第113集


************************************

○○です。

お伺いしたいのですが・・・
先日、珍しい(・・・と思うのですが)症例を経験しました。

60y.o. male
coronary risk factor) HT, HL, DM
数年前RCA#1のAMIに対してNIR 3.0×12mmを留置されています。
半年前に#12のAMIでPCIしましたが、その際にRCAが根っこからCTOとなっておりました
(Fig.1)。
これに対してはNIRのdist.にTsunami 3.0×30mm(Fig.2)、NIRのprox.にDuraflex
3.5×18mmを留置いたしました。
その際に血栓がモクモク沸いてきて何度かballooningしてbailoutしています(Fig.4)。

一応、念のために2ヶ月後に確認したところ綺麗でした(Fig.5)。
6ヵ月後の確認では#2のTsunami内に50%狭窄を認める程度でした(Fig.6,7)。

その2日後でした。
胸部不快感を訴えられ来院されました心電図上はOMIではっきりしませんが
T,aVLでSTが低下していました。
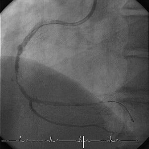
カテしてみると(Fig.8)のようになってました。
aspirationカテで引いてみるとstent留置部全長にわたり血栓を認めました。

calpritはどこなのでしょうか?
いずれにしてもステント内だと思うのですが・・・
#2の50%部分のACSだとすればステント内のneointimaにもplaqueが形成されruptureする
ことがあるのでしょうか?
確か、以前○○先生がステント内のulcerationの話をされていたような気がするのです
が、どうでしょう?
私も以前そうかな・・・?というcaseを見たことがありますし、stent留置後3ヶ月で詰
まったひとの経験もあります。
ただ、in stetnのACSの2日前のCAGがとれていましたので珍しいのではないかと思いま
す。

このような現象の機序をご存知の方いらっしゃったら教えていただけないでしょうか。

ちなみに過去にこのような報告、文献などご存知の方いらっしゃったら教えていただけ
ないでしょうか?
お願い致します。



************************************

○○です

これは珍しいですね
どこがCarplitかとても気になります
私はStent内のNeointimaがRaputureってしにくいと
考えていました
Stentの急性閉塞って血栓が主体だと思っています

(私が以前にお見せしたたしか症例はISRにCuttingしたらNeointimaが
解離した症例でした)

非常に興味ある症例ですので、
是非とも血栓吸引後のCAGが見たいです(IVUSがあればもっと最高!)
よろしくお願い致します

************************************

○○です。

○○先生有難うございます。
以前、先生がそんなことをおっしゃられていたようなおぼろげな記憶で
ご指名してしまいました。スミマセン。

明日にでも吸引後の画像を持って帰ってupします。

ちなみにIVUSはしてないんです・・・
今になってみればなんでしなかったんだろうと後悔していますが、
あの時は恐らく見ても血栓なんだかneointimaなんだか自分には区別する自信がなく、

高価なIVUSを使用してもそれに見合う利益を患者さんに提供できないよな・・・
と、へっぴり腰の自分が耳元でささやいたものですから。
でも、やっぱり後悔しています。

************************************

○○です。
遅ればせながら、あけましておめでとうございます。
○○先生 例によっておもしろい症例ですね。
IVUSしてほしかった・・・・。
文献的考察ですが、
A. Farb. et al. Pathological mechanisms of fatal late coronary stent
thrombosis in humans. Circulation 2003:108;1701-1706
なる論文で、
late thrombosisの機序として
@大きな枝のまたぎステントのside branch分岐部閉塞
ARadiation後
Bステント前後の非ステント部のプラークラプチャー
Cmarkedly, necrotic, lipid-rich plaqueのprolapse
Ddiffuse ISR
とあります。
経過からして、Cが考えられると思いますが、いかがでしょうか。
フォローの時にでもIVUSして、是非報告してください(地方会やJSICにででも)。

************************************

○○です。

私も以前の施設で同じような症例を経験しました。

77歳の男性で#7にS670を植え込みました。6ヶ月後の確認造影でも問題はあり
ませんでしたが、1年後にAMIで来院されました。
STENTの近位部で完全閉塞しており、吸引にてSTENT中央部での閉塞が確認され
ました。POBAのみではflowの改善が悪かったのでNIRを重ねました。



************************************


初めてメールします。○○と申します。現在は派遣で東
京○○病院というところでこじんまりとカテをしております。

数年前、国循の病理で勉強させていただいておりました。
その時の剖検症例で詳しい病歴は忘れましたがLMTにStentが入っていた方を経験しま
した。ステント内にかなりの内膜肥厚の隆起を認め肉眼的に黄色病変を呈していたのを
覚えております。その時はステント再狭窄に更にプラークが形成されることがあると認
識したのを覚えております。

ただそれをあんまり不思議の思わなかったのは、一般的にプラークが破綻した後、そ
この修復過程で更に新生内膜が形成され、その内膜に再びリピッドの沈着、マクロ
ファージの浸潤、コアの形成が日常的に起こっています。

いかがでしょうか?

************************************

 ○○です。

aspiration後の造影です。



dist.もステント外はきれいですのでやはりステント内のeventではないかと思います。

50%狭窄の部分がやはり狭窄として残っています。
#1dist.にはやや広い場所がありますが・・・
まだまだ吸いきれていない壁在血栓が残存しているでしょうからなんとも言いがたいで
す。

************************************

○○です

  これは珍しいですね
  どこがCarplitかとても気になります
  私はStent内のNeointimaがRaputureってしにくいと
  考えていました
  Stentの急性閉塞って血栓が主体だと思っています

  (私が以前にお見せしたたしか症例はISRにCuttingしたらNeointimaが
  解離した症例でした)

  非常に興味ある症例ですので、
  是非とも血栓吸引後のCAGが見たいです(IVUSがあればもっと最高!)
  よろしくお願い致します

************************************

○○です。
寒い日が続く中、冷え〜〜〜ッた症例をひとつ。

88歳 (女性、ちょっと痴呆あり)。LAD OMI, RCA OMI(but LCXから側副血行路あ
り), LCX 90%で紹介になりました。狭心痛とともに、血圧がガーッと下がるためLCX
にPCIとなりました。高齢者なので、6Fr TRI provisional stentを予定(サクッ終わ
る予定であった)しました。
@luncherJL3.5は問題無くengageでき、LCX入口部にPCIを始めました。
Aバルーン後、Cypher3.0/18がcross出来ず、エイヤッとGCをdeepにいれると、
Cypherは通過してくれたものの、LMTはザックリ裂けてしまいました。とりあえずLCX
にCypherをLMTにちょこっと頭を出して留置して、
BLMTのdissectionをCypher3.5/18でカバーし、ポストかけて
C終了。
したのですが、いやはや、大変な症例でした。

LCXにPCIするとき、JudkinsをdeepにいれるとLMTにすごいstressがかかることがあり
ますよね。
Judkinsー安全、Long Tipー要注意。ってな感じでやってると、こんなこともあるの
で気をつけましょう。むしろ始めからLong tipでグイッとDeepにいれといた方が、安
全な時もあり、注意、注意!!!

その後、おばあちゃんは狭心痛からは開放され、今日は風呂上りに麦茶を飲んでいま
した。しかし結果、オーライでは明日にはつながりません。この症例に学び、明日は
89歳LCXです。

************************************

○○です。


ついに発見!! "Bradial approach in India"
インドのTRIライブで、”元祖○○”のBradial approachを見てしまいました。

7Fr.シースにて下肢(Iliac)のPTAを行うときに、
1,7Fr.シースを使用するから
2,シース長(90cmだったと思う)が届かないから
という理由で、恐ろしく肘に近い手首(Bradial)から穿刺していました。



************************************

皆さん大変ご無沙汰しております。
○○です。

Bradial approachの注意点です。

TRIの大きなメリットの1つは、橈骨神経損傷のリスクが低いことです。
橈骨神経は手首の辺りでは、橈骨動脈より離れておりますが、
肘部に近づくにつれ、急速に橈骨動静脈に接近します。
恐らく前腕の真ん中辺りではすでに合流しているのではないでしょうか?
近位になるに従って橈骨動脈は触れにくくなりますし、
穿刺に伴う神経損傷のリスクは結構高いかと予想されます。

また、radial approachでは橈骨がすぐ裏側にありますので止血は容易ですが、
bradial approachでは橈骨動脈の裏側は筋肉ですので、
出血性合併症のリスクは上昇します。

さらに、私たちが以前IVUSを用いて行った検討では
(Ann. Thorac. Surg. 79:99-103, 2005)、
肘部から約15cmまでの部位では、
橈骨動脈血管径は凡そ3mm強で、一見、問題なそうなのですが、
minimal lmen diameterですと平均2.6mm弱となります。
6Frは問題ありませんが、7Frでは閉塞のリスクが生じてくるでしょう。

以上から、bradial approachのradial approachに対する優位性は、
”シースやカテが短くて済むため足に届きやすいこと”、
brachial approachに対するメリットは、
”術直後より肘を曲げて食事ができること”
くらいではないかと思います。
○○先生をブルーに戻すつもりはありませんが、
あえて行う手技ではないと考えます。

************************************

○○と申します。
平成6年卒で、現在○○先生の元でカテ・PCIの勉強をしています。今後、このTRA-
netを通じてカテに関する知識・情報を吸収していければと考えておりますのでよろし
くお願い致します。

************************************


元祖ブラディアル=○○です。
インフルエンザと戦いつつ、皆さん必死で働いているこの時期、更に連休中日!!!。
“熊本トランスラディアル研究会”を開催(2/12 Sat)することになりました。前回
と同様、九トラ、近トラ、北トラの強力なバックアップの元に、「笑いあり、爆笑あ
り、盛り沢山」な研究会になりました。
それにしても5時間30分は、長いか!?
プログラムを添付いたしますので、おヒマな方は覗きにきてください。

「熊本におるもん(居る人)はみんな、来なんぞ(行かなければいけない)!!!」

************************************

○○です。

超遅レスですみません。○○先生、大変な症例、お疲れ様でした。カテによる冠動脈
入口部付近の損傷は、重篤な合併症を起こしかねないので、できる限り回避したいも
のです。これが生じる原因として想定されるのは、1)カテーテルの形状 2)カ
テーテルの材質 3)カテーテルのサイズ 4)患者さんの冠動脈の状態(比較的
healthyなのか、plaque richなのか、などなど) 5)カテーテルの操作、そしてや
はり 6)“運”があると思います。もちろん、どれかひとつではなく、複合して、
何かが重なったとき、損傷が生ずるのでしょう。

昨年、比較的短い期間の間に、カテーテルによる冠動脈損傷を複数例経験してしまい
ました。アプローチ、形状、サイズはさまざまでしたが、ひとつ共通していたのは、
すべて"Launcher"であったことです。そういった目で、地方会の発表などをみている
と、やはりこの材質が目に付きます。

ご提示の症例ですが、個人的な嗜好で、私はLCxにJLを選ぶことはまずないですが、
比較的LCxの分岐角度は非常に厳しいわけではないし、deepをしたといっても、バ
ルーン後に、それをささえにされているわけですから、適切な操作だと思います。

Launcherは内腔がおおきく、その割りに熱ダレせずバックアップも強いという長所を
持っています。しかし、裏を返せば、チップ・シャフトともに硬いカテであるわけ
で、何かの要因がいくつか複合すると、冠動脈近位部をこそぎとるような感じで、深
く損傷がはいり、そこに造影剤の注入が行われると、さらに重篤な解離(血腫)を発
生するリスクを伴う製品ではないか、と認識しています。

ウチの症例をひとつ提示します。70歳代の男性。RCA#2に対してrt TRIを行いまし
た。LADにcollatralがありますが、もちろん、RCAを仕上げたあとで、LAD#7 CTOもあ
けるつもりでした。LAD遠位部近位端へのcollateralはconusからでていて、microに
よるsuper-selectiveな対側造影が望ましい形です。RCA近位部はShepherd's crookな
のでLauncher 6Fr JL4.0-SHを反転させていれました。このとき、RCA入口部の下に
わずかに造影剤のたまりがあります(Fig1)。RCAはひどいaccordionを呈しました
が、無事にCypherをいれ、ワイヤを抜いたところ急性冠閉塞となりました。
Runthroughでre-crossしようとしましたが、入り口からtrueはほとんど圧排されてい
るようで、false、それもRCA本幹から相当はなれたところにしか入りません
(Fig2)。そこで、このRunthouthをダミーワイヤとして解離腔の盲端に押し付けカテ
先を浮かし、苦労して探ったところ何とかtrueにre-crossし、IVUSによる観察を行い
ました(Fig3)。その後は、入口部までCypherさらに2本でfull metalにして無事に
bail outしました(Fig4)。

IVUSですが、Fig5は最初のCypherの近位側、大きくextra-vascular hematomaが広
がっているところです。3時方向にダミーでいれたRunthroughが観察されます。さら
に近位部にもどしたところがFig6、RCAを全周性にhematomaが取り囲んでいます。Fig
7は、ちょうどカテ先からでたばかりのところで、まだワイヤはtrueですが、すでに
perivascular tissueと連続した、extra-vascular hematomaが見られます。

full metal jackeにしたおかげで、conusからLADへいくcollateralが消えてしまっ
て、そのときは、どうしようかと思いましたが、1月後に再度PCIをしたときは、4PD
から主にLADへのcollateralはあがるようになっていて、対側造影下に、Conquest
Pro prallelで無事に穿通させることができました。



************************************

○○です。

○○先生、○○先生、○○先生、レスありがとうございました。
ここ一年間で、うちのカテラボでは、GCにより3症例のLMT Dissection(JL 2例、EBU1
例)を経験しました。全てLauncherではありますが、Launcherの使用本数が、多いの
も事実ですし、いかんせん術者の技量、冠動脈の状態も関係するトラブルでもあり、
ガイディング自身の問題としてとらえてはいませんでした。そう言われれば、イカリ
(Heartrail)も結構使ってはいるのですが、未だにDissectionの経験は無いですね
(IRなんて結構DEEPにはいりますが、、、)。

6FrGCの内腔競争は一段落したのですが、Cypherを無理くり押し込んでいく時代と
なった今、GCも更なる進化を求められているのだな、と考えました。

と、いうことで昨日はMach1を久しぶりに使ってみたのですが、このフニャフニャ感
になれるのは又ちょっと時間がかかりそうです。

************************************

○○です。

Launcherに恨みはありませんが・・・

以前からLauncherはカテによって全長にばらつきがあるなぁと思っていました。
私はGCを入れるときに5Frのインナーカテを使っていますので全長のばらつきはすぐに
分かります。
最近、特にEBUが長くなったような気がします。
しかもIVUSなんかをしていて、手元が短いです。

というわけで実際に計測してみましたところ109cm(公称100cmです)ありました。
すなわちdeviceの到達距離が9cm短くなっているということです。
5 in 6の際にも困ると思います。

何かのお役に立てば・・・と思いご報告します。

************************************

○○です。

昨日、無事“熊本トランスラディアル研究会”を終えることができました。北海道(○
○先生)から沖縄(○○先生)の先生まで助けていただき、15:00〜20:00までの長丁場
を乗り切ることができました。予想以上の参加者に、椅子がたりなくなり、途中で椅子
を追加したのですが、それでも足りなく、一部の参加していただいた先生には立ち見に
なってしまうほどの盛況でした。
井の中の蛙になりがちな、大人しい“熊本の若手”も、TRANET諸先生の熱い、濃い、ガ
チンコのプレゼンに、びっくりしていました。実際、演者の先生のパソコンから出てく
るパワーポイントはウイットに富んだ魅力的な内容でしたし、終始和やかな雰囲気のな
かで進行することができたのは、座長の先生方のおかげだと感謝しています。
自分自身、めりはりが効いた良い研究会だったなぁ!!!と、感動しています。
最低一年に一回はこのような形での研究会を開催していきたいと考えています。
今回は本当に、日本のFar Southまで来て頂き大変ありがとうございました。

************************************

○○です

熊トラ参加させて頂きました
○○先生 大成功でしたね おめでとうございます

熊本は思いの外、寒くてびっくりしましたが、ホットな討論ができて
すばらしい会でした
ありがとうございました

************************************

○○です.

 ○○先生のおっしゃるように非常にホットな本音が飛び交うすばらしい会でした. 
九州の田舎に住んでいると,周辺人口を桁違いに多く抱えられている施設が羨ましく見
えてしまうのですが,皆様の熱い発表を聞かせていただき,それぞれの施設に見えない
苦労があるのだなと痛感しました.
 五時間全く眠る隙もない良い会で,今年の○○ライブもぜひ見習わせていただきたい
と思いました.

 ○○先生お疲れさまでした.

************************************

○○です。

熊トラの先生方、主催お疲れ様でした。
TRA系集会はこの度初参加でしたが、以前からのお付き合いの先輩方と飲みにでも行
くようにとても楽しく過ごしました。
本当に有難うございました。これからも宜しくお願いいたします。

19日は近TRAですね。
当院は会場のすぐ近くです。皆様のご襲撃お待ちしております。

○○先生、次はBSお願いします・・・(-。-) ボソッ

取り急ぎ

************************************

mあです。

○○先生、熊トラお疲れ様でした。

夜のdiscussionまでぜひ参加したかったのですが、残念でした。おかげで、体調は
戻って、明日から、仕事に行けそうです。

Crush stent完全否定派の先生方が多かったので、一言。

Side branchへのrewiringがコントロールできないことが話題に上がってましたが、
おそらく、side branchの角度により、状況が異なると思います。確かに、直角に近
い角度の場合は、crushされた部分と、side branchに残したステントの折れ曲がりが
強く、gapが広くできてしまうので、GWが、そのgapの中に迷入してしまう可能性も考
えられます。45度前後の適正角度ならば、その可能性は低く、final KBTも十分可能
だと思います。Side branchへのアクセスも十分保たれます。Main branchにnapkin
ringを作らないので、Cypherしか使えない現状では、依然、有効手段の一つだと思っ
ています。ただし、crushされたステント塊に内膜が張ってくるとは思えず、強力抗
血小板療法は、永遠です。ただ、Colombo自身も、final KBTなしでは、side branch
restenosis 35%とconfessしているのですから、ちょっとメッキが剥げてきた感じ
は、否めません。(以下参照してください。
http://www.tctmd.com/expert-presentations/table-2.html?product_id=8643
<http://www.tctmd.com/expert-presentations/table-2.html?product_id=8643&titl
e=DES%20Techniques%20for%20Bifurcation%20Lesions>
&title=DES%20Techniques%20for%20Bifurcation%20Lesions)

************************************

○○です。

3連休の中日にもかかわらず多くの先生に来て頂きました。
ありがとうございました。
ただ、○○の大きな病院からの参加が相変わらずなのは、やっぱ○○の現状なのでしょ
うか。
参加してもらえれば、きっと虜になるのでしょうが、なかなか難しいみたいです。
少しずつ、風穴が大きくなるように努力しないといけません。
○○先生が言ってた様に・・・・・。
○○の医者だけであの会場をいっぱいににできるように・・・・。
でも、寒い中 皆さんありがとうございました
楽しい会でした。
次回はBSも手配しますか?????

************************************

○○先生、熊トラ研究会幹事の先生方、
この度はご招待いただきまして誠に有り難うございました。
懇親会でも申しましたが、当初20人くらいの小さな
研究会とお聞きしておりましたが、あのように立ち見が
でるほどの盛況ぶりで、熱いディスカッションが飛び交う
マジな研究会でしたね。最後の最後まで面白く、
朝5時半に起きて羽田経由乗り継ぎで来たにもかかわらず
全く寝る暇を与えられない、ビジ−な会でした。
また各地の先生方の「場外持ち出し禁!」発表も
とても興味深く拝聴させていただき、個人的には
こっそりパワポをいただきたいほどでした。
九州は熱いですね!北海道もこの雪を溶かすくらい
熱く皆をまとめて頑張りたいと思います。これからも
末永くお付き合いのhごど宜しくお願い申し上げます。
本当に有り難うございました。

************************************


○○です。
○○先生、熊トラ参加の皆様方 ありがとうございました。
寒空の中、皆様の熱き想いを感じて ホットな気分で沖縄まで帰ることができまし
た。

会の始まりには やや参加者が少ないかと心配していましたが、すぐに会場いっぱい
となりその後も
気合のはいったプレゼンや症例提示が続き あっという間の5時間でした。
今日沖縄で地元のPCIの会が開かれる予定ですが、沖縄の先生方にも熊トラのすばら
しさを伝えて
皆が本音で討論できるような会にしていけるよう提案していくつもりです。 ありが
とうございました。

************************************


新規登録させていただきました、○○病院の○○です。
もともとは心エコー畑の人間で、PCIのハオプト経験は250例ほどしかありません
が、猛勉強中です。
皆様の豊富なご経験に早く追いつけますように、がんばっていきたいと思います。
よろしくお願いいたします。

************************************

○○です。 
○○大では従来大学院生が病棟業務やカテーテルに参加していましたが、医療の高
度化・専門化に伴い、古いシステムがうまく機能しなくなりつつあります。 
そこで、この場をお借りして、卒後3年目以降でカテーテルを集中的にやりたい
若手を募集したいと思います。 
採用条件は面接のみです。
晴れて採用された方には、平日毎日カテをできるような環境を提供したいと思い
ます。
ちなみに昨年の総カテ件数が1440例、カテーテルインターベンション件数が
500例でしたので、毎日カテ室に入れば結構勉強になると思います。
これは、あくまでも古い体質を改善していくための方策のひとつでありまして、
他意はありません。現在の大学院生を否定したり、排除するものでもありません
が、今後カテを志す若い人によりよい環境を
提供できるようにするための第一歩だと思っております。
ご興味のある方は下記アドレスまでご連絡ください。

************************************
 
○○です。
○○先生、いよいよ明日は近トラっすね。

私もパワーポイント完了です。
構想三日、製作四日の大作「CTOが苦手な日々」です。

受け狙いです。うちのスタッフには受けましたが、ちょっと内輪っぽいのが気になりま
す。
みなさん、乞う、ご期待!!!

************************************

○○です。

そろそろCypherの6M後のRestudyが始まりました。
今までのステントは再狭窄なしと言えどもいくらかの内膜肥厚は見られましたが、
Cypherの6M後では、入れた直後と全く同じ造影が得られて驚いています。

Cypherを使用するようになって、明らかに自分自身のPCIに対するスタンスが
変わって来たのを実感しています。
「こんなに成績がいいのなら、クロピドが出れば75%でも、あるいは50%で
もCypherを入れてあげた方が患者さんにとってはいいのではないだろうか?どう
せ日本の医療制度なら実質の手出しは知れているし・・・・」という悪魔のささ
やきが聞こえてくるような気がします。

このような安易な考えがふと頭をよぎるのは、私だけでしょうか?
こんなこと学会で言ったら袋だたきにあうでしょうね。
もちろん日本全体の医療費などは考慮していません。でも、もし患者が私の親だっ
たら・・・・      アッ!! イケナイ、イケナイ。

************************************

○○です。
○○先生のおしゃる気持ちわかります。あと、SESがでてきたこの時期と、冠動脈疾
患の発見のきっかけのシステムの違いがほぼ同時におきていることも、悩ましい問題で
す。具体的には典型的な症状があり、カテーテルになった人であれば、胸痛があるのだ
からという免罪符がある程度あると思いますし、PCI後のフォローでたまたま75%の
有意狭窄があったとしたら、過去にcoronary eventがあった人なので治療したほう
が、いいという論理が働くと思います。問題はペリフェラルのバスキュラーラボからの
ASO,RASの人の偶発的な冠動脈疾患の合併や、健診からのCTA,MRAによる冠動脈疾患の発
見など、これが当院では最近多いです。
このような無症状の偶発的なIHDの合併もすごく増えています。このような人に対して
はどうなんでしょうね?
個人的には、エビデンスがでるまでは、以前からの適応でいきます。うちの親には、実
際そうしてます。(AMI,2枝バイパス、RCAのバイパスfailのCTO→stentです。)

************************************

○○です。

Cypherのfollow-up、うちでは基本的に9-12monthにしているのでまだまだなんで
すが、何例か造影した症例では○○先生の言われたとおり非常にきれいですね。
ただ自施設ではないんですが再狭窄例も経験しています。つい先週あった再狭窄
症例ではストラットが存在してちゃんと広がってるのに再狭窄、という症例でし
た。確率的にどうしようもないと感じます。

あと○○先生の言われるとおりうちでは心臓CTによるpick upが非常に多くなってい
す。元々add hocで治療をしていたので治療率が40%を超えていたのですが、な
んと最近は60%程度の治療率になっています。僕の理想は100%なんで非常にいい
傾向になっていると思っています。

************************************

○○です。

当院でもCypherの再評価は9Mから1Yの予定にしています

1例だけ留置後胸痛が出現したために3M後に造影しました
CypherはRCAの入口部から留置しており、入口部から少し末梢
に75%のISRを認めました

今回の責任病変はCypherを留置する3M前の#3のBMS ISRでした
IVUSをしましたら、入口部のCypher ISRの部位にストラットが存在していません
(FU #1_3)

Circulationにも報告されていましたが、まさか3M程度で生じるとは・・・
このような症例のご経験のある方はいらっしゃいますでしょうか?
みなさんのご意見をお待ちしております





************************************

○○です。

この度、中外医学社から“私のPCI:その分析と再構成”という単行本を出版すること
になりました。先ほど、最終の校正を終えました。全部で320ページほどになって、
いちおう、PCIの主要分野について私個人の見解を書き連ねました。experience
based medcineの理論化、といった側面もあります。

特に、CTOについては、約100ページを費やし、病理から、Tornusのアバンギャルド
な使い方まで、penetration strategyを中心に、詳細に記載しました。ガイドカテ、
TRI、non-protected LMT、DCA、Rota、合併症などにも、多くのページをさきまし
た。構想から今日まで、約2年かかったこともあり、最初に書いたところは、陳腐化
してしまうし、今年はとくにCypherとか、Tornusとかが出たので、そのアップデート
に苦労しました。まだまだ、不十分な記載ばかりなのですが、キリがないので、出す
ことにしました。

日循の書籍展示でデビューします。お時間・ご興味のある方は、ぜひ、お手にとって
ご覧ください。

************************************

○○です。

これは、いわゆるstent fractureというやつですね。もちろん、私自身は実際にみたこ
とはありません。大変貴重な症例だと思います。
原因はやはりstent留置にRCAそのものが心拍で大きく動くことによるんじゃないかと
(RAO
 viewでみたら実感できますが)個人的には思っています。以前、CRFの○○先生が
おっしゃっていましたが元々Bx Velocityのときもこういったタイプのfocal resteosis
はあったんでしょうが内膜肥厚によるその他多くのrestenosisにまぎれて気がつかなか
った、というのが本当の所ではないかと私も思っています。
あと、BMSではLADのrestenosis率が高いのにCypherではむしろLAD以外の方が多
い、ということを聞いたことがありますがもしそうならこのこととRCAでstentfracture
が多そう、ということは関連するんではないでしょうか?

************************************

○○です。
 ○○先生、ご出版おめでとうございます。無限地獄から這い出したのですね。倉敷ラ
イブの書籍コーナーに多くの本が並んでいましたが、その中で○○
IVUS本が ”今売れてます” と平積みされていました。同様のベストセラーになると
期待しています。

************************************

○○です。この度は新規登録させて頂き有り難う御座いました。毎日当院循環器内科部
長の○○先生にぼこぼこに締められながら症例を経験させ
て頂いてます。まだまだ若輩ものですが宜しくお願いいたします。

さてCypherのISRについて盛り上がっておりますが、私が受け持ちの患者様が当院初の
DESの再狭窄を3ヶ月後で認めました。
RCAのISRに対して留置した症例でした。このときは再狭窄部のみCBでとりあえずしの
いだのですが、最近になり外来で以前と同じ症状が出現してお
り、再び再狭窄の可能性が疑われます。もしDESの再々狭窄の場合みなさんはどうされ
ますか?

************************************

○○です

つまらないことかもしれませんが質問させて下さい
当院は血液透析患者さんが多いのですが、今回透析中の患者さんが胸痛発作あり
心カテにて高度石灰化を伴う3枝病変認めました
strategyとしてはRota+Cypherをやりたいのですが
透析患者さんは透析の度に穿刺を行なうわけであり
その際に長期パナルジンの服用は止血の面で不安があるのではと思い
Cypherの使用をためらっております
糖尿病もありますしRota+POBAやRota+BMSでは高確率の再狭窄が予想されます
この方は下肢の動脈硬化もあり穿刺部位の確保も難しく
いっそのことCABGかとも考えていますが、、、
透析患者さんへのCypherは躊躇なく入れられていますでしょうか?

それと先日は肝硬変による肝機能障害のある患者さんにPCIを行いましたが
やはりパナルジンの影響を懸念して
病変も血管径の大きいtype B1でしたので
その人にはBMSを使用しましたが
肝機能障害の方へのCypher(パナルジン)はいかがでしょうか?
よろしくご教示ください

************************************

○○です

○○はじめまして 今後ともよろしくお願いいたします

さて、そのCypherのISRですが、IVUSとかされてますでしょうか?
ISRはFocalでしょうか? CypherのISRにかなり興味があります
もし、よろしければCAG, IVUS等を見せて頂けますでしょうか

先日提示させて頂いた当院のISRに対してはまだ50-75%狭窄でしたが
入口部近くで経もありましたので、BMSを留置しました
Stent fractureが原因ならBMSでもOKかなと判断しましたが、今となっては
CypherのStent in Stentの方が良かったかななんて思っています

************************************

○○です。

当院では通常のタイプの再狭窄はまだないんですが出先の病院でfractureもなに
も問題のないCypherのfocal restenosisがありました。
今のところ側枝の問題さえなければCypher in Cypherが一番ましだと思ってます
のでその症例もそのように対処してもらいました。

************************************


○○ です。

うーん、よく分からないところがあるんですが。。。
まず胸痛の原因はRCA2-3の狭窄ですか?

このIVUSはバルーンか何かしたあとですか?
IVUS像からでは狭窄はストラットのあるFU #1_2の部分に見えます。
ただ確かに1_3の0-3-6時にはにはストラットがなくて 1_4は明らかにdouble
strutとなっているのでfractureなのかもしれません。○○先生、長軸上ではど
のぐらい隙間が空いてましたか?

************************************

○○です。

透析症例でもCypher使用しています。今のところ穿刺の問題は聞いておりません。
透析症例は予想できない新規病変、狭窄進行を認めますのでCypherを使いたいで
す。

肝機能障害の方はパナルジンはためらいます。こういう人はパナルジン
challengeをすべきと思っています。

僕の考えですが、現時点でCypherの効果が明らかですからいかにしてCypherを入
れるか、これを考えるべきだと思います。たとえば、肝機能障害の人にパナルジ
ンchallengeをせずに、もしくはその説明をせずにBMSを入れて再狭窄・再治療に
なったら医師の責任が問われる(たとえば賠償責任)、という時代が来る可能性
があると思います。
症例の背景、病変の性状、どちらにしてもいかにCypherを入れるか、ですね。

************************************

○○です

今回の胸痛は#3のBMSの再狭窄だと思います

このIVUS像はPre PCIです
長軸像ではほんの一瞬です
Echo plaqueでの取り込みでは(すみません取り込みフレーム数はちゃんと
覚えてないのですが)Strutがない部分は2,3フレームだと思います
通常のビデオテープの再生だけでは気がつきませんでした・・・




************************************

○○です。

○○先生、○○先生ありがとうございます。

無間地獄はまさにその通りでした。PCIというのは、いかに変化が早い世界か、今回
のことで実感できました。ちょっと前に書いた部分がすぐ陳腐化しはじめます。それ
で、また、書き直し。。。 2年間ででた主要デバイスをだけでも、Conquest Pro
12、Cypher、Driver、Tornus、Runthrough NS、Navicath、5Fr Heart-rail スト
レートカテ・・・まだまだありますね。もちろん、やっぱり一番大変だったのは、
Cypherへの対応でした。本音を言いますと、それこそ、日本のデータがすべて出てく
ると、Rotaも、DCAも、分岐部も、LMTも、全部大幅に書き直さないといけなくなり、
永遠に、地獄から這い出れなくなります。そんなこんなで、ここ数ヶ月は根性を入れ
て書きました。ご好評をいただくことができれば、このあたり、ある時点できちんと
改訂したいと思っています。

************************************

○○です。
話が足りなかったかもしれないのでもし伝わってなかったらと思い書きますが、もとも
とがBMSのISRのISRにCYPHER In CYPHERは、
ステントが3重に一歩間違えればそれ以上になるので戸惑うのですが....。
この時点でopeとかも選択枝になるのか...と思いますが、○○先生Cypher in Cypher
への戸惑いはありませんでしたか?

************************************

○○です
○○先生への回答ですが、ISRはtandemに数カ所認めておりました。もともとがかなり
BMSをfull metalに近い状態
で、DESの登場を待ってたのように三回目の再狭窄を認めたためこれでやっとピリオド
を打てるとCypherを3本フルカバー
にしました。IVUSは未施行です。

************************************

○○です。

僕自身は、ですが側枝がなければ3重でも仕方なしと考えます。他の手でいい
optionがあればいいのですが、RCAだけでCABGは。。。患者さんの選択しだいで
すが、まだCypher3重目の方がいいとは思います。それで再狭窄ならCABGを考え
るか、極論では外国でのRadiationですかね。。。

************************************

○○です。
遅レスでしかも○○先生のstent fracture(疑い)の症例を見れていなくてすいませ
ん。先日、○○先生の講演で、DESのIHが盛ってくる時期は、6ヶ月以降のため、
FUの時期はもっと遅い時期に行っている、という主旨の発表がありました。確か○○
先生のところも8ヶ月くらいでFUCAGをしているとのことでしたが、レノックスの
denovo病変に対するCypherのISR24例の検討では、平均6ヶ月、multicenterの無症候
性のFU症例もかなり含まれていますから、基本的には、すくなくとも症候性のISRは、
かなり早い時期にきていると感じています。むしろ6ヶ月以上たってISRになる症例
(late catch-up)は、かなり少数と思います。そのため、当院では基本的に、6ヶ月、
12ヶ月でCAGの方針にしています。
その24例の検討では、やっぱりLADが症例の約半分でした。とくにRCAでISR
が多いとは感じません。ただ、理論的には、RCAはfructureをおこすリスクはLAD
より高いと思います。
stent fructureの話ですが、gapになるまでの"whole"でfructureしているタイプだけで
なく、一部のストラットが"partial"でfrucutureしているタイプも存在しているようで
す。IVUSで注意してみてみると、ISR近傍に、ストラットが少ないという現象はあり
ませんでしたか?

************************************


○○です。
○○先生貴重なご意見ありがとうございました。
慎重に検討してまたどうなったか報告したいと思います。

************************************

○○医師会病院の○○と申します。以前よりTRA netのhome pageは閲覧させ
て頂いておりました。この度、師と仰ぐ先生が転勤されることとなり、危機感を募ら
せております。どうぞ宜しくお願い致します。

************************************

○○と申します。新規登録させていただきました。
本年、17年使用したアンギオがやっと更新されるのでTRAを本格的に始めたいと考
えています。
まだ数例しかTRAの経験はありませんが、よろしくご指導お願いします。

************************************