては本当にビックリしています
今は来年からのDRGに向けてコスト軽減に努めていますが
これも、やはり私立だからこそなんでしょうね
うちの医局の国立大出身の先生にもお聞きしたら
同じように「件数を増やせば、赤字が増えるだけだという事です。
仕事をしなければ、黒字。」と言われてました

大阪商人の私にはまったく想像のできない世界ですね
前向きなコメントできなく申し訳ありません

**************************************

○○です。
○○先生、心中お察しいたします。若輩者ですが、書き込ませてください。

 ボクは○○大学を卒業後、家庭の事情もあり郷里の国立大学に入局しました。1年
の大学研修の後、関連病院をローテートし6年目に大学に戻った時に先生と同じ種類
のカルチャーショックに見舞われた覚えがあります。
 バルーンも、カテも買い取りのため骨董品級のバルーンがゴロゴロしてました。夜
間の緊急カテには技師さん1人のみで看護婦さんもついてくれません。第一、AMIがき
てもICUが満床(当時は4床でした)であったら転送です。半年くらいでマヒして、慣
れてきましたが、それでも研究室のbossから「悪いんだけど、開業する先生があるの
で、来月からI病院に行ってくれない?」と言われた時には心底ホッとして自然に笑
みがこぼれました。要するにK市ではAP AMIにたいして大学病院は1.症例も少なく
2.緊急対応するシステムが確立しておらず、3.多分、一般病院で一所懸命PCIが行わ
れていることや何かは関係ない、ということなんだと思います。
 似たような(おそらく)環境で症例数を増やし続けられたことは素晴らしいことと
思います。ですから、頑張ってPCI続けて下さい。どう見たって先生のスタンスの方
が正しいのですから。
 それから、最近、ウチの病院でもジェネリック薬剤が導入されました。患者さんの
自己負担額が減ってゆくから…と自分に言い聞かせて処方変更を進めてます。でも
「いっそ、一般名を処方箋に書いて薬局で患者さんに選ばせたら?」と提案したら薬
局長に一笑に付されました。…どうして??

ながながとすみません。

**************************************

○○です。

ウチも公立病院ですので、同じような経験があります。
市の予算を確保している関係上、それを上回るような支出は原則的にはできないよう
です。
当院ではカテ件数が増えたときに、”なぜ循環器はこんなに材料費を使うのか”と事
務から事情聴取を受けたことがあります。
当院の事務は、予算を必死に守ってなるべく支出を少なくするのを仕事としていると
ころと、お金が入ってくるところは別です。たくさん仕事をすると結果的に病院の利
益が上がるかどうかなど、彼らには関係ありません。予算を上手に配分しながら出す
ことに命を懸けている公務員には、患者さんのことなど関係ありません。

○○先生の性格なら、カテ室で”ちゃぶ台”をひっくり返す勢いで怒っておられるこ
ととお察しします。ただ、ちゃぶ台は普通のカテ室には置いてないでしょうから、ひっ
くり返すならトレイをバルーンやステントごと、ひっくり返すしかありません。

私は7年以上公務員をしていますので、悲しいことに慣れてしまいましたけど・・・・

**************************************

○○です。

Aneurysmは、冠動脈径の2倍くらいですから、すぐにruptureする危険性は低いと思い
ます。狭窄はAneurysmの出口にあるので、HDですから、月並みですが、1.75mm
でRotaして、IVUSをみてからその後の治療をきめます。もちろん、Rota前にIV
USがとおるなら、是非みておきたいと思います。というのも、Aneurysmの出口に壁
の薄いところが万一あって、そこにもろにワイヤバイアスがかかるようなら、Rot
aは危ないかもしれないからです。

1.75mmでのRota後は、ステントをAneurysmの出口からいれるかもしれませんし、全周
性に高度石灰化があるなら、burrのsize upをするかもしれません。LCxの病変は
はっきりわかりませんが、完全冠血行再建して、6ヵ月後のf/u CAGでAneurysmに変化
があるようなら、そこで次の手を考えたいと思います。

Jo stentですが、ウチのカテ室にただ1ヶありますが、現在、新たな供給の道がたた
れていることを考えると、重篤な冠穿孔の緊急対応用に残しておきたいところです。
それに、HD例ですから、きちんとステントが広がるかわからない部分もあり、また予
想される再狭窄率も高いでしょうから、初回からいきなりJoで行く必要もないのでは
? と考えます。

**************************************

○○です。

Polycystic kidney(PCK)と脳動脈瘤の合併例は研修医の頃見たことがあり、冠動脈瘤も

併するのかと、PubMedを引いてみたら、4本ほど論文がみつかりました。したがって、

れは川崎病というよりもPCKの一つの病態でしょう。心筋梗塞も合併するとのことで
す。

治療については○○先生に全く同意です。たぶん、石灰化が著しい硬い病変のように思

ますので、ロータが適切で、狭窄の治療のみで、拡張している部分は放置でよいと思い

す。

**************************************

皆様、始めまして。○○病院の○○と申します。
TRA-netに参加させていただくにあたり、自己紹介させていただきます。

氏名:○○
出身:大分県(祝!大分トリニータJ1昇格)
所属機関:○○
流派:○○派 ○○先生の弟子の○○先生の弟子
です。○○先生、いきなり飲み会から勝手に弟子入りしてしまって失礼しました!
またその飲み会の際には○○先生、○○先生に大変お世
話になりました。

今は駆け出しの研修医二年目です。来年からは勤務関係上、○○派に入
門させていただけたらと強く希望しております。その際にはぜひよろしくお願い
申し上げます。

このTRA-netを通じていろいろ勉強させていただきたいと思っています。
若輩者ですがよろしくお願いします。

**************************************
○○です

まずはIVUSで石灰化の有無を、冠動脈瘤等を観察し
必要に応じてロータブレターを考えます
最終的には瘤の所には手を出さずに狭窄部のみをステンテすると
思います。 LCxの狭窄が良く分からないのですが
同様にIVUSで決定すると思います

**************************************

○○です。本日は御相談させていただきたい症例があります。
【症例】68才、男性。
嚢胞腎により本年2月よりHDとなっていますが、HD中の血圧低下および労作時の
chest discomfortでCAGとなりました。CAGを施行しましたところ、LADに
aneurysmを認めdistalはhazyでした。このviewではわかりづらいですが、LCXに
も狭窄病変がありEKG変化からはculprit lesionはLCXかもしれません(ASOのた
め負荷試験は施行していません)。川崎病の既往はありませんが、孫(18才)が
川崎病でfollowされているとのことです。LADにはどのように対処すればよろし
いでしょうか?御教示いただければ幸いです。

**************************************

○○です。

皆さま、御意見有り難うございます。
(個人的にもはげましのメールも数件いただきました。ありがとうございます)

公務員歴7ヶ月の私にとっては、本当に頭に来る事件です。
バルーンやステントをひっくり返すと、また「高額医療」と怒られますのでできませ
ん。
安上がりにひっくり返すモノを探しています。

とりあえず、地味にお金を使わない様に頑張っては見ますが...

**************************************

みなさま、Percu Surgeはどのように使っていますか?
我々は、まず、一人目には私が最近こっている「5Fr de Percu」というワザ(5Fr GC
でdeepに入れて吸ってしまう)でプロテクトバルーンを使い、次に来た患者さんには
アスピレーションカテのみでRESCUEの様につかっています。
一粒で二度美味しいPercu Surge!

**************************************
○○です。
ご多忙のところを貴重なご意見を賜りましてありがとうございました。
残念ながら当施設ではRotaは使用できませんので大学病院に持ち帰ろうかと考え
ています。
今後もご指導をよろしくお願いします。

**************************************

○○です。

遅れレスですが、あの写真だけですからはっきりは分からないのですが、HDだけ
どHDのcalcifiedって感じはしないんですが、どうでしょう? PCKに合併のHDだ
からって訳ではないんでしょうがHD歴はまだ短いようですし現時点でcalcified
と決めるのは違うかも、って思います。
ただ、アンギオで見えないからと言って石灰化がないなんていえませんから結局
ロータブレータ stand-byでIVUSなんですが。
でもロータブレータなしでもできる感じもするんですけどね−−−。
参考にならない意見で申し訳ありません。

**************************************

○○です

こういう病変こそIVUSの威力が発揮されるんだと
思います

**************************************

皆様、はじめまして
この度お世話になることになった○○病院の○○と申します。
TRA-netに参加させていただくにあたり、自己紹介させていただきます。

氏名:○○
勤務先:○○病院
小さな個人病院です。
3年ほど前からTRAを行っております。

TRA-netの皆様のご指導でいろいろ勉強させていただきたいと思っています。
ではよろしくお願い申し上げます。

**************************************

○○です。  

最近忙しさにかまけてResが少なく申し訳ありません。
さて、症例は76才男性です。ACS+急性心不全にて11月10日に挿管とIABPサ
ポート下に緊急PCIを施行し、#7proxと#2proxに各々3.0mmと4.0mmのステ
ントを留置した症例です。術後経過は良好で11日には心不全から離脱し12日に
IABPを抜去しました(CPK:1700)。急変は13日零時33分55秒に突然高度
AVBが生じました。(零時30分と33分54秒のモニターを添付します。)全く心
室波形が認められず、CPRにも心室の反応は無く†されました。使用薬剤はリドカイ
ン(持続)カテコラミン(持続)ハンプ(持続)シグマート(持続)ヘパリン(持続
:ACT200ぐらいを維持されていた)。腎機能障害があり血清K:5.2とやや高い
(但し前日も5.1で不整脈なし)。私を含めスタッフにはこの症例のように心室波
形が無く抑制された高度AVBが突然生じた例を診た経験が無く原因が不明です。どな
たか御意見いただけませんでしょうか?

0時30分
0時33分54秒


**************************************

○○です。

○○先生の症例はたいへん珍しいケースだと思います。
心電図から推測すると、PQ間隔がわずかに延長し、心室内伝導障害があるように見え
ます。おそらく、LADの近位部の障害に伴う右脚ブロック+左軸偏位型の心電図だった
のではないでしょうか。それが3束ブロックになり、完全房室ブロックになったもの
と考えられます。教科書的にはtemporary の適応なのでしょうが、このくらいであれ
ばtemporary は入れないで様子をみてしまいますよね。ましてやPCI が成功している
のですから...。
全く下からの補充収縮が出ないと恐ろしいことになるのですね。
貴重な症例をありがとうございました。

この心電図のあとはEscapeがずっとでなくて、いきなりVFだったのでしょうか?

**************************************

○○です。

○○先生の御意見に同感です。
ただ、奇異に感じるのは、責任病変が#7であることと、
高度な心室内伝導傷害を引き起こしたわりに
CKの値があまり大きくないことです。

この症例は、OMI(A)の既往があるか、あるいは
今回の梗塞発症前から2束ブロックがあったのでしょうか?
病歴、12誘導心電図などはどうでしょうか?

補充収縮がでなかったことに関しては
(ひょっとすると、完全房室ブロックへの増悪に関しても)
リドカインが影響していたかもしれません。

高度な脚ブロックがあれば、当然 Iaの使用は躊躇すると思いますが
Ibは、おそらく必要があれば使用することがあると思います。
この症例からは、Ibに関してもリスクを考慮すべきと
教えられました。

本当に貴重な症例をありがとうございました。

**************************************

○○です

○○先生、予期せぬ事態に、さぞや悔しい思いをされたと思います。もちろん患者様
も、
、、、さていくつか教えていただきたいのですが、まず今回のACSはLADでしょう
かRCAでしょうか?○○先生と○○先生のレスではLADを重視されているようですが、
もし今回の心筋障害がRCAから来るものであれば、単純に突然の完全房室ブロックも
説明がつくのではないかと思います。モニター波形ではありますが、0時30分のQRS波
形とアレスト直前のQRS波形が全く同じことからSATはまず考えられないと思います。
自分も過去に#15PDの付け根の詰まったAMI maxCPK1000の患者が退院直前の発症6日
目に突然完全房室ブロックになった経験があります。確かに発症時AV node arteryを
巻き込んでいたのですが、ずっとAV blockは出ていませんでした。おそらく水腫様変
化で腫大した梗塞心筋が機械的圧迫などで刺激伝導系を障害したのではないかと考え
ています。(病理専門の方、間違っていたら教えてください)。ちなみにその方はH
R30で固有心拍が出ていたので、ペーシングリードを挿入し2日目にブロックは治
癒しました。この患者様も同じことを起こしたのかもしれませんね? こういった急
変時にうちではペースメーカーリードを入れるまでの間、体表面ペーシングを行うこ
ともあります。大胸筋がピクンピクンして手技もやりにくいのですが、やはりアレス
ト直前のQRSはしっかり圧波形も出ていることからペーシングの効果は心臓マッサー
ジよりも絶大だと思います。最近では除細動器にこの機能がくっついているものもあ
るので、皆さんも機会があれば使用されてみてはいかがでしょうか?

**************************************

○○です   

○○先生、○○先生、○○先生Res有難うございました。まず、心エコーにて壁運動
異常を前壁中隔に認められており責任冠動脈はLADと判断しました。○○先生や○○
先生の御指摘のごとく2束ブロックは帰室時より認めておりましたが、御指摘のPRの
延長を入院時には認めていなかったと記憶していたので急いで心電図を全て取り寄せ
ました。11月10日CCU入室時の心電図ではPR延長を認めませんが、なんと11月
12日の心電図ではPRが延長しQRS幅も拡大しています(添付ファイル)。つまりは
心筋障害が進行し2束ブロック→高度ブロック→3束(房室)ブロックへと移行した
ようです。12日の時点でバックアップペーシングを挿入すべきだったと反省してお
ります(主治医にシリアルに心電図をチェックさせるべきでした)。○○先生の御指
摘のように我々もリドカインが何らかの関与していると考えておりましたが、この経
過であればプルキンエ以下がずたずたに切れてしまったのかも知れません。ちなみに
本症例はこの後VFにすらなりませんでした。また、この症例を経験して○○先生の指
摘された体表面ペーシングつき徐細動器の購入を機種選定委員会に届ける意見を出し
ましたが使用頻度が少ないだろうということでなかなか採択は困難な状況です。

11月10日
11月12日


**************************************

○○です

AMI(ant)でもまれにCAVBになるケースがあります
ただし○○先生の様に心室調律がなくなるケースは経験したことが
ありません
CCU勤務が長かったので少し調べてみましたが
前壁梗塞では少ないですが、もし発症すれば
予後は不良みたいです
○○先生と同じような症例を以前に経験しましたが
CAVBのみで心室調律のなくなることはありませんでした
ただ、その人は教科書と同じように2ヵ月後に
院内死亡しました
AMI(inf)のCAVB合併例でVPSが多発するのでリドカイン
使って、同じような心電図になた事はあります
AMIでは使用する、抗不整脈薬の使用には注意しています
この症例でもし、リドカインが関与していないのなら
次にはVSRかFree wall raputreを疑います

**************************************

○○です

○○先生への質問ですが
対表面ペーシングって本当に有効ですか?
うちにもずいぶん前からあるのですが、有効だと
思った経験がありません
使い方の問題でしょうか? うちにも2台ありますが
それより早くペーシングを入れるように指導しています
たしかにVT,VFを繰り返す人には対表面プローべ
付けていますが、アレストになって有効だった記憶がありません
使い方の問題でしょうか?

**************************************

○○です。

○○先生の御指摘ですが、私の経験では(いままで4回ぐらいしかありませんが)ちゃ
んと心拍動は得られます。ただし、VT,VFを繰り返してアレストになる様な症例
は、それなりに心筋障害があったりacidosisになっていたりで効果はないかも知れま
せん。でもきっとこういう時って、しっかりペーシングリードが右室に入っていても
反応しないですよね?
純粋なアレストタイムが短く心臓マッサージが有効であれば、刺激にのると思います
よ。少なくとも今回のこの症例はアレストになる直前の一拍はきちんと血圧の出る有
効収縮だったわけですから、先生の御指摘の通りfree wall raptureとかVSRの様
なmechanical complicationでなければ効果はあると思います。
私が有効と考えた点は、どんなに早くブラインドでペーシングリードをいれても体表
面ペーシングの作動開始の方が早いと思います。そのあとゆっくりペーシングリード
をいれればいいかな?って思ったりもしますが、、、
ちなみに私の経験した4例ですが全例下壁梗塞の完全房室ブロック合併で来院時血圧
が60−70ぐらいの人でした。心カテ室が使えるまでの間(当時は連絡してから30
分から1時間ぐらいかかっていました)に血行動態を早期に回復させる目的で使用し、
ちゃんと刺激にのって血圧も上昇していました。(そういえば確か心筋が反応するま
でoutputを上げていったような覚えがあります)
でも確かこのパッドって結構高かった気がしますし、患者さんが痛がるんですよね。

**************************************

○○です。

○○先生Res有難うございました。

> ただし○○先生の様に心室調律がなくなるケースは経験したことがありません。

かなり珍しいケースだと思います。

> 次にはVSRかFree wall raputreを疑います

心マ中の心エコーではVSRやFWRは無かったと当直医から報告を受けております。

**************************************

○○です

体表面ペーシングの使い方の差でしょうか?
AMI (inf)に合併したCAVBで、血圧60−70でHR30の様な
症例にはあまり使用したことがなく、そのままペーシングを入れてから
カテといった経過で処置しています

あのパットはペーシング付はかなり高いので、予防的(VT,VF)に
頻回に使用していたら師長さんに怒られたことがあります

**************************************

○○です。

北京での夜の研究会で刺激され入会させていただきました。
○○医大でのTRIは20%程度に低迷していますが、徐々に増やしていくつもりでいま
す。
これまではROMのみでしたが、どうぞよろしくお願いします。

**************************************

○○です
>
> 久々の登場です。
> 昨日の当直で、○○先生の貴重な体験が参考になるような場面に遭遇しました。
> HCM+chronic Afのある45歳女性で、rate controlは難しかったようです。アーチスト

> 少量入ってましたが、アミオダロンは使ってません。二日前に突然の心停止となり、

> 急隊が到着するとVfでした。150〜200Jでは除細動できず、CPCR下に搬入されまし
た。
> 急患室ではVfと心室調律の繰り返しで、キシロカイン、マグネゾール、インデラルを

> えて10回くらいDCをかけても止まらず、シンビッドを0.3mg/kg加えて除細動に成功し

> した。

おっと、間違って途中で送信してしまいました。続きです。
除細動後はwide QRS+高度洞徐脈+房室接合部調律or心室調律で、血圧も不安定、脈
拍60〜40bpmという状況でした。一時ペーシング挿入しICU入室となりました。入室後
はしばらく安定してましたが、低酸素性ミオクローヌスと思われる痙攣が出現し、主
治医はアレビアチン250mgをivしたようです。その後にQRSが200~250msecとなり、ペー
シング不全が一過性に出現、というか、まったく心室波形が出なくなりました。たま
たま当直で呼ばれ、ペーシングを12Vまで上げましたが反応無く、CPRを続行しま
した。どうしようか考えていたら、○○先生の症例や体表ペーシングの話が出てたのを
思い出し、さっそく貼り付けてみました。するとしっかりSBP 150~170の圧が出るじゃ
ないですか。ほんとに有り難かったです。

この症例のペーシング不全の原因としては、HCM+Afによる心筋障害、頻回のDCによ
る障害、抗不整脈剤による心室内伝導抑制、最初のショック状態で心筋虚血が広がっ
たこと などが考えられそうです。プルキンエレベルまで障害されたら、心内膜をピ
ンポイントで刺激する一時ペーシングでは、このような事態になる可能性もあるのか
もしれません。その点では、心筋全体を刺激する体表ペーシングのほうが有用ではな
いでしょうか。ただ、心室収縮は生理的な形にはならないでしょう。

**************************************

○○です。

○○先生は、私の学生時代からの同級生です。○○先生ようこそTRA-netな世界
へ。いまやこの業界でそれなりの影響力を誇るTRA-netですので、オフラインでも是
非御参加ください。とは言え、先生の現在の御環境はかなり大変なようですので、な
かなか学会やライヴに参加する機会が限られるのでしょうね。私も○○1年目(今から
2年前)のころは、苦労しました。ただしそう言いつつも、当時の上司であった○○先
生のご好意で、ボスを留守番にして結構お出掛けしてましたが…。最近同門の先輩方
や同級生のTRA-net参加が相次ぎ、大変嬉しく存じます。その分緊張感も増して来ま
した(笑)。

極めて御多忙と存じますので、御体ご自愛の上御活躍下さい。

**************************************

 はじめまして。TRA-netに入会してはや1カ月、ご挨拶もせず、大変失礼しました。
何か、気の利いたことをと思いながら、ずいぶんと月日が経ってしまいました。
 
 H5年○○大卒、○○大循環器内科に所属しています。
 H14/4月より、前任の○○先生と交代で○○病院に赴任いたしました。
H14/4-9月末までの6カ月間のCAG件数は302例、PCI件数65例、うちAMIは45例でした。
まだ、赴任したばかりですので、待機的PCIはEasy caseを選んでPCIをしていますの
で、PCI件数は、
○○先生の時代より若干減少しています。
 
 TRA-netの話題は、いつも大変勉強になっております。
 まだまだ、初心者でわからないことばかりで、これからはいろいろと質問すると思
いますが、
宜しくお願い申し上げます。

**************************************
○○です。

○○先生、とってもタイムリーなんですが、11/15○○病院にお邪魔してきまし
た。
○○病院は私にとりまして最も近いTRA-net関連施設ですので
とりあえず一度ご挨拶しなくてはと思い、お忙しいところお邪魔させて頂きました。

○○先生、○○先生、研修医の先生の3人で切り盛りされていました。
○○先生はとても穏やかな先生で○○出身の鏡のような方でした。
とても厳しい状況で働いてらっしゃるにもかかわらず、切れることなくいつも冷静で
いらっしゃるそうです。
○○先生は私とは同じ○○医科大学の出身で学生時代からよく知っていました。しか
し、こんな近くにいらっしゃるなんて知りませんでしたのでとても懐かしくお会いさ
せて頂きました。

年間PCIが120、そのうちAMIが80だそうで、それを3人で回すご苦労お察しいたしま
す。
しかも時間外の緊急は技師さんが出てきてくれないそうで・・・
ますます、お気持ちお察しいたします。
○○先生が”もう少し人がいれば症例も増やせるんだけど・・・”と仰られていまし
たが、病院が医師の枠を増やしてくれないのだそうです。

当院も国立病院ですのでカテ枠の制限が強かったり、医師へのしわ寄せが強かったり
するのですが、○○先生のお話を伺っているとうちって結構恵まれてるかも・・・と
いう気がしてきました。

平日のお昼だというのに食事にまでお付き合い頂きありがとうございました。
機会がございましたらお伺いさせてください。
また、○○へお越しの際は(古い病院で申し訳ないのですが、)是非お立ち寄りくだ
さい。

**************************************

○○です。これから初日のセッションにでかけますが、シカゴの外は雪
がちらついていて、とても寒そうです。

>しかも時間外の緊急は技師さんが出てきてくれないそうで・・・ますます、お気持
ちお察しいたします。○○先生が”もう少し人がいれば症例も増やせるんだけど・・
・”と仰られていましたが、病院が医師の枠を増やしてくれないのだそうです。

自分も国立大学病院で勤務した期間があるので、先生のお気持ちはよくわかるし、そ
うした経験も多数ありましたが、最近はむしろ、どうしてそういう(時間外は働かな
いなどという)勤務態度がまかりとおるのか、という疑問の方が強いですね。そうい
う文句をいう人に限って、そのくせ、普段はチーム医療などどいう輩が少なくないで
すが、チーム医療というなら、勤務時間外も、夜間・休日もチーム医療してくれない
と、矛盾になります。

僕は、一年半前に、○○を引き受けたときから、ここだけは、何としても絶対にゆず
れないとおもってきました。世の中、桂のYさんとか、星総合のSさんとか、凡百の医
者なんかよせつけない凄い実力をもったコメディカルの人もいらっしゃいます。何と
か、そうした人達に少しでも近づいて欲しいと思いました。

放射線技師さんの仕事は、現像ではなく、被爆防護への配慮に加え、LVEFやQCAなど
の計測業務とデータベース構築、MEさんの仕事は、心電図を張ることでなく、やはり
データベース構築にあることを口を酸っぱくしていってきました。IVUSも、ギャラク
シーがきて操作がやさしくなってから、保険でお上から正式に認められた器械(つま
り、単なる研究目的で医者が道楽・趣味でやっているわけではない、という意味)で
あり、放射線を使用しない以上、QCUを含むデータ処理はすべてMEが担当するのが当
然だといって、実際そうさせています。(悪意はないにせよ、結果的に)さぼってい
たのが発覚したので、大目玉を加えたこともあります。さいわい、以前、見学にいら
した方が指摘されたように、こうした私の意向を理解してくれて、全力で頑張ってく
れる素晴らしい放射線技師さんがいるので、今のところは何とか上手く行っているよ
うです。

緊急に際しては、医者がそうである以上、みな、それぞれ、on callのものがでてき
ます。そもそもそうした環境を作ることが、院長以下、病院管理者のまず第一の努め
であると思います。それをしないでおいて、医者だけで夜PCIをやれというのは、随
分身勝手な病院管理者側の理屈でしょう。

すくなからぬ病院、とくに国公立大学・病院や歴史のながい私大で、コメディカルの
ある意味でのサボタージュともいえる勤務態度がまかり通り、すべてが医者に押し付
けられている現状が何とかならないものか、ここを何とかしない限り、日本の医療の
改善は見込めないのではないか、というくらい思っている昨今です。

**************************************

○○です

○○先生に大賛成です
うちも何時からか(私の研修医時代にはすでにそうでした)
時間外の緊急はDrだけです
放射線技師さん、看護師さんは誰も付いてくれません
あげくの果てに使った器具の伝票書きから、ごみ捨て
床掃除まですべてやってから帰宅します
MEさんなんて、カテ室には誰も勤務していません
そのくせ、MEの学生実習はカテ室でしていますが
学生さんにはこういう仕事もあるんだよと、教えていますが・・・
おそらく兵庫医大では一番、メジャーでおそらく一番症例数の
多い検査、治療ですが・・ やはり病院の体質は改善できません
病棟もしかりです・・・・
そのくせチーム医療、クリニカルパス(これもすべて私が
作りましたが)という言葉はやたら口にします
なんとかしないと思ってはいますが
カテ室でもQCA, IVUS, データーベースすべて我々の
仕事です
これから少しずつでもいいから改善していきたいと
思う今日この頃です

**************************************

○○です

追加レスです
でも、最近 ようやく放射線技師さんたちと放射線防御
についての、様々な試作を試しています
できれば鎌倉ライブの米米クラブでご披露します

**************************************

○○です。

どこも、大変ですね。

> 時間外の緊急はDrだけです
> 放射線技師さん、看護師さんは誰も付いてくれません
当院は、技師さんはシネのスイッチを入れに来てくれます。
それだけです。
...それだけでも、ありがたいの思うべきなのでしょうね。

> おそらく○○医大では一番、メジャーでおそらく一番症例数の
> 多い検査、治療ですが・・ やはり病院の体質は改善できません
大きな組織は難しいのでしょうか...
私達も、国立大学という巨大な組織に立ち向かう根性も無くなってきています。

循環器医師は、魔法の小人のように働き、「朝、ご主人が起きたら患者が綺麗に治っ
ていた」というのが管理者のご希望のようです。
魔法の小人は無償のボランティアで、ご褒美も無し。
しかも、治療は金をかけちゃぁダメ!(だって、魔法なんだから!?)
さらに、何かトラブルがあったら小人の責任。
ギリギリ、ボロボロまで働かせて、必要が無くなったらポィッ!

さらに、当院では魔法の小人が仕事をしすぎると怒られるおまけ付きです。

小人と言うよりは奴隷ですか?

**************************************

この度入会させていただきました○○市立病院
の○○と申します。
数年前より診断、PCIともradial approachで行なって
いますが小規模施設でして、まだまだ経験不足です。
みなさんの意見を拝聴させていただき勉強して行きた
いと思っています。
よろしくお願いいたします。

**************************************

○○です。

私の場合はブロックの進行に気づかず体表面ペーシングも準備できていないなど未熟
な点が多く恥ずかしく思っておりますが、私の経験が何らかの役に立てたことをうれ
しく思います。

**************************************

○○です。

いつも忘れた頃に返事を書くので話題は完全に変わっているのですが体表面ペーシン
グで最近経験した症例です。
70歳過ぎの女性でケイレン発作で入院し最初脳外科の医者が呼ばれICUに入室後のモ
ニター心電図で高度房室ブロックが発見されました。入院後も心室停止となり何回か
失神発作があったようですが、ICUの看護婦が体表面ペーシングのことを脳外科医に
伝えて使用しました。僕が病院に着いた時は疲れきった脳外科医が大量の硫アトの空
瓶の前で「体表面ペーシングは薬の何倍も役に立つ。」と絶賛していました。確かに
本人の不快感は別にして緊急時には有益のようで脈はよく触れてました。
循環器科医はすぐにペーシングを入れてしまうのでこの分野に関してはナースの方が
エキスパートでした。

○○先生のメールを読んで3年前のことを思い出しました。私も以前いた某私立医大
病院では医者だけで緊急カテをやっており患者のムンテラをして、シネとポリコー
ダーの立ち上げをして、注射器で薬を吸って、伝票を書いて、カテをして、すべてを
片付けてモップで床を拭いた後に患者の家族にムンテラをしていました。現在パラメ
ディカルの協力してくれる病院で働いていると本当に医者の負担が少なくて楽である
と感じます。
過酷な環境にある全国の先生方負けずに頑張ってください。(しかし日本のこういう
状況は本当に不条理で本来の力を全部医療に注げれないのは医者にとっても患者さん
にとっても不幸なことと思います。)

**************************************

○○です

 国立(含大学)病院だけかと思っていたら県立病院系でも「公務員」が浸透してい
るようですね。I県K市ではすでに緊急PCI体制からK大学病院は外されているように思
いますが、されでも偉い先生方は「救急体制に寄与している」と思っている節もあり
ます。一部のコメディカルなどはK市で一番レベルが高いと信じているようです。サ
ラリーのレベルは高そうだけど。

> 小人と言うよりは奴隷ですか?

 大学病院にいたときはただの(病院にいるはずのない)医員だったから1週4日の日
雇いでした。当直・時間外手当と称するものが給料から医員の数で割った分だけさら
に召し上げられていたことも懐かしい(?)思い出です。
医局秘書さんに「先生、今月は9万円です」とかいわれて、給料の半分以上払ってい
た日々…(-_-x)。

**************************************

○○病院

○○先生。初めまして、小生は○○医大の11期卒業になります。
○○で“義務年限”を果たし、今は縁があって○○におります。
同僚が○○医療センターでお世話になりました。
一応○○医大循環器内科の“幽霊研究生”でもあります。
○○医大の研究生は年額が少なくて助かっております。
決して値上げをしないで下さいね。

TRA&TRI率だけは90%越えて頑張っております。
心外がないのでロータが必要な症例はしないので
その程度の数字になるのだと思いますが。
カテは違う畑で教わったので、なかなか大学に入りにくい感じで
おりました。今後はお近づきできればと思っております。
どうぞ宜しくお願いします。

**************************************

○○です。
さて、今週の興味ある症例です。月曜午前の私の外来の終わりに、69歳の男性が不安
定狭心症で独歩来院されました。 15年前に都内の他医でCAGをして2枝病変と言われ
内服加療、1週間前から安静時にも胸痛を繰り返し、日曜日はGTNを20錠使用したそう
です。来院時前胸部誘導で不吉なST低下と、徐脈傾向、軽度のQT延長があり、心筋
マーカー軽度陽性で直ちに緊急CAGとしました。不吉な心電図でしたが、やはりCAGを
見てびっくりで、small RCA1-CTO, LAD6jp-CTO, Dominant LCx11-99% thrombus、造
影だけで徐脈、血圧低下、高度のASOでIABPがようやく入る状況です。あいにくボス
はAHA出張で不在で、助手に入ってくれた若手と、あわててかろうじて触れるカター
イ右ソケイを穿刺し、IABPを無事挿入しました。余談ですが、このようなASOがらみ
で、IABPが簡単にはあがりにくい症例は、導入用GWが0.025で多少はサポートがあ
り、かつシャフト自体も硬いトーカイが良い、と改めて実感しました。

7F EBU35 TRIでLCx11へ素早くバルーンステント、トライスター3.5mm/23mmを植え込
み、NCビバ16気圧15秒で4mmにそろえ、IVUSでMSA 10 square-mmを確認、LCxがfixし
てからそのままLAD-CTOを開けに行きましたが、LAD6jp-CTOはIntermediate不通過で
断念しました。とっても困ったのですが、造影剤もそれなりに消費しましたし、仕方
なくIABP下にCCUへ収容しました。

第2病日にIABP駆動下にカテ室へ降りて、再度左上腕から造影してみると、LITAは予
想通り見事に足へ行っています。IABP越しに腹部へカテを下ろして、腹部〜下肢動脈
のDSAを行うと、左は総腸骨で完全閉塞でした。右は我ながらよくIABPが上がったと
思えるほどの分岐部直下の高度狭窄で、足が温かいのが不思議な状況です。右上腕を
穿刺して造影したら、幸いにもRITAは大丈夫でした。私なりにLADへの再トライは、
形態と閉塞長から勝算が低そうであり、かつASOのためIABPは何日も粘ることを許し
てくれる状況ではなく、圧迫止血で安全にIABPが抜去できる状況ではないと判断し、
ボスが不在ではありましたが、私なりの判断で外科へ相談しました。ウチの外科はこ
ころよくこの症例を引き受けてくれたのでした。

木曜の2例目(予定のA弁置換の後)の枠に緊急で入れて頂きました。 まずはRITA+RA
のcompositでLADとD1へOPCABを行い、その後IABPを離脱しつつ足の血行再建を行いま
した。型どおりのOPCABが終了後、IABPをウィ-ニングし、外科的に抜去しました。そ
こで内科チームが合流し、右の総腸骨へPTAして8mm/100mmのEasy Wall Stentを植え
込みました。術中イメージ装置で結構良い画像が得られますので、術場でそのまま
ITA造影も行ってみました。外科はLADのフローメーターのデータが悪いと言います
し、その時点では必要であればそのままITA越しにPCIしようと思い、外科チームの快
諾を得ました。GCを慎重に右ITAへ入れ造影したのですが、幸い吻合部および末梢に
も問題なく、1.0mmのLADには綺麗にRITAが入っており、composit RAで吻合したD1も
問題なく、PCIは追加不要でした。

そこからASOへFFでバイパスを入れる予定でしたが、特にCTOである左の抹消の
Run-offが絶望的に悪く、今日はここで終了となりました。昼過ぎから始まった手術
でしたが、18時30分には終了し、19時過ぎにはICUへ帰ってきました。

今日ICUで患者さんと会って話して来ました。両側のソケイの傷の痛みと、右下肢の
シビレ感を訴えますが、足はまた心臓が落ち着いてから再評価して治療を考えましょ
う、と説明し承諾されています。明日か明後日には一般病棟へ上がれそうです。

さすがにGTN20錠の患者さんで、我慢強いのは大いに助かるんですが、最近我慢の限
界を超えてはじめて、来院する比較的若い患者様が非常に多い印象です。こんな所に
も今の日本の経済状況が関係しているのかも知れません。この症例は、落ち着いたら
どこかで提示しようと予定しています、またその折にでも画像御参照の上、御討論頂
ければ幸いです。乱文長文誠に失礼致しました。

**************************************

○○です。

ひどい症例をちゃんとbail outできたのでよかったんですが、アンギオも知らず
に言うのもなんですが、LCXがremaining one vesselでACS culpritですよね、こ
れは拡張せずにCABGじゃないですか?
もし、distal emboliになったら、どーしてました???

それと後拡張で大きくするのもこのような状況では止めといたほうがいいとも思
います。

でも、本当に何もなくてよかったですね。

**************************************

○○です。

○○先生コメント有難うございます。
書きそびれましたが、もちろん最初にIABPを入れつつ外科をカテ室に呼んでます。
その上でウチにはCABの術者は1.5人いるんですが、
彼らのスケジュールを聞きつつ、早くてOR入室が3時間後だったので、PCIを行いまし
た。
最後の1枝であることは十分認識しつつ手技を行っております。

後拡張の件は、あとから冷静に考えると、やるべきでなかったと反省しております。

今後とも宜しくお願いします。

**************************************

○○です。

10月末まで、○○医大本院にて○○Drとともにカテをしてきましたが、
11月よりデカンショ祭り、ぼたん鍋で有名な○○市にある分院に配置換えとな
り、カテチーフとしてTransradial中心にPCIを行っています。といっても、赴任後
やっと1例PCIをこなしたところですが・・・
現在は2年目の研修医をアシスタントにつけてカテを行っており、他には誰もいませ
ん。本院でのにぎやかなカテが懐かしい感じがしています。

今、直面しているのが前任者の遺産=私の使ったことの無いカテ・バルーン(2バー
ジョン前ぐらいの製品群)をどうするかです。少しずつ入れ替えていってますが、結
構大変です。
あんまり使わないけどこれは結構便利やで!というものがあったらお教え願いたいと
思います。

**************************************

○○です。

> 書きそびれましたが、もちろん最初にIABPを入れつつ外科をカテ室に呼んでます。
> その上でウチにはCABの術者は1.5人いるんですが、
> 彼らのスケジュールを聞きつつ、早くてOR入室が3時間後だったので、PCIを行いまし
> た。
> 最後の1枝であることは十分認識しつつ手技を行っております。
時間の問題ではないですよね、no flowになった時のリスクと3時間待つことのリ
スクの判断に依存することになると思います。

こんなことを書くのも、僕自身過去に痛い目にあっているからです。その症例は
ほぼremaining oneのLADのmidの狭窄病変で、不安定化していたためPCIを行った
んですが、S1分枝してからの屈曲病変でwire通過が非常に困難でそのうちfalse
lumenに入ってしまってflow低下 > 血圧低下となり本当にどうしようもなくなっ
てemCABGとなった症例でした。僕の唯一のemCABG症例なんですが本当に反省しま
したしremaining one vesselの怖さも心の底から実感しました。

さらに僕らのするPCI治療というのはどうやってもdistal emboliのリスクを回避
できない手技ですよね、そのことからもremaining one vesselに対するPCI治療
の適応は非常に慎重になるべきだと思います。手技を行うときに十分に認識する
よりも、手技を行う前に十分に認識する必要があると思います。

以前の○○先生のように、よく知ってる○○先生なので書かせていただきました。
○○先生、耳が痛かったらごめんなさい。

では。

**************************************

○○です。

アンジオをみた人間として、一言。

最後の1枝は、non-protected LMTよりこわいことは十二分に認識しております。怖い
思いにも何度もあっております。また、(やってみるまではわからないのはいうまで
もありませんが)no flowにいかにもなりそうなLcxではありません。

先生の議論の前提には、3時間待つリスクの評価ももちろんですが、no flowになって
死亡するrisk>緊急バイパスにおける平均的死亡率 ということが必要かと思いま
す。ウチ心外は、非常に上手だと思いますが(原則、オフポンプ・動脈グラフトで完
全冠血行再建してくれます)、それでも、いやしくもIABP作動下でASOの合併した緊
急バイパスである以上、手術死亡率1%未満、というムンテラは行かないと思います。
no flowになるriskは、アンジオを見るかぎり、1%あるようには見えません。

我がIVUSの師匠、○○先生に対してですので、あえて、ご批判は覚悟で、かかせてい
ただくと、どうも、私達PCI業界の人は、自分のPCIに伴う合併症で何かあると非常に
後悔する反面、バイパスにおくってしまって何かあっても、それは外科医の問題で、
仕方のないことだ、と済ませてしまう傾向がありませんか?

自分はAHAで留守にしていましたが、自分が術者であっても、Lcxは断固としてあけに
行ったと思いますし、Lcxがfixしたことを確認した後、それだけで終わらず(結果と
して不通過に終わったとはいえ)LADのCTOまで果敢に攻めに行った○○先生に拍手し
たいと思います。

それでは、明日は八戸でご一緒ですが、お互い、頑張りましょう。

************************************** 

第54集


**************************************

○○です。  

また、お世話になります。ご相談です。

75歳男性、risk factor: HT, HLです。
3ヶ月前にLAD justにDCAしました。dissection出来たためLAD justにML:3.5×15mm
入れたところLCxへplaque shift、LCx justにもTristar:3.5×8mm入れました。もと
もとLCxには狭窄はありませんでした。
いずれもjustに入れてますが、LMTには出てません。IVUSではいずれもStent径
3.3-3.4mm程度です。
ただし、LADへのDCAのときdissectionができ、一時的にtotalとなり、LAD areaは
minor MI起こしLVGでは#2,3:hypokinesisとなっております。
RCAは病変ありせん。

今回3ヵ月後のF/Uでした。最近、effortでchest painあるとの事です。
LAD、LCx take offはいずれも90%のISRでLMTは75%へprogressionしていました。
いつもながら見えにくい画像ですみません。
それにdegital変換を頼んだら画像が切れてました。
この患者さんの治療方針についてご相談です。
@DCA(LMT-LAD)+KBT
AStent(LMT-LAD or LCx)+KBT
BStent(LMTのみ)+KBT
CCABG
DHyblid(MIDCAB+PCI to LCx)
個人的にはA(今回は大きなステントで)がよいのではと思うのですが、いかがで
しょうか?
ご意見お聞かせ下さい。宜しくお願い致します。



**************************************

○○です。
朝の便で、八戸へ行くのに時差ぼけで今ひとつ眠れない です。
たまたま目覚めてしまい、やめときゃいいのに、メールチェックしたら、変なのみつ
けちゃいました(○○先生、ゴメンネ!)添付の画像ファイルをみても、まっしろな
ので、想像だけで物申します。

これは、そもそも、最初LADにdissictionできたとき、LMT-LADにLCxをまたいでステ
ントし、KBTし、plaquシフトについてはKBTのみでLCx入口部は25-50%くらいで
もじっとこらえ、LCxへのトライスターを避けるべきだったケースなのでしょう。

一度目の再狭窄、というかLMTへのprogressionなので、保険も許してくれるように
(?)、あと一回くらいは、もちろんPCIで行きたいことろです。僕も、
AStent(LMT-LAD or LCx)+KBTに賛成です。ステントはもちろん、普通のLAD/LCxの
大きさならLMTーLADです。よりMLDをとるため、プレにDCAしたいことろです。LAD方向
のマルチリンクを削るだけならいいのですが、LCx方向にもカッターをむけてトライ
スターの一部もとからないといけないのなら、それでトライスターがささくれだして
しまうと、あとバルーンruptureの連続になる可能性があるので、増殖組織の方向性
をみて、LCx入口部を削らないでよいのなら、やってみたいところです。というか、
そちらの方向に手をつけずに、沢山組織がとれそうなら、DCAしてみたいです。

ただ、6ヶ月でなく、3ヶ月でこれだけmalignantな再狭窄を起こしたわけですから、
もう一度、悲しくなるような事態(たとえばどこにせよdiffuseやproliferativeな
ISR)が生ずるならoff-pump CABGでしょう

できたら、もう一回、画像アップ頑張ってみてください。だけど、今日はこれから八
戸でモバイル環境なので、100k以下くらいでね! 自分は頑張って自もう少し眠るこ
とにします。

**************************************

○○です

寒い八戸で昨夜飲み過ぎて少し二日酔いです
○○先生の症例は3ヶ月でここまで再狭窄するなら
やはり、あきらめてCABGに送ると思います
ただ、もし再狭窄なのでもう一回がんばるなら
Aでしょうか・・

**************************************

○○です。
○○先生、がんばってますね。
自分で片づけないといけないなら、バイパスでしょうね。

先日の症例を報告します。
53歳 女性 AMI with complete AV blockでドクターカーにより搬入されました。
緊急カテにて#2 total。PCI開始。wire passでantegrade flowがみられ、楽勝
パターンでPercueSurgeで吸引したところで、吸引不能となりました。カテの圧が出
ない!!。もしかして、と思ってシステムをそのまま抜去したところ、カテ内に血栓
多量!!。吸引したサンプルもすでに凝固してました。外回りに確認したところ、ヘ
パリンであることは確実で、10mlも抵抗なくivできたとのこと(この症例は行きがか
り上末梢投与)。患者はショックとなり、造影上#2から#4まで血栓びっしり状
態。ACTは168秒(ヘパリン10000単位後)。アナムネでは、流産の既往あ
り。抗リン脂質抗体症候群?それも劇症型?、HIT?。アルガトロバン投与してPCI続
行しました。血栓の処理に難渋し、coronary flowがなくなればブロック・ショック
であり、祈る気持ちでステント留置となりました。最終的には、メタリックRCAに
してしまいましたが、何とか灌流が得られて終了(3時間後)しました。カテが終
わった後、シーツをはぐと、左手が腫脹!!!!(怒り+脱力)。でチャンチャンで
した。途中から血栓が処理しやすくなったのは皮下注したヘパリンが吸収されだした
からなのでしょうか。

みなさん、電気製品の電源が入らないときには、コンセントの確認をまずしましょ
う。という教訓的症例でした。

**************************************

○○です。

本日、JSIC live back stage へお邪魔してまいりました。
○○先生、お疲れさまでした。
Liveってメイン会場にテンポを合わせなくてはならないので、○○先生も少しやりにく
そうでした。
見ている側としては少しアドレナリン産生が亢進するような場面もありましたが、押
しなべてスムーズな理屈のあるstrategyだと感じました。とてもよかったと思いま
す。
私ももちろん勉強になりました。週明けのPCIに早速使わせていただこうと思ってま
す。

○○先生、○○先生、○○先生早速のresありがとうございます。
ご意見を参考にして、よくよく検討させて頂きたいと思います。

ところで○○先生、文章画面の右上のクリップマークをクリックしても開きませんか

文章画面内では白紙ですが、クリップマークから開けるのではないかと思います。

**************************************

○○です

八戸はやっぱり関西人には寒かったけど
TRIをしている我々に本当に勇気と技を見せて頂いた
素晴らしいライブだったと重います
TRIならではのTipsや技の数々・・・・
本当に勉強になりました
○○先生 お疲れ様でした
私、個人的には○○先生にイカリカテを使って貰えて
満足してます
皆様 お疲れ様でした

**************************************

○○です

○○先生 すばらしいStrategyだったと思います
僕も同じ状況では、先生と同じようにしてると思います
それに果敢にもLADを空けに行かれたのも拍手です
いつまでもOCIにこだわらず最終的には外科のお世話に
なるところも大々拍手です

**************************************

○○です。

JSIC九州ライブには行けませんでしたが、八戸ライブに参加させていただきました。
九州TRA-netの先生方のご推薦で、新人の教育ライブの術者をさせていただきました。

LADがOMIの、RCA seg3の偏心性プラークの病変があたりました。
プラーク量は多そうで、やっぱりパークサージって意見が多かったけど、やったこと
ないということもあり、IVUSやって普通にダイレクト ぽんで終わらせていただきま
した。

ライブではやはりしゃべることができず、盛り上げることはできなかったけれど、み
なさんの温かい応援のおかげで、あまり緊張せずにできました。
本当に心強かったです。ありがとうございました。

ほかの症例も普通に自分自身が遭遇しそうな症例が多く、それを一つのカテ室で進行
し、じっくりみせていただけました。
ずっとカテ室にいて各地の先生方のすばらしい手技を直接みることができ、またライ
ブの会場には流れない裏の討論をきくこともでき、ほんっとに勉強になった会でした。
斉藤滋先生の神業的手技には感動しました・・・

(最後の○○先生の症例は一番勉強になった症例とおききしましたが、八食センター
のお魚たちの魅力にどうしても負けてしまい、拝見することができませんでした。
○○先生ごめんなさい。残念でした。)

当日の懇親会では、温泉付きの厚生年金センターで、北海道・関西の先生方と深夜ま
でカラオケで盛り上がり、○○先生を中心にTRIの唄の合唱をしたり踊ったり、挙げ
句の果てには23時半過ぎになって斉藤滋先生の寝込みを襲って部屋に乱入し、1時
半頃まで騒いだり、、、予想以上に楽しい会でした!!

ご心配をおかけしましたが、おかげさまで無事に終了し、、、
今後につながるとっても楽しい経験をさせていただきました。
このようなチャンスをあたえてくださった先生方に本当に感謝いたします。
ありがとうございました。

**************************************

○○です

○○先生 お疲れ様でした
周りが色々と意見の出る中で、淡々と、ポンって
Direct Stentして、もう終わっちゃいましたのコメントは
最高でした!
それに、遅くまで皆さんと盛り上がることができて
最高に楽しくて、有意義な八戸ライブでした
八食センターは皆さんから昨日お伺いしてして、今日
行って来ました 思わず、毛もくじゃらの連れを連れて帰って
美味しく頂きました
○○先生 ありがとうございました
斉藤先生 遅くに押しかけて申し訳ありませんでした
北海道の先生方ありがとうございました
皆様 今後ともよろしくお願い致します

**************************************

○○です

中々教訓的な症例ですね
まさに「電気製品の電源が入らないときには、
コンセントの確認をまずしましょう」ですね
でも、うちも研修医や、カテグループ以外の先生が
ルートを取ってからカテ室に患者さんが運ばれて
来ますので 我々もそこでもう一度ルートの確認は
する必要があるのでしょうね
いつも、太いルートを取ってからカテ室に来るようにと
指導はして、クリニカルパスにも18Gを!と記載してるのですが
入局したての若い先生は22Gを持ちたがるので
いざって時に困ることがあります

**************************************

○○です。

素晴らしいライブでした。昨年のライブも感動したのですが、今年の八戸ライブは更に
一回りパワーアップし、会場の進行に関しても気の行き届いた、全く持って日本を代表
するライブとなった印象を受けました。症例の選択、術者の手技、興味尽きないレクチ
ャー等、ライブとしての基本をすべて押さえながら、TRI、Debulkingなし、といった骨
太の治療方針は曲げない。といった男-○○アニの気合は十分に伝わってきました。

ヒロイン○○先生から始まり、TRA NETのヒーローが次々に登場し、複雑病変をPCI治療
していく、まさにライブの醍醐味を堪能した一日でした。

夜は夜で宿泊所(宴会兼用)の大浴場にまで、隣のスナックからTRI! TRI!(レットイ
ットビーの替え歌)の大合唱がとどろき、その勢いは斉藤茂先生の部屋にまでなだれ込
んでいったということです。

我々ゲストも終始大変リラックスでき、且つ勉強することができました。これも全て菊
池アニのお人柄だと思います。いやはや、素晴らしいライブでした。

**************************************
○○です。

八戸組の人たち、先週末は皆さんお疲れ様でした。

さて、参加された方たちにしか分からないかもしれませんが、大変苦労した最後
の症例についてその後2日間考え続けた内容を今後の糧となれば、と思い書かせ
ていただきます。

まず、ガイドカテーテル、AL1で下に当たってしまい、多分そこが非常に抵抗と
なってwire操作がかなり困難になっていたため、ALはmis-choiceでした。さらに
経験のないIkariを使ったためどの程度deep engageができるか自信がなかったこ
とも問題でした。一度JRを使っておくべきだったと反省しています。

結局deep engageができなかったため5Fのcath-in-cathを選択し、最後は何とか
ステントを入れることができてよかったのですが、やはり5Fはできることがかな
り狭まる、と実感しました。本当に最終的手段にすべきで、今回はwire cross後
にせっかく出していた3.5mmバルーンでanchorしてJRをdeep engageにする努力を
しなくてはいけなかったと思っています。
5Fを使用したためロータブレータはおろか、IVUSも結局できずに終わってしまい
ましたので。

最後に、全く余裕がなくなっていたのでIVUSをせずに終了したのですが、一番最
後の5F inner catheterを抜去後には一度は通過を試みるべきだったと反省して
います。出来上がりのステントの拡張はやはり一部不十分と思っていましたし。

最初のwireがかなり動かない状態で思ったよりこれはかなり難しいと実感しおた
ついてしまった点については滋先生の言いつけどおり高野山に修行に行こうと…
やはりライブは難しい…

という訳で、まとめると、Ikariの前にJRを試すべきだったこと、Ikariでwire
cross後にballoon anchorでdeep engageを(ダメかもしれませんが)tryすべき
だったこと、それがうまく行っていたらやはりこの症例はロータブレータをすべ
きだったこと、そしてIVUSを行い必要な後拡張を行うべきだったこと、が反省点
です。ただ、結局6F deepが無理だったりそれでもdevice不通過なら結局5Fで同
じだったかもしれません。

ps.
○○先生・その他ロータブレータマニアの先生に質問、今回のあのproximal RCA
の屈曲はロータブレータ通過はどうでしょう?6Fがもし入ったらいけますか?5F
入ったんでいけそうな気もしますが… 今後のために教えてください。

**************************************

八戸ライブはお疲れさまでした。
○○先生が苦労されているころ、九州組は八食センターでウニ、イクラ、カニ三昧で
した。どうもスミマセン。
夜は夜で、北海道組との壮絶なカラオケバトルで盛り上がり、クレイジーな八戸の夜
でした。

**************************************

○○です。

○○先生、実は、先生の感想がいつくるか、ずっとずっと、待っていました。大変な
症例、本当にお疲れ様でした。

僕の症例も、LADが、突然、RCAの分岐部病変に変更になり、普段ならMAC3.5あたりを
使うのですが、“ない”、ということで、JRやALより、何でもいいから使い慣れた
long-tipがほしいということで、Ikari 1.5を生まれて初めて使ってみましたが、挿
入・バックアップのとり方など、MACと比べ、そんなに違和感なく操作できました。
とてもよいガイドカテだと思いました。○○先生、どうもありがとう!

○○先生とは、その昔、一緒にいろんな仕事をしましたが、僕達がこうしたカテが必
要だと思った原因として、“TRIにおけるJRのバックアップはかなさ”、があります
ね。先生の症例は、高齢で上行大動脈が寝ていて、しかもShepherd's crookで、冠動
脈全体は縦方向にとても硬いですから、JRの微弱なpassiveバックアップでは、僕
は、ワイヤとマイクロカテは、上向きの第1カーブすら超えなかったのではないかと
思います。CCTのCDで、自分がかいたイラストの典型例です。よかったら、CDみてく
ださい。

もちろん、ワイヤクロス後でしたら、カテ交換して、JRで、anchoringしてdeepもで
きるかと思いますが、MACやIkari-R、MUTAのようなlong-tipカテの大きな長所のひと
つは、deep engageがいとも簡単にできることです。つまり、RCAで、deep engageを
JRでやろうとすると、バルーンを引きながら、カテをclockwiseに回しつつ押す操作
が必要ですが、long-tipでは、(少なくとも自分の経験の範囲では)カテを回す必要
はなく、バルーンを引きながらグイとカテを押すだけでOKです。この回す操作が不要
なのは、とてもメリットだと思っています。

AHAと、その前にも巡業があって、余りにも疲れていたので、東京行きの最終便に乗
ろうと思い、先生が5Frとおっしゃる声を聞きながら、先に失礼してしまって申し訳
なかったのですが、僕だったら、3.5mmのバルーンで病変手前でanchoringして、
Ikari カテをdeepする、あるいは、3.5mmもlow profileなものを選べば、2バルーン
を同時に用いる玉井先生方式も可能なので、anchoringして、そのまま1.5mmを何とか
突き刺す、といった作戦をとったように思います。おそらく、どちらかは可能だった
んじゃないでしょうか?

Long-tipでのdeepは、anchoringさえすれば、本当に簡単です。バルーン引っ張っ
て、カテを押すだけです。サイズが適正なら、EBUはLCxにすらズブズブ入っていきま
す。一度、困ったら、試してみてください。

また、皆さんがかかれたように、齋藤先生の症例は、僕も見ていて、涙がでるほど感
動しました。あれこそ、神技というのでしょうね。齋藤先生は、わざわざ病変の遠位
部でのanchoringで、JLカテが、LMT奥深く入った状態を作られました。凡人にはその
真意はわかりませんが、僕的には、バルーンが万一スリップしても病変でとまってく
れるので、システム全体の崩壊は避けられるという深慮遠謀だったのでしょうか? 
ただ、LMTは長い症例だったので、メドトロEBU4.5とかJJ XB4.0あたりをうまくいれ
れば、カテのポジションだけでしたら、最初からそうした状態が得らることを申し添
えます。もちろん、そこまでカテが入ったとしても、あのLCxにワイヤとバルーンを
通すには、自分の場合、万に一つの僥倖が必要なのはわかっています。ただ、齋藤先
生のように、JLをなんとか手なずけながらそれをやれ、といわれても、それは、絶対
に、絶対に、1000%不可能でしょう。

ロータですが、long-tipがおくまではいった体勢で、カテ先がShepherd's crookをこ
えていて、ロータフロッピーによるアコーディオン現象がそれほどでもなければ、や
ろうと思えばできたと考えますが、いかがでしょうか。勿論、病変直前までは、ずっ
とダイナグライド必須でしょうが・・・

**************************************


> 。先生の症例は、高齢で上行大動脈が寝ていて、しかもShepherd's crookで、冠動
> 脈全体は縦方向にとても硬いですから、JRの微弱なpassiveバックアップでは、僕
> は、ワイヤとマイクロカテは、上向きの第1カーブすら超えなかったのではないかと
> 思います。
それはそうかもしれません。確かに今回のようなShepaerd's crookではIkariは
ピッタンコでした。

> 、MUTAのようなlong-tipカテの大きな長所のひと
> つは、deep engageがいとも簡単にできることです。
deep engageができるんですか。今後のためになりました。
ただ、今回は虚血も強く、side holeが絶対必要と考えましたがIkariはside
holeなしと言われました。Side holeあり、もあるんでしょうか?

> 3.5mmのバルーンで病変手前でanchoringして、
> Ikari カテをdeepする、あるいは、3.5mmもlow profileなものを選べば、2バルーン
> を同時に用いる玉井先生方式も可能なので、anchoringして、そのまま1.5mmを何とか
> 突き刺す、といった作戦をとったように思います。おそらく、どちらかは可能だった
> んじゃないでしょうか?
そうなんです。それをできなかった自分を大反省しています。最初はwire通過前
にanchorを考えていましたが、それは後から考えてdissectionなど、いろんなこ
とが起こったときに対処不能となる可能性があるからダメで、wire cross後の時
にこそanchorをしなくてはダメでした。#1distalの狭窄でanchorすれば6Fがあの
カーブでも通過したのではないか、少なくとも試さなくてはダメでした。

結局最高の手は、Ikariでwire cross、JR with side holeに換えて、#1distalで
3.5mmでanchor、JRを1st curveの先まで入れる、1.5mmを通過させる(anchorを
使ってでも?)ロータブレータする、だったんでしょうか。
今回は最初のwire crossでやられてしまって全くダメでした。次にはそれに近づ
けるように修行しときます(高野山で)。

**************************************

○○です。

でも○○先生の症例は一度JR試してみたかったですね。Ao-Cuspにひねりながら押し
つけてバックアップを採る方法は必ずしもうまくいきませんが試す価値はあるような
気がします。いずれにしてもワイヤーが病変を越えてるかどうかが大きい問題ですね。

**************************************

○○です。

なんか、チャット状態ですが、

>Ao-Cuspにひねりながら押しつけてバックアップを採る方法は必ずしもうまくいき
ませんが試す価値はあるような気がします。

ワイヤが通ってさえいれば、これも良い方法です。確かに、何度も昔やったんです
が、うまくいくときと、ダメなときと差がおおきくありません?特に、カテ操作が未
熟だった頃は、押し過ぎ、ひねりすぎで、すべてがはじけてしまって、涙したことが
ありました。long-tipだと、そのままでback-upつよいし、ダメなら、単純な
anchoringと引き・押しでdeepできるので、手技としての再現性(誰が、同じ状況
で、何度やっても同じ結果という意味)がいいように思っています(ランチョンのつ
づきみたいになってきちゃいましたが・・・)

実は、今日の午後は、随分と静かなんで、締め切り間際の、某PCI単行本の原稿書い
ております。私の担当は、TRIにおけるガイドカテの選択なので、なんか、偶然の一
致というか・・・
○○先生は、IVUSの方ですが、進捗状況はどうですか?

**************************************

○○です。

八戸ライブ今回初参加させていただきました。
1カテ室で行われるライブの良さがにじみ出ている素晴らしいライブで感動しました。

た、ネット上でお見かけする先生方と実際に会えて、TRA-netの初心者組としては充実

た週末でした。

さて、飛行機の都合上午後1例目が終了後に会場を後にしたのですが、なんとその後に

ろいろなことが起こっていたのですね!最後までいればよかったと悔やまれます。○○

生、○○先生はじめ昼のdebateで敵だった○○先生にまでIkariカテを使っていただけ

とは。

○○先生ありがとうございました。先生は完全に私のカテの仕組みを理解されているの

、右Ikariは右MUTAよりも構造は簡単逆にバックアップは多少弱めと思いますが、簡易

ったのではないかと思います。

○○先生、○○先生、先生方はJudkins派というのは十分判っていますが、これに懲り

に今後もたまにはIkariカテを使って是非評価をしてください。

○○先生の例が回旋枝のAmplatz 不成功例に対しIkari-Lで、○○先生が右冠動脈の
Ampla
tz 不成功例に対しIkari-Rで施行できたということですよね。皆さんはTRIのベテラン

すが、少なくともIkariの経験はあまりないと思います。それでも使えるということ
は、
私がdebateの際に主張した、”初心者にやさしいカテ”というのに合致すると言っても

いかな?と私は勝手に思っております。

PS ○○先生の最後の症例、見てなくてコメントできずに申し訳ありません。

**************************************

○○です。

八戸ライブはとてもエキサイティングでした。最後の症例でフロアから5Fをリコメ
ンドしたのは私です。結果的に○○先生に戦略範囲を狭めさせたことを申し訳無く
思っていますが、さすがに○○先生は上手にこなされました。病変近位部の蛇行が強
くかつ石灰化しているかなりタフな症例で、IKARIカテーテルがDEEPにできればその
時点からでも子カテにした5Fガイドを抜けたのでしょうが使用経験の無いカテーテ
ルで実践するのは難しいと思います(特にライブでは)。ガイドカテは今回の八戸ラ
イブのテーマの一つでしたがやはり奥が深く、○○先生の「TRIにおけるガイドカテ
の選択」を読んで勉強させていただきます。最後に関西からこのような素晴らしいラ
イブに参加することができたのもこのメルリのおかげだと思います。

**************************************

○○です。

>右Ikariは右MUTAよりも構造は簡単逆にバックアップは多少弱めと思いますが、簡
易だったのではないかと思います。

バックアップと操作性は先生のおっしゃるとおりです。僕も、今のステントの性能を
考えると、Muta-Rのような、3-D shapeはいらないと思っています。あれは、PS
stentの時代のものですよね。最近のステントになってから、Muta-Rが必要だったと
おもえたのは、CIVICでやって、CCTのCDにも載せた、Shepherd's crookの極型ともい
える1例だけです。B社には、3-Dなしのものも作るように言っていますが、世の中、
あれはあれで、少数ながらファンがいるようで、なかなか・・・

○○先生から、long-tipカテのwedgeの可能性を指摘されましたが、(物量作戦を基
本としているので、訪問にきた人がみな驚かれる)ウチのカテ室には、RCA TRI用の
主力long-tipカテであるmedtronic MACカーブについては、全種類(6Frと7Fr)、サイ
ドホール付きも置いてあります。

個人的には、あの症例は、MAC4.5-SH(あるいはMR3.0-SH)あたりで、最初からwedge
の心配なく、また、完全なパワーポジションでやってみたかった気がします。

**************************************

○○です。

Jud派の私がIkari GCの宣伝に一役買ってしまったというのはなんと言うことでしょ
うか(^_^)!! 結局のところ食わず嫌いだと思いますが、こんどJudkinsでうまく行
かない症例があれば使ってみて報告します。

 ただし自分のなかではいかにJudkinsを使いこなすかがテーマの一つなので、がん
ばれるだけ頑張りますが.....うちの○○先生や、○○先生には「こんどIkariやEBU
やMACを使ってみたら....」と話しておきました。

個人的にはオートマチックの車は嫌いですが....(でも今はオートマチック+4駆に
乗っていますので、6Fr-GCにたとえればEBUやIkariになるのでしょうか)

**************************************

○○です。

>ただし自分のなかではいかにJudkinsを使いこなすかがテーマの一つなので、がんば
れるだけ頑張りますが.....

私の考えでは最後の症例は5Fを使ったりアンカーを使ったりしてガイドカテがショ
ルダーを越えればJRでもPCI可能だったと思います。きっと○○先生も同様に考えら
れていると思います…。一方、ショルダーを越えずに安定してPCIすることが理想的
なのですが、そのためにはlong-long-longチップでカテ先がショルダーの頂点近くに
位置し、さらにカテ胴体でAoバックアップが得られないと駄目なような気がします。
そこで○○先生への質問なのですが「MAC4.5やMR3.0では最後の症例のような場合で
もショルダーを越えずにPCIが可能なケースが多いのでしょうか?教えてくださ
い。」

**************************************

○○です。○○先生にお返事いたします。

>MAC4.5やMR3.0では最後の症例のような場合でもショルダーを越えずにPCIが可能な
ケースが多いのでしょうか?

いくつかのファクターがあると思います。長文になりますがおつきあいください。

1)>一方、ショルダーを越えずに安定してPCIすることが理想的なのですが、そのた
めにはlong-long-longチップでカテ先がショルダーの頂点近くに位置し、さらにカテ
胴体でAoバックアップが得られないと駄目なような気がします。

まさに、先生のおっしゃるとおりで、安定の極みにある、完全なパワーポジションと
は、tip先端はショルダー付近まで来ているだけではなく、さらに、その上で、対側
大動脈壁に反対側がきちんと接触していることが必須になります。今回のケースは、
tip先端はショルダー付近まできていて、バックアップはかなり取れそうに一見、見
えますが、1.5を選択していたため、対側大動脈壁からは浮いていました。そのた
め、ちょっとバルーンがあたるとカテは抜けてしまいましたね。

これを事前にしる一番良い方法のひとつは、プッシュテストです。つまり、ガイドが
RCAにはいったとき、ちょっと押してやります。6Frなら、この程度で解離など起きま
せん。これで、カテがすぐ落ちてしまうなら、tipが短いということです。また、カ
テを押すのがイヤなら、ブランチにわざとfloppy wireを押し付けてみてもかまいま
せん。ただし、最初から完全なパワーポジションを得ようとすると、長いtipが必要
で、それは、挿入を難しくするし、また、RCA近位部での解離のリスクを増やすこと
になります。

ですから、すべてをtipの長さに頼るのではなく、時にanchoringによるdeep engage
を併用する、あるいは、サポートワイヤをパラレルでいれるなどの工夫が必要になり
ます。

2)もう一つは、RCAの縦方向の柔軟性ですね。long-tipでPCIをやってみるとわかり
ますが、RCA近位部の立ち上がりは、4Fr診断カテJR4.0>6Fr long-tipカテ挿入後>ワ
イヤ挿入後>バルーン挿入後ないしパラレルワイヤ後・・・・・、とモノが入ってい
くにつれて、程度が軽くなります。どの段階でもかまいませんが、このShepherd's
crookの立ち上がりをとることを、私は、“肩取り”といっており、これが早い段階
できれば、必勝形を序盤でつくったことになります。やさしい症例(つまり、縦方向
に柔らかいRCA)では、Long-tipカテが入っただけで、Shepherd's crookが消失しま
す。この症例は、高齢・高度石灰化ですし、Ikari-1.5が入った段階で、確かに立ち
上がりは軽くなっていましたが、まだ結構残存していました。toughなcaaseでした。
なお、症例によっては、高度のアコーディオンが生じて、ステントの位置決めなど、
すべてがサイドブランチ頼りになることもあります。

3)そこで、参考になるのが、pre-dilatationした後のバルーンを再挿入してみるこ
とです。この段階で抵抗があまりなければ、ステントは、ショルダーを越えなくても
入ります。とくに、カテのパワーポジションに自信があれば大丈夫でしょう。ただ、
バルーンの再挿入位で、再度、カテを押し付けるなどなどの操作が必要ですと、その
ままでは、ステントは苦しくなりますよね。その場合は、deepで肩を越えてやる必要
があります。ただ、何度も言いましたが、難しい操作は必要なく、バルーンを拡張し
てanchoringし、バルーンを引き、カテを押すだけです。

最初にどのくらい、パワーポジションのtip長を選んでおくかによりますが、そこを
完璧にしておけば、こうした症例で、さらにショルダーを越える必要があるのは、
1/3以下だと思います。ただ、繰り返しになりますが、パワーポジションをとろうと
すれば、それなりに、面倒ですし、難しいし、リスクはあります。

今の僕のスタンスは、

MAC3.5:これは、tipが短く、deepに入らないので、要するに右TRIにおける自分に
とってのジャドキンスです。RCA入口部病変のような特殊な場合をのぞいてこれでOK
です。(RCA入口部病変やそれに近い場合は、JRもいいですが、角度的にJJやBSCのIM
がfitすることも多いです(Medtroのは丸まりすぎ)。)
MAC4.0:普通のShpepherd's crookあるいは、水平でもRCA1が長い人用
MAC4.5:今回の人のような症例用
MR3.0:最終兵器

tipの先で、すこしでもwedgeするようなら、躊躇わずにサイドホール付きに変更です
(今年のCCTでの症例がそうだったのですが・・・)。Judkinsと違い、カテが入ろう
とする力(つまりバックアップ)が強いので、ワイヤを末梢にあてて浮かしても、意
外にwedgeポジションにもどっていたりして、エアがはいったりなど、無理していい
ことありません。
それでもって、バルーン再挿入の際の手ごたえで、deepを併用するかどうか決める、
といった具合でしょうか。

ということで、安定したポジションではあるものの、それなりに、考えて手技はしな
いといけないので、僕は、オートマではなく、long-tipは、セミ・オートマだと思っ
ています。Judkinsは、ワイヤ一つ通すのに、繊細なカテ操作がいるので、まさにマ
ニュアルですよね。でも、F1だって、いまやセミ・オートマの時代ではないですか!
(と、宣伝しておきます) 

**************************************

○○です

最後の症例でのIKARIのポジションでも、GWが入っていれば
肩を超えるんでしょうか
あれだけのShepherd's crookで、IKARIでも僅かにしか肩取りが
できておらず、通常のIKARIのパワーポジションは得られてませんでした
あの体勢でGWさえ入れば、まっすぐ押して入っていくんでしょうか?
あの症例では5F子カテの2段ロケットがよかったと感じています
戦略の幅は狭くなるし、EmboriのRiskもあるけれども
うちのカテ室で同じような症例に遭遇したらと考えたら
IKARI+2段ロケット方式かなと考えています
(うちにあるもので勝負すると考えたらですけど)

しかし、ガイディングこそTRIの永遠のテーマかな
と痛感しました

**************************************

○○です。

はじめまして。
この度はTRA-netに入会させていただきましてありがとうございました。
ホームページ上の様々な意見を参考にさせていただきながら診療をやらさせていただ
いております。
私のような未熟者にとっては貴重なコメントなど、大変参考になります。
今後ともよろしくお願いします。

私は、平成1年○○大学出身で、○○に所属しています。
海外留学や内地留学などの経験はありません。
したがって、○○大での心カテ方式以外の知識も無い状態ですので、
質問などが多くなるかと思いますが、よろしくお願いします。

私のTRA/TRIですが、1998年より開始しました。
当時の病院で142例の心カテ中、65例(45%)でした。
その後、やはり循環器医の少ない病院であったため、瞬く間にTRA/TRI症例は増加し
て、
翌年には175例中152例(88%)と、優勢となりました。
その後、現在の○○市の○○病院に赴任しています。
当院でも循環器医が少ない(2人)ため、症例数をこなすためにはTRA/TRIが多く、
今年は、現在523例中の376例(71%)がTRA/TRIという状況です。
当院でも今年よりようやく心臓外科が稼働されたため、
今後も症例数の増加が予測され、
それとともに、私の知識では解決できないような症例も増加することが予測されます。
今後の御指導、御鞭撻をよろしくお願いします。

**************************************

○○です。

今日は、久方ぶりの大賑わいですが、これも、八戸がいかに面白い会だったのかを象
徴しているのだと思います。○○先生、ほんとうにご苦労様でした。

>あれだけのShepherd's crookで、IKARIでも僅かにしか肩取りができておら
ず、通常のIKARIのパワーポジションは得られてませんでしたあの体勢でGWさえ
入れば、まっすぐ押して入っていくんでしょうか?

Ikariは、僕も八戸で初使用でしたが、MACから類推すると、あの状態で1.5を押した
だけではまず入らなかったと思います。私の最初の表現がまずかったのですが、deep
させるには、anchoringが前提です(一般論ですが、anchoringなしに6Fr long-tip
のdeepを試みたことはありません。うまくいきそうもないですから。)。

あくまで、BMWか何かをもう1本あけ、先端をRVにいれるか、狭窄手前の本幹内でワイ
ヤ先端を丸めてしまって、サポート部分を用いて3.5mmのshort balloonによる
anchoringを行えば、肩を越えたと思います。バルーンを引くことで、肩はより進展
されますから。ただ、どうせ、それだけの体制を作るのであれば、バルーンは2本カ
テ内に持ち込めますから、1.5mmのバルーンを押し付けておいて、一気に滋賀方式で
通過を狙うほうがよかろう、との意です。

今回のライブのおおきなテーマは、anchoringでした。ただ、deepの足場に用いるだ
けの時代は過去のものになりましたね。齋藤先生の症例も、かりに、いくら長いEBU
やXBで、いいポジションをつくっても、anchoringなしには、反転するLCx本幹を絶
対にバルーンは通過しなかったと思います。8Fr・TFI・JRでやるRCAの本格的CTOと
ならんで、反転するLCx本幹は、バルーンがなかなか通らず、anchoringの多用部位
で、自分も2例経験あります。ただし、スリップしてしまって、うまくいかなかった
こともあります。それを、分枝の狭窄より末梢の健常部をつかうなんて・・・。ス
リップしようがないですよね。齋藤先生の、あまりの神技に、本当に絶句でした。

本当に、PCIワンダーランドな一日でした。

**************************************

○○です。

○○先生、八戸ライブでは、先生のIKARIカテに助けられて何とか
症例をこなすことが出来ました。末梢病変でしたが、病変部の
狭窄が割とクリッとした感じで石灰化もそれなりにありそうだと
事前に考えてALを選択したのですが、全然決まらず、あの時点で
真っ白になっておりました。直前にディベートをやった後だった為
リアルタイムアンケートでイカリカテを使うように求められ、
数回しか使ったことがないまま、使うことになり…。
先生の「そこでひねって…」と言うアドバイスも半分くらいしか
耳に届かない状態で、何とか手探りで使い方のコツを掴もうとしていました。
結局近傍にエンゲージしかけの状態でワイヤー操作・バルーンエンゲージ
を行い、その度にガイドカテが落ちながらもAo対側で踏ん張って
バルーンのバイブレーションにも耐えて病変通過させる姿に
次はマスターして使ってみるぞと言う気にさせられました。
(○○先生のお話も聞き、新しもの好きな私は、MACとEBUも集めることにしました)

本当にありがとうございました。

○○先生には、kissing balloonとワイヤーのre-crossにMiracle3gまで
動員して、「余分な使用分は○○に請求書を送っておきます」と言われ、
ビビっております。
途中から、当初の予定と離れそうな展開になり、会場のいろいろな御意見に
も引きずられそうになりで、何とか自分を見失わないように手技に集中
するので精一杯だったように思います。やっぱりライブを平常心でやり通せる
諸先生方はすごいと思いました。

**************************************

○○です

○○先生 ありがとうございました
やはり、そうですよね anchoringなしでは、さすがに
無理でしょうね

それにしても、今回の八戸は本当に為になるTipsをいっぱい
教えて頂きました

**************************************

○○です。
○○先生、お礼のResが遅れてしまい申し訳ありませんでした。プリントアウトさせ
ていただきセカンドの術者にもRCAに対するロングチップの使用法を勉強してもらい
ます。あとは実践あるのみです。ちなみに今日のPCI症例にIKARIの左4.0を初めて使
用してみました。ショートLMTのCX#14のCTOです。画像ができたらアップします
が、6F―IKARIをDEEPにできませんでした。明日、御批判ください。

**************************************

○○ですが、書き物していたらちょうど、メールがきました。○○先生、わざわ
ざ、ご丁寧に、ありがとうございます。光栄の至りです。

ところで、最近のやり取りに、ずっと、RE:八戸ライブ最後の症例、が続くのもなん
ですから、メールの題名を変えてみました。

>6F―IKARIをDEEPにできませんでした。

私の私見では、Ikari-Lは、long-tipに属するとは思っていません(Ikari-Rは、正真
正銘のlong-tipです)。Back-upは、対側大動脈壁から直線的に得られるのではな
く、やはり伸展された、先端から2つ目のカーブが元に戻ろうとする力に依存してい
ます。そうした意味では、Judkins leftに似ています。ただし、腕頭動脈から上行大
動脈への曲がりを補正するカーブが近位部についていますから、操作はずっと
Judkins leftよりやさしいし、同軸に入りやすいと思います。僕的には、Ikari-L
は、右TRI用にとっても使いやすく工夫されたJudkins leftだと思っています。

○○先生のプレゼンでも、○○先生の症例でも、Ikari-Lを抵抗にさからっておす
と、左冠動脈から一旦、外れますが、同軸性が維持されているので、はじけることな
く、この2つ目のカーブが伸展された後、対側大動脈壁でねばれるわけですよね。EBU
やXBの挙動は、無理押しすると、原則的に、先端のゆるやかなカーブが下向きに開く
ように左冠動脈から抜けていくんで、この点でも異なります。挿入の容易さでは
Ikari-LはEBU/XBに勝りますが、カテ自体のpassive back-upは、Ikari-LよりEBU/XB
のほうが強力だと思います。

Judkins leftをLCxにdeepするのは難しいですよね。それと同じで、Ikari-LをLCxに
deepするのは難しいんだと思います(LADなら簡単でしょう)。LCxは、deepが最も
困難で、やるなら、やや長めのEBUかXBで、anchoringするしかないように思います。

○○先生、僕の解釈に間違いがあったら、遠慮なく叩きのめしてください。そうした
フランクな議論が、このnetの醍醐味です。あと、○○先生、明日夜からしばらく出張
なので、なるべくresするようにしますが、ちょっと難しいかもしれません。アナロ
グ接続環境になると思うので、大容量添付画像ファイルは勘弁してくださいネ!

**************************************

○○です

IKARIユーザーとして、一言
IKARI-LはJLをTRI用に改良されたもので、JLより
使いやすく、バックアップも強いと考えています
IKARI-Rとはずいぶん違う感覚です
でも、LCXに少々Deepに入れることもLADに入れることも
そんなに問題なくできていました、ただし#11までですけど
同軸になるからではと解釈していました

○○先生 なぜIL4だったんですか? 大きな患者さんでしたん
でしょうか? 通常は3.5で十分だと思うのですけど
IL4を使う症例はまだありません

追伸:これだけGCで盛り上がっているのなら
以前からの提案しておりましたが
TRA-NetでGCのアンケートを調査したいと考えております
皆様が簡単に参加していただけるように、Web形式を(当然セキュリティ
ばっちりで)考えております 完成しましたら
是非ともご協力お願いします 
また、こんなことも知りたいとか、こんなことも調べてみたら
とのご意見がありましたらご遠慮なくどうぞ
正式には鎌倉ライブでの教育セミナーでアナウンスさせて
頂きます

**************************************

○○です。

○○先生のコメントのとおりです。あまりに明快な分析で反論は全くないですが、ご指
名ですし八戸にいらしていない方もいらっしゃいますので少しコメントします。

Ikari-L(IL)は右上肢用Judkinsなのです。それが、まさしくコンセプトであります。

JudkinsがTFIでは入れやすくそれなりのバックアップが取れるのに、TRIにするといろ
いろ抜けたり深く入れたり気を使わなくてはいけないのはなぜか?
右鎖骨下から逆向きに折れるからです。そこで、この逆向きカーブをJudkinsに付け加
えたのがILです。TRIで使うJudkinsはTFIのJudkinsとは別のもののように使いにくい
が、TFIのJudkinsの感触を最も保っているのがIkari-Lです。○○先生の「だれた
Judkinsみたいだね」というコメントは大変的を得ていました。先端を少しだれ気味に
したJudkins型がオリジナルよりもバランスが良かったので採用したのです。

したがって、Ikari-LはTFIのJudkinsと同じと思って使ってください。TFIのJudkinsで
はdeepにすることは、よほどの症例でなければないと思います。三井の経験ではILで
deepが必要だったのは数%のみでした。これは、LMTの傷害を避けるという意味では、
抜けながらもバックアップがとれるというILの大きな利点です。したがって、ILはdeep
せずに勝負できる、合併症が少ない第一選択的な位置付けでしょうか。

しかしながら、CTOや屈曲Cxなど本当にバックアップが必要な症例が存在するのは事実
であります。このような時にはTFIでもJudkinsではダメでVODAやEBUを使いますが、TRI
でも同様の選択となると思います。TRIにおけるILのバックアップはTFIのJudkinsくら
いのバックアップですから、極めて厳しい症例には○○先生のおっしゃるLong-tipの方
がbetterでしょう。

本日の症例でも、LADにBxステントを置き、側枝のDにワイヤーを通しそこを開ける例を
IL
で行いましたが、側枝へのバルーン通過もdeepなしで無事終了しました(画像なし)。

**************************************
TRA-netの皆様、はじめまして。
○○病院循環器科の○○と申します。
平成7年○○医大卒です。
現在○○の地方病院に勤務してますが、
PCI数も50前後と少ないところで細々とTRIを行っています。
先日は八戸ライブにも参加させてもらい大変勉強になりました。
まだまだ経験も少ないですがこれを機にTRA-netにも参加し、
少しでも勉強したいと思っています。
宜しくお願いします。

**************************************




第55集

**************************************

○○です。昨日の症例の画像ができましたのでアップします。
症例は49才男性。労作性狭心症、糖尿病、高血圧。運動負荷心筋シンチにてCx末梢の
虚血を指摘されています。CxのCTO(LADよりcollateral)を責任病変と診断しPCIを
施行しました。対側造影がいらないのでTRIからアプローチし八戸ライブで話題の
Ikariカテーテルを使用しました。サイズは○○先生がライブで「JL4.0ならばIL4.0
です。」とコメントされていた(○○先生から大きすぎるとの指摘もあり、間違って
いたらごめんなさい。)と記憶しておりIL4.0を選択しました。エンゲージは容易で
したがLADに向きやすく少しガイドカテーテルを引きながらインターパスIIIとイン
ターメディエートワイヤーでCxをとらえCTO病変のワイヤークロスを終えました。そ
のままインターパスでCTOをクロスすることを試みますがIL4.0は冠動脈から外れま
す。Ikariカテーテルユーザーの御指摘のごとくIL4.0は冠動脈から外れてもバネのよ
うにバックアップがとれますが、この症例のCTOは硬く太刀打ちできません。次にイ
ンターパスを軸にしてIL4.0のディープエンゲージを試みました。IL4.0の先端がLAD
に向いているためかCx近位部の屈曲部手前でつっかえてしまい進みません。ここでイ
ンターパスでCTOをクロスすることは断念しバルーンのクロスを試みました。マーベ
リック2 1.5mmを用い、IL4.0のバネのようなバックアップを使いましたがぜんぜん
歯が立ちません。「うーん。」って感じで、もう一度バルーンを軸にしてディープエ
ンゲージを試みましたがやはりCx近位部の屈曲部手前でつっかえてしまいます。「さ
てどうしよう?」と造影したのが添付ファイルです。○○県は保険が厳しくできるだ
け少ない物品ですませたく、この時点で、IL4.0、インターメディエート、インター
パス、マーベリック2 1.5mmが出ています。さて皆さんどうされますか?



**************************************

○○です。○○先生でも悩むような症例にレスを出せるほどの腕はありませんが、
いつも○○先生の横でTipsを教わっているものとして、○○先生も含め皆さん
にstrategyを添削していただく意味合いで意見を書こうと思います。写真を見るかぎ
り、マベ2ですら通過しない理由は、病変自体が硬いということと、LCXが手前から
右→左とクランク状の緩やかなカーブを描いてCTOがさらに右に向いていることから
マベ2のチップにきちんと力が加わっていないのではないかと思います。もちろん、
ガイドカテ交換やRotablatorなどの方法もありますが、なるべく材料を使用せずとい
うことを考えると、「1.5mmバルーンがCTOを通過した場合」おそらく、3-3.5mmのバ
ルーンを使用されると思います。またfloppy wireの一本追加ぐらいは勘弁していた
だいて、その(例えば)3mmのバルーンを大きな(写真で直ぐ上にある)#14の奥まで
挿入し、LCX#11-#14を可能なかぎり直線状態にして再度マベ2の通過を試みる。それ
でもだめな場合は○○先生が「滋賀式」あるいは「玉井式」と言っている、病変部以
外の場所で(この場合は#14の分岐部辺りで)3mmバルーンを拡張して、これ自体をバッ
クアップとして挿入を試みる。それでもだめなら、マベ2をギリギリまで押し当て10
気圧ぐらいで拡張して、デフレーションにあわせて押し込む(入り口にクラックが入
れば通過することもあるようです)。私に考えれるのはこんなところです。御批判も
含め私も皆さまの御意見を伺いたいと思います。

**************************************

○○です。

ガイドカテーテルの話からは外れますが、これこそアンカーです。
手前の大きなOMがアンカーにはピッタリです。3*15mmで曲がりの手前でアンカー
し、それでもアンカーがずれるんならちょっとドキドキしながら曲がりのところ
でアンカーします。

**************************************

○○です。

今日、当科の○○先生がオペレーターで、ミラクル6で病変を通過しました
がtransitが通過しないCXのCTOをやっていました。
ガイドも浮きまくって大変そうでした。
一本目のワイヤーにからめて、もう一本コンクエストをパラレルワイヤーとして通過
させ、グルグルやっているうちに、少し順行性の血流が出てきました。その後、マベ
リック2 1.5x15を根性で通過させ、...最期には見事に綺麗な仕上がりとなりました
(下品な長いステントを入れていましたが..)。

と、いうことで、もう一本ワイヤーを入れてみるというのはいかがでしょうか?
CTO部分を破壊したり、少しでもGCの同軸性が保ちやすくなるように思えるのですが
いかがでしょうか?

ワイヤー2本目は○○県では許されるのでしょうか?

**************************************

○○です。飛行機がなかなか飛んでくれません。明日が思いやられます。

○○先生のレスにあるとおり、僕も、この状況こそanchroing、つまり、滋賀式の一
番良い適応でしょう。自分なら、分岐部のdistalで、anchoringします。ただ、滋賀
式では、チップまでしか入らなかったことがあって、ウチの○○先生が提案した、ク
ラックを作る“匍匐前進方式”(八戸でS670のストラットを通したときと同じやりか
たですね)の併用が有効なこともありました。

○○先生の、ワイヤもう一本作戦は、滋賀式を知るまで何回かやったことがありま
す。うまくいったこともありますが、自分は、2本目がとおらなかったことのほう
が、多いです。パラレルワイヤの一種ですよね。パラレルワイヤは、CTOの御本尊直
前まではうまくいくことが殆どですが、一番硬く、つかえた御本尊は、さすがに、結
構、つらいんじゃないでしょうか?

さて、昨晩の○○先生のレスに、

>CTOや屈曲Cxなど本当にバックアップが必要な症例が存在するのは事実でありま
す。このような時にはTFIでもJudkinsではダメでVODAやEBUを使いますが、TRIでも同
様の選択となると思います。

僕が、最初から、EBU・XBを好んで使う理由は、誰が見てもまっすぐなLADの、単純な
病変とかを除いて、結構、こうした事態は予想しづらいからです。僕は、PS stent
システムの頃からの人間ですが、その昔は、まっすぐなLADなのに、8FrJLで、全然
うまくいかなくて、XBやVodaにしたら楽勝、というケースが結構ありました。

○○先生の症例でも、long-tipならマベ2入るんじゃないかしら? また、昨日、○○
先生がステントストラットを通す例をだされていましたが、分枝の角度や病変の石灰
化、ストラットと分枝入口部の微妙な位置関係によっては、なんでこのストラットを
バルーンがとおらないのかしら? ということもありますよね。

ある程度、途中まで手技が進んでから、バックアップ不足に気づいても、そこから、
体勢を立て直すのは、なかなかつらいものがあります。裏技必須になります。それな
ら、6Fr TRIは、そもそもカテの口径でバックアップを稼ぐことができませんか
ら、最初から、(安全性を見越した上で)カテ形状で、最大限のバックアップをとっ
てはじめたほうが、あとあと簡単ではないですか? long-tipは、セミ・オートマと
申し上げましたが、もしかしたら、先憂後楽(tip長の選択や挿入は、少し難しいで
すが、そのあとは、バックアップに悩むことなく、手技は簡単)のほうが、適切かも
しれませんね。

**************************************

○○です。

ワイヤ2本は○○成人病センターでよく(でもないが、デバイス不通過のCTOで)
やられてましたが、自分でやってみて、アンカーのほうがよっぽど簡単ですし、
強力です。根性も要らないです。ただ条件がある程度必要ですが。

**************************************

○○です。

大分、遅レス(remaining one vesselのPCIの話です)になってしまいましたが、
最後に一つだけ、PCIの絶対的な弱点、それはdistalに飛ばすことを予測できな
いこと、distal protectionをしないと予防できないこと、だと思います。

これは決して忘れてはいけないことだと思います。

以上、ながなが書いて申し訳ありませんでした。

**************************************

○○です

この症例でGCがDeepにできないときは、確かに
anchoringもいいと思うのですが
これこそ5F 子カテはどうなんでしょうか?
個人的には色々と制約があると思うのですがテルモ
の5F子カテは使えるような気がします
でも、これだけしっかりした枝があるのならanchoring
もいけるかなって気がします
如何でしょうか?

**************************************

○○です。

私もanchoringによるdeepだと思います。

CXのCTOは、6FのTFIでやっていてもJudkinsでは困難なことが多いので、ILのdeepなし
で通過しなくてもお許しを。○○先生と立場が違うのは、予想できないことは確かにあ
るもののそれほど多くはないと私が考えていることです。以前のシネ台だと石灰化や微
妙な屈曲が判別できないことがありましたが、現在ではほとんど術前の評価でバックア
ップがかなり必要かどうかは判ると思っています。ですから、TFIならJudkinsをTRIな
らIkariを使います。どちらもバックアップはそれなりですが、安全に使える利点を優
先しています。

さて、本例のような場合deep engageが必要になりますが、Ikariカテのシャフトはdeep
なしで力を発揮できるようなバランスにしてあります。もしご要望があれば先端をやわ
らかめにしたdeep用のシャフトを用意した方が良いでしょうか?その他ご要望があれ
ば、テルモに依頼しますので忌憚のないご意見をいただけると幸いです。

CTO用に7FのIkariもテルモにお願いしてあるのですが、なかなかできません。7Fと5
Fは是非必要と考えていますが。

サイズは、○○先生はL3.5を愛用されているとのことですが、私はL4をもっぱら使
っています。どちらでも入るケースが多いのですが、入ってしまえば4の方がバックア
ップは強いと思います。もちろんケースバイケースですが。

**************************************

○○です。

Ikariカテのバックアップはバネのような感じで悪くありませんでした。インターパ
ス越しにCTOをワイヤリングするときにもガイドカテのバックアップは重要で、良好
なバックアップが得られているときは「腰が入った感じ」ですごくCTOのワイヤリン
グがやり易く思えます。今回の症例もIkariカテのバックアップのおかげでCTOのワイ
ヤークロスはやり易かったです。
さて、アンカー(○○先生、○○先生、○○先生、○○先生)、パラレルワイヤー
(○○先生:八戸ライブお会いできなくて残念でした。)、5F子カテ(○○先
生)、匍匐前進(○○先生、○○先生)の御意見が出ました。全てがラディアリスト
にとって身につけておきたいテクニックだと思います。ジャドキンスではたとえアン
カーしたとしてもCxにディープに入れるには解剖学的に恵まれていることが必要で、
この症例のようにクランクしていると途中でつっかえてしまい冠動脈にinjuryが起こ
りそうで強く押せません。ホントのところ○○先生のご指摘は耳が痛く「EBUを使え
ばディープにできたかもしれない」と手技中に考えておりました。病変にかかわらず
八戸ライブ後の1例目のガイドカテはIkariカテと決めていましたが、○○先生のコメ
ントからも現時点でのIkariカテの形状やシャフトバランスもCxのディープには向い
ていないようです。さて目の前に「アンカーすべし」みたいな血管があるし、どうせ
3.0mmは使うだろうからサポートワイヤーをOMに入れてアンカーしてガイドを固定し
たまま1.5mmをクロスor匍匐前進!。バルーンを二つ膨らませている間にILを
ディープ?○○先生には申し訳無いんですけど、使いなれていない所為なのかバルー
ン二つでアンカーしてもディープにできないような気がしました。それじゃアンカー
やディープもなしでも、ILのバネのようなバックアップがあれば一度使用した3.0mm
のバルン(アンカーに使うので滑りはよくない)を1.5mmで拡張したCTO病変にクロス
or匍匐前進させることができるか?もちろんOMにはサポートワイヤーを残してクラン
クをできるだけ真直ぐにして…ジャドキンスではとても無理だ…やっぱILでも無理だ
ろう…ご反論お待ちしています。

**************************************

○○です。

アンカーは○○先生が言われるdeep engageするためではなく、バルーンそのも
ののバックアップのためです。この方法はアンカーのバルーンがスリップする抵
抗までのかなり強力なバックアップとなります。ガイドカテーテルは1.5mmバルー
ンを通過させる邪魔にならなければいいわけで、Ikariが向いていれば十分だと
思います。たぶんこれで1.5mmバルーンは通過して、それで3.0mmですね。

**************************************

○○です

anchoringで、1.5mmで病変を拡張できたら
3.0mmをリラップしたら通過しそうと甘く考えてしまいました

もし、バルーンの滑りが悪いのなら、チョイスのような
ヌル(コーティングワイヤーの事で、豊橋の鈴木先生がライブでそう呼んでおら
れました)
のワイヤーでパラレルして入れると言うのは如何でしょうか?
○○医大では、最近パラレルにするワイヤーをヌルのサポートワイヤー
を入れてパラレルにして当然ヌルは外側にして
ヌルのコーティングを利用すると技を使っています
(命名:ヌルでヌルっと・・) すみません

でも、1.5mmが通過したら、勝ちは見えているような気がします
もし通過できなければ1.5mmでanchoringできる所がなければ、
5F 子カテの登上だと思います 
バルーンを新しく開けるよりは安く済むと思うのですけど

**************************************

○○ですが、もう一つ。

最近、話題のanchoringですが、今日、面白いケースを経験しました。71歳男性、
effort APで、LAD近位部で、D1と第一中隔枝の分岐部で、スタンプが全く無く、
abruptに閉塞しているCTOです。CTO長は、およそ20mmで、CTOの遠位部血管は、逆に
近位端が、taperingしていて、石灰化もあり、コンケストHCで直上から貫かないと厳
しそうな感じでした。角度的には、LADの真中からCTOに入れば、よさそうに見えま
す。

勿論、対側造影下に、7Fr EBU4.0 (TFI)で開始、transitサポート下に、ミラク
ル3→12→コンケストHCとやっても、LADのproximal fibrous capは強固で、ワイヤ
はひっかかりを捕らえることすらできず、すべてD1か第一中隔枝にスリップしてしま
いまいした。そこで、加藤先生がご考案された方法だと思いますが、側枝閉塞下での
ワイヤリングを試みました。つまり、TraverseをD1にいれ、2.0-10mm/2atmでD1を閉
塞し、コンケストHCを試みました。しかし、コンケストHCは、第一中隔枝にすべてス
リップしました。次に、Traverseを第一中隔枝にいれかえ、第一中隔枝を、同じバ
ルーンで3atmで閉塞しながら、ワイヤリングすると、ごくごくわずかに、ひっかかる
ような感じがでたのですが、そこまでです。困りました。このままでは負けてしまい
ます。

こんなことしていいのかどうかわかりませんが、anchoringのことが頭に浮かび、ご
く軽く、このバルーンを引きながら、コンケストを軽く押したところ、コンケストHC
はproximal fibrous capをスッと破ることができました。そのあとも、それなりに苦
戦しましたが、何とか、直上からtrueにいれ、手技を成功することができました。

どうしても、proximal fibrous capを破れないCTOの場合、このやり方は、再現性を
もって使えそうです。ご参考まで。

**************************************

○○です。

ガイドカテの選択においては、個人の好みが実は、一番大事だと思っております。○○
先生のおっしゃることもよくわかります。

long-tipの安全性ですが、私は一度もLMTを損傷したことはないので、安全なカテだ
と思っています。Amplatzよりはずっといいし、deepを回避できるのは、逆にメリッ
トだと思っています。なぜ、安全にできているか考えてみたのですが、(話をしやす
くするため、EBUでサイジングを言うと)6Fr 右TRIでは、

1)男性4.0、女性3.5で、原則的にはじめる。小柄な男性は、3.75ではじめるし、診
断造影の結果から、Valsalvaが小さそうなら、3.5で始めても良い。足りなければ、
始めてtip長を大きくする。悩んだときは、小さめにスタートする! (特に、女性
は、4.0では、決してはじめない。これとても大切です。)
2)操作は、かならずLAO45度で行い、ワイヤを充分、左Valsalva洞の下まで入れ、
ゆっくりとワイヤを抜き、左冠動脈を目指す。カテ先を左Valsalva洞天井にまず軽く
当て、そのあと、clockwise-rotationしながら、ゆっくりと押し付けて挿入を目指
す。決して、ワイヤをさっと抜き、カテが早いスピードで跳ね上がるような操作をし
ない。

に尽きると思います。

あと、このネットには若い先生方も多く参加されていますが、最初は、ガイドカテ
は、この血管にはこれ、と決めて、まず自分の型を作ることをお勧めします。ただ、
ある程度(術者200例くらいと考えていますが)経験をつんだら、意識的に、ガイド
カテのいろんな形状、サイズをあえて変えてみて、自分のもち技を意識的に増やして
いくことをお勧めします。沢山の症例をやっていくと、どうやってもうまくいくケー
スが殆どですが、一つしか解答のないものも、決して稀ではありません。ガイドカテ
は、そうした事柄を理解するのに、とてもよいモデルになります。

**************************************

○○です。

私事ですが、このたび○○を退職し、地元の○○にもどることになり
ました。さて、昨夜は○○先生、○○先生、○○先生、○○先生に送別会をしていただ
き、大変
有り難うございました。
この中での話で、1つだけみなさんにもお聞きしたいことがありました。

若いころ名古屋地区でカテの洗礼を受けられた○○先生の発言で、
「分岐部病変にCutting Balloonを2本入れて、Kissing にすると成績が良い」とい
う内容が飛び出し、Cutting Balloon不毛の地九州で生まれ育った他のメンバーは、
それはそれは目が点になってしまいました。
何でも、小さめのサイズを2本入れて拡げるそうです。

1,Cutting のKissing? それじゃ、Cussing Balloon Technic(CBT)と言うの
か?(これは酒の上での命名です)

2,バルーンは決して屈曲しないでしょうから、2本のバルーンはどんな形で拡がる
のでしょうか。 ハの字型? それともニの字形?

3,お互いのブレードでバルーンがRuptureするのではないか?

などの質問が○○先生に次から次ぎへと浴びせられましたが、芋焼酎のお湯割りのせい
で、○○先生もしどろもどろでした。

そこで、CBTの経験がある先生、いらっしゃいませんか。
経験談を聞かせてください。

**************************************

○○です。

> たぶんこれで1.5mmバルーンは通過して、それで3.0mmですね。

○○先生、後半にコメントの追加をおねがいできますか?

質問は「アンカーやディープもなしでも、ILのバネのようなバックアップがあれば一
度使用した3.0mm
のバルン(アンカーに使うので滑りはよくない)を1.5mmで拡張したCTO病変にクロス
or匍匐前進させることができるか?」です。

**************************************

○○です 

かなり治療に難渋してしまった症例に遭遇しましたので
皆様のご意見をお願いします
透析歴のある慢性腎不全患者の女性で、一ヶ月前に不安定狭心症にて
入院。 緊急CAGにて#1 100%, #5 75%, #11 just90%, #6-7 90%
with calcだった為にCABGをして貰いました
CABGはSVGをLAD-LCxとSequentialに繋ぎ終了しました
術後 順調でまもなく退院だったのですが、安静時に心電図変化を
伴う胸痛の為に再度CAGを行いました
CAGは添付しましたが、SVGがLADの吻合部の中枢側で狭窄していましたので
う〜〜ん考えて、今ならNativeしかない!と考えPCIを行いました

GWは容易にLCx, LADにselect出来ましたので、まずLADからと
思いましたが石灰化あり、この時点でロータも考えたのですが
末梢はグラフトでLCxと繋がっているために、もしSlow flowになったら
嫌なのでバルーンで様子を見てみようと3.0mmで拡張しましたが
#7の石灰化で全然バルーンが広がりません
これはやはりロータしかないと、考えロータワイヤーに変え
ロータ1.5mmを準備している時に突然VFとなりました
DCにてすぐに解除できましたが、BPは60でした
LADは#6で完全閉塞となってしまいました
IABPを入れて、これではロータはあかんと判断し、もう一度バルーンでの拡張
を試みましたが、やはりだめでした
LADの末梢は今ならSVGのFlowがあるだろうと思いLCxにステントを入れ
末梢はバルーンで処理をしましたが、まだ血行動態は安定しません
PCPSを入れてからSVGにステントを留置しました
この段階では自己心拍はすでになく、後になってからようやく
再開しました

やはりまずはLADにロータをすべきなんでしょうか?
石灰化手前の解離によると思われるACに対してロータってしてもいいんでしょうか?
何故、LADが閉塞してここまで悪くなってしまったんでしょうか?
皆様のご指摘、ご意見をお願いします
長文になってしまい申し訳ありませんでした



**************************************

○○です。

CBTは何度かやっちゃだめかなぁと思ったことがあります。
このお話を伺って機会があれば是非試させて頂きたいと思います。
7Fr.GCで可能ですか?それとも8Fr.が必要でしょうか?
適応となる病変はどのようなところにされていたのでしょうか?
Y-stent reste?、Stent+KBT reste?、それともvergin caseですか?
○○先生よろしくお願い致します。

**************************************

○○です

CBTって本当に可能なんでしょうか?
最近、結構CBには凝ってるんですが、さすがにBalloon
Raputureしそうだし、抜けなくなる可能性のあるような
気がするのですが・・・
今日、うちのカテ室に出入りしている、メーカーの方や
ディーラーの方にも聞きましたが、関西地方では聞いたこと
ないらしいです

**************************************

今週TRIした症例ですが、胸部大動脈瘤(上行大動脈径約4.5-5cm)があり診断カテ
(前任者)の時にFemoralからカテがあがりにくく、上腕動脈アプローチでJL5、JR4
で造影し、Seg.1:90%, Seg13:90%, Seg.14:90%を認め、Seg.1に同じく上腕動脈アプ
ローチでPCIを施行されており(Seg13,14は径が細くかつ灌流域が狭くRCAを先にPCI
した・・らしい)、前任者より、ぼちぼち再評価とLCxのPCIしといて・・と申し送
られたPtでした。
申し送りどおりに今回、RCAの再評価及びSeg.13のPCI施行目的で入院され、
TRIでガイディングはFL4かな・・と考えながらカテ室に行き呆然としました。
というのも、現在、当院ではガイディングカテを入れ替え中で、運悪くJL5、FL5な
どが切れていました。JL4 or FL4などではとうてい届きそうに無く考えていたとこ
ろ、Ikariも持ってきてねと伝えておいたディーラーさんがILを持ってこられてお
り、IL4を握りしめよっしゃー!!と叫んでいました。

カテ開始後はILで右の確認造影をして再狭窄が無いのを確認した後、
IL4でSeg.13, 14のPCIを行いました。
Deepで使う必要なく結構すんなりとバルーンが通過し、PCIは無事終了しました。

いままで、○○Drの言われるように大学ではIL3.5を中心に使用していたのですが、
今回こんなきっかけでIL4にふれました。

**************************************

○○です。

1.5mmでしっかりと拡張すれば、relap 3.0mmでも通過する可能性がかなり高いと
考えます。どーしてもダメなら、もう1本2.5を使うかもしれません。CTOでこの
ように通過困難な症例は保険の範囲を超える、この場合は2.5mmを使えばステン
ト1本+バルーン3本になってしまいますが、ことは致し方ない、と考えています。

他で稼ごうと…

**************************************

○○です。

> 経験をつんだら、意識的に、ガイド
> カテのいろんな形状、サイズをあえて変えてみて、自分のもち技を意識的に増やして
> いくことをお勧めします。沢山の症例をやっていくと、どうやってもうまくいくケー
> スが殆どですが、一つしか解答のないものも、決して稀ではありません。ガイドカテ
> は、そうした事柄を理解するのに、とてもよいモデルになります。
耳が痛いです。本当にそのとおりですね。今回の八戸のケースも(僕は今でもあ
の症例は非常に難しく、逆に言うとあの症例以外ではIkariは必要ないのではな
いか、とも考えていますが)正解が一つしかないケースであったように思います。
自分のできる範囲を拡げる努力は絶えることなく必要であると痛感しました。

**************************************

○○です

八戸の○○先生の症例は、自分も遭遇する可能性が高い
症例だと思います。
GCかGWを入れて初めて、これはえらいことになりそうって
ありますよね 横で見させて頂いて、本当に勉強になりました
以前、○○先生が書かれていたようにGC、GW、Balloonの
三位一体の重要性を見たような気がしました
八戸から帰ってきてから思わず うちのGCを再確認
しました。

**************************************
○○です。

いつも、きちんと、よく考えられたレスを返してくれる、○○先生だし、本音のtra-
netなので、本音を書きます。

普通に考えて、僕も、外科に頼むと思います。こんな3枝+LMTの透析症例にPCIはしませ
ん。ただ、そもそも、こういうケースに、ポンプをまわすまわさないにせよ、LCxにど
ういうグラフティングをするにせよ、LITA-LADあるいはRITA-LADをキチンとつなぐの
は、外科医としての最低限の責務だと思います。100歩というか、一万歩譲って、SVGで
つなぐとしても、せめてLADとLCxに2本に分けてやるべきなのでしょう。100%長期開存
の自信がなければ(理論的にも、そんなことは、ありえまえんが)SVG−LAD-LCxの
sequentialなどという術式は、控えるべきだと思います。

あと、術後のPCIですが、石灰化のbuedenが多いので、先にロータすればしたで、LADに
slow flowなどのリスクはそれなりにあるでしょう。LMTはそんなにきつくは見えないの
で、LCxまではslow flowにはならなかったと思います。多分、自分ならロータで始め
ると思いますが、いろんな合併症はあるでしょう。

本例はいずれにしても、外科治療の結果がすべてなように感じます。あとからPCIで形
勢逆転をはかろうとしても厳しいですよね。月並みな返答ですいません。また、お気を
悪くされないで下さい。

**************************************

○○です

○○先生 ありがとうございます

実は術後造影してびっくりでした
なんでやねん! なんでSVG−LAD-LCxのsequentialやねんって
せめて1本でいいから動脈グラフとして欲しかったです
しかし、これがうちの外科の結果ですから 我々はこれを
見てどうするかしかないのです
やはり はじめからロータでしょうか
勇気がなかったです。 バルーンでなんとか逃げれないかなと
考えた自分が甘かったかなと反省しております

ちなみに質問ですが、末梢にこの様なsequentialなSVGがあっても
この症例はかなり特殊だと思うのですが、抹消にSVGとかあっても
ロータって可でしょうか?

**************************************

○○です。
○○先生お疲れさまです。いつも大変な御苦労をされていますね。
この症例の場合、やっぱり一番問題になるのが外科の処置でしょう。ただ、そのよう
に繋いでしまったものをいまさらどうすることもできないので、いろんな意味でお悩
みだと思います。さて、この場合、手術から約1ヶ月経過しているので、SVGのPCIと
いう選択は全くないでしょうか?御意見、御批判お待ちしております。また LADのAC
でこんなに重症になった理由は、やはりHDだと思います。皆さん御存知のようにHD
患者の冠血流は非常に多いですよね?それだけ、心筋酸素消費量が普段から多いとい
うことでしょう。原因は内シャントとLVHだと思います。特にECG
でII,III,aVF,V4-6にいわゆるLVHstrain patternといわれる陰性Tがある人は冠予備
能、心予備能が非常に低下している方が多くちょっとしたイベントで嘘みたいに状態
が悪くなることがあります。またその後のrecoverの経過を見ると、severeASがあり
そうな感じですが、この症例はどうでしたか?

**************************************

○○です。

○○先生のケースですが、SV-LAD-CXのLAD吻合よりも近位ということは、バイパス全滅
型の最悪の手術不成功ケースです。こういう場合、外科医は患者さんに「私の手術は不
成功でした。お願いですから再手術をさせてください」と、頭を下げてお願いするのが
本来の筋です。患者さんに頭を下げるというストレスの上で、2回目の手術で成功させ
る外科医は内科医からも信頼されます。本当は1回目できちんとする人がベストですけ
ど。
そういうストレスを知っているかたは、少なくともLAD-CXのsequentialは避けると思い
ます。

私は、この例はredoCABGと思います。外科医が患者さんに頭を下げ、かつ内科医に懇願
した場合のみPCIを考えますが、極めて例外です。

以前、1993年頃でしょうか、ロータもステントもない時代にがちがちの石灰化を20気圧
で開けにいって、解離だけ作って、拡張せず急性冠閉塞でなくなった例を経験しまし
た。私の印象ですが、がちがちの石灰化はスローフローになる率が低いように思いま
す。ですから、やっぱりこの病変はスローフローのリスクが多少あっても、ロータで行
かないと無理じゃなかったかと思います。

PCIでやる場合、まずSVをあけてから、LADにロータをやりに行くと思います。SV病変は
LMT相当ですから、かなり危険な手技ですが、redoでなければ、CABGのようなことをPCI
でやるわけですから、何でもありの全部やりみたいになりますね。

**************************************

○○です。

外科の話は、その施設のことなのです僕が言うのもなんですが、一度きちんと話
をされるべきではないかと思います。こんなことをroutineでされては患者さん
に対し責任を持ってCABGを薦められません、僕なら。今のうちはすごくいい外科
で関係もいいのですが、それでも“なんで?”というグラフト選択などあって、
その時はきちんと話し合いました。

で、この症例なんですが、LADが#6で閉塞したとして、それだけで落ち込む理由
が添付の写真だけでは分からなかったです。心機能はどうだったんでしょうか?
あのLADだけだとD1 flowが低下する以外はないとおもうので、D1に依存した心機
能なのか、そうでなければSVGにtroubleがおこったと判断すると思います。

この症例を僕だったらどうするか、coronary全体が分からないのですが、LADは
仕上げるのにやはりロータブレータが必要、そのためにはこの時点でグラフトの
上流になっているのですぐはリスクが高い、そこでグラフトに関係のないRCAが
それほど小さくなければまずRCA-CTOを行い、つぎにグラフトの下流のLCXをPCI
して、最後にLADとすると思います。どっちにしてもタフなことをしなくてはな
らないのは間違いなし、と思います。

**************************************

○○です。  

つい先日の症例です。まがったRCA(八戸ほどではありません)のAMIの症例(添
付の写真の1,2)です。1では閉塞で2では造影圧でTIMI-2になってます。LCA領域
が小さめで(3)特にapexは4PDのareaとなっておりdistal emboliをさけたかった
のでdistal protectionをしたい、でも曲がってるからな、という状況でした。
この症例では最初にaspirationをするとpercuserge aspiration catheterは病変
を通過しましたが、distal protection deviceを 曲がった状態(4)でも伸びて
accordionになった状態(5)でも通過させれるか?と考えていたとき、以前聞いて
いた7F percusergeのaspiration catheterのaspiration lumenに
protection deviceを入れる、作戦を思い出しました。結果的にこのときは
aspiration catheterは6の位置までしか進みませんでしたがそこからのdistal
protection deviceのcrossはそれほど苦労せず、結果としてステントにて7の良
好な最終結果となりました。



結構、有効な方法だと思います。してみて気づいたこととしては最初aspiration
catheterを入れた状態でオシリからdistal protection deviceを入れようとしま
したがこのカテーテルは吸引のために作ってるので後ろのハブが段差が強くワイ
ヤの先端が引っかかって入りませんでした。それで一度全部抜いてaspiration
catheterの先端からprotection deviceを入れて、それでうまくいきました。
お試しあれ。

ps. この症例はALでして、ステント留置までは全く問題なく進んだのですが、ガ
イドカテーテルを抜いたとたんなんとガイドカテーテルの当たってたところで閉
塞、でした。もう一度wireをtrueにrecrossしステントして結果問題なかったの
ですが、うーんこの間からALには祟られてるのか?って感じでした。ほんと や
ばい入り方だったので気をつけてたんですけどね…

**************************************

○○です。

○○先生。お疲れ様でした。
大変な症例の大変なトラブルに、すばらしいBail outをなされたと思います。

先生のご質問に対して、私見を述べさせていただきますと...

> 何故、LADが閉塞してここまで悪くなってしまったんでしょうか?

この症例の場合、もともとが不安定狭心症で、かつCABG後にも安静時に
虚血発作が起きて不安定化しているとのことですので、おそらくは、
SVGの狭窄はこの画像で見られる以上に Flow limitting stenosisで、
少なくとも、LAD+LCXの広範な領域を灌流するには不十分な血流しか
供給していないものと考えられます。
それが、LADの急性閉塞で虚血に伴うVfが合併した理由だと思います。

となると、LAD/LCX、あるいはSVGのいずれを最初にPCIするとしても、
すべてComplex Lesionですから、術中トラブルとそれに伴う高度な虚血の
可能性を考慮して、最初からIABPによるサポートが望ましかったと思います。

**************************************

> やはりまずはLADにロータをすべきなんでしょうか?

PCIの順番としては、LADが最もComplexな病変ですし、
POBAにしてもローターをするにしても、もっともトラブルを考慮すべき病変ですから、
やはり、○○先生の意見と同様に、PCIの順番としては、
一番最後にもっていった方がよかったと思います。

その前には、LCX→SVG_POBA→LADの順でPCIをしたいと思います。
SVGのPCIに関しては異論もあるでしょうが、この症例の場合、LAD/LCXの
Restenosisに関する考慮だけではなく、むしろ、LADへのPCIをより安全に行うた
めのBackupの意味が大きいと思います。

RCAのCTOに関しては、灌流域の広さや心筋ダメージ、側副血行の供給血管によっ
て適応や施行の順序が決まるでしょうが、この不安定化したハイリスク症例に対
するPCIでは、簡単に成功する見込みが高い病変かどうかが最も重要だと思い
ます。

> 石灰化手前の解離によると思われるACに対してロータってしてもいいんでしょうか?

解離病変に対するローターに関しては、以前、〇〇センターのT先生にお伺い
したことがあるのですが、「なんで、躊躇する必要があるの?大丈夫よ!」との
答えでした。

ただ、やっぱり不安なので、自分自身ではPOBAで解離したあとの病変にローター
をしたことはありません。

やっぱり、そんなことはだめだよって意見は、どなたかありませんでしょうか?
いつか、やってしまいそうなので

**************************************

○○です         

私も○○先生ほど難しい症例ではないのですが、私の甘さから難渋したRCAのAMIがあ
りました。

御高齢で見た目が少し固まっている患者さんで、しかも、スタッフが疲れている休日
の夕方という設定でした。
内径からテンポラリーを入れて、Radialから 5Frシースを入れて、左は診断カテでさっ
と見て、右は最初からガイドカテ5Fr JR 3.5でツルンポン!と終わる予定だったので
すが、甘かったです...

右肩上がりで、ちょっと屈曲して..でもカテを代えるのもおっくうで、そのままPCI。
しかし、結構硬かった!ネオスライトでは歯が立たず、結局ミラクル3でやっと通過
しましたが、アコーディオンになっているし、血栓の固まりは見えるし...。
5Fr de Percuしようと思いまして、ガードワイヤーを入れようとしてもアコーディオ
ン部位は通過が無理。
結局バルーンでアンカリーングして、GCをdeepに入れてそのまま吸引。
ドキドキしながら頑張りました。
ステントが入ってワイヤーを抜いて綺麗になった時は嬉しかったです。

症状も全くなくなり、少しdementiaの入ったおじいさまは病室に着いた瞬間、「林檎
の作業がまだあるので、今から帰る。もう、治った!通院で頼む」と歩き出そうとし
ていました。止める私に「林檎はもう最後の時期だから、今ちゃんとやらないとダメ
なんだ!先生も○○の人なら解るべ!」と説教をいただきました。

まぁ、6Fr以上で、ガイドカテをちゃんと選択してPCIを行えば余り問題の無かった症
例なのかもしれませんが...
少し反省している症例です。



**************************************
○○です

皆さん、ご意見ありがとうございました
私としましては、○○先生や○○先生の言われるような
SVGへのPCIはRCA CTOのLMTに等しいと考えて
まずはSVGが狭窄がありながらも、確保されている内に
Nativeをと判断しました

当然、外科医にreCABGをお願いするべきだったんでしょう
(これは反省しています)
以前にネットにも書きましたが、うちの外科医は
緊急はしない、もししてもこんな程度です
でも、○○先生のご意見の様に外科医とよく話をして
いかなければ、現状を変えることができないと思いますので
この症例を良い教訓として外科医と話し合いをしていこうと
思います

もしNativeをするなら、○○先生の言われるようにLCxからの
方が安全でしたね
LADはD1しかないので、ここでトラブってもまだましかな、と
一番Complexだたったんで、ここを処理したかったのが本音です
でも、そのために痛い目にあってしまいました
LVGをしていなかったんで、ひょっとしてここ1本で
保たれていたのかもしれません
RCAのCTO領域は発症時期は不明で側副血行路も
心筋Viabirityはなしと判断しました

この症例は結局PCPSの抜去までは
行きましたが、血行動態の安定が図れずHDができないなり
腎不全のために失ってしまいました

本当に反省すべき点の多い症例でした

**************************************

○○です

7F percusergeのaspiration catheterのaspiration lumenに
protection deviceを入れるって、aspiration lumenに収納
してしまうってことですか? 6Fでは無理でしょうね
でも、先端からだして進めるって技もありでしょうか?

ALはそれがあるから怖いですよね
うちでも以前にありました すぐにStent入れましたけどね

************************************** 


第56集

************************************

○○です。(症例のつづき)

1.5mmで拡張した後とはいえCTOをリラップした3.0mmで通過させるのはクランクに力
を取られるために難しく、ガイドカテをDEEPにできるEBUなどに変えるか、新しい
2.5mmのバルーンを使わないとだめだろうな…と考えました。ひとしきり色々悩んだ
後にガイドカテを変更することにしました。必ずDEEPにできるガイドカテはこの場合
は5Fハートレイルです。

バルーン通過後
治療後


************************************

○○です

「5Fr de CTO」しかも、GCをdown sizingさせてというのがかっこいいです!
素晴らしいです!

************************************
○○です。

○○先生有難うございます。でも言葉足らずで誤解があります。ごめんなさい。冠動
脈の中では5FをDEEPにしていますが、対側の大動脈にIkariカテーテルのボディーを
当てて支えにしています。したがって正確には「子カテ de CTO」になります。実は
カッコ良く「5Fr de CTO」をしてみましたが、カッコ悪くシステムが跳ね上がってし
まいました。誤解を与えたみたいで本当に申し訳ありません。

************************************

○○です。

○○先生の答えを心待ちにしていました。

6FのIkari-Lに5Fのハートレールで親子にしてCXのCTOをあけるというのは、かっこい

ですね。今度私もやってみます。○○先生からも指摘があるように、Ikari−Lはどちら

というとdeepにしにくいカテだと思います。ただ、本来のコンセプトがdeepにせずに勝

するカテですから、仕方がないのですけど。ただ、「5F de 親子」ができれば、どん

症例でもいけそうですね。

************************************

○○です

○○先生の事ですから、きっと子カテでCTOだろうと
期待しておりました
うちでも、IKARI + 5F子カテをRightに使用した事が
あります、これはかなり使える技ですね
ただし、八戸の症例で○○先生が言われてたんですけど
圧もでないし、造影もできないし、エアーはかむし
慣れと、注意が必要ですね
でも、かなり強力な武器であるのは事実だと思います

************************************

○○です。

機会があったら、私も「5F de 親子」を試してみます。ところで、CTOですが、変な
分類ですが、「バルーン不通過タイプ」と「ワイヤ不通過タイプ」に2極分類できるよ

な気がしませんか?

○○先生の症例は、典型的な「バルーン不通過タイプ」ですよね。ワイヤは、6Frガイ

で、インターパスとinermediateで通っているのですから、ワイヤリング自体に多大
な困難があったようではない印象です(もし、大変難しかったのでしたら、失礼の
段、申し訳ありません。)。こういう病変は、IVUSでみると、全周性のsuperficial
calcですよね、きっと?(○○先生、どうですか?) 逆に、そうだからこそ、ワイ
ヤはsub-intimaに潜ることもなく、力がきちんと先端まで伝わって、比較的容易に
inermediateとかMiracle 3.0位でパスするんだと思います。ただ、バルーンになると
きつい。この、比較的柔らかめのワイヤで通ったのに、バルーンで難渋するタイプ、
僕も随分と経験があります。そこで、いろんな裏技でこれに対抗するわけですよね。
最終兵器は、「anchoring」「親子カテ」「(思い切ってワイヤを代えて)ロータ」あ
たり
でしょうか? OTWを不通過部位に押し付けた形で、0.014を抜去して、ロータワイヤ
でのリクロスがこのタイプで比較的容易なのも、ようは、石のトンネルを通しなおす
ためなのでしょう。

「ワイヤ不通過タイプ」の典型は、遠位部近位端に石灰化、かつtaperingがあるタイプ
で、taperingの頂点にあるごくわずかな石灰化によっても、周囲が柔らかいため、硬
いワイヤでもこの小さな石灰化を貫けない硬さのレベルなら、すぐsub-intimaに潜っ
てしまうものです。もちろん、血管の屈曲、ワイヤバイアス、ガイドカテのサポート
なども大きく影響するでしょう。僕は、先週ご報告した症例を含めて、このところ、
3例続けて対側造影をおいて、コンケストで直上から通す、こうしたtaperingタイプ
の症例に遭遇しました。通るまでは、それこそ、一筋縄ではいきませんが、一旦通っ
てしまえば、(いずれも、7Fr TFIで、ガイドカテのバックアップは強くしてあるた
め)各々、u-Pass 1.5-20mm・Stomer 1.5-15mm・OTW Marverick2 1.5ー15mmが、
vibrationなどのテクニックなしに容易に通過しています。また、その後、IVUSを見
れたものでは、全周性の石灰化などなく、何でこんな大して硬そうでないCTOにてこ
ずるんだろう? と思いましたが、よくよく考え直せば、大して硬そうでないこと、
つまり、taperingの頂点という一点だけが硬く、他が柔らかいことが難しさの根源で
あるわけです。このタイプは、それこそ、コンケストのパラレルが一番よい方法だと
思います。

もちろん、これらは極端な例えですが、いま、自分がやっているCTOが、どちらの要
素がdominantなものか、考えながらやると、上手くいきそうな気がしませんか? 初
めて考えたことなので、あまり上手に文章にまとめられず、すみません。

************************************

○○ です。

遅レスで済みません。

> 7F percusergeのaspiration catheterのaspiration lumenに
> protection deviceを入れるって、aspiration lumenに収納
> してしまうってことですか? 6Fでは無理でしょうね
> でも、先端からだして進めるって技もありでしょうか?
そのとーり、aspiration lumenに入れます。7Fでも結構ギチギチでしたので6Fで
はまだ試していませんがしんどいと思います。
先端から出すのは、あのワイヤー先端なのでちょっと危ない感じはします。

************************************

恥ずかしいので匿名希望です。

経験不足なので発言するのも恐縮ですが、○○先生の表現はすごくイメージがわく気
がします。経験豊富な先生の感覚的な部分を文章にしてもらうことは、小生のような
若輩者には本当にありがたいことです。

勉強になるなあと改めてこのネットに感謝です。

お礼がいいたかったのでメールさせていただきました。失礼しました。。。

************************************

○○です。

>Ikari−Lはどちらかというとdeepにしにくいカテだと思います。ただ、本来のコン
セプトがdeepにせずに勝負するカテですから、仕方がないのですけど。ただ、「5F
de 親子」ができれば、どんな症例でもいけそうですね。

○○先生コメント有難うございました。もう1点、Ikariカテーテルは同軸性が高いの
で子カテである5Fをdeepにするのが非常に容易でした。このことから私の個人的な
意見ではIkariカテと5Fストレートを組み合せることで、先端の長さを変えることの
できる「究極のlong-tip」を得ることができます。○○先生の御指摘のごとく後はエ
アーなどの注意を怠らないことだと思います。皆様も機会があれば使用されてはいか
がでしょう。

************************************

TRA-netのご参加の皆様
初めまして。○○病院循環器科の
○○と申します。
この度○○先生のご配慮で皆様のお仲間入りをさせて
いただくことになりました。
私は昭和○○年○○大学卒業、現在○○年目になります。
主に救急病院を渡り歩き、この春○○病院救命救急センタ−
から現在の病院に移りました。というわけで、とりあえず
専門は心臓救急と言うことになるのでしょうが、もちろん
インタ−ベンションもいろいろと経験させていただきました。
TRIも○○先生の手ほどきもあり、そこそこ勉強させてもらってます。
このメ−リングリストのお噂はかねがねお聞きしてましたが、
実際どうやって参加させていただけるか分からないところでした。
きっかけを捜しておりましたところ、先日の八戸ライブで○○先生と
お酒を飲む機会があり、ご紹介していただくこととなった次第です。
日頃、TRIを追求していらっしゃる先生の、奇抜(失礼!)なアイデァには
感服しております。私も何か新作を考えて投稿したいと思いますので
今後ともよろしくお願い申し上げます。
なお、微力ながら私が少しからんでいる○○のPCI関連研究会や
ライブデモもありますので、ご紹介がてらその辺の話題なども
書かせていただけましたら幸いです。
末永いお付き合いをお願い申し上げます。

************************************

○○です。

TRA-net会員の皆様、初めまして。
この度、新規にTRA-netに入会させて戴きました○○です。
出身は○○大医学部、昭和○○年卒で、現在は、○○病院 心臓血管センター
に所属しております。
先日、○○先生の八戸ライブに参加させて戴き、大変有意義な勉強をさせていただき
ました。また、夜の懇親の場で○○先生の"Let it be"を、いや"TRI"のプロモーショ
ンビデオを感動をもって拝見させて戴きました。しかも、2次会の最後にTRIを皆さん
とともに合唱してしまい、○○に帰ってからもしばらく"TRI"のイメージソングが耳
に残っていました。
これまでの私のPCIは、TRIには余りこだわってはいませんで、病変によって
はdebulkingも可能なTFIの割合が多くなっていました。しかし、Radialistの先生方
のTRIという手技に対するこだわりと執念、そして何よりも、非常に多くの工夫を凝
らしていることに驚きました。また、この会のようなお互いの情報交換のnetが充実
していて、新しい工夫や発見を会員の皆さんで共有できる場が身じかにあることは、
非常に素晴らしいと思いました。
これからは、私もTRIにこだわってみたいと思っておりますので、どうぞ宜しくお願
い致します。

************************************
TRA-NET の皆様、このたびお仲間の加えさせて頂くことになりました
○○と申します。

略歴:
 卒業大学・年度;○○大学医学部 ○○年卒
 カテ歴    ;1990年4月10日より通算12年
 PCI 歴    ;1991年6月7日より通算11年
 現所属病院  ;○○病院

大学院卒ですが、当時の専攻は内分泌・高血圧でした。循環器疾患の
専門医になる夢が捨てきれず、当時の恩師の不興を買うことを覚悟で
1990年、○○病院循環器内科に所属させて頂き修行しました。
昨年4月に当院に赴任しましたが、上記2箇所の病院以外でのカテ歴
はありません。
心カテ症例数の正確な数は残していませんが、PCI数は12月7日現在で、
739例であまり大きな顔ができる数ではありません。最初の 3年間ぐら
いは、AMI しか PCI にタッチさせてもらえませんでした。○○では、
背景人口のわりに PCI を行っている病院数が多く、○○病院
自体でも年間200例(今はもっと多いと思います)ぐらいで経験を積む
のが大変でした。自験例で年間100例を維持できるようになったのは、
4年ぐらい前からです。

初めて PCI をしたのは(先にも述べましたが)、1991年6月7日のことで
今でもよく覚えています。当時の上司2名が、研究会に出張した時に救
急で来院した AMI の方でした。経験の浅い同僚を second につけて、
恐々実施。無事治療に成功しました。この時使用した balloonは、ACX
というballoonで今でも(お守りとして)大切に保管しています。(こん
な話は不気味でしょうか?)

TRA-NET の評判は○○院長より以前から伺っておりましたが、気後れし
てなかなか参加の手を上げることができませんでした。やっと腰をあげ
る気になったのは、45歳を過ぎて motivation を維持することが困難に
なってきたことを実感してきたからです。TRA-NET の皆様方のご意見を
糧として目と手と頭の働く限り、最前線で医療を続けたいと思います。

建設的な発言は難しいかもしれませんが、聞くは一時の恥・聞かぬは一
生の恥のつもりで批判・批評をお願いする発言をする所存です。

どうかよろしくお願い申し上げます。

************************************

TRA-netのみなさま、こんばんは
○○です。 久々の登場

○○先生、7年間、ごくろうさまでした。
私は5年間、○○先生と一緒に仕事ができて、本当に楽しかったです。
特に、PCIに関しては、豊富なアイディアで楽しませていただきました。
(ボツになったものもありましたね)。また、PCIで困ったら、ドラえもんのように、
いろんな手技を出しては、問題を解決してくれました。感謝しています。

これからは、私がアイディアを出さなければいけない立場です。今までは、○○先生
が見ているだけで、安心していられたのですが。今後も、TRA-netを活用しながら、
がんばりたいと思います。先生も、N大学のイビリにめげず、ご活躍を!
ところで、Radialist.comの○○病院のページ、更新しなくちゃいけませんね。
来年になりそうですが、データを送りますので、よろしくお願いいたします。

新しい心エコー機Vivid 7も入りました。これはすごいです。壁運動というか、心筋
の伸び縮みがカラーで表示されます。LVGいらないぞ、という印象です。

近況でした。

************************************

○○といいます。

さいきんネットが静かでさみしい毎日を過ごしています。
恥ずかしいんですが、このスキにあわよくば教えていただきたいことがあるのでメール
します。

実は、循環器科としては二年目のペーペーなんですが、最近はじめてintermediateをさ
わらしてもらいました。
そのときにワイヤーの抵抗というのを意識しようと意識はしたんですが・・・よくわか
りませんでした。
ワイヤーの抵抗を感じるようなフェザータッチで!と光藤先生の本にも書いています
し、たくさんの先生がおっしゃていますが、正直言ってよくわかりません。透視上、@
ガイドワイヤーがたわむ A行き過ぎるとガイディングカテーテルが浮いてくる など
といった客観的なことをたよりに操作しているのが正直なところです。

そこで・・・ワイヤーの抵抗というのは、やっぱりトルカーを通じた右の指で感じ取っ
ているのでしょうか?
また、ワイヤーをcrossさせるときは、右の指でワイヤーを押しているのでしょう
か?それとも左の指で押していくのでしょうか?
トルカーは、指の上にのせてるだけっていうくらいやわらかく持とうとするとすぐにす
べってしまうし、持ってしまうとやっぱりよくわからないし。

本とか調べても、結構具体的な事が書いてなくて困っています。

ちょっと時間があいた時にでも、是非教えてください!

どうぞよろしくお願いします。

************************************
○○です。

このところ、Tra-netの皆様にはすっかり御無沙汰しております。

最近2-3例ほどハヤテプロ1.25mmのバルーンを使ってみました。
1.25なので通過性が良いのではと期待していましたが、
結論から言ってマーベリックの方がベターと思いました。

ハヤテプロはシャフトが硬く、
一見通過性に優れるように見えるのですが、
バルーンを押す力が遠位側に伝わらず、
逆にダイレクトに手元に帰ってくるといいますか、
バルーンは進まずにガイドカテばかりが外れてしまうといった状況に
陥りやすいような感じがしました。
もっとも透析例のCTOも含まれており、
すべてをハヤテプロの責任にするのは酷かも知れませんが....。

保険の縛りがきつくなった昨今、
CTOに対するバルーン選択は非常に重要です。
私が今回得た印象は正しいのか、
今後のためにも皆さんの使用感を伺えればとメールしました。
よろしくお願いします。

************************************

○○です

CTOのバルーンですが
国産では最近、シャーウッドのVicto-Xがお気に入りです
Hyateのそこそこの病変にはいいと思いますが、シビアな
病変にはまだまだな印象です

************************************

○○です

私の場合は、滅多にトルカーを使いませんが、右手でワイヤーを
回して、左手でワイヤーを押しています
トルカーを付けている時も同様です
トルカーで押すとあんまり感覚が分からないような気がするんですけど
こんなんでは答えになってないでしょうか?

************************************

○○です。

以前、話の出た○○の体制についてですが、なんかすごいことになっているみたいで
す。
自分的には麻酔科を応援しちゃってます。
学術的でなくてすみません。前は、こんなのも多かった気がしますが。

************************************

○○です。

○○先生ご質問の、ワイヤの抵抗についてですが、

>@ガイドワイヤーがたわむ A行き過ぎるとガイディングカテーテルが浮いてくる
 などといった客観的なことをたよりに操作しているのが正直なところです。

というのは、まさしく正論で、特に、たわんだワイヤは絶対に通過しない、というの
は、とても重要なことです。柔らかいものはバランスから、硬いものはコンケストま
で、すべてのワイヤに共通する普遍の真理ですね。

ワイヤの抵抗は、感ずるほかないので、どうやったら感じられるようになるか、なか
なか文章にするのは、難しいです。しかし、自分が理解する限り、ワイヤの操作概念
は、大まかに分けて、下記の3通りになります。ご自分が、どのやり方をつかってい
るのか、意識しながら操作すると、抵抗を感じることができるようになると思いま
す。

下記の文章は、実は、自分が、とある出版物に書いている原稿の一部です。長文なの
で、ご興味のある方のみ、ご一読ください。

<ワイヤの操作概念>
1)回転させながら狙いをつけて押し・引きする
通常の病変でも、CTOでも、これが、病変のクロスにあたっての、ワイヤ操作の基本
だと考えています。文字とおり、angioをみながら狙いをつけた方向に、ゆっくりと
(これが大切!)トルクをかけ、押し・引きすることでワイヤを進めていきます。
「必要最小限の曲げ」に、よくマッチした方法です。重要なのは、ただ押すだけではワ
イヤは進まないこと、つまり、たわんだ状態でいくら押したところで決して進まない
ことです。例えば、下方から上方へ向うeccentric plaqueがあったとします。ワイヤ
は、当然、カーブが下方から上方へ向うようにすすめていきますが、押し付けただけ
では、ただたわむのみになってしまいます。そこで、若干のテンションがかかった状
態(たわむまでにはいかない!)で、回転させながらわずかに引くことで、ワイヤは
plaqueを乗り越えることができます。

2)高速に回転させて進める
動摩擦は、静止摩擦よりも少ないことを利用する技法で、時計方向・半時計方向に、
小刻みに同じ幅だけ高速で回転させながらワイヤを進めていきます。自分は主に病変
をクロスしたのち、屈曲血管の末梢までワイヤをすすめる際に用いています。もちろ
ん、このテクニックは病変をクロスする際にも使用できますし、この技法を第一選択
とされる先生も少なくありません。石灰化を伴う高度狭窄(閉塞ではありません!)
に、Choice PTに代表されるプラスチックワイヤを用いる場合などが最も良い適応と
思います。Choice PTでは微細なトルクコントロールはできませんが、このテクニッ
クを用いることで、もともと小さい、石灰化とワイヤの摩擦を、さらに最小限にして
高度狭窄病変のクロスを試みるわけです。

3)先端を反転させ、ループを作って進める
ひとたび病変をクロスした後、小さな側枝にワイヤ先端が入った際、そのまま軽く押
し付けるとワイヤ先端が反転しループが形成されます。このまま押し込んでしまえ
ば、側枝にはいることなく、本幹末梢まで、極めて短時間でワイヤを進めることがで
きます。先端さえ柔らかなスプリングタイプであれば、様々な種類のワイヤに応用可
能です。プラスチックワイヤでこの方法を行おうと、まれに屈曲の部分でワイヤが固
定され、押し込もうとした際に、反転したワイヤ先端が冠動脈穿孔を起こしうるの
で、やらないほうが賢明です。汎用品のスプリングタイプ以外でも、ベアワイヤで、
ロータフロッピーやFlexiwire、Ironmanなど、トルク伝達の不良なワイヤを冠動脈末
梢まで持ち込む際にも、非常に有効です(グランドスラムは、先端が硬いので、本法
を用いてはなりません)。また、一度植え込んだステントを、本幹末梢方向にリクロ
スする場合も、この操作を意図的に行えば、ワイヤ先端がストラットの下に潜ること
がないので、しっておいて損はありません。ただし、ワイヤ先端のカーブは壊れてし
まいますから、分岐部病変など、一旦本幹にいれたワイヤで、ステントストラットの
側枝方向へのクロスを、改めて試みるような場合は、やらないほうがベターです。

>そこで・・・ワイヤーの抵抗というのは、やっぱりトルカーを通じた右の指で感じ
取っているのでしょうか?
また、ワイヤーをcrossさせるときは、右の指でワイヤーを押しているのでしょ
うか?それとも左の指で押していくのでしょうか?

<実際のワイヤ操作>
1)非CTOでのワイヤ操作
CTO以外の通常の病変では、bare wireを原則とし、BMWなどの汎用品ワイヤを用いる
場合は、トルカーを原則として使用しません。(トルカーをつけるメリットを感じな
いし、その脱着にはある時間を要するため、これを節約することで手技時間の短縮を
図りたいからです。)右手第1指と第2指で、上方からつかむ形でワイヤをもち、前
後に動かすとともに、手首を時計方向・半時計方向に回すことで各々180°未満のト
ルクをかけるだけです。操作は右手のみですから、抵抗感も主として右手関節で感じ
るんでしょう。ただし、CTOでのワイヤ操作法のように、微細な抵抗感を感ずること
はできません。

このトルクを掛け過ぎないことが、かえって通常の病変では、通過を容易にしている
と考えられます。つまり、トルクを限定することによって、病変通過に最適な方向に
ワイヤを固定しやすいわけです。(つまり、1)回転させながら狙いをつけて押し・
引きするに最適化された方法です)

屈曲血管で高速に回転させることが必要な場合も(つまり、2)高速に回転させて進
める、を用いる場合も)、右手第1指と第2指の間で、こよりを作るような運動をす
ることで、ある程度対応できます。手関節によって得られるトルクだけでは不十分な
場合に初めて、トルカーをつけ、さらに回転を加えています。なお、Choice PTの回
転で病変の通過を試みる場合は、最初からトルカーをつけて回転を上げたほうが良い
とおもわれます。思った方向に向けること自体が困難ですから。

2)CTOでのワイヤ操作
CTOにおいては、ワイヤ操作は全くことなります。病変内で、CTO用のワイヤを進め、
あるいは抜く時に発生するあらゆる抵抗感、すべりを敏感に察知しなくてはなりませ
ん。このため、必ずマイクロカテーテルあるいはOTWバルーンを使用し、左手第1・2
指でワイヤを出し入れしながら、トルカーを右第1.2指で下から支えるような形で
保持し、微妙な回転を加えます。当然、縦方向の抵抗感は、左手で、回転にたいする
(トルクに対する)抵抗感は右手で感ずることになります。ただし、CTOでは、原
則、1)回転させながら狙いをつけて押し・引きする で行きますから、トルクをそ
んなにかけることはありません。本当は、非CTOも、このやり方をするべきなのかも
しれませんし、それがベストなのでしょうが、大半の病変では、1)の簡易化した方
法でうまくいくので、使っていません。

実は、最近、自分が術者をしたライブのビデオを見ていて愕然としたのですが、CTO
に対して、随分ゆっくり回していると思っていたのですが、画面で見ると、加藤先生
や玉井先生といった大巨匠の先生方に比べると、まだまだ、早いんですね。このあた
りに、さらなる上達の糸口があるように思いました。

************************************

○○です。

自分も、ハヤテプロは、1.5mmまでですが、それなりに使いました。いいバルーンだ
とは思いますが、まだ、マーベリック2に一日の長はあるのでしょうね。バルーン自
体の、縦方向の柔らかさがまだまだ違うように思われました。

先生が試されたのは1.25mmとのことですが、1.5mmとの違いは体感できましたか? 
というのも、バルーン通過に難渋するのは大半がチップの部分がつかえるからで、バ
ルーンそれ自体ではないからです。また、CTOの場合、1.5mmで広げれば、そのあと
IVUSを使うことができるので、かなり治療戦略をロジカルに決めることができます。
1.25mmの拡張で、IVUSは通過しますか?

よろしく、ご教授ください。

************************************

○○です

よこやりレスです
以前、CTOにモーメンタム 1.3mmを使用した後 IVUSを
使用した経験があります
また、病変によってはインターパスで通過させただけで
IVUSが通過した事があります
残念ながらテルモ 1.25の経験はありません・・・

明日から鎌倉ライブですね 皆様にお会いできるの
楽しみにしております

************************************

○○です。
みなさん、鎌倉ですね。
私も、朝イチの飛行機で向かわせていただきます。

12月12日木曜日に、○○先生の○○にお邪魔させていただきました。

○○先生、たいへんお忙しい日常業務のなかでお相手いただきまして、ありがとうご
ざいました。ご迷惑をおかけしました。

6例のカテが予定されていて、結局そのうち5例が PCI でした。
IVUS幼稚園の園児以下のわたしですので、IVUSの勉強をさせていただくのが主な目的
だったのですが、全例しっかりと IVUS を見て丁寧に PCI されており、
あ、これが本当にIVUSを使うということなんだ、IVUSをとりあえず入れる、というの
は違うんだ、、、と感じました。

朝からカテ室に入り、18時に私が失礼させていただくまで、ほとんど昼休みもとら
ずに元気に頑張っておられ、うらやましいなあ、と思っちゃいました。

○○先生の下に、ローテーターの研修医を含む若い先生がたくさんおられ、○○先生
ご自身がカテ室全体をきりもりし、搬入時間決定や、術者やサブの先生を指名して院
内携帯で呼び出すことまでされておられたようでした。
ある程度させながら指導しておられ、細かい質問にもひとつひとつ丁寧に答えてらっ
しゃいました。感動。
臨床工学士、放射線技師さんなども若い方が多いようで、全体的にとても若くて活気
のあるカテ室でした。 当然、患者さんも含めてみなさん○○弁で、いつのまにか、
何と言っていいのかわかりませんが、○○マジックに呑み込まれたように感じる瞬間
がありました。

なんでもできるという噂の、○○先生のノートパソコンもみせていただき、
院内のどこにいても、今のカテ室の状況がリアルタイムで動画で見られるというのは
感動ものでした。

また、以前から話題でした、超大作!のカテのデータベース。
更にバージョンアップされて使いやすくなったとのことで、実際に院内LANのなかで
運用されているところを解説していただき、とても参考になりました。
このデータベースのために?、ファイルメーカープロのメーリングリストにも入って
らっしゃるとのこと、、、すごいです!

○○の皆様、たいへんお世話になりました。
まだ手技途中に失礼させていただき、最後にちゃんとご挨拶もできずに申し訳ありま
せんでした。
またそのうち、是非、お邪魔させてください。ありがとうございました。

************************************

○○です

鎌倉ライブに参加していない全国の留守番組の皆さん!
お仕事頑張りましょう!!
参加組の皆さん、またみやげ話を聞かせてください。

************************************

○○です。

忘年会出席のため、ライブに行けなかった全国のみなさま。
今晩は飲みましょう!!
(なんで土曜日に忘年会するのだろう)

************************************

○○です

鎌倉ライブ参加されたみなさま お疲れさまでした
コメコメ倶楽部、TRIセッション大変楽しかったです
○○先生お疲れさまでした
今回のライブの収穫はやはり5F de パークです
○○先生のように少しDeepでもよいのか、○○先生の
ように奥まで入れるのがいいのか分かりませんが・・・・
いずれにしても、さっそく試してみたいと考えています

でも、IVUSはしたいので6F+子カテ de パークにしてみようと
思います

************************************

○○です。
ご無沙汰しております。
鎌倉ライブで皆様の懐かしい顔を拝見できて、
さらに恒例のミサにも出席できて大変充実した2日間でした。
○○先生も最後にコメントされたように
TRIのデモライブとしては、世界最大だと思われます。
我がnetの巨匠方もfacultyに沢山名を連ねてらっしゃいました。
なかでも夕方のTRIセッションは内容が濃く大変有意義なものでした。

さて趣向を凝らしたいろんなtipsがあるなかで
○○先生ご指摘の如く収穫はなんと行っても5F de Percu(by ○○Dr.)です。
ライブの症例でSVG→LADの変成グラフトの狭窄に
対して、裏中継のコメンテーターの制止を振り切り
○○先生が5Fr de Percuをされ、
“こんなんで引けるかよ”との会場のおおよその期待を
裏切り見事debrisが引けてきたのはちょっと驚きでした。
あれを見ていたら、入るところまで5Fのガイドカテを
deep intubationし2~3回吸えば、充分なのかなと思いました。

それと教えた欲しいのですが5F ガイドカテにもいろいろ種類が
登場し始めておりますが、小生はZuma 2しか使ったことがありません。
Zuma2は結構硬めと思うのですが、これより柔らかなものがあれば
どなたか教えて頂けないでしょうか?宜しくお願いします。

************************************

○○です。

○○先生ハヤテプロに関するレス有り難うございました。
また、○○先生をはじめ鎌倉ライブに参加された先生方、ご苦労様でした。

鎌倉ライブで、JJのアクア1.5が通過しなかった病変を、
ハヤテプロ1.5は何の抵抗もなく通過したという症例がありました。
したがって、ハヤテプロは決して悪いバルーンではないでしょう。
もっとも、アクアは高圧をかけるとワイヤールーメンが潰れるため、
ルーメンの耐圧性をあげるために通過性が犠牲になったという話も聞いておりますの
で、
単にアクアが悪いのかもしれませんが....。

ハヤテの1.25と1.5との比較は、1.5の使用経験がないためわかりませんが、
ハヤテ1.25が他社の1.5のバルーンに比し、それほど秀でているとは思いません。

私がハヤテで気になるのは、
チップの通過性がそれほど良くないのに、
pushabilityをあげるためにシャフトが縦方向に硬く作られすぎており、
バルーンとしてのトータルの性能が逆に損なわれているような印象を受ける点です。

今回の場合は透析例のCXのCTOに対し、
femoralアプローチで7FEBUを用いております。
チップが病変に入っていかないので
vivrationをかけながらバルーンを無理やり押し進めていたら、
バルーンシャフトの硬さがアダになり、
突然はねるような感じでシャフトがたわみ、
そのままシステムごと冠動脈からはじき飛ばされて抜けてしまうといったことを繰り
返しました。
例えばマーベリックなどでは、カテが抜けそうになってから完全に抜けるまでの挙動

もう少しゆっくとしていてコントロールしやすいような感じがします。

1.25の後にIVUSを使ったことはないので通過性はわかりません。

************************************

○○です

皆さま、鎌倉ライブでは御世話になりました。
有り難うございました。

私の一発芸、「5Fr de Percu」うけて良かったです!
過去に某先生より「プレゼンは内容も大切だけど、笑いがなければ通用しない!」と
教わったもので、笑いネタも交えてみました。

私としては深く入れる方が良く吸えるような気がしますので、入るのでしたら病変や
入れたステントを越してまでdeepするのが良いと思います。
最近、Zuma 5Frはほとんど使用しておりませんで、柔らかさよりも操作性の良さを買っ
てBrite tip 5Frを使用しております。

私も「6Fr & 子カテde Percu」もやってみたいなぁと思います。

私としては○○先生の5.5Frという発想がとても楽しいネタでした。
5.5Frだと、四捨五入で6Frになるので、5.4Frで出来ないものかと真剣に考えており
ます。

ライブ1日目で宴会も含めて力を使い果たし、2日目のライブはちゃんと見るだけの
集中力が無く、反省しております。根性不足です。
2日目の仕事としては、○○先生の壇上の晴れ姿の写真を撮り、流暢な英語での質問
を聞いただけで終わりでした。

************************************

○○です。
鎌倉ライブにご参加の皆様、大変お疲れ様でした。
今年は私にとって非常に実りの多い1年でした。
5月に今の病院に移り、6月に○○先生から八戸ミニライブの
お誘いを受けてから、北光ライブ、北海道ライブ、そして
八戸ライブからTRA-netへの加入、釜山ライブに鎌倉ライブと
めまぐるしい半年間でしたが、この間素晴らしい先生方(メ−カ−さんも)に
出会えることができました。特にTRIを中心に集まった先生方には
全国どこに行っても気軽に話しかけていただき、すぐに仲間に
入らせてもらいました。感謝感激です。本当に有難うございました。
鎌倉ライブは久しぶりの参加でしたが、初めて目にしたDr.Sakai's Viewでの
熱い、そして面白い討論会は衝撃的でもあり、一種のカルチャーショックでした。
思えば北海道にはTRIをfeatureしたライブはなく、あのようなフランクな
研究会も今だ少ない状況です。宴会でも言いましたが、来年は
是非「北海道TRI教育ライブ」なんていうものが出来たらいいなぁと
今密かに根回し(いや、企画)中です。いけそうだったら、もちろん
TRA-netの皆様にご協力をお願いすることとなると思います。
またご連絡しますのでよろしくお願い申し上げます。
では年末の折り、皆様飲み過ぎませんように(お前に言われたくない?)
くれぐれもご自愛下さいませ。

************************************
○○です。

鎌倉ライブでは、TRA-netの多くのメンバーの方々のプレゼンテーションやご意見を
いただき、大変勉強になりました。
夜の教育セッションはまるで”メール版であるTRA-net”を”TRA-net実写版”で見て
いるような雰囲気で、本音をどんどん言っていただき、他のライブや研究会にはない
ユニークなセッションになったと思っています。

************************************
○○です。

鎌倉ライブにご参加の皆様、本当にお疲れさまでした。
私はこれまで機会がなくて、実は鎌倉ライブは初参加でした。
うわさの教育セッションの雰囲気も生で味わえて、感激です。
それにたくさんの先生方とも話ができて有意義な二日間でした。
自分でも是非tryしてみようと思うものがたくさんあり、勉強になりました。
それにTRA-netには入ってまもないですが、net上での討論からもたくさん
勉強させていただいています。
この場をかりてお礼申し上げます。
今後とも宜しくお願い申し上げます。

企画隊長の○○先生、
是非北海道にも何でもありのTRIの会を作ってください!
実現するのを楽しみにしています。

************************************
○○です。

○○先生、北海道の教育的TRIライブ是非 実現させて下さい
その際は自腹を切って出かけて行きますので・・・
実は関西も九州、八戸、鎌倉の様な良い雰囲気の
TRIライブってあんまりない様な気がします
IVUSをfeatureした素晴らしいライブはありますが
その他のは・・・・・ こんなこと書いていいのかな?
でも、関西のもっともっと芸人魂で頑張りたいと
思います

************************************
○○です

○○先生の教育講演の質問でも出たのですが
5F de Parcuの場合の患者さんへの請求は
吸引カテとGurde wireは別々に償還価格が付いている
はずですので、別々に使用した場合は別々に請求できる
はずです 病院が買うのはセットですけどね

やはりもうそろそろメドトロは全国的にセット販売を止めるべきだと
思います

************************************
○○です。

鎌倉ライブにご参加の先生方、お疲れ様です。
TRA-netのオフ会のようなのりで、本当に大盛会でした。裏コメは結構きわどい発言
の連続でしたね。小生なりには、いささか軽率な発言であったと反省しております。
不愉快にお感じの方がおられたかと存じますが、どうぞ平に御容赦下さい。また多く
の教育的な演題に恵まれ、特に初日夜のセッションは、非常に勉強になりました。
MLのような不躾な質問を連発し、お恥ずかしい限りです。特に5F de Percuは早速実
戦投入を目論んでおります。りんくうのショートTipsもテンポよく印象に残りまし
た。

その後のTRA恒例の飲み会では、初めて北日本の先生方とじっくりお話できて、大変
面白かったです。

と言うわけで、来年もまた終結したいと心から願う素晴らしい会でありました。今後
ともどうぞ宜しくお願い申し上げます。特に○○先生、○○先生、この場をお借りし
て篤く御礼申し上げます。

************************************
○○です。今夜は当直で在院しております。さっきERから呼ばれたんですが、
PSVTでした。

ウチのERは運用上、1次救急の振り分けは、ER看護師が行っていますが、それなりに
うまく機能しています。
外科系、内科系、マイナー系1名ずつ、それに加え救急センター3-4名、循環器、呼吸
器、消化器など各科院内当直体制です。
私大ですから原則的に医師のコストが低いので、多くのスタッフが院内拘束です。
しかし個人的には、精神的ストレスが少なくて結構気に入っております。

○○先生、鎌倉でお会いできなくて残念でした。事件のリンクですが、恐る恐る見て
きました。
凄いことになってますね。一般に公立私立問わず、本邦の一部の医療現場がこれまで
内包してきた諸問題が、まさに凝縮されています。
************************************

○○です。

○○先生resありがとうございます。

> 最近、Zuma 5Frはほとんど使用しておりませんで、柔らかさよりも操作性の良さを買

> てBrite tip 5Frを使用しております。

mini-lectureのなかでも海外のGuestも
5Fr.PCI一押しの先生が多い印象でした。
今またダウンサイジングを計るべき世情でしょうか。
Brite tip 5Fr.をさっそく取り寄せてみます。

************************************
ァ 



第57集

*************************************

○○です。本日は御相談させていただきたい症例があります。
症例は51才男性でLADにPCIを施行しています。RCAのseg1にCAGでdefectを認め
IVUS像はこのようになっていました。ulcerationと解釈すればよろしいのでしょ
うか?またどう対処すればよろしいのでしょうか?現在は無症状で負荷試験も
negativeです。よろしくお願いします。

RCA
RCA seg.1
IVUS distal
IVUS mid
IVUS proxymal


*************************************

○○です。
画像を変換するのを忘れていました、IVUSはdefect部分のdistal,mid,proximal
でフロー像です。

*************************************

○○です

質問があるのですが、RCAに関しては今まで
iventはありませんでしたでしょうか?
CAG上はold raputured plaqueなんでしょうか
IVUSはendsonicsなんでしょうが、できればフロー
マップをオフにした画像も見てみたいです
今なら、虚血所見がなければmedical followにしてしまう
と思います
もし、インターベンションするにしてもunstabel plaqueでは
なさそうだし、stent入れて終わると思います

*************************************

○○です。
早速のレスをありがとうございます。RCAに関してはイベントは無くwall motion
も正常でした。STENTに関してですが、血管径が最大で6ミリほどでサイズが問
題なのですがいかがでしょうか?

*************************************

○○です。

みなさん鎌倉おつかれさまでした。楽しかったっす。
かつて、○○先生が○○で「裏ライブ」やって大御所から叱られたことがありましたが
(時効?)、今回もアルコールありの、裏中継ありの、といった感じが、いまだに
「裏」っぽくって、Radial spiritを感じました。

さて、早速AMI (RCA#2)がやってきました。発症から一週間程たっており、血栓はギト
ギトでThrombusterではまったく吸えません。頭によぎったのは「5Frdepark」ですが、
例のテルモのガイディングがありません。ここは、エイヤッと6Fr(Mach1FR4.0)のGCを
そのままDeepにいれ、チューチューチュー吸ってみました。これが、また引ける、引け
る。
ということで、感動したので写真までつけます。昔からある裏技ですが、知っていると
便利です。

Pre
チューチュー
Post


*************************************

○○です

昨日のメールが途中で途切れてしまったようで、すみません
もし、ステントするならS670を入れて、ポストのバルーンで
思い切り広げると思いますが、足らなければパラレルバルーン
とかでしょうか

*************************************

○○です

血栓ギトギトの時って本当にRescueとかThrombusterでは
全然吸えない時ありますね
当然RCAに多いと思いますが、ここまでガイディングが入れば
使える裏技ですね

ところで、このような病変ではあまりプラークがない事が
多いと思っていますが、如何でしょうか?

*************************************

○○です。
忘年会のため鎌倉に行けませんでした。
教えてください。
5F・6Fでチューチューするとき、ガイドワイヤーたYコネはどうしているのです
か。
システム抜去して、吸うわけではないんですよね。
テルモがいいんですか?

*************************************

○○です。

これは典型的なulcerationです。
0-3時側がtrue lumenで6-9時側がulcer lumenです。true lumenが(この写真で
は)3mm確保されているのでobservationでいいと思います。もしもう少しtrueが
狭い所があって治療対象なら僕ならBx 5mmを入れます。Ulcerの前後に5mm stent
edgeがちょうど収まるところがありますからその長さをIVUSで計ってその長さの
ステントを選択します。
○○先生、S670って何か理由あります???

*************************************

はじめまして,○○病院 循環器科の○○と申します.1992年○○
大学卒で○○入局,まだ医局ローテにて各病院を回っていますが
,大学医局にいたのは研修医時代に1年間のみで,後は県外での
勤務のほうが多く,自分としては,医局への帰属意識が乏しいというのが本音です
(こんな事書いていいのかなぁ-医局追い出されたら,どこかの病院で拾っていただ
ければ幸いです.その時は皆様よろしくお願いします).ちょと横にそれましたが
,この度ははTRA−netへの参加を御承諾いただきありがとうございます.当院は年
間のPCI症例が80例前後の小規模施設です.もちろん心臓血管外科はありません.今
年12月(今月)からようやく臨床工学技師(の免許を持った看護師長)が採用にな
り,手技料が100/100で取れるようになりました(しかし今年は100例の基準が満た
せそうになく,来年4月からは70/100に逆戻り予定です).TRA/TRI に関しては当
院赴任後しばらく,ほとんど封印された状態でしたが,今年に入ってから増加させ
ているところです.今年のkamakura liveでかなり刺激を受け,TRA/TRIが可能な症
例は来年1月からは全症例へ拡大したいと思います(抵抗勢力もあるにはあるのです
が・・).このnetを通じて勉強させていただき,提供できる話題や経験があれば
,積極的に発言させていただければと考えております.どうぞよろしくお願いしま
す.
*************************************

○○です。

6F GCで吸引すると言うのは、簡単でよいですね。とってもたくさん吸えそうです
し…。

吸引は造影ポートから行うと理解しております。当然ある程度陰圧に強いYコネが必
要ですが、会場での議論では通常のネジ式のY connectorが適していると教えて頂き
ました。コパイロットなどは不適なようです。サイメドのアンコールキットに入って
いるタイプや、OKAYで良いとの事でした。また6F GCにぴったり入るテルモのinner
cathether (5F, 120cm)が、昨日当院へも1本来ましたが、まだ正式にはラウンチされ
ていません。試用段階で作成本数が極めて限られており、1月以降にならないとまと
まった本数は確保できないそうです。

私の2等兵時代に、「冠動脈へengageさせているカテーテルに強い陰圧をかけてはい
けない」と、ある偉い先生に教わったので、そのことを某学会でフロアから質問した
んですが、○○先生に一蹴されたことがあります。今日では血栓吸引が広く行われ、
別に陰圧による諸問題は心配ないという理解で宜しいでしょうか?確かに血栓吸引を
やっていて、臨床的に問題が無いという印象ではあります。

*************************************

○○です。

決して僕はこの話題、ただ単なる 「公務員病」 「negaive thinking」ではな
く重要な指摘だと思います。問題は実は受け取る側にあるとは思います。皆さん、
人の話は鵜呑みにせず聞きましょう。だって、使い方など違いがありますから。
鵜呑みにして患者さんにマイナスになることのないように、と思います。

*************************************

○○です

S670はpostのバルーンを大きくすれば、なんぼでも
大きくなると思うからです
この病変では強いRadial forceは要らないと考えられるからです
うちにはVelocityの5.0mmがありませんので、以前RCAの
かなり太いACSの病変にS670を入れて、ポストのバルーンを
パラレルにして良好に拡張できた事もあります

今度、Velocityの5.0mmも取り寄せておきます

*************************************

○○です。

皆様、鎌倉お疲れさまでした。
○○先生、壇上に立つ機会を頂きありがとうございました。また、諸先生方にもお世
話になりました。この場をお借りして御礼申し上げます。

Liveはあまり見てないのですが、面識の無かった先生とお話させていただいたり、存
じ上げているァ方と更に交流を深めることができ、非常に有意義な時間を過ごすこ
とが出来ました。
ありがとうございました。

なかでも、○○先生に”いいかもしれない”と言って頂けたのは非常に嬉しかったで
す。

今後とも引き続き御指導宜しくお願い致します。

*************************************

○○です。

テルモの5Fr子カテは、鎌倉ライブ以来、問い合わせがすごいそうです。

今日、カテ室をブラリと覗いてみると、LMTの血栓を7FrGCでチュウチュウしていまし
た。恐るべし、チュウチュウパワー。
チュウチュウ(陰圧)で気をつけることは、「中途半端にチュウチュウしない」という
ことでしょうか?GCの中に血栓が残ったり、チュウチュウしながら血栓を引いてきて他
のブランチに血栓を落としたりと、中途半端なチュウチュウには要注意です。あくまで
も裏技ですから、細心の注意をはらってチュウチュウしてください。

*************************************

皆様はじめまして。今年の鎌倉ライブで○○先生のセッションにご参加の皆様はお久
しぶりです。
○○病院循環器内科の○○と申します。
私は昭和62年度に○○大学医学部を卒業し、○○内科へ入局、循環器ではな
く、高脂血症グループに所属しておりましたが、ひょんなことから○○病院へ転勤とな
り、平成6年より現在の○○に所属、
日々部長の○○先生、○○先生のご指導のも
と、循環器診療を行っております。
10年前、○○病院にて、急性心筋梗塞の緊急カテーテル時(当然TFI)に
ICATと称して冠動脈内に細いチュービングカテーテルを挿入し、力任せに注射器
で吸引をかけて血栓や内膜や稀に外膜その他を引いてきた時には全国の皆様の失笑を
買っておりましたが、RESCUE、パークサージ、トロンバスターの隆盛を見るに
つけ、隔世の感があります。
当院のスタンスとして、スタンダードな治療を心がけておりますのでDCAやロータ
ブレーター、最近では緊急カテは必ず7Fパークサージを使用するためにTFIと
なっていますがそれ以外のPCIはほぼTRIとなっております。
鎌倉で皆様の創意工夫に感嘆し、ぜひともこのnetに参加したいと思いました。
それでは皆様今後とも宜しくお願い申し上げます。

*************************************

○○といいます。

恥ずかしながらチュウチュウを見たことがありません。

具体的には、用手的に20ccくらいのシリンジで20ccくらい10-20secくらいでチュウチュ
ウするんですか?

やっぱりチュウチュウするときは、ガイディングカテーテルの同軸性に注意が必要なん
ですか?(当然かもしれませんが・・・)

もし良ければ教えてください。

どうぞよろしくお願いします。

*************************************

○○です。
ご無沙汰してます。いつもこのネット上で勉強させていただいてます。今回は先生方
に質問です。当院に左利きの先生がいます。執筆は以前から右で書くように訓練した
そうで右で書かれてますが、点滴その他医療手技は左でされてます。最近カテに入ら
れるようになったのですが、こういった場合、カテ操作はどうすればいいのでしょう
か。一度punctureを右でやったらうまくいかず、左からまわって刺されてます。まだ
研修医ですので執筆同様、一から訓練しなおされて右利きにすることも可能かもしれ
ませんが。
 よろしくご教授願います。

*************************************

○○です

私ももともと左利きで、研修医の初めの頃は左でないと点滴、採血等の手技が出来な
かったのですが、心カテ中心に仕事をされていたオーベンの下についたときに”心カ
テしたいやろ!?右穿刺の練習をしとけ!!”と言われたのを境に手技のときはまず
右穿刺で始めるようにしました。
練習の甲斐あって、研修二年目の夏ごろには左右両方とも同様に穿刺できるようにな
りました。左右使えるとSGやPacingを内頚に入れるときなどにはとても楽です。

でも、左利きならではのメリットもあります。
CCUでの修羅場のとき、とりあえず右でも左でもいいからIABP、PCPSを入れたい時っ
てありますよね。そんなときには左利きDrには患者の左に回ってもらって、左
Femoral穿刺をしてもらうと一発で血管確保が出来ることもあり、便利です。(右利
きの人も左手の練習をすれば技の広がりが生まれるかも?!)

現在は、右Transradialのときは手台を外に広げて左手で穿刺、Femoralは右手で穿刺
しています。また、左Radialは患者さんの左に回って左手で穿刺しています。(手技
をするときには何も考えず左右の手を自然に使い分けていました。)

なんやかんやいっても、右が使えるようになっても左利きは左利きです。繊細な動作
は左が一番です。

結語:左利きの右穿刺の練習は大事!でも、左利きならではのメリットもある。

*************************************

○○です。

○○先生、レスありがとうございました。
チュウチュウに関しては、先生が書かれていたように20ccのシリンジで数十秒チュウチ
ュウしています。GCは血栓の直前までグビッといれています。6Frでチュウチュウする
ときは、Mach1がお勧めです。Deepに入ったMach1は、熱だれ激しく、原型をとどめない
ほどにビロンビロンになって、冠動脈の走行にシェイプされています。

*************************************

○○です。

 久しぶりの登場ですが、実は僕も左利きです。子供の頃文字と箸だけは右でと親が
願ったらしくペンと箸は右に持ちますが(字が下手なのはそのせいだと、今でも固く
信じています)、ボールもラケットも左です。

 カテしていて気付くのはその道具のほとんどが右利きの人用に作られているって事
ですよね。カテ台のモニターの配置からそうですし、二連三連コックの配置や、イン
デフレーターの回す方向やボタンの位置まで右利き用に作られており、TRA-net左利
き分科会としては(そんなの無いかな?)、その存在をみんなにアピールして左利き
用のデバイスを…

 とは全く思っていません。

○○先生のご意見に賛成です。
 右手での穿刺に慣れることです。○○先生が仰るようにいつの間にかどちら側に
立っても全く自然に穿刺できる技術は、ある場面ではとても有効になりますよ。特に
緊急を要するときなどは良いですし、患者さんの左側に立って手技をせざるを得ない
ときに全く違和感が無くとても便利です。
 更に一歩進んでCAGやPCIを行うときはどうするかというと、それもいつの間にか慣
れてしまいます。
 元々左利きの人は手先が器用に生まれついているので(と固く信じているのです
が、違いましたっけ?)、最初の穿刺の困難さはすぐに通過してしまいます。要は与
えられた環境が変わらなければ自分が変わった方が簡単だと利用してしまう事の様な
気がしています。

*************************************

○○です。

○○先生、ご返事ありがとうございました。

チャンスがあれば是非試したいと思います。

GCはMach1がいいですか・・・今当院にあるのは、Zuma2なのであまりdeepには適さない
でしょうか。

*************************************

○○です。

>GCはMach1がいいですか・・・今当院にあるのは、Zuma2なのであまりdeepには適さ
ないでしょうか。

必ずしも一概にそうはいえないと思います。いわゆるanchoringしてのdeep
engagementではありませんから、おそらくdeepの可否を規定する因子は、RCAそのも
のの走行(下向きならやさしいし、Shepherd's crookならanchoringしないかぎり
deepは一般に難しい)、カテのカーブとシャフトの性状(同じJRといっても各社でそ
れなりに違いあり)、ワイヤのサポートなどでしょう。

下向きにでるRCAとして、フロッピーワイヤであればMach1などが望ましいのでしょう
が、極端な話(AMIで現実にはありえないにせよ)Ironmanであれば、Joガイドのよう
に、とても硬いものを除いて、6FrならZuma2だろうが、Brite-tipだろうが大丈夫
でしょう。

ただ、繰り返しになりますが、anchoringなしの6Fr deepになりますから、やってみ
るまでdeepが成立するかどうかわからない部分が、それなりに残ります。多少、再現
性に乏しいかもしれません。そうした意味で、子カテでパークのほうが、自分は好き
です。

僕は、このところ、自分のストラテジーを決めるのに、とくにデバイスの操作にあ
たっては、“再現性”をkety wordにしています。別の時、別の場所で、同じような
困難な症例に使った時、理論的根拠をもって成功に導ける方法をなるべく考えている
つもりです。

*************************************

○○です。
私も生まれつきの左利きですが○○先生とは反対で、鉛筆と箸だけ左手
で右投げ・右打ちです。
○○先生、○○先生のご意見に全く同感です。私はごく自然に、右側穿刺のときは患
者さんの右側に立ち、右手で穿刺しますが、左側穿刺の時は患者さんの左に立って左
手で穿刺するようになりました。どうも生来右利きの先生には左手での穿刺はかなり
苦痛のようで、左利きに生まれた特権の一つかもしれません。
と、いうことで左利きの先生が右手で穿刺できるようになると血管確保はかなり自信
が持てるようになります。普段からガス分析や動脈圧ライン確保を常に右手で右橈骨
より行う練習をされると良いと思います。
ただし、心カテはやはり、カテ台とモニターの位置関係が患者さんの右側に立つよう
に設計されていますので、左橈骨穿刺でも、シース挿入後は患者さんの右側に立って
患者さんの体越しにカテ操作をしていますのでチョー不便です。

*************************************

○○です

確かにanchoringなしのdeepは病変任せですね
子カテなら、ワイヤーさえkeepできればそこそこ
行きます でも、長さが足りない時があるかな・・・
って危惧しますが、パークなら必ずしも病変を超えなくても
いいのかもと鎌倉ライブで思いました
今は、子カテがなかなか手に入りにくくなりました
テルモの人達に是非とも頑張って貰いたいものです
初めて、あれを見た時に何に使おうかと、ずーっと
悩んでいましたが、今は子カテでパーク、あるいは子カテで
TRIです

*************************************

○○です

○○先生が当院に赴任中は両方で穿刺できる器用さに
おどろいていました。 右利きの人(私ですが・・・)
左側からの穿刺には本当に苦労しました
TFIでも、身長の関係で右に立っても左脚穿刺はなんとなく
やりずらいし・・・ 今でも苦労してます
出来る限り右からの穿刺ですが、左TRIをどうしたら
左利きの人の様にできるか思案中です

*************************************

○○です

私はチュウチュウには30ccもしくは50ccのロック付きシリンジを使っています。
単にシリンジの交換が面倒くさいだけという理由で大きな注射筒を使用しています。
50cc は一気に吸うのではなく30cc程度を一回吸って、吸いが悪くなったら(25ccを越
えたあたりで)さらに最後までシリンジを引くようにしています。

deepに関しては6Frでは病変任せの所も有りますが、5Frでは結構な程度でいけますの
で、是非お試し下さい。
私は5Frでやるときは抵抗がない限りは閉塞部位の手前で一度チュウチュウして、30 cc
位吸った後に、その向こうまでGCをそーっと突っ込んでまたチュウチュウしています。
この一番汁50cc弱が終わったら、再度30cc程度二番汁を吸って終了にしています。
ただ、RESCUE→Percu Surge aspiration cath.→Thrombuster 6Fr→Thrombuster 7Fr→
5Fr GC→6Fr GCと、より太いチューブでのチュウチュウを経験すると、今度細いチュウ
チュウに戻るとイライラしてきますので要注意です!?

*************************************

○○です。

○○先生の鎌倉ライブでの漫才風プレゼンに
うちのパラメディスタッフは大感激でした。
“あんなおもろい先生、うちにもいたらええわ”
とこっちも関西弁に惹かれてしまいました。

>出来る限り右からの穿刺ですが、左TRIをどうしたら
>左利きの人の様にできるか思案中です

ところで左TRIですが、小生もいろいろ試しましたが
結局○○先生の“トラ(TRA)の巻”に書いてある方法
が最もやりやすいと思ってます。
小生は低身長ですが左橈骨穿刺も通常右サイドから行います。
すなわちなるべく左手掌が上を向くように、左鼠径部に
患者さんの左掌、左一指、左前腕、左上腕の四点をじか肌に
テープ固定し、手技中患者さんが楽でいられるよう
左上腕下にはタオルや枕などを敷きます。
肘は伸ばさず、曲げた状態にします。
ドレープは左大腿部の穴を使います。
消毒はカラカラでないと、心電図やテープが剥がれます。
そうするとシステムは全体的に患者さんの右足側(術者側)に流れるので
やりやすいです。ご存じだとは思いますが。
ちなみに小生はイチロー・松井と同じ右投げ左打ちです!
(思いっきり自慢顔)。ゴルフは右なんですが…

*************************************

○○です

○○先生 ありがとうございました
来週、左TRIの予定ですので、早速試してみます

私のプレゼンはやはり漫才風でしたか・・・
喜んで頂いて、光栄です
関西弁以外の言葉は英語も含め、よぅ〜 しゃべりません
すんません

*************************************

○○です。

左利きに関してですが、世界中のほとんどの病院は右利き用に作られているようなので
(全部確認したわけではありませんが)穿刺、ワイヤー操作、バルーンの出し入れを右
で出来るようにしておく方が良いと思います。
こっちの病院のMartin Leonも左利きですよ。以前日本料理店に行った時、左手で器用
にお箸を使ってました。「最近は穿刺はしないけど研修時代は苦労した。最初は苦労し
たけどすぐに慣れた」と言っていました。

************************************* 


第58集
************************************************************

○○です。
左利きの先生がカテをする場合について、○○先生をはじめたくさんの先生方に
ご教授頂きありがとうございました。昨日、その左利きの研修医の先生は右心カテデ
ビューしましたが、通常の方法で無事こなしておりました。家に持ち帰って練習してい
るようです。
 これからも宜しくご教授願います。ありがとうございました。

************************************************************

○○病院○○です。
皆さま初めまして。この度入会の承認を頂きました○○と申します。
自己紹介を申し上げます。
平成11年に○○大学医学部を卒業しまして○○大学循環器内科に入局、大学での
研修、○○病院、○○病院での内科研修を経て平成13年4月から現在まで○○病院の循
環器内科でレジデントとして働く4年目の29歳です。PCIに手を出さ
せて頂くようになり10ヶ月程度ですが、上司の○○先生、○○先生に御指導頂
きながら勉強中です。CAGもまだまだ興味深く、特にCABG後のIMA造影には熱くなりま
す(特にYUMIKOカテ)。TRA-netは横の机の○○先生の画面を覗く程度でしたが、この度
○○先生に勧め(お許し??)を頂き入会希望させていただきました。来年の4月には少し
田舎の少しスタッフの少ない病院に移動する話も出てきていますし、皆さまにお頼り申
し上げる機会も増えるかと思います。
 どかよろしくお願い申し上げます。

************************************************************

みなさんチュウチュウしてますか?○○です。

またまたチュウチュウネタです。
先日、AMI(RCA Seg2 total)の患者様にパークでチュウチュウしようとしたとき
のことです。7FrにGCを入れ替えようとしたのですが、腕頭動脈の蛇行が厳し
く、7FrGC進んでいきません。それで6Frシステム(Guardwire+thrombaster;保険
のことは聞かないでください(汗))でまずはチュウチュウしました。次にステ
ントを置いてきて、チュウチュウしようとしたところ、thrombasterが入ってい
きません。先端のマーカーも消えています。「何が起こったんじゃ!」と抜いて
きたthrombasterをみると、ワイヤールーメンが破れて(めくれあがって?)、
壊れてしまっています(写真貼付)。



担当の業者の話しでは、「Guardwireと
thrombasterは相性悪いっす。」と言っておりましたが、現在原因検査中なので
詳細は後日報告します。
これから、師走。みなさん、おとそ気分のところ緊急で呼び出され、焦ってチュ
ウチュウすることもあるでしょうが、お気をつけてチュウチュウしてください。

○○先生、むしろパークの使用数は○○が九州一(天晴れ!)と聞きまし
た。

************************************************************

○○です。
このような症例については議論の分かれるところだと思いますが、心臓外科のな
い小規模病院での話と仮定すれば私は○○先生の対応がベストと考えます。
日頃、LMT病変や左前下行枝just、回旋枝justの病変をやりなれておられれば話
は別ですが、前下行枝がTIMI3で血行動態の安定している時に、近くに心臓外科のある
大きな病院があるのに無理をしてLMT,LCXに手を出して却って血行動態を悪化させてし
まい予後不良となった場合、小さな町では病院の評判が一気に低下したり、院内におけ
る循環器内科の立場が悪くなったりすることもあるからです。
非医学的なことですが結構大事なことと思います。

************************************************************

○○です。

先生方は、ご存知かもしれませんが、なかなか7FrGCが入らないときのコネタ集
をいくつか。深吸気でカテを進めるといった基本技以外に、もっとも有効だと思われ
るのがダブルガイドワイヤです。○○先生試されました? 高度屈曲腕頭動脈だと、
ラジフォーカスだと思いますが、7Frだと、0.035のラジフォーカスに加え、0.025の
ラジフォーカスをもう一本追加できるので、かなり腕頭動脈の屈曲を進展できます。
この二本目の0.025 ラジフォーカスの追加効力はかなりのものです。
RCAのようですが、こうした高度に屈曲した腕頭動脈は、MACのようなlong-tipカ
テは時として不通過になります。そこで、絶大な威力を発揮するのが、JL反転です。
特に、多少、水平心でもRCAが低位起始なら挿入も簡単です。JL反転は、右Valsalva洞
の底へいったんtipを誘導し、そのあと、押し付けでRCA入口部までtipを進めま
すから、一般的には、通常長のtip(つまりJL)の方が、入りやすいのですが、腕頭動
脈の屈曲が高度なら、short-tip(つまりSL)の方が、少なくとも腕頭動脈の通過は容
易です。
なお、ワイヤを残して、トルクをかけるのはもちろんです。自分としては、特に
水平心の場合は、JRよりやさしいような気もしないでもありません。是非、一度、お
試しあれ。

************************************************************

○○です

○○先生 チュウチュウがんばっておられますね
うちでも、以前にここに写真を出したと思うのですが
Guardwire+6F thrombasterでthrombasterを抜いてくる時に
Guardwireのインデフレーターに接続する部分の
ゴールドマーカーで引っかかりゴールドマーカーが
取れてしまいました・・・
やはり相性が悪いのでしょうか? 

ところで、○○先生はどの時点で
thrombasterが引っかかったんでしょうか?

************************************************************
`
○○です。

○○ネタに戻ります。

>
> 私が8年前に勤務した頃は古い建物でしたので,
> 今ではすっかり別の病院でした(広くてきれいです)

○○先生がおられたのは8年も前ですかネ〜早いものです。
小生も今年の5月まで○○で働いていましたが、
多忙だけどaggressiveな毎日でしたよね。○○先生と
今、時の人の○○先生、研修医の○○先生と毎日緊急PCIを
してましたよね。X'masや正月なんかまったくあったものじゃ
なかったですよね。4月になったら○○先生が来てくれると
心待ちにしていたものです。
でも律動的に、寸分の狂いもなく戦績を維持し、
業績を伸ばすことができたもの、小生を含め
患者ありき、質素倹約奉公滅私の○○魂と、
○○Dr.のこれまた全くの良心により成り立っていたものだと思います。
○○院長みずから“患者からすれば救急はコンビニ感覚”と
年末年始を病院で過ごすのが通例となってしまえば
若い衆はついていきたくなりますよね。

ところで○○先生や○○先生が言っておられるように
この○○先生が“いいやつ”を地でいってる先生なのです。
小生が在職中、ライブデモなるものを行ったのですが、○○先生が
会場の手配、チケット、ポスター、入場者整備までやってくれました。
ライブとは勿論あっちのライブ(ゆず&なんちゃって長渕)ですが、
ゆずのもう一方はTra-netの○○病院・○○先生にお願いしましたが、
確かこの日もdissectionかなんか来てDr.がみんな会場からいなくなっても
シェイカーを振って来場者にカクテルをサーブしてくれましたよね。
一生忘れられないよき思い出になりました。○○先生が
○○No.2ですか。大したものです。
で○○No.1はやっぱり○○の○○先生でしょうか?

今日小生がここ○○で安全にそして健やかにTRAできるのも、
○○・九州の諸先生、そして今や全国区のTra-netの皆様方のお陰と
常々感謝しております。今年もいろいろありました。
年の瀬でもあり、なんか感慨深げに当直室より便りしてます。
来年も是非是非宜しくお願いいたします。

************************************************************

○○です。

> ちなみに、一例は6Fでした。
> 熊本でも、TRIは少しずつ広がってきています。

○○TRA派としてはこの朗報を一日千秋の思いで待ち侘びてました。
とうとう6FrでTRIですか。大きな一歩です。
先生のご苦労はかなりのものだったのではと思います。
来年が○○ブレイクスルーの年になりますよう
心より祈念しております。

************************************************************

○○です。

TRA-netの皆様、今年も残すところあと2日となりました。
のんびりされている先生方もいらっしゃれば、やっぱりカテされている先生方も
いらっしゃることでしょう。
1年間皆様には大変お世話になりました。
TRA-netのお陰で大変多くの先生方とお知り合いになることが出来、自分の知ら
ない世界のお話を伺い、私自身の向上心を高めることが出来ました。
皆様には何かとご迷惑をおかけすることも多々ございましたが、日々反省と精進
を繰り返していきたいと思います。
来年も今年と変わらずご指導の程お願い致します。
それではよいお年をお迎えください。

************************************************************

○○です。

実は、私自身が術者ではなかったので正確なところはわからないのですが、その
時の術者は「全然手ごたえがなく、危ないところでした。」といっていました。
ただし、一回目のチュウチュウはOKで、抜いてきたThrombusterを二回目にGCに
入れるときにはすでに壊れていたことから、○○先生ご指摘のようにゴールド
マーカーで引っかかったのでしょう。

○○先生。裏技、御伝達ありがとうございました。本院でもロータが始まり、
electiveにも7Frを使用する機会が増えました。7Fr裏技是非使わさせていただき
ます。
それにしてもこの一年でGCは5, 6, 7, 8 X ボストン、メドトロ、テルモetcと置
き場に困るほど増えてしまいました。来年GCの棚を更に一つ追加することになり
ました。

************************************************************

TRA-netの諸先生方、初めまして、○○病院の○○と申しま
す。
今回TRA-netへ入会させていただきました。

小生はPCI歴がまだ1年弱と若葉マークもので、当院の○○先生のご指導のもと勉強
させていただいております。5年ほど前に1年間集中してCAG,PCIしていた時期もあっ
たのですが、○○医大卒業生の宿命(鹿児島県出身のため離島などの僻地勤務がduty
でした)のため、その後継続的にカテを握る機会がありませんでした。今年4月から
当院での勤務をしておりますが、trans-radialはこちらで初めて勉強しております。

小生の勉強不足のため、TRA-net諸先生方のネット上での会話がまだ十分に把握
できない恥ずかしい点も多いですが、少しでも発言できるように研鑽を積んでいかね
ばと感じております。

○○病院の話題がありましたが、11月に小生もカテラボ見学させたいただき
ました。○○部長をはじめ、○○先生、○○先生、○○先生にはお世話になりました。

TRA-netの諸先生方、これから宜しくお願い申し上げます。

************************************************************

○○です

今年は私たちのカテラボでもようやくTRA、TRIを行えるように
なり、TRA-netに参加させて頂いて色々と勉強させて頂きました。

TRA-netのお陰で、全国の皆様ともお話ができて、感謝しております
来年もTRA魂を忘れずに、一層の努力をしていきたいと考えております

************************************************************

○○です。CAG PCIではcallされないものの、右大量胸水だの低血糖の
脳外科の患者さんだの、救急外来の意識消失の患者さんだので、全く自宅に帰れない
年末を過ごしております。
 TRA-netの皆様、本年も大変お世話になりました。
今年は、○○循環器病院から症例数の少ない当院へ移籍となり、PCIでは不自由
したりもしましたが、その分、○○病院にお邪魔させていただけましたし、大きな事
件もなく無事に一年すごせたな、と考えております(今年、最後の緊急カテは3枝病
変でもあり、当院では手がつけられなかったのが残念でしたが(T_T;)。
 来年は今年以上にTRIに精進いたすつもりであります。また一度、ミサにも参
加できれば…と考えております。
 皆様も良いお年をお迎えられますよう、北陸よりお祈りいたしております。来年も
宜しくお願い申し上げます。

************************************************************

○○です。

年末休みに入って、1例/日の割合でPCIしてますが、大して重症でなく割に
落ち着いた循環器です(などと書くとこの後が怖くなりますが)。でも、救急外
来はごった返していて、4台救急車が並んだりしてます。外来待合室には行列が
できてます。”さすが救急救命センター”などと言いながら、CPA治療の手伝
いなどをしたりしている年末です。だって、家に帰ると大掃除を手伝わされるん
だもん。などと子供ですね。

今年は個人的には○○から○○に戻ってきたり大きな環境の変化がありました。
また、○○No2の○○先生のおかげであんまりワイヤーを握れなかった様な
気がします。しかし、この二日間、○○ちゃんがいなかったので、穿刺から堪能さ
せてもらいました。ありがとう。

世間・医療界は暗い話題が多いですが、来年がみなさまにとっていい年でありま
すように。今年も、いろいろお世話になりました。よいお年をお迎え下さい。

************************************************************

○○です。

私の年越しソバは「うまかっちゃん」です。
それも、食器が汚れるので鍋ごと食べています。
(家族が家内の実家に帰っているので)

今年は
1. 九州TR研究会(○○先生、○○先生お世話になりました)
2. CCT
3. 鎌倉live(コメコメ倶楽部)
それぞれに初参加させて頂き、ようやくTRA-netの先生方の「顔」と「名前」
が一致するようになりました。
いろんな情報をご教授頂いたTRA-netの先生方に感謝申し上げます。
来年も宜しくお願い致します。

追伸;○○病院の先生方へ。もし患者搬送がありましたら、何卒宜しくお
願いします。

************************************************************

○○です

TRA-NETの皆さま、明けましておめでとうございます。

○○は雪もある、とても寒い正月を迎えました。

今年もよろしくお願い申し上げます。

************************************************************

○○です

今年もいろんなところで(夜の方が多かったですが)皆様のお世話になりまし
た。また、○○ライブにも遠方から来ていただき大変に感謝しております。これもひと
えにTRA-ネットのおかげであると思っております。今年もよろしくお願いいたしま
す。

ところが今年は研修医が確保できるかなど、その他の不安材料が山積しておりま
す。一応、今年のライブは11月22日(土)に予定しておりますが、もし開催が可能な
場合にはみなさまの参加をお待ちしております。

○○先生は新天地(○○とWindows)に移られましたが、いかがお過ごしでしょ
うか?
そのうち遊びに行きたいです。

************************************************************

○○です。

あけましておめでとうございます。
旧年中は、2月の○○ライブに多数の先生がたに、お越しいただいたうえ、九州
TRI研究会、八戸ライブにお招きいただきまして、ありがとうございました。また、個
人的に、多くの先生方に、当院のカテ室に御訪問いただきました。時に、小生の出張
が重なってしまったこともあり、十分なおもてなしができなかったこともあろうかと
思います。この場を借りまして、お詫び方々、厚く、御礼申し上げます。

本年は、新しい試みとして、4月10日から12日まで、第1回TOkyo Percutanesous
coronaryInterventionConferenceを開催させていただく予定です。10日は夕方のセッシ
ョンで、ライブは、11日・12日の2日間です。新しい企画も少なからずございまして、1
月中には、ライブ以外の、Morning session, Debate, Lanchonなどをふくんだプログラ
ムをご送付でき
るかと存じます。また、お忙しい中恐縮ですが、ご来場をたまわれば幸いです。

************************************************************

○○です。

新年明けましておめでとうございます。
旧年中は、いろいろ勉強させて頂きありがとうございました。

元旦よりAMIで、次にtemprorary pacingと心カテ室の一年が始まりました。
やたらインフルエンザと上気道炎が多いこの頃、年末よりAMIも流行ってきてい
るようです。

今年もよろしくお願いします。

************************************************************

○○です。

謹んで新春のお慶びを申し上げます。

大晦日は当直をしておりまして、朝からかぜひきさんの行列で内科当直って損だ
なぁと思っておりましたところカテ納めとなるAMIの患者さんがいらっしゃいまし
た。
夜は楽しみにしていたボブ・サップの試合のゴングが鳴った瞬間にAMIの患者さ
んの紹介があり、1/1へ日付が変わった頃からカテが始まり、これがカテ初めとなりま
した。

前置きが長くなりましたが、昨年は皆様に多大なご指導を頂き大変ありがとうご
ざいました。これは私の貴重な財産です。
本年も変わらず御指導、御鞭撻の程宜しくお願い致します。

************************************************************

○○です。

新年、あけましておめでとうございます。
TRA-netを開設してから2年が経過しましたが、この間いろいろなイベントがあ
りました。
どれもこれも私にとっては楽しいことばかりで、あっという間の2年間でした。

2003年も皆さんとともに勉強させていただき、刺激ある1年にしたいと存じ
ます。
どうぞ、今年もよろしくお願い申し上げます。

************************************************************

○○です

昨年は熊本、神戸、八戸、横浜で皆様とお会いできて
光栄でした。 またネットでも色々と勉強させて頂いて
本当に実りの多い一年でした

今年も昨年以上に頑張っていきたいと考えております
ので、よろしくお願い致します

私事ですが、今年から禁煙を誓っております(まだ4日目)
もし、どこかの会場、飲み会で吸っていましたら
お叱り下さい

************************************************************

○○あけましておめでとうございます。○○です。
昨年は九州TRI研究会に集まりいただきありがとうございました。個人的にも、
鎌倉、八戸といった日本二大ライブに参加することが出来、実り多い年でした。
うちのカテラボの今年のテーマは-電気-です。
皆様本年もご指導よろしくお願いします。

************************************************************

○○先生;

昨年こそ○○先生に会わせようと思ったのですが教授の都合がつかずとても残念
でした。もし何処かでお会いしたらほどほどで良いですから宜しくお伝え下さい。昨
年は随分と九州に行く機会がありました。暑くなければ.....九州は最高! です。

************************************************************

○○です。

鎌倉ライブ初日の裏ちゃんねるで長崎のトルコライスの話題が出ておりました
が、それ以来、どうしてもトルコライスを食べたくなり、
気になって気になって仕方がないといった状況に陥っておりました。

幸いにも今回長崎へ帰省した際、
約20年ぶりにトルコライスを食べる機会にありつきました。
それもなんとイタトマ(イタリアントマト)のトルコライスです。
まさかイタトマにもトルコライスが進出しているなんて思いもしませんでした。
きっと長崎在住の先生方も御存知ないのでは.....。

長崎のイタトマはフランチャイズでして、
昨夜、そのオーナーと酒を飲んでいたところ、
昼飯に御自分の店でトルコライスを食べたという話をされまして、
本日、たまたま妻がイタトマに行く機会がありましたので、
ピザ以外の持ち帰りはできないと断られたのですが、
ピザの箱に入れて下さいと頼んで強引に持ち帰り、自宅で食しました。

味は上々なのですが、なにぶんイタトマですので、
学生の頃に食べたトルコライスに比べ少々上品すぎる印象を受けました。
そのためか、トルコライスが持つ一種独特の、
”お前らが好きなスパゲッティー、とんかつ、焼飯は全部一皿にまとめて作って
やったぞ。どうだまいったか。”といった荒々しさに欠けるような感は否定できず、ち
ょっと残念ではありました。
なお、お店は○○先生の御自宅から徒歩5分のラッキーボール1階にあるイタト
マ大橋店です。夜遅くまでやっていますので、お暇な時にお試しあれ。

正月早々、下らない話で申し訳ありません。
以前はこういうこともトラネットで話しておりましたので、
たまには良いかと、昔を偲んで出させていただきました。
蛇足ですが、恐らく長崎のイタトマのオリジナル商品だと思います。
他県のイタトマではメニューにないかも知れませんので御注意を。

************************************************************

○○です。
新年あけましておめでとうございます。
今年も皆さまにいろいろ質問などしていこうと思うのでよろしくお願いいたしま
す。
さて、TRA-netに書き込むような内容ではないかも知れませんが、最近頭を悩ま
せている事があるので早速皆さまに質問しようと思います。
実はASOのPTA/stentの事なのですが、やられている先生方はdistal protection
をどのように考えているでしょうか?自分はcommon iliacやexternal iliacの90%狭
窄にdirectでwall stentを挿入して幸いblue toeなどは起きていないのですが、
今後totalの病変や、明らかな壁在血栓があるような症例の場合はdistal
protectionという事を考えないといけないと思います。ボストンの話だと2-3%ぐらいに
末梢血栓の摘出術が必要という回答でしたが、冠動脈でさえパークサージであんなに取
れるので、やはり何かしないといけないのかな?と思います。パークサージののガード
ワイヤーでは小さすぎるし、何か良い方法あります?DCAは無くなってしまった
し、、、、

************************************************************

皆様 はじめまして

○○病院の○○と申します。平成3年度卒業ですが、途中大学で5年間寄り道し
ましたので、臨床経験はその分ありません。今の病院でTRAを初め、その可能性に感
じ入りました。これからも修練を積んでいきたいと思っていますので、ご指導下さい。

************************************************************

TRA-netの皆さま、新年明けましておめでとうございます

○○です。

最近はROMってばっかりですが、MLの内容はいつもPCI時の参考にさせていただいてま
す。これからは○○先生がいませんので、MLの重要性はますます高まりそうです。

○○先生には、転勤したあとなのに、年始の一次・二次急患外来をしていただきまし
た。タミフルが初売りの福袋のように、一日で1000錠〜2000錠出たようです。お疲れ
さまでした。その上、今年最初のPCIになるLCX 15 totalのAMIまで片づけていただき、
感謝感謝です。また来年も..。というわけにはいかないかな。

今年の当院のテーマは、逆風下のIVUSです。○○先生、火が消えないように、どんど
ん新しいネタを披露してください。今年もよろしくお願いいたします。

追伸:
○○先生、イタトマでもトルコライスが食べられるんですか。今度長崎に帰ったら試
してみます。有益な情報ありがとうございました。

************************************************************

○○です。

TRA-netの皆様、新年おめでとうございます。
本年もよろしくお願いいたします。

当院では本日より仕事始めとなり、早速カテ初め(PCI)を致しました。
(本当言うと、元旦が当直で、一人既にやっているのですが、)
皆さんもそうでしょうが、やはり、カテ室に入ると、身が引き締まる
思いがします。

昨年の神戸のミサではたくさんの先生方と知り合いになれました。
鎌倉は都合がつかず参加できなかったので、3月の福岡はとても
楽しみにしています。
本年も、netの皆様のカテ室が無事故でありますように!

************************************************************

第59集
************************************************************

○○です。
TRAnetの皆様、今年も宜しくご指導いただければ幸いです。
さっそくですが、当院での緊急CAG第一号につきましてご相談申し上げます。

 症例は60才、男性、当院初診。Risk factor不明です。今回が初めての胸痛です。
2003年1月5日、新年会での飲酒後、胸部不快感を主訴に、19時に時間外外来を受診さ
れました。心電図上、I aVLにてST低下&V2-6でST上昇しております。心電図を見た当
直医より即座に小生(焼き肉開始後15分)にcall ありました。ECG後、VT→vfとなり
小生が救急外来に到着したとき(vf後、約5分)には心マッサージ中でした。
Cardioversion 250Jにてsinus化+意識レベルの上昇(会話可能)となりました。即
座にICU収容後しましたが、VTを繰り返し不穏もあり、経口挿管・IVH挿入後、カテラ
ボにてIABP挿入後CAGを行いました。
LMT〜#6に99% delay、 #11 #9に90〜95%lesionを認めてます。
1月5日は○○は大雪で、ホワイトアウト状態です。しかも、IABP,Respirator付きで
す。でも血行再建しないといけません。
 LAD Lcx D1にGWいれてThrombuster?とも考えましたが(当院にはPercuSurgeはあ
りません。M社が持ってきてくれません)、もし血栓がLADやLcxに落っこちてflow(-)
となったらおしまいです。
 結局、一番、距離的に近い○○大学にCABG依頼となり、緊急搬送しました。
翌朝、CABGをしていただいたのですが、今でもPCIすべきだったのか自問しておりま
す。皆様、特に心臓血管外科のいない施設の先生方、このようなcaseは如何、対処さ
れますか?やっぱりご家族にriskをMtしたうえでPCIなのでしょうか?ちなみに当院
は○○市からは路面クリアーな状態では30分に位置してます。

Caudal
Spider
RCA


************************************************************

○○です

もし、外科に搬送して直ぐにCABGで血行再建してもらえるのなら
CABGも一つの方法だと思います
一番の問題はなるべく早く、かつ確実な血行再建だと思います 
翌朝にオペになるのならRiskを十分に説明してPCPSを入れるなり、
スタンバイしてPCIをすると思います
PCIするならLMTからLADにステントを入れ、LCxの狭窄も
あるのでY-Stentにすると思います
D1が一番狭窄がなさそうなんで、出来を見て必要なら
Balloonだけでしょうか・・・
うちの外科もそうなんですが、こんな症例を何故、翌朝の
オペにしたんでしょうか?
うちのカテラボでもIABP入れて、翌朝オペしようと言われて
待てませんと言っても聴いてもらえずに、涙をのんだことが
何度となくありました
ですから待つ位ならPCIを選択します

************************************************************

○○です。

私も○○先生と同意見で、Killip-IVのAMIは可及的速やかな完全血行再
建が必要です。自分も年末に苦労した覚えがあって、1例はPCIで玉砕。もう一例
はCABGで助かっています。ちなみにその玉砕した一例はLMT+3枝病変のKi
llip-IVで確実な血行再建は緊急CABGでしたが、Hb6.7でなおかつRh
(-)O型という血液型のため緊急手術に必要なだけの輸血量が確保できずPCIと
しました。ちなみに関東一円をあたっていただいたのですが、それでもMAP7単位
しかありませんでした。IABP,ペーシングサポート下、RCAのPCIは順調に
こなしたのですが、LMTのステントがLADjpの石灰化が邪魔して入りません。
「やると決めたらとことんまで!!」という信念?のもと緊急Rotaを行い、残念
ながらslowflowとなって玉砕しました。やりすぎたかな?と反省もしております。T
RA-netの先生方は3枝あるいはLMTの「今すぐ血行再建が必要」という状態のとき
に、どのようなことをお考えでしょうか?
私はうちの胸部外科がフットワークが軽くすぐに手術してくれるので、自分のPCI
の力量と天秤にかけて判断しています。昨年○○先生が「えいやっ!」で無茶なPC
IをしないようにとTRAに書いていましたが、私の経験した症例のように嫌でも
「えいやっ!」でやらなければいけない場合もあります。日々の研鑚が少しでも「え
いやっ!」の閾値を上げるようガンバリマス。ちなみにこの○○先生の症例、翌日の
手術ということであれば私もPCIしていると思います。

************************************************************

○○です。

あまりにもよく似た症例を昨年末に経験しました。
症例は85歳男性。前壁梗塞の既往あり。平成13年に○○大学でCAG.
LMT90%, LAD 90%, LCx 75で外科紹介したところOpeを断られ、
しかたなく開業医の外来通院していた。1W前から軽労作で胸痛、
当日昼間より安静時胸痛にて当院初診。Trop T陽性。
CAGはLMT99%, LAD100%, LCX末梢が造影されず。EF 16%,
LVEDV 308ml, という結果でした。
当院心外もOpe困難とのことで、取りあえずIABPを入れたところ
症状改善したためCCUに帰室。本人・家族に十分MTし翌日PCIしました。

本症例は3方向にBallooningして、LMTのみにNIR3.5mmをいれて、
逃げてきました。

○○先生の症例は60歳とまだ若く、Ope絶対適応の患者さんですから
判断は難しいと思います。自然条件が厳しい日であり、かなり切迫した
状態ですのでPCIをしても許されるCaseと思いますが、3分岐でかつ分岐
の角度が大きいのでステントが使いづらくかなり難しい症例と思います。
IABPで不整脈がコントロールされたのであれば、私が○○先生の立場に
おかれたら多分転送すると思います。
PCIをするには、PCIをする以外にこの患者を救う方法がないと、誰もが
納得できる根拠(たとえばVT, VFが再発したなど)が私としては欲しい
です。消極的すぎると叱られそうですが...。

************************************************************

○○です。
○○先生、昨年は御見学有難う御座いました。また症例が枯渇した
時にはご連絡しますので、旋風を巻き起こしに来て下さい(笑)。

さて小生も皆様と似たような年明けでした。

元旦の日当直で未明3時に62歳男性のNSTEMIが独歩来院、背景に長年のDMがあり、過
去に都内某パワーセンターで計3回のPCIを受けています。UCGでは比較的限局した
Antero-apex OMIで、来院時はKillip4のIschemic CHFの状態でした。当院糖尿病内科
へ通院中の方で、内科初診時の紹介状ではLAD7とRCA2へステントが入っているようで
すが、種類やサイズなどの詳細は不明でした。2001年4月の都内他医でのCAGでは
3VD+LMT-50%との記載でした。来院時血清クレアチニンは2.8でDM腎症合併です。

心筋マーカー軽度陽性で、緊急CAGを行いました。LMTの関与が示唆されるので、左か
らIABPをまず入れて、右TFIで手技を開始しました。 LMT-90%, LCx11-75%,
LADjp-90%, (Benz-mark), RCA1-90% hazzy, RCA to LAD へ側副血行路あり、形態か
ら今回のIRCAはRCA1と判断しました。この他LCx13&14にも各々99%があり、LAD8に
50%があります。外科を含めて議論の結果、緊急CABGではなくPCIと致しました。まず
LMT-bifurcateをきちんと固定してから、RCAへ挑みました。

7Fr, TFI, EBU3.75SHで、LAD、LCX、PLへ計3本のGWをクロスし、LCx13とLCx14へ
POBAを行い、LMTをfixしに行きました。LMTからLADへ向けてS670 3.5/24を植え込
み、3.5mm-2.5mmでストラット越しにLMT-KBT@14atm、良好な結果を得ました。次に5F
rでRCA1へPL-Stent, S670 4.0/24で巨大に仕上げました。さすがにRCAを拡張中は、
徐脈と血圧低下が顕著でしたが、IABPのお陰で無事に完遂いたしました。その後CCU
で突然吐血、血圧低下となり、挿管、輸血、透析が回りながらの緊急内視鏡止血術と
修羅場になってしまいました。ACT200秒以下に落として、消化器センターの先生に胃
体中部後壁にクリップを3つ掛けてもらって、何とか止血出来ましたが、結局4日間で
2000cc以上のMAP輸血を要しました。第4病日にIABP離脱、血液誤嚥性肺炎を合併し感
染症の管理に難渋しましたが、驚異の生命力で回復され、一昨日無事に抜管、明日一
般病棟へ転出予定です。胃潰瘍の既往は一応把握していたのですが、吐血の既往はな
く、少し見極めが甘かったかもしれません。しかし仮にOn-pump CABGを行っていれ
ば、消化管出血は致命的だったかもしれません。

○○先生が書いているように、CHF合併のLMT, 3VDは残存狭窄なく一期的血行再建が
必須と思います。私自身は幸運にも、これまで院内に外科がいない環境で働いたこと
がないので、外科がいない環境でどうするのか、持論を展開できません。後学のため
に、是非御意見を拝聴したく存じます。 現在は外科のOR入室予定と予定術式
(on-pump or off-pump, SVG使用予定の有無など)をその場で聞き、それと自分の持
てる手技内容を謙虚に比較した上で、決断することにしています。当院の外科チーム
は極めてフットワークが良く、呼べば大体すぐにカテ室へ来て議論に参加してくれま
すし、忌憚のない意見を述べてくれます。夜間で人手がいない場合には、緊急カテの
助手は外科チームの医師だったりします。昨年話題になった、Slow flowや
Non-reflowの問題がありますのでそれも勿論検討材料ですが、ACSに限っては、救命
のために一定のリスクを侵す必要性に迫られることもありますし、それは患者家族に
も十分に御納得いただけるように、懇切丁寧に説明しております。

ところでACSの緊急CABGって、それなりにリスクの高い治療戦略ですよね。優秀なる
外科医の力量が最大限に発揮できたとしても、そんなに分の良い勝負とは考えられま
せんが、それに比較すれば、PCI戦略の目途が立つ病変形態であれば、PCIも十分納得
できる選択肢と信じています。

************************************************************

○○と申します。

ACSで緊急PCIを行うか緊急CABGを行うか。当病院では、心臓血管外科がないため
に、ACSであれば基本的に緊急PCIを施行する、vitalが安定し症状が消失してい
れば転送してCABGしてもらうという方針です。緊急PCIを行ったけれども不幸に
して亡くなられた場合、無理してでもCABGしてもらった方が良かったのかなと考
えてしまいます。と同時に、(恥ずかしいですが、)もし訴えられたらどうなる
んだろう?とも考えてしまいます。
過去に、緊急PCIをしたから(あるいはしなかったから)訴訟になったというcase
は存在するのでしょうか?
もしご存知であれば教えてください。

************************************************************

○○です
IABP、呼吸管理などで、vitalが安定していたら、CABGに回すというのが、一番だと
思います。
心臓外科医も、AMIで完全に閉塞していて、その状態で、手術するとsone heartなど
を生じるので、開けてから、回してくれと頼まれます。完全に詰まっているような、
症例はすぐの治療が必要と思います。
ですから、完全閉塞の病変があれば、PCIで、
今回のように、TIMI 2以上のflowがあり、ischemicが絡んでいて、IABPで改善でき
て、待てる症例は、うまい心臓外科医なら、必ず、助けれます。PCIに関しては、今
回の症例は、slow flowやbranch閉塞などの問題をクリアーしないといけませんし、
クリアーしたとしても、冠動脈造影上手技はうまくいけたとしても、目に見えない心
機能低下などで、PCPSまで必要になる可能性があります。冠動脈は治せたけど、心機
能を悪くする可能性があります。あくまでも外科医の腕がよければ、このようなケー
スはPCIはするべきではないと考えます。
訴訟されるかどうかは、ムンテラと医者の情熱で決まるのでは、ないでしょうか?こ
のケースはされても、負けませんが。

************************************************************

遅くなりましたが新年明けましておめでとうございます。

○○です。

このたび、「○○にtra旋風を!○○チーム」の一員として、平成15年1月1日を持ち
まして○○病院に勤務させていただく事となりました。

○○病院勤務中は大変お世話になりました。九州トランスラディアール研
究会では一昨年○○にて研究の会を開くことができました。みなさまありがとうござ
いました。

今後ともよろしくお願いいたします。

************************************************************

○○です。
TRAnetの皆様、さっそくのレスありがとうございます。
昨日は施設入所中(脳梗塞後・痴呆・89才)の発症時間不明・Killip4のおばあさん
相手のPCIを玉砕してましてPCを開く余裕がありませんでした。
(最近の私の緊急症例はピリッとしないものが多いです)

 件の患者さんですが、現在IABP 1:1で意識清明、Forreste1だそうで、一応、主治
医としては一安心しております。PCPS下でbeatingにてSVG x2枝CABGをしていただき
ました。
 若年者でもあり、また歩いて救急外来においでの方ですので、「無理でもPCIをす
べきであったか」考えることしきりでありましたが、結果が良い方向に転がり安堵し
ております。
とはいえ、搬送中にVT vfとなったことを想像すると背筋が凍る思いです。状況によっ
てはPCI強行がbetterであったともいえますし、ここぞというときの判断・技術など、
自分のいたらなさを思い知りました。心臓外科がいない施設だからといって、それを
逃げ道にしていなかったのか?などと、さらに自問しております。いずれにしても、
日々の研鑽が第一ですけれど(-_-;。

************************************************************

○○です。
TRA-NETの皆様、本年も宜しくお願い致します。
○○先生、新年早々お疲れ様でした。
この冬は本当にAMI、CHFをあわせ急患が多いですね(現在進行形)。
緊急一号の患者さん、ご無事でなによりでした。
ところで、もし、ご自身でPCIされていたらどうであったかですが、
先日の鎌倉ライブで配布された症例集に掲載されている
○○先生の論文が参考になるかもしれませんよ。
(症例集の丁度真ん中あたり)
どのような選択をされるにせよ、患者さん本人、ご家族への
十二分の説明と、選択した手段への信念が大事でしょう。

************************************************************

○○です。
今日も、72歳女性、多枝関与のIHD, ACSが歩いて来院、緊急CAGを致しましたが、
TAA/DA合併で、IABP禁忌でしたし、緊急で外科へ依頼しました。(TAAは既に過去に
診断されております、自己判断で通院放棄の方でした。) 現在淡々とCABG*3+弓部
置換が行われています。このところウチの外科は大繁盛で、昨日も夕方から緊急CABG
をOPCABでやっていましたし、今日は予定のAVRの後に続けてやってくれています。研
修医やレジデント無しの、たった4名のチームですから、誰か倒れるんじゃないかと
心配です。

最近それなりに多忙です。でも皆様のメールを拝見すると、ウチだけではないんだと
安心致します(笑)。さらにこの忙しさに加えて、夕方ウチの子供がレゴブロックを
誤って飲み込むという緊急事態が発生、当院救急センターにて患者家族まで演じまし
た。ふう。幸い無事で良かったです。

************************************************************

○○です。

最近、あまりtra-netに参加せしておらずスミマセン。ウチの若手が大活躍なのは、
嬉しい限りです。

先ほどの○○先生の症例ですが、私も一緒にカテしていましたが、LAD#7 CTO
(collateralはseptal・LCx経由なので、対側なしでも、コンケストのパラレルで、
1-2時間、攻めれば、8-9割方とおりそう)・高度屈曲のdominant RCA#2 75% long
(血管径大きく、パークサージ必須。いかにも、飛びそう)・4AV-4PD bifurcation
各90%(bifurcation stenting必須)で、ひとつひとつは、とてもchallengingで戦闘
意欲をかきたてられる病変でした。今日のACSのご本尊は、4AV-4PD bifurcationだと
思います。ただ、LVGはseg2/3/6 akinesisで、LAD CTOをあけても、RCAに手をつける
のに何の保険にもならず、RCAをするなら、bifurcationよりも#2 75%を先にやらない
といけなさそうですが、とてもパークサージの遮断には耐えられそうもなく、IABP禁
忌で、巨大なTAAもあるため、外科にお願いした次第です。

さて、○○先生の症例は、添付ファイルがあけられないので、なんとも申し上げられ
ませんが、○○先生の症例について、コメントします。もちろん、
LAD方向への血行再建が最優先で、おおきなD1というか、intermediate branchもつぶ
せません。ただ、LCxは、房室間溝を垂直におちていくタイプなので、バイパスして
もつないでもらえるかどうか、疑問です。となれば、きちんと、LMT→LADにステント
して、LMT→LAD&LMT→D1にKBTすれば、この2本はきちんと仕上がると思います。個
人的な印象によれば、LCxの入口部は、PCIで90%くらいになるかもしれませんが、そ
れでも、一度ストラット越しにバルーンをかければ、最後のLMT→LAD&LMT→D1のKBT
でも、最低限、閉塞はしないとおもいます。とすれば、CABGと血行再建度はかわりま
せんから、PCIで全然かまわないと思います。

もちろん、いろんな理由でCABGを選択されるのも、まったく妥当だと思います。それ
を批判するつもりも全くありません。ただ、自分は、待ち時間の急変が嫌だし、万
一、VTやVfになると、こうしたcoronaryでは、hemodynamic collapseになり、2度と
復活しない危険性がありますから、直ちにPCIを選択したいと思います。

off-pump CABGといっても、PCPSが入っているわけですから、普通にpumpまわしてや
るのとそんなに違いませんよね。○○先生には、とっても失礼かもしれませんが(ど
うぞお許しください)、若年だし、PCPS下でそれなりに安定しているわけですから、
僕なら、all 動脈グラフトでやってほしいと思います。血行動態が不安定だし、そん
なに人工心肺によるエンボリのリスクはなさそうですから、ポンプを回すことには抵
抗感ありません。ただ、SVGのみのオペなら、nativeはLMTですべてtotalになると思
うので、数年後に、変性静脈グラフトへのPCIとか、SVGから対側造影してのLMT CTO
あけになる確率が高いわけで、末梢のrun-offもいいこうしたケースでは、不満足で
すね。というか、地理的ならびに臨床症状的に、外科医の選択肢が限られるのはわ
かった上で申し上げているのですが、この症例でしたら、最低限、all 動脈グラフト
によるCABGで、LADとD1につないでくれる外科医でないと、CABGにまわす気は、自分
的には、ありません。

************************************************************

○○です。
昨日から患者さんの状態も落ち着いてきたと思ったら、院内インフルエンザ大流行と
なり、対応に追われておりました。
○○先生、御丁寧なレスをいただきまして、ありがとうございます。

先生のおっしゃるとおりで、私としても動脈グラフトでバイパスしていただきたかっ
たです。先生も以前、netでおっしゃっておられましたが、SVGグラフトは7年が寿命
と考えております。緊急症例ではありますが(あるいは、だからこそ)若年者でもあ
りので動脈グラフトで完全に仕上げていただきたかったのですが…。こういうのは、
内科医/外科医の力関係でも決まってゆくのかもしれませんが、「動脈グラフトでお
願いします」と言えないことは内科医としては恥ずかしいことかもしれません。

************************************************************

○○です。

先生もご存知のとおり○○大学の先生方は、研究会などで当院の心臓外科の先生が
4〜5枝バイパスの一本でもSVGを使用していようものなら、いまどきSVGを
使うとは・・とか、Aorta non-touch CABGでないなんて・・、と厳しく批判さ
れておられますから、緊急一号さんは、動脈グラフトを使用できない、もしくは
使用しない方が良い何らかの理由があったものと考えます。
先ずは患者さんを助けていただいたことを素直に喜びましょう。

************************************************************

皆様はじめまして
このたびTRA-netに参加させていただいた○○と申します。
勉強させていただきたいと思います。
何卒よろしくお願い申し上げます。

************************************************************

はじめまして。○○病院の○○です。

新規登録をご承諾いただきありがとうございます。自己紹介・病院紹介をさせていた
だきます。
 皆さん○○といわれても どのあたりにある病院なのかピンとこないかもしれま
せんが
○○市のさらに南にあり、○○市のベットタウンとして昨年5月にやっと村か
ら市制へと移行したばかり

<中略>その○○病院へ昨年2月から異動となっている○○です。
自分のいる病院を自慢するのもおかしいかもしれませんが循環器を含めて協調性のあ
るスタッフのそろった病院だと思います。昨年は徐々にPCIの件数も増え10月以降は
23/月となり約9割がTRA・TRIの症例です。
暖かく長寿で知られていた○○ですがAMIの症例は明らかに増加しており、特に若年
者の冠動脈疾患の増加は目を覆いたくなるような状況です。
南の島から皆さんの厳しい指摘やアドバイスを心待ちにしていますので宜しくお願い
いたします。

************************************************************

○○です。

そうでした、患者さんを助けていただいたのでした。○○先生のおっしゃるとおりで
した。○○での研修医時代のから先生には基本的な見落としを指摘されつづけて
おります。こんな後輩を今年もお見捨てなく…。

************************************************************

○○です。

私も最近、45歳女性のLMT ostiumのUAP (or Impending MI)に遭遇しました。
救外でVT 2回起こされました。
造影時、TIMI 3でしたのですぐにIABP入れて心外(他院)へお願いしました。
搬送中に詰まりませんように、と祈ってました。
そこはRA、rt.GEAはほとんど使用されませんが、恐らくこのPt.はLITA, RITAをつな
いで貰えたのではないかと思います。

LMT osでしたので造影が今ひとつではっきりしないのですがhazzyで少し血栓がある
かな?と思わせる造影所見でした。
また、ACSである以上大なり小なり血栓は絡んでいるはずです。
そのとき悩んで結局使わなかったのですが、t-PA使うべきだったでしょうか?
それともヘパリンだけで新たな血栓はある程度予防できるでしょうか?
t-PAを使って悪くはないと思うのですが、なんとなくこのままそ〜っと(しておきた
い)、と思いヘパリンしか使えませんでした。
皆様御教授ください。
ちなみに○○先生は搬送前に投与されましたか?

************************************************************

○○です。

私も一方ご相談があります。
シネ装置が新しくなってdigital放送になりました。

85y.o. male
risk factor: HT
P.H.:Bladder Cancer post ope.
Lt.Valsalva起始RCA#1:90%です。
当初CB 4.0×10mmの後にBx 5.0×18mmを入れようと思っていたのですが、
CBかけた後、ここにStent入れてもよいのだろうかとふと疑問に思いました。

Pre
Post


この方はPAとAoの間を走行していると思いますが、このような大血管にはさまれてい
るようなlocationのlesionにStentを入れてもよいものでしょうか?
Stentがcompressionされて変形する可能性はないでしょうか?
この方は結局CB aloneで終了しております。
皆様、御教授お願い致します。

************************************************************

○○です。
 ○○先生、res ありがとうございます。鎌倉では先生とお話したかったのですが、
気後れして、お声をかけることができませんでした。
 ご指摘通り、私もmt PAの投与を考えました。しかし、「もしも血栓が不完全に溶
解してLADに転げ落ちていったら」(医学的ではないですが)とか、「opeに支障ある
か?」とか、いろいろおぞましい妄想し、ヘパリンのみの投与として搬送いたしまし
た(勇気と学術的裏付けののないことが露呈してます)。

> また、ACSである以上大なり小なり血栓は絡んでいるはずです。
> そのとき悩んで結局使わなかったのですが、t-PA使うべきだったでしょうか?
> それともヘパリンだけで新たな血栓はある程度予防できるでしょうか?
> t-PAを使って悪くはないと思うのですが、なんとなくこのままそ〜っと(しておきた
> い?と思いヘパリンしか使えませんでした。
 まさに先生のお考えの通りで、程度の差こそあれ血栓の関与は間違いのないところ
でしょう。こういうcaseでmt PA投与を行ってflowが低下するのでしょうか?いかが
なものでしょう?こんなふうに「結果OK」の自分がイヤになってきますが…。

PS 1
○○先生、mini liveの件、残念なこととなったようですが、私個人が先生の施設に
お邪魔することは可能でしょうか?実は、お願いメールを打っていたところなので、
厚かましくお聞きします。

ps 2
○○には「ハントンライス」という洋食系ライスメニューがあります。きっと、ご当
地メニューと思います。御存知の方いらっしゃいます?けっこう、美味しいですよね、
○○先生!!

************************************************************

○○です。

○○先生、netではいつもお世話になります。
GPUb/Va inhibitorがあればそれがよいのではないかと思うのですが、なぜかt-PA
になると腰が引けます。
落ち着いて考え直すとやはり使っておいたほうが良かったかなと思っています。

> PS 1
> ○○先生、mini liveの件、残念なこととなったようですが、私個人が先生の施設

> お邪魔することは可能でしょうか?
そのように言って頂いて誠に光栄です。
お見せするようなものはありませんが、食べ物は(特に魚)は美味しいので是非一度
いらしてください。

> ps 2
> ○○には「ハントンライス」という洋食系ライスメニューがあります。きっと、ご

> 地メニューと思います。御存知の方いらっしゃいます?けっこう、美味しいですよ
ね、
これはどのような食べ物のコンビネーションなのですか?それとも全くの単品ですか

はたして”ハントン”の由来はなんですか?

************************************************************

○○です。

某ライブにきていて、もうじきでかけないといけないので、手短にしかかけません
が、お許しください。

僕は、このanormalyは、10例くらいは、なぜかやっていますが(本当は、是非いち
ど、ライブでデモしたいんですが、なかなかうまくあたりません。他院でこのタイプ
のCTOをやらしていただいたことは、2回あります。)、ステント入れて、いちども問
題ありません。変形したケースはありません。PAもAoも、そんなに拍動で動くもので
はないので、問題ないんだと思います。

なお、ガイド・カテですが、CCTのCDにも書いたように、まったく経験的ですが、左
radial あるいはbrachial approachで、JLあるいは、ALが簡単です。入口部がLCAに
殆ど接している極型の場合は、ALでないと無理です。一度LCAに入れてしまい、若干
おしつけながらゆっくりclockwiseにまわします。LCAにダミーワイヤしてしまって、
おしつけ、カテを安定した状態で浮かし、RCAをとりに行くのも一法です。カテがRCA
にひっかかったら、もちろん、クロスできればよいのですが、無理ならconusやRVで
も、とにかく入るところに、一本ダミーワイヤするとガイドカテが非常に安定しま
す。それから、クロスにいけばよいわけです。また、RCAにカテがかろうじてひっか
かるケースでは、この何とかいれる1本目のワイヤはChoiceが最適です。先を大きく
曲げます。

また、こうした極型のRCA左Valsalva洞起始では、5Fr TRIでやれば、アンカリング
でカテとRCAが、かなり非同軸でも、カテは変形し、deepにできるので、ステント
もっていけます。6Frだとちょっとそれは苦しい場合もあります。もちろん、どうせ
RCAで血管径はおおきいですから、3.5mmとか4.0mmのPOBAでおわったことも何回かあ
ります。

ご参考まで。

************************************************************

○○病院です。
今年もよろしくお願いします。

最近、Lt.Valsalva起始RCAのPCIでガイディングのバックアップが取れず苦労しま
した。入口部がLCAに接している極型では無かったのですが、どうも中途半端な位置
に入口部があり病変が近位部であったため手前にダミーできる枝も無く、ワイヤーを
クロスしようとすると病変の抵抗だけでAL1.5が外れてしまうケースでした。結
局、AL2.0の先端ソフトチップを鋏で半分ぐらい切り取ると丁度よさそうだったの
で、恐る恐る使用したところ冠動脈を傷つけることなくうまくPCIできました。し
かし○○先生のメールを読んでいて

> LCAにダミーワイヤしてしまって、おしつけ、カテを安定した状態で浮かし、RCAを
とりに行くのも一法です。

この方法は安全だし、上述のようなケースでもトランジットと併用すればかなり有用
だと思ったので反省させられました。

************************************************************

○○です。
tPAですが、ハパーゼとかトロンボリーゼが使われていたころ、手術時の出血が全然
止まらん!と心外から言われたことがあります。最近のmutant tPAはそうでもないの
かもしれませんが、手術が前提にある場合はやはり、tPAは使用しないほうが良いと
思います。
ところで、○○先生に○○先生、あんな夜中にレスなんて、ちゃんと寝ていますか?
身体を壊さないようにしてください。ちなみにうちの外科チームも今週手術9件で、
今からも緊急バイパス術です。皆さん身体に気をつけてください。

************************************************************

○○です。
最近、half dose クリアクターをドクターカーで頻用しています。
心外に回った患者もいますが、no problemとのコメントです。

************************************************************

○○です。
○○先生、昨年横浜では大変勉強させていただきました。
当院では6F TRIがほとんどですが、先生や○○先生を見習い、頑張りたいと思いま
す。
今後共、何卒宜しくお願い致します。

さて、○○先生のご指名ですのでレスさせて頂きます。
結論から言うと、○○先生の言われるとおり、
というか自分的にはできればラディアルフォースの強いステントを
積極的に入れたいと考えます。
添付ファイルは、以前、私と○○先生とで行なった症例ですが(昔のシネから
の取り込みなので汚くてすみません)、まさにAoとPAの間でspasmを生じてAMI
となった方です。

RCA
アセチルコリン
ISDN後
ハントンライス


当院の○○先生が冠動脈起始異常症の臨牀を卒論テーマにされたのですが、
右冠動脈の左Valsalva起始は日本人に一番多い起始異常だそうで、
この部位の解剖学的要素のため、spasmや内皮刺激が多く、
意識消失発作を来たしたり、突然死することもあるようです。

ついでにハントンライスもupさせていただきました。
○○でしか食べることができない洋食で、結構おいしいですが、
他県の方に自慢できるほどのものかはちょっと自信がありません。

トルコライスは是非とも一度食べてみたいです。
昨年のワールドカップで盛り上がって以来、ずーっと気になってます!

************************************************************

○○です。

○○先生、レスありがとうございます。

>上述のようなケースでもトランジットと併用すればかなり有用だと思ったので

とありましたが、これ、とっても大切です。

カテが、起始異常のRCAに、僅かにひっかかっているだけのときは、tipがある程度硬
く、すべりのよいChoice PT floppyでないと冠動脈内に入れられません。また、RVと
かにダミーでいれたあと、2本目もやはり血管壁との摩擦の関係で、Choiceでないと
ダメなことがあります。Transitをつかえば、血管壁との摩擦はさらに減ります。ま
た、そのあと、balloonだの、stentだの、ましてやanchoringなど、ストレスフルな
操作をChoice単独でこなそうとするのは、穿孔のリスクがあります。ある程度体勢が
整ったところで、floppy wireに、代えたいですよね。

ですから、摩擦軽減とワイヤ交換のため、私も、難しそうな例は、必ずTransit併用
してます。

ただ、Choiceでは、南都法でTransitを抜去できないし、DOCも使えません。Transit
が病変をクロスすれば簡単にFloppyワイヤに変更できますが、そうでないと、Choice
のみ病変をクロスした状態では、昔ながらのボストンのマグネット(古い!)を使っ
てTransitを抜去しSOEバルーンで一旦拡張するか、Transitをおしつけてbareでワイ
ヤ交換し、南都法でTransitを抜去することになります。ウチのカテ室には、ただ、
この目的だけのため、マグネット置いてあります。このデバイスは、何回でも再滅菌
できますから、1つあれば十分ですが・・・。

************************************************************

○○です。

○○先生、○○先生早速のresありがとうございました。

確か、半減期の長いmonteplaseでも20min位だったように記憶しております。
でも、臨床的に効き目があるのはどれくらいなのでしょうか。
opeまでの時間が短いのであれば(院内に心外があれば)○○先生の仰られるように
控えたほうがよいのかもしれませんね。でも、今回のようにopeまでに時間がかかる
のであれば(心外のある施設への搬送等)○○先生の仰られるようにhalf dose t-PA
も問題ないように思います。
○○先生へお尋ねいたします。
もし、Pt.が比較的お若くて出血性合併症が起こりにくいと思われた場合、full dose
も可でしょうか?それともfullでもhalfでもあまり違いはないのでしょうか。先生は
どのように使い分けられていらっしゃいますか。

************************************************************

○○です。

○○先生、○○先生、○○先生、大変参考になるお話ありがとうございます。

以前、○○先生から ”Lt.Valsalva起始RCAのPCIはlt.TRA+ALがいい。”と伺ってい
ましたのでこの症例に遭遇したときは待ってましたって感じでした。
今回の症例では、lt.TRIでGC:AL1.5ST(AL2をまず用いましたが、over sizeでし
た)、GW:Neo's Rinatoを使用致しました。幸い、GWやdeviseのderiveryは比較的容
易でした。
ただし、AoからRCAは立ち上がってすぐにAoに沿って右に旋回するのでosでやや
deviceの通過に抵抗がありました。
皆様のご意見を最初に伺っておけばよかったと後悔しております。resteの際には迷
わずStent入れるように致します。
ありがとうございました。

************************************************************

○○です。

○○先生、興味を持っていただきありがとうございます。
half dose tPTの先行投与は、PCIを行うことが前提と考えています。TIMI IIIを目
標としているのでなくTIMI 1.5くらいで、wire passでTIMI IIIとなり、Distal
protection+D-Stentingで終了。が目指すところです。ですから、full dose にこだ
わっていません。だって、Control CAG でTIMI IIIだったら、PCIできないじゃん
??。(でも、夜中に呼ばれて、CAGだけで帰られるの睡眠時間が増えていいもの
ですし、カテコラミンの分泌量も少ないせいか寝付きがいいですが。)

さて、当院でのプロトコールでは、half dose tPAは発症4時間以内の症例を対象に
しています(若年の喫煙者など溶けそうな症例に関しては6時間程度まで適応を広げ
ています)。理由は、血栓が新鮮なうちは溶けやすいことと、やはりこの時間はでき
るだけ早く再灌流すべきと思いますが、時間がたったものに関しては確実性が劣り、
出血性合併症が起きただけと言うこともあり得るからです。発症1時間の症例と12
時間の症例とを同じストラテジーですべきでないと考えています。当院では大体Door
to Balloonが30分です。Onset後、1 hr vs. 1.5 hrは大きな違いですが、12 hr.
vs. 12.5 hrはたいした違いではないと思います。また、しなければよかったという
ことがないように(どうせPCIしますから)適応はかなり厳しくしています。

で、full doseに関してですが、基本的にはしていません。例えば、ドクターカーで1
時間
以上かかるところに行って、投与後30分たっても改善なければ考えるかもしれませ
んが、溶けてなければ、tPAはなかったこととして通常のPCIでいいのではない
でしょうか。体重100キロだったらfull doseするかもしれませんね?

最後に○○先生の症例ですが、LMTといえども、TIMI IIIでtPAを使う必要
はないと思います。IABPなしでTIMI III得られておりますので、出血性合併症のリ
スクを考えたら(少なくとも輸血は多くなるでしょう)、そのまま外科でいいと思い
ますが。IABPでflowがとれれば、血栓も溶けるでしょう。個人的にはLMT ostium
でAortic Dissection の症例を数例経験し、そのような症例はまずdissectionを考
えるのでtPAは使いません。ただ、LMT に波及したAADに関しては造影所見に特徴
がありますので、○○先生の症例のようにhazinessあれば話は違います。でも、○○
先生、45歳女性 LMT ostium病変って、なにか変だと思いませんか。Aortitisか
何か変な病気がないでしょうか。たぶん外科はそんなことに興味を持たないと思いま
す。ぜひ調べていただいて、基礎疾患がわかったら教えてください。

************************************************************



第60集


*********************************

○○です。

全く問題なし、です。同様の症例は何症例かありますがステントが折れたことは
ありません。ステントが折れるには何らかの力が必要で、それをアンギオで判断
するには心拍動による冠動脈の動き、これはmid RCAの高度石灰化病変が心拍動
で、だと思いますが折れた症例がありました。ちなみにやや長めのNIR stentで
したが。強いスパスムも危ないと聞いたことはありますが見たことはありません。

という訳で高度石灰化で心拍動の屈曲点に関係していなければまず大丈夫と思い
ます。

*********************************

○○です

Lt.Valsalva起始RCAに関しては、、まずは造影時の造影カテの
かかり具合からGCを決定します
ALが最適なら、いいんでしょうが
場合によってはJLもGoodな症例もあると思います
anomaryこそGC, GWのテクニックを活かせる舞台では
と思って燃える闘魂でがんばることが大事かもと思います

*********************************

初めまして。
○○総合病院の○○と申します。

この度TRA-net に参加させて頂きました。
診療科は脳外科です。
いろいろ勉強させて頂きたいと思っています。
宜しくお願い申し上げます。

*********************************

○○です。

追加発言です。

皆さんがこれまでにも御指摘のように、
通常RCAはすぐに右方向へ走りますので、
ガイドカテとRCAとは直角に位置し、
水平方向での同軸性は決して保たれません。

また、RCAの走行は右と言いましても、
正確には右下方向でして、水平方向のみでなく、
垂直方向についてもガイドカテとは非同軸の関係にあるといえます。

このように水平、垂直方向の非同軸の二重奏がベースにあるため、
たとえ軽度でも石灰化があるとディバイスの通過は極めて困難となります。

6Fですと、○○先生が御指摘のようにdeepできないこともあり、
ステントが通過しない時は、
私はいつもALを引き上げるようにして、
上下方向だけでも同軸に近い状態にし、
上から下に落とし込むようにしてステントを進めます。
この場合、どうしてもガイドカテはRCAから浮いてしまい、
バックアップがなくなりますので、そのような理由からも、
最初からtwo wireで手技を開始されたほうが手技が楽になると思います。

*********************************

○○です。

○○先生、○○先生、○○先生、大変参考になるお話ありがとうございます。

以前、○○先生から ”Lt.Valsalva起始RCAのPCIはlt.TRA+ALがいい。”と伺ってい
ましたのでこの症例に遭遇したときは待ってましたって感じでした。
今回の症例では、lt.TRIでGC:AL1.5ST(AL2をまず用いましたが、over sizeでし
た)、GW:Neo's Rinatoを使用致しました。幸い、GWやdeviseのderiveryは比較的容
易でした。
ただし、AoからRCAは立ち上がってすぐにAoに沿って右に旋回するのでosでやや
deviceの通過に抵抗がありました。
皆様のご意見を最初に伺っておけばよかったと後悔しております。resteの際には迷
わずStent入れるように致します。
ありがとうございました。

*********************************

○○です。

○○先生、教科書なみの詳細なご説明ありがとうございます。
先生はfull doseと同じ適応でhalf dose使用されてるのですね。
私も他院からt-PA打って運ばれてくる患者さんを受け取ることはあっても、自分で打
つことはほとんど無いので大変勉強になりました。
追加でお教えいただきたいのですが、
@half doseでも出血性合併症を来たした方のご経験がございますか。
Arepurfusion arrhythmiaで難渋されたご経験はございますか。
ご紹介頂く他院の先生から”t-PA打ってきたほうがいい?”
と聞かれることがあるのでそのときの参考にさせて頂きたいと思いますのでご経験で
ございましたら御教授ください。

Aortitisか
> 何か変な病気がないでしょうか。たぶん外科はそんなことに興味を持たないと思い

> す。ぜひ調べていただいて、基礎疾患がわかったら教えてください。

確かに仰られるとおりで必ずしも必要ないと思います。ただ、万が一、救急車内で
occludeするようなことがあれば非常にまずいことになるな、とビクビクしてしまい
ました。
多分、当院へ戻ってこられるはず(中には戻ってこられない方もいらっしゃいますが
・・・)ですので基礎疾患検索してみます。

*********************************

○○です。

○○先生、○○先生、○○先生、ご教示ありがとうございます。

病変にはほとんど石灰化らしきものは見当たりませんでしたので今度(resteの際)
は迷わずステント入れに行きます。

また、ステント入りにくそうだったら2wireにしてみます。
確かにこの度のPCIでもGCを押し付けた状態ではIVUSが入りませんでした。少し引き
気味にすると比較的すんなり入りました。

先日、LMT absentのLAD/LCx別起始症(って言うんでしょうか)の方のLADがどう頑
張ってもきちんとengage出来ませんでした。0.014wireがあればなんとかengageでき
たかも・・・と思ったのですが、うっすら見える限りnomalでしたのでnear shotで
give upしました。これって闘魂不足なのでしょうか?

*********************************

○○です

そういう状況ってありますよね
でも、TFAしてるときにはほんとに大変でしたけど
TRAにしてからは、造影カテもGCの操作性も融通きくような
気がします
でも、造影できないときはなんとかnear shotで狭窄ないこと
確認してます
うちも闘魂不足でしょうか?

*********************************

○○です。

>先日、LMT absentのLAD/LCx別起始症(って言うんでしょうか)の方のLADがどう頑
張ってもきちんとengage出来ませんでした。0.014wireがあればなんとかengageでき
たかも・・・と思ったのですが、うっすら見える限りnomalでしたのでnear shotで
give upしました。これって闘魂不足なのでしょうか?

闘魂で解決するのかどうかは、わかりませんが、LCxを写すのにJL3.5を使われ
たのではないかと推測しています。写すだけなら、LADの方が、手前から、つまり対
側大動脈壁から近距離に起枝しますから、カテ室に特注でもJL3.0を用意しておけば
解決です。ウチはテルモ・ハートキャス5Frですが、JL3.0でかろうじて造影できた
ケースが、自分の記憶では2例あります。

狭窄があったら、どうしますか? 実は、自分は、つい1ヶ月まえ、先生とまったく
同じような、完全なDouble Orificeの症例に遭遇しました。JL3.0で、かろうじて
写したLAD#6には95%狭窄で、前胸部で陰性T波のu-APでした。

解決策ですが、SL3.5をLCxにいれ、ダミーワイヤで浮かし、大きくまげたWhisper
をLADにいれ、クロス、LCxのワイヤを抜いて、カテをLADに移し変える操作
をしました。ただし、カテはかろうじてLADに引っかかっている体勢で、バック
アップはなきに等しい感じです。deflateしたバルーンをリクロスしてみるだけで、
根性がいるくらいでした。

病変は近位部すぎて、病変でのanchoringは効きません。病変のdistalでanchoringし
て、病変をこえてカテを突っ込もうとしたものの、バルーンスリップで、それもうま
くいきません。結局、前拡張した後、普通にBX 4.5-18を入れようとしましたが、案
の定、バックアップ不足で不通過でした。困ったのですが、さらにBMWをパラレルに
して、高圧で前拡張をやりなおし、何とかステントを持ち込みました。なお、5Fr
の方が、こうした移し変えはやりやすいですが、血管径が大きく、大口径ステントを
いれたかったので、6Frにしました。

*********************************

○○です

○○先生ありがとうございます
今まで、なんどか同じような症例に遭遇しましたが
なんとか通常のJLで造影できてました
PCIも造影さえ出来ればって思っていましたが、参考になりました

*********************************

○○です。
その節は、話題に反応せず申し訳ありませんでした。

 新年早々、是非教えていただきたいことがあります。
この度、IVUS導入予定となったのですが、テルモ、Boston(CVIS)、Jomed/フクダ 
(endosonic)で比較検討しております。
 テルモ、Boston(CVIS)は、デモができたのですが、予算はテルモの価格でとってある
ようなので、CIVISはちょっと無理と思っております。

 Jomed/フクダ(endosonic)はまだデモがまだできていませんが、近々20MHz→30MHzに
バージョンアップするという噂もありますし、電子スキャン式の安全性、血流のカラー
表示(あった方がよい?)、DICOM対応や少人数のカテラボですので、気泡の除去が必要な
いというのも大きなメリットの様に も思います。

 IVUSですので、決め手は画質なのでしょうが、現時点での
この3社の1)画質、2)操作性、3)コストパフォーマンス、の優劣について教えていた 
だけないでしょうか。

 宜しくお願い申し上げます。

*********************************

○○です

CIVSとEndosonicの両方を持っている者としての意見です
うちには以前よりendosonicsしかなくて、時々CIVSを持って
きて貰って使っていました
Endosonicsはカテは通過性は良い(時々はバルーンよりいい時があります)
し、使いやすいです ただし必ず血管内でリングダウンをしなくては
いけないので、ガイディングを入口部からあえて外さなくてはいけません 結構これは
面倒です
それと画像ですが、石灰化、ステントなどのハードな組織はいいのですが
血栓などのソフトなものには弱いです(設定によっては改善できるらしいのです
が)血流は見えますが、ほとんど役に立ちませんでした
バージョンアップですが以前の32素子から64素子に上がるのに
アナウンスがあって今度の春には言われて、待ち続けて
3年かかりました・・・・・

CIVISは皆さんお使いなので、あえて書きません
terumoは使ってません すみません

で、結局現在うちではCIVISしか使っていません
やはり画像が命です

値段ですが、中古なんてのもありじゃないでしょうか?

*********************************

○○です。

○○先生、○○先生ご教示ありがとうございます。

実は、たくさんカテ使いました。@Sones3.5AJL4.0BAL1.5CBLH-1まで使用して
give upしました。@でLCxギリギリ届くくらいのややhigh take offでしたのでやや
大きめのカテがいいのかなと思いながら挑戦していましたが、先生の仰られる通り確
かにLADの方が手前にありますから小さ目の方がよいですね。JL3.0ですね。大変勉強
になりました。早速取り寄せます。
ただ、orificeのlocationとしてはLt.Valsalva起始RCAに近いのではないかと思って
しまったのですが、違うのでしょうか?もし、そうであればALも良い筈では・・・と
思うのですが。

*********************************

○○です。

>ただ、orificeのlocationとしてはLt.Valsalva起始RCAに近いのではないかと思っ
てしまったのですが、違うのでしょうか?もし、そうであればALも良い筈では・・・
と思うのですが。

○○先生のご質問ですが、Lt.Valsalva起始RCAは、○○先生ご指摘のように、基本的
には右下方に走るのに対して、Double OrificeのLADは、Valsalvaから垂直に上向き
に少し走行したあと、まっすぐ進むのが基本です。この垂直上向きに走行するため、
TRIで、ALはつらいように思います。いかがでしょうか?

もちろん、LCxに入れて、ダミーワイヤすれば大丈夫かもしれませんが、ALは、術者
の意図に従って変形させて操作するのが難しいので、少なくとも自分はあまりやりた
くありません。

*********************************

○○です。

現時点での、僕の印象では CVIS > Terumo > Jomed と感じています。
画質はこの順番、操作性は多分慣れによるのであまり変わらない、ただ現時点の
Garaxyには少し難がある、コストパフォーマンスは… 実際の値段によるのでな
んとも言えない、というところです。

各社とも色々改良しています。CVISは明らかにNURDの減るIVUSカテーテルを出し
ます(これはいいです!)、Terumoは毎プルバックで画像の方向が変わってしま
うという点を改良しました、Jomedは64素子に←これはまだ見てませんが、とい
う感じです。

CVISが高いのはGaraxyのためなら何とかして昔のコンソールを手に入れるのも一
つの手段かもしれません。

*********************************

○○です。

> 先日、LMT absentのLAD/LCx別起始症(って言うんでしょうか)の方のLADがどう頑
> 張ってもきちんとengage出来ませんでした。0.014wireがあればなんとかengageでき
> たかも・・・と思ったのですが、うっすら見える限りnomalでしたのでnear shotで
> give upしました。これって闘魂不足なのでしょうか?

僕はこのタイプをブタ鼻って言ってますが… ま、それはさておきどうしても
LADに(もしくはLCXに)engageできないときのまず行う対処は、selectiveに
engageした状態で十分なbackflowを出して十分造影剤をLADに流す、ということ
だと思います。多くの場合、backflow(+side hole flow?)によってengageしてい
ない分枝のほうもengage可能です。

もしLADにengageできなくて狭窄があったらどうするか、僕だったらやっぱりAL
を使うと思います。その方がsemi-engageでもback-upが強いと思うので。操作性
に関しては、慣れの問題でしょうか、それほど悪いとは思っていません。

*********************************

○○です。

○○先生早速のご返事有難うございます。
 
>Endosonicsはカテは通過性は良い(時々はバルーンよりいい時があります)
>し、使いやすいです ただし必ず血管内でリングダウンをしなくては
>いけないので、ガイディングを入口部からあえて外さなくては
>いけません 結構これは面倒です

 恥ずかしながら、「リングダウン」というのはあまり聞きなれないのですが、
どういうことなのでしょうか?
 教えていただけましたら幸いです。

>値段ですが、中古なんてのもありじゃないでしょうか?

 これも検討いたしましたが、公立の病院なので中古はダメだそうです。
新古ならいいそうで、これも探してもらったのですが、今の所、ないとの返事でした。

*********************************

○○です。

○○先生、お返事します。
@出血性合併症:かなりきびしい縛りをつけています。今のところ出血
性合併症はありません(ちなみに○○では基本的にTFI、7Fです!!)
Arepurfusion arrhythmiaは起こりえます。ドクターカー内ですのでDC、硫アトなど何
でもありですし、一過性なので困ったことはありません。それより、再灌流しない状態
で、虚血そのものによる不整脈が起きる方が危険と考えていますし、事実だと思いま
す。ですから、紹介いただいた先生がtPAを打ちたいと言ったら、”再灌流不整脈が
起きる可能性はありますがこのまま心筋壊死を進行させる事による不整脈の方が危険
なので投与してください。”と説明しています。

クリアクターをうつようになって、街で飲んでいても大慌てで帰ることがなくなりまし
た。
ありがとう、いい薬です(○○さん、どこかつれていってください)。
○○先生、○○には tPAの日はありませんが、みんなで街に安心してしていけるよう
になりました。

*********************************

○○です。

>ま、それはさておきどうしてもLADに(もしくはLCXに)engageできないときのまず
行う対処は、selectiveにengageした状態で十分なbackflowを出して十分造影剤をLAD
に流す、ということだと思います。

ちなみに、自分の症例ですが、Assist使って、LCx方向に十分な量の造影剤をうって
も、バックフローでわかったのは、どこか別のorificeからLADは、出ているらしい、
ということだけでした。
そもそも、LADにBX 4.5-18を入れたように、LCxも血管径が大きく、大量のバックフ
ローが得られる状況ではありませんでした。

*********************************

○○です

Jomedの電子スキャン方式はプローベと血管内腔(血液)の
間に白いリングが強く出ます これをソフト上の処理で
消しているだけです
CVIS等のメカニカルスキャンでも見られますよね(うっすらとした
白い輪です) 電子スキャンではこれが結構大きくて
邪魔になるので、消しているだけです
でも、消すとその部分イメージも消えるので技が必要です

*********************************

○○です。

それなら仕方なし、ですね。Back flowで見るのは一般論として、です。うちで
も以前チョロチョロ造影して見えない見えないといってカテーテルをこねくり回
していたケースがあったので…

*********************************

○○です。

○○先生、○○先生ご教示ありがとうございます。

私のnear shotというのが”ブタ鼻の中隔”のところでして、強めにshotしてLCxは
しっかり映るのですが、LADはぼんやり程度が限界でした。angio上はもう少しで入り
そうに見えるのですが、カテの形状は思いっきりカウンターに捻ってAo壁にぴったり
張り付いているので実際には限界だと判断いたしました。


思慮の浅い質問で申しわけございません。とりあえず、engageのことまでで頭がいっ
ぱいでそこまで考えが及びませんでした。
私、ほとんどALは使わないので慣れておらず、可能ならばJadkinsLeftを使いたいと
は思っております。

*********************************

○○です。

登録後、初めてメールをさせていただきます。
経験が少ないため、いろいろとわからないことが多くて、勉強させていただいていま 
す。
ありがとうございます。

ひとつPCPSについて御教授いただけたら幸いです。
先日81歳の女性の下壁AMIに対して緊急PCIを施行しました。
#1が完全閉塞していて、Stent留置後にno flowとなりました。
(当院ではまだパークサージが使用できませんでした)
その後、Vf→心肺停止状態となり、PCPSを挿入してなんとか乗り切ることができまし 
た。
約二日半経過した現在、意識はほぼ良好で、昇圧剤を低容量を使用して、
PCPSのflowは約2.5リットルで血圧が100前後が維持できていますが、
PCPSから離脱するタイミングなど、指標になるものなどがあるようでしたら、
御教授いただけると幸いです。

よろしくお願いします。

*********************************

○○です。初レスです。
PCPSの抜去のタイミングですが、基本的には
血圧、心拍数、酸素化などをみながら徐々に
taperingしていって、最後はOn-Offだと思います。
それ以外では人工肺の寿命でしょうか。最近の
いいものでは4日間くらいは持ちそうですが。
お示しの症例では、自己心拍も安定し、カテコラミンも
漸減してるとの事ですが、カテコラミンを多少増量してでも
PCPSの流量はできるだけ早く下げていって、抜去へ
向けてもう動き出したほうがいいと思います。
動いてる心臓にとては、PCPSは後負荷増大を招いて
逆に心収縮力を落としてしまう可能性があります。

*********************************

○○です。

  超遅レスで申し訳ありません。

  ブタ鼻に両用カテはいかがでしょう。その理由は最後に書きました。

>> 僕はこのタイプをブタ鼻って言ってますが… 


  ブタ鼻の場合の造影の工夫の件ですが、左を造影するときどうしてもどちらかに
セレクティブに深く入ってしまうのが問題ですね。
  当たり前のことですが、左冠動脈のどちらかの枝に深く入ったときは、カテ先を
少し引いて、持っていきたい側に向けて、そしてカテ先を進めると今度は反対側にセ
レクティブにエンゲージします。例えばカテ先がどうしてもLCX側に入ってしまうと
きは、カテを少し引いてカテ先が動いたことを確認したら、今度はゆっくりカテを時
計回転(カテのどこかに支点ができていて、回した方向の逆に向くときは反時計回転)
に回し、それからカテをそろりと押し込みます。カテをどの程度引いた時点で、回し
始めるがよいかは数回の試行錯誤で判ります。引き方が少なければカテ先がLCXに残っ
たままなので回してもLADに向かないし、引き方が多ければカテはポンと左冠動脈よ
り抜けてしまいます。
  豚鼻の造影の難しさは、このちょうど良い引き方の許容幅が極端に短いと言うこ
とです。ジャドキンス(JL)は、このはねやすいと言う性質より、ブタ鼻ではいらい
らさせられることがあります。

  また、カテの種類によっては、カテを引いたときカテ先の向きが目的の方向から
遠ざかる場合があることだと思います。
  アンプラッツ(AL)は、カテを引いたときカテ先が下を向く性質があるため、カ
テ先がすでにLCXに入ってしまった場合の軌道修正は、時としてやっかいです。特に
バルサルバに対して大きめのサイズのカテを持っていった場合、押しても引いて
もLCX側を向くという場合があり、途方に暮れることがありました。

>> Double OrificeのLADは、Valsalvaから垂直に上向きに少し走行したあと、まっすぐ
進むのが基本です。

  ということですので、おそらく小さめのALを選び直し、押しつけてカテ先を上に
向けることができれば勝算有りと言うことだろうと思います。

  ところで、両用カテは、カテを押し引きしたとき、カテがはねにくいと言う性質
とカテ先が割とぶれないと言う性質があります。両用カテは、カテが大動脈やバルサ
ルバに当たる部分(支点)が多いのがその理由だと思います。両用カテというといろ
いろありますが、私が使わせていただいたことのあるものでは斉藤滋先生、光藤先生、
斉藤太郎先生のものは、皆同様にはねにくくぶれにくいと言う感じでした。(ガイド
カテで言えば、ちょっと雰囲気は変わりますがキムニータイプも入れやすいように思
います。)ブタ鼻に関して最も多く使ったのは光藤タイプですが、AL,JLより操作し
やすかったように思います。radial用に長いものを用意しておけば、役に立つのでは
と思います。

*********************************
   
○○です

○○先生のおっしゃる通りだと思います
この症例は下壁梗塞なんで、心機能もさほど問題にはならないと思います
ただし、右室梗塞の合併があるのならカテコラミンはやはり必要だと
思いますが、PCPSを長期に使うほうが後負荷の事を
考えても得策ではないでしょう
うちではエコーで、大動脈弁の開き具合とか、LVの負荷等を
見ながら減量をしていってます

*********************************

○○です。

僕もPCPSについて教えて頂きたいです。
1枝閉塞のAMIでVf →Arrest →PCPSとなった症例は心機能が比較的保たれているの
でPCPSによる後負荷の増大の事を考えて血圧と心拍数が許せば早めに抜去するほうが
良いと思っているのですが、多枝絡みのAMIや心筋炎で非常に心機能が悪い症例はど
うでしょう?AMIで言えばLMTの完全閉塞やjeopardized collateralのある場合の
Donor Arteryの閉塞で急性期のEFが20%以下になった症例です。
急性期はカテコラミンを併用するよりもPCPSに完全にのせてしまって心臓に血液をあ
まり循環させないようにして(変な表現ですみません)カテコラミンOff、PCPSの回
転数のみで心筋炎なら炎症が治まるまで、AMIならStunningから少し回復するまでひ
たすら待って心機能が少しでも良くなってからPCPSの回転数を下げカテコラミンを併
用して抜去と考えていました。PCPSのweaningをはじめる時の指標ってみなさんはど
うされていますか?PCPS全開の時は肺循環をあまりしていないのでSwan-Ganzは脈圧
が少なくてあてにならないし、あまり長期に回すと血小板の減少、下肢の虚血(これ
はBypassしてもらえば問題ないですが)、ビリルビンの上昇、他にも様々な
Complicationがでてくるような気がします。エコーで見てこれくらいとか何か良い指
標ってありますか?それともPCPSに完全にのせてしまうというのは良くないのでしょ
うか?今後のために教えて下さい。

*********************************

○○です。

○○大学の○○先生。
国循ではPCPSってどういうタイミングで抜去してましたっけ?
いまは、適当に抜いているので忘れました。
しっかりした基準がありましたっけ?

*********************************

○○です。

○○先生の御質問は、現在進行中の症例に対する
サジェスチョンを期待されていると思いますので
当院での方法を具体的に、述べさせてもらいますと

非常に単純ですが (当然A-lineの観血圧モニターができているとして)
PCPSのFlowを2.0→1.0→0.5L/minと下げてみて
血圧が維持できるかどうかで判定します。

ほんの10数秒で判定できます。
(さすがに、これだけ下げるとすぐに回路がつまってしまうので、
テストが終わったらすぐに、もとのFlowに戻してください)
OKなら、回路をクランプして再評価して、抜去です。

心エコーの示標はPCPSによる後負荷や血管内Volumeに影響されますし、
結局は、PCPSを離脱してショックになるかどうかが重要なのですから、
直接流量を下げて離脱テストをしたほうが確実だと思います。

もし、血圧が低下するなら、右室梗塞合併ならVolume+カテコールアミン、
低左心機能でもしIABPが入っていないならIABPを開始し
心不全で酸素化が悪くなれば人工呼吸管理を開始して
可及的速やかに離脱をはかるようにすべきだと思います。

PCPSは、後負荷増大により左室に負荷をかけ続けるばかりではなく、
基本的に長期間使用すれば必ず(!)合併症が出現すると考えておいたほうがよ
いので、いかに早く離脱可能な状況を作ってあげるかが重要だと思います。

もし、合併症なしで、ショック例に長期間PCPSが使用できるTipsがあれば、
お教えください!!
うわさでは、メーカーや膜による差があるとか....

*********************************

○○です。
ROMしてばかりでしたが○○先生からの指名(?)でしたので
知っていることについて答えさせて頂きます。

PCPSのweaningについてはみなさんのレスにある通りですが
抜去の指標としては1)体血圧 2)心拍出量 などのほかに
心エコーで簡便に計測できる項目として
Mモード上の大動脈駆出時間(ET)が200msec以上を目安にしていました。
国循ではこの指標が特に大切だった気がします。

時間があれば以下の参考文献をご参照ください。

別府慎太郎 左心補助人工心臓からの離脱回復の予知 J Cardiol 1991;
21:707

ところでチュウチュウネタのことで質問なのですがよく話題になる
6Fシステムを使用してのGuardwire+thrombasterについて保険上はどの
ように対処してられるのでしょうか?
たくさんの症例をされている先生方教えてください。

*********************************

○○です。

御教授ありがとうございました。

今回の症例は、血圧も昇圧剤に良く反応し、UCGでは比較的心機能が維持されていて、
左室駆出率も50%ありました。
昨年経験した症例では左冠動脈#6 just proximalで、ショック状態となり、
PCPSを回した症例がありましたが、心機能はUCGではほとんど動いていなくて、
Flowを低下させると血圧が下がってしまう状態で、
結局PCPSから離脱できずに終わってしまった症例がありました。
そういう意味では、 今回の症例は心機能が維持されていることからweaningできそう 
な印象はありました。

ビリルビンの上昇は無く、血小板はヘパリンの影響でしょうか消化管出血が持続して 
いたため、出血に伴う影響でHbとともに低下していました。しかし、昨日の午後に人工
肺が寿命となってしまったため、回路を交換する前に、Flowを減少してみました。
Flowを0.5まで下げて見ましたが、血圧が維持できていたため、思い切って抜去してみ
ましたが、おかげさまで、その後もバイタルは安定しています。

いろいろと御指導いただきましてありがとうございました。
またPCPS症例に遭遇したら、御教授いただいた知識を参考にしていきたいと思います。
(大動脈駆出時間については今回は検討できませんでした。次回には検討させていた 
だきます。)

今後ともよろしくお願いします。

*********************************

○○です。

○○先生ご教示ありがとうございます。


実は私も左右共用タイプがよいかも・・・と思いBLH-1(左右共用斉藤太郎先生タイ
プをLCA用にmodifyしたものです)を使ってみました。結局これが一番近かったので
すが、私の力が及ばずengageには至りませんでした。

*********************************