61〜70総集編


第61集

********************************

○○です。

度々、お騒がせ致しまして申し訳ございません。
御指導お願い致します。

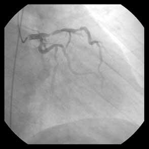
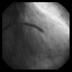
83y.o. male: AMI
coronary risk factor: (-)
来院時chest symptom free
onsetから12hrでangio
ECG:Qs in V1-3, ST elevation in V1-4

LAD take off: 99% delay with calc.でした。calc.を認めていましたが、血栓らし
きものが見えなくもないと判断し、Thrombuster tryしましたが、やはりカチカチの
lesionでthrombusterをpassさせるのにゴリゴリ感がありました。
その後のIVUSではlesion distalで心筋側に、lesionにはLCx対側にcalc.があり、
plaqueはLMTにも軽度続いています。

このような方を慢性期(resteの際)までも含めてどのように治療すべきなのでしょう
か?
@閉塞(SAT)せず、十分なflowが出る程度のPOBAで終了する
ALAD take offだけにStent
BLMTまでStent+KBT
CDebalking
等が考えられるのではないでしょうか?

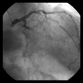
このたびはLADのviabilityはpoorであると判断し、また当院ではdebalkingは無理
(特に急性期)であることを考えCB3.0×10mmで終わりました。(割れてますが・・
・)
退院前の確認カテでもflow, lumenは確保されていました。(割れてましたが・・
・)
ただし、resteしたらどうしようかと悩みます。

Fig.はpreの造影と、Thrombuster後のIVUS、post CBの造影です。
皆様いかがでしょうか。御教授お願い致します。


Pre-Caudal
Pre-Spider
Pre-RCA
IVUS-1
IVUS-2
IVUS-3
IVUS-4
IVUS-5
IVUS-7
IVUS-8


********************************

○○です。

急性期の、○○先生の手技に、大賛成です。

ALAD take offだけにStent は、特に急性期にやると、再狭窄、palque shiftな
ど、様々な問題がありますから、このやり方だけはダメだと思います。あとは、一長
一短でしょう。

年齢、石灰化などを考えると、DCAも今ひとつピンとこないので、基本的には
Rota(1.75mm)でplaque modificationしたあと、LMT→LADにステントをいれ、KBTで
仕上げたいと思います。RCAの灌流域がそれなりにありますし、3.5mmをいれてそのあ
とKBTで、ちょうどよい血管径だと思いますから、6Fr TRIで可能でしょう。

問題は、このAMI急性期にRotaするかどうか、ですが、やはり、できるだけやりたく
ないですよね。どういうふうに前拡張されたかはわかりませんが、IVUSやCBも通過し
ているわけですから、急性期にあえてRotaする理由は見当たりません。僕は、ごく少
数例ですが、AMI急性期にRotaした経験はありますが、みな、1.5mmのバルーン不通過
症例で、しかたなくやったものです。

ただ、Rotaすることなく、石灰化を残したまま、急性期に、LMT→LADにステントをい
れ、KBTするのにも、抵抗があります。年齢も考えると、できるだけ再狭窄しない形
でステントしたいですよね。

ということで、急性期の治療は、バルーニングのみで、なるべく解離が起こらないよ
うに広げ、flowがよければ、終了ということで、@閉塞(SAT)せず、十分なflowが出
る程度のPOBAで終了する を選択します。CBを使うとおもいますが、できるだけ
plaque shiftさせたくないので、自分なら、2.5mmにしたかもしれません。

当然、再狭窄が予想されますが、その時点では血栓の関与はなくなっていますから、
心置きなく、6Fr TRIで、Rota-stentします。Rotaが使えない施設でしたら、LMT-LC
x方向がきれいなら、上手い外科医に頼んでMID-CABG(LITA-LAD)してもらいます。年
齢が年齢ですから、正中切開より左開胸のほうが、術後、呼吸器関係の合併症が少な
いと思います。その意味でも、急性期にLCx入口部をいためないやり方が、重要だと
考えます。

********************************

○○ですが、補足します。

>当然、再狭窄が予想されますが、その時点では血栓の関与はなくなっていますか
ら、
心置きなく、6Fr TRIで、Rota-stentします。Rotaが使えない施設でしたら、LMT-LC
x方向がきれいなら、上手い外科医に頼んでMID-CABG(LITA-LAD)してもらいます。年
齢が年齢ですから、正中切開より左開胸のほうが、術後、呼吸器関係の合併症が少な
いと思います。その意味でも、急性期にLCx入口部をいためないやり方が、重要だと
考えます。

Rotaが使えない施設でしたら、外科医の力量・患者さんの希望などを勘案すれば、
BLMTまでStent+KBT も選択肢として、ありえると思います。

********************************

○○です。

僕もこのAMI症例ならバルーン系で拡張し、退院前にLAD ostiumのロータブレー
タと考えます。RCAは治療しなくてよさそうで、LCXも#11distに(ここも石灰化
があると思っておかなくてはなりませんがreferenceの大きさからも)ステント
で治療できると見ます。当然、LADの壁運動しだいではLCXのロータブレータも考
慮します。で、最終的にLAD ostiumにロータブレータしてLMCAからstenting+KBT
です。というのも石灰化の方向からあまりロータブレータが効果的でなさそうな
のでステントはすると思います。で、退院と。

どの程度のサイズの梗塞・壁運動低下だったんですか?それによって急性期は変
りませんがそれ以後の治療はかなり変ると思います。

********************************

○○です。

○○先生に+他の経験のある先生に、質問です。急性期のロータブレータってど
うなりましたか?僕自身、これはしたことない手技なので是非結果を教えてくだ
さい。

何例か、発表とpersonal communicationでemboliになった、という話は聞いたこ
とがあります。実はつい先日、非常に悩んだ症例があったんです、結局やらずだっ
たんですが、ACSでもガチガチでロータブレータしかないっていう状況はありま
す。是非教えてください。本当にダメなのか、状況では大丈夫なのか。

********************************

○○です。

急性期はcuttingでよいと思います。

慢性期ですが、80歳代の石灰化病変っていうのは、
70歳代の石灰化とは絶対に違うと思います。
ですから基本的にロータを使用します。
ただ、ロータのあとにステントを置きますと、
CXに狭窄が来る可能性がありますので、
低圧でPOBAを追加してして様子見ます。
ロータ/POBAでも直後より慢性期のほうが奇麗に拡がってくる症例もあり、
決して馬鹿に出来ないと思います。
なお、当院では昨年31例ロータを施行していますが、
ロータ/POBAとロータ/ステントが
ちょうど半分ずつです。

ロータが使えない施設ならばCABGと思いますが、
患者さんの意思や全身状態次第ではPCIでも良いと思います。
その場合、高齢ですし、1-2回なら、
再びcuttingを行って様子を見るという手もあって良いのではないでしょうか?
慢性期に50%くらいで仕上がってくれれば儲けものです。
Cx近位にもきっと石灰化はあるでしょうし、
ステントを置いたためにプラークシフトで狭窄が来て
Cx近位の処理に永遠に悩み続けなければならなくなるのは
私はあまり好きではありません。

********************************

○○です。

僕もこのAMI症例ならバルーン系で拡張し、退院前にLAD ostiumのロータブレー
タと考えます。RCAは治療しなくてよさそうで、LCXも#11distに(ここも石灰化
があると思っておかなくてはなりませんがreferenceの大きさからも)ステント
で治療できると見ます。当然、LADの壁運動しだいではLCXのロータブレータも考
慮します。で、最終的にLAD ostiumにロータブレータしてLMCAからstenting+KBT
です。というのも石灰化の方向からあまりロータブレータが効果的でなさそうな
のでステントはすると思います。で、退院と。

どの程度のサイズの梗塞・壁運動低下だったんですか?それによって急性期は変
りませんがそれ以後の治療はかなり変ると思います。

********************************

○○です。

○○先生、この病変は今回のpostの像からも、IVUS像からもCBだけだとつらいと
思います。幸いLCX入口部、LMCA distalはかなりきれいですから、ステント+KBT
はかなりの拡張・慢性期成績を見込めると思います。

********************************

○○です

この病変の石灰化で6F Rotaって削れますでしょうか?
石灰化はちょっとdeepにあってLAD Justのみが一番狭くて
それでも、1.5mmはあるのかも
Cutting Balloonが急性期にきっちりと拡張できているの
なら、急性期にLMTまでStent+KBTをするか
初めから外科にお願いするかです 手を出すならきっちりと
治療したいと思います

********************************

○○です

>6Fシステムを使用してのGuardwire+thrombasterについて保険上はどの
>ように対処してられるのでしょうか?
>たくさんの症例をされている先生方教えてください。

たくさんは症例していないのですが、パークサージュシステム
はセットですが、Guard Wireと吸引カテーテルは別の償還
価格が付いています ですから別々に請求できるはずです

でも、病院としての購入はセットですから 7Fの吸引カテが
いっぱいあまります・・・・


********************************

○○です。
ROMしてばかりでしたが○○先生からの指名(?)でしたので
知っていることについて答えさせて頂きます。
PCPSのweaningについてはみなさんのレスにある通りですが
抜去の指標としては1)体血圧 2)心拍出量 などのほかに
心エコーで簡便に計測できる項目として
Mモード上の大動脈駆出時間(ET)が200msec以上を目安にしていました。
国循ではこの指標が特に大切だった気がします。

時間があれば以下の参考文献をご参照ください。

別府慎太郎 左心補助人工心臓からの離脱回復の予知 J Cardiol 1991;
21:707

ところでチュウチュウネタのことで質問なのですがよく話題になる
6Fシステムを使用してのGuardwire+thrombasterについて保険上はどの
ように対処してられるのでしょうか?
たくさんの症例をされている先生方教えてください。

********************************

○○です

今朝の緊急症例ですが79歳 男性
AMI(inf) with CAVBでした trangent pacing下にCAGを
施行しました。 #1:100%, #7:90%, #13:99%で
RCAが責任病変と考えPCIを行いました(IABP下)
RCAは結構 太くていやな感じだったんですが、まずthrombaster
で血栓吸引を行いましたが多量の白色血栓が回収されました
病変は#2と#1に認めましたので、GuardWireも用いてStentを留置
しましたが、その後完全にNoReflowとなりました
GuardWireのBalloonは5mmと十分拡張できていました(一応俵型になっていま
した)
(もともと、あまりFlowがないので完全にProtectできたいたかは
不明ですが) その後は何をやってもFlowは改善しませんでした

やはりprotectが甘かったのが原因かなとも考えています
こんなときはどうすればいいのでしょうか?

ニコランジル冠注(マイクロカテ使って、末梢からも投与しました)
生食、血液で洗う等しました
ニトロプルシッドはまだカテ室には置いてません
IVUSで確認しましたが、解離などは認めませんでした

********************************

はじめまして○○と申します。
90年○○大学を卒業後
○○年に湘南鎌倉総合病院の斉藤滋先生に師従しました。
97年ころからTRIをはじめ、やっとTRI500例になりました。まだ
これから皆様にいろいろ教えていただくことが多いかと思いますが
よろしくお願いいたします。

********************************

○○です。○○先生のご質問に、わかる範囲でお答えします。

>急性期のロータブレータってどうなりましたか?僕自身、これはしたことない手技
なので是非結果を教えてください。

diffuse longな石灰化というより、一点のsuperficial calcに難渋したため、AMIに
1.5mmでrotaした経験が、確か2例くらいありますが、何もおこりませんでした。た
だ、あまりに少数なので、何も断定的なことは言えません。当時は、滋賀式も知りま
せんでしたから、それをやればバルーンは通ったかもしれません。Rotaといえば、○○
先生が、極めてご経験豊富と思いますが、この問題は、いかがでしょうか?
 

RotaするかでなやんだACS症例で、とても記憶に残っているのが2例あります。1例目
は、確か、97、98年頃の症例で、心不全・u-APで入院された高齢の男性です。高度末
梢動脈疾患のため、右radialからのみアクセス可能でIABPは挿入不能、脳梗塞・慢性
閉塞性肺疾患ありCABGも適応外で、人工呼吸器装着下でのCAGでは、RCA#1 CTO、LCx
#11 CTOで、高度石灰化を伴うLAD#7に90%というご老人です(普段は、とても
しっかりした方です)。そのまま7Fr TRIし、VL4.0をいれて、rotaしようか、随分
とまよいましたが、ちょっとでもflowが悪くなればtable deathと考え、普通に高圧
で前拡張しましたが、gfx不通過でした。パラレルにワイヤを計3本いれ、バルーンサ
イズをあげ、思いっきり、16気圧位で、前拡張したら、何とかgfxが入りました。そ
の後は奇跡とも言える回復ぶりをみせ、結果として軽快退院され、慢性期にも再狭窄
はありませんでした。今もお元気だと思います。

もう1例は、前任地を退職する前日にPCIした、80歳台女性のu-APで、この人も、
calciumのburdenが極めておおい、灌流域の大きなLAD入口部病変で、最初は高圧拡張
で入りましたが、S670不通過でした。この人は、LCxとRCAは大丈夫だったので、前
拡張のあとであるにもかかわらず、思い切ってrotaしてステントを入れました。

というように、flowを悪くしても何とかなりそうなACSなら、rotaも、最終手段とし
てありえますが、そうでなければ、パラレルワイヤなど、何とか別の方法を考えるべ
きではないでしょうか? Rotaのslow flowには、決めてがありませんから。他の血
管の灌流域の広さ、病変血管の支配域の壁運動、病変のcalcium burdenの量などを総
合して、個々に決めるほかないのでしょう。もちろん、石灰化に起因するステント不
通過に対する、最終手段がrotaであることは確かなのでしょうが・・・。


>どの程度のサイズの梗塞・壁運動低下だったんですか?それによって急性期は変り
ませんがそれ以後の治療はかなり変ると思います。

○○先生は、退院前Rotaとおっしゃっていますが、私はちょっと意見が違います。ST
再上昇とからんで、発症12時間以内の、初回前壁中隔梗塞1枝病変例の左室機能を経
時的に検討したことがありますが、もし、梗塞責任血管が開存していれば、3ヶ月間
は左室機能は改善していく可能性があります。ということで、non-protected LMTで
のKBTになりますから、できるだけ左室機能の回復を待って、Rotaに行きたく思い
ます。ただ、LADが再閉塞してはもとも子もないし、年齢が年齢だけに、1ヶ月・3ヶ
月後とCAGやるのも気がひけるし、難しいです。自験例では、局所壁運動異常は、直
後→1ヶ月では大きく改善する場合が多いですが、1ヶ月→3ヶ月ではそれほどでもあ
りません。ということで、1ヶ月後にRotaとしたいと思います。

********************************

○○です。
僕も、さすがにAMIの症例に関しては、デバイス不通過の症例にたいして、1例だけ
経験があります。
血栓病変には、当然ロタは、血栓を飛ばす可能性もあるし、逆に凝固を促進する可能
性もあるので、だめなんでしょうね。
また、梗塞部心筋の末梢循環も障害をうけているので、通常よりもslow flowを惹起
しやすいなどの問題もあります。
ですから、AMIは、血栓があれば、やってはいけないし、ないとしても、通常よりも
きわめてslow flowの危険性が高いので、risk/bene.で考える必要があるでしょう。

ACSは、基本的に以下の点を考慮すれば、通常どうりにやっています。
できるかぎり、ヘパリン、パナルジンなどの、薬を十分に効かせて、一週間後に治療
するようにしています。(逆に通常のロタは、薬いかなくても、やってます。笑)ロ
タにより、plaque ruptureを誘発する可能性がないか?造影、ivusでのチェックが必
要。逆にがちがちの病変は、このようなことはおきにくいので、いつものようにガン
ガンロタでいけば、いいと思います。

rotamanとして、ロタブレーターをやって、1500例に達しますが、心筋梗塞に
やったのは、一例のみでした。
自分の経験では、こんなものです。

********************************

○○です

12月の鎌倉ライブ直前に食中毒にかかって依頼ROMに専念していました。お久しぶ
りです。

> ○○先生に+他の経験のある先生に、質問です。急性期のロータブレータってど
> うなりましたか?僕自身、これはしたことない手技なので是非結果を教えてくだ
> さい。

私はAMIへのロータは禁忌であると思っており、やらないようにしておりました。し
かし、成り行き上やむを得ず行った唯一の1例は、悲惨な経験でもあります。

80代女性、LADのjustから中部までの長いsevere calcが責任病変のAMIで、RCA#1
がCTOの方です。ショックで来院され、LADは何とか2mmバルーンで通過させ、慢性
期にロータという予定にしました。最近ショックでは、全部空けに言っているので、
そのままRCAのCTO空けを行いましたが、石灰化が強くコンケストワイヤーは通ったも
ののまったくバルーンではなんともならずに、ロータをしました。こちらは急性期病
変ではないので、うまくいきステントを植え込んだところ大変きれいに仕上がり
「よっしゃ」という感じでおしまいにしようとしたところ、念のためLADをとったら
再び完全に詰まっておりました。そこで、手元にロータはあるし、このままなら血管
はつまりっぱなしなので、ロータをLADにも通そうとしたところ、LMTで閉塞となり再
びショックとなりました。通常ではありえないのですが、プラークシフトなのか血栓
形成なのかわかりません。LADjustの病変がCXへ及んだようです。ただちに、CXを開
けに行き、なんとかCXを開存した状態でショックから離脱し、なんとか危機を脱する
ことはでいました。RCAのCTO開けをしてなければ救えなかったと思います。結論とし
てやはりAMIへのロータは避けるべきとおもいます。

Yuji Ikari, MD
Division of Cardiology, Mitsui Memorial Hospital
1, Kanda-Izumi-cho, Chiyoda-ku
Tokyo 101-8643, JAPAN

********************************

○○です

>> >急性期のロータブレータってどうなりましたか?僕自身、これはしたことない手
>> なので是非結果を教えてください。

AMIの成り立ちとしてintermediate lesionのplaque raptureが主な原因の場合と高度
狭窄が進展してそれに何か(周囲のplaque ruptureあるいはerosion
から血栓形成?)が起こって発症したような場合が考えられます。当然前者が多くを
占めるためAMIでballoon不通過な場合が少ないのは当然ですよね。しかし、少ないな
がら後者の場合で高度石灰化を伴っていることは当然考えられますし普通は通過性の
よいバルーンで何とかなっていると思います。当院でもAMIに2例行いましたが1.5mm
バルーン不通過が1例、1.5mmだったか2.0mmのバルーンが全く開かずRotaした症例が1
例あります。血管径が3mm以下の細いLAD近位部とRCA近位部でしたがワイヤーでいじ
くっているうちに、あるいはバルーンの頭をつっこんだだけである程度flowが出てい
ました。結局Rota後にはなんにも起こらずPOBAで終了しました。このような症例で血
栓量が少ないと思われる場合にはやっても良いのかなとは思ってます。ただしACSの
場合にIVUSで石灰化病変直後のlipid poolを見逃し1.5mmのburrでものすごいslow
flowになった症例を経験していますのでIVUSの読み(限界はあるのでしょうが...)
が重要だなと痛感しています。

○○先生の症例ですがPercuSurge balloonが俵形になっていたとすると閉塞は完全で
すよね? やはり吸引の問題でしょうか?Thrombusterは6Frですか?それと何回、
何ml位血液を吸引したでしょうか?教えてください。
当院でも同じような症例が一例有り原因は吸引不十分と考えていました。それと最近
思うのですが吸引カテで吸引する場合病変に手前に通常の balloonでは血流障害が起
きない程度のintermediate lesionがあり吸引カテで血流障害が起きた場合やショッ
クなどで順行性の冠動脈血流が障害される場合には吸引効率が低下するのではと想像
しています。このような場合にはやはり5Fr-long GCでしょうか?

********************************

○○です

さっきの追加です。ある病院でPercuSurgeを使用してSVGのPCIをしたとき
にPercuSurge Wireが折れてしまいdistal protectionが出来ませんでした。ところ
がStenting直後(バルーンはしぼんでいる状態で)吸引しにいったところ結構
なdebrisが吸引されました。理由はGCがwedge気味で順行性flowが悪くなっていたこ
ととSVGの先の冠動脈が小さく血流が流れにくかったことが幸いしたと思ってます。
従ってslow-flowの兆しが見えた時点でNicorandilやNitropurusidを投与する前にも
う一度吸引しに行けばその後のslow flow悪化を少しは防げた可能性はないでしょう
か? 想像ですが.....

********************************

○○です

○○先生のご指摘のように、おそらくBalloonはちゃんと
閉塞出来ていると信じていますが、実は吸引を1回(30ml)しかしていませ

それに加えて手前に狭窄もあり吸引が不十分だったのではと反省しております
5F子カテでパークをしたかったんですが、手前の病変もあったんで
Thrumbusterを選んでしまいました・・・
みなさんはACSのパークは何mlくらい吸引されてますか?
斉藤先生のライブでも、たしか5Fで2回位必ず吸引されていましたね

********************************

○○です

追加です NoReflowになった時に直ぐに何度も
吸いました、結構たくさんのデブリが吸えたんですが
全くフローは改善しませんでした・・・・

********************************

○○です。

CBを使う場合は、
あくまでRotaもCABGも行わないという条件下での話ですので、
最初からそれほど良い結果は期待しておりません。
ですから、CBだけでつらかろうと、仕上がりが不十分であろうと構いません。
慢性期に50-75%位で症状がなければOKというつもりで行います。

○○先生の、かなりの確率でCXに影響なく処理できそうだと
いう御意見は良くわかります。
でも、LMT-LADにステント入れて、万一CX入口に狭窄がくると、
いくらKBTをやってもCXが再狭窄を繰り返すパターンになることが多いです。
ステント入れたLADも、jailされたCxも再狭窄が来たなんてとても悲惨ですし、
私はデバルクなしでCXをjailさせるのはできるだけ避けたいと思います。
83歳と高齢で、OMIでvaiabilityも低く、かつ無症状ならば、
最初からステントは使わなくとも、仕上がりには期待できませんが、
取りあえずCBで逃げてみるという選択があってもよいと思うのです。
もちろん、大きな解離が起きたり、CBで再々狭窄を来すようなら
ステント/KBTを迷わず行います。

********************************

○○です。

○○先生、この病変は今回のpostの像からも、IVUS像からもCBだけだとつらいと
思います。幸いLCX入口部、LMCA distalはかなりきれいですから、ステント+KBT
はかなりの拡張・慢性期成績を見込めると思います。

********************************

はじめまして
○○と申します。
平成4年、○○大学卒業です。
勤務先は、○○と申します。
全国的に無名な施設ですが、県内で最新のERを中心とした病院です。
私自身TRIをはじめたばかりです。
つくばあたりではTRIを行っている先生はおらず、
著名な先生方に色々教えていただければ幸いです。
よろしくお願いいたします。

********************************

○○です。

数多くの御教示ありがとうございます。
私、昨日当直をしておりましたものですからお礼が遅くなりました。

おっと、すみません今しがたポケベルが鳴りました。AMIのようです。
改めてメール致します。
それでは行ってまいります。

********************************

○○です。

皆さんに質問です。Radialの止血器具でシリンジで空気を注入するタイプを使わ
れている施設も多いと思います。そこでradialから間違えてair injectionして
しまった経験のある方はおられますか?
これまで数例のtrouble caseがありますが、僕が聞いた話では全てtrans
brachialのようです。Radialからだと頭部への距離が長いので、万が一injectし
てもbrain troubleにはならないような気もするのですが…

もし情報をお持ちの方がいれば教えてください。

********************************

○○です

シリンジで空気を注入する止血器具は、ブリードセーフとその仲間達ですね。
先日、テルモがそのradial版を持ってきました。ぜひ使って
くれとのことでしたが、アダプティよりはるかに面倒くさいので断りました。

air injectionの件を聞いてみたら、あまり情報を持ってなかった?みたいです。
TRベルトは逆止弁をつけたりと、改良の後はあるのですが、やはり普通のシリンジを
使うので混乱はおこるかも。値段もちょっと高いですしね。

トメタは普通のシリンジとはつながらない構造なので、そういう意味では安全?

********************************

○○です。

先日は申し訳ございませんでした。
メールを書いている途中にPBが鳴りました。
また、ここのところ連日連夜緊急続きで、そのためか、それとも日頃の睡眠不足のた
めか、
風邪をこじらせてしまいメール出来ずにおりました。
お礼が遅くなりまして申し訳ございません。

皆様、お忙しいところ御教示頂きありがとうございます。

> どの程度のサイズの梗塞・壁運動低下だったんですか?それによって急性期は変
> りませんがそれ以後の治療はかなり変ると思います。
確かMaxCK:3000台、LVGで#2,3:akinesis、LVEF:49%だったと思います。
このcaseは急性期にはまず、TIMI3 flowを得、それを維持することが大事だと思い、
次にいかにその他の部分(LCx)にしわ寄せを及ぼさないかが大事だと思いました。
それができれば慢性期の治療はTRA-netの皆様にご相談すればいい、と思っておりま
した。
幸い、先日のF/U CAGでは25-50% with dissectionで落ち着いておりました。
慢性期も50% with dissection程度で収まればなあと淡い期待を抱いて居ます。

もしresteした時の話なのですが、
当院ではRotaは使えません。
debulkingなしにMI vesselのLADへ向けてLMT stent行った場合、予期せぬplaque
shiftや何らかの理由でStent+KBTがうまく行かなかったときが心配になります。
MIのLADのinterventionを行ったためにintactであるLCxへ障害を来たすようなこ
とは避けたいと思います。
そういう意味ではDCA出来るのなら仮にsuboptimalであったとしてもDCA aloneがよい
のでは
・・・と思ってしまいます。
やはり、このようなcalc.がらみのlesionへDCAってダメでしょうか。
それともplaqueのlocationからLCxへのshiftはまず考えられない、と判断し、果敢に
LMT-LADへStent入れに行くべきでしょうか。

仮定の話で申し訳ございませんが御教授お願い申し上げます。

********************************

○○です。

>それともplaqueのlocationからLCxへのshiftはまず考えられない、と判断し、果敢
にLMT-LADへStent入れに行くべきでしょうか。

確かに、LCxへのshiftがおこる可能性は低いとはおもいますが、断定はできません。
plaque shiftを予想しうるかについて、確立した根拠はないと思います。おこったと
き、もし、Rotablatorもしておらず、LMT-LADへのステントの拡張が不良だと、とて
も大変だと思います。ですから、emergentならいざしらず、患者さんの状態が落ち着
いたelectiveでは、よりベターな手段をできるだけこうずるべきだと思います。私
は、同じような病変でも、emergentとelectiveでは、求められる結果も、甘受しうる
合併症も、全く違うと考えます。

>そういう意味ではDCA出来るのなら仮にsuboptimalであったとしてもDCA aloneがよ
いのでは・・・と思ってしまいます。やはり、このようなcalc.がらみのlesionへ
DCAってダメでしょうか。

calcがらみのDCAといえば、やはり星総合・木島先生のお名前があがりますが、残念
ながら、Tra-netのメンバーではいらっしゃいません。最近では、Coronary
Intervention vol1 no3 pp34-38に、先生の論文が掲載されています。このレスを書
くにあたって読み直してみましたが、やはり、いかにターボを用いても、こうした高
度石灰化病変に対するDCAはたやすいものではなく、DCA前のRotablatorを推奨されて
いますし、仮にRotablatorしても、アテロカテの持込は容易ではないようです。

本症例も、年齢的バックグラウンド、IVUS像をみると、RotablatorなしのDCA alone
はきつそうですし、少なくとも、術者に、DCAに相当の経験があることが必要です。
小生は、ある時期からDCAに目覚め、最近はIABPサポート下にLMT入口部からLADjpを
削ってみたり、Trans-radial DCAしたりしていますが、あくまで、IVUS所見でDCA可
能なことがその前提になっています。自分のDCAの技量で、この病変にDCAしようとは
思いません。

ということで、もし、○○先生の御施設で、不幸にして本症例が再狭窄して、虚血所
見がある場合には、1)○○先生ご提案のようにCBでそこそこの結果をめざす 2)
Rotablator認定施設に患者さんを送り、Rotablato+stent+KBTをしてもらう 3)DCA
するなら、木島先生クラスのその道のプロに頼む 4)信頼できる外科医に、
LITA-LADをMID-CABGしてもらう のどれかになると思います。

最近、PCIのstrategyは実に多様ですよね。TRIといっても、主流をなす6Frのほか
に、5Frもあれば、8FrいれてDCAもあります。カテ捌きなどは大きく違います。デ
バイスでいえば、普通のバルーン・ステントのほかに、CB、Rotablaotor、DCA、パー
クサージ(これも、普通の方法に、5Fr ガイド、子カテと3つありますよね)など
など、沢山あります。病変形態でいえば、例えば、CTOや分岐部病変をとれば、様々
なやり方が可能です。さらに、今後は、内頚動脈とか、腎動脈も加わりそうです。

これら全てに関して、最高の技量を身につけることは、とても、自分には不可能で
す。そこで、一つの対応は、難しそうな病変なら、なるべく自分の得意な形で治療を
することです。学問的に最高のstrategyでなくても、それなりの経験が加われば、結
果はそんなに悪くないと思っています。Rotablator+ターボDCAで石灰化を全部とれ
ればベストなのかもしれませんが、自分がやるなら、Trans-radial Rotablator
(1.75mm)によるplaque modification+stenting+KBTになります。

さらには、前にガイドカテの時に書いたように、普段の手技のなかで、レパートリー
をひろげるといった意識的な努力も、とっても大切です。自分もできるだけそう務め
てはいます。ただ、そうした反面、これは、誰か別の、その道のプロに任せよう、と
いった姿勢も、とても大切に思えますが、皆様はいかがお考えでしょうか?

********************************

○○です

○○おっしゃるように、難しい病変やややこしい病変ほど
自分の今出来る技と、技術でカバーできるかが決めてですよね
ですから、その道のプロの意見は大事ですし
その方へ委ねるのも一つの道ですよね

私は、自分の出来る範囲を頑張って大きくしつつ、
自分の出来る範囲で、常に勝負していますし
時々 勝負の幅は変わらずです だめなら外科にお願いしています

********************************

○○です。

当院ではカテ室開設以来、Radialの止血器具はステプテイ⇒とめ太君⇒Bleed
safeと使用してきました。去年12月からは、当院とTERUMOで共同開発した
『TR band』を全例(診断カテ・治療カテ)に使用しています。

シリンジで空気を注入する止血器具はとめ太君・Bleed safe・TR bandに
なりますが、air injectionした経験はありません。

今回TR band開発にあたり、air injection防ぐ為に、逆止弁のカフに
大きく《AIR》と表記しました(緑色で)。
また当院ではTR band装着時には、ドクターがシースを引き抜いた瞬間、
看護婦さんがair injectionの動作をするようにしております。

ドクターと看護婦さんとの立ち位置が少し離れている為、2人での同時作業では
問題ないと思います。(1人での操作時には注意が必要です)

またTR bandですが、シリンジで空気を注入する止血器具として、
現在までのデータでは止血率は9割程度であり、従来品とほぼ同等か若干いい位
です。

しかし、看護婦さんの評判(全て5ccデイスポで減圧できるのと、全例同じプ
ロトコール)と患者さんの苦痛感においては、かなりの評判を得ています(橈側
からのダブルバルーンでの圧迫と変形固定板での尺側圧迫回避システムにより圧
迫感・しびれ・浮腫を軽減)。
湘南鎌倉Hpでも使っていただいたのですが、患者さんからテルモ本社へ感激の
メールがあったと聞いています。

是非一度使っていただけたらと思います。
感想・クレイムなど言っていただけたら幸いです。

********************************

○○です。
初めての御相談です。宜しくお願い致します。

○○先生、昨年は大変お世話になりました。
先生にPCIして頂いたLCX分岐部病変(KBT)の
患者さんはその後狭心症発作なく経過順調です。
2月に再造影予定です。

症例>62歳・男性
Risk factor>HT・HLP・SM・OB
UAPにて来院。緊急カテにてE99%L90%B98%でした。
緊急PCIにてE99%に対しS670-4018ステント留置。
待機PCIにてL90%に対しBX2.75-13ステント留置しております。

御相談はRCAB98%(分岐部)病変です。
分岐部は2本のPDと大きいAV1本との3分岐での病変であり、
PDは2.5〜2.75mm、AVは2.75〜3.0mm程度と思われます。Bは3.5mm前後。
LAOで見るとB〜AVが比較的ストレートに見えます。
病変部だけでなく、全体的にtortuousな血管であり、IVUSはまだ見ていません
が、
plaque richな病変と思われます。
(E99%の緊急PCI時はパーキュサージ使用し、大量なwhite debri採取しており
ます) 

どのような戦略がいいのか、御相談したいと思います。
宜しくお願い致します。

LCA-RAO
RCA-AP
RCA-LAO
RCA-LAO.Cra
RCA-RAO


********************************

○○です

なんだか嫌な病変に加えて、tortuousな中枢側ですね
ちょっと根性入れてPCIしないと、偉い目にあいそうな気がする
病変ですね
私でしたらTRIでGCはIRで、ワイヤーをAVとPDの上の方に入れて
AV方向にBallooningして、反応をみてAV方向に
Stentingでしょうか
もちろん術前にはIVUSをします もしDistal protectionが
必要そうな病変ならどこでProtectionするか悩みますね
AVとPDの両方に入れてProtectionでしょうか
このような末梢が分岐してる病変のDistal Protectionは
皆さんどのようにされてますでしょうか?

********************************

○○です。

ずいぶんと遅いレスですが。。。

> 自験例では、局所壁運動異常は、直
> 後→1ヶ月では大きく改善する場合が多いですが、1ヶ月→3ヶ月ではそれほどでもあ
> りません。ということで、1ヶ月後にRotaとしたいと思います。
これは説得力がありますね。ただCPK leakがあまり大きくなければ退院前にして
しまうのもあり、ということにもなるんでしょうか。

********************************

○○です。

かなりtortuousですね。一筋縄ではいかないですね。Grandslamで伸ばすことも
考慮に入れて、まず普通のwireで始めます。IVUSは当然して、たぶん
#3mid-distalだけでなく#2midも治療対象にすると思います。
Plaque量はIVUSを見ないと分からないので、最初からpercusergeを考えはしませ
ん。RCA areaがそれほど大きくないのでplaque量はそれほどでないかもしれませ
ん。LAOでは#3-4AVが比較的ストレートに見えますが、LAO cranialからも#3から
は4PDがストレートだと思います。ステントの入れる方向は、ワイヤを入れた時
の伸び方によって、この症例だったら4PD方向に入れて股開きのKBTにするかもし
れません。サイズ・長さはそれこそIVUSしだい、です。IVUSは手前のtortuousの
部分はNURDでダメでしょうが、distalの病変部分は観察可能と思います。

僕の戦略はこんな感じです。

********************************

○○です。

○○先生、こんばんわ。その節は、大変お世話になりました。患者さんの経過も良い
ようで、一安心です。再狭窄がないことを祈っています。

さて、○○先生もおっしゃるように、一筋縄ではいかなそうなRCAです。ガイドが
しっかり入って、ワイヤが2本、ツイストすることなく、PDとAVに入れば、勝ったも
同然ですが、簡単にそうは問屋がおろさないでしょう。おそらく、PDとAVのう
ち、片方には自然に入って、もう片方には、極めて入りにくいタイプだと感じます。

1)ガイドですが、屈曲が高度なので、それなりのpassive back-upは必須とおもい
ます。RCA#1に若干狭窄があるので、ストレスなく手技ができるよう、SH付きで
やりたいです。Medtronic MAC 3.5-SHとか、Terumo Ikari-R 1.5-SHがよさそ
うですね。こうしたlong-tipがカテ室になければ、JL4.0-SHの反転で対応します。

2)ワイヤは、途中の屈曲が強いので、Whisper LS(Choiceより穿孔のリスクは少な
く、何といっても、南都法でマイクロカテ抜去可能です。寒い駄洒落をいっているわ
けではありません。)とトランジットで始めます。先端は、3-4mmの無変曲点75°曲
げくらい。多分、僕もPDに入ると思いますが、あんまりこだわらず、入るほうに入
れ、あとはトランジットを抜きます。途中で、側枝で動かなくなったら、そこにダ
ミーワイヤとして打ち込み、少なくとも手前を伸ばします。

3)WhisperLSで屈曲はある程度進展されましたから、次はBalanceとトランジットで
AVをとりに行きます。4-5mmの無変曲点75°曲げの、先端のみをsらに2mm程度きつく
折るようなかたちにした、2段曲げでいきますが、それでも入りひくいかもしれませ
ん。そのときは、更に先端だけの曲げをきつくします。できれば、Whisperは手技中
に抜けやすいので、AVにBalanceがはいれば、パラレルでPDにもBalanceをいれ、
Whisperと交換したいです。

4)CAGをみると、RCA#3に高度狭窄があって、AVとPDの入口はintactのようです。
これだけ屈曲した血管で、ワイヤをjailし、strutをrecrossし、KBTという
のは、かなり大変です。RCAの灌流域はそんなに大きくないし、2本の入口に狭窄
はなさそうなので、大きい方の枝(AVでしょうか?)方向に2.5mmでPOBAし、
あとは、そちらに向けて3.0mmのS670を植え込みます。一応、PDのワイヤはjailさ
せますが、PDは、つぶれなければOKとしたいと思います。RCA#3の径がたりなけ
れば、サイズアップしたshort balloonで後拡張を追加します。

5)問題は、恐らくかなりの確率で、高度のaccordion現象が起こると思います。バ
ルーン・マーカーと側枝の関係でstentの長さ・場所を決めたいと思います。また、
stentを植え込むと、stent端の健常部に、stent accordionともいえるような、高度
狭窄が起こるかもしれません。その際は、短いS670を追加します。今年の某 Liveの
セッションで、stent によるedgeの正常血管のaccordion現象とワイヤのためTot
alになりST↑↑→VT、患者さんが不穏になってワイヤが抜けたらflowが回復して
recoverというプレゼンがありました。

6)また、手技全体を通して、このRCAは、縦方向にどのくらい硬いのか、ものを持
ち込もうとするとどのくらい抵抗があるのか、ワイヤ・新品のバルーン・一度拡張し
たバルーンでそれぞれ感覚を確かめながら手技をすすめたいです。

7)屈曲もつよく、これだけでもかなり大変そうですから、よほど、この過程がすん
なり行かない限りは、パークサージは使いません。

********************************

○○です。連続レスですいません。○○先生に質問です。

>Grandslamで伸ばすことも考慮に入れて、

とかかれていますが、僕はこのワイヤは、サポート性には文句ないものの、先端が固
く、好きになれません。ライブで末梢の穿孔を見たこともあります。Ironmanだと、
先端はfloppyなので、例えばDCA中に抜けかかってきても、先端が反転していれば押
すだけでまた末梢まで入ります。ちなみに、自分はDCAする際は、最近ではほとんど
JoguideとIronmanと決めています。Grandslamでは、こういう操作はできませんよ
ね。
関西の先生方は、一般的にGrandslamがお好きなようですが、例えば、Ironmanを上回
るメリットってあるのでしょうか?

********************************

○○です。

> 関西の先生方は、一般的にGrandslamがお好きなようですが、例えば、Ironmanを上回
> るメリットってあるのでしょうか?
僕自身Ironmanの使用経験がほとんどないので比較できないのが現状です。だか
ら先生が言われているのが正しい可能性が高いと思います。

> 先端が固く、好きになれません。ライブで末梢の穿孔を見たこともあります。
僕自身はgrandslamのperforationはないんですが(もしかしたら提灯だけならあ
るかもしれませんがそれを忘れている可能性はあります、ただしtamponadeになっ
たことはありません)、当然非常に気にしてます。気を使う、というのは術者に
とって非常に嫌なことです。

ただ、
> 、例えばDCA中に抜けかかってきても、先端が反転していれば押
> すだけでまた末梢まで入ります。ちなみに、自分はDCAする際は、最近ではほとんど
> JoguideとIronmanと決めています。Grandslamでは、こういう操作はできませんよ
> ね。
先端が反転していればGrandslamでも同様の操作はできますよ。結構してます。

********************************

○○です。

25日に開催されたCIVIC3で湘南鎌倉病院の齋藤 滋先生が、
PercuSurgeでdistal protectionを行い、Radiusを植え込みガイディングカテーテル
より吸引したところ
stentがつぶれ、さらにGuard wireが離断した症例を呈示されていました。

末梢をPercuSurgeで、近位部をガイディングカテーテルでウェッジさせた状態で
吸引のため強い陰圧をかけるとstentがつぶれる可能性があるそうで、
さかのぼってシネを見返すと、Radiusが変形している症例がほかにもあったそうで
す。

ということは、radiusに限らず、他のstentでも変形する可能性が十分あると考えら
れます。
ガイドをウェッジさせなければこのようなことになるとは考えにくいのですが、
どなたか、ガイディングカテーテルで吸引時にこのような経験をされた先生はおられ
ますか?

********************************

○○です。

遅レスですが。。。

> 今回TR band開発にあたり、air injection防ぐ為に、逆止弁のカフに
> 大きく《AIR》と表記しました(緑色で)。
> また当院ではTR band装着時には、ドクターがシースを引き抜いた瞬間、
> 看護婦さんがair injectionの動作をするようにしております。
> ドクターと看護婦さんとの立ち位置が少し離れている為、2人での同時作業では
> 問題ないと思います。(1人での操作時には注意が必要です)
皆さんやはり工夫をされてますね。でもどうしてもair injectionしてしまう可
能性はありますよね。実はうちでも若いDrが危うく、ってことがあったんです。
それでシースのサイドアームに三方活栓の蓋をつける、ってしたんですが、面倒
なのは面倒ですね。

テルモの止血、TR bandっていうんですか、は見ましたし、自分の手に着けてみ
ました。たしかによさそうでした。

> 患者さんからテルモ本社へ感激のメールがあったと聞いています。
これはすごいですね。

ぜひ先生の施設でのプロトコールを教えてください。

********************************

○○です。

僕もRadius変形の経験はあります。去年のIVUSライブででもお見せしたのですが、
それはIVUSで引っ掛けてめくってバルーンで押さえつけてって症例でした。斉藤
先生の症例って吸引の陰圧でなったんですか?????? 本当ですか????
かなり疑わしいと思います。陰圧より吸引のためのカテーテルとか何か物体が接
触してませんか?Radiusは接触にはすごく弱いと思います。ガイドカテーテルに
よるものとしてはold multilinkをめくった(IVUSでわかった)ことがあります。
このときは引っかかってる感触がありました。でもRadiusはさっぱり感触なしだっ
たと思います。

とにかく、吸引圧で金属が変形するとはとても思えないのですがいかがでしょう?

********************************

○○です。

> 斉藤先生の症例って吸引の陰圧でなったんですか?????? 本当ですか???

> かなり疑わしいと思います。陰圧より吸引のためのカテーテルとか何か物体が接
> 触してませんか?

齋藤先生の症例ですが、先生の不在時に経験した症例のようで、
先生自体も詳細は十分把握されていないようで画像から判断してというコメントでし
た。
でも、確かに吸引したらつぶれたと言われました。

私自身も画像自体もちょっと見ただけなので十分な情報ではありません。

********************************

○○です。

私もCIVICのCAGで見ただけなので詳細はわかりませんが、
明らかにステントが虚脱していました。

このようなことが起こる条件として、
ガイドカテが冠動脈にウエッジして、
吸引の圧が冠動脈を虚脱するように働くことが必要かと思います。
つまり、吸引圧がステントを変形させたのではなく、
冠動脈を虚脱変形させることで、
ステントを変形させたのではと思います。

Radiusは実物を手にとってみると判りますが、
かなり華奢なステントですので、
このようなことが起こるのでは思います。
多分、BxやTristarでは起きないのでは...。

ところで、カテがウエッジするような症例では、
我々がこれまで気付かなかっただけで、
実は、吸引中は冠動脈がペッタンコになるくらいに虚脱していた可能性があり、
これが病変自体にどのような影響を与えるのか興味あるところです。

********************************

○○です。
○○先生お久しぶりです。

私も先月横浜であった神奈川distal protection研究会で、そのRadiusつぶれ症例の
動画を拝見しました。身の毛もよだつような画像でした。その時にプレゼンしていた
湘鎌の先生はRadiusにpost dilatationをしていないので、そのためでは?とコメン
トしていました。うちの施設では、PercuSurge→Stent(Radius以外のものでしっかり
後拡張)後にIVUSで確認していますが、今のところステント変形は見つかっていませ
ん。

********************************

○○です

> ところで、カテがウエッジするような症例では、
> 我々がこれまで気付かなかっただけで、
> 実は、吸引中は冠動脈がペッタンコになるくらいに虚脱していた可能性があり、
> これが病変自体にどのような影響を与えるのか興味あるところです。

ちょっと話はそれますが、PercuSurgeで完全に末梢を閉塞して吸引してもslow flow
の起こる原因の一つとしてこれと似た現象があるのではと最近思っています。それは
ガイドカテーテルがwedgeしている場合と標的病変の離れた近位部にintermediateな
病変がある場合です。aspirationカテーテルでintermediateな病変でもかなり狭窄度
が高まる可能性があり、いくら吸引しても大動脈からの血流が阻害された場合には吸
引が十分出来ないのではないかと考えています。本日も屈曲したRCAにPercuSurgeを
使用しましたがアコーディオン状態となり十分な吸引が出来ませんでした。このよう
な場合には吸引する注射筒の中が泡だらけになるような気がしますが如何ですか?

Radiusを変形させるにはだだ押しつぶしただけではなかなか変形しませんが押しつぶ
しながら捻るとエッジとエッジが絡まって容易に変形します。陰圧もあるかも知れま
せんが後拡張無しでガイドカテで吸引?それとも他のaspirationカテで吸引か分かり
ませんが陰圧以外の何らかの外力によるものと考えた方がよさそうな気はします。画
像を見ていないので何とも言えませんが。

********************************

○○です

画像を見ていないもので、分からないのですが
鎌倉ライブでのPercuSurgeは5Fまたは6F ガイディングで
たしか50CCか30ccの注射器2本で吸引されていたように思うのですが
それくらい陰圧をかければ変形するんでしょうか?
でも、Radiusは元に戻る力もあるのですが・・・・・
たしかに捩れてストラットが引っかかったら潰れるのでしょうか?
うちも、吸引カテ出すのは面倒なので5F de Percuを
考えていますが、注意しながらして見ます
今は吸引カテで、やってますが(それにRadiusが多いのですが)
そのような経験はありません

********************************

○○です

”TR Band”と”とめた君”は通常の3方活栓とは形状が
違うので間違えないと思っていますが・・・・(人間のすることですから
わかりませんね)
ただブリードセーフは形状がシースの側管に似ているので
ありえますね テルモは一応そのことを考えて形状をあのようにしたと
言っていました

TR Band本日から本格的に使用していますが、なかなかよさそうです
うちでは”とめた君”も減圧は主治医ですので、少しでも手間を減らしたいと
13cc 30min, 11cc 120min, 9cc 120minで終了にしています

********************************

○○です。

私もCVICで画像を拝見させていただきました。

提示されていたCAGでは、確かにRCAのRadius siteは変形というよりは、
虚脱していました。

ただし、Radius site以外にも、RCA全体がTandemにSpasticになっており、
形態的には強いSpasmの結果としてRadiusが変形したように思えました。

特に、斎藤先生は、シネで見る限りは吸引中のガイドカテがウエッジしていない
と強調されておられましたし、ステントより近位側に有意な狭窄がなかっとこと
からも、ウエッジによる強力な陰圧の直接作用というよりも、むしろ、吸引中に
ガイドカテが挙動して、(シネに映っていない時に)一時的にガイドカテがウエッ
ジして陰圧を生じ、その結果としてSpasmを合併したものではないかと考えまし
た。

この仮説が正しいかどうかはわかりませんが、○○先生の言われているように、
ガイドカテのウエッジや器質的狭窄の遠位側での強力な血栓吸引は、
吸引が不十分になるばかりではなく、冠動脈のSpasmを合併することは
しばしばですし、また、Yコネからの空気吸引(いずれも当院で実際に経験しました)
の可能性があるので要注意だと思います。

********************************

○○です。

私も問題の画像を見ていませんので陰圧の影響があるのかどうか
何ともいえませんが、話題ついでに一つ教えていただきたいことがあります。
私も昨年の鎌倉ライブで5Fr de Percuに感動した一人ですが、
私には根性がありませんので今のところPercuSurgeは普通の使い方をしています。
先日、将来の根性試しに備えて、右冠動脈のAMI症例の方に、通常のdistal
protection法でstentを挿入した後、患者さんにもう一頑張りして頂いて、
末梢を再度遮断して造影剤を注入し7FrGCから直接チューチューしてみたところ、
protection balloonの手前にある造影剤は微動だにしませんでした。
添付画像を見ていただくまでもなく、ちょっと考えれば当たり前のことですが、
以来、GCがウェッジもしくはニアウェッジしていない場合、protect位置から
離れすぎていると単に大動脈よりのflowを吸引しているに過ぎないと考え、
GCはどこまで挿入することが必要充分であるのか悩んでおります。
挿入したばかりのSTENTの中をGCを通すというのはかなりの勇気と根性が
要ると思いますので、STENTよりも手前で安全確実にGCでチューチューできれば
時間短縮にもなって良いとおもうのですが、STENTよりも手前でGC等で
チューチューされる場合、皆様はどのような基準でGCの位置を決めて
おられるのでしょうか。
すみませんがご教示をお願い致します。

********************************

○○です。

吸引力の実験で、5Fr GCでの吸引能は非常に強いですが、Percu Surgeのaspiration
cathの吸引力はたいしたことがないので、血流さえ有れば陰圧を思いっきりかけても
血管やましてやステントが潰れるほどの力はないように思えます。
○○先生のおっしゃるように、wegdeが原因で血管ごとステントが潰れた形と思いま
す。

「チューチューのときはWedgeさせるなよ!気を付けろ!」という斎藤先生のメッセー
ジなのかなぁと私はとらえたのですが、いかがでしょう?

********************************

○○です
 
> 吸引力の実験で、5Fr GCでの吸引能は非常に強いですが、Percu Surgeのaspiration
> cathの吸引力はたいしたことがないので、血流さえ有れば陰圧を思いっきりかけても
> 血管やましてやステントが潰れるほどの力はないように思えます。
> ○○先生のおっしゃるように、wegdeが原因で血管ごとステントが潰れた形と思いま
> す。 
> 「チューチューのときはWedgeさせるなよ!気を付けろ!」という斎藤先生のメッセ
ー ジなのかなぁと私はとらえたのですが、いかがでしょう?

テレビの通販の宣伝でビニールの袋に入った布団が陰圧でぺしゃんこになるのを見て
るとRadiusだったら一時的に潰れると思いますが何かが引っかからなければ復元する
と思います。

aspirationの際の"wedge兆候"は血栓が釣れたのか、血管壁に当たっているのか、本
当にwedgeしているのか、ガイドカテがwedgeしているのか、中間部の狭窄のせいなの
かなかなかわかりずらいと思いますが。 もともとRadiusを使わなければ良い問題だ
とは思います。

それと閉塞バルーンよりかなり離れた場所で(もちろん責任病変のかなり手前で)
aspirationするのはナンセンスだと思います。

********************************

○○です。

小生も神奈川distal protection研究会で画像を見ましたが、あれはRadiusが陰圧によ
って、一瞬解き放たれる前の元の形状に一瞬だけ戻ったって感じだったと思います。虚
脱の瞬間はまさにreleaseする時の画像を逆回しに再生したように一瞬“つぶれた”っ
て具合でした。もちろん直後に形状は元通りに戻ったように記憶しております。guard 
wireが離断したところは見てませんが…。血管内陰圧のまま(ステントはひしゃげたま
ま)吸陰カテをステント内に入れようとすると、これは○○先生の言われるとおり危険
だと思います。湘鎌の先生もRadiusで、しかもpostをかけないとこういったこともあり
ます。ていう話の流れでした。小生としてはradial forceの強いその他のballoon
expandable stentではありえないと思ってます。○○先生が言われるとおり、吸引カテ
は結構太く硬いので手前の軽度の狭窄やアコーディオンで容易に圧が遮断されると思い
ます。すると全く引けて来ないと思います。解決策は泡だらけになるような症例はめん
どくさくても、冠動脈に引く分の血液を大動脈から注ぎ込むべく、吸引カテ(5Fr de
Percuも含め)を入口部まで引くことだと思ってます。

********************************

○○です

 最近GC吸引ネタが多いですが、thrombusterで興味ある二例を経験しました。

 一例目は37歳男性、自衛隊の方で、RCA #3)total+血栓でした。さっそくGWをつっ
こんで、Thrombusterでの吸引を試みました。この方は非常に体格がよく、GWもかろ
うじて見えるくらいでしたが、注意してThrombusterを進めたのに、マーカーがほと
んど見えず、気がついたらRCA末梢まで進んでました。あわててバックして吸引し、
事無きを得ました。
 ○○先生もご存知のように、当院のシネ装置は10年前の島津製で、最近IIもだいぶ
苦しくなってきました。視認性の悪いシネ装置をお使いの施設は、十分ご注意下さい。

 二例目は67歳男性、LAD #7)proxymal total+血栓でした。やはり血栓が豊富な症
例でした。GCをLCXを越えてdeep engageしましたが、病変までは届きそうになく、
thrombusterでの吸引を試みました。この方も体格がよく、前回の失敗のことがあっ
たので、thrombusterを造影剤で満たしておいて、病変部まで進めました。今度はカ
テもよく見えて、位置決めも容易でした。なお、吸引したdebrisを病理に出したら、
plaque成分も混じってました。thrombusterの吸引力も侮れません。

 それにしても、当院のシネ装置、早くどっかのシネ博物館に引き取ってほしいです。

********************************



第62集

************************************

○○です

 症例のご相談です。

 61歳の女性で、狭心症精査で入院されました。高血圧、糖尿病(メルビンとグルコ
バイでコントロール)、高脂血症、肥満(身長150、体重65くらい)があり、喫煙は
ありません。心エコーではapical hypertropyですが、壁運動は良好でした。
 本日、rt-TRAでCAGを行いました。貼付写真のようにLAD #7) proximal〜#9)分岐直
前に90%eccentric stenosisを認めます。造影は4Fです。proxymal referenceは5mm
(あるいはもっと)、distalは4〜5mmと読みました。石灰化は見られないようです。
LCX, RCAには有意狭窄はありません。なお、右鎖骨下に強い屈曲蛇行があり、カテ操
作に難渋したのでPCIするなら左からがいいかもしれません。

 PCI時はIVUSで評価しながらと考えています。大きな病変なので、distal embolism
も心配です。以下の点についてご教示ください。

 1、distal protectionは必須?
 2、debulk or not? debulk-alone or debulk-stent?
 3、#9をprotectするか(するでしょうけど)
 なお、○○県では保険の査定が厳しい為、あまり沢山のdeviceは使えません。造影
剤も250mlまでです。
 いろんなご意見を、お聞かせください。

Cranial
Spider
LAO-Cranial
RAO-Cranial


************************************

○○です。

こういう症例は(多くの症例が、かもしれませんが)IVUS所見で治療内容がかな
り変わりますよね。

1. distal protectionについては必要かもしれません。でもLADだけですけど。
それでもしないより、した方がまし、と考えます。アンギオではulcerationに見
える部分もありますし、IVUSでlow echoic plaque主体なら、ましてや
attenuationしてれば、絶対にprotectionしようと考えます。

2. debulkigは「しません」。だってこんなにreferenceのいい血管だったら再狭
窄率は<10%にできるでしょう。だったら全くdebulkingの必要性はありません。

3. #9はprotectします、というか、確実にKBTします。4.0+2.5or3.0で、
proximalは4.0+2.5で16+6.25+αで少なくとも4.5-5相当、4.0+3.0で少なくとも
5.0相当に拡張できます。

4.0 stent balloonのKBTでも6Frでも可能ですので、以上のような方法で
LtRadial 6F, IVUS Stent(僕ならBx) balloon これで全てでいけると考えます。

************************************

○○です

○○先生とほぼ同感です
AngioでCranial ViewではUlcerationがあって危なそうな
病変ですが、Distal ProtectionするのはIVUSを見て決めると
思います IVUSで○○先生の言われるような所見が得られれば
迷うことなくLADだけでもProtectします
もちろんこれだけ大きなLADならGCでチユーチユーでもいですし
子カテでもいいですし、吸引カテなくてもできそうです

私もdebulkigは「しません」。

#9に関してはProtect Wireは入れますが、KBTするかどうかは
仕上がりをみてから決めます KBTって結局再狭窄を予防できていると
いう印象があまりありませんので・・・(個人的な意見です)
もちろん、#9にプラークシフトがくればKBTもします

最終的にはLADにステント入れて、#9入口部が狭くなれば
広げにいきます、問題なければそのままかも

************************************

○○です。

入会してはじめて質問します。
○○先生のaspiration実験を鎌倉ライブで拝見しました。
Percu Surgeのaspirationカテの吸引はすごく弱い様でしたが、
結構AMIで吸引してみると、aspirationカテ先端の部位に狭窄ができたり
しませんか。私自信としては結構内膜引きまっくて障害してるのかなと思っていまし
た。
むしろ、レスキューの方が血管には優しいのではないかと。
ご意見お願いします。

あと、LADとLITA吻合部狭窄へのTRA経験が豊富な先生方に、デバイスやテクニカ
ルな
アドバイスがありましたらご教授ください。

************************************

○○です


解決策は泡だらけになるような症例はめん
> どくさくても、冠動脈に引く分の血液を大動脈から注ぎ込むべく、吸引カテ(5Fr de
> Percuも含め)を入口部まで引くことだと思ってます。


特に太いaspiration cathを使う場合にはそのとうりだと思います。また、手前の病
変があるときは前もって処理すべき症例もあるかと考えています

************************************

○○です


> 1. distal protectionについては必要かもしれません。でもLADだけですけど。
> それでもしないより、した方がまし、と考えます。アンギオではulcerationに見
> える部分もありますし、IVUSでlow echoic plaque主体なら、ましてや
> attenuationしてれば、絶対にprotectionしようと考えます。

これは大賛成! しかし、こういう大きい側枝があるときはdistal protection +
direct Stentingの時にいっそ一時的に潰れてくれれば良いと思うときがあります。
閉塞したらslow flowの原因物質が流れないかも知れないと思っているのは私だけで
しょうか.....

> 2. debulkigは「しません」。だってこんなにreferenceのいい血管だったら再狭
> 窄率は<10%にできるでしょう。だったら全くdebulkingの必要性はありません。

これは思わずDCAしたくなりますね! IVUSで上記1の所見が全くなければDCAするか
もと....(内緒の話ですが....LAD or LCX〜LMTのDCAはまだ必要と考えますので自分
の腕を落とさないように時々Just prox以外のDCAもしてます)
しかし、実際にはすでにangio上でslow flow high risk lesion (ulcerlation ,
irregular , Big size vessel)の血管ですのでDCAでも十分にslow flowを起こす可能
性があると思いますからStenting+KBTになると思います。
ウソのような話ですが昨年のライブから当院では本当にKBTが多くなりましたがBx
velocity balloon + Marveriv-IIの組み合わせのKBTはホントに経済的です!

************************************

○○です。

私も閉塞バルーンからかなり距離がある場所でのaspirationは全くナンセンスと
思っています。(ナンセンスと思っているから実験しました)
今は普通に吸引カテを閉塞部位まで入れているのですが、将来、GC等を使用して
吸引することを想定した場合、8mm程度のSTENTならば手前からの吸引でも
充分であるのかとか、28mmのstentならばやはりstent内を通さなければ遠位部位の
debrisは吸引不足になるのでいけないとか、全例GCを用いても閉塞部位直前から
吸引が必要である、とかいったことを経験豊富な施設の先生方に教えていただきた
いと思います。(当然、土管のようなSVG病変と側枝豊富な血管病変でも異なると

思いますし、血管径や血管性状によってもstrategyが変わるとおもいます・・)
以前、○○先生も(パークなら必ずしも病変を超えなくてもいいのかもと鎌倉ライブ
で思いました)と感想をおっしゃっていますが、私もそのような感じを持ったので、
誤解であれば訂正していただきたく思います。
吸引カテーテルの出し入れが面倒くさいので(特にstent挿入の時は交換が必須です
から)、Percuの時にGCで引いてみたい先生は大勢いると思いますので詳しく教えて
いただけると有り難いです。

************************************

○○です。

KBTですが、proximalとdistalの血管径が違う際には理論的にも正しいと思って
います。例えば、Dxの先のLADが3.5mm Dxが2.5mm Dxの手前のLADは4-4.5mmって
ことがありますよね。この場合だとLADに3.5mmを入れて、後拡張で手前に少し引
いて圧をあげて、とされているかもしれませんが、3.5+2.5 KBTだとホント手前
もパンパンに広がってきれいなツチノコになります。きっちりstent edgeの位置
を決めると手前にもバルーンをかけたくないことは少なくないんですが、その場
合でも問題なし、です。
サイズ決めの際には手前の血管にKBT balloon両方が拡張したとして面積で考え
て、Stent balloon (S mm) Branch balloon (B mm)とすると S二乗とB二乗をた
してルートしたものを手前のサイズの目安としてます。さっきの例の3.5+2.5だ
と18.5のルートになるので4-4.5mm相当になります。
大体、大きな側枝を分枝すると本幹も小さくなるんですから元々KBTをするのが
サイズ的にはちょうどよくなるんだと思います。

○○先生の書かれたように側枝バルーンにhypotubeを選択するとstent balloon
+ balloonの2本でKBTできて経済的です。maverick2以外にもApolloやVictoXもい
いですよ。6Fでもstent balloon + hypotube balloonで4.0+3.0 KBTも可能です。
ただしその際はステントバルーンを先に入れて後に出す、(stent balloon first
and stent balloon last)の原則を守る必要がありますが。

************************************

○○です

> 私も閉塞バルーンからかなり距離がある場所でのaspirationは全くナンセンスと
> 思っています。
私もそう思います。
5Fr de Percuの時にはギリギリまでdeepし、圧を見てWedgeしていないことを確かめ
てからで手技をスタートしています。
GCは可能な限り病変を越えて、stentも越えて、deepして吸引を行っています。

RADIUSにはdeepをしたGCでstentを壊すような気がするのでやったことはありません。
他のstentなら安全?といわれると自信はないのですが...まぁtube stentなら大丈夫
だと思ってやっています。

それより怖いのは、Percu Surge使用時一般の問題で、デブリスなどが末梢をつめた
状態の冠動脈からあふれてこないかどうかということですが.... いかがなものなの
でしょうか?

************************************

○○です。

○○先生、ご教示有り難うございました。

>5Fr de Percuの時にはギリギリまでdeepし、圧を見てWedgeしていないことを
>確かめてからで手技をスタートしています。
>GCは可能な限り病変を越えて、stentも越えて、deepして吸引を行っています。

やはり、stent越えは必要でしたか。
今度、手頃な症例と機会に恵まれましたら、一度挑戦したく思います。

>それより怖いのは、Percu Surge使用時一般の問題で、デブリスなどが末梢を
>つめた状態の冠動脈からあふれてこないかどうかということですが.... 
>いかがなものなのでしょうか?

想像すると大変怖い現象ですが、確認方法が難しそうですね。
通常は末梢遮断後は吸引を終了して遮断解除するまでに造影はしないですし、
吸引開始前に強くショットして、デブリスが撹拌されてバックフローと共に
あふれて来たらそれこそ一大事ですし。

************************************

○○です。

> それより怖いのは、Percu Surge使用時一般の問題で、デブリスなどが末梢をつめた
> 状態の冠動脈からあふれてこないかどうかということですが.... いかがなものなの
> でしょうか?

○○先生の言われるとおりだと思います。満タンの風呂に浸かるようにdebrisがあふれ
出すのはとても怖いと思います。恥ずかしいんですが確たる自信がないので、まだ右の
large vesselのみしか手を出してません。だからLCAみたいには気を遣いません。LAD 
orLCxにするときには、できればGCをdeepに持っていき、少なくともその血管だけで処
理するようにしなくてはいけないですよね。

************************************

○○です。

○○先生、うちの病院では昨年12月からDICOM Networkを立ち上げました。
地元のコンピューター関連会社と共同でDICOM Viwer、Server、Networkを自前
で作り上げたものです。
アンギオシステムはPhilips(DICOM出力端子のないもの)とSiemens(DICOM出力
端子あり)で、PhilipsからはDICOM Gatewayを介してServerにDICOMデータが
送られるようになっています。カテラボ内の中間Serverから医局内のServer
(2.1TB RAID)に送られ、そこから各病棟、各ドクターの部屋、医局の端末で
閲覧できるようになっています。IVUS画像もDICOM Gatewayを介してServerに
ストックすることができます。DVDチェンジャーはまだ導入していませんが、
エルクよりはだいぶ安く構築することができました。
カテラボと医局間だけが光ファイバー接続ですが、自分ではそれなりに使い勝
手に満足しています。光ファイバーも今は随分と安くなりましたし近日中に院
内を光ファイバーで結びたいと思っています。

************************************

○○です。

すごいですね、自前ですか。DICOM viewerはどうしたんですか?

DVD changer は結局遅いですから、最近のHDの低価格化を考えると、DVD
changerはHD増設の方がいいような気がしてます。

************************************

○○です。

> すごいですね、自前ですか。DICOM viewerはどうしたんですか?
DICOM viewerも自前で作りました。サーバーからの患者検索機能、DICOMファイルか
らAVIファイルへの変換機能、印刷・レイアウト機能、簡易計測機能なども付けまし
た。これを作ってもらったソフト開発会社は従来のViewerよりかなり安価な値段で近
日中にリリースする予定もあるようです。
○○先生にいただいた超人的な心カテデータベースも参考にして、現在Viewerとリン
クさせたうちの病院なりのデータベースを作成中です。

> DVD changer は結局遅いですから、最近のHDの低価格化を考えると、DVD
> changerはHD増設の方がいいような気がしてます。
確かにそうですね。今のRAIDが満杯になる頃には、HDは今よりも格段に安くなってい
そうですし、アクセススピードもDVD changerよりは断然速いですよね。

○○先生にはこのNetwork構築前にGoodnetを見学させていただきました。改めて御礼
申し上げます。

************************************

○○です。

○○先生のところは自作だそうで、すごいですね。
結局はハード代はそう大したことはなさそうなのですが、専用ビューワー一台一
台にダイコムを見るためのソフトを入れる料金(ソフト代、技術代?)を高く取
られてしまうようです。

○○先生御指摘の東芝のシステムのことは知りませんでした。

************************************

○○です

ネットワーク自作できるなんてすごいです
そんな、知識も、パワーもない私はいつもメーカー任せです

東芝のシステムはUSAのHeart lab社のものです
デモだけですが結構使えそうでした
国内の各メーカーもDICOM & Web形式のネットワークに
取り組んでるみたいですね
うちもはやくおじさんが運んでくるネットワークから、
本当のPCのネットワークにしたいです
その時は○○先生と同じようにMPEGでもみれるような
ものを構築したいです

************************************

はじめまして。○○病院 循環器内科の○○(S63年 ○○医大卒)です
。入会させていただきありがとうございました。当院は年間PCI 50例くらいしかない
のですが、これから少しずつ増やしていきたいとおもってます。ご指導よろしくお願い
申し上げます。

************************************

○○です

○○先生、○○先生、○○先生 アドバイスありがとうございました。
病変部は動画でみると、proxymal側に凹みがあります。ulcerationと考えています。
側枝は大きいので、PCI後になんらかの処置は必要でしょう。
火曜日にIVUS guideで行いたいと思います。
IVUS次第ですが、GurdwireをLAD、通常のwireをD1で、BXの5.0を用意してもらいます
(在庫を置いてなかったので、取り寄せます)。
結果はまたご報告します。

○○先生のコメントは、実際の手技が目に見えるような臨場感があります。感服いた
しました。
○○先生のGCで吸引は、LADが大きいですからいけるかもしれませんね。
○○先生はやっぱりDCA好きなんですね。

今後ともよろしくお願いいたします。

************************************

○○です。

遅レスすません。僕が何をするかといえば、よっぽど飛びそうなIVUS像でないかぎ
り、DCA行きますね。うまくすれば、D1 protectの必要もないように、仕上がります
から。デバイスもワイヤ・IVUS・フレキシカットLですみます。また、LADのパーク
サージは気休めのように思える部分もあるんで、DCAのほうが、プラークを回収でき
る分、有利かなとも思います。実際、2週間前、u-APで、LMT入口部75%からLADjp90%
をDCAした際、パークサージでとれるような、さらさらしたデブリがそれなりにとれ
ました(最後は、BX4.5とLCx方向への3.5のKBT)。ただ、○○先生のおっしゃるよう
に、debulking不要論も認めます。どちらも、一長一短なんでしょう。こういうあた
りは、治療戦略について多様性を、是非、容認したいです。

さて、5mmのBXということですが、いくらなんでも大きすぎません? 僕は、4.5mmは
何度も経験ありますが、5mmのBXは、一度だけ、長いLMT75%にDCAした後、植え込んだ
だけです。CAGでみると、やはり、極めて巨大でした。また、夏に書きましたが、高
度石灰化のLMTに、Rotaのあと、4.5mmのBXと3.5mmのバルーンでKBT(約5.5mm相当で
すね)したあと、すぐ止まったものの、一瞬、もわっと漏れてしまい、あせった経験
もあります。一応、再狭窄予防のためには、CSAで、9mm2とれればよいのですから、
LADですから、いくら大きくてもひとまず4.0mmにして、IVUSして、足りなければ更に
大きなバルーンで後拡張のほうが、安全そうに思います。KBTの余地ものこります
し。

あと、IVUSで、attenuationしてれば、の場合ですが、前にも書いたように、LADの
パークサージは、気休め程度かもしれません。この場合、すくなくともD1にはみんな
デブリが流れてしまいます。ただ、デブリが飛ぶのは、大きなバルーンなりステント
なりで、しっかり広げた時ですよね。そこで、すこし小さ目のCB(3.5mm)で、デブリ
が飛ばない程度にひろげておき、acute closureを回避し、当面、虚血が解除される
ようにしておいて、3ヶ月たって再狭窄はしますが、plaqueは安定化するので、そこ
で、根こそぎ、DCAしようが、DCA+ステントしようが、ステント+KBTしようが何を
やってもかまいませんから、distal emboliの不安が無い状態で、根治をはかるのは
どうでしょう? どなたかこういう経験はありませんか?

************************************

○○です。

先日Cutting Balloonでの合併症を経験したので報告します。

症例はMid LADのIn-stent Restenosisで前のStentはBx 3.5×23mmと3.5×16mmが一部
Overlapして入っています(totalのstent長は29mmでした)。2.0mmでPre-dilationし
た後でIVUSをしました。IVUS所見は普通のISRでStentの拡張は良好で
Under-expansionはありませんでしたがAngioの通りStent内はsoftな内膜がぎっしり
詰まっていました。その後3.5×10mmのCutting BalloonでStent Distalから拡張して
いきましたがStentのProximal部分を拡張しようとするとCutting BalloonがStentの
外(Proximal側)に滑ってしまいます。今までCutting Balloonが大きく滑るのを見
たことがなかったので慌ててもう一度IVUSでStent内に何か原因になるようなものが
ないか確認したのですが何も見あたりません。3回くらい滑った後に術者が造影剤を
うつと見事なDissectionができていました(下図)。Cutting BalloonはBladeが抵抗
となり滑らないと思っていたのですがRegular Balloonと同様にLumen較差があるとこ
ろを短時間で圧を上げると滑り得るようですね。Bladeが付いているだけに大事故に
つながる可能性が高く恐ろしいです(現に大きなDissectionができましたが)。
Cutting Balloonをよくお使いの先生方に質問ですがこの滑るという現象はよくある
ことでしょうか?Lumenの較差以外に何かPredictorはありますか?

Pre
Dissection


************************************

○○です。

LADの場合、多少話題はそれますが、AMIですとprotectionで大きな側枝が目詰まりして
も何しても被害を最小限に食い止めるよう努力することが必要でしょう。一回でドカン
と広げて再狭窄を予防したいという欲求を抑えなければならないこともあるかと思いま
す。多枝でLADがculpritでない場合“スタチンで安定化させて半年後にしようか”とい
って、結構protectionもせずうまくいく経験てみんなお持ちですよね。1枝でLADが
culpritですとattenuationしていても、いろいろやって大きく広げにかかって逆にヤケ
ドをおうこともありますよね。CBがいいのかどうかは小生にはわかりませんが、○○先
生の症例に様に少々ややこしそうなのは、○○先生が言われるように2回に分けてsoft
landingというのもLADの場合ありかなと思います。先日1枝LAD long lesionでいかにも
protectionしたくなるようなACSに対して、昔ながらのシグマート直前冠注のあと、
3.5mmバルーンで低圧POBAしたところ、案の定slow flow、血圧低下、ST上がりました。
しかし直後にグマート冠注→ワソラン冠注で嘘のように(1~2分で)戻りました。現在
NQMIで経過してます。ご提言したいのはひとつは、一瞬でも患者さんを危険にさらすの
はよくないですが、結果論ですがprotectionしていたら側枝がつまりQMIとなっていた
のではないかと思われます。ふたつめは、血栓があまり絡んでいなければ、結構シグマ
ートとワソランの組み合わせでしのげます。まだまだ捨てたものではないなと思ってま
す。いかがでしょうか。

************************************


○○です

○○先生、○○先生 ありがとうございます。

distal referenceは5mm前後と読んだので、BX 5.0という話が出てました。
また、先生ご指摘のような二期工事作戦も出ています。
一見単純そうな病変ですが、一旦トラブルと相当のダメージが予想される為、皆さん
のご意見を伺った次第です。
午後のカンファレンスで、スタッフと相談してみます。
いずれにしても、IVUSの情報が重要ですね。

************************************

○○です
 
○○先生 IVUSでのステントの径は3.5mmありましたか?
圧は何気圧かけてるんでしょうか?
たしかに、CBは滑りにくそうですが、ブレードが縦についている以上
滑ってもおかしくないと思っています それにコーティングしてあるし・・
特にISRは滑るのかなと思っていました
 
でも、うちではISRに結構圧掛けていますが(12〜14気圧)
滑ったことはありません、CBのサイズの問題でしょうね
うちではIVUSで見たStent径あるいは元々のStent径を
目安にしてCBを選んでいます
 
でも、これはほとんど破れかけですね・・・ 恐ろしい・・・です
うちでも気をつけます
 
************************************

○○です

Cuttingの怖さの一面を見た気がしました。
貴重な写真有り難うございます。

できれば、この後の処置はどうしたのかを教えてくだされば幸いです。

************************************

○○です。

>いずれにしても、IVUSの情報が重要ですね。

まったくもって、○○先生のおっしゃる通りです。DM/HT/obesityであって、やや拡
張性病変に伴う狭窄ですから、意外に、superficial calcが強くて、DCAよりRotaの
方がいい、なんていう場合もありえますから。

ところで、とっても変なことを伺いますが、先生のところでは、このCAGに、例え
ば、IVUS像のポラロイドもつけ、誠心誠意、切々とIVUSの必要性を訴えても、保険で
は、査定されてしまうんでしょうか?

************************************

○○です。

今の所、Stent再狭窄に対するCutting balloonの拡張メカニズムは増殖内膜を長軸方
向に再分布させStentをあまり拡張しないということになっているので○○先生の
おっしゃるように前のStentの拡張が不十分であれば滑るという現象が起こり得るの
かもしれませんが今回の症例ではPreのIVUSでStentは3.5mm大に十分拡張されていま
した。
Cutting Balloonの圧は一般的には8~12気圧かけているようです。この時は滑るので
ゆっくり圧を上げていましたが4~6気圧くらいで滑っていたと思います。
僕個人的にはPlaqueが少なくて内腔が十分にあるのでBailoutは3.5mmの
Self-expandableのStentなんかがいいのかと思ったのですが置いてないので
Multi-Linkの3.5mmを入れてました。Jo Stentがあるからといっても16気圧くらいか
けていたので見ている方がドキドキしました。

************************************


このたび、新規加入させていただきました。とあるサイトをみていたところこのサイト
の存在を知りました。確かあれは八戸ライブ特集だったと思いますがかなり熱いご意見
が交わされているのを見て、ぜひ情報交換できたらと思い

、参加させていただきました。小生の施設でも97.12以来TRIを施行してまいりました。
(7FTRIですが。)年間150例ほどの弱小企業でしかも2nd.operator
ではありますが、全例IVUS施行を心掛けてこつこつインターベンションをやってお
ります。

ぶっちゃっけ相談したいことはよくありますが、なかなか持っていき所がありません。
大学の枠を超えた有志の集いは小生のコンセプトでもあります。どうぞ今後ともよろし
くお願いいたします。

************************************

○○です。

この症例のIVUSを見たいですね。ぜひIVUS mailing listの方にも出してくださ
い。でもデータ的にはCBの方がずれないんですよね。僕の経験でもCBの方がずれ
ない感触はあります。という訳で僕はpredictorは?です。
バルーンの時のtipsなんですが、ずらさないためにはsecond wireを使ってさら
にsecond wireのwire tipをbendさせて横に置くと本当にslipしなくなります。

************************************

はじめまして。
TRA-netの趣旨に”若手インターベンショナリスト(第二世代、第三世代)のメーリ
ングリストです”と記載されていたので自分のようなものが入会するのは一抹の不安
がありますが・・・。ちなみに当院ではTRIは1996年より始め、PCIの80%程度がTRIで
す。
今後とも宜しくお願い致します。

************************************

はじめまして。
私は札幌にある○○病院・内科の
○○と申します。
当院は年間のカテ件数500〜600、PCIは
100件じゃくでとてもPCIをしていると
言える状況ではありませんが、
TRIを含めPCIについて勉強させて
頂きたいと思い参加させて頂きました
皆さんよろしくお願い致します。

************************************

○○です

 先日ご相談した大きなLADのその後です。
 昨日、左radialにてPTCAを行いました。
 GCはCordis Brighttip JL3.5, GWはLADへBMW、diagonalへNeo's softです(D1も大
きいので、LAD本幹だけGuirdwireを入れてもねぇ..と考えて)。

 IVUSで観察すると、distal VDは4.5mm、proximal VDは5.5mmでした。また、plaque
は巨大で、ほぼ画面一杯の大きさです。plaqueの一部に120度程度のsuperficial
calcがありましたが、他には石灰化はありませんでした。また、low echoicな部分も
あれば、high echoicな部分もあり、ちょうど豚の角煮みたいな感じでした。angioで
もみられるように、小さなulcerationも認めました。

 plaqueがあまりにも大きい為、一気にstentingするとどうなるか...。
結局、今回はやんわり拡張しておいて、リピトールで脂質をがっちり下げる作戦にし
ました。
 Cutting Balloon 3.5で4回ほど拡張してみたのが、貼付写真です。IVUSで見てみ
ると、ちゃんと3.2x3.4mm(traceでは9.3mm2)に広がっていました。
 直後にV4-6のST上昇と軽度の胸部圧迫感が出現しましたが、これはワソランとシグ
マートで元に戻りました。その後のCPK上昇もなく、経過は良好です。

 最終的には、○○先生、○○先生の案を採用いたしました。3ヶ月後はplaqueももう
すこししっかりしてるでしょうから、BX Velocityを突っ込むことになるかもしれま
せん。皆さんの有益なアドバイスありがとうございました。

 なお、○○先生のご質問ですが、最近はIVUSがいかに役に立ったかを、意見書に
「ワープロで」書くようになってからは、まだ削られていません。この点については、
○○の○○先生のほうがご経験豊富だと思います。

************************************

○○です

 最近立て続けに6F Heartrail IR1.5をへし折っています(私じゃないです!!)。

 一例はAMI、rt-TRAで、RCA #3)totalです。鎖骨下から大動脈まではさほど蛇行し
ていませんが、RCAはすごい屈曲蛇行で、JR, ARはだめだなと思い、IR1.5を最初に使
いました。Valsalvaまでは難なく進み、さてRCA osへengageしようとしたら、ちょっ
と回しただけなのに、鎖骨下のあたりでクニャっとキンクしてしまいました。
 粘った揚げ句ならわかるんですが、あまりにも脆い...。結局Mach-1 FL3.5があ
たりでした。

 二例目はやはりAMI、RCA#2)totalです。この症例はなぜかrt-TFAです。先の症例の
ように、すごく屈曲蛇行したRCAで、JR, Hockeystick, Kimnyだめで、IRの登場です。
これもValsalvaまでは問題なく、いざRCAへと思ったら、femoral付近でまたクニャっ
と...。この症例はZuma2 SAL1.0でうまくいきました。

 近隣の某大学病院でも、もう6本はへし折ったという話を聞きました。カーブは良
いんですが。○○先生には申し訳ないです。
 あるロットだけの現象なのか、それともHeartrail自体の問題なのか...。メー
カーに話してますが、状況を把握してないのか、どうも対応がすっきりしません。
 Heartrailはもともとナイロン系?の素材なので、lumenを確保しようとすると、ど
うしても他の素材よりは強度的に弱くなるのか? とも考えてますが..。

 皆さんのご意見をお聞かせください。

************************************

○○です。

ハートレールは捻じれに弱く、IRは鎖骨下の蛇行例でしばしば捻じれます。
035のワイヤーを通して操作しても捻じれることは稀ではありません。
そんな時はZUMA2のChampや、MACH1のCMP(Champカーブです)に変更します。
当然、これらのカテでも捻じれたりはするのですが、
IRよりも捻じれが少ないため、
何とか使用には耐えうることが多いです。

ただし、最近、伊苅カテのシャフトはバージョンアップされていますので、
若干は良くなっているはずです。

ところで、IRを大腿アプローチの症例で使う意義はあるのでしょうか?
伊苅カテは左上肢からのアプローチにあわせてデザインされているので、
大腿からアプローチしても、シャフトが対側大動脈壁にしっかり当たるのか疑問です


なお、伊苅カテの左も同様ですが、私の同僚が左上肢専用と知らずに使って
問題なく使用できた症例を一例あります。

************************************

○○です。

形状はさておき、大口径6Frカテで、ねじれに対して最も強いのは、新しいJJの
Brite-tipだと思います。先日、鎖骨下動脈高度屈曲を合併したanterior take-offの
RCAに、左TRIを試みた際、Zuma2は上行大動脈でまわらないどころか、途中で入って
いきもしなくなりましたが、Brite-tipは、深吸気でワイヤを引きながらカテを押す
と何とか入っていき、トルクも伝わり、engageできました。

MACH1は、キメラ構造が強すぎて(というか、distalから2番目のsegmentが柔らかす
ぎるため)、カテの形状がPCI中すぐ変ってしまうので、あまり使用していません。

************************************

○○です。

○○先生、○○先生コメントありがとうございました。

TFAでIRを使った二例目の患者さんは、最初TRAで始めたのですが、鎖骨下あたりの屈
曲蛇行が強く、そのままTFAに変更したものです。フライングで出していたIRを使っ
てみた次第。

ねじれに最も強いのはBright tipなんですか。今度、カテ選びの参考にさせていただ
きます。

************************************

○○です。

>SAT予防に投与していたヘパリンの量が過剰?およびその必要性?
ヘパリンの必要性に関してですがPOBAやアテレクトミーの後にアンギオでの狭窄度が
35%以下でフローを抑制するようなDissectionがなければヘパリンは使わない方がよ
い(使うと出血性の合併症が増えるだけ)というマルチセンターStudyがあります。
ステントにも同じ様なものがあり高圧拡張をして大きなDissectionがなければ使わな
くて良いというものがあります。どうやらPCI後にヘパリンを使っても血栓症を予防
しないし逆に出血の合併症が増えてしまうようです。実際、僕が去年までいた施設で
もインターベンションの後にヘパリンを使っていませんでしたが2年間でAMI以外の患
者さんで血栓症を起こしたのは2例だけ(1例はフローを制限するようなDissectionを
残したままでした)だったと思います。AMIに対するヘパリンに関しては詳しいこと
は知りませんが少なくともElective症例では必要ないのではないでしょうか。

************************************

○○です。

○○先生のおっしゃるとおりだと思います。ウチも余程のことがなければ、PCI後、
ヘパリンは使いません。きれいにステントで仕上がれば、AMI後でも一切使いませ
ん。

それに、パナルジンの前投与も影響していると思います。ステント植え込み後のSAT
を検討したstudyの多くは、ステント植え込み後からパナルジンを投与しています。
それで、何も問題ありません。electiveで、POBAをやるくらいの症例で、術前からの
パナルジン投与が必要とは思えません。以前、この話題がでたとき、IIbIIIa
antagonist使用例におけるsub-group analysisでパナルジンが心事故を減らしたとい
う論文が紹介されたかと思いますが、自分は、そもそもアメリカ人と日本人では、は
るかにアメリカ人のほうが、人種・食べ物などの影響でしょうか、血液は凝固しやす
いと感じます。ですから、アメリカのstudyの結果が、そのまま日本人に当てはまる
ことはないでしょう。パナルジン(アメリカでは、今はもうプラバックスになって使
いませんが)の使用量も、500mg/dayですからね。僕は、ぼろぼろのSVGなど余程特殊
な事情を除いて、パナルジン術前投与については、絶対反対派ですね。今まで、前投
与しておいて良かったと思ったことは一度もない反面、後悔したことは何度かありま
す。また、外部の病院でCTOしていて、wire perforationして、なかなか止血できな
いので、投薬を確認したところ、前投与されていて愕然としたこともあります。

ステント植え込み後からパナルジンを使った場合、効いてくるのは数日後からですか
ら、PCI直後の出血性合併症が増えることはありません。また、ステントにおけるSAT
は、数日後から2週間がその発生時期ですから、それで充分なはずです。

また、老婆心ながら申し添えますが、○○先生はSAT予防と書かれていますが、正確
に言えば、ステントは入っていませんから、単なるacute closureの予防ですよね。
SAT防止とacute closure防止では、まったく意味合いが違います。確かに、ヘパリン
の有効性は、昔のPOBAしかなかった時代に示されていますが、パナルジンとヘパリン
の併用について、POBA後のacute closure予防における有効性を示した文献はありま
すか?

************************************

○○です。

>アメリカ人のほうが血液は凝固しやすいと感じます。
僕も同じ事をずっと思っていました。だから日本でのGPUbVa inhibitorの治験は
思ったほど効果がなかったのではと考えています。それに日本人はきっちりステント
を拡げて中途半端な仕事はしないのでステント留置後はバファリン、パナルジンで十
分だと思います。パナルジンがacute closureを予防するかどうかですが、SATだけで
なくacute closureも予防する根拠がないこととPCI中のperforationやPCI
complicationでCABGに回ったときの止血トラブル(外科の先生はパナルジンを嫌いま
すよね)を考えると僕も投薬はPCI直後からで良いのではないかと思います。以前の
病院でもそうしていました。1998年に出たSTARS trial以降パナルジンはステント
thrombosisの予防に有効だとなっているのでPOBA後はバファリンだけで良いのではな
いかと思っています(プラビックスと違い時々副作用も出ることですし)。もし、僕
が知らないだけでPOBA後にも有効だという文献があればすみません。

************************************

○○です。

>僕も同じ事をずっと思っていました。だから日本でのGPUbVa inhibitorの治験は
思ったほど効果がなかったのではと考えています。

これも、まさしく、先生のおっしゃるとおりです。さっきのレス書いた後、このこと
を書かなかったのを悔やんでいたところです。

>POBA後はバファリンだけで良いのではないかと思っています

パナルジンが使用可能になったのは、いつのことか知りませんが、かなり古い薬です
よね。私事で恐縮ですが、僕は、82年の卒業で、83年、つまり、ステントなんか、
なーーーんにもなかった時代、○○病院でPCIの世界に入りましたが、当時は、
大きな解離が残存したり、結果としてのacute closureなんか日常茶飯事でした。
angioそのものも、現在の機種から比べれば何も見えないに等しかったです。ですか
ら、必ずacute closure予防のため、ヘパリン10000単位が翌日まで点滴されていまし
た(毎日、そんな中で、8Frシース2本を抜いては、用手圧迫でしたよね。○○先生
! ○○先生!)。アスピリンの投薬は、もちろん必須でしたが、パナルジンを使
え、と指示されたことは、自分の記憶のかぎりでは、一度もありません。

ちなみに、たまたま手元にある、TopolのTextbook of Interventional
Cardiology(4th Edition)を、ざっとみていますが、POBA後のacute closureについて
は、何にも、パナルジンについては、書いていません。stent後の投薬として、ISAR
とSTARSが引用されているだけです(p274)。やはり、stent後と、POBAというか(DCA
やrotaも含んだ)非stent後では、medicationは、明確に区別して考えるべきなんで
しょう。

************************************

○○です

我々の施設ではボスの考えでPOBA、Stentの区別なく
バッファリン、パナルジンを術前投与です
これは何度となくPOBAには不要ですと上申してもダメでした
ただ、昔やっていたヘパリン全例投与はやめてさせて頂きました
今はACSのみ術後ヘパリン投与です
Electiveでは術前投与のみで、SATはありません(ただしパナルジンが
内服できなかった症例では経験しています)

次の目標は○○先生の言われるようにPOBA、Stentの区別して
内服プロトコールを変更することです
それと抗生剤の予防投与も中止したいです

************************************

○○です。

○○先生、○○先生、○○先生、○○先生、早速のレスありがとうございます。

>この方の場合、シャント音を聴取されたとのことですので、多分、仮性動脈瘤かA-V
 fistulaでしょうね。ドップラーエコーをされていたらはっきりしたかも。

“すぐに押さえた方がいい”と上司からいわれ、エコーもせずにいわれるがまま30分

ど押さえていました。仮性動脈瘤の可能性もあるのですね。勉強になります。シャント
音が聞こえなくなった時点で鎮子で翌朝までベルト圧迫としたのですが、これでよかっ
たのでしょうか…?

>このプロトコールはいただけません。やはり、ゼオンメディカルの推奨どおりに患者
さんの血圧を測定した上で、その都度減圧プロトコールを決めましょう。(オーダーメ
ード医療?)特に、せっかく圧迫圧をモニターできる止血デバイスを使っておられるの
に、その後翌日まで、透析止血用のベルトで圧迫されるのは'とめた君'のメリット(TR 
bandでも同じです)が台無しになります。この辺は、○○先生のホームページの'TRA
の巻'に詳しく書いてありますので、是非ともご一読をお勧めします。
以前は、0mmHgにした後、翌朝はずすようにしていたのですが、現在は(なぜか)透析
ベルトになっています。全く先生のおっしゃるとおりだと思います。減圧に関しては人
手不足のため看護師さんにお願いしており、煩雑さを回避するために先のプロトコール
にしている次第です。本来ならば各個人に応じた血圧で減圧すべきなのでしょうが…
…。

>ヘパリンの必要性に関してですがPOBAやアテレクトミーの後にアンギオでの狭窄度が
35%以下でフローを抑制するようなDissectionがなければヘパリンは使わない方がよい
(使うと出血性の合併症が増えるだけ)というマルチセンターStudyがあります。ステ
ントにも同じ様なものがあり高圧拡張をして大きなDissectionがなければ使わなくて良
いというものがあります。どうやらPCI後にヘパリンを使っても血栓症を予防しないし
逆に出血の合併症が増えてしまうようです。

************************************

○○先生、御教授ありがとうございます。不勉強で恐縮です。お時間があるときで結構

すので、その文献名を教えていただけませんでしょうか。

************************************

○○先生のおっしゃるとおりだと思います。ウチも余程のことがなければ、PCI後、ヘ
パリンは使いません。きれいにステントで仕上がれば、AMI後でも一切使いません。
それに、パナルジンの前投与も影響していると思います。
>また、老婆心ながら申し添えますが、○○先生はSAT予防と書かれていますが、正確
に言えば、ステントは入っていませんから、単なるacute closureの予防ですよね。SAT
防止とacute closure防止では、まったく意味合いが違います。確かに、ヘパリンの有
効性は、昔のPOBAしかなかった時代に示されていますが、パナルジンとヘパリンの併用
について、POBA後のacute closure予防における有効性を示した文献はありますか?

恥ずかしながら、駆け出しの身であるとはいえ、今回の件があるまでEBMがどうなのか
という、医師としての基本を忘れていたと深く反省しております。また、言葉を正確に
理解して使ようにいたします。

パナルジンの前投薬についてですが、説明不足でした。この患者さんは糖尿病・高脂血
症・高血圧をリスクファクターに持ち、脳梗塞の既往症があるとのことで、紹介医から
当院へ御紹介いただいた時点ですでに慢性的に投与されておられました。

諸先生方から御指摘されたように、少なくともElective症例ではパナルジン・ヘパリン
は必要ないようですね。今回の件があってから、上司と話し合い、PCI後にはヘパリン
持続投与は行わないようにいたしました。

今回初めて、“聞くは一時の恥聞かぬは一生の恥”をモットーに、不勉強であるのも顧
みず質問させていただきました。

これからも稚拙な質問が多いかとは思いますが、皆様よろしく御指導のほど、よろしく
お願いいたします。

Heparin after percutaneous intervention (HAPI): a prospective multicenter
randomized trial of three heparin regimens after successful coronary
intervention.
J Am Coll Cardiol. 1999 Aug;34(2):461-7.
です。Multicenter Studyで内容的にも信用できるものと思っています。

************************************

○○です。

○○先生、有り難う御座います。
早速取り寄せて読んでみます。

************************************

○○です

遅レスですみません
うちはかなりの症例でハートレール使用しています
IR、ILの使用本数はかなりの本数ですが折れたことはありません
それなりに蛇行とかもありましたし・・・・

○○先生、IL、IRって左TRI専用ですか?
右TRIに形状を合わせてあると思うのですが・・・
右TRIにルーチンで使用しています

************************************

○○です。

○○先生、○○先生コメントありがとうございました。

TFAでIRを使った二例目の患者さんは、最初TRAで始めたのですが、鎖骨下あたり
の屈曲蛇行が強く、そのままTFAに変更したものです。フライングで出していたIRを
使ってみた次第。

ねじれに最も強いのはBright tipなんですか。今度、カテ選びの参考にさせてい
ただきます。

************************************

○○です。
IL,IRは右TRI用です。

************************************




第63集

************************************

○○です。
2月後半からTR Bandが安定供給できるとメーカーから返事をいただいているのですが
止血プロトコールに悩んでおります。試験的に使用したケースでは疼痛を訴えられた
方や空気を抜いたときに出血した方の報告がありました。○○病院の○○先生、う
まいプロトコールを教えていただけないでしょうか?

************************************

○○です

TRバンドの件は私も非常に気になります

ちなみにうちの例では
13cc 30min
11cc 120min
9cc  120minです
もし出血したら2cc追加でワンランク戻るです
巻く時は心持ゆるめに巻いて、静脈還流を妨げないように
気をつけています

これで、一応患者さんからの苦情もなく
止めた君より好評です

************************************

○○です。

○○先生、○○先生ご使用頂きありがとうございます。
○○先生、ご連絡が遅れまして申し訳ございません。

当院では平成14年9月から試験段階で60名ほど使い、12月から本格使用しており
ます。現在まで約200名の患者さんに使っております(診断・治療カテとも
に)。

今度の栃木でのJASIC関東甲信越地方会と6月の総会で詳しく発表する予定
ですが、60名までの試験段階でのデータがありますので、良かったら参考にして
下さい。
このデータは、もうすぐテルモ鰍ゥら配布されるパンフレットにも載せる予定で
す。

止血率は従来品よりも若干いいくらいですが、患者さんや看護婦さんの評判は
上々です。

なにか不明な点がありましたら、いつでも御連絡いただけたらと思います。

************************************

○○です。○○先生、○○先生、Res有難うございました。
○○先生のデータ‐でおおよそのプロトコールは理解できましたが、いくつか疑問点
がありますので教えてください。
(1)プロトコール通り一次止血できた症例と再出血や止血延長症例に差はありまし
たか(血圧、カテ後ACTなど)?
(2)巻き方によってしまり方もずいぶん違うような気がするので、患者ごとに初期
注入量や減圧プロトコールを変えても止血圧にばらつきが生じるのではないか?
(3)自然に空気が抜けて行くらしいので、ある程度減圧したら長時間(翌朝まで)
巻いておいても大丈夫なのではないか?
よろしくお願いします。

************************************

○○病院
○○先生Resありがとうございます。

>(1)プロトコール通り一次止血できた症例と再出血や止血延長症例に差はありまし
たか(血圧、カテ後ACTなど)?
?一次止血できた群と、二次止血を要した群に関しての詳細な検討については、
現在JASIC総会発表に向けて看護婦さんたちが解析中ですが、
傾向として、手首の横径・周長の小さい人、高齢女性、DMや腎不全などの合併症の
ある患者さんでは、一次止血できない傾向にあるようです。
血圧に関しては、減圧段階では差がないようです。
初期加圧を17ccとしているのは、全例同じプロトコールでできるように想定したも
のであり、17cc注入により約220〜240mmHgの圧がかかります。
従来の空気注入型の止血器では、220〜240mmHgの加圧では手首から末梢の循環障害が
多く、苦痛感・しびれ・冷感を訴えることが多かった為、変形固定板を使用し、
この初期加圧がしやすくなりました。

>(2)巻き方によってしまり方もずいぶん違うような気がするので、患者ごとに初期
注入量や減圧プロトコールを変えても止血圧にばらつきが生じるのではないか?
?従来の空気注入型の止血器では、装着ドクターの差は歴然でした。
この差をなくすために、変形固定板使用し装着時のばらつきをなくせるようにしてお
り、またダブルバルーンでの斜め圧迫を意識した構造にしています。
巻き方(装着ドクターでの差)は検討項目に入れてあります。当院ではカテに携わって
いる8人のドクターでの差は、とめ太君・ブリードセーフの時よりも改善されていると
思います(特にとめ太君ではその差が著しかったです)。
つまり、テクニックを要さない方向性(馬鹿ちょん止血デバイスを目指して)を考えて
おります。

>(3)自然に空気が抜けて行くらしいので、ある程度減圧したら長時間(翌朝まで)
巻いておいても大丈夫なのではないか?
?自然減圧はあるのですが、使用頻度の高い診断カテの場合、4時間でTR bandを離脱
できる患者さんが9割(当院の場合、月90人前後)います。一次止血できない場合、二
次止血へ変更しており、それでも止血できない場合はオーバーナイトとしています。
オーバーナイトしなければいけないケースは1〜2%であり、ここに基準をあわせて
全例長時間止血するのは、患者さんと看護婦さんの負担が気になります。
僕も、当院の看護婦さんも、テルモの職員も皆、TR band・とめ太君・ブリードセー
フと巻いて仕事をしてみたのですが、長時間はかなり辛く、気がかりでした。

以上参考になるかどうかは、わかりませんがお答えいたします。
詳しいデータは学会発表したいと思います(大雑把な答えですいません)。

宜しくお願い致します。

************************************

○○です

先日ハートレールがキンクした話をupしました。その後テルモの担当者が情報を持っ
てきましたので、ご紹介いたします。

1:ハートレールの対キンク性は、市場に出ているガイドカテでは中くらいの順位で
あったこと。
2:キンクしやすい件は承知していたようで、「12月製造分」からはシャフトの改
良を行っており、キンクしにくくなっていること。
3:当院在庫分は、改良前の製品であったこと。

1については、比較したカテで、ハートレールより下位のものはあまり聞いたことが
ない製品でした。事実上、よく使われているガイドカテの中では、折れやすかったと
考えたほうがよさそうです。改良後はずいぶん良くなっているようです。ちょっと安
心しました。

************************************

○○です。

実は左冠動脈用伊苅カテのlong tip版カテを
○○先生と共同で開発中です。

このカテの目的は、伊苅カテのバックアップを上げる点にあり、
伊苅カテの先端を、VLやEBUのようなlong tipに変更してあります。
従って、カテの基本コンセプトとしては
○○先生がボストンから出しておられるMLに同じと言えます。

ハートレールですので、
内腔に余裕があり、Rotaなどにも使いやすいと思います。
勿論、これまでに話題になったシャフトの弱さという問題は若干ありますが、
左の場合、それほど回転させる必要もありませんし、
右ほどにはトラブルの原因にはならないと思います。

サイズは3, 3.25, 3.5, 3.75, 4と作ってみましたが、
男は3.75、女は3.25で開始されるのが良いかと思います。

カテの操作の仕方ですが、
VLなどの扱いと基本的に同じです。
ワイヤーを使ってカテ先端を左のカスプに一旦落とし、
下から押し上げるようにしてエンゲージさせます。

カテの入れ易さという点では、
小さめの、例えば男は3.5で開始すると非常に簡単ですが、
ステントなどの挿入時に、カテが浮いてしまう症例に時に遭遇します。
カテを入れる際の難易度はやや上がりますが、
3.75で開始した方が安定した手技が可能かと思います。

興味のある方はお試しください。

************************************

○○です

○○先生、貴重な情報 ありがとうございます
ところで、そのカテは手に入るのでしょうか?
名前はもう付いてますか?
よろしくお願いします

************************************

○○です。

まだ発売はしておりませんが、
サンプルとして頼めば手に入るはずです。

名前は極(KIWAMI)です。
表向きは究極のバックアップと内腔を意味することになっておりますが、
本当は、私がやっている極真空手の極に由来しております。
このカテの開発に協力してもらっているテルモの方も
偶然に極真をやっておられ、2人の意見が完璧に一致し、この名に決まりました。
なお、サブネームは
modified Ikari catheter
です。

************************************

○○です。

○○先生 レスありがとうございます
さっそくテルモの担当者に聞いてみます
すばらしいネーミングですね

************************************

○○です

TR bandについてお聞きしたいのですが、比較した止血器具は具体的にどんなものだっ
たのでしょうか。

 当院ではアダプティ、ラディスポを使っています。
 手技が終わったら、術者の好みでどちらかを選び、装着します。
 止血部位の近位、遠位側で拍動が触知できる程度にベルトの張力を調整し、4Fなら
2時間、6Fなら4時間そのままにします。時間が来たら苦痛がない程度に緩め、午後
の症例では翌朝はずすという、単純なプロトコルです。価格もトメタよりはかなり安
いと思います。

 定量的な圧迫方法でないため、主観に頼るプロトコルでは初期の止血圧は血圧より
も若干低いかもしれません。○○先生が開発されてから、すでに3000例近く使用して
いますが、ずれたりして再出血することはあっても、止血にこまったことは殆どあり
ません。

 ただし、単純な故に、橈骨動脈の閉塞率を増やしてはいないかと危惧することはあ
ります。この点は多段階で緩めるのが有用なのかもしれません。○○先生、閉塞率は
いかがでしたか?

************************************

○○です

 止血器具のことで思い出しました。
 昨年末に○○市内であった症例検討会で、ある病院がTRAによる神経合併症を報
告されてました。

 記憶が不確かですが(○○先生覚えてないですか?)、ルーチンCAG、rt-TRAで、
手技終了後、ちびトメタで圧迫止血したようです。止血には問題なかったようですが、
その後より手掌のしびれ感が出現、一時軽快したものの、数週後にしびれ感が増強、
握力が低下し、現在は母指球の萎縮がみられる状態だそうです。当然整形外科にも相
談されており、合併症を食い止めるべくいろいろ手を尽くしたようでした。
 この方はもともと手根管症候群があり、ちびトメタによる尺側の圧迫が、神経障害
を増悪させたのかも、という考察でした。

 TRAで末梢神経障害が起こった報告はほとんどないと思います。ただこの症例のよ
うに、可能性がないとは言いきれませんね。ご注意下さい。

************************************

これはほぼRSDだと思います。うちの整形外科に手のプロ(阪神の投手を診てる
ような)がいるんですが、TRA/TRIから手根管の圧迫はまずない、とのことで、
うちの症例は手根管症候群に一致する神経伝達速度の低下がありましたがそれは
元からsubclinicalな手根管症候群があったと考えた方がいい、とのことでした。

RSDは反射性交感神経ジストロフィーで橈骨動脈の近傍には交感神経があってそ
こを傷害するために起こるそうです。麻酔科は交感神経ブロックのために橈骨動
脈をマーカーにするそうですから近傍にあるのは間違いないと思います。

で、治療法は。。。調べたんですが忘れちゃいました。RSDでインターネットで
調べるといろいろあったはずです。。。

************************************

○○です。

○○先生貴院における貴重なご意見ありがとうございます。

>TR bandについてお聞きしたいのですが、比較した止血器具は具体的にどんなものだ
ったのでしょうか。
 ?当院循環器科開設以来4年間で、Radialの止血器具はステプテイP(マジックバンド
併用)⇒とめ太君(大きいほう)⇒ブリードセーフ⇒TR bandと使用してきまし
た。
ステプテイPは先生のところでのアダプティ、ラディスポと同様なものだと思います。
ステプテイPは最初の100例位使用しましたが、橈骨動脈の閉塞例が3例あったこと
(マジックバンドの締めがきつかったのかもしれません)、患者さんの苦痛感が多かっ
たこと、ドクターコールが多かったこと(ずれによる再出血)などの理由でとめ太君へ
変更しました。
その後、とめ太君へ変更し、約3000例ほど使用。しかし、橈骨側の選択的なナナメ止め
での加圧は尺側圧迫回避では有効でしたが、この止め方がドクター間での差があり、
装着ドクター間での止血効果に明らかな差ができ、テクニックを有するものであったこ
と(尺側圧迫の原因ともなった)、減圧段階で看護婦さんが、減圧ゲージを取り付ける
ときに、ねじがしっかりとかみ合わず一気に空気が抜け大出血が多かったこと。
そこで、シンプルに巻けるブリードセーフへ変更(約800例使用)しましたが、尺側と
もに更なる圧迫となってしまい、患者さんの苦痛が増しました。
そこで、これらのデメリットを回避すべくTR band開発に至りました。

価格は2000円と高めですが、患者さんの苦痛感や看護婦さんの減圧時の負担軽減(当院
では橈骨での止血管理は、ほぼ看護婦さんに任せており、新人さんでも扱えるように客
観的でシンプルなプロトコールを目指しています)では、大きく貢献できていると思い
ます(カテ看ナースからの患者および看護婦アンケートより・・)。

TR bandは現在まで約200例くらい使用しておりますが、橈骨動脈の閉塞はありませ
ん。

最後に○○先生に質問ですが、
 @アダプティ、ラディスポは離脱までの時間が、午後の症例ですとオーバーナイトで
すね。長時間装着による患者さんの苦痛感はいかがですか?
 (当院ドクターと看護婦さんにそれぞれ装着してもらいましたが、ステプテイP・ブ
リードセーフ・とめ太君・TR bandの順で苦痛感がありました)
 A橈骨動脈の閉塞率はどうでしょうか?
 B再出血時の場合は、ベルトの張力を増すわけですが、その後オーバーナイトなので
しょうか?(この対応はドクターが締めなおすのですか?)

是非一度サンプルで、再造影時にTR bandで患者さんの意見を聞いていただけた
らと思っております。

まだまだTR bandは改良の必要が多いものだとは思います。
是非ともご意見頂ければ幸いです。

************************************

○○です

ということは、止血デバイスを問わず、圧迫どころが悪ければ発生するかも、という
ことでしょうか? 
RSDは急性期にステロイド局注を行うのがよい と聞いたことがあります。

************************************

○○です。

先ほどの○○先生のメールで、
>ステントなどの挿入時に、カテが浮いてしまう症例に時に遭遇します。

とありましたが、その原因について私見を述べます。公的な場では、初めての発言内
容です。

long-tipカテは、対側大動脈壁から冠動脈入口部を直線で結びますね。当然、その直
線を含むある矢状断面を想定できます。MLでも、Ikari-Lでも、(おそらくキワミで
も)腕頭動脈-上行大動脈を補正する角度が入っているカテの場合、支えになって、
対側大動脈壁に接する直線部分は、これと、同一の矢状断面内にあります。だから、
Judkinsほどでないにしても、カテが浮きやすい(外れやすい)わけです。

一方、昨年11月28日に書いたように、LAO viewで操作して、左冠動脈入口の下から、
clockwiseに押し付けて挿入したEBU(XB)は、最後に多少counter clock-wiseにまわ
しても、(理由はわかりませんが)対側では、Valsalva洞を這うように、αループを
描いて挿入されます。特に、一般的にJLでバックアップ不足に難渋する横位心の場合
は、EBU/XBをαループを描いて挿入することは、より難しいですが、一旦入ってしま
えば、磐石のαループがカテをささえます。αループですが、大雑把に言えば、支え
となる部分は、対側大動脈壁から冠動脈入口部を結んだ直線を含む矢状断面とは、
ちょど垂直な平面となっています。ですから、カテが浮く現象はずっと起こりにくく
なるわけです。このαループは、○○先生が、5Fr JLで作るのととてもよく似た形
状をしています。

僕が最近、MLやIkari-Lではなく、EBU/XBを汎用するのは、いままでのシャフト内径
の問題のほかに、このことも一因になっています。得られるバックアップの強さは、
かなり違う印象があります。また、経験を重ねて、少なくとも、EBUを入れるのにそ
んなに不自由は感じなくなっています。どうしても、補正角入りのカテがほしくなる
のは、ひどいarteria lusoriaくらいではないでしょうか?

皆様のご意見をお待ちしております。

************************************

○○です

○○先生、具体的なコメントありがとうございました。
当院も、最初はステップティPでした。しかし、
 1)圧迫がコントロールしにくいため、どうしても締め過ぎるのか、苦痛が多い
 2)再出血時は圧迫しにくい
 3)循環障害で手が腫れる
 4)なんといっても、半数以上の症例で、ステップティのテープ部位に皮膚炎や水
泡ができてしまう。
という問題から、アダプティ、ラディスポの開発に至った次第です。このあたりは、
○○先生の方が詳しいです。

> 最後に○○先生に質問ですが、
>  アダプティ、ラディスポは離脱までの時間が、午後の症例ですとオーバーナイトで
> すね。長時間装着による患者さんの苦痛感はいかがですか?
6Fでは4時間後に緩和します。ここがポイントですが、かなり緩めにしますので、
苦痛は感じないようです(私も一晩つけてみました)。ステップティは痛かったです。

>  橈骨動脈の閉塞率はどうでしょうか?
初期の頃は5F、6Fが多かったのと、圧迫の加減がわからず強めにしてたせいか、
数%はあったと思います。最近は4Fが多いせいか、ルーチンCAGでは1%もないと思
います。PCIは6Fですが、ここ1年の症例では1%程度です。今度正確にカウントし
てみます。

>  再出血時の場合は、ベルトの張力を増すわけですが、その後オーバーナイトなので
> しょうか?(この対応はドクターが締めなおすのですか?)
再出血の状況によりますが、ドクターが締め直して2〜3時間ほど様子を見ます。その
後再度緩めて、出血がなければ翌朝まで軽く固定しておきます。

 なお、再出血はどうもパナルジン投与例が多い傾向でした。また、手首の細い患者
さんでは、手首の背側にガーゼをあてて、その上から固定すると、苦痛も少ないよう
です。

************************************

○○です。

○○先生の御意見へのRESに成り切れていないのですが、お許し下さい。

私はJL派なのですが、私の考えを述べさせてください。

通常のengageの仕方ではstemt挿入時にJLは浮いてしまい、カテ自体の堅さによって
バックアップを得ることがメインではないかと思います。
しかも、カテ先は上を向き、決してLADに対して同軸上には成っていません。

普通の体型の方へ、LADのPCIでJL3.5を使用し、そのまま少しclock wiseに回して押
しつけていくことで自然と(?)有る程度大動脈壁に押しつけられる形=α like
のloopができると思います。
cranial viewではαに見えますが、これでは完全なαではないと私は考えています。
(私は勝手にプチαと呼んでいるのですが...)
この形は大動脈壁にカテが押しつけられる事によって有る程度のバックアップが得ら
れます。
ただ、このプチαだと、カテ先端は水平面を向きます。normal engageよりは増しな
のですが、LADに対してまだ完全なcoaxialでは有りません。

JL4.0STでこれをやると、さらに大きなαをかけます(これは柔らかいカテだとコン
トロールが可能だと思います)。より大動脈壁長い距離で押しつけられ、カテが浮く
ことを防げます。
しかも、前〜下方向にカテ先が向くのでLAD=前下行枝に対してcoaxialにカテやデバ
イスが向くため力が伝わりやすく、少ない力でも効率よくwireやballoonが進んでい
くのだと思っています。
deep engageもさらにcoaxialにカテを保つために役立つと思います。

おそらく、αとプチαの中間で、思いっきり斜めにαを浅く描いた形が美しいのかなぁ
と思っているのですが、...文章での説明が難しいです...すみません。
たぶん、○○先生の「EBU/XBをαループを描いて挿入すること」に近い形でJLを突っ
込む形なのではないかと、無い頭で想像しています。

以前にも書き込みましたが、症例の少ない○○の片田舎にいる為に、沢山の特殊カー
ブで自分に合った物を探すよりも、普通のJLで自分に合った形を作ってengageする練
習をするほうが有効であったので、私はジャドキンス派なのだと思っています。

カテーテル自体のバックアップはもちろん必要ですが、それ以上にcoaxialに入るこ
との方がとても大切な要素だと思っています。
少ない力でも効率よく伝えることで5FrでもいろいろなPCIも可能なのかもしれないと
思って、「5Frの日々」を過ごしております。
私の、模型を使ったつまらない実験では、5Frのαと6Frのαでは、バックアップの力
は5Frが当然弱いのですが、balloonの進む距離は余り変わらない様な結果になりまし
た。

○○先生の様に上手く説明できないので、許してください。

私が考える通常のengageと、プチα、αとの模型の写真を添付します。
(先日、インタベ東北地方会でちょっと発表しましたが、もう少しまとめて、またど
こかで発表したいと思っています)

御意見をお願いいたします。

normal
spider
プチα
プチαのCranial
α


************************************

○○です

みなさんに教えていただきたい事があります
もし、ご経験のある先生がおられましたら、是非ともお願いします

今日、外来に血管ベーチェット病を診断された患者さんが
狭心症疑いにて紹介されてきました。
症状は典型的ですが、運動負荷心電図はASOのため施行できません
ASOは8年前に手術したのですが、術直後より閉塞をきたし、
再手術も行ったようですが、これもまた閉塞してしまったようです
このような患者さんにCAG, PCIってしていいんでしょうか?
CAGはまだましとして、やはり穿刺が刺激になる可能性も
あると思われますし、ましてPCIでACなんてことになったら
なにしてることやらって感じなので
今は、運動負荷心筋シンチにて、虚血の証明をまず
おこなってから、次の手段を考える予定です
みなさまのご意見をおまちしております

************************************

○○です。

○○先生、先週末は、たいへんお世話になりました。ありがとうございました。

血管ベーチェットですが、2例みた記憶がありますが、そのとき、文献を調べた範囲
では、器質的狭窄のほかに、冠動脈瘤の合併が多いようで、CAGは必須と思います。
自分がみた2例中、1例では大きな冠動脈瘤があり、CABGになりました。もちろん、先
に、核医学検査で虚血の有無を検討するのは、ACSでない限り、とてもまともなやり
方と思います。

ベーチェット以外にも、SLEやRAなど、いわゆる血管炎を合併した冠動脈病変にPCIを
した経験はそれなりにありますが、印象を一口で言えば、“脆い”に尽きるかと思い
ます。経験則だけですが、小さ目のballoonで広げ、ステントをそっと低圧でおき、
中だけshort balloonで後拡張して、とにかく両端に傷をつけずに帰ってくる、と
いった感じでしょうか?

************************************

○○です

○○先生 さっそくのレスありがとうございます
こちらこそ先週末は大変勉強になりました ありがとうございました

なるべくならPCIやバイパスなどの血管への侵襲は少なくする事が
必要ではと考えています
ちなみに先生の症例のCABGは術後問題なく
経過されておられるんでしょうか?
うちの症例はASOの大きな血管のオペですら術後閉塞
(外科医の技術的な問題はあるとしても・・・)をきたしておりますので
そのあたりも心配しております

************************************

○○です。

私も、記憶が不確かですが、この方の右手首は、左手首に比べて太く、手首の後屈に
障害がある「なんとか wrist」(すみません、名前が思い出せません。)という整形外
科的疾患がbaseにあったと思います。確か神経の圧迫は、正中神経が責任病変だった
と思いますが・・・。異様に太い手首には、Allen testに加え、手首の屈伸テストも
行った方が良いとの発表でした。
RSDについては、正中神経の支配領域に一致した神経伝導速度の低下と、筋萎縮があ
るということで、可能性は低いと考えたというコメントがあったように記憶します。
発表のスライドを観ていたら、「こんな太い手首は、敬遠するよなあ」という寸胴タ
イプの手首でした。

TR bandについては、当院でも、試作品の段階から使用させていただいていたのです
が、確かに、痛み、圧迫感がなく手首の運動もスムーズです。しかしながら、穿刺部
位を手首のしわから2横指以上proximalにしないと、出血のリスクがあります。とめ
た君や、bleed safeになれている施設では、移行がスムーズだと思いますが、adapty
派で、橈骨動脈の一番触れているところを穿刺している施設では、注意が必要だと思
います。セットになっているTerumo穿刺針の切れが悪いのが、改善の余地があると思
います。

************************************

○○です。

○○先生の添付ファイルを拝見しましたが、cranial viewがとてもピンときます。
EBU/XBをclockwiseにひねって押し込んだ形は、JLによるαループから、JL先端の短
いsegmentをとったものにそっくりだと思います。EBU/XBだと、これがない分、LADに
対して、同軸性は多少劣るかもしれませんが、その分、LCxへの同軸性は優れるとい
えないでしょうか? また、先端のsegmentの曲がりがない分、力がそがれることは
少ないと思います。

αを斜めに美しく書く件ですが、垂直心では、EBU/XBは、左冠動脈入口部の下へ誘導
した後、ワイヤを抜くだけで簡単に入ってしまいます。back-upは強いですが、αに
はなりません。横位心になるにつれて、昨日も書いたように、入れるのは難しいです
が、αはきれいに書けるようになります。どうも、“clockwiseにひねって押す”、
という操作がαの形成に関係するようです。ただ、極端な横位心では、どちらかとい
うと、よりJLのプチαに近づくようです。だからといって、back-upが弱くなる印象
は無く、これは、JLとEBU/XBの差異なんだと感じています。

○○先生の御質問、
>ちなみに先生の症例のCABGは術後問題なく経過されておられるんでしょうか?

ですが、鮮烈に記憶に残る症例とはいえ、私の○○時代、もう15年以上も昔に経験し
たものです。u-APで他院から紹介、CAGで巨大冠動脈瘤とそれに隣接した狭窄が確か
LAD近位部にあり、CABGになりました。自分の患者さんではないので、長期予後は知
りませんが、退院前のカテでは、グラフトはOKだったと思います(というか、再PCI
で難渋した記憶はありません)。うまくつないでくれるかどうかは、やはり、外科医
の腕次第なんでしょう。

************************************

○○です。

ちょうど、「Transradialに使用する特殊なディバイス 」という原稿を書かなけ
ればならなかったので、止血器の一つとしてTR bandの話を興味をもって勉強さ
せていただきました。(テルモの人は当院には全く来ないので現物を見るチャン
スがありません)

止血器の歴史・流れは、
1,1992年にキムニー先生が始められたころには、ガーゼをまるめて穿刺部にあ
て、テープでぐるぐる巻きにしていた。
2,TRIを日本に導入しようとされた齋藤滋先生は、静脈穿刺や透析の圧迫止血用
に作られたStepty-P(ニチバン)を使用し、比較的簡単に止血できることを示し
た。(1995年ごろ)
3,キムニー先生やルーバー先生、バルボー先生などのTRIライブでも簡便な Stepty-P
の紹介はされていたが、輸出の関係で海外では自由に使用できなかった。
4,日本でも少しずつTRIが施行されるようになったときに、 Stepty-P派と独自
の圧迫止血法派(多くは沈紙と粘着テープ、シュナイダーベルトを使用) が生
まれた。

その時私は Stepty-Pとシュナイダーベルト の併用派でしたが、 Stepty-Pの粘
着テープによる皮膚合併症が嫌いだったので、ニチバンの技術者を呼んで
「粘着テープが付いていない Stepty-Pを開発してくれ」と 頼んだのですが、粘
着テープ屋のニチバンに「粘着テープが付いていなければニチバンの製品ではな
い」と言われてしまいました。

そこで、<中略>

話が逸れてしまいましたが、皮膚合併症、患者の痛み、橈骨動脈閉塞を回避する
目的で、とめ太系とアダプティ系の止血器が日本で生まれました。

ですから、現在の止血器の流派は3つあるように思えます。
1, 粘着テープ派( Stepty-Pや独自の止血で粘着テープで圧迫力をつくる)
2, 伸縮ベルト派 ( AdaptyやRadispo で、伸縮ベルトで圧迫力をつくり、
シンプルに緩めに止血する)
3, エアー注入派(とめ太、Bleed safe、TR bandなどで、空気圧により圧迫し、
段階的に緩める)

特に、伸縮ベルト派とエアー注入派はそれぞれの使用に慣れてしまうと、どちら
もほとんど問題なく止血できるようになるので、自分の流派からなかなか抜け出
せないみたいです。(私自身もそうです)

************************************

○○です。

当院で経験した症例としては、PCIではありませんが、30代女性の血管ベーチェエト
の患者さんでの心カテ、PTAの例があります。
心カテ及び右鎖骨下動脈のPTAを施行した例です。穿刺は通常に(femoralからです
が)行い、特にトラブルはありませんでした。(PTA時は7Frシース挿入)。冠動脈病
変は幸いありませんでした。
しかし、PTAに関しては完全閉塞でしたが、PTA自体は成功するものの、抗血小板薬
やワーファリンを投与していても、いつのまにか再閉塞を来たし2回再閉塞となった時
点以
降、PTA追加は行っておりません。できあがりはきれいに広がるのでステント挿入は
していません。現在も外来通院中ですが、多少の冷感のみですので(もちろん右上
肢での血圧測定は不可能です)経過観察としています。やはり血管炎の患者さんは
血栓閉塞しやすいのでしょうか。昨日もRCAにPCI行ったPSSの患者さんがacute
occulusion起こしましたし・・。

************************************

○○です。
はじめてご相談させていただきます。
当院では、昨年のPCIが約300例、そのうちの約1割がCTOです。
以前古いシネ装置を使っていた時代に放射線皮膚炎でトラブったケースがありまし
て、うちの教授はCTO開けの透視時間をかなり気にされております。
そこで、みなさんの施設でのCTOあけの中止(断念)基準について教えていただけれ
ばと思います。
いろいろなご意見をいただければ幸いです。よろしくお願いします。

************************************

○○です。

2月19日に○○にお邪魔してきました。風邪→学会(さらに風
邪)→当直(さらに咳悪化)の状態でリンコデドーピング状態でした。
○○先生・○○先生をはじめまして、スタッフの皆さん、お忙しい中ありがとうござ
いました。

当日、向かいのWホテルの部屋で、救急車のサイレン音で目覚めたのですが、朝行っ
てみたら挿管されている患者さんがカテラボに運ばれてる最中で、緊急カテが始まっ
てました。造影してみたら3VDぶっつりtotalです。この緊急PCIを皮切りに#6 just
DCAを含む、5例 & 一例目の再造影(血圧低下+心電図変化にて)を見せていただ
きました。最終のPCIを待たずにtime up(T_T; 田舎に帰ることなりました。

以前、○○で、○○先生にも「一度、○○でIVUSをみせてもらえば」のお言葉も
あり、IVUS胎児にもかかわらず、お邪魔いたしましたが、まさに、これが本当にIVUS
を使うということなんだ、と感じ、同時に今までの自分が、ただIVUSを入れていたと
いうことを思い知りました。

オペレーターでありながら、カテラボ内のどんな出来事も見逃さず、しかも、後輩の
先生へ指導されている○○先生のお姿は圧巻でした。
ドクター・コメディカルの皆さんも比較的若くて、フットワークが軽く、勢いのある
カテラボであったと思います。

○○のカテラボも活気がありましたが、○○も活気があり、双方を思い比べてみ
ると、なかなか味わい深いものがありました。(立山と天狗舞のような)

○○の皆さん、
残念ながら、電車の時間もあり、まだ手技途中に失礼させていただき、最後にちゃん
とご挨拶もできずに申し訳ありませんでした。
また、お邪魔することもあるかと思いますが、その時は宜しくお願いいたします。

************************************

○○です。

CTOのend-pointは、難しいですね。ちなみに、4月のTOPICでは、When do you
give-up PCI for CTO? というdebateをやります。演者は、考えうる最高のお二人で
す。どうぞ、お聞きのがしのないよう、お願いいたします。

さて、左室機能が正常とした場合、生命予後にもっとも関係するLADのCTOは、テクニ
カルには、いろいろなtipsがつかえ(例えば、パラレルワイヤが最も容易で、かつ最
も有効ですし、側枝もおおく、side-branch techniqueも頻用できます)、屈曲もmid
LADのクランク以外にはそんなにありません。ですから、LADは、それなりに頑張って
も何とか通したいと思います。LCxやRCAは、途中で予期せぬ屈曲があるので、コン
ケストの曲率を変えてパラレルワイヤを反復し、屈曲を乗り越えるあたりは、大変
technicalには面白いのですが、やはり時間がかかり、LADほどの成功率はなく、また
生命予後に及ぼす影響も少ないのではないでしょうか? ですから、患者さんの状況
におうじて、あらかじめ、造影剤・手技時間の上限を設定し、そこにきたらやめるべ
きでしょう。最近は、手技時間3時間くらいを上限にしています。

テクニカルには、コンケストでしかあかない症例は、いかに早くコンケストを持ち出
すか、ということでしょう。以前も書きましたが、自分の中には、いきなりコンケス
トで始めてよいCTOの病型が明らかに存在し、そうしたアプローチをとると、時間も
かからず、成功率も高いです。そうでなく、ミラクル3で探るとこから始める場合
は、すばやくコンケストパラレルに切り替えることが大切です。ただ、いかに末梢の
collateralをいためないコンケストパラレルといっても、2本がsub-intimal spaceに
同時にはいると、collateralが障害されてくる印象があります。そうなる前に、何ら
かの形で勝負に行くべきでしょう。

今日は、unknownのLCx11 CTO(30mm位)をやりました。ミラクル3は、入口があって
途中まで入りましたが、そこでsub-intimal space。パラレルでおいたコンケスト
は、近づいたもののsub-intimal space。ミラクル3を抜き、コンケストHCで、より
近づいたもののまたsub-intimal space(この間、曲率はすべて意図的に変えていま
す)。さらにコンケストを抜き、コンケスト12grにしたところ、左房枝をゲットでき
ました。ここで元気を出して、コンケストHCを抜き、もう一本コンケスト12grをい
れ、本幹をさぐったものの、それまでと別のsub-intimal spaceにはいると、明らか
にcollateralがいたんできたので、あきらめて、左房枝方向にside-banch technique
を用いたところ、crackleがはいり、本幹をゲットできました。

テクニカルには、sub-intimal spaceにコンケスト2本を突き刺さざるを得なくなれ
ば、断念、ということでしょうか?

************************************

○○です

○○先生レスありがとうございます
やはり、閉塞しやすんでしょうね・・・
ステロイドもしくは免疫抑制剤の予防投与は有効なんでしょうか?
また、入院してCAGしたら報告させて頂きます

************************************

○○です

当科の○○は、私がCTOをやるごとに(大変失礼で申し訳ございませんが)貴院の放
射線障害の皮膚炎の事件をだします。
「○○知ってる?」「何ですか」「有名な事件よ、○○でね...(この後5分間説明)
世間には色々な人がいるからねぇ。知ってた?」「前に先生から聞きました」「そう
か。気を付けてね。」
これが何度も繰り返されました。
遠回しに「CTOの適応はどうか?」と、CTOをやること自体に難色を示しているような
感じです。

私は、コンクエストを出してパラレルワイヤーで探してもダメで、もう技と道具が無
くなって、開始してから1時間か、造影剤が300mlが目安でやはり断念しています。
5Frでも6Frでも7Frでも造影剤300mlで中止しています。
これは、○○に来たからという事ではなく、以前からそうしています。

○○先生にご質問させてください。
貴院のCTOへtryする基準を教えていただけないでしょうか?

当院は、本年度PCIは300弱ですが、CTOは20件程度です。
多くのCTOは放置になっています。もしくはCABGにまわります(これはうまくつなが
りさえすれば悪いことだとは思っていませんが)。
ちなみに、PCIの40 %はAMIです。
多くの虚血は放置です。あ、いえ、medicationです。

シンチ、負荷心電図、症状、良好な側副血行路、その他、どの程度をクリアすると
「CTOをやりましょう」と、納得させられるのでしょう?
御教示下さい。お願いいたします。

************************************

*私の考えている基準は、
@その病変をあけることが技術的に可能であること
Aそれをあけることで患者さんに十分ベネフィットがあることを基準にしています。
具体的には、閉塞期間、閉塞長、とっかかりの有無、患者さんの年齢、腎機能、その
他のバックグランドを総合的に考慮して判断しています。実際のところ、教授以外の
スタッフは臨床に理解があり、こうした判断がカンファで曲げられることは余りあり
ません。

インターベンションをやっている人なら、CTOを開けた人の長期予後がいいことは実
感として明らかにあると思うのですが、これをデータとして示して行くことがやはり
必要なのだと思います。
もともとCTOがあってコラテソースが詰まってMIになった人がいかにシビアであるか
を考えれば、開けられるCTOを開けておいたほうがいいはずですし、さらには将来CTO
になりそうな狭窄を広げておいたほうがいいのは自明の理のはずなのですが、反論す
る人を納得させられないようなら、自分の実力がまだまだ足りないのだと考え、日々
精進しております。
今回思い切って相談させていただいたことで、
同じような苦労をされている先生がいることがわかったことと、国公立で同じくらい
の症例をこなしてる先生がいるということがわかり、励みになりました。うちは教授
にも誰にも納得してもらえるような形で、まだまだ症例数を伸ばして行きたいと考え
ています。おたがいがんばりましょう。どうもありがとうございました。

************************************

非常に遅レスで、すいません。
○○です。

○○先生、○○先生、私もこの発表を聞いていました。

正中神経の分枝である前骨間神経(純粋な運動神経)の障害、と言われてました。
前骨間神経は前腕(わりと近位部?)で正中神経本幹から分岐して橈骨よりを走って
いるようです。

「なんとか wrist」は、SLAC wrist と言っていたと思います。
手根関節の可動域制限のことで、これが base にあったため、圧迫で? 前骨間神経
が障害されたようだとのことで、TRAの前には、「ねこまねき」で可動域のチェック
をしましょうとのことでした。

当院の整形の先生に聞いたら、SLAC wrist は最近いわれてきた概念なので、本には
あまり載ってないよ、といわれましたが、、、。
< scapho-lunate-advanced collopse >

とりあえず、わかってることのみ書かせていただきました。
亀レス、すいませんでした。

************************************

○○です。
本日は諸先生方にPCIの合併症についてお聞きしたいのですが。
67才の男性で2年前に視床出血(右片麻痺)の既往があります(Hypertension は
ありません)。今回はLAD(#6-7)に対して左からTRIを施行し、STENTを2本入
れました(tightなlesionで手技時間は約70分でした)。ヘパリンは術前に5000
単位投与し、術後は使っていません。アスピリンは長期内服しており、チクロピ
ジンは術後より開始する予定でした。PCI後は特に問題は無く帰室後も変わりは
ありませんでしたが、3時間後くらいより傾眠となりその後昏睡に至りました。
brainCTを施行したところ前回の出血部と同じところに広範囲な出血を認めまし
た。このケースでのPCIの影響はどの程度であったと考えられるのでしょうか?

************************************

○○です。

。ヘパリンは術前に5000
> 単位投与し、術後は使っていません。アスピリンは長期内服しており、チクロピ
> ジンは術後より開始する予定でした。PCI後は特に問題は無く帰室後も変わりは
> ありませんでしたが、3時間後くらいより傾眠となりその後昏睡に至りました。

アスピリンは長期内服中なので、PCIの影響とは、実質的にはへパリン5000単
位のみの影響という事になるのでしょうね。
ステント時の5000単位のみなら、今のPCIでは最低レベルの量だと思いますが、
本当にこれでも影響が出るものなのか私も興味があります。

************************************

○○です。
書き忘れたのですが、この方は6ヶ月前にもPCI(RCA)を施行しています。もち
ろんその後は問題はありませんでした。

************************************

○○です

 この患者さんは、高血圧の既往がないのに、視床出血を起こしていたのでしょうか?
 AVMなど、もともと脳血管に異常を持っていたか、何らかの凝固系の異常などの可
能性は考えられないでしょうか。
 PCIと無理やり結びつけるなら、カテ操作時にGWが左のICA-MCAに迷入して、穿通枝
を傷つけた場合くらいしか思いつきませんが。といっても、左TRAでCCA-ICAというの
は無理がありますね。
 出血性梗塞にしては時間が早過ぎるような気がします。

************************************


 
第64集

************************************

○○です

昨日,平成14年度の治療成績をまとめていました
私が担当した急性心筋梗塞患者の死亡率は25%になってしまいました・・・
死亡した患者の「平均年齢」は「85歳」なんですが・・・

話は全く変わりますが,
心臓血管研究所のホームページを見ておりましたところ,
「カテ室実績」の内訳で,POBA・STENT・DCAなどと並んで
「BSDB」という項目がありました
「BSDB-STENT」「PTCRA-BSDB」という項目もあり,
ステントやロータとコンビネーションで治療することもあるようです

どのような治療法なのでしょうか?
ご教授くださいますよう何卒よろしくお願い申し上げます

************************************

○○です。

他人ですが。。。
多分 barath sergical dilation catheterでcutting balloonのことでしょう。
昔はそう言ってました。

************************************

○○です

昨日、兵庫ライブを行いました
兵庫県下の先生方だけの集まりでしたので、宣伝はしませんでした
兵庫医大のカテ室と姫路循環器病センターの2元中継で
もちろん、うちは全例IVUS Guide TRIでした
○○病院の○○先生、私、それにFemoralistの先生2名
で、計4例でしたが楽しくライブができました

そろそろ来年はオープンにしていこうと思っております
私の一存だけでは決まりませんが・・・ その際は
よろしくお願いいたします

************************************

○○です。

大変ご無沙汰いたしております。

先日、○○先生にお越し頂きCTO2例行っていただきました。
”お前のところはCTOかかえこんでるなぁ”とお思いの方もいらっしゃるかと思いま
すが、実はまだほかにもいらっしゃるんですよ。
本日はそのお礼を兼ねて御報告をさせていただきます。
○○先生、お断りも無くこのような報告をさせていただいてお許しください。

Case1
82y.o. Female Angina pectoris
coronary risk factor: HT, HL
CTO of RCA#1
これはConquestHCで見事開通していただきました。

Pre
Post


Case2
56y.o. Male OMI
coronary risk factor: HT, smoking
LAD#6 AMIでPCI
今回CTO of RCA#1
これはprox. totalの始まりからコルクスクリュー状の新生血管が出来ており
最終的にはこれをshort cutするコースで攻められました。
かなりおしいところまで行ったのですが、残念ながらfailureでした。
revengeしていただけるのならまたの機会にお願い致します。



著名な先生方にお越しいただいた際にはいつも技を盗もうと思っているのですが
今回もなかなかそう簡単には盗めませんでした。

○○先生、また、その他の先生方もし機会がございませたら是非○○まで足を伸ばして
御指導お願いいたします。

************************************

○○です。

御相談したい症例があります。

79y.o. Female Angina pectoris
risk factor: HT
LCx#13:90% denovo lesion
です。

灌流域はさほど広くなく重症のCADではないのですが、いざPCIするとなるとstrategy
に悩みます。
理想は2 wireでsequential POBAのみで終了できればいいなぁ、と個人的には思って
います。
しかし、stentを入れるとしたらどうやったらいいのでしょうか。
少し御相談するのに気が引けたのですが、悩んだので御相談させていただきます。

もう一点、かねがね疑問に思っていたことなのですが、branch protectで2 wireして
いる際にCBってかけてもよいのでしょうか。CBに対しbady wireという形になるので
bradeでwireを傷つける可能性がありそうな気がするのですけれども許される手技な
のでしょうか。

皆様宜しくお願い致します。



************************************

○○です。

IVUS経験豊富な方(IVUS小学校〜中学以上)の方に質問です。

当然、#13にIVUSを入れて血管径を見てからバルーンやステントサイズを決
めるのだとは思いますが、”不幸か県”では、”#13は#14と同じ径があ
る”ものだと信じて(もちろんIVUSなしで)サイズを決めます。

こんな決め方は乱暴でしょうか? (どのくらいの確率で当たっているものなの
でしょうか )

それともう一つ、この1枚の写真から見ると、LAD近位部は大丈夫かな?と思っ
てしまうのですが、他のビューからはどうでした?

************************************

○○です。

○○病院では、Up Date Cardiologyとして、テーマを絞って講演会を行ってい
ます。
今回は4月19日 15時より ○○先生にお願いして、"IVUS and Logical PCI -A
to Z"のタイトルで講演会を予定しました。
 

15:00-16:00 第一部:IVUS幼稚園 IVUSの有用性と基本的な画像の見方
16:00-16:30 幼稚園児の質問時間

16:30-17:30 第二部:IVUS小学校 IVUSとアンギオの理解
17:30-18:00 小学生の質問時間

懇親会しながら、
第三部:IVUS大人の夜の時間 症例検討会
IVUS and Optimal Stenting, DCA, CTO, complication etc...

を予定しています。
聴講ご希望の方は、すみだまで連絡いただければ幸いに存じます。

(Tra−netの行事ではありません。どこのバックアップも入ってません。
したがって、申し訳ないのですが、自費になります)

************************************

○○です。

IVUSを見ててアンギオで血管径を予想する際には、
大きな側枝がなければその間の血管径はあまり変わらない、
血管径はその支配領域に非常によく比例する、
と考えています。
つまりこの症例では、大きな#11から大きな#14PL-1が分枝して、その直後の#13
に狭窄、#13が中くらいの#14PL-2と小さな#13distalに分かれている、とします。
←番号のつけ方は異論があるかもしれませんが。。。
で#11と#14PL-1の血管径は0.5mm以上の差があると思います。#11distalも
#11proximalと基本的には同程度の血管サイズがあり#14PL2+#13distのareaは大
きくはありませんが全く無視できるほどでもないため#14PL1はやや小さいと予想
します。さらに#14PL2と狭窄部は血管径が違うと思います。狭窄部は#14PL2+#13dist
なので#14PL2よりやや血管径が大きいでしょう。狭窄部と#14PL1は支配領域の大
きさから#14PL1の方が大きいと考えます。

この症例の最初の○○先生の質問は#13distの分枝部の狭窄も拡張する?ってこ
とでしたっけ?#13distの分枝部は他の部分がMIでこの部分の重要度がかなり高
いと思われる(まずないと思いますが)場合以外はほっときます。#13distは閉
塞でもいいと思います。この病変だったら14PL1とPL2にwireを入れて狭窄部の血
管径があるならcutting、ないならバルーン、という気がします。

> それともう一つ、この1枚の写真から見ると、LAD近位部は大丈夫かな?と思っ
> てしまうのですが、他のビューからはどうでした?
そうですね、かなり気になりますね。



************************************

○○です。

cutting balloonのsideにwireを入れるのは大丈夫だったと思いますが。。。

************************************

○○です

レスが遅くなってすみません
やはり、○○先生のご意見に賛成です
この病変には極力ステントなしでいきたいです
でしたら少々細くても2.5mmはありそうですし、
Cuttingがいいと思います もし最悪、解離とかでステントが必要に
なったらSシリーズでしょうか うちではsmall stentはs660が
いい成績でした

************************************

○○です。

皆様、ありがとうございます。
昨日は当直をしていましたためご返事できませんでした。

first choice CBでやってみます。
もし、ステント置くとしたら#13 dist.はjail、#14PL-1はjailしないギリギリに入れ
ればよいのでしょうか。

#6take offにつきましては確かに狭窄はあるのですが、50%で少なくとも虚血は引き
起こしていないと考えています。確かに、要注意ですが。

ありがとうございました。

○○先生、”不幸か県”、最高ですね。

************************************

○○です。
本日は御相談させていただきたい症例があります。

65才の男性で急性心不にて入院となりました。CAGではLADの#7に75%の狭窄を
認めました。太いD1とのほぼ分岐部ですのでprotect が必要だと思いますが、
本幹が狭窄部から急角度で下行(うまく表現できないのですが)しています。
radial forceのしっかりしたSTENTを入れた場合、restenosisの確率は高いよう
な気がするのですがどのように処理すればいいのでしょうか?御教示ください、
よろしくお願いします。



************************************

○○です

通常これくらいなら、普通にLADにしっかりとしたステントを入れて、
D1に関してはバルーンで穴を開けて、最後はKissingでしあげるのは
如何でしょうか? あまり深く考えない性格なものですみません
ステントはPentaなんてのを試してみたいですね

************************************

○○です

#14PL-1にjailせずにステント入れてjustに再狭窄しませんか?
むしろ#14PL-1にしっかりまたぎステントして穴あける方が
いいのではと最近考えています 如何でしょうか?

************************************

○○です

通常のスプリングコイルはOKですが、
チョイスのような先端がポリマーのワイヤーは断裂のリスクがあります。

************************************

○○です。

確かに。つい先日のインタベ近畿地方会で一度jailさせていたChoiceを抜いても
う一度側枝にcrossさせようとしたらcrossさせている途中で断裂した、っていう
症例もありました。Choice系はやばいかもしれませんね、確かに。

************************************

○○ です。

先生の言われたいことはよーく分かります。確かにradial forceが高い、つまり
conformabilityは低くvesselへのstressは強い、という感じはします。が、しか
し結局しっかり拡げたくて僕ならBxを入れてガンガンに大きくすると思います。

○○先生、ペンタの側枝はいいんでしたっけ?大きくなるサイズと変形した形は
大丈夫?

************************************

○○です。
貴重な御意見をありがとうございます。病変部の分離が難しくてあの画像からは
判りにくいのですが、LADの本幹は白線のようになっています。病変は丁度角度
が急峻になっている部分なのでストレスが強くかかり、STENT-resteを起こしや
すいのではと思うのですがいかがでしょうか?BXとPentaはどちらが分枝保護に
適していますでしょうか?

************************************

○○です

Pentaはまだちょっとしか使ってないのですが
あのギザギザ部分がちょうど側枝の入り口にかからなければ
大丈夫らしいです 本質的には側枝には問題ないらしいです

Bxも側枝は問題ないですよね? ○○先生

************************************

○○です。

ペンタのcellは、バルーンのcrossing profileに比し、
十分に大きいので、側枝へのアクセスは容易かと思います。
最大4mmまで拡大可能ですので余裕ですね。
もっとも私自身はまだ使ったことがないので、
すべてガイダントの受け売りですが.....。

************************************

○○です。

今日も、某所でCTO掘りをやっていました。7年もののLCx11CTOで、LCx13pの“中の
島”からLCx14を出した後、大きく屈曲し、また、LCx13dでCTOという方でした。7Fr
XB4.0をいれ、対側造影下に、手技開始から約2時間ほどかかって、コンケスト12grの
パラレルでようやくLCx14をゲットできました。ただ、末梢は屈曲しているので、穿
孔の危険があり、コンケスト12grを奥までは入れられません。LCx13d方向へも、もう
1本のコンケスト12grは行きましたが、石灰化・屈曲のため操作は不能となりまし
た。そこが、trueなのかどうかは、まったく確信持てませんでした。仕方がないの
で、LCx14方向へOTW Marverick2 1.5mmで拡張し、ワイヤ交換かつSide- Branch
Techniqueを使ってみようと思いました。

ところが、このOTW Marverick2 1.5mmがどうしても石灰化でLCx11〜LCx13pを通り
ません。Anchoringをする余地は、LCxにはないし(さすがに、病変のないLADを使う
こともできないし)、石灰化の裏のpseudoをミラクル12grで破砕する気もすすまない
anatomyでした。Bare WireでRotafloppyに交換し、Rotaをやろうと思ったのですが、
いろんな事情から、なるべくRotaを使わないでほしい、と依頼されました。もう、他
に何も思いつくことはありませんでした。突然、とりあえずRotafloppyをあける前
に、Spring Wireに交換可能か調べてみては、という神様のお告げがどこからともな
く聞こえてきたので、OTW Marverick2を不通過部位に押し付け、涙を飲んでコンケス
ト12grを抜去し、当初Transitの持込につかったATWを持っていくと、何の抵抗もな
く、re-crossするではありませんか! コンケスト12grとは異なり、当然、LCX14末
梢まで何のことはなく入りました。そこで、OTW Marverick2を進めてみると、ほとん
ど抵抗なく今度はCTOをクロス可能でした!! 多分、ワイヤサポートが変化したの
で、バルーンチップに当たっていた石灰化がずれたのでしょう。あとは、そこで拡張
し、幸い、LCx13d方向にうまい具合にCrackleが入ってくれたので、さらに苦戦はし
ましたが、何とか全部通すことができました。

バルーン不通過のCTOに対して、OTWバルーンを押し付けた上で、bareで、0.014のミ
ラクルから0.009のRotafloppyに変更することは良く知られていますが、まさか、
tapered wireで0.009のコンケスト12grから0.014のATWに変えるのが難なくできるな
どと思わなかったし、それで、不通過だったバルーンが通るとも夢にも思いませんで
した。なんとも不思議な現象でした。不成功ならそこでPCI中止となるので、決心が
必要な手段ですが、どうしても他に方法がないときは、応用がききそうです。ご参考
まで。

************************************

○○です。

僕は、(海外でですが)2例だけペンタの経験があります。

1例は、前方起始RCA#1 CTOで、コンケスト・パラレルで通した後、4.0mmの長いステ
ントを入れたかったのですが、ペンタがたまたまあったので、33mmを植え込みまし
た。コイルステントのように、優れたcomformabilityでした。(○○での講演で、プ
レゼンした症例です。○○先生覚えてらっしゃいますか?)。

もう1例は、RCA#1 CTOにnon-protected LMT & LCx#13 diffuse longで、患者さん自
身はCABG絶対拒否ということでした。対側造影下にRCA#1をあけにいくと、対側造影
のための虚血ですべてが崩壊しそうな感じの方でした。いったんはPCIをお断りした
のですが、主治医と、ご高齢な患者さん自身ならびにご家族のたっての希望で、
RCA#1には手をつけず、左をやりにいきました。まず、LMT→LADを、確かS7 4.0-18mm
でfixし、KBT(LCx#11はたいした病変はなくストラットを開いたのみ)しました。こ
のあと、S7のストラットを通して、とおりのよい、30mmを超えるステントをLCx#13
に持ち込まなくてはならない状況となり、ペンタ 3.0-33mmを選択しました。ガイド
は、rt radial approachからの7Fr JL3.5で(7FrのEBUやXBはカテ室になかったので
使用できず)、バックアップは弱かったですが、何とかストラットも、病変も通過し
ました。すぐれたtrackabilityでした。

おそらく、○○先生が言われるように、このステント自身のside-branch accessも良
好なのでしょうが、かなり、Sシリーズとcompetitiveな部分があるステントと思って
います。再狭窄率は、メタルの厚さがそうはかわりませんから、果たしてよい成績が
でるかはわかりません(僕自身は、まったく個人的な勘ですが、今までのものと同じ
だろうと予想しています)。これについては、近々認可されそうな、ネイチのRステ
ントが、メタルがそれなりに薄いので期待できそうです。もっとも、こういう議論よ
りも、本当の所は、早く、Cypherを認可してほしいですよね。

************************************

○○です。

Bxの側枝は3mmまで拡がります(はず)ですので問題なしです。3mmとれりゃ全く
問題なしですからね。Net 3mmはでかいですよ、そんな側枝はLCXだけです。

曲がってるから再狭窄が、という点については、この程度ならあまり影響しない
んじゃないかな?と思います。曲がってたらコイル、という考えもありますがコ
イルは外側がすごく疎になるので僕はあまり好きではありません。むしろ血管の
曲がりを減弱してしまってもrigidなステントを入れてしっかり拡げたほうがい
いと思ってます。でもデータはありません。
この病変ならLAD側に4mmは少しつらいかな?D1に3mmは使いたいから手前が5mmい
けるならLADをよく見て4mmのdistal edgeにいけるところを探して、ダメなら
3.5+3.0、これだと手前は4.5程度でいけます。この程度のサイズを使えたらかな
り再狭窄率は低いと思います。

************************************

○○です。

よこやりですみません。以前こちらの施設のオペレーターに各ステント
(Slotted-tube stent)の側枝へのアクセスの容易さを尋ねたことがあるのですが、
順位は1.Multi-Link ZETA(ステントはペンタと同じです)、2.Bx Velocity、
3.Express 2とみんなが同じ意見でした。Drug-Eluting Stentが主流になっても
Stentが病変まで行かないとダメですし、側枝が細くなった時にアクセスできないと
ダメですよね。今のところはMulti Linkに少し分があるのでしょうか。実際に自分で
は使ったことがなくこれは完全に人の意見です。申し訳有りません。

************************************

○○です
 
たまたま、本日ペンタから側枝を開けに行く症例が2例ありました
どちらも、新しいバルーンを使うことなく通過し、容易に拡張できました
やはり側枝へのアプローチは良いと思います
ただ、Radial Forceは弱いかなという印象です

************************************

○○です。

> 再狭窄率は、メタルの厚さがそうはかわりませんから、果たしてよい成績が
> でるかはわかりません(僕自身は、まったく個人的な勘ですが、今までのものと同
じ だろうと予想しています)。これについては、近々認可されそうな、ネイチのRス
テ ントが、メタルがそれなりに薄いので期待できそうです。

以前から分からなかったのですが、この機会にお伺いさせてください。
ステントの厚みがISRに関与するというデーター(classic M.L. vs Duet)はあります
が、その機序は何なのでしょうか。それはradial fourceの違いなのでしょうか。も
しそうであれば厚みだけでなくステントデザインも関与するような気もします。それ
ともmetalのvolumeなのでしょうか。血管内腔に露出するステント表面積なのでしょ
うか。
知識が無いのを露呈するようでお恥ずかしいのですが、是非お願い致します。

************************************

○○です。

> 曲がってるから再狭窄が、という点については、この程度ならあまり影響しない
> んじゃないかな?と思います。曲がってたらコイル、という考えもありますがコ
> イルは外側がすごく疎になるので僕はあまり好きではありません。むしろ血管の
> 曲がりを減弱してしまってもrigidなステントを入れてしっかり拡げたほうがい
> いと思ってます。でもデータはありません。
今回の症例に当てはまるかどうかは分かりませんが、いま、それに近いようなstudy
をやっています。
屈曲病変に対してBxとTristarをrandamizeしてresteを見ています。長さも厚みも同
じでradial fourceは同等のclosed cell vs open cellです。
resteを見るにはあまり症例数が多く集まっているわけではありませんが、個人的に
凄く興味があったのでやっています。pentaが届いたらentry終了です。

************************************

○○です。

先日のLCxのご報告です。
実は3/13にPCIしましたので一部のご助言を見れないままやってしまいました。

>#14PL-1にjailせずにステント入れてjustに再狭窄しませんか?
>むしろ#14PL-1にしっかりまたぎステントして穴あける方が
>いいのではと最近考えています 如何でしょうか?
すみません、思いっきりギリギリに入れてしまいました。

> 通常のスプリングコイルはOKですが、
> チョイスのような先端がポリマーのワイヤーは断裂のリスクがあります。
すみません、思いっきりWhisperをsideに入れてしまいました。

IVUSで確認するとlesionはangioどおり#14PL-1の反対側にecentric plaqueが存在
し、エコーが減衰するためmediaはunknown。#14PL-1はm-m:3.5mm、#14PL-2は3mm、
#13distは2.5mmでした。
予定通りまず、CB2.5mmでsequentialに#13distと#14PL-2を拡張しましたが、lesion
にそれなりのdissectionが出来ましたのでやむなくステントを入れることにしまし
た。
○○先生のご指示ではあったのですが、なんとか#13distをsalvageしたかったので
#13distに向けてBx2.5×8mmを入れ、KBTで終わりました。手前はどうしようかと悩ん
だのですが、balloonがもう一本いるということと手技がcomplex過ぎると思ったので
行いませんでした。
これが慢性期に良いPCIかどうかは分かりませんが、急性期には綺麗に仕上がる方法
かな、と思いました。でも格段に慢性期に悪くなるとも思わないのですが・・・
これってダメでしょうか?
ちなみに6Fr.でstent balloonとMave2(2.75mm)でKBTしてます。早速、盗ませて頂き
ました、○○先生。

Post
KBT


************************************

○○です。

>ステントの厚みがISRに関与するというデーター(classic M.L. vs Duet)はありま
すが、その機序は何なのでしょうか。

ISAR-Stereo 2ですね。これは、classic ML vs BX velocityだったと思います。僕
も、分子生物学的な理屈はまったくわかりませんが、ステント再狭窄に影響を与える
因子としては、当然、サイズや長さがありますが、それ以外の構造的な部分をまとめ
ると、

メタル量(classic MLのデータがよいのは、おそらくここだと思います)
メタルの種類(タンタルも、ナイチノールもステンレスと同じと思いますが、Gold
coatingはだめでしたね。Nir Royalでしたっけ?)
ステントの構造(今のものは、どれも同じだと思いますが、昔、GR2というのがあっ
たのをご存知ですか?)

といったあたりでしょうか? ○○先生は、コイルは外が疎になるのでいやだ、と
おっしゃっていますが、S670のデータが他より悪いようにも思えません。○○先生の
studyの結果に期待しています。

************************************

○○先生と一緒にTRIを始めて、もうすぐ一年です。

先日、6FでTRIを行い、とめた君を巻いてシースを抜こうって思ったとき、
うっ!シースが硬い・・・ということが起きました。
シースからニトロをShotして5分ほど待ってから、抵抗があるもののシースを何とか
抜去しました。
カテの操作時にはまったく抵抗が無かったのですが、抜いたシースはものの見事に長
さが1.5倍ぐらいに伸びていました。

こんなとき皆さんはどうされていますか?

************************************

○○です。

僕のところは、○○先生ご考案のスリットシースなので、まず、スパウターをいれ
て、NTGです。それでも抵抗が強ければ、静脈ラインから塩モヒでsedationです。こ
れで、まず、安全に、抜去可能です。

************************************

○○です。

○○先生ありがとうございます。
そうです、このような時のためにスリットシースがあるのです。

でも、もう3000例以上はTRAをやっていると思うのですが、”シースが延びた”
のを見たことがありません。かなり強引に抜かれたものと推察します。
もし写真があれば見せて頂けませんか?

”とめ太でのび太?” (ただのシャレです)

************************************

○○です

 ○○先生とTRAを始めた5年前、radial spasmに泣かされました。ニトロの管注、点
滴、何をやっても解除されず、無理やり抜いたら大血腫!
 その経験があって、○○先生がスリットシースを考案しました。スパスムを起こし
ているのは、シースの先ではなく、真ん中です。先端からニトロを入れても、スパス
ムの部位には届きにくいのでは?と考えて、シースのサイドから薬液が出るようにし
たのです。このシースにしてから、スパスムで抜けなかったことはありません(スパ
スム発生時は必ずシースを引っ張る力をばね秤で測ってますが、ほぼ300g重以内で抜
けます)。

 その後、スパスムの統計をとってたら、どうもスタッフが変わった後に集中する傾
向がみられました。最近はめったに発生してません。

 さて、スリットシースでなければどうするか..。どうするんでしょう?
 sedationしてから抜去? ○○先生、どうでしょう?

************************************

○○です

○○先生 ”とめたで伸びた”はさぞかしびっくりしたことでしょう
しかし、シースが伸びるほどとは・・・
写真はないのですか? もしあれば見せて頂きたいです

スリットシースは使用したことはあります。 コンセプトは非常に賛成です 
コーティング付きはないのでしょうか?

************************************

 ○○です

うちは○○と同じ16cm-Mコートシースです。hydrophilic coating
にする前には、スパスム例がまれにありましたが、当院では7FTRI
ですけれども、現在スパスムによる抜去困難例は一例もありません。ただし手技中にシ
ースが抜けてくることがあって注意が必要です。
以前coatingなしのときにはNTG−セルシンによるsedetionで問題なく抜去可能でした。

スリットシースは使用経験がありませんが、7Fの製品も存在するのでしょうか?

************************************

○○です。

○○先生、先日は某所で失礼致しました。
さて小生は前任地で1例シースが伸ばした経験があります。6Fのゼオンのシースでし
たが、やはり1.5倍くらいの長さになりました。たしか何らかの鎮静剤を用いたと思
います。伸びることがあるということは、断裂の危険もあるわけで、結構危険かもと
思いました。
ちなみにスリットシースは7Fr もあります。最近ではTRIでパークをやる時に重宝して
います。

************************************

○○です

シースが抜けない時はそのまま放置して時間をあけて病棟に戻ってから抜くと何の抵
抗も無く抜けることがあります。今まで2回ほどそういう症例を経験しました。
無理に抜こうとするとそれがかえってスパズムを誘発するのでは。
患者さんのsedationもひとつの有効な方法と思います。

************************************

○○です
。昨年当院でも2/800例の割り合いで起こっています。
以前も同様なことがあり、無理して抜くと先生のところのようにシースが伸びて嫌な
思いをした記憶があり、昨年より少し硬いかなあ...と思ったらまず、シース付属の
ワイヤーをダイレイターともどももう一度シース内に入れ、少し皮切を大きめに入れ
ゆっくり抜くようにしています。
これだけで結構スムーズに抜けると思いますが...いかがでしょうか?

************************************

○○県○○市にある○○病院の○○と申します。

○○医大を平成元年に卒業しました。
まだまだ若輩ものですが、皆さんの貴重な体験をうかがいつつ
勉強していきたいと思っています。
どうかよろしくお願いいたします。

************************************

○○といいます。

半年ほど前に経験した症例なのですが、なんとか救命できなかったのかいまでも
悔いが残っている症例があります。できれば今後の参考にしたいですし、“ネッ
ト上症例検討会”にぜひ発表させてください。皆様の忌憚のないご意見を聞きた
いと思います。すこし長くなりますが是非よろしくお願いします。

症例:61歳、男性。
既往歴:58歳時にDeBakey II型の急性大動脈解離にてBentall術(Piehler法)を施
行。59歳時には腹部に急性大動脈解離を発症し、一時抗凝固療法を中断したがそ
の後再開。

現病歴:平成14年5月午前0時より頭頸部痛が出現し、胸部へ痛みが放散するよう
になり7時に当院を救急受診されました。

来院時現症:血圧86/66mmHg,脈拍106/min・整。口唇にチアノーゼを認めた。心
電図でQRS幅の拡大とI, aVL, V4-6にST上昇を認め、急性心筋梗塞による心原性
ショックと診断し、緊急カテーテル検査を施行しました。

心臓カテーテル検査:RCAに狭窄病変を認めませんでしたが、LCxへcollateralを
認めました(Figure1)。引き続いてLCAの造影を試みましたが、JLカテーテルが
どうしてもengageできませんでした。大動脈造影を施行し、右冠尖の右側上方に
造影剤のpoolingを認めました(Figure2)。入口部で完全閉塞していると考え同
部位に対するインターベンションを施行することとしました。入口部が右側上方
に存在するため、ガイディングカテーテルは、JRカテーテルを使用しました
(Figure3)。

なお、人工血管の入口部の同定に非常に難渋し、検査開始後すでに約30分が経過
していました。呼吸状態がさらに悪化しつづけたため、人工呼吸管理としまし
た。血圧も低下していましたが、DOA5γ程度で80-90台を維持している状況でし
た。IABPの装着も考えましたが、大動脈解離が存在しているため使用しませんで
した。

冠動脈インターベンション:ガイディングカテーテルのengageが悪いため、ラジ
オフォーカス・ワイヤーでカテーテルを固定させながら徐々にワイヤーを進めて
いくと、少しづつ血管が造影されるようになり、人工血管とLMTの吻合部に高度
狭窄を認めました(Figure4)。また、左冠動脈内に巨大な血栓を認めました。
当時血栓吸引のデバイスがなく、吸引はできませんでした。吻合部に対して、
MAVERICK4.0mmでPOBAを行い、その後LADに巨大な血栓が流れていくのが確認され
ました(Figure5)。NIR4mmステントを留置し吻合部狭窄は改善しましたが、LAD
のno flowを認めました。nicorandilおよびUKを冠注したところ、flowが改善し
たため手技を終了しました(Figure6)。

臨床経過:その後ICUに入室。Forrester IV型であり、持続血液濾過透析を施行
しましたが、肺うっ血が持続。LidocaineやAmiodaroneを投与しましたが、
sustained VTが頻発し、DCショックを繰り返し施行。その後も全身状態が徐々に
悪化し、DOA・DOBを増量するも低心拍出量症候群より離脱できず、翌日死亡され
ました。なお、peakCKは14840でした。


Fig,1
Fig,2
Fig,3
Fig,4
Fig,5
Fig,6


本症例における問題点をあげます。
@まず、人工血管入口部が非常に不明瞭であったこと。
入口部が通常とは異なる部位に存在しており、入口部を同定するのに非常に時間
を要してしまいました。Bentall術後症例では、本例のように通常とは異なる部
位に入口部が存在することがありうるのかという点です。

A次に、血栓吸引療法の適応です。3mmを超えるような大きな血栓に対しても血
栓吸引療法の適応があるのかどうか。当院では、血栓吸引のデバイスもないため
POBAにより血栓の破砕をこころみましたが、本例のような巨大な血栓によるMIを
経験した先生がおられればご意見をいただけないでしょうか。

B最後に、IABPの適応やPCPSの適応の有無についてです。
本例では、大動脈解離が存在していたことから、IABPを装着しませんでした。術
中もDOA・DOB投与下で、80~90/30~40を何とか維持していましたが、最終的にLOS
から血圧が維持できず死亡されました。

IABPやPCPSを導入するべきであったのか、導入するとすればどのタイミングで開
始するべきだったのかいまでもよくわかりません。

恥ずかしながら、受診する病院によっては救命されていたのではないかという思
いがどうしてもぬぐいきれません。
今後の参考のためにも皆様のご意見をいただければありがたいと思います。

どうぞよろしくお願いします。

************************************

○○です。

シースの件につきいろいろご助言ありがとうございました。
追加しますと、シース付属のワイヤー・ダイレイターともよっしゃ!終わった終わっ
た!!といいながら、ゴミ箱に投げ込んだ後の出来事であり、以後気をつけねば・・
と反省しております。
ちなみにシースは○○先生のと同じシースでした・・・

PS. シースは原因究明のためメーカーにいっており、写真は掲示できません。
手に入ればUPします。

************************************

○○です。

コーティングシースに関しては、TRA用のシースをいろいろ試していた4〜5年
前に某社に試作させてしばらく使用したことがあります。

その時の印象は、
1,スパスムが起こっていない症例の時
カテ操作の作用反作用の力により、シースが勝手に抜けてくるのでシースを固定するこ
とが必要。
2,スパスムが起こった症例の時
普通のシースより抜けやすい事はなく、同じように抵抗があった。

ということで、あまり良い印象はなく、コーティングシース作りは中止となりま
した。

後からスリットシースのスタディをしていて気づいたのですが、スパスム時には
スリットからNTGではなくて、生理食塩水を噴出するだけで抵抗が緩和される
例が約半数あったことから考えると、 強いスパスムが起こっているときには、
シースと橈骨動脈内膜の間はドライになっており、”親水性”のコーティングは
いざという時に役に立たなかったのではないかと思います。
”油脂系”のコーティングなら良いかもしれません。
また、”親水性コーティング”でもスパスムの発生率を下げることはあるかもし
れません。(データはないですが)

親水性コーティングシースにスリットを入れたものを作れば、スリットから水分
を噴出できるので”親水性”が役に立つでしょう。こんなシースが最強かもしれ
ません・・・・が、そのような製品はまだありません。

************************************

○○です。

○○先生のコメントのようにうちはスリットシースを使用しています。もう一年ぐら
い前になりますが、radial spasmで抜去困難な症例がいました。抵抗は強かったので
すが2cmぐらいは引けてきたのでもう少し引き抜こうとしたらシースの頭(逆流防
止弁のついている部分)がスポンと抜けたことがあります。幸いシース本体が少し出
ていたのでモスキートペアンでつまんで体外に抜いてくることができました。こうい
うこともあるので、力任せには抜かないほうがよさそうです。ちなみにメーカーに原
因を調べるようモノを送り付けていまだ回答はありません。

************************************

○○です。
ちょうど先週末に地元であった神奈川PTCA研究会でも同様の症例があって、
TAA,severeAR,DAIIIbにBentallを施行後、半年で冠動脈につないだ側枝人工血管がキ
ンクしてLMT MIになった症例が出ていました。先生の症例と同じようにPiehler法だっ
たと思います。幸いこの症例は完全閉塞ではなかったので救命できていました。(何
の疑いもなくDAIIIbにIABPをいれていましたけれど、、、)うちの心臓外科医の話で
は、グラフトの屈曲や閉塞が問題なので冠動脈入口部を丸くくりぬいて大動脈のグラ
フトにつなぐCarrel Patch法が主流のようです。
その症例の問題点は(○○先生の症例もそうでしたが)造影ができない、あるいはガ
イディングの固定ができない所にあるようです。Valsalva洞自体がなく、大動脈弁が
人工弁なので、通常のJLではエンゲージは非常に困難だと思いますしALやEBUタイプ
ではカテの腰の部分で人工弁をスタックしてしまうのではないかが心配です。先の症
例ではJRを左にかけていました。入口を探るのもJRの方がやりやすそうです。グラフ
トの部位ですが、通常のLCAのように後ろに向かって出すには術野の関係でかなり大
変だと思います、どうしてもやや前寄りになってしまうのではないでしょうか?まず
上行大動脈の造影を最初に行うのがよさそうですね。次の巨大血栓の問題ですが当然
全部血栓吸引デバイスで取ってくるのは無理だと思います。これは先週私が経験した
症例で右冠動脈が房室間孔の部分だけ7-8mmと異常に拡張してその末梢の4AVに血栓閉
塞というとんでもない症例でした。Thrombusterで赤色血栓が少ししか引けず、5F
rの子カテでも引けません、やむなくtPAを冠注して終了しました。でもこの症例に
はtPAは使いにくいですね!。最後のIABP,PCPSのタイミングですが、自分だったら厳
しい話を家族などにしたうえでカテ中に挿入するか、不整脈が出てきた時点で挿入す
るのではないかと思います。腹部のDAの状態が良く分かりませんが、ほっといても負
け戦の様な感じがするので、たぶんIABPはこのタイミングでしょう。PCPSですが、い
ろんな成績を見てもLMT MIを救う事は結構難しいようです。いずれLVAD装着が可能な
らPCPSでつないでおくのも考えますが、たぶんこの症例ではPCPS挿入しないでしょう。
 
************************************




第65集

************************************

○○です。ご相談させてください。
ぜひTRA-NETの皆様のお知恵をお借りしたいと思います。
69歳男性、HT・HL・old C.I.(軽い麻痺残存)の症例です。
CHFで入院し、EF30%、LV6.7cm。胸痛症状はなく、DCMと思って、CAGしたら、
LAD:F90%H90%,Cx:J90%L100%,RCA:@90%A90%B75%CAV90%
Collateral(RCA to Cx,gradeU)
EF 30%,CI 2.4
現在、外科Dr.とCABGできるかどうか相談中です。低左心機能であり、
CABG不可能であれば、
@LAD、ACx、BRCA、の順でPCI予定です(IABP下)。ただいったい何本のステン
トが必要になるか?


 
皆様は、どうのようなstrategyを選択されますか?やっぱりCABGでしょうか?
PCIならどのように行いますか?
ご意見宜しくお願い致します。

************************************
  
はじめまして.
この度TRA-netに登録させて頂きました,○○病院循環器科の○○と申しま
す.○○県のカテ施設では最南端にある病院です.
自分はまだカテ・PCI歴3年,radial approach歴2年,まだまだ未熟者です.
いろいろ勉強させて頂きます,宜しくお願いします.

************************************

○○です。さっそくご返事いただきありがとうございます。

<うちの心臓外科医の話では、グラフトの屈曲や閉塞が問題なので冠動脈入口部
を丸<くくりぬいて大動脈のグラフトにつなぐCarrel Patch法が主流のようで
す。

僕が調べたかぎりでも、現在ではBentall術のなかでCarrel Patch法が第一選択
となっているようですね。ただ、冠動脈口のボタン作成が困難な高度癒着例や再
手術例では依然、Piehler法やCabrol法が選択されることがあるとのことでし
た。となるとこういう症例は今後もどうしてもありうるということなのでしょう
か。
・・・ちなみに、ご存知の方はたくさんおられるでしょうが、参考までに。。。
Piehler法とは、左右の冠動脈口再建に人工血管を左右別々に吻合する術式です
(1982年に報告)。
Cabrol法とは、左右冠動脈口の再建を一本の人工血管を用いて、この人工血管と
大動脈置換に用いた人工血管を吻合する術式です(1981年に報告)。
Carrel Patch法とは、○○先生のおっしゃるように冠動脈口の大動脈壁をボタン
状にくりぬいて大動脈置換人工血管に吻合する術式です(1992年に報告)。

<その症例の問題点は(○○先生の症例もそうでしたが)造影ができない、ある
いは<ガイディングの固定ができない所にあるようです。Valsalva洞自体がな
く、大動脈<弁が人工弁なので、通常のJLではエンゲージは非常に困難だと思い
ますしALやEBU<タイプではカテの腰の部分で人工弁をスタックしてしまうので
はないかが心配です。<先の症例ではJRを左にかけていました。入口を探るのも
JRの方がやりやすそうで<す。

当院のcaseも、最初ALをtryしたのですが、結局うまくengageできずJRで施行し
ました。たしかに人工弁のスタックという問題点はあるかもしれないですね。

<グラフトの部位ですが、通常のLCAのように後ろに向かって出すには術野の関
係で<かなり大変だと思います、どうしてもやや前寄りになってしまうのではな
いでしょ<うか?

たしかにすごくうなずける話だと思います。

その他のコメントも参考になります。
ありがとうございました。

************************************

○○です。

いくら、ぐしゃぐしゃなPCIが大好きな私でも、さすがにこれは、心機能を考えれ
ば、何の問題もなくCABGです。LADから手をつけると、少しでも術中トラブレば(と
くにslow flowとかhematoma)、IABP入っていてもtable deathされるのではないで
しょうか? どうしても、やるなら、(RCAから対側をすると何回かの造影で、血行
動態が崩壊しそうですから)すんなりLCxのCTOがあけられる自信があり、それで心
機能的にLADのPCIに際しての保険がかかる場合のみでしょう。

それに、RCAだけでも、最低ステント3個は必要ですよね。あと、LAD、D1、LC
x・・・。これも多すぎると思います。もし、正常心機能で、(何個ならとははっき
り言えませんが)もうすこし、特にRCAのステント数がすくなくてもきれいになりそ
うなら、PCIもありえるとは思います。

本音で言わせていただくと、多少、不適切な表現かもしれないですが、こうした、多
枝でCTOがらみ、低左心機能症例こそ、今のCABGの適応であって、これをやらないの
なら、心臓外科医の存在理由自体に疑問がなげかけられるのではないでしょうか?正
常心機能でLMT bodyなど、かえって、よほどPCIの適応でしょう。DCAしても、ステン
ト単独でも、それなりにきれいになりますから。

一般論ですが、僕は、(実際に患者さんをみていている)内科サイドが、(オペのリ
スクなどをすべて勘案した上で、患者さんとご家族にオペを提示し、その了解を取り
付けた上で)オペを頼んで、それを断る心臓外科医には、症例を送るつもりはありま
せん。基本的には、内科医がオペしてください、と頭を下げて頼んだら、どんなにつ
らくてもオペをするのが心臓外科医というものでしょう。もし、自分に自信がないな
ら、任せるにたる施設と術者を内科医に提示するべきでしょう。LAD・D1・LCx・
4AV・4PD、ひとつくらいはSVGでもかまいませんが、大事なところは、みな動脈グラ
フトでつないでほしいと思います。おそらくそれなりのMRがあるでしょうから、あえ
てポンプを回しても弁形成を加えるか、old C.I.の病歴を考えてさっとoff-pumpでつ
ないで帰ってくるかのdiscussionは、大いにありうると思います。

************************************

○○です

パチパチ 拍手喝采です
○○先生の外科の先生へのご意見は大賛成です
うちの外科の先生に伝えたいです

この症例はIschemic Cardiomyopathyですから
虚血を解除できれば心機能を改善できるはずです
ですから、確実に虚血が解除できるCABGをまずは選択します
もし、何らかの理由でPCIならLCxを開ける事が大前提だと思います

************************************

おつかれさまです。○○です。

直接自分の知ってる患者ではないのですが、某病院から相談を受けましたので、皆さ
まのご意見をお聞きしたいと思います。
現時点で、画像や、詳しい患者背景などが全くわからないので本当にもうしわけない
のですが。。。

悪性腫瘍ターミナルの患者。
感染のコントロールができなくて、全身検索。
CTにて、右鎖骨下静脈からSVC に、空気と同じdensityのものが混ざった、
heterogeneous な血栓?様の所見を認めた。(普通の血栓像ではない)
flowは問題なさそう。
IVHをそこに長期入れていたので、そこに血栓ができ、更にそこに細菌か真菌かが感
染したものと考えている。
長期に抗生物質を強力に使ってみたが、反応せず、
当然ヘパリンも使ってはみたがだめ。
このままではジリ貧で、死ぬまで退院はできない。
感染がコントロールできれば、原疾患はもう少しもつし、家で死ぬことができる。
で、主治医たちも患者も家族も、とりあえずこの「ゴミ」をとって欲しい、とその病
院の循環器に依頼してきた。
心臓外科の話では、今そこにあるものがいきなり全部肺動脈に詰まっても、命にかか
わるような量ではなかろう、といっている。
感染症の専門家は、今あるものがばらばらになって、肺につまろうが、全身にばらま
かろうが、それはコントロール可能だろう、と。

ということらしいのです。(具体的に把握しておらず、もうしわけありません)

倫理?などはともかく、単にその「ゴミ」をお掃除するとすると、どんなストラテジー
を考えたら良いでしょうか?

まず、テンポラリーのフィルターをSVCにおく → もし何か大きなものが引っかかっ
て、それが血栓のように溶けるものでない場合、フィルターを回収できるのだろうか?
感染源であるので、体内には絶対に残したくないとのこと。

(径2cmの SVCを occuludeするバルーンってありますか? 
 SVCってふさいじゃっていいものでしょうか?)

その後?
7F GCなどでつついてひく、
PIT ?
フォガティー?

インターベンションを余りやっていない施設の先生なので、デバイスなどが想像しに
くいそうです。

最良の方法は、どんなものでしょうか?
皆さまのご意見をよろしくお願い申し上げます。

************************************

○○です。

僕の意見では、心機能が悪いことはCABGへの適応要素となるとは思っていません。
CABGが絶対的メリットは
弁を修復できる、心筋を切ることができる、で
相対的メリットは
一回で多くの血管の血行再建ができる、再治療率が低い、インターベンションで
起こす可能性のあるdistal emboliによるトラブルの回避(例えばremaining one
vesselのような状況における)、だと思います。

で、この症例ではLVGでDCM likeということで心筋を切る適応がない、さらにMR
がそれほど高度でないとして話をすると、後は再狭窄リスク・コスト問題で本人
さんがPCIを選択すればPCIをすると思います。
PCIの内容とすればLCXのcollateralの情報が分かりませんが、まずLCX、ついで
RCA、LADですると思います。病変の数は多いですがreferenceが大きいため慢性
期完全血行再建を得ることはそれほどの回数をかけず可能と思われます。
初期治療3回、慢性期治療2-3回でいけるのではないか、と説明します。
LCXは少し分かりにくいですがバルーン2本・ステント1本、RCAはステント3本、
LADはCBかステント1-2本とDx用にバルーン1本、これであればRCAの3本目のステ
ント以外は保険請求範囲内でいけると思います。

もちろんCABGも選択の一つでしょうし完全血行再建後にはβブロッカーを入れる
ことは絶対必要だろうと思っています。
実は僕の症例でバイパス三本閉塞した三枝完全閉塞を全部空けた患者さんの息子
さんが40歳前で心不全で入院して、LVEFは30%を十分きっていたと思いますが
(数値までは覚えてませんが。。。BNPは4桁でした)心筋炎だと思っていたら三
枝病変だったという方がいて、その経過からPCIを選択されてCTOも含めて全部広
げてβブロッカーを入れて最初から3年ほど経過していますが今は元気に過ごさ
れてます。

************************************

○○です。

以前ペースメーカー挿入例のSVCが血栓性閉塞しSVC症候群になった例があり、血栓溶
解療法をやりました。しかし、文献的にはペースメーカーでSVC症候群になる例は
極々まれとのことで、これは珍しい症例だと思っていたら急死さら病理解剖の結果悪
性リンパ腫を合併しており、もともとのSSS自身が悪性リンパ腫による症状であるこ
とが判明した例の経験があります。

画像などが欲しいところですが、IVHによる感染であればIVHカテーテルにvegetation
が付くものの、カテーテルを抜けばなくなるように思います(すでに肺へ飛ぶ)。そ
れでもSVCに何かが残存しているとすれば、悪性腫瘍のSVGへの浸潤がありそこが
フォーカスになっていると考えるほうが自然のように思います。もちろん、SVC自身
に感染性の血栓の報告例もあるようですので J Cardiovasc Surg (Torino) 2002
Feb;43(1):91-3、悪性腫瘍があるかないかは断定できませんが。もし悪性腫瘍なら外
科的治療の対象外となるでしょう。

まず原因菌の特定はできていますか?感染性心内膜炎に準じた治療が必要と思います
が、抗生剤を中止した上で血液培養を5回行い、特定する。その上で抗生剤をIEに準
じた量を使用する。ここまでの内科的治療が十分行われていますか?それが限界であ
れば人工心肺を使用し外科的に切除するのが安全と思います。MRSAでなければ内科的
治療で十分対応できることが多いと思いますが。カテーテルでは考えられるデバイス
ではすべてを取ることは不可能で必ず肺に撒き散らすまたはT弁およびP弁のIEに発展
させる可能性が高く、バラバラに砕いて飛び散らしたら悪くなるんではないでしょう
か?SVCは大動脈より太いと思いますが、このサイズのdistal protectionは私には良
い方法は思いつきません。あまり解決になっておりませんが、とりあえず。

************************************

○○です

やはり血栓?らしいものの原因がいちばん必要だと
思うのですが
感染のフォーカスとなっているのなら、通常の細菌よりは
真菌は如何でしょうか? 抗真菌剤は投与しましたか?

いずれにしても、よくわからないものをなんらかのデバイスで取る
のはリスクが高いのではと考えてしまいます
○○先生の言われるように、外科的の方が良いと思います

ところでMRCTとかでは原因の探索出来ませんでしょうか?

************************************

○○です。

アドバイスありがとうございます。
少し、追加の情報を得ましたので、よろしくお願いいたします。

すいません、基礎疾患は、さんざん検索しつづけていますが不明とのことです。
(lymphomaや血管腫なども、主治医たちの得意分野であり、鑑別していると思います)
全身のB-sell系、T-sell系の免疫系がおかしくなっているようで、サイトメガロ腸炎
などを起こした既往もあるようです。

SVC血栓?が最初に発見されたのは3ヶ月前で、ただちにIVHを抜去し、血培で
Candida が検出されたため、もう max の量のあらゆる種類の抗真菌剤と低分子ヘパ
リン(今はワーファリン)が数ヶ月投与され続けている状態です。
にもかかわらず、ややmass自体は拡大傾向、β-D-グルカンも異常高値でふりきれた
まま、Candida が出続けている、とのことです。

本人は病棟内生活は自力で可能な程の ADL。徐々に弱ってきてはいる。

massであり、内部の真菌には抗菌剤が届いてないと考え、今回の目的は、とにか
くmass size を小さくすることと考えているとのこと。
粉々になったものが肺にばらまかれても、生着して大きくなるまでの間に、抗菌剤で
たたける可能性がある、と。 
PITでファンギゾンを打ちこむことまで考えたそうです。

いかがでしょうか?
画像を送って、と私も依頼してるのですが、届きません。すいません。

************************************

○○です。

皆さん、やっておられるかも知れませんが、ちょっとした小ネタを披露します。
最近はやりのTR-bandのRe-useについてです。

最近、当施設にもテルモのTR-bandが届きましたが、供給がまだ不安定であるとの事
で、他施設でテガダームを貼って再利用をしていると聞き、真似てみました。

IVH用の15×10cmぐらいのテガダーム(ガーゼなしのテープだけのもの)を用
います。
粘着面を5mmほど露出するようにして、少しずらして2つ折りにします。
露出した粘着面をTR-bandを巻く予定位置のProxymal側の腕に貼り付け、穿刺部を覆
います。そして、TR-bandを巻いてシースを抜くと・・シースとテープが引っ付くこ
となくシースを抜くことが出来ます。

たわいない小ネタですいません。
テルモさんすいません。

************************************

○○です。

質問があります。
TAXUSなどのレポートで、『in-stent binary restenosis』と『in-segment
binary restenosis』と表現されておりますが、binary restenosisとrestenosis
の明確な定義はあるのか、教えていただければと思います。
また、binaryという表現はTLRを要さない病変も含まれるのですか?

噂ですが、湘鎌の齊藤滋先生が執筆された本の附属DVDに定義されているとのこ
とですが、もっている先生がいらっしゃれば、お教えください。

宜しくお願い致します。

************************************

○○です。

「Restenosis」と「Binary Restenosis」は同じ意味で使われているようです。
Binaryは「二進法の」という訳になるのでRestenosisをYesかNoで表したものが
Binary Restenosisです。
大昔はRestenosisをYes,Noではなくて40%Restenosisとか90%Restenosisという様なや
やこしい表現を用いていたようです。この表現ではスタディー全体のRestenosis
Rateが表せないのでMLDで1.5mm以下とか現在のようにQCAで50%以上というように境界
線を設け、それに対しYesのものをBinary Restenosisと言うようです。
最近は後者の表現が一般的なのでBinaryをつけなくても「Restenosis 25%」と言えば
全体に対して25%の人が再狭窄したということが分かるのでBinaryはつけなくなりま
したが、昔はQCAで25%の狭窄がある人を示しているのと混同することがあったようで
す。
確かに時々学会などで昔の名残でBinary Restenosisと書かれたスライドを見ますが
基本的に同じ意味で使っているのだと思います。

************************************

○○です。
○○先生、○○先生、○○先生、貴重なご意見ありがとうございました。
来月早々にCABG行うことになりました(MR軽度、collateral to LCx from RCAで
した)。
当院でも、どうしてもCABG拒否された症例で、
@2枝total、Cx1本90%の症例にて、すべて広げた糖尿腎不全の症例、
ALMT分岐部90%、95歳の症例で、kissing STENTを行った症例、
など、今まで当然(?)CABGと思われていた症例においても、患者・病院事情(?)な
どにより、
PCIが行われる(当然逆のCASEも多々あり)CASEがあり、PCI・CABGを選択する際の
基準をTRA-NETの先生方がどうお考えなのか、教えていただき参考にさせていた
だきました。
またぜひお知恵を拝借させてください。

************************************
 
○○先生、御丁寧にありがとうございました。
よくわかりました。

また、英語の論文でわからないことがあったら、
質問させてください。
宜しくお願い致します。

************************************

○○です。
日循お疲れさまでした、本日は諸先生方の御意見をお聞かせください。
症例は91才の女性で今回が3回目(前回は平成2年と昨年10月です)のAMIです、
昨年の10月の時は前医でTFIを試みしたが蛇行が強く断念したとのことでした。
その時もculprit lesionは#2で99%だったそうですが、今回のculprit lesion
も同部でした。high ageでしたが寝たきりでも痴呆でもありませんでしたし、
ADLは保たれていましたのでEmCAGを施行しました。Rt.TRIは鎖骨下動脈の蛇行が
強くカテが進まないので、Lt.TRIに変更しました。#2は99%with delayで
culprit lesionと考え、direct PCIを試みたのですが非常に硬いlesionでwireが
crossしませんでした。wireをいろいろ替えてみたのですがダメで結局断念しま
した。造影剤を250mlほど使った影響もあると思うのですが、急速に心不全が進
行しintubationやECUMも必要と思われましたが御本人やfamilyが拒否されました
ので保存的な治療となりました。現在は回復傾向にあり何とか危機的状況は脱せ
たかなと言う状態です。諸先生方の施設ではhigh ageのAMIに対する緊急のカテ
は年齢による制限とかはございますでしょうか?あるいはhigh ageのACS例への
お考えをお聞かせください。

さらに前医ではタナドーパが処方されていましたのでoffとしcarvediolを1.25mg
より開始しています、この年齢だと何mg位までupすればよいのでしょうか(EF>
0.3です)?



************************************

○○です。
○○先生お久しぶりです。Activeにやっているようですね。

まず、本症例に関していくつか質問があります。
@今回の入院は心不全ですか?胸痛ですか?
A胸痛ならば、心電図はどこで変化してますか?(労作時ですか?)
B腎機能障害などの合併症は?ADLは?(off-pump BYPASSも考慮して・・)
C過去2回のEventは回旋枝と前下行枝ですか?(心電図Q波は?)
D下肢Angioか、MRIはやってますか?(Lt.FemoralでIABPサポートできるかどう
か? また、前医でのFemoralではロングシース使用したのでしょうか?)
E緊急PCI時に、ワイヤーとしてチョイスやウィスパーなどは使用しましたか?(バル
ーンサポート
もしくはマイクロカテによるサポートは?⇒シェファートクロックが強いようなので、
ワイヤー先端が中
心を捕らえられないのかもしれません)
FEF:0.3との事ですが、緊急PCI後の点滴負荷はどのようにしてましたか?
(利尿剤・ハンプ持続静注などの併用は?)

さて、再トライするとすれば
RCAAのワイヤークロスですが・・・
 当院では99%Delayでワイヤークロスできなかった症例が1例ありました。
 石灰化の高度な透析患者さんで、99%部位はS状に狭窄しておりました。
本症例はA病変前後は4mm位の血管径であり、石灰化はさほど高度ではなさそう
です。
親水性コーティングワイヤーを試してみてはと思います。
ひょっとしたら、CTOで小さなBridge collateとなっているようならば、硬い
ワイヤー(コンケストプロなど)を試してみるもの一手かと思われます。
いずれにしても、ワイヤーが通過してもバルーン不通過も予測されるため、TF
Iがbetterだと思いますが、前医でTFIを試みた時どこでの蛇行が強く断念した
かを聞いてみるか、下肢AngioもしくはMRIは必要だと思います。(IABPの可
能性もあるため)

いずれにしても、High risk caseですので、患者さんと御家族に十分な了解を得
ること(Table death・緊急バイパス含めて)と、十分な信頼関係になっている
ことが、PCIの条件だと思います。(心不全時intubationやECUMを拒否された
ことからすると
、ちょと難しいかもしれませんね)

当院ではhigh ageのACSの適応というよりは、High risk caseの適応を重視し
ます。(最高齢のPCIは95歳で、90歳以上は17例施行しました。最高齢のアブ
レーションは94歳でした)

今回の日循でも超高齢者のPCIの発表が目立ちましたが、再狭窄率やMACEの差よ
りもPCI合併症の差が歴然でした。特に超高齢者では出血合併症が多いため、PC
Iが成功しても術後、合併症で崩れることが多いので、超高齢者ほどクローザー
などの止血器具を使い、早期離床を志しています。

最後にcarvediolですが、急性期の心不全中は慎重投与だと思います。
タナドーパをoffとしたようですが、ピモベンダンはありますか?
諸先生方は、どのようにお使いですか?

御健闘をお祈りします。ガンバって下さい。

************************************

○○です。
○○先生御無沙汰しています、お返事をありがとうございました。
この症例の方はhigh ageでありCABGの適応はなく、また御本人もfamilyもre-do
PCIを希望されていませんので保存的治療となっています。幸い現在では経口摂
食も良好でリハビリを開始しており、少なくとも危篤状態は脱しています。心不
全が急速に進行し危篤状態となったのはカテの影響(特に造影剤の負荷)が少な
くなかったのは確実ですし、もしそのまま亡くなった場合はhigh age例にカテを
やったことが間違っていなかったのかと自責の念に駆られてしまいます。もちろ
んdirect PCIが成功して循環動態が改善していれば何も問題はなかったのです
が、我々の仕事は結果論で語られることが多いですからこのようなhigh age例に
侵襲的な治療をし、悪影響だけを及ぼした場合は非難されることも少なくないと
思います。ですからこの症例を今後どうするのかではなく、先生方の施設では超
高齢者(特に90才以上)のACS例にどのように対処されるているのか、あるいは
先生方個人のお考えを聞かせていただきたいのです。よろしくお願いします。

************************************

○○です

我々の施設では高齢であるというだけではPCIの適応から除外しません
幾つの方でも、ADLがあって・痴呆症状が強くない方には
PCIを行います
以前にデータを出したことがあるのですが、PCIは高齢者の
死亡率を改善はできませんでしたが、退院後QOLは確実に
よくなっていました。 ですから家族の方、本人とよく相談して
たとえ高齢であってもPCIはしています
当然、術後の合併症は多くて、難渋することもありますが
それさえ頑張って乗り越えれればいいと思っています

************************************

○○です

以前ASCのロータについて論議があったと思うのですが
今回の症例もUAPの男性です
以前より労作時の胸痛が時々あり、最近になり頻度が増加
昨日は安静時に2時間胸痛があり来院、来院時にも胸痛があり
心電図では前胸部誘導でT波の逆転を認めました
CAGでは#7に石灰化を伴う、狭窄を認めたためにPCIとなりました。
ワイヤーはすんなりとクロスでき、IVUSが通過しないために
2.0mmのPOBAで前拡張試みるもインデンテーションが取れませんでした
病変の手前にはDisectionを生じてしまいました
この時点までは私はカテ室から不在でして、ここからCAGを
見てロータをしようと考えましたが、ACSである点、手前に解離があるため
今回はTIMI IIIとなっていましたので、アスピリンで経過を見て
慢性期にロータをと考えました



ここで皆さんに質問ですが、はじめからロータを使用しなかったことに
ついては勘弁して貰って、
解離病変にロータをしてもいいのでしょうか?
もし、待つならどれくらいの期間待てばいいのでしょうか?

************************************

○○です。

最近、目前にせまったTOPICの業務に追われ、まったくレスできず、ROMのみですみま
せん。参加を予定されている先生も少なくないかと期待しておりますが、会の内容に
重要な変更が生じたことをお伝えいたしたく思います。

<中略>

最終的なプログラムにつきましては、なお大幅に流動的な部分もあり、会当日を迎え
ての変更もありうるかと存じます。ご不自由・ご迷惑をおかけすることを衷心よりお
詫び申し上げます。またこのTra-netに入っていられる先生の一部の方には、また、
突然のお願いがあるかもしれません。何卒一層の御理解、御協力を賜りますよう、お
願い申し上げます。

ライブ症例は、complexでよくみるけど、これ、どうしようか困ったね、といった感
じのものが主体です。内容は充実しており、放映時間もたっぷりとってあります。2
カテですすめますから、はしょることもありません。是非、会場までお運びいただけ
れば、幸甚に存じます。僕ですか? もちろんメインはTRIですよ!

************************************

拝啓 TRAnetの皆様

TOPIC開催中でもあり、皆様御多忙を極めておられることと存じます。
この度、○○病院を3月末に退職し、
4月1日より○○病院 循環器科に勤務することになりました
○○と申します。
○○先生の指導のもと、日々精進していく所存です。
今年は当院主催でTRA−NETのライブが予定されています。
教えて頂くことが多々有ろうかと存じますが、
今後とも御教授のほど、よろしくお願い申し上げます。

************************************

○○です

○○先生 TOPIC開催おめでとうございます
是非、参加したかったのですが どうしても大学での会議等が
あって参加できません 色々あって大変だと思いますが
TRA-Spilitで頑張って下さい
参加された皆さん また情報を教えて下さい よろしくお願い致します

○○病院 ○○先生 オタクの世界へようこそ
これからもよろしくお願いします

************************************

TRA-netの皆様はじめまして。
神戸市○○区の○○病院に四月から勤務しています○○と言います。
○○医大で○○先生と一緒にインターベンションをはじめ早12年になります。今ま
ではTFIが中心でしたが、今度の施設はTRI中心でしていますので、このnetを通じて
勉強していきたいと思います。
どうぞよろしくお願いします。

************************************

○○です。

Topic参加の皆様お疲れさまでした&お世話になりました。
特に○○先生を始めとする○○の先生方、1st Topic御成功おめでとうございます。
CCT並みの盛況振りには私も含め、参加された先生方皆さん驚かれていらっしゃいま
した。
今回、非常に内容が濃厚でLiveも見たいしDebateも聞きたいしLectureも聞きたいし
でとても悩んでしまうほどでした。
Liveも流れ作業ではなくじっくり熟慮の上で手技が進められ、LogicalなPCI liveで
した。
昨今多くのLive Demonstrationが開催される中、確実に生き残る会になると確信いた
しました。

ところで二日目は夕方途中で帰ってしまったのですが、途中まで見ていたLiveの結果
が気になって仕方ありません。
@土金先生のD1へのDCAはどのような結果になったのでしょうか。
   あんなところも削っちゃうんだぁ、と少々驚いてしまいました。
A朝倉先生のCTOの結果はどうなったのでしょうか。
   IVUSでは途中でfalseを通っていたようにも見えたのですがいかがでしょう
か。
ご存じの方、いらっしゃったら教えてください。

2nd Topicが楽しみです。ありがとうございました。

************************************

○○です。
1st TOPICへ御参加の先生方、お疲れ様でした。今回は戦争に加えてSARSの問題が勃
発し、直前のボスの心労は傍で見ていて、本当に心が痛みましたが、無事に会期を終
了できて本当に良かったと思います。私なりにはこのような企画を着実に、準備万端
で推進する上司の姿を間近で見ることが出来て、大変勉強になりました。

さて恒例のトラの会も大いに楽しませて頂きました。関係各位のご好意に感謝いたし
ます。

○○先生のご質問ですが、DCAの方は恐縮ながら見れていません。CTOは最期は完遂さ
れていました。どなたかフォローをお願い致します。今後とも宜しくお願い申し上げ
ます。

************************************

○○です。

今TOPCIから帰りの飛行機待ちで羽田です。羽田の待合の電源は全て蓋がされて
て勝手に使えなくなってて。。。なんてこった、次からは「のぞみ」で飛行機は
使わないぞ、と決心してます。

話はずれましたが、TOPICの最後のcaseの結末ですが、
まず朝倉先生のLAD入口部からのCTO、true-trueで通ったそうです。最終的に削っ
たのかどうかは聞けませんでした。あれは削ってるかな?
土金ちゃんのDCAは無事終了しました。でもD1のDCAは普通の人は真似するのは止
めましょう。Risk benefitが全く割に合いませんから。ま、皆さん分かってるで
しょうがperforation vs device saveですからね。
最後の土金ちゃんのRCA CTOもちゃんと通ったそうです。

************************************

○○です。

Pentaでかすぎ情報のその後です。

これまでのステントと比べて非常に大きくなることは皆さんも経験されたと思い
ます。ステント後のサイズがペンタのcompliance chartを越えて拡がっているの
ではないかと疑って計測をしましたが、実際はペンタが正しい、compliance
chartの大きさまで拡張していた、ということでした。ただしステント径につい
ては10%のproduct errorがありうるとのことでしたので(by Guidant market)
そこには注意が必要だと思います。
Pentaを使ってるときだけcompliance chartをすごく見てます。それ以外は信用
してませんけど。

それともう一つの問題、ペンタのステントバルーンと側枝バルーンの6FでのKBT
について、若干分かったことがあります。
まずPentaはBxやTristarよりshaftの一部が太く3.1Fあります。ですからこれま
でのようなstent balloon first and stent balloon lastではかなり通過が困難
です。多分最初の症例はこれで通過しているんですが、wireとballoon shaftの
位置関係などからluckyじゃないと通過しない、と思われます。
それではどうすれば可能か、というとペンタバルーンシステムと側枝に使用する
バルーンを少し互い違いにして(今はペンタを先に進めています。逆でもいける
かもしれませんがペンタバルーンがリラップ(リラップってre-lap or re-wrap
どっち?)なのでペンタバルーンが先の方がいいと思います)、二つのバルーン
を同時に進めます。この場合高率にwireの絡みが冠動脈内で発生します。でもこ
れは同時に進めるので仕方ないことです。通常ステント後のwireは抜去・再挿入
が容易ですのでステントバルーンの載っているワイヤをステントバルーン内まで
引いて(引きすぎたら抜けます)これでワイヤの絡みが消失しますからステント
バルーン・側枝バルーンを進めてめでたくKBTができる、となります。
現時点で上記の方法でガイドカテーテルZoma2 .70inch 側枝バルーンにはApollo
を使ったところうまく行ってます。Maverick2は一度失敗しましたが互い違いし
た位置の問題の可能性があり再トライの予定です。

以上、必要症例では試してみてください。当然.71のガイドカテーテルの方がい
いです。それと通過しますけど結構抵抗はあります。ただバルーン1本をsaveで
きるのは大きいですよね。

************************************

○○です

うちではハートレールまたはLancherが多いのでどうなんでしょうか?
まだペンタでのKBTの経験はないのですが、ペンタのバルーンだけで
側枝も開けれて、それで拡張十分でした
新しいバルーンを使うことなく、ペンタのバルーンをリラップするだけでLAD,
D1の側枝を
開けました
側枝へのアプローチは一番かなって感触です

PS ○○先生、羽田空港のカード会社のラウンジは電源使いたい放題でしたよ
(去年の話ですが)

************************************

○○です

皆さま、お疲れさまでした。
特に○○先生、本当にお疲れさまでした。なかなか熱かったです!
TOPIC無事終了どころか、大盛況で大成功おめでとうございます!

企画満載で、○○先生と同様、LIVEも気になるしDebateも見たいし、なかなか全部見
ることができないのが残念です。
LIVEの会場は満員御礼で座ることが難しい程でした。

また、私のような若輩者に発表の機会を与えていただきまして本当に有り難うござい
ました。
朝早くから見に来てくださった先生方、有り難うございました。
冠動脈の二重造影ですが、朝から具合の悪い物を見せてしまいまして申し訳
ございませんでした。
司会をして下さった○○先生、生意気でお馬鹿な私をお許し下さい。

来年はもっと凄くなる会なのだろうなぁと思うとワクワクします。

皆さま、色々有り難うございました。

************************************

○○です。

1st TOPICへ御参加の先生方、また、開催された先生方、お疲れ様でした。
内容が濃く、大変勉強になりました。
LiveとLecture&Debateの選択には、私も大変悩みました。

夜は、トラの会にも、初めて参加させていただきました。
○○先生、○○先生とも間近にお話ができて、よかったのですが、
お話の内容は、思ったよりお酒が回ってしまい一部?覚えてません。
失礼がなかったか心配ですが、どうぞお許しください。

 最近、気が滅入ることが多かったのですが、今回の1st TOPICに参加して、
知識と元気を頂きました。参加して本当によかったです。

 今後とも宜しくお願い申し上げます。

************************************

○○です。

今週末の、第1回TOPICには、お忙しい中、多くの先生方にご参加いただき、誠
にありがとうございました。直前になってSARS問題が顕在化し、想像を絶する事態と
なってしまい、ご迷惑をおかけしたことをお詫びします。急な発表のお願いなど、快
く引き受けてくださった諸先生方には、本当に、感謝・感謝です! 個人的には、も
う少し、まともな体調でライブに臨みたかったです。スカッとしたPCIにならず、お
恥ずかしい限りでした。

余談になりますが、SARS問題を通して、日本のマスコミ報道に依存することなく、普
段から現地の情報を、自分で収集する重要性を痛感しました。また、その際、いかに
ネットが有効かも改めて認識させられました。日本の新聞は、外国のメディアを翻訳
しているだけで、(積極的な現地取材など)あまりしてないし、これだけでまず、1
日のタイムラグができます。日本政府の決定は、さらに遅れますから、それを待って
いたのでは、何もきまりません。

香港の日経にあたる Standard 
http://www.thestandard.com.hk/thestandard/topstory.cfmのTop Storyに数日前に
掲載された記事によれば、経済面も悲惨の一語に尽きるようです。5つ星ホテルの稼
働率は、数パーセントに過ぎないようです。信じられません。PCIをやりに、前回、
香港にいったのは去年の12月ですが、そのときの繁栄はもう面影もないのでしょう。
悲しいことです。

日本も、一歩対応をまちがえれば、香港です。間違えている可能性が極めて強く心配
なのですが。例えば、SARSかと思ったら、必ず、事前に病院に電話してから、それな
りの施設にマスクをして行くように、といったキャンペーンを大々的にやらなくてよ
いのでしょうか? 隔離病棟に収容する前のsuper infectorから、院内感染が多数報
告されているのに・・・

何とか、この人類に突きつけられた大問題を、一日もはやく克服できるよう祈るばか
りです。来年もPCIという世界があり、できたら、第二回TOPICもやれればいいなあ、
と思います。先生方におかれましては、一層のお力添えのほど、よろしくお願い申し
上げます。

************************************



第66集

************************************

初めて発言いたします ○○です。

TOPIC開催された先生方、ご発言された先生方、参加された先生方皆様お疲れ様でし
た。

当方Live2日目は慶應のカテ室におりまして最後のケースは朝倉先生の助手をしており
ました。
結局あのケースは中継終了後コンケストHCで○○先生のおっしゃってるとおり
true-trueで通りましたが最後にpenetrateするとき対角枝を閉塞しました。
その後DCAをとりだしましたが1本目はワイヤー(グランドスラム)がスタックしシャ
フトが切れ、2本目はカッターがウィンドウの真ん中くらいまでしか引けず(体外では
引けました)ほとんどカットできないという状況でDCAはあきらめ、Penta 3.5×18を
入れた後に対角枝を拾って終了しました。
朝倉先生もカッターが引けないというケースは経験がないとのことで、後日談があれ
ばまた報告します。

Live1日目に○○先生のされたRCAのケース(途中で血栓がわいてきたヤツ)はHITかな
と思ってみていました。ACTが大丈夫だからHITではなさそうとご発言されていました
が、ACT(もしくはAPTT)でHITであるか否かの判断は可能なのかお教えいただければ幸
いです(HITは血小板の活性化による血小板血栓なのでACTへの影響はあまりないもの
かと思っておりました)。

************************************

○○です。

最近DCAで(DCAしてるのがバレてしまう。。。)数例カッターが引けない例があ
りました。この時はロータブレータと同じように少しカッターを回転させると引
けるしその後も削れてます。少し気持ち悪いですが。。。

それ以外にカッターが勝手に進む、という症例がありました。かなり怪奇現象で
気持ち悪かったんですがRCA入口部でDCA+Stent予定だったのでそのまましてると
最後にGrandslamがねじ切れてしまいdistal branchに残すことになってしまいま
した。

という訳でカッターが引けないのはまだ対処可能で、カッターが勝手に進むのは
怪奇現象、と言うのは嘘で何らかの力(トルク?)が残っていてかなり危険な状
況と考えています。

************************************

○○です。

HITに関してですが、ACTが延びているといってHITを否定できるわけではありませ
ん。
ACTが延びていないのは、ヘパリン抵抗性を考えるべきで、
HITの場合は、ACTが延びていることもあり得ます。
通常の凝固検査に特異的な所見はなく、
ヘパリン抗体を測定しないと確診には至りません。(迅速診断は現在のところありま
せん)
凝固が亢進した状態で、血小板が減少していれば
とりあえずHITを疑ってアルガトロバンに切り替えるのが対策です。

HIT情報センターのホームページを参照ください。
http://homepage3.nifty.com/Kessen-projects/HIT1.htm

************************************

○○です

最近、うちでもEmergency PCIの途中に血栓がわさわさ出てくる
症例がありました。 Emergencyなので仕方がないかなと
思って血栓溶解剤で事なきを得ましたが・・・(これもHITかも知れません
ね)
ところで、TOPICでの○○先生のその症例は結局その血栓は
どのように処理されたんでしょうか?
もしHITなら簡単には終われないのではと思いますが如何でしょうか?

************************************

○○です
あのケースは1本目のシャフトがねじ切れてますので、何らかのトルクが残存している
のかもしれません。当方の説明不足だったのですが、カッターを回転させる前は普通
に引けたんですよ。ところがちょっとでもカッターを回すとウィンドウの真ん中辺ま
で進んでしまう(というより回した瞬間にジャンプする)という感じでした。○○先
生のおっしゃるカッターが勝手に進むという方があってるのかもしれません。
見ててかなり不気味でしたが、とりあえずカットしてみようってな感じでカット開始
してでもとれないからあきらめた、という流れです。

************************************

○○です

以前当院でもHITと思われる症例(肺塞栓)があり、その際HIT情報センターのHPにも
お名前のある○○先生にメールでいろいろお尋ねして投薬等のご教授をいただきまし
た。
迅速診断キットは日本では存在せず、急性期どうするかは勘に頼らざるを得ないとい
うのが現状ですが、HIT抗体陽性でヘパリン投与下塞栓罹患例でも血小板が減少しない
ケースの報告はあり、血小板減少が認められなくても塞栓症状(ヘパリンが効いてる
のに)があればアルガトロバンへの変更を考えるべきかなと考えております。
以前TRA-netでもアルガトロバンの投与量につき話題が出たことがあると思いますが、
当方が○○先生から伺ったのは欧米でのアルガトロバンの投与量は日本人には多すぎ
るであろうということで、持続であれば0.8〜1μg/kg/min程度でいいのでは?(もち
ろんACT・APTTをモニターしながら)とのことでした。当院の症例でも0.8γでAPTT60
〜70secを維持することが可能でした。

************************************

○○です。

>その血栓はどのように処理されたんでしょうか?

簡単ですが、お答えいたします。6Fr TRI でしたので、スロンバスター(6Fr)を
いれて吸引を試みました。病変部位では、とくに壁あたりはなさそうなのに、血液は
何も引けず、少し手前にするとようやく粘度の高い血液が、ゆっくり吸引されはじめ
ました。結局、2回吸引したところ、flowが回復しました。その後、3.0mmだったか、
3.5mmだったか、記憶は定かでありませんが、POBAしたことろ、残存狭窄は25%程度に
なったので終了しました。もちろん、ステントは入れていません。

スロンバスターで吸引された血液は、(公式にはなんていうのでしょうか?)パーク
サージについている“茶漉し”でまったくろ過されず、そのままどろどろに凝固しま
した。

なお、ウチで1例ですが、LCx13のPOBA直後にno reflowになった症例があり、シグ
マートに反応しないため、スロンバスター(6Fr)をいれたところ、debrisがひ
け、flowが回復したことがあります。スロンバスター(6Fr)は、ガイドカテを交
換する必要もないので、6Fr TRIで、何かflowで困ったときは、一度試す価値がある
ように思います。

************************************

○○です

○○先生ありがとうございました
TOPIC参加できなくて申し訳ありませんでした
それだけの血栓がElective PCIで出来るのは、それなりの理由があるんでしょう
か?

6F Thrumbasterはうちでは日常的に使っています
パークの時にも、血栓吸うのにも
それにslow flowの時の吸引や、末梢にニコランジルを投与するのにも使ってい
ます
実は内視鏡にも使えます・・・
TRIしているの者にとっては便利な道具です
メドトロさんも6Fの吸引カテを作ってるらしいのですが
早く製品化して欲しいです

************************************

○○です

皆さまに教えていただきたいのですが、カテ室のマスクと帽子はどのようにしていま
すでしょうか?

当科では人によって様々であったのですが、親分から「統一しなさい」という命令が
来ました。
「大丈夫だというevidenceが有るのならマスクも帽子もしなくても良い。そうでない
のならやりなさい。」という事でした。

ICUはevidenceによりマスクも帽子もサンダルの履き替えも不要になったのですが、
カテ室のevidenceは見あたりません。

諸先生方のお考えや、現状、もしくはいろいろなevidenceなどご紹介いただければ幸
いです。

よろしくお願いいたします。

************************************

○○です

ついに出ましたね 帽子とマスク、サンダル
○○先生のおっしゃるようにカテ室関係ではEvidenceはありません
ただしオペ室関係では結構多いと思います
最近ではサンダルはなし(土足可)で、その代わり
清掃はこまめにらしいです
帽子、マスクについてはEvidenceはないみたいですね
マスク、帽子もディスポですからそれなりにコストが掛かってると
思います 私にもどなたか教えてください

それと皆さん抗生剤の予防投与はどうされてますか?
○○先生と同じに、DRG病院です

************************************

○○です。

○○病院ではカテ室のマスクと帽子、手洗いは医師、看護婦、技師全員厳禁にしていま
した。3年間で600例に満たない少ない症例ですが、待機症例では 
一回も検査後の発熱はありませんでした。抗生剤投与は、全例に当日と翌日に(内服か
静注のいずれかを)施行していました。もちろんエビデンスはありませ 
んが...

************************************

○○です。

手技中に、血液が口腔内に飛び散って入るのは嫌ですから、マスクは必ずします。帽
子は、しません。サンダルにははきかえ、やはり、血液の直接の付着がいやなので、
カテ室専用の靴下をはきます。手洗いですが、諸外国でやっているところは、非常に
少ないと思います。ただし、時に手袋が破れると血液が手に付着しますから、かなら
ず2重にしています。自分は、まず、7をつけて、そのうえに7.5をつけます。患
者さんの感染防止も重要ですが、医療スタッフの院内感染防止もおなじように重要だ
と思います。

なお、closerのときは、みな、必ず新しい手袋に交換しています。

抗生剤ですが、カテ当日朝、あるいは、前日夕方から、ケフラール3C 分3 3日分の
みきり中止です。
みな、randomized trialのようなエビデンスはありませんが、特に問題も感じていま
せん。

************************************


7月13日の日曜日に新行橋病院にてライブを行う予定にしています。
九州トランスラディアル研究会は、

<過激すぎるので中略>

このような経緯ですので第一部はTRAのライブ(各地で診断カテのやり方
手台の工夫も含め忠実に再現できればと思っています。
北は北海道から南は九州、沖縄まで7〜8施設の先生にお願いしようと思
います。)
第二部は、斎藤 滋先生、○○先生、恥ずかしながら私の三人でTRI(?)の
ライブを行う予定です。
詳しいことは後日お知らせいたします。
尚、前日は行橋の周防灘にある料理旅館でエビかに料理で舌鼓をうちながら
九州内の先生に昨年一年間のAMIのストラテジーなどを発表してもらい
それを魚に大いに盛り上がりたいと思っています。

それでは7月九州で再会できることを楽しみにしています。

************************************

○○です。
当施設でもPENTAが入りましたので機会があれば使おうと思っています。既に御
使用されておられる先生方にお聞きしたいのですが、後拡張はどのようにされて
いますか?ガイダントの話ではSTENTの拡張後のサイズは内径で標示しているの
で、いつもの感覚だとオーバーサイズになりがちだとのことでした。先生方の感
触はいかがでしょうか?それとデリバリーはどうですか(アメリカで既に出回っ
ているZETAはクロスセイルにマウントされているとのことですが )?

************************************

○○です

○○先生、TOPICでは仰天の二重造影ありがとうございました。
あれは、うけましたね。あんなに楽しい(?)画像が見れておもしろかったです。もち
ろん教育的な意味としては非常に大きなものがあったと思います。

さて、帽子とマスクの件です。カテ室ではないのですが、昨年病棟でのCV挿入に伴う
MRSA菌血症が立て続けに2例ありました。1例は20代のAVR後のCrohn病でステロイド内服
中にMRSAによる心内膜炎(PVE)を起こしてしまいました。CV挿入の翌日から40度の熱が
出ているので、誰が見てもCVによる合併症は明らかでした。当院200例のIEの経験でA弁
の人工弁のMRSAによるPVEでは全例死亡でしたので、これはやばいと思っていました
が、何とか本例は生存退院できました。2度とないように消化器に全結腸切除してステ
ロイドをやめるようにしてもらいましたが。

これを契機に病棟でのCV挿入のガイドラインを調べましたが、帽子、マスク、術衣着
用、布かけは大きく、手洗い施行と書いてありました。上記症例ではやってなかったの
で、場合によっては訴訟で負けたかもしれません。それ以後必ず帽子、マスク、術衣、
手洗いを必須にしたところ以後1例もありません。

病棟でCVを入れる研修医に見せる手前、現在は必ずカテ室では帽子マスク手洗いはやる
ようにしています。エビデンスはないですけど教育的な側面の方が強いです。

************************************

○○です。

ステントのストラットの厚さが0.004インチくらいですので、
その2倍の0.008インチをバルーン径に加わえたものが、
血管の拡張径となります。
従って、コンプライアンスチャートを指標に例えば3oで拡げたとすると、
血管は3.2oに拡がっているわけです。
トライスターと同じ圧をかけると、
クオーターアップで拡張されるつもりで手技を行うことが大切かと思います。
もっとも拡張時にちゃんとモニター画面を見ながら、
バルーンの拡がり方を確認していれば大きな問題ではないと思います。

デリバリーに関しては石灰化病変の通過も容易で、
S6に近い感じで使えるのではと思います。

************************************

○○です。

 当院も先週からPENTAを使い始めました。IVUSで見ても、正円に広がるし、通過性
も良好なので、いいステントだと思います。諸先生方の指摘のように、たしか
にTristarよりも大きくなりますね。

 ところで、PENTAが入ったので、TristarとBXの在庫をどうしようかと考えてます。

 PENTAは3.5/4.0と3.0未満で構造が違うので、3.0を3.5近くまで広げるには問題が
あるのかもしれません。Tristar3.0は残しておこうかと思います。
 BXはどうしましょう。openとcloseの違いがあるから、それなりに使い分けの理屈
もありそうです。皆さんBXとPENTAの使い分け、どうされてますか?

************************************

○○です

夏の祭典(ミサ?)には是非フル参加したいと思います
よろしくお願いします

************************************

○○です

○○先生のおっしゃるように長期留置のCVカテーテルの場合は
感染予防のガイドラインがありますね
留置をしない心カテの場合はどうなんでしょうか?
うちでも研修医や若い先生への教育的な意味も含めて
手洗い、帽子、マスクです 
でも私は最近なまけて手洗いなしです

Lenoxの○○先生 アメリカではどうなんですか?

************************************

○○です

PENTAは他のステントと同じようにいきなり高圧で拡張すると
かなり大きくなります(○○先生のご指摘のようにすぐにクオーターアップに広
がります)
これはステントバルーンのコンプライアンスカーブのためなんでしょうね
ですから今は10気圧くらいで様子を見て少しずつ圧を上げていきます
12気圧くらいでも十分拡張されています(IVUSでもきっちり広がっています)
PENTA君はデリバリーは良く、側枝へのアプローチも良いです
ただやはりRAdial Forceが弱いのかなと感じています

ですからRadial Forceが要求されるような場所にはやはりBX
の方がいいのではと感じています

************************************

○○です。
このたび新規登録していただきました。
前回のあいさつから特にあたらしい情報はありません。すいません。私の方はネズミの
心臓を取り出して、シャーレで培養している感じです。これからよろし 
くお願いいたします。

************************************

○○です。

海外からのライブ中継などでだいたい想像がつくとおもいますが、基本的には手洗
い、帽子、マスク全て無しです(もちろんEvidenceはありません)。ただし、こちら
は感染症の患者さんが多いので感染症の患者さんのPCIの際にはマスクとゴーグルを
つけています。最後にCloser Deviceを使うときは必ず再消毒をして手袋を交換して
から行っています。針のリキャップ等も絶対にしませんし自己防衛的な要素がかなり
強いように思います。

************************************

○○です。

Closer前の再消毒や手袋交換はエビデンスがあるのでしょうか?
単に、痛い経験に遭ったため、念のため行っているだけなのでしょうか?
当院では感染性の仮性動脈瘤を経験してから、
手袋交換と再消毒を義務付けていますが、
他の施設の方はどのようにされていますか?
手技終了後、そのままCloserを使われている方はいらっしゃいますか?

************************************

○○です
 
Closerは初めの頃はそのまま手袋も変えずにしてましたが、
皆さんから怖い話を色々と聞いてからは、手袋変えるようにしています
 
ついでにお聞きしたいのですが、抗生剤の予防投与はみなさん
どうされていますでしょうか? AHAのガイドラインでは感染のリスクの
低い人には必要なしとなっていますよね
これからのDRGに向けての対策も必要になってきており少々悩んでいます
Closerの使用の有無によってもかわるのでしょが、一般的な
CAGやPCIの場合はどうされていますか?
うちではカテ前後だけの点滴にしています もっと減らしたいのですが・・・

************************************

○○です。

 ○○先生の『手技終了後、そのままCloserを使われている方はいらっしゃいますか
?』のかけ声につられてうちの状態を御報告いたします。

 帽子とマスクは特にエビデンスも考えず、だからといって違和感もなく使用してい
ます。カテ室用靴下とスリッパにつきましては自分への感染予防もですが、感染領域
の拡大予防のために使用しています。
 うちのカテ室は土足でも問題なく、みんないきなり靴で入ってきます。

 特に感染が拡がった事例はありません。(知らないだけかも知れません)

 PCIの手技終了後はそのまま再消毒もなく手袋を変えることもなくCloserを使って
います。PCIに使った覆布をそのまま使います。

 本院でのCloser後の感染は一例、それも感染巣からいきなりMRSAが確認されま
した。定期的な検査からは、カテ室から一度もMRSAは検出されておらずおそらく
病棟で感染したものであろうと判断しており、今のところうちの手技がCloser
に不向きであるとは考えておりません。

 やっぱりもっと慎重を期すべきでしょうか?教えてください。

************************************


当院は、手洗いなしで、帽子、マスク着用です。ただし、私だけ、メガネのみで、帽
子ますくなしです。

パークロージャーでは、切開するので、多少の不潔も問題なかったんですが、クロー
ザーは、切開しないので、不潔には滅法弱いので、あと糸が残り感染源になりやすい
ので、当院では、私が入る入らないにかかわらず、再消毒、手袋交換、オイフ交換し
てます。あと、抗生剤の内服を一週間にしています。

一発目のクローザーで、感染しました。理由として、切開しないので、感染しやす
い、基本的にカテーテルが不潔なんだろうという理由から、異物を留置するときの
み、清潔にこだわってます。当たり前ですが、ペースメーカーに準じてます。
○○先生のように、ちゃんと清潔にしているとならないんだなと勉強になりました。
海外みたいに不潔にしている先生は、クローザーは注意したほうが、いいですよ。

************************************

○○です。

inner vs. outerは○○先生の言われるとおりですが、それ以外にこれまでのBx
Tristarの拡張しづらさ、がvs Pentaでの径の差になっていると思われます。で
すから感覚的にこれまでのステントと同じ感覚では危なく、さらに0.25mmの差だ
けではないと思っておいた方がいいと考えています。

それからこの拡張しやすさ、ですが、説明しにくいんですがストラットの丸さに
関係してると思いませんか?ストラットが拡張していく途中ではストラットがプ
ラークに食い込んで横に広がっていくわけですからこのストラットの側面vsプラー
クの抵抗がステントの拡張抵抗性の一つ、ではないでしょうか?そう考えるとこ
のPentaのストラットはかなり丸くしてあるそうですし、S6が拡がりやすいこと
の一つの要素、とも考えることができるようにも思います。
あと、丸く拡がりやすいのも説明できるんじゃないでしょうか?

************************************

○○です

皆さまいろいろ有り難うございます。

探してみたところ、

Cathet Cardiovasc Diagn 1989 Jul;17(3):158-60
Wearing of caps and masks not necessary during cardiac catheterization.

What is the appropriate "dress code" for the cardiac catheterization
laboratory?
Cathet Cardiovasc Diagn. 1983;9(1):33-8.

なんてありました。

本来の目的とは異なり、花粉症がひどい私はこの時期は鼻タレを隠すためにマスクは
必要アイテムです...。

抗生剤は朝からセフゾンを一日だけ飲ませていますが、まるめ時代にはもっと安い物
を飲ませるのが良いのかなぁと思っています。

************************************

○○です

不幸か県では、カテ時の抗生剤は内服二日が限度です。それ以上だと、感染症の病名
がない限り、内服でも点滴でも査定されます。当院では、フロモックスやユナシンな
どを二日間です。

話は変わりますが、昨年11月からPCIの時にIVUSをよく使ってます。IVUS賞賛!の意
見書をしつこく書いたのが功を奏したのか、すべてパスしています。
これで「不幸か県」返上?

************************************

○○です。

私事ですが、約5年間抗生剤の投与は行ったことはありませんが、
幸い、いままで診断カテ後、PCI後ともに発熱したことはありませんでした。
(帽子、マスクはしますが、手洗いもしていません。)
今後もどうするか悩むところですが・・・

************************************

○○と申します。
 出身大学は福島県立医科大学(平成○○年卒業)です。
 昨年3月まで、○○病院(循環器内科)にて○○先生、○○先生、○○先生の下、
CAG 、PCIを学ばさせて頂いてきました。
昨年4月に出身地○○市に戻り、現在は上記のごとく大学院生として、主に実験の生
活(少なくともあと2年)を送っております。これまでのカテ漬けの生活からは一変
し、カテからは遠ざかった毎日(1/20〜30に激減)です。病棟フリーの時期は気軽に
PCIのライブを見に行けるのが、せめてもの救いです。このような状況を○○先生が
察してくださり、この度、TRA-netへの入会を勧めて頂きました。

************************************

“入会のごあいさつ”

私は慶応大平成○○年卒、○○と申します。今年4月24日よりオハイオ州シンシナチ
のCincinnati Children'sHospital にあるMolecular Cardiovascular
Divisionへ留学にきております。それまでは東京 ○○病院で心カテをやっていまし
た。週1度は江戸川区 ○○病院でも心カテをやってい
ました。これから2年間、まったく臨床を離れることとなり、以前お聞きしたこのPCI
専門家の集まりがあることを思い出し、ご連絡させていただきまし
た。こちらからは、あまり有益な情報はないと思いますが、参加させていただければ幸
いです。今、MolecularCardiologyで流行は心筋細胞の増殖、Cardiac stem cellのよう
です。Children's Hospitalは全米3位の小児病院ということでやたらに大きく、研究
施設も豪華な感じです。やはりここでも、stem cellがさかんに研究されています。こ
の研究施設にはアデノをつかったgenetherapyは入ってきますが、あまりPCIのことは入
りません。すいません。なにかおもしろそうなgene therapyがでたらご報告いたしま
す。よろしくお願いいたします。

************************************

○○です。

> 話は変わりますが、昨年11月からPCIの時にIVUSをよく使ってます。IVUS賞賛!の意
> 見書をしつこく書いたのが功を奏したのか、すべてパスしています。
> これで「不幸か県」返上?

最近の情報によりますと、○○病院はIVUS28本中、16本が切られ
たとか・・・
また、CTOが本当に成功したのか写真を全例に付けさせられているとか・・・
あるいは、80才台のAMIにPCIをしたところ、高齢なので適応がないとすべ
て切られたとか・・・

************************************
   
○○です。

○○先生の<それからこの拡張しやすさ、ですが、説明しにくいんですがストラット
の丸さに
関係してると思いませんか?>に対する追加コメントです。

ペンタのストラットは、折りたたんだ状態ではVの字を繋げたような形をしていま
す。
ステントを拡張するとVの字の尖った部分が一直線に伸びて円を描きます。
ペンタのストラットは他のステント(オリジナルのマルチリンクを除く)に較べて薄
く、伸展部位であるVの先っぽは、周囲のストラットに較べてさらに薄く造られていま
す。おそらくこのストラットの薄さがステントの柔らかさに寄与しているのだと思いま
す。

○○先生へ

先生の言われるとおり薄さは当然その通りだと思います。ただこれまで言われて
きた拡がりやすさってすべてプラークのことを考えてませんよね?
というわけで、ストラットとプラークが接触してる部分の問題を考え付いたんで
す。どう思います?

************************************

○○です。

○○先生

確かにペンタの拡大写真を見ると、ストラットがしっかりと研磨されていて、
トライスターに較べると、ストラットのエッジのカクカクが丸くなっていますよね。
でも、それがどの程度ステントの拡張しやすさに貢献しているのか私にはわかりませ
ん。
むしろ、コイルワイヤーとの滑り具合や、デバイスの通過性など、
側枝アプローチの際の手技の安全度に貢献しているのではと思うのですが...。

************************************

○○です。

○○先生、○○先生
レス有り難うございます。

当院でも感染性の仮性動脈瘤を1例経験しており、
Closerの使用にはかなり神経質になっています。
が、すでに300例以上使っていますが、
感染例はその1例のみで、
手技に関連した感染なのか否か疑問に思っています。

○○先生のコメントにあるように、汚染された手で傷を触るなど、
帰室後の感染の可能性もあるように考えています。
原因が特定できていない以上、再発防止のためには、
再消毒など、ワンランク上の清潔操作を行うしかないかと思っています。

************************************

○○です。

昨日久々に(本当です)perforationしてしまいました。
実はTOPICでhematomaの話をしていて、reentryをcutting balloonで作る、これ
はperforation riskがあるとも言いますが僕は経験ないですし大丈夫だと思いま
すよ、と言ってたんですが、まさにその状況でやってしまいました。

RCA proximal - midのtandem lesionでPenta 3.5*23+4.0*23を入れたらdistal
edgeでhematomaになってました、そして通常の僕の手技でCBによるreentryを作
りにいったんですが、positionがdistalにずれてて、でもdistalもIVUS上4.0mm
ならperforationしないだろうと思ってましたがばっちり破れてしまいました。
幸い心筋側+#3でperivascular tissue豊富なところでしたのでperiにはいかず
perfusionで押さえて今日は元気にされているので問題なく退院できそうですが
若干ショックでした。
というわけで、皆さんCBしかも大き目を使うのでやはり当たり前ですが
perforation riskはあると考えてください。今回はpositionの問題が最も影響し
たとは思いますが。。。

************************************

○○です。

私も、記憶が不確かですが、この方の右手首は、左手首に比べて太く、手首の後屈に
障害がある「なんとか wrist」(すみません、名前が思い出せません。)という整形外
科的疾患がbaseにあったと思います。確か神経の圧迫は、正中神経が責任病変だった
と思いますが・・・。異様に太い手首には、Allen testに加え、手首の屈伸テストも
行った方が良いとの発表でした。
RSDについては、正中神経の支配領域に一致した神経伝導速度の低下と、筋萎縮があ
るということで、可能性は低いと考えたというコメントがあったように記憶します。
発表のスライドを観ていたら、「こんな太い手首は、敬遠するよなあ」という寸胴タ
イプの手首でした。

TR bandについては、当院でも、試作品の段階から使用させていただいていたのです
が、確かに、痛み、圧迫感がなく手首の運動もスムーズです。しかしながら、穿刺部
位を手首のしわから2横指以上proximalにしないと、出血のリスクがあります。とめ
た君や、bleed safeになれている施設では、移行がスムーズだと思いますが、adapty
派で、橈骨動脈の一番触れているところを穿刺している施設では、注意が必要だと思
います。セットになっているTerumo穿刺針の切れが悪いのが、改善の余地があると思
います。

************************************

○○です。

さっきの症例に関して一つ、特に○○先生、イカリカテーテルはfemoralからはど
うなんですか?じつは昨日のhematoma perforation caseは少しRCAが上向きでFR
でややback upがとりづらく、それでparallel wireにGrandslamを持っていって
wireでhematomaを大きくしたかもしれなかったので、うーんイカリテの方がよかっ
たかな?と思ってたんです。ちなみにfemoral approachです。

************************************

○○qです。

○○先生、TOPICでは大変お世話になりました。ありがとうございました。

ひとつ教えていただきたいのですが、re-entryを作るときのCBのsizingはどうされて
いますか? IVUS上、どこをreferenceにして、何にあわせてられますか? 僕は、
CAG上、もともとの血管径をみて、目の子であわせていました。

あと、ガイディングの件ですが、femoral approachで
>少しRCAが上向きでFRでややback upがとりづらく、

といった状況で、ChampやMACといったlong-tip系を使いたくない場合は、IMがしばし
ばfitします。そこそこのback-upもとれます。ただ、会社によってかなり形状が違
い、メドトロのものは丸く反転しすぎているので、この状況だと、ボストンかJJ
Cordisを選んでいます。高血圧歴がながく、横位心で、肥満しているかたでは、最初
からFRでなく、IMを使うこともよくあります。

************************************

○○です。○○先生、先日はIVUS画像ありがとうございました。
先生、今日は熊本では…?。午後の研究会は、とても、とても、遠くて参加できません
(T T;。
残念です。


実はイカリカテはTRI専用カテと聞いてはいましたが、TFIでもIR4.0を使っちゃったこ
とがあります。しっかり、deepにengageしてtroubleなく終了しました。TRIでは対面側
のAorta壁にくっつけてback upを得るというconceptのカテと理解してます(間違って
たらごめんなさい)。一方、TFIでもカテの曲がりがfitしたら「必勝パターン」に持っ
ていけるのではないかという印象を持ってます。

************************************

私事ですが、高校時代の同級生(もちろん彼は成績優秀でした)がこの度全国最
年少知事(佐賀県)になりました。佐賀県民は彼の若さと行動力に期待したと思
います。
TOPICも私と同じ世代の先生方が中心となって進められていることに非常に
共感を覚えました。

過去のモノの良いところは残しながら、これからは完全に我々世代(40才台)が
中心となって物事を推進し、大きく舵を取って行かねばならないということを強
く実感しました。

************************************

○○です。
多数のレスをありがとうございました、諸先生方の貴重な御意見を参考にさせて
いただきます。
先日初めてPENTA を使用しました。○○先生が言われたようにズイブンと拡張し
易いなあと言う印象でした。
ところで遅レスですが、当院では手洗い、帽子、マスクを何の疑問もなくしてい
ます。個人的には手洗いはともかくマスクと帽子は(大きな声では言えません
が)自分の身を守るためと思っています。未知のウイルスは無数に存在している
と思っているからです。また私は汗っかき(冷や汗たらたら)なので、帽子がな
いと術野にたれてしまいます

************************************

○○です。

○○先生からのレスがなさそうなので、
横槍入れさせていただきます。
左右のイカリカテを、大腿あるいは左手からのアプローチで使用した経験があります
が、問題なく使用できます。
ただ、右手からのアプローチ専用でデザインされたイカリカテを
わざわざ左手や大腿から用いる必要はないと思います。
イカリカテの使用感がお好きでしたら、
チャンプを試されたらいかがでしょう?
使い勝手がとても似ていると思います。

************************************

○○です

IRは経験ないですが、ILはFemoralから使用したこと
あります、 その時の感触ではIKARIは右TRI以外でも
結構使えるかもって思いました
○○先生や○○先生のご指摘のIMやチャンプも今度使ってみます

でも、バックアップが欲しいのなら5Fの子カテはどうでしょう?
今のシステムそのまま使えるという利点があります

************************************

○○です

HematomaにはRadiusを使って結構うまく行ってます
高圧のポストが必要なステントに比べたら安全だと思いますし
末梢から広がるので、Hematomaがどんどん奥に進む
事も少ないのではと思いますが如何でしょうか?

************************************

tra-netの皆様へ

TOPICお疲れ様でした。
さてこの度、○○病院を退職し、4月より千葉県にある○○病院循環器内科に勤務する
こととなりました。
○○在住の際は研究会にも参加させていただき、○○先生をはじめ諸先生方には大変
お世話になりました。あらためて御礼申し上げます。
神奈川や、東京の方はtra-netに参加されている先生も多いようですが、千葉にはあ
まりいらっしゃらないようですので寂しく感じます。
今回のTOPICは参加できませんでしたが、次回はぜひ参加したいと思います。関東在
住の先生方、宜しくお願い申し上げます。

************************************

○○です。

遅いレスで申し訳ないです。○○先生、○○先生、○○先生レスありがとうございまし
た。

femoralからのikariカテは、もちろん可能です。ちゃっかり私もやってますが、あえて
宣伝はしてません。やはり右上肢用に作られていますから、右上肢から最もバックアッ
プが出るのは事実です。

テルモに依頼してバックアップの定量実験をしてもらっています。ILについてはきれい
に右TRI>左TRI>femoralとなります。しかし、femoralで使ったときにJudkinsよりも
バックアップが強いと出てしまい、実験モデルの再検討と再実験を行っています。はっ
きりデータが出たら、次のJSICの時に報告したいと思っています。本当ならTFIで使っ
ても問題ないということになってしまいますが、たぶん真実はそうではなかろうと思い
ます。

○○先生のおっしゃるようにチャンプのほうが良いかもしれませんね。

************************************

○○です。

先日のTOPICで○○先生に教わった4F造影カテ、キムタクを早速、取り寄せて使ってみ
ました!これまではメデイコール社の両用3.5を使用して、まずまず満足していまし
た。特に右のengageのとき、跳ねにくくて気に入っていたのですが、キムタクはengage
のし易さ、造影性ともに、さらに優れているように思いました。造影性については、あ
の二つ並びで開いている側孔が効いているんでしょうか?

○○先生、本当に有り難うございました。久々に、使ってみて感激したカテなので、
取り急ぎ、御礼申し上げます。

************************************


第67集

************************************

○○です。

初めて参加させて頂きます。
○○病院は○○県○○市にあり年間CAG850例、PCI250例ぐらいの
心カテ施設としては中規模の病院です。どうかよろしくお願いいたします。

先日のカテで以下のような病変がありました。
Cx, LADにPCI予定ですがCxのtrifurcation?に対して皆さんどう対処されていますか

あそこまでステントが持っていけると仮定して一番領域の広い血管に向けてステント
を置き
それぞれ側枝に対してkissingでしょうか?
RAO Caudal viewで一番右の血管に向けてステントを入れて、真ん中の血管に対して
kissingすればいいかなぁと思っているのですが。



************************************

○○です。

○○先生、Topicお疲れさまでした。

私も以前、お叱りを受けたのですが、画像が重過ぎます!
Photoshopかなにかで容量を小さくしてから送りましょう。

受信に時間がかかるため
”また、○○か!”
と思われた方もいらっしゃるのではないかと思いますが今回は違います。

ところで、私が意見を述べるなど差し出がましいと思ったのですが、ついでですので
少しだけ失礼致します。

bifurcation手前はダラダラlesionですのでステントを置くにはprox.edgeの位置決め
が難しいのではないかと思います。特にKBTでhaggingともなると尚更かと思います。
ステント入れるにしても頑張って2.75mmくらい(?)で、あまり大きなものは入れる
のが難しいようにも思います。
幸い、分岐後にはほとんど狭窄はなさそうですのでまずはステントを入れないで仕上
げる方向で考えて
@分岐手前だけCB
A#13と#14PLへsequential POBA
なんかはいかがでしょうか?

病変は心房側のeccentric plaqueでPOBA後dissection、、、なんてことも十分ありう
るとは思いますが・・・

すみません、失礼致しました。

************************************

○○です。

#13と#14PLの血管径や灌流域を考えれば、LCx近位部のIVUS上の血管径は大きいと思
います。○○先生の非常にplaque量が多い、というコメントはとても重要です。経験
的ですが、こうしたplaque richで灌流域に比べ明らかにみかけじょう細いLCxで、
hematomaが逆行性にあがっていって、LADまで及んでしまった経験があります。た
だ、治療方針は○○先生とは、ちがって、CBやPOBAでは、結局きれいにならないと思
います。

#13にプロテクトワイヤをいれたまま、#14PLへステント植え込み。自分は最初から3.
0mmで行くと思いますが、2.75mmでもかまわないでしょう。でも、IVUS所見も参考に
して、short balloon使って、ステント内はやはり3.0mmのポストはかけたいと思いま
す。それで、#13の入口部にplaque shiftが生じなければそのまま終了します。75%以
上になればKBTしますが、特に近位部は絶対にhaggingしたballoonがステントを出な
いよう、注意します。そんなところでどうでしょうか?

************************************

○○です

私もStentです
ただ、proximalの着地点をIVUSで確認して
プラークにEdgeかけないような場所を考えて、ひょっとして
だいぶ長いステントが必要になるかなと思います
#13方向に入れるか、#14方向に入れるかですが、私でしたら#13方向に
入れると思います。 それなら後ろの小さい枝を救う事もできますし
分岐部ですので$14方向にJailしたストラットは開けるとは思いますが、よっぽ
どの
プラークシフトがない限りKBTはしないと思います

************************************

○○です。

○○先生、○○先生、○○先生コメントをどうもありがとうございました。
本日PCIしました。

一応stent KBTのつもりで7F radialでアプローチしました。IVUSで見たところ
(テルモを使いましたが意外とすんなり入りました)seg 14はプラークはないも
のの、CAGの印象とは違って血管径 が2.25 mmで、seg 11から狭窄部までは
diffuseにcalc(一部全周性)でプラークが多くcalcではっきりしないところもあり
ますが、
血管径 は2.5 mm強といったところでした。方針をロータに切り替えburr 1.75で
seg11からseg14にかけてablationしその後apollo 2.5 x 20 mm 2 atmでやはり
seg11からseg14にかけてPOBAしたところまずまずきれいに仕上がったため終了しまし
た。
(真ん中のseg 13にかけてもabltationするつもりでしたがコンソールの調子が途中
でなぜか
悪くなり止めました)

以上の結果です。これでresteがなければいいのですが・・・・

以上 結果をご報告申し上げます。



************************************

○○です

○○先生 深追いせずにこの血管でこの結果はすばらしいと
思います。
再狭窄は血管径から考えてもある程度は仕方が
ないと思いますが、ステントがない分
次の戦略が立てやすいですよね

私は最近小血管でも、深追いしてるので、ちょっと反省
しました。

************************************

○○です。

先週、熊本での○○先生講演;IVUS学園(IVUS幼稚園から大学まで一環教育)
を卒業した○○ですが、学習能力無く、本日大きな一輪の花を咲かせました。

80歳男性、AP、Seg6 90%、GC 5Fr B.Tip JL3.5、Direct Stent(Penta 3.5/15) for
Seg6。
PreのIVUSで病変DistalのM-Mが3.5程度あったので、ツルツルポンのDirect Stentで
終わらせようとPenta3.5を持っていきました。まずは8atmで拡張して、indentあり。
それじゃーっと。12atmに圧を上げて、オーッ拡張したわい!と、次の瞬間に大輪の
花が一輪咲きました。こんな時に限って5fr!!。涙を流しながら何とかBail Out(ド
レーンしたり、7Frに換えたり、心マしたり)し、大事にならず(先程ピッグを抜き
ました。夕飯を食っておりました。)に済みました。後でPreのIVUS像を確認する
と、○○先生の言われる「High Risk群」なので、Preにロータで削っとけば良かった
と、反省しております。
Tra netの皆様のために、PreのIVUSと6時に穴が空いている恐ろしいIVUSを添付して
います。



************************************

○○です。

○○先生、面白いものを見せていただき有り難うございました。
お疲れ様でした。

石灰化病変であったという点が、このケースの最も重要なポイントだと思いますが、
その他に、高齢者という点も落とし穴になっていたのではと思いました。

(何の科学的な裏づけもありませんが)
私は、80歳以上の高齢者の血管は、
80歳以下とは別物であるとの認識を持ってPCIを行うよう心がけています。
一見、CAG上は、狭窄や石灰化が軽度に見えても、
ディバイスの通過に手間取ってしまったり、病変が拡がり難かったりと、
手ごわいケースが少なからず存在するように思います。

果たしてこの考え方が正しいのか否かはわかりませんが、
例えIVUSを用いたとしても、非高齢者と同じような感覚で拡げると
ruptureが起き易いなんてことがあるのではないかと思いますがいかがでしょう?

ちなみに私はIVUSは使いませんので、
80歳以上の症例のステント植え込みでは、
アンギオでみて軽ツチ(軽いツチノコ)で終了するようにし、
決して超ツチは作らないようにしています。

************************************

○○です

○○先生 貴重な症例ありがとうございました
大変勉強になりました
きっちりとリカバーされて素晴らしいと思います
お疲れ様でした

私も花は咲きませんでしたが、同じような症例に
カッティングして、恐ろしいことになりかけました・・・

分かっていても、ついついやってしまうのが
この世界ですよね このIVUS見て全例ローターかけるか
どうか・・・ 
でも、やっぱ例え面倒でも、例えリスクがあっても、
例え人が少なくても ローターした方が良いのでしょうね

************************************

○○です。

○○先生、昨日いやもう一昨日になってしまいましたが、レクチャーだけでなくカテ室
にも足を運んでいただきありがとうございました。おかげさまで楽しくライブ感覚で
PCIができました。これからもご助言宜しくお願いいたします。

 ところでカテ室でお目にとまった特製フラットパネル(仮称)とTRI用の手台の写真
を送ります。どちらも○○先生の発案で試作したものです。ちなみにフラットパネルは
患者さんの足の外側に置く台とアクリル製?の天板より構成されていてマジックテープ
がついているため、患者さんの体格に合わせてある程度レイアウトが自由になっていま
す(まだ試作品ですが)。これを用いると患者さんの足の部分のカテ台が平らになりバ
ルーンやマイクロカテを抜去する際などのカテとワイヤーの操作が非常にスムースに行
えるだけでなくIVUSやロータブレータを操作するときの安定性がよく(患者さんの足の
間や大腿の上に物を乗せたりすることがなくなる)、またカテ台の上の色々なものの整
理もしやすくなります。また冷え性の患者さんの足に毛布などかけてもパネルの上には
何ら影響はありませんので快適(患者さんも術者も)です。
 TRI用の手台は左右両用ありますが写真のは右手用です。これは各施設いろいろと工
夫されたものがありますが、これを用いると手首が自然に背屈するので穿刺が容易にな
るのと手首の高さがほぼ大腿の高さと同じになるのでガイドカテやワイヤーがたわまず
まっすぐになり、手技が非常にやりやすくなります。また手の位置が自然になるため患
者さんも楽です。これもアクリル製の板とマジックテープ、それに柔らかい素材の手台
部分よりなっています。参考にしていただければ幸いです。 



************************************

○○です。

○○先生、ご苦労様でした。

私は、この症例だとステントのサイズは1サイズ小さいものを選ぶと思います。Pentaな
ら3.0、Bxなら3.5です。やはり、oversizeが原因ではないでしょうか。

media to mediaのステントサイズを選ぶという○○先生の説はBx VelocityならOKです
がPentaでは大きすぎるということはないでしょうか?

************************************

○○です。

○○先生。。。あれだけ危ないって言ってたのに。。。このIVUSは最も典型的で
はないと思いますがそれでも危ないパターンですよね、さらにPenta 3.5mmなん
て。。。この症例をperforation registryに入れてもらってもいいですか?

○○先生のご指摘どおりBxならmedia-mediaはOKですが、Pentaはダメです。
Pentaはcompliance chartの値近く、時にはIVUS上はchart以上に広がりますから
Bx Tristarと同じやり方では花が咲きます。

○○先生の指摘は正しくかつ正しくない、と思います。先生の言われるとおり高
齢者にtrouble riskが多いことは間違いないと思います。しかしlow riskの方も
いますよね、IVUSではそれが事前に分かることができると思ってます。つまり、
今回のようなアンギオでは非常に高度石灰化とは見えない危ないタイプの石灰化
やnegative remodelingなどがIVUSでは分かる、ということです。IVUSで見えな
いadventitiaの脆弱性の問題もあると思いますが問題の大きさでいくとアンギオ
で見えないIVUSで見えるrisk規定因子の方が大きいと思います。←これもデータ
根拠はないですが、通常のIVUSに基づくPCI戦略で年齢に関係なくほぼ一定した
結果が出ているのでそれほど間違っていないと思います。

************************************

○○です。

○○先生、○○先生、○○先生、○○先生レスありがとうございました。

新人研修医に先輩風吹かせながら「5Fインタベ教えてやるバイ」「ツルツルポンで
3.5」などと鼻歌交じりに、破ってしまいました。先生方のご指摘とおり、1.高齢、
2,PentaのSizeミス、3.深追い 4,血管中心に存在する偏心性石灰化等、いろんなサイ
ンを見逃したり、判断ミスをしています。自分自身、この症例に関しては「細心の注
意をはらえば、破かずに済んだのになぁ。」と反省の意味をこめて、投稿しました。
○○先生よろこんで穴空きレジストリーに登録させていただきます。
サァ、○○では昨晩大風が吹き、最後の桜も散ってしまいました。花が咲くのはこれ
でおしまいにいたします。

************************************

はじめまして。○○労災病院の○○と申します。新規登録させていただきました。
これからよろしくお願いいたします。PENTAの話がでてるようですので、、、
うちの経験例を。先日思いっきりバルーンがピンホールラプチャーしました。ステン
ト入れた後に手前のNIRのリステの所を広げたところボンっと、LMに造影剤が貯まりま
したが、幸いおおごとにはなりませんでした。

今後おみしりおきを。

************************************

○○です。

○○先生、写真ありがとうございます。つたないお話でしたが、何かのお役に立てれ
ば幸いです。

この特製フラットパネル(仮称)ですが、手技を拝見している限り、とてもデバイス
の出し入れがやさしそうでした。つまらないところに、ひっかかって、モノが抜けて
しまうことがありませんからね。ちなみに、大昔、私が○○で○○先生の助手をして
いたころ、つねに注意されていたのは、カテ台の上にものを乱雑におかず、できる限
り平らに保つことでした。ウチの機械はGEですが、(GEは比較的カテ台の高さを高く
しないと、きつい角度に振れないので)操作面の高さがどうなるか、ちょっと気にな
りますが、カテ室スタッフに同様のものを試作してもらい、試してみることにしま
す。

カテ室は私がいた時代と同じ建物で、懐かしい限りでしたが、それにしても、新築さ
れた東大新病棟・CCUには驚愕するばかりでした。凄い設備ですね!!

************************************

○○です。
完全にROMとなっておりますが、とある失敗のお詫びと報告です。
 
 私は○○市内の某研修病院で週1回心カテの勉強をさせて頂いていますが、先日そ
こで50代のやや小柄な男性の胸痛の診断カテをさせて頂きました。
 穿刺はRt.radial artery、シースはゼオンの5.5Fr ロングシース(17cm?)でした。
 結果はLCxのspasmだったのですが、終了後カテ室の外でいつものように小とめ太で
圧迫し、シース抜去しようとしたところ抵抗がありました。ほんとはここでやめとかな
いといけないところなのですが、いつも軽くゆっくり引いてみて抜ける時はそのまま抜
き、だめそうだったらニトロール+キシロカインで時間を置いて抜去、としていたの
で、今回もつい軽い気持ちでゆっくり引いてみたところ、プチッ!!!と、シースが手
前から2cmくらいのところでちぎれてしまいました・・・。そこで先日のTRA-netの”
シースが抜けない!”シリーズの話が頭をよぎりましたが時すでに遅し。シースのほ
とんどは血管内に残ってしまい、断端もみえませんでしたので、心外にお願いして手
術室で取り出してもらいました。どうやらねじ切れたようになっていたようです。
 穿刺は他のDrがされたので、穿刺時の抵抗は分かりません。カテ操作の際には抵抗
は感じなかったのですが、やはりねじっていたのでしょうか(ちなみにマルチパーパ
スです)。

 ○○先生大変ご迷惑をおかけしました。患者さんは無事退院されたでしょうか?
シースは短くされたとお聞きしましたが・・・。深く反省し、初心に帰り注意しよう
と心に誓いました。

 それにしてもシースが伸びた、という話はありましたが、切れるとは。少なくとも
私が聞いた先生方は経験がありませんでした。でもちぎれ方みると時間おいて引っ
張っても切れてたかもなー・・・

************************************

○○です。

○○先生お疲れさまでした。
想像するだけで鳥肌物のaccidentですね。
しかし、先生無難にbail outされさすがの一言です。

そこでお尋ねいたします。
bail outの手順はどのようにされたのですか?

@まずはとりあえずstent balloonで低圧で押さえる。
Aその間にheparinを中和してfemoralから7Fr. sheathを入れ、GCを上げる。
B一旦balloonをdeflationしたすきに7Fr.からもう一本GWをcrossさせまたballoon
inflation。
C7Fr.からpurfusin balloonへballoonを入れ替えlong infration。
Dそれでも止血できなければJo?
こんな流れなのでしょうか?
ちなみにPBのサイズはステントと一緒でよいのでしょうか。half size落とすべきな
のでしょうか。
infrationは何分くらい待つべきでしょうか。
もしわが身に発生したときのためにシュミレーションしておきたいので是非御教授く
ださい。

************************************

○○です。

以前、ご相談した方でLt.Valsalva起始RCA病変です。
私はCB4.0mmで終わっていましたが、ステント入れてもよい(入れるべき)というご
指導を頂いておりました。
先日、F/Uしましたところバッチリresteしていました。
今度こそは、と意気込んでstent入れに行ったのですが、ちょっとトラブってしまい
ましたので反省の報告を致します。

Ad-hocでLt.TRI、GC:6FrZuma2AL1.5SHでややfloatingぎみ。
ATWで始めましたがGCがすぐにはねてしまいますのでそれをRV Br.にダミーしておい
てRouteでPLへcross、ATWをPDへ持っていきました。
IVUSではRD:5-5.5mm、病変には結構なsuperficial calc.がありました。
当院はRota使えませんのでCB4.0mmでpreをかけた後Tristar4.0×23mmを持っていき
20atmで置きました。
後で必ずpost用のshort balloonが必要になると思ったことと、ここは前後の大血管
にはさまれた場所で運動時には圧迫される可能性もある場所なのでopen cellで
radial forceの強いものを使用したかったためBx4.5mmは使用いたしませんでした。
この時点ではまだparallel wireでした。under sizeのstentだったことと、今まで
wireが抜けなくなった経験はなく、optimal sizeで高圧をかけない限りは一般的には
許される手技であると思っていました。
ところが、ここでwireを抜こうとしたところ先端の不透過部分のところがstentで
ひっかかって抜けなくなりました。
少しずつ引く力を強くして引いていましたところ、透視で先端のcoil wireがちぢれ
かかっている様子が分かりました。
予期せぬ出来事で頭に血が上っておりますのでよっぽど”えいやっ!”と抜いてやろ
うかと思いましたが、これでいつも失敗していますので”いや、待て待て”と自分を
制止して穿通用カテーテルの”一番槍”をそのwireへ通してstentの外側へ滑り込ま
せてwireを抜こうとしました。
結局一番槍はstentの外側へは入らず難渋したのですが、そうこうしているうちに何
かの拍子にするっと抜けました。
ちぎれなくってよかった〜、と胸をなでおろしました。
最後はQuantumMaverick4.5mm×12mmでpostかけて終わりました。

今回のtroubleの原因としては
@calc.の強い病変へstentを置く際にparallel wireのままであったこと。
ARCAはAoから出てすぐに直角に曲がっておりwireを引く力がcoaxialにならないこ
と。
が挙げられるのではないかと自分なりなりに考えました。

今度こそはステント入れました!うまくいきました!というご報告をする予定でした
が、このようなご報告になってしましました。
以後、重々留意いたします。

長くなって済みませんでした。



************************************

○○です。

なかなか○○先生の考えられるようにスマートにはいきませんでした。ハイ。
1.花咲いた。stent nount balloonで2atm。
2.(症状出る前に)硫アト2A。プロタミンでヘパリン中和。
3.2min程度のバルーニングでVf。患者暴れる。心マ。DC。5FrGC抜けている(やれや
れ)。
4.血圧どーーんと低下。心嚢液穿刺。GC抜けてるので、エイヤッとそのままTRでシー
スを7Frに差し替えて再度ワイヤリング。
5.大輪の花は、中輪(?)の花に。
6.IVUSでパンパンに広がっているPenta 3.5と穴確認。IVUSよりperfusionカテ3.5で
いけると判断、バルーニング2atm。
7.(Perfusionしているのに)2-3minほどのバルーニングでまたVf。患者暴れる。心
マ。このときは、屈強な研修医が患者を押さえておりシステムはそのまま(ホッ)。
8.造影とIVUSで止血を確認。終了。

といったところです。破いた場所がSeg6、パナルジンの術前投与はしない、といった
ことが計4-5minの圧迫で止血できたのだと考えます。かつてSeg3で破ったときは2時
間ほど押さえていました。
今回は患者さん暴れてしまって5Fシステム抜けちゃったので、ズボンとパンツは終始
脱がせず、TRでやってしまいました。
うちには、最後の一本ジョーが残っているので7Fに切り替えた後は、安心です。

以上が一部始終です。

************************************

○○です。

ひとつお願い、です。
LCX入口部からtrifurcationまでの血管径ですがIVUSを何断面か見せてもらえま
せんでしょうか?
このdistal areaでvessel sizeが3mmないのかな?という点を見たいのです。

************************************

○○です

今日は桜の花が満開で、○○城はものすごいにぎわいです。
ゴールデンウィークが終わると林檎の花が満開になります。
○○は今がとても良い時期です。

5Fr GCで花が咲くと 、そのrecoverはやはりとんでもなく大変で、偉い先生に「5Fr
radialなんかで、何かあったらどうするの?だから5Frはダメなんだ!」といじめに
あった事が何回も有る私は、○○先生の辛い時間が自分のことのように感じられてメー
ルを出してしまいました。
本当にお疲れさまでした。

************************************

○○です

以前、うちでパラレルワイヤー時のステントの外にあるワイヤーが
抜けなくなった事があり、発表したことがあるのですが
その時のご指摘では、
@ X線不透過部分をステントにかけては抜けなくなることがある
A コーティングワイヤーは要注意
B コイルステントはガイドワイヤーに食い込みやすい

だったと思います
以後、出来るだけ注意し、ステント留置前にワイヤーを
抜くようにしています
苦労して、パラレルワイヤーにしてようやく留置できて
ほっとした時にショックな事になりたくないですもんね・・・

************************************

○○です。

○○先生、お見事です。
私のような経験の浅い人間には大変勉強になりました。

こういうお話を予め伺っておくだけでトラブル発生時の(operatorの)心拍数が
10/min位は押さえられるのではないかと思います。

ありがとうございました。

************************************

○○です。

幸いパラレルでSTENT留置後にwireが抜けなくなったことはありませんが、ウチ
のような中小病院では後のことを考えただけでもゾッとします。○○先生は
STENT拡張前に抜くとのお話ですが側枝保護のwireも抜かれるのですか?

************************************

○○です

あくまでも、ステントを入れるためにパラレルにした
ワイヤーの事です

側枝保護のワイヤーは可能な限りおいておきます
でも、結局ステント置いた後には抜くので要らないかなって
時々思うこともありますが、ワイヤーを入れにくい時の
目印にしています でも、置いていても抜けなくなった事はありませんが
抜くのに抵抗を感じることはあります

************************************



第68集

************************************

○○です。

○○先生、有り難うございます。
せっかくですから、キムタクについのて能書きをタレます。

私は診断造影の時、5Fr.ならメディキットのマルチパーパスを使いますが、4Fr.
のマルチパーパスは柔らかいし(細いので当然ですが)、LVGの時に造影剤の
ジェットでカテがブルブル震える、LVGにも対応できるように両側に側孔が空
いているため左冠動脈造影の時に大動脈側にもジェットが吹き造影性が極端に悪
くなるなどから、4Fr.ではマルチパーパスを諦めました。

そこで、両用カテをいろいろためしたのですが、すべて基本形はL字型となって
いて、左右どちらにも入りやすいように考えられています。
しかし、良く考えてみると、左の造影はLADとCXの2本を造影しなければな
らないので、細い4Fr.ならより強い力でショットしなければなりませんが、その
時のジェットの作用、反作用の力で、カテが入口部からはずれて浮いてしまうと
いう現象に出くわしました。

何でだろう〜〜お、何でだろう〜〜?

それは、Judkins Leftが左冠動脈入口部に固定される力を第2カーブが無理に広
げられたのが戻ろうとする”はさむ力”で確保しているにもかかわらず、4Fr.両
用カテは、ただでさえカテが細くてはさむ力が弱いのに、さらに第2カーブを広げて
(右にも入りやすいように) L字型にしているからです。

これでは十分な左冠動脈の造影が十分にできないと考え、試作することにしまし
た。形はL字型ではなく45度型にしてはさむ力を強くしました。側孔は左冠動脈
側に2つ空け、これで左冠動脈の造影性がバッチリになりました。
右に入れるときは、そのままでも入るのですが、右冠動脈入口部が低いときには、
ワイヤーのおしり(硬い方)を第1カーブの手前まで入れて、JRと同じ形にし
て入れています。基本的に左冠動脈造影を意識して作ったので、右にはこのよう
な工夫が必要かもしれません。

去年試作したのですが、ちょうどキムニー先生がTRIを始められてから10年目
の記念の年でしたので、
KIMny Tenth Anniversary Catheter(KIMTAC:キムタク)と名付け、トノクラから出てい
ます。 
 ○○の○○先生が去年作られた”肥後っこクラブ”
よりはネーミングの点で絶対に勝っているという自負心はあります。

P.S.
トノクラは良いピッグテールを持っていないのですが、もし良いも
のが出た時には”シズカ”と名付けて、”キムタク”とペアーで使ってもらうよう
にと言いました。まさかあの二人、離婚なんてしないよね。

************************************


○○です。

先日RCA #2 90%の病変にTRIをしようとしたときのtroubleをお聞きください。
右橈骨動脈は拍動がよく、Allen testでも正常であったため、右手首から穿刺し
てTerumoの6F M-coat sheath(16cm)を若干抵抗感じましたが挿入しました。ガイドワ
イヤーは何の抵抗もなく肘窩を越えて上がっていきました。しかしその後ガイディン
グカテーテルを進めていくと、先端が肘窩付近で抵抗があり、患者さんも痛がりまし
た。そこで、ガイディンクカテーテルをぬいて造影してみますと、橈骨動脈は上腕動
脈とわずかなつながりはありましたが、本来の上腕動脈とは別になっており、上腕動
脈は太い尺骨動脈につながっていました。(写真をご参照下さい。ガイドワイヤーは
橈骨動脈にあります。) やむなく、右上腕動脈から穿刺しなおしてPCIをおこないま
した。
橈骨動脈の異常でTRIが不可能となることは、時にあると思いますが、今回のような
経験をおもちの先生はいらっしゃいますか? 私はTRIの前には、Allen testしかして
いませんが、みなさんはアプローチ部位の確認として事前に何か(エコー・造影など)
チェックしていますでしょうか。



************************************

○○です。

○○先生のケースは、しばしぶつかりますよね。
ひどいひとは、 radialが、鎖骨下動脈で、つながる人がいます。
4frなら、カテーテルできるけど、6ならできないこともあります。とくに、テル
モのシースをつかうと、G.Wが容易にこの小さい血管に抵抗なく入っていくので、
シースをいれて、はじめてきずくことも多いのではないでしょうか?ですから、テル
モワイヤーつかうので、
当院では、必ず造影をしてから、ループを含めて除外してから、できるかどうかの検
討をしています。
通常のコイルワイヤーなら、こんな血管に入らないので、造影はいらないのではない
でしょうか?

************************************

○○です。

○○先生の症例は添付の図(省略します)のように考えると、
本来の橈骨動脈分岐部から上腕動
脈に入らずに、そのまま枝を上行していったために起こったもので、本来の橈骨
動脈はあくまでも上腕動脈から分枝していたと考えてもよいのではないでしょう
か?
橈骨動脈がずーっと上腕部位まで続いていたというよりも、別の枝を上行したと
考える方が自然のような気がしますが。


************************************

○○です。

僕も○○先生の意見に賛成です。よく見ると○○先生の図のような血管が見える
と思います。さらにこの場合にはワイヤを橈骨動脈まで十分に抜いてきて造影す
るとulnar loopがあってloopのちょうどproximalのてっぺんから上腕動脈につな
がる分枝が見えます。斉藤先生の教科書にも載ってたかもしれません。
うちでもこのケースは何例かありましたがループから上腕動脈に入れて(ループ
をちょっと引き伸ばして)そのまま検査・治療してます。

************************************

○○です。

○○先生、大変でしたね。
以前、シースが抜けない!”とめ太で伸びた”の報告をしたのですが、
その後、ゼオンからシースの素材を変えて、シースが伸びにくくしたものを持ってこ
られたので、使っていますが今のところ問題はありません。
先生の使われたシースは改良型だったのでしょうか?
(改良型は伸びにくいですが、裏を返すと切れやすいかも・・・)

先日の話のときに出たように、抵抗のあるときはシースのダイレーターを挿入して抜
くことが必要かと思います。私も二度とシーストラブルはごめんなのでシースを抜く
まではダイレーターを捨てないようにしています。

************************************

○○です。

ATWとrouteの組み合わせは私も良く使います。
大変な状況でうまくbail-outされてご苦労様です。一番やりをサポートにして抜くとい

のは良いテクですね。

さて、今後のために是非教えて欲しいのですが、ビヨーンと伸びたのはATWの方です
か?

************************************

○○です

この走行異常は不完全Ulnar loopで、ワイヤーは
橈骨反回動脈に入っていると理解していいんでしょうか?
今、斉藤先生のTRI2002XPのp26を読んでみました

************************************

○○です。

○○先生、先日は有り難うございました。
また、参加させていただきたいと思います。

ところで、先生のコメントがよく理解できなかったのですが、
このような症例では、ループの合併が高頻度で、
ワイヤーを引いて造影すると、
きっとループが見られたに違いない。
ワイヤーがループのクルクルヘと入り込めず、
代わりに側枝へと入りこんでしまい、
今回のようなことになったという意味でしょうか?
もしそうならば、私の考えは異なります。.

橈骨動脈は上腕動脈との合流前に、
ちょうど肘の辺りから近位側へと向かう枝を出しています。
この枝は通常短いのですが、
腋窩近くで上腕動脈と合流するような長いものも時にあります。
この枝が太く、橈骨動脈の上腕動脈との合流部が細いか存在しない場合、
橈骨動脈の合流異常と呼ばれ(これが○○先生のコメントに相当します)、
この枝が細く、橈骨動脈の上腕動脈合流部がそこそこの太さあれば、
術者が誤って枝に入れたのだと言われます(これが○○先生のコメントに相当しま
す)。

結局のところ、皆さんがおっしゃっているのは、
橈骨動脈の分岐のvariationに過ぎないと思います。
注意すべき点は、枝のほうに入ってしまうと、
上腕動脈に比べて細い血管の中を腋窩までカテーテルが走らなけばならないので、
通常の上腕動脈ルートに比べて操作性が低下し、
spasmの合併も多い点にあると思います。
特に、穿刺部から腋窩までspasmが起きると、
距離が長いためとても面倒なことになりかねません。

さて、○○先生に対する反論ですが、
ループの存在は、動脈のelongationという動脈硬化の一形態に過ぎず、
上記のような解剖学的variationの存在とは直接の関係はないと考えます。
もし、ループと枝の合併が本当に多いとすれば、
それは前述のように、ループが存在すると、
ループをクロスできなかったワイヤーが高率に枝の方へと入り込むため、
クロスできれば知らなかったはずの枝が
術者に認識されてしまうためだと思います。

************************************

○○です。

○○先生、大変でした。
○○先生が書かれたように、切れたシースは外科的に抜去してもらいました。
で、患者は”手術代を払わない”とごねています。
「そんな事言ったら、○○先生の心嚢穿刺代やPB代もとれないじゃないか」などとは
言いません。

で、シースについてですけど、昔のびよーーーーーんとのびるタイプのものです。
引っ張ってみたけど、昔の奴は やはりブチンと切れました。新しいものは切れませ
んでした。

しかしながら、現在は、7センチのショートシースを使ってます。

○○先生にお伺いしたいのですが、現在、TRA/TRIにおけるロングシースとショート
シースのシェアはどのくらいなのですか?

************************************

> さて、○○先生に対する反論ですが、
> ループの存在は、動脈のelongationという動脈硬化の一形態に過ぎず、
> 上記のような解剖学的variationの存在とは直接の関係はないと考えます。
> もし、ループと枝の合併が本当に多いとすれば、
> それは前述のように、ループが存在すると、
> ループをクロスできなかったワイヤーが高率に枝の方へと入り込むため、
> クロスできれば知らなかったはずの枝が
> 術者に認識されてしまうためだと思います。
まさにこの後半の部分が僕の言いたかったことですし、問題の本質です。別に動
脈硬化のelongationでもanatomical variationでもいいんです。ただulnar loop
の際にはまっすぐ走行する分枝にwireが入りやすく、その際にはdiagnostic
catheterだと上がってguiding catheterだと上がらないことがある、しかしその
場合には他の部位を穿刺する前にradialを造影してloopがないかどうか調べる、
そして僕の経験上多くの場合でloop経由で安全に検査・治療ができそれは患者さ
んのためになる、ってことです。

ただloopって全てelongationなんですか?全身の動脈硬化とはあまり関係なさそ
うなんですが。。。

************************************

○○です。

>ただloopって全てelongationなんですか?全身の動脈硬化とはあまり関係なさそ
うなんですが。。。

ulnar loopはelongationと私が勝手に思っていただけで何の根拠もありません。
そもそもulnar loopという呼び方自体が、いつのまにか自然発生しており、
正確な定義は存在しないと思います。
ですから、その機序なんて誰も考察していないと思います。

余談ですが、解剖学的にはradialがulnarと合流するところでradialが回転している
ので
radial loopじゃないかと思うのです。
それで、こういう命名は早い者勝ち的なところがあるので、
まだulnar loopがそう呼ばれ始めだした頃、
自分の論文でradioulnar loopと呼んでみました
(Anatomic variations of the radial artery in patients undergoing
transradial coronary intervention,
Cathet. Cardiovasc. Intervent. 49: 357-362, 2000)。
残念ながら私の呼びかたが普及するには至らず、
いろいろと面倒なので、現在は私自身もulnar loopと呼んでいます。
もしよろしければTRA-netの方だけでもradioulnar loopと呼んでください。

話がそれましたが、elongationの原因についての仮説を述べます。
動脈硬化巣では様々な血管増殖因子が発現しています。
例えば、bFGFやPDGFなどは平滑筋細胞の増殖・遊走を促進し、
内膜や中膜の肥厚を促します。
動脈硬化における血管増殖因子の作用は、
このように血管の短軸方向に作用する面ばかりが注目されていると思います。
しかし、血管増殖因子は長軸方向に血管を長くする作用も当然持っているわけで、
虚血がある時には側副路の形成などとして認められます。
ulnar loopは、虚血はないのですが、それ以外の何らかの原因で
この長軸方向の作用のみが強く発現したケースであり、
狭窄を来すことなくelongationがおき、loopとなったと考えています。
要は、動脈硬化巣における増殖因子の作用が、
血管の短軸方向に働くか長軸方向に働くかの違いではないかというわけで、
もっとも、これも何の根拠もない私の仮説ですが...。

************************************

○○総合病院循環器科の○○です
3月までは○○に勤務しておりましたが,
毎年のように転勤・引っ越ししております

○○先生,いつもお世話になっております
患者さんのいい分は無理もありませんね
こういう場合はPL法が適用されて,
シースのメーカが支払う,なんてことにはならないのでしょうか?


> で、シースについてですけど、昔のびよーーーーーんとのびるタイプのものです。
> 引っ張ってみたけど、昔の奴は やはりブチンと切れました。新しいものは切れませ
> んでした。

私の少ない経験では,シースが切れたことはありませんが,
抜去時にのびることはよくあり,いつも気になっていました
うちは今月からTRA・TRI(先日D1のPCIで初日が出ました)を始めましたが,
改良型のシースなのかどうか確認が必要ですね

************************************

○○です。

○○先生、○○先生resありがとうございます。

> ATWとrouteの組み合わせは私も良く使います。
> 大変な状況でうまくbail-outされてご苦労様です。一番やりをサポートにして抜く
という
> のは良いテクですね。
"一番槍"の中からGWを引き抜くような操作を行ったわけですが、引き抜いた後確認し
ましたところ"一番槍"の先端付近は蛇腹のように縮れていました。
TrapされたGWに滑り込ませるように抜くにはmonoralよりOTW systemのほうが
pushabilityが逃げないような気がしました。

> さて、今後のために是非教えて欲しいのですが、ビヨーンと伸びたのはATWの方で
すか?
ATWを外へ置いていてtrapされました。
ただし、びょ〜んとまでは伸びてません。その一歩手前でcore wireから表面のcoil
spring wireが一部はがれて一部伸びかかっている程度でした。実際、それがx-ray透
視からも分かったので冷や汗をかきました。

ちなみに、どのwireが一番抜き易いと感じておられますか?

************************************

○○です

みなさんレス有難うございます。
私の提示した動脈造影をを本当は動画でみていただくと分かるのですが、○○先生が
図で示してくださった通りの分岐になっていて、その上腕動脈から橈骨動脈への分岐
部に狭窄がありました。そこから上腕動脈へガイディングを進めることは困難でした。

○○先生の言われるulnar loopの形態があったかということにつきましては、シース
をぬいて造影はしていないのですが、手首から橈骨動脈を穿刺した後にRadifocusの
ガイドワイヤーがスルスルと上腕部まで上がっていったときのワイヤーの走行はほぼ
直線化しておりましたので、ulnar loopがありそうには思われませんでした。

○○先生のおっしゃる橈骨動脈の合流異常の説明はよくわかりました。本症例の場合、
上腕動脈の近位部や腋窩動脈のあたりで橈骨動脈とどうつながっていたか造影して確
認しておけばよかったと思いました。また、○○先生の仮説は大変面白く興味深くお
もいました。
************************************

○○です。

Loop + branchの症例の絵を添付しておきます。○○先生の症例もこんな感じだっ
たんじゃないかな?と思います。



************************************

○○です。追加です。

> ○○先生の言われるulnar loopの形態があったかということにつきましては、シース
> をぬいて造影はしていないのですが、手首から橈骨動脈を穿刺した後にRadifocusの
> ガイドワイヤーがスルスルと上腕部まで上がっていったときのワイヤーの走行はほぼ
> 直線化しておりましたので、ulnar loopがありそうには思われませんでした。

うちの症例でも4Fの診断が終わってガイドカテーテルに換えた時に上がらない症
例は2-3例ありましたがloop+branchでした。で、診断の時には「まったく何の抵
抗もなく」心臓まで上がってます。4Fカテーテルで少し抵抗があったか?という
程度です。で問題なく診断まで終わって、その後ガイドが上がらないからでここ
が大事かもしれませんが「ワイヤを抜いて」造影すると明らかにloop+branchの
形態でした。ですからスルスル上に上がるからloopがない、とは言えないと思い
ます。さらにワイヤをこの分枝に残して造影するとloopの本幹側が折れた形になっ
て狭窄のように見えることは十分あるのでないか、と思われます。
結論としてはワイヤ抜いて造影して上腕動脈への経路をはっきりさせて、それで
もwireが上がらなければ断念、というところでしょうか。こういうときは僕はラ
ジフォーカスのJワイヤを使います。小さい先端カーブがloop径にmatchするとき
れいに通過する場合があります。

************************************

○○です。

○○先生の写真についてひとつだけ追加させてください。ワイヤ残して造影した
部分ですが円内の血管壁が明らかにデコボコしてます。まるでaccordionのよう
になってるとおもいませんか?これはloopが実はあるんじゃないかな?って思う
イメージでした。

しつこくて申し訳ありません。。。



************************************

○○病院の○○です。
すっかり春になりましたが、
皆様お元気そうで何よりです。

先日Kokura Liveに行って参りました。
数年前は2000人参加されていたそうですが
今年は約500人だと言ってました。
また、今年で終了という噂が流れていましたが
来年もされるそうです。

さて、CFやERCPでもそうですが、
検査で重大な合併症を生じてしまうと
厄介なことになりますね。
TRAに於ては皆様色々な工夫をされておられますが
その中でカテーテルに関して申しますと、私は慣れ親しんだ
マルチパーパスを捨てました。
これは4Fでは良いものが中々見つからないこと、
マルチはどうしても捩る操作が多く必要ですので
それによって血管に与える影響が増え、スパスム等が
起きやすくなるのでは?と思ったからです。
○○先生の所では5.5Frマルチパーパスを御使用でしたが
もっと小さいサイズで別のカテであれば、例え血管の走行がどうであろうと
違う結果になっていたかもしれませんね。

ところで、私は今の病院に循環器立ち上げに来て丁度1年が経ちました。
立ち上げに際してスッタフの動機付けを行うことはとても重要であろうと
思いますが、最近当科勤務のやる気のある看護婦さんを
1週間ばかりどこかのHigh-volume centerに見学にだそうと思ってます。
彼女達の希望としては

1、循環器病棟、CCU、カテ室を見たい(出来れば心リハも)
2、大都会に行きたい(六本木ナンタラに行きたいそうです)

なのですが、皆様の中で「うちに来てもいいよ!」と言ったいただける
方がおられましたら宜敷くお願いします。

************************************

○○です。

○○先生 ご教示ありがとうございます。

私が6F sheath(M-coat Terumo)を挿入するときに抵抗があったのは、橈骨動脈
のspasmかと思っておりました。先生の言うloop + branchのloopをaccordionにして
いたか、ワイヤーをぬいて造影していないので分かりません。
もう一つ教えて戴きたいのですが、ulnar loopからでるbranchはloopの遠位
側(distal)、近位側(proximal:上腕動脈側)といろいろあるのですか。先生が提示し
てくれた症例の図はloopの遠位からbranchがでていますが、私の症例がloop+branch
としますと、loopの近位からbranchが出ていることになりますね。

************************************

○○です

Radioulnar loopって動脈硬化によるelongationなんですか?
私は解剖学的なanatomical variationと思っていました
だからLoopの頂点から枝が出るのだと

今回の論争を見て、うちでも全例Radial arteryの造影をしてデータを集めて
みようと思います

************************************

○○です。

○○先生 レスポンスが遅くなって申し訳ありません。
IVUSの写真を添付します。
seg11の近位部から中央は石灰化が強くて、よく分からなかったのですが実際は3か
3.5mm
あるのかもしれません。seg11のdistalからseg14にかけては血管径 が
大きくなさそうで、結局1.75mmのburrと2.5mmのballoonを使いました。

#11 Proximal
#11 Mid.
#11 Distal
病変部
#14


************************************

○○です

ちょっと亀レスですが..
 ○○先生、とんだ災難でしたね。お疲れさまです。
 当院では、TRAを始めたばかりのころ、強いradial spasmの症例で、無理やり抜去し
たため、radial  
arteryを損傷し、大血腫となったことがあります。このときは、減張切開を行い、その
後は後遺症もなく改善しました。その後、radial spasm対策シースが開発されること
になりました。

 ところで、radial spasmについては、明確な定義がありません。便宜上は、「挿入
したシースやカテーテルの抜去、操作に強い抵抗を感じるもの」ということになるでし
ょ う。これはあくまでも主観的な定義ですから、腕力の差で、「強い抵抗」の印象も
変わってくることになります。
 そこで当院では、spasmの検討を行うにあたり、シース抜去時の張力を定量してみま
した。
 方法は、シースにアダプター(特注)をつけて、市販のばね秤でシースが動き始める
までの張力を測るという、単純なものです。
 大多数の症例は、50〜100g重で疼痛もなく抜け始めます。300g重あたりでは、疼痛を
訴える例が過半数で、500g重だと全例が疼痛を訴えまし 
た。そこで、300g重をradial spasmありと定義しました。
 最近では、spasmと感じる基準を統一するため、TRA初心者のレジデントにばね秤を引
っ張らせて、「300g重の感覚」を覚えさせてます。現在の 
シースは、PCI時はメディキット6F 17cm、CAGのみの時は4F  
17cm(左TRA)または23cm(右TRA)です。spasm発生時は、もちろんスリットからNTG注
入で、全例安全に抜去できています。



 ゼオンのシースのほうが、延びやすい材質と聞いています。本来ならもう少し粘れた
のでしょうが、シースの一部がもしかしたらキンク?していて、そこが 
切れたのかもしれませんね。どのくらいでちぎれるのか、今度検討してみます。

************************************

○○です。

IVUSの場所としては、proximalから11近位、11中央、病変部、11遠位、14の順で
いいんですよね。テルモの左下のL=の数値もそうなってますので。。。
でこの数値から考えるとmanual pull backでしょうか???11遠位、とあるIVUS
ではすでに3時に側枝が見えますからこれは三分枝よりdistalのはずです。でそ
れ以外の血管径を見てみると、11近位は血管径は3.5-4mm程度、11中央はかなり
石灰化で分かりませんがそれでも3.5mmはあると思います。
ただ病変部は3-3.5mmでnegativeremodelingしてますし、これが典型的な
perforation high risk lesion(高エコー部が血管の中心にあり、プラークは高
エコー偏心性、その対側がプラーク少ない。)ですのでロータブレータ後のIVUS
で病変部の石灰化がかなり無くなっていたらステントするかもしれませんがロー
タブレータ+2.5mmバルーンは大正解だと思います。

************************************

○○です。

6F Penta KBTの成績です。
Pentaのバルーンを使って6FでKBTをしようとするとこれまでしていた方法
(stent balloon first and stent balloon last)では無理なことが分かりまし
た。その訳はPenta balloonのwire exit portの部分が3.1Frあるからです。
でもやりようによっては6FでPenta balloon + 側枝バルーンのKBTが可能です。
その方法はPenta balloonと側枝バルーンを一緒に進めていく、ということです。
これだと側枝バルーンにApollo、Maverick2を使うと可能です。今日も
LMCA-LAD+LCXのKBTを6Frで Penta 3.5+ Apollo 2.5でしました。ガイドカテーテ
ルは70でいけます。結構抵抗はあるんですが可能は可能です。

ps.当然7Fでradialの閉塞リスクのない人は7Fの方がいいです。「できる」のは
できますが結構しづらいですので。

以上、ご報告まで。

************************************

北海道 ○○病院の○○と申します。TRI TRA歴4年です。穿刺は若い先生
にはかないませんが、めがね(老眼鏡)をして、穿刺針を22Gに替えてからうまくなっ
たような気がします。いろいろ勉強させてください。

************************************

○○です。

11遠位は病変部の先のほぼ合流部です。proximalから11近位、11中央、病変部、11遠
位、14の順です。

************************************

○○です。
 ○○先生ご指導ありがとうございました。普段当院では診断の時は4Fのメディ
キットのスリットシースを使用しているのですが・・・。是非自分も張力を測定して
たいと思います。その際のゼオンのシースは確かに延びやすい材質のもので、キンク
もあったと思いますが、カテ操作でねじれてもいたようです。

************************************


○○です。

以前、ご相談した患者さんのその後のご報告です。
"Radialist.com"のTRA-netコーナー61集にupされている方です。

急性期にcalc.の強いLAD take offにCBだけかけて逃げた症例です。慢性期には
healing+positive remodelingでrestenosisなしを期待していましたが先日、F/U CAG
行いましたところやはり、restenosisを来たしておりました。さらにRCA#1,LCx#13も
75%程度の狭窄があり、結局CABGの方針をとりました。

以上、御報告申し上げます。



************************************

はじめまして。
○○医師会病院循環器科の○○と申します。

平成11年 ○○大学医学部卒 今年で5年目になります。
昨年より徐々にですが、PTCA症例を経験させていただいております。

TR approachのPCIも含め、まだまだわからないことだらけですので、
皆様方のご経験に少しでもふれさせていただけましたら幸いと、
参加させていただくこととなりました。
若輩者ですが、よろしくお願いいたします。

************************************

TRA-netの皆様。
○○病院の○○です。
この度北海道で初めてTRIを全面に押し出した
ライブデモを企画致しました。
「北海道TRIライブデモンストレ−ション」と題しまして
5月17日(土)午前9時より当院のカテラボ室から施設内の講堂に
映像をとばします。また、本ライブはテルモ社の主催により、
「"Ryujin"発売記念講演会」として行われます。
Guest Facultyとして、斉藤滋先生、菊池文孝先生、坂井秀章先生、
角辻 暁先生、舛谷元丸先生、伊苅裕二先生、管 好文先生、
吉町文暢先生をお招きし、ミニレクチャ−あり、ミニシンポあり、もちろん
冷や汗たらたら(?)の症例あり、と盛りだくさんの内容と自負しております。
初夏というにはまだ肌寒い札幌ですが、もしご都合がつきましたら
是非ご参加くださいますよう、ご案内申し上げます。

************************************

○○です。

初歩的な質問で恐縮ですが、脳卒中後遺症等で片麻痺のある場合のTRIはどちら
からアプローチした方がいいとお考えでしょうか?またTRI時には静脈ラインは
末梢だけでしょうか?tPMが必要なときはどのように対処されているのでしょう
か?最近難渋例が続いておりチョット悩んでいますので御教授ください。

************************************

○○です

今までそのような経験がないので、自分ならどうするか
考えてみました やはり点滴等は麻痺側からしてはいけないって
研修医時代に教わった経験からして、健常側からします
なんのエビデンスもありません すみません。

TRIにしてからは緊急も本質的には末梢ルートのみです
その分、常にモニターを注意して、早めの対応で乗り切って
います。 若い先生も対応が早くなりました。
また重症例やペーシングが必要な場合は当然中枢ルートを
とっています

************************************

○○です。

初歩的な質問で恐縮ですが、脳卒中後遺症等で片麻痺のある場合のTRIはどちら
からアプローチした方がいいとお考えでしょうか?またTRI時には静脈ラインは
末梢だけでしょうか?tPMが必要なときはどのように対処されているのでしょう
か?最近難渋例が続いておりチョット悩んでいますので御教授ください。

************************************

○○です

追加レスです
カテなどのトラブルは患者さんの症状を良く聞くことで
防げることも多いと思います ですから感覚障害もある
麻痺側では症状等のシグナルがありません
ということで健常側です

************************************

○○です。
現在当院では、TRIの時もソケイも消毒し、必要があればソケイにVシースをとった
り、femoral approachに切り替えたりしています。しかしながら頻度は低いです。
ロータの時はTRIでも必ずVシースをとっていますが、通常のPCIの場合は末梢だけで
す。清潔野から末梢ラインの三括に側管をつなぎ、本管の上流をペアンでクランプす
ると、清潔野から末梢ラインへすかさずIVができます。これは様々な思案の末、今年
に入って思いついたやりかたで、
「外回り要らず」と呼んでいます。
これらは全て、「外回りのスタッフがすばやく動けないことが多い」という、当院特
有の事情に基づいて編み出された手法で、全ての施設で有用とは限りません。でも、
自分的には「外回り要らず」は結構気に入っています。
脳梗塞の方は、基本的には健側アプローチでしょうか。

************************************

○○です。

> 初歩的な質問で恐縮ですが、脳卒中後遺症等で片麻痺のある場合のTRIはどちら
> からアプローチした方がいいとお考えでしょうか?

感覚麻痺(痛みがわからない)側は避けた方が無難と思います。合併症がすぐわ
からないと困るので。痛みがわかれば(運動麻痺があっても)私ならTRAしま
す。

>またTRI時には静脈ラインは末梢だけでしょうか?
私はそうです。
これは、昇圧剤など緊急を要する薬剤を入れるルートをどうするかという質問だ
と思いました。
私は末梢ルートから看護婦さんに入れてもらうか、カテを冠動脈からはずして
(浮かせて)カテ先から入れることもあります。

>tPMが必要なときはどのように対処されているのでしょう か?
tPAのことだと思いますが、ちょっと質問の意味が解りませんでした。
抹消投与のtPAが必要な時のルートはどこから?という質問でしょうか。
カテが始まった後は、冠注用でも末梢用でも私はカテ先から冠注します。

************************************

○○です。

僕の考え、ですが
もしトラぶった時に健側に新たな麻痺・感覚傷害を起こすとADLはガタ落ち、で
すよね、だから万一何か起こしてもADLの低下の少ない健側を選択します。

************************************

○○です。
最近ROM化しておりますので、久しぶりにレスつけます。
○○先生、年末は鎌倉ライブで御世話になりました。有難うございました。今回
のライヴの御成功をお祈りします。

さて、tPMって体外式ペースメーカーのことではないでしょうか?>○○先生
略語や業界用語はかなり地域差があり、私は昨年○○から○○へ異動した際に、改め
て痛感しました。
たとえば○○大学系の先生が良く使う、「キョウシャ」は胸部レントゲン写真のこと
ですが、
関東では全く通用しません。その他○○で普通に使っていたRHDも最初
は通じませんでした。

さて本題ですが、アプローチサイドに関しては、TRIにおいてはガイドカテのカーヴ
の問題や、広くはカテ室の構造やモダリティの配置で議論されてきました。
麻痺のある患者さんでは、どちらが良いのか?私もふと考えてみましたが、非麻痺側
が良いような気がします。
先生方のご指摘のように、非麻痺側においては、疼痛などのサインを発見しやすいメ
リットもありますし、
関節の拘縮が穿刺の妨げになることも無いと思います。
個人的にはあまりTRA/TRIに拘らずに、大腿アプローチを選択することもあります。

○○先生のコメントに質問です。TRAではそもそも穿刺に関わるトラブルの頻度は極
めて低いのですが、
やはりRSDの問題もありますので、合併症を起したらQOLが低下するという心配は常に
あります。

>もしトラぶった時に健側に新たな麻痺・感覚傷害を起こすとADLはガタ落ち、
>ですよね、だから万一何か起こしてもADLの低下の少ない健側を選択します。

ってよく解からないのですが、そうであれば麻痺側を選択するのではないでしょうか

愚かな質問だと怒らずに教えて下さい。(○○テニス部の後輩より)

************************************

○○です。

多数の御意見をありがとうございました。tPMとは体外式ペースメーカーを自己
流に略してしまいました、分かりづらくて申し訳ありませんでした。ところで静
脈ラインのことですが、私がカテを教わった頃はTFIが主流でPCI時はルーチンに
シースを静脈にも挿入していました。先生方の施設ではTFI時も静脈ラインは末
梢だけでしょうか?

************************************

○○です。

○○先生の疑問について(同じ職場なのにわざわざTRA-netを使うのは決して口も利
かないほど仲が悪いというわけではありません、○○先生が本日外勤で病院にいない
のでこのような形をとりました。あと私も最近ROMばかりなので皆さまに忘れられな
いようにと、、、)。

たぶん○○先生の懸念は右TRAで右の腕頭のプラークを飛ばすと左の麻痺が起きる。
つまり麻痺側からアプローチで麻痺側の頭に飛ぶと健常側もやられてしまうって事で
すよね。(あっ でも上行大動脈のプラークはそういうわけにいかないか!!)私も
基本的には○○先生がおっしゃるように健常側からのアプローチが良いと思います。
足からにするかどうかは患者がその後の安静が保てるような状態かにかかわってくる
と思いますが、今はcloserもあるしアプローチに関しては術者の経験則による部分が
大きいかと思います。ペースメーカーも足や内頚から入れることもありますし。
ところで○○先生、5月30日の横浜でのIVUS講演会、緒方共々非常に楽しみにしてい
ます。よろしくお願いいたします.

************************************

○○です。

うちのスタッフからも何のことか解らないって言われてしまいましたが。。。
○○先生の言われるとおりです。脳のことです。当然上行大動脈は一緒ですがそ
れでもリスクを減らしたいので。。。
Radial、上腕自体は感覚障害があってもあまりかわらないと思います。通常のカ
テーテル中に患者さんに痛いと言われて操作を修正することはほとんどありませ
んので。

静脈は末梢ルートだけです。基本的になんら問題ありません。前の病院では
femoralでしたが肺塞栓症例があってからVシースは入れませんでしたから状況は
ほぼ一緒ですね。

************************************

○○です

PCI時の静脈路の件ですが以前は末梢の点滴ルートのみでしたが2回ほど遷延する血
圧低下と極端な徐脈を経験してからペーシングカテ挿入用と緊急時の静注用として肘
の静脈より6Fシースを入れています。(全例ではありませんが)
スワンガンツならとう側皮静脈でもOKですがペーシングとなると尺側皮静脈でないと
困難なのと、内頚、鎖骨下に比べるとカテ操作がやや困難なのが難点ですが一番簡単
な方法と思ってやっています。

************************************

○○です

初めて質問させていただきます。
TRAの際に、スワンガンツカテーテルはどこからアプローチされているのでしょう
か。
当院では7Frのカテを使っており、大腿静脈からアプローチしています。
皆様の施設では前腕の静脈からアプローチされているのでしょうか。

************************************



第69集

************************************

○○です。
この2ヶ月で、2例のMLpentaのperforationを経験しましたので、報告します。
procedureや、IVUSの読み方について、コメント頂ければ、幸いです。画像を沢山送
りますので、ご迷惑をおかけします。(圧縮してますので、ご勘弁を!)

症例1:80歳女性
AMI(anterior)にて来院。RCA #1:CTO, intracollateralで#2以下がちょろちょろと流
れる程度。4AVは、LCX末梢からかなりdelayに造影されました。LAD#7diffuseに細
く、D2分枝直前に99%狭窄があり、それ以下の前壁虚血に加え、septal brを介した
下壁虚血を起こし、肺水腫の状態でした。腹部に拍動性腫瘤があり、血圧は十分保た
れていたので、IABPは置かず、まず、RCAのCTO開けに着手し、成功、#1: MLtristar
4.0*18, #2: MLpenta 3.5*23を留置しました。次に、LADに着手、#7の病変は硬く、
M-II2.5mm通過せず、Ryujin1.5mmにて拡張、2.5mmにて再拡張し、IVUS施行。D2分枝
前後の石灰化は全周性で強く、バルーンの通過性も悪かったので、Velocity2.5*18を
留置。その手前の#6‐#7の病変は、石灰化は90度程度で、reference 3.8mm程度で
したので、MLpenta3.5*23を最初10atmで拡張、バルーン中央部の拡張がいまひとつ
だったので12atmまで上げ、計40sec拡張しました。そこで、ステント中央よりやや
distal、diagonal側にジェットとともに、大輪の花を咲かせてしまいました。ステン
トバルーンで7分間押さえ、勢いは弱ってきたので、プロタミン3ml投与し、
perfusion balloon 15分で止血できました。ここで、老婆心から、どこで破れたのか
調べてやろうと、IVUS施行。MLpentaは、3.3*4.1mmと楕円状に拡大、図の3時方向に
ストラットが突出しているように見えました。(D2は4時より流入しており、angio上
の方向とも一致します。)石灰化病変に隣接した健常部分にステントが過拡張したと
思われました。これからが、ほんとに蛇足なのですが、IVUSを抜いたところで、slow
flowとなり、血圧低下し、ショックとなってしまい、4AVまで閉塞、IABPを入れざる
を得ませんでした。4AV: MLpenta 2.5*18留置し、何とか血行動態も回復し、帰室と
なりましたが、造影剤320ml使用。CPK 2500をピークに減少しかけていたのですが、2
日目に10000まで急上昇。CK-MBは180と全く変化なく、IABPによるshower embolismと
思われました。これにより、無尿となってしまい、透析施行、1ヶ月以上を経過しま
したが、腎機能は改善せず、維持透析に移行しそうです。

LAD LA0-Cra
LAD RAO-Cra
RCA pre
RCA post
LAD POBA
LAD Stent
Perforation
last
IVUS pre
IVUS post


症例2:91歳女性
頻回に突然の肺水腫を繰り返すために、心カテ施行。#13:99%を認め、結構立派な
#14,#15がありました(QCA 2.6mm)。M-II 2.0mm拡張後、ML penta 3.0*18mm留置。1ヶ
月前に、症例1の経験がありましたので、pentaは、絶対10atmまでと、やや
indenntationが取れてなかったのですが、じっと我慢の45秒。残念ながら、oozing様
の造影剤漏出を認め、stent balloon5分、プロタミン3ml投与にて止血はできまし
た。しかしながら、ステント中央部からdistalにflapようのものが見られ、
psudoaneurysmになっているのかもしれません。前例があったので、恐ろしくて、
IVUSはしていません。(もちろん、IVUS不幸か県では、査定は厳しく、当院2月の使
用6本中2本切られました。)

(1)perforation後の、プロタミン投与の有無と、その量について
(2)perforation後のIVUSの注意点
(3)ML pentaの拡張プロトコールと、初回拡張不全時の対処法
上記についても、ご教授いただけると幸甚です。

CX pre
STENT
perforation
POST
POST


************************************

○○です。

○○先生、大変な症例、お疲れ様でした。

perforationの原因ですが、やはり、2例とも、angioを拝見する限りは、sizingなの
ではないでしょうか? 症例1は、2.5mmでpreしたあとのIVUSですから、3.8mmとい
うreferenceがやや過大評価なのかもしれませんね。BXやTristarと違って、明らかに
今までの感覚からすると、half size downで使うほうが良いように思います。僕も、
3月ですが、右冠動脈左Valsalva洞起枝に、5Frガイドをanchoringでdeepして、いま
までの調子でPenta 4.0-15を入れたら、近位端から漏れてひやっとしました。

Perforation時のプロタミンですが、full reverseして長時間拡張をすると今度は血
栓で難渋することがあります。Perforationの生じたタイミングにもよりますが、術
前に投与したヘパリンの半量を投与し、ACT測っています。一応、ACT 180秒くらいを
目処にしています。

IVUSでslow flowになったとすると、一番考えられるのは、どこかでairが入ったので
はないかとおもわれます。かなり念入りにフラッシュしても、マニュアルで入れなお
す際などに、airが入ることもありますよね。そのあたりいかがでしょうか?

どうも、僕個人としては、このステントは、sizingなどが難しく、perforationの危
険性がすこし高いようなので、ウチではSシリーズやBXを依然主力に使っています。
Classic MLのように、再狭窄率で明らかによいなら話は別になりますが、知り合いの
外国の先生方に伺う限りは、deliveryにはみなさんとても満足されているものの、再
狭窄率については、特にpositiveなご意見はもらっていません。もちろん、negative
なご意見も聞いていません。

************************************

○○です。

Penta 6F KBT、その後の情報です。
一応、Apollo, Maverick2, VictoXで6F KBTが可能でした。
どれもPenta balloonと側枝バルーンを一緒に進める、というのがポイントです。
ただ、結構抵抗はあります。それとVictoXは回収時に断裂ではないですがシャフ
トが伸びてしまう可能性があります。

************************************

○○です
 
このNo2に関しては3.0mmは大きくないと思います
圧も上げていないし
一つ気になるのはPentaを#15方面に入れていることです
#14方面ではサイズは問題ないと思います
いずれにせよPentaでindentation取れていないからと圧を
上げるのは危険だと思います
 
私も○○先生と同じでハーフサイズダウンで圧で大きさを
調整しています

************************************

○○です

このNo.1はIVUSはどこですか?
病変部のIVUSだと3.0のPentaだと思います
この石灰化のあるのはやばそうですね
いずれにしても、サイズがオーバーだったんでしょうか?

IVUSの件ですが、やはりAir emboriじゃないでようか
気が付かないうちにってのを昔何回かやりました
今はかなり気をつけていますので、事故はなくなりました

************************************

○○です。

初めてレスをつけさせていただきます。
Pentaは私もIVUSでのサイズのハーフサイズダウンで入れています。
初めてPentaを使った時に3.0mmを8気圧で拡張したら
IVUSで内腔3.3mmあったのでその様にしてます。
しかし今日Penta(3.0mm×8mm)をハーフサイズダウンで8気圧で入れてindentation
が取れてないので
(この時はflapはありませんでした)12気圧に上げると見事に末梢にflapが入りまし
た。
確かにindentationが取れてないからと圧を上げるのは危険そうです。
何か良い方法があれば教えてください。

************************************

○○です。
○○先生、○○先生resありがとうございます。

No.1の症例のIVUSは、perforation siteです。あとから見直してみれば、reference
の過大評価が多分にあったと反省しています。しかも、hard calcificationがあった
ことを考えれば、half size downすべきでした。従来のステントならば、#6-#7に
3.0*23のlong stentを入れると、restenosisも多く、経験則から、3.5mmを選択して
しまった点も反省です。ただ、このステント、indentationが取れないと、躍起に
なって圧をかけるとdog-born現象や、ステントの変形がおきやすいように思います。
10-12気圧という比較的低い圧でperforationが起きたことは、stent balloonが、
semi-complianceに近かったり、ストラットが薄くなり、障害のない方向へ拡張もし
やすくなったのではないかと思ってしまいました。内径表示で、tristarよりも事実
上、quater大きいなんて、No.1の症例の時には知らされてなかったのも、敗因です。
最近は、8気圧でいったん造影し、indentation取れない場合は、low-com balloonを
出すことにしています。(tristarを選択する例も増えました。)
IVUS後のslow flowは、プロタミン投与後のperfusion balloonで作った血栓を飛ばし
てしまったのではないかと思ってました。flushは、確認したつもりだったのです
が、時間が長くなったので、おざなりになっていたかもしれません。今後は十分気を
つけます。

************************************

○○です。

○○先生の症例1へのコメントです。
症例1のPenta 3.5は大きすぎると思います。ステントのサイズ決めですが、
Pentaが出てから色々考えて現在はIVUSから最終ステント径を予想してそれに合
うステント径を選択する、つまり症例1だったら最終獲得径が3.0-3.5と考えて
Pentaだったら3.0、Bx Tristarなら3.5を選択します。余談ですが、package
sizeに対し大体何%拡張が得られるかを各ステントの性質としてしっておくべき
ですね。それをみんなで共有すれば危ないことは減ると思いませんか?
それとこの症例でのIVUS後のslow flowは僕は血栓だと思います。Bx 2.5はD2を
jailして入ってるんですよね、そのdistalの狭窄が残っててIVUSカテーテルで
flowがなくなってプロタミンでACTがほぼ正常化してる、こんな状況だったらす
ぐに血栓だらけ、と思います。RCAの出来上がりも4AVちょっとやばそうに思いま
す、これも拡げといた方がよかったのでは、と後から言っても、ですが。

************************************

○○です。

2例目は○○先生が言われているように#13(心房側)に向けて入れたのが問題じゃ
ないでしょうか、というか、問題ですよね。#14(まっすぐ)に入れたらまだよ
かったと思いますし、こういうproximalとdistalの血管径の差があるような症例
こそIVUS。。。なんですが。。。辛いところですね。でもこの症例最初の2.0mm
のバルーンを使用せずにIVUS、なら保険で切られても絶対文句を言って通せる、
と思いますが。。。福岡の事情も察しますのでこれ以上はやめておきます。

で、先生のご質問には、
(1)プロタミンはまず使わずに止血を始めます。僕はプロタミンをできるだけ使
わない教育を受けたのでこうしてます。結構止血します、プロタミンなしでも。
ただどうしても止まらなければヘパリン量と時間で量を決めてます。
(2)IVUSは血栓が最悪の状況をもたらします、症例1もその可能性が高いです、だ
から血栓ができる状況ならしないほうがいいです。IVUSをするかどうかはIVUSで
得られる情報とIVUSによるリスク(血栓やairなど全ての)のバランスなのです
がリスクの少ない状況なら基本的にしています。
(3)径の選択は症例1に書いたとおりです。拡張の仕方は低圧から2atmずつ上げて
いく、BxやTristarの大きいサイズのときと全く一緒です。Indentationが残った
ら、これはPentaだけではありませんが小さいサイズのコンプライアンスの低い
バルーンに換えます。

************************************

○○といいます。

学会よりはやくこういった情報がもらえるというのは、このメーリングはやっぱ
り勉強になるなあと感じます。写真もゆっくり見れますし。

はじめましてで恐縮なんですが、dog-born現象でなんですか?自分で調べろとお
こられちゃうかもしれませんが、後生と思って教えてください。

どうぞよろしくお願いします。

************************************

○○です

5/17日 ○○病院で開催された北海道TRI LIVEに
参加してきました
○○先生、○○先生、北海道の先生方お疲れ様でした
○○病院のスタッフの皆様お疲れ様でした
とても有意義な会で楽しく勉強させて頂きました

私はというと、ガイディングなかなかかかからず、
焦ってしまいました 結局 ○○先生のアドバイスのより
IR1.5を左にかけて、手技を終えました
ありがとうございました まだまだ修行が足らんと自覚しました
今後も精進していきます

************************************

○○です。

○○病院でのTRIライブご苦労様でした。
夜中の2時まで、”クレイジーなすすきのの夜 (予定通りか?)”でした。

○○先生の症例で、○○先生が”これはいかん ”とばかりに控え室からカテ室
に飛んで行かれた時には、”○○先生、○○のカテ室乱入か?”と控え室で
は盛り上がったのですが、無事にガイドカテ(イカリカテ)が決まりホッとしま
した。

また、○○先生も司会でTRIの良さだけではなく、このTRA-netまで宣伝して
頂き、有り難うございました。
○○先生をはじめ、北海道のインターベンショナリストのみなさん、スタッフの
みなさん、誠に有り難うございました。

************************************

○○です

北海道TRIライブ、参加させていただきました。

多彩な症例勉強になりました。
難しい症例も、諸先生方がトラブルなくどんどんこなしていったのを間近で見させて
いただいて、本当に勉強になりました。
とくにガイドカテの使い方。多様であり、いろいろな考え方が有るのを直接聞くこと
ができましてとても勉強になりました。

スポンサー様には申し訳ないのですが、テルモのバルーンの評価は...みなさま、だ
いたい一致していたのがおかしかったです。

私自身は5Fr GCのいいところを見せる事ができずに残念です。
5Fr de Percuの予定が、腕橈動脈の蛇行のためにガイドカテが折れたり、カテコント
ロールが困難で、ただのdirect stentingになってしまいました。
未熟ですみません。精進いたします。

でも、齋藤滋先生が素晴らしい技をご披露くださったので5Frファンが増えるのでは
ないかなぁと思いました。
5Fr GCをズブズブdeepして見せてくださったり、5FrGCでもペンタ使用で2本ワイヤー
が入る所をライブで見せてくださっていたので嬉しかったです。

○○からは近いようでも、なかなか行く機会がないので、久しぶりの北海道でした。
本当に楽しかったです。
けっきょく、ラーメンを食べずに帰ってきてしまいましたけど。

皆さま、有り難うございました。お疲れさまでした。

************************************

○○です。

北海道TRIライブに参加していただきました
先生方、本当に有り難うございました。
また、ゲストオペレ−タ−を快く引き受けていただきました
斉藤先生、○○先生、○○先生、○○先生、○○先生、
○○先生、○○先生、○○先生、本当に有り難うございました。
北海道での初めてのTRIライブという事で
150名以上の参加があり、大盛況でした。
北海道はまだまだTRIの普及率が低く、このライブで
新しい風を吹き込むことができたのではないかと
思います。
夜のススキノでの第2研究会?も、すごかったですよね。
とてもここでは書けませんが・・・。
来年も開催する方向で検討中です。
今後ともよろしくお願い申し上げます。

************************************

○○です。
○○先生、○○先生resありがとうございます。

症例1は、4/2に施行した例で、まだ、pentaが出回り始めた頃でしたので、「half
size downした方が良い」という情報もなく、単なるtristarの後継品と考えていた
ら、大やけどの症例でした。以前このnetで出た○○先生の症例を見て、似たような
症例だったので、やっぱりそうなのかと得心しました。本当にこのnetの効用は大き
いと思います。

> それとこの症例でのIVUS後のslow flowは僕は血栓だと思います。Bx 2.5はD2を
> jailして入ってるんですよね、そのdistalの狭窄が残っててIVUSカテーテルで
> flowがなくなってプロタミンでACTがほぼ正常化してる、こんな状況だったらす
> ぐに血栓だらけ、と思います。
BX2.5は、D2をjailしています。この部分の石灰化が最も厳しく、balloonの通過も厳
しかったので、まず、2.5mmのステントを置いて、3mmのバルーンで後拡張するつもり
でした。拡張不十分であった可能性は否定できず、ここに血栓が出来ていたのかも知
れません。

RCAの出来上がりも4AVちょっとやばそうに思いま
> す、これも拡げといた方がよかったのでは、と後から言っても、ですが。
RCA#1-#2 CTOが開いて、4AV近位に90%狭窄があったのですが、LCXからcollateralも
あったので、慢性期にPCIする予定で、LADのPCIに移りました。(掲載図はこの時点
のものでした。)御懸念のとおり、結局、slow flowでshockになって、4AV閉塞し、
stent留置しています。合計ステント5本、バルーン3本使って、おまけにIVUSで、
保険の査定が恐ろしいです。先日、follow up CAG施行し、RCAは、問題なく、LAD
も、pentaの部分に血栓や狭窄はなし。BXが、50%弱でしたが、十分末梢へのflowは確
保できており、2-3ヶ月後にfollow upしたいと思います。

> 2例目は○○先生が言われているように#13(心房側)に向けて入れたのが問題じゃ
> ないでしょうか、というか、問題ですよね。#14(まっすぐ)に入れたらまだよ
> かったと思いますし、こういうproximalとdistalの血管径の差があるような症例
> こそIVUS。。。
2mm拡張後、#13近位部には、狭窄が残っているように見え、#14には、ないように見
えたものですから、このように置いてしまいました。確かに、冠動脈走行、心室筋の
潅流面積のことも考えれば、#14方向に置くべきでした。

dog-born現象:綴りが間違ってました。dog-boneで、ダンベルの形にバルーンが変形
することです。犬が生まれたんじゃ、しょうがないですよね。お悩みさせてすみませ
ん。

このような失敗症例でも、数多くコメントを頂き、ありがとうございました。これを
励みに、九州の田舎からも頑張ってPCIしたいと思います。

************************************

○○です。

○○先生、○○先生お疲れ様でした。
すすきの第二研究会では飲みすぎ状態でしたが、TRIのテーマソングを皆様と合唱させ
ていただき楽しく過ごしました。

さて、「○○のカテ室乱入」について、酔いが覚めた状態で一言。
○○先生の症例は、大変小柄な女性で、細いLADへのPCIでした。Ikari-L3.5でも大
きく、かつJudkins L3.0でも大きいということで、なかなかガイドカテが決まら
ず、「アンプラッツで上向きにいれて」という議論の途中で乱入させていただきまし
た。

Ikariカテを使用すると、気が付くのですが、IRを入れるときにいつも左に入りそうに
なります。そこで左も使えるのではという誘惑にかられて、何例か試したことがありま
すが、IRを左に使うと先が短くてバックアップが弱いという弱点があります。もともと
右用を左につかっているので合うわけがないのですが、使い道としては、ものすごく大
動脈が小さくて、JL3.0でも大きい場合にはIRならうまくいけるのではと、実は以前
より狙っていた裏技だったのです。

ただ、小さなおばあさんはradialも細いか、体が小さくても大動脈が蛇行しているか
で、私自身は試したことがなかったのですが、○○先生は見事にIRで左のPCIを最後ま
でやりきっていただきました。Ikariカテユーザーからいうと、ものすごい裏技のハイ
パーテクニックです。改めて、拍手!

さて、今回わかったのは、IR1.5よりたぶんIR2.0のほうが良かったのではないかとい
うことです。もし、大動脈が小さな方への左冠動脈へのPCIで、JudkinsL3.0でも大きく
て困ったときにはIkari-R 2.0という裏技をお試しあれ。

************************************

○○です

○○先生 ありがとうございます
以前にRCAにIR1.5を使用した後にLCAに使用したことあったのですが
それは、先日の様な使い方ではなくてちゃんとLCAにエンゲージ
できました。 でも、バックアップは全くありませんでした
先日の様に反対側のカスプに押しつけたら最高のバックアップです
IR2.0ならエンゲージもできたと思います
これからチャンスがあったら試してみようと思います
ちなみにIL-3.5はRCAに用いても全く問題なく使用できます

************************************

○○です。
○○先生のメールは、他人ことではなくスリルを持って読ませていただいています。

PENTAに関してですが、先日やぶって以降
1.(慣れるまでは)DIRECT STENTはしない。
2.preにIVUSは必須。
3.ハーフサイズダウン。
4.無理してインデントはとらず、ivus後postでHPバルーンをだす。

と、自然とバルーンの使用本数が増えるので、うちのスタッフは昔ながらの慣れたス
テントに回帰しています。今のところpentaは患者のコロナリーの状況に左右されや
すいtrickyなステントといった印象があります。その特性になれるまでは、慎重に
使っていこうと考えています。(しかし、guidant社はPENTAと入れ替えにTRISTARと
OLD MLSを全部連れ去っていきました。トホホです。)

もちろん“5Frでペンタ”は、破れなければ最高です。

************************************

○○です。

みなさん、Pentaに対して大分慎重のようですが。。。
僕は全てPentaに変更して最近は他のステントを全く使ってません。
Penta使用時の注意点は、
1. IVUSを見る
2. 最終ステント獲得径を予想する
3. compliance chartをみてどのサイズの何気圧が相当するかをみる
4. それを入れてその気圧までかけて拡張の具合を見る

directでも(慣れれば)全く問題なし、です。これだとpost balloonの比率はそ
れほど上がりません。

5FでPentaには "no comment" です。
とにかくPentaになってからcompliance chartをよく見てます。やっと
compliance chartが意味があるデバイス、と思ってます。

あと、CVISだと少し大きめに見えているのも重要です。3-5%大きすぎますからそ
こも注意が必要です。

************************************

○○です

北海道TRI LIVEに行ってきました。
○○先生、○○先生、術者の先生方お疲れ様でした。

アットホームなライブが昼だけでなく夜まで続き、楽しませて頂きました。
また、前日の飲み会では齋藤滋先生に何回となくお酌をして頂いたり・・・

TRIのいろんな考え方・流儀にふれ頭の整理がついたのか混乱したのか・・
とにかく、早く皆さん方のようになれる様、頑張らなアカン!!と思いました。

PS. なぜだか、ちょっと風邪をこじらせました・・・

************************************

○○です

Pentaはうちでも始めのうちは全例使用して色々な
感触を確かめました
そこで、今の感想を私なりに・・・
(1) IVUSなしでは怖い
(2) ハーフサイズダウンで後は圧で大きさを調節できる
(3) 側枝へのアプローチはばっちり!
(4) 屈曲病変にも強そう
(5) ひょっとしてRadial Forceが弱いかも
(6) 大きなサイズだったらBxと同じか負けるかも
(7) だったらスモールステントにばっちり??

ということで、○○先生と同じようにtrickyなステントだと
思います。 どう使えばいいか最近考えています
もう少し 症例を重ねて見ます みなさんのご意見もお願いします

************************************

○○です。

○○先生の症例について、結果的に良好な結果となったのですが、どうも釈然と
しない点が。。。それは結局あの症例でガイドカテーテルはengageしてないです
よね、しかも結構ostiumからは離れてましたしバルーンのanchorの状態でもガイ
ドカテーテルが引き込まれない状態でした。ということはあの状態でのIRはいい
選択とはいえないのではないでしょうか???あまりIkariカテーテルを使って
ないませんので確定的なことはいえませんが。。。あの症例のガイドカテーテル
の問題はカスプの大きさよりLMCAがかなり上を向いていたことだと思います(カ
スプが小さめも余計この状況を極端にしてはいましたが)。つまりガイドカテー
テルの先端が上を向くことの方が重要で結局アンプラッツの方がbetterだったの
ではないか、と考え直しても思うのですがいかがでしょうか???

************************************

入会のごあいさつ
5月17日札幌市での北海道TRIライブデモでは諸先生方どうも
ありがとうございました.Pentaの注意点は22日に初めて使用
する予定なのでとても参考になりました.
今後ともどうぞよろしくお願いします.

************************************

○○

○○先生のご指摘の通りだと思います
ただ、あまりにもカスプ小さかったので、アンプラッツが入るか
どうか自信がありませんでした
私も、あの症例のガイドについて色々と考えていました
結果、あのようなトリッキーな使い方で事なきを得ましたが・・・
○○先生のご指摘のように造影も悪いし、アンカーを途中で
少しかけてみてエンゲージを試みましたが入りませんでした

小さいアンプラッツなら問題なかったんでしょう・・・???
もしアンプラッツならサイズは何を選択すればいいのでしょう?
普段はイカリ&ジャドキンス派なんで ご教授下さい

************************************

○○です。

AL1.0でしょうか。。。うちではRtRadialで少しでも病変でback upが欲しそうな
らAL1.5が標準です。だから小さめだったらAL1.0、という単純な考え方です。
SALもありますがshortじゃない方がいいと思います。

それはそうとあの時○○先生が何かこれがいい、と言われてましたが何でしたっ
け。。。というか○○先生はTRAnetに入られてます???

************************************

○○です。

北海道TRIライブですが、日程的に都合がつかず、参加できず申し訳ありませんでし
た。多くのメールから、会場の活気が伝わってきます。
さて、議論になっている○○先生の症例ですが、画像を拝見していないので一般論で
お話しますが、○○先生のレスにある、

>カスプの大きさよりLMCAがかなり上を向いていたことだと思います

ですが、僕なりには、“垂直LMT”と呼んでいて、PS stentの時代は、Judkinsの
back-upではなかなかdeliveryができず苦労させられました。カスプの大きさがそれ
なりにあれば、小さめのEBU/XBでいけますが、今回の症例は難しそうです。ひとつの
代案は、Champで、2.5くらいのサイズをSonesの要領で使うと、同軸にengageできる
ことが少なくないです。バックアップもしっかりとれます。また、小さなJLが、LCx
方向にはいれば、ダミーワイヤをLCxにいれて押し付けてカテを浮かし、LADをもう
一本でゲット、最終的にanchoringでカテ先端の移し変えはできなかったでしょう
か? Junkinsはこの使い方では、よく変形してくれて、上を向きます。

可能でしたら、画像をアップしていただけると皆の勉強になると思います。

余談になりますが、ぺンタですが、自分と同じような印象をもたれている先生が少な
くないので安心しました。

************************************

○○です

○○先生の「○○の乱入」がなければSAL1.0かAL1.0かな
と考えていました。
でも、IRも使ってみたかったので、ちょっと裏技でしたけど
これだ!っと思いました 結果はあのような感じでしたね

************************************

○○です

北海道TRIライブで、5Fr で4.0mmのdirect Pentaをして、○○先生や他の皆さまに
“aggressive!”と言われたのですが、本当は根性無しの私です。
あの症例は、(1)末梢にS670の4.0mmが入っていたこと(2)最近すすんだ狭窄であり柔
らかい病変が予想されること(3)入口部からも多少屈曲があり通過性を重視したこ
と...などよりIVUS無しでPenta 4.0mmをdirectしました。

Pentaで5Frでdirect stentingは時々やっています。今のところ花は咲いておりませ
ん。half size downも考えていません。そんなにツチノコにもなっていません。むし
ろ、TRISTAR時代の方が何も考えないで高圧拡張していたのでツチノコが多かったか
もしれないです。IVUS率はそんなに高くないです(IVUSで硬い病変で有ればもちろ
んdirect stentingはしません)。
圧をうーんとゆっくり、少しずつ上げています。4〜6気圧でずれていないことを確認
(ここですでに10秒)、8気圧で一度シネで確認(すでに20秒くらい経過。STが上がっ
て患者さん苦しいと言い出すがシカト!)、徐々に10〜12〜14気圧と上げていってま
す(ここで30秒を越して、さすがに可哀想になってくるので「もう少し頑張って!」
と患者さんに声をかける)。目標の大きさには10〜12気圧で十分達している事が多い
と思います。透視で見ながらちょっと大きくなったかなぁと思ったらすぐに圧を少し
ずつ下げています。とても反応の悪いballoonだと思いますので、しっかり目で見て
大きさを確認しながらやるように心がけています。全部で30〜60secの拡張時間です。
私は高圧高速拡張派だったのですが、Pentaになってからは低圧低速拡張派です。
BX Velocityなどは、なにも考えずに“inflation ! 22気圧....(10秒後)....は
いdeflation !”と叫んでいたのが嘘のようです(実はこの時はballoonが拡がりきっ
ていなかったのかもしれないですけど...)。

Direct stentigはその他のstent使用時でも無理にindentaionをとることは避けてい
ます。根性無しなので、ちょっとダメならすぐにshort balloonでpostをかけるよう
に進路変更です。

Pentaは、できればpreで十分拡げて、なるべく低圧でstentを置いてくるという方法
がいいような気がします。
direct stenting事態私は余り好きではないのですが、このご時世と、大学病院なら
ではの「モノを使うな!」命令と、昨年までいっしょにお仕事をしていたDr.Mこと○○
先生の影響がありまして、それなりにやるようになりました。

Segment 6 proximalのDCA後にはNIR使っています。
昨日はsizeの問題で、Velocityの思いっきり大きい物をsegment 1に22気圧で入れま
した。
その他は現在当院は、ほとんどPentaです。
そんなにいいところが多いワケでは無いのでしょうが、悪いところも見つからないの
で...
○○地区ではPenta屋さん儲かっていると思いますが、そのわりに挨拶ないんですよ。

************************************

○○市にあります○○病院に勤務しております○○と申します。(○○
病院は○○で2病院しかないロータ可能な施設の1つです。)
このたびTRA-netへの入会を認めていただきありがとうございます。
私は平成8年○○大学卒業で、その後○○、○○、○○、○○と全国を転々とし今年の
春から現在の○○病院へ勤務しております。
札幌で勤務した際には○○の○○先生、○○病院の○○先生に大変お世話になりまし
た。そういった先生方に少しでも近づけるようにがんばろうと思っております。
TRA-netには、基本的なことでも「聞くは一瞬の恥、聞かぬは一生の恥」と心に決
め、いろいろ疑問を持ち込みたいと思っております。諸先生方にはあきれることなく
お答えいただければ幸いです。
それでは今後よろしくお願いいたします。

************************************

○○です。
北海道TRIライブの症例で熱い議論をしていただいて
ありがとうございます。仕掛け人冥利につきます。
この症例ですが、緊急造影の時に使った診断カテは
左右両用カテのJackey cath.というもので、北海道地方で
よく使われているタイプです。第1-第2カ−ブはジャドキンス
に似ており、先端はアンプラッツのように軽い外向きカ−ブが
ついてます。主治医に聞きましたら、当日はそんなに苦労せずに
入ったとか・・・。今映像を見てもやはり、下のカスプから持ち上がった
状態で入ってますので、私もライブの時は、AL-1.5をカスプに
押しつけて、カテ先があがったところで、反時計回りのトルクで
少々きつめで入るのかな、と思ったんですけど・・。
ご教示ください。画像アップします。



************************************

○○です。

○○先生、早速の画像アップありがとうございます。拝見する限りは、ガイドカテで
そんなに苦労しそうには見えないですね。やはり、ガイドカテのほうが、形状の如何
を問わず診断カテより原則、ゆるやかなカーブになっていることも問題なのでしょ
う。むしろ、小柄な高齢・女性のdistal LADということで、perforationが気になる
ようなケースかと思います。

>AL-1.5をカスプに押しつけて、カテ先があがったところで、反時計回りのトルクで
少々きつめで入るのかな、

自分の拙い講演でよく使う症例ですが、こういう、上向きの垂直LMTの高齢・女性
に、先生のまさにおっしゃるような操作で、7Fr AL1.5を挿入してRotaをやっている
最中、カテが若干LMTから外れた瞬間、非同軸性の予期せぬちからが加わったせい
か、LMTがostiumからdissectionを起こして、ST↑↑・BP↓↓となり大汗をかいた経
験があります。under-bentカテであるALをある程度無理して挿入すると、予期せぬ出
来事が起こりやすいようです。ですから、long-tipにせよ、JLにせよ、なるべく
over-bentカテでPCIをやりたいと思っております。

************************************

○○ですが、連続ですみません。2点ほど問題提起させてください。

>このご時世と、大学病院ならではの「モノを使うな!」命令と、

確かに、デバイスの“使用総額”なら、IVUSなしのdirect stentingが一番安価です
が、“収支”を考えると違いますよね。茅野先生がJSIC本誌に掲載された論文のよう
に、健康保険で定められた手技料から、医師・コメディカルの人件費、心カテの機械
の償却費、インデフレータ・Yコネ・覆布・耐圧チューブなどの消耗品代を差し引け
ば赤字になるのが当然で、デバイスの公定価格と納入価格の差額でこれを補填してい
るという、医療経済上は極めて歪んだかたちになっているのが、今の日本のPCIと思
います。ペンタのように、最新のステントは納入価格が一般に高価であり、しかも消
費税5%はデバイスを病院が購入するときは外税・保険請求するときは内税ですか
ら、このやり方だと、あまり上品な表現ではなりませんが、いわゆる“売り上げ”は
あがっても、科としての収支はとても厳しくなるんじゃないかと思います。“循環器
は売り上げはあがっても、器材費に消えていくだけでちっとも病院には貢献していな
い”、との言われなき非難を、ときに浴びせられる原因にもなりかねません。○○先
生、このあたりはいかがお考えですか? 


>Segment 6 proximalのDCA後にはNIR使っています。

症例数がそんなにないので、感覚だけですが、LAD 6 proximalにNirをいれた後、
peri-stent restenosisというか、かなりstentから離れた近位部に狭窄が生じてしま
い、治療に難渋したケースが、いま頭に思い浮かぶだけで3例あります。つい、先日
も、普通にproximal LADに珍しくNirをいれたら、近位に狭窄が波及して、結局LMTか
ら全部DCAせざるを得なかった症例がありました。BXやS、classis MLでも、もちろん
restenosisはありますが、通常の場所に、通常の形で生ずるわけで、Nirのように予
想もしないほど近位部に何か起こることはありませんでした。僕は、このstentが植
え込み後、きわめてrigidになることが原因かなあ、と思っています。数字でものを
いえるほどではありませんが、皆さん、おなじようなご経験、ありませんか?

************************************

○○です。

このviewは入りづらさが分かりにくいですね。正面かcaudal viewで上に出てい
る写真はないですか?

************************************

○○大学循環器内科の○○と申します。
このたびはTRA-netに入会を認めていただき有り難うございます。
私は、平成7年○○大学卒業です。
私の施設では、今年の1月より本格的にTRIを始めたばかりなので、本当に
初歩的な琴
からいろいろと皆様に御教授していただきたいと思っております。
諸先生方、何卒宜しくお願い申し上げます。

************************************

○○です。
○○先生のご希望で、AP-caudal、LAO-caudalの写真を
アップします。
ついでに、○○先生がIR2でガイドを浮かせながら
行ったPCIの写真もアップします。
少々重たいかもしれませんがですがご勘弁を。
いろいろとご教示をよろしくお願いします。

Cau
Spider
Pre
Balloon
Final


************************************

○○です

○○先生 画像アップありがとうございました

私も○○先生と同じで、できるだけJLかLong-tipと呼べるか
分からないですがIKARIをメインにしています
アンプラッツは以前に悪い印象があって好きになれません
仕方がないときには当然使いますが・・・・
この症例はどうなんでしょう? 正解はないとは思いますが

************************************

○○です。

 北海道TRIライブお疲れさまでした。すみません、TRAnetに入っていました。
 ○○先生がおっしゃるように、この症例はLMTがやや上に向かってでています。こ
ういう症例は、○○先生がおっしゃるようにChampカーブやJCLカーブ、そして、EBU
があうと思います。僕が、ライブの会場で勧めたのはは、EBU3.0でした。
 昨日も似たような症例を経験しました。RCAとLCXにTRIを行いました。RCAはイカ
リIR1.5を使用し容易に終了。LCXは、イカリIL4.0を選択しました。しかし、LMTがや
や後ろで上に向かってでているため、入らず、サンプルであったFL3.5を持ち出しま
したが、やはり入らず、自分が普段使用しているEBU3.5を選択したら、うまいこ
とfitしました。

************************************

○○です

Pentaのバルーンは病変の硬さによって均一に膨らみにくいと思います。膨らみの悪
いところを高圧かけようとすると、柔らかいところが過拡張になる危険性があり、や
や使いにくいかと思っています。そのため、postにlow compliantバルーンが必要に
なることもあるかと考えております。もしかしたら、Pentaにこそ、pre dilatation
でカッティングバルーンが有効であるかもしれません。

************************************

○○です

Perforation 後は、当院では、PCIのヘパリン量はルーチンで10000単位使用していま
すので、プロタミンは3〜5ml静注です。ACT測定し、180前後にします。多くはパー
フュージョンバルーンの長時間拡張で止血されますので、コンプリートにリバースす
る必要は無く、ヘパリンをコンプリートにリバースするとむしろ、ガイドカテに血栓
ができたり、冠動脈内に血栓ができたり、かえって処置がややこしくなると思います
し、また、そういう経験もあります。また、パーフュージョンバルーン拡張中はプロ
タミンを投与した場合、頻回(1〜2分置きにガイドカテ内を血栓予防のため、フラッ
シュすることも大事です。

************************************

○○です

○○先生、北海道TRIライブご苦労様でした。二次会以降も大いに楽しまれたようで
すね。
診断造影の4Fマルチパーパスは良くないとのことでしたが、先生の試された、マルチ
パーパスは何でしたか。先生にも見ていただいたように、私は、テルモのオプチフラッ
シュを使用しています。もちろん先端には側孔がついています。当初は、側孔の位置
が先端から離れていたため、先生の御指摘の様に、大動脈へ造影剤が流れるのが気に
なっていましたが、側孔をできるだけ先端に近いところにつけていただいて、現在の
は許容範囲と思っています。確かに、4Frは腰が弱いですから、ラジフォーカスをお
尻から入れて、上行大動脈部を延ばし、トルクをカテ先端に伝えやすくする操作は左
冠動脈のエンゲージで7〜8割ぐらいしていると思いますが、時間も余りかからずエ
ンゲージできます。LVGの時は、特に、上行大動脈や腕頭動脈が湾曲しているケース
ではそうですが、カテにかける圧が高すぎるとはねますので、ピッグテールの時より
は圧設定を低く(私はプレッシャーリミテーションを550psiにしています。)、また、
秒8mlで吹いています。造影剤は、マルチパーパスの特性で心尖部方向に吹きますの
で、ピッグテールよりも少ない造影剤できれいな左室造影になります。

それと、4Fr診断カテは、どのタイプでも側孔付きが、造影性の点でも、安全性の点
でもいいように思いますが、皆さんはどうされていますか?

************************************

○○です。

○○先生の厳しい問題提起にコメントです。

> “循環器は売り上げはあがっても、器材費に消えていくだけでちっとも病院には貢献

ていない”、との言われなき非難を、ときに浴びせられる原因にもなりかねません。

まずは国立大学病院のシステムですが、年間予算の範囲で物品購入が左右されます。
国からいただいたお金の範囲でしか物は買えません。物品購入費はあくまで出費です
ので使いすぎると怒られます。
通常の意味の収入(保険請求された収入)はそのまま国庫に入ります。病院には入り
ません。病院収入の全ては国から与えられるお金だけです。いくら稼いでも増えませ
ん。
“売り上げ”を上げるために“出費”をするくらいなら、“売り上げ”がなくても
“出費”が少ない方が良いのがこのシステムです。
使わないことが唯一黒字を産むのです。

しかも、“このご時世”すなわち総医療費を抑えようと国の指導で保険が厳しくなり、
one balloon, one stentと縛りがでたために、balloonを何本も何本も使って差額で
儲けていたとんでもない人がいた時代は終わりました。
さらに、近い将来「まるめ」時代が来ます。使わない事が黒字を産む時代です。

しかし、現段階では、まだ普通の病院では、件数を稼ぐことと、購入費と保険請求費
の差額と手技料で稼ぐことがでると思います。件数を増やし、保険で切られなければ
“収支”はプラスになります。
普通は“売り上げ”が無いところに収入は有りません。一つ一つを無駄にしなければ、
薄利多売でも“収支”はプラスになると思います。

数をこなすことの意味として、心カテやPCI単体での微々たる収支のみならず、それ
に伴う入院による検査・投薬などの小さな収入を地味に重ねることで結構な収入を得
ることができると思います。

一番お金に換算する必要が有るのは時間です。
無駄な時間を費やすほど、損なことは無いです。
人件費は時間内ならいっしょなのですから、医師・看護婦・スタッフを遊ばせるほど
もったいないことは無いですし、何かすることは少なからずプラス収入になると考え
ています。
一生懸命仕事をする人がいれば、さぼる人への査定も可能となります。その比較対照
がいることで、理由が明白になり無駄な人間は賃金カット〜クビにできるという効果
もあります。競争の原理が働くことで個人も組織も進歩します。公務員組織には無い
観念です。

過去にある病院で「お前達はballoon一本何十万も平気で捨てやがるけど、俺達外科
はメスの刃を研いで使っているほどケチっているんだぞ!」と外科の偉い人に言われ
たら「メスの刃を研ぐ時間があったら手術しろ」と言い返した当時の私の親分がいま
した。その通りです。(しかし、この言葉が元でまたケンカになったらしいですけど。
上手い言い方をすると良いのに...ねぇ、アニキ!)

まだ、他の手術などに比べてPCIは時間あたりの手技料は高い手術だと思います。件
数をこなせば稼げます。
人件費を稼げるのは手技料だけだと思います。人件費を補えないようであれば手技料
の稼ぎが足りない、すなわち件数がたりないという事だと思います。
この件について、radial approachはとても有効な手段だと思います。
でも、CTOを何時間頑張っても、direct stentingで秒殺のPCIでも手技料は同じです。
収益を考えたときにはcomplex PCIをやらずに、秒殺症例のみを数をこなすことが大
切になってくるのでしょう。私は少し残念ですけど。

まとまりが無くなってきまして申し訳有りません。
ようするに、器財購入費以上に、差益収入を得ることが可能であることや、人件費を
手技料でなんとか補うようにするべきであろうと思うことや、スタッフを有効に使う
ことができれば、一般病院では十分まだまだ採算がとれる部門であろうと考えていま
す。いかがでしょう?

> LAD 6 proximalにNirをいれた後、

DCA後LAD just proximalのNIR stentを私が好きな理由は
(1)極めてrigidで、stentがよく拡がってみえること
(2)balloonの反応がそれなりに早く短時間での拡張で終わること
(3)自分の感覚的な拡張の大きさとマッチングすること(単に慣れているだけなのか
もしれません)IVUSでみても結構just fitと思えるできになります。
(4)restenosisの時に、もう一度DCAでstentごと削ることができること...などです。

確かに○○先生のおっしゃるように、普通の場所で予想しない近位部・遠位部の再狭
窄を来したことは有ります。でも、それはほとんどIVUS無しでdebulk無しのstenting
の時で、実はアテロームの中に高圧でstentを突っ込んだときのedge部分の問題であっ
たり、balloonの影響であったりなのかもしれません。
DCA後の#6 just proximalにNIRをいれてLMTまで来てしまった例は私は無いので...い
え、そんなに症例をやっているわけではないのでわかりませんけど。
皆さま、どんなものでしょう?
いまどきNIRはだめですか?

************************************



第70集

************************************

○○と申します

私にとりますと,NIRは感触の良いstentです
どこでも,何でもNIRというわけにはいきませんが,
側枝がなく(または無視できる)屈曲の少ない病変には
入口部・起始部を含めて今でも第一選択です

2ー3年前,NIRとS670を病変に応じて使い分けていた頃の
成績が,遠隔期も含めて私としてはかなり満足のいく結果
でした(ほんとにごくわずかな数で,個人の経験の範疇です・・・)

新しいstentが市販されると古いstentの値段が下がる,
なんてことがあったら,今の環境ではとても嬉しいのですが・・・

先日初めてPentaを使用しましたが,このネットでの情報が
たいへん参考になりました
ありがとうございました

************************************

○○です。

北海道ライブおつかれさまでした。僕も、斉藤先生のTRI5フレのたかが、アクセ
スの問題といったとこに感動しながら、ずいぶんdeep にできるんだなと感動し
ました。
  bxが導入されてから、24気圧という高圧をかけたり、 ペンタで、
perforationを多く経験月に1−2回経験したものとしては、心のうに出
た出血って、凝固しにくいのですが、大量にでるとプロタミンで、リバースすると、
心のうの血液も凝固してきて、ドレーンが効果なくなることが、あります。激しいp
erforationの時は、まず、バルーンで、押さえてだめで、、perfus
ionで押さえてだめで、、入れ替えが必要なくなってから、プロタミンを使わない
と、心のうにコアグラつくって、タンポが解除できなくなるかもしれません。
で、私は、10frのシースをいれて、なんとかしましたが、経験をかたりました。
あと、○○先生の指摘どうり、 5,6Frで perfusion を使っ
ていて、プロタミンでリバースすると、すぐに、赤いミミズがガイドカテーテルの中
にできますので、ヒンカイにフラッシュ必要です。7fr以上では、押さえるだけ
で、フラッシュは必要ないと思いますが、注意してください。

************************************

 ○○です

  Perforation 後は、当院では、PCIのヘパリン量はルーチンで10000単位使用してい
ますので、プロタミンは3〜5ml静注です。ACT測定し、180前後にします。多くは
パーフュージョンバルーンの長時間拡張で止血されますので、コンプリートにリバー
スする必要は無く、ヘパリンをコンプリートにリバースするとむしろ、ガイドカテに
血栓ができたり、冠動脈内に血栓ができたり、かえって処置がややこしくなると思い
ますし、また、そういう経験もあります。また、パーフュージョンバルーン拡張中は
プロタミンを投与した場合、頻回(1〜2分置きにガイドカテ内を血栓予防のため、
フラッシュすることも大事です。

************************************


  ○○です。

  症例2:91歳女性
  頻回に突然の肺水腫を繰り返すために、心カテ施行。#13:99%を認め、結構立派
な#14,#15がありました(QCA 2.6mm)。M-II 2.0mm拡張後、ML penta 3.0*18mm留置。
1ヶ月前に、症例1の経験がありましたので、pentaは、絶対10atmまでと、やや
indenntationが取れてなかったのですが、じっと我慢の45秒。残念ながら、oozing様
の造影剤漏出を認め、stent balloon5分、プロタミン3ml投与にて止血はできまし
た。しかしながら、ステント中央部からdistalにflapようのものが見られ、
psudoaneurysmになっているのかもしれません。前例があったので、恐ろしくて、
IVUSはしていません。(もちろん、IVUS不幸か県では、査定は厳しく、当院2月の使
用6本中2本切られました。)

  (1)perforation後の、プロタミン投与の有無と、その量について
  (2)perforation後のIVUSの注意点
  (3)ML pentaの拡張プロトコールと、初回拡張不全時の対処法
  上記についても、ご教授いただけると幸甚です。

************************************

○○つづいてです。


○○先生に同感です。みんなが、ペンタつかえば、他のステントがどんどんさがるの
で、病院にとって、民間はいいことです。僕も、 NIR s67,BXともに
ちゃんとつかってます。それで、困ってない感じですね。

************************************

○○です。

さて○○先生への回答ですが、私はメディキット製の5Fr.のMPを全く同じ
仕様で4Fr.にさせ、使用していました。
なるほど、先生がおっしゃるように先端に近いところに側孔があれば、たとえ左
冠動脈と反対側(大動脈側)の測孔から出た造影剤も左冠動脈内に流れて行くの
かもしれません。
でも、同じようなところに複数の測孔を付けた場合、カテの強度的には大丈夫な
のでしょうか? (ちぎれたり、折れたりしませんか?)

また、秒8mlというのは、逆に多いような気がしました。
だって10年前、○○先生と私が一緒に働いていた某病院では、6Fr.マルチの
LVGの時には、サゴロ(35の6、全量で35ml、秒6ml) だったでしょう。
6Fr.よりずっと細い4Fr.で秒8mlも打てば、ジェットがLV内壁に”激
しく”ぶつかり、Extra beatを誘発するような気がするのですが・・・・・

みなさん、マルチを使用されるときのLVGの設定はどうされていますか?

************************************

○○です。

 ○○先生、○○のころはお世話になりました。
石灰の強い病変で「カッティング+ペンタ」やりましたが○○先生がおっしゃるとお
り均一にふくらみ、コンプライアントチャート通りの拡張だったという感じです。ペ
ンタを甘く見ていたため、というかTRA-net入る前でペンタについて勉強不足だった
ので、蛇卵になってしまいましたが。

 あと諸先生方に教えていただきたいのは、上向きにでるLMTの話が出てましたが、
TFIの場合はどのガイドカテがよいでしょうか。
診断カテは右radilalからJackyで行った患者で、LADとD1の分岐部病変あり、5月23日
に7Frで足からPCIやろうと思っています。やや後ろよりで上向きに出ているLMTでカ
スプとかは普通です。

************************************
 
○○です

テルモのマルチパーパスの側孔をできるだけ先端につけて欲しいと要望した時は、○○
先生御指摘通り、カテーテルの強度の問題で先端にもっていいくのにも限度がある
とのことで、現在の位置になっています。
 左室造影の造影剤ですが、当院では4Frマルチパーパス(テルモ、オプチフラッシ
ュ)では、秒8ml計25mlでうっています。確かに○○先生と一緒に仕事をしていた病院
では、6Fr で秒6mlでうっていましたので、多いかもしれませんが、カテーテル先端の
向きに気をつければ、それでExtra beatが多いということはありません。ちなみに、
造影はアシストを使用しています。

************************************

○○です

先日の北海道TRIライブではお疲れさまでした。ひとくせある症例がならんでいてい
ろいろと勉強させていただきました。この場をかりてお礼申しあげます。
最近やっと何例かPentaを使用する機会がありましたが、TRA-netでの情報のおかげ
でいまのところ花をさかせずにすんでいます。○○先生もおっしゃってましたけ
ど、Pentaのバルーンは病変の性状(プラークの量、固さ)で拡張の程度が違う印象
を持っています。たまたま20mm以上の病変長のあるところにPentaを使うことが続い
たのですが、バルーン端だけ拡張して真ん中がでこぼこ(というと少し極端です
が)、さらに圧をかけると端だけ大きくなって病変部分は拡張不十分ということも
ありました。私も病変もよってはpre dilatationが必要と感じています。それとバ
ルーン拡張圧は段階的にあげるようにしています。preでcutting balloonはまだ
使ったことがないので試してみたいと思います。

************************************

VF3のjackyから、命名されたテルモのジャッキィーを作った○○です。
造影に関しては、上向きのLMTもほとんど、カバーしてくれます。
しかし、G.C.になると、3.5でも大きく入らないことがあります。そのとき
は、空中遊泳で、○○先生のようにいれるのが、簡単と思います。そのあと、エン
ゲージもできますからね。
でも、念のためにそれでもだめな人のために、JL3.0カーブを用意してます。
過去3年間で、PCI1900近くで、必要であったケースは、一例のみでした。と
いことで、空中遊泳をマスターしておけば、いいのではと思います。

************************************

○○です

○○先生頑張っているようですね。僕は、TFIの多くはジャドキンスで対応しようと
しますが、後ろ向きで上を向いているということで、ジャドキンスでやや入れにくい
ことが予想されます。JCLカーブが合いやすいかなと思います。用意しておかれたら
どうでしょうか。

************************************

○○です

○○先生、Cutting Pentaはすばらしいですね
私も○○先生と同様にPentaの広がり方には不満を持っていました
うちでも、ついついDirectで置いてくることが多くなっていますが
通常のPOBA後にもPentaを使用することがまだまだ多いです
でも、やはり硬いところと柔らかいところでは広がり方が違うので不満であり
不安でした。
で結構Cutting好きなもんで、Cutting Pentaを是非試してみます

************************************

○○です

Pentaは初めのうちの感触を知りたかったので、結構続けて使いましたが
私はも病変に応じてNIR, Bx, S670/660, Radiusを使っています
でも、ひょっとしてRdius使ってるの私だけ?

NIRは石灰化病変とか入口部とかに使用しています
再狭窄だって病変を選べばそんなに悪いくはないと思うですが・・・

************************************

○○です。

○○先生、レスありがとございます。失礼な文章については、お詫びします。

保険の件で、私が申し上げたかったのは、いまの歪んだ診療報酬体系(極めて高額の
デバイスと低額の手技料)が早く改正されて、Device fee(バルーン、ステントな
ど)・Hospital fee(入院費、コメディカル人件費、償却費など)・Technical
(Doctor) fee(これが本当の技術料だと思います。TRIで複雑病変ができる術者な
ど、そう簡単に、一朝一夕に養成できるわけではありません。)に分けた請求ができ
るようになればと思った次第です。消費税についても、当然、外税なら全部外税、内
税なら内税で統一するべきで、いまの病院がすべてをかぶるシステムは矛盾のきわみ
だと思ったからです。ただ、ご参考までにもう少し書きますと、一般的に購入価格が
高い公的(あるいは準公的)大病院の上層部がPCIに厳しい目を向けているのは事実
のようで、私の知っている範囲でも、(きわめてまじめにPCIに取り組んでいらっ
しゃる複数の先生から)“PCIなどやればやるだけ病院が損をするのだから、控える
ように”、と上層部から言われたという話も耳にしております。

Nirについては、単に僕のやり方がまずかったのか、あるいは、自分に特殊な例が重
なっただけなのかもしれません。DCAのあとでどうかは、もちろん別問題ですから、
これはまた後日、是非結果をお教えください。

さて、PCRに来ておりますが、今年の目玉はCrash stentingのようにおもった初日で
した。一応説明しますと、LAD-D1の分岐部病変でしたら、8Frのカテをいれ、Cypher
を2本、LAD本幹とLAD-D1にもって行きます。手前の部分はもちろんoverlapしており
ます。そして、まずLAD-D1のCypherだけを開きます。LAD本幹のCyperは、血管壁との
間に挟まれます。ついで、LAD-D1のワイヤとバルーンを全部抜いてしまい、LAD本幹
のCypherをおもむろに広げます。LAD-D1のCypherのうち、LAD本幹の中にある部分は
押しつぶされますが、D1の入口はmetalでcoverされます。押しつぶされたCypherの部
分は、けっきょく3枚重ねになりますが、それはそれでよろしいようです。あとのKBT
もあまりやらず、そのままで終わることのほうが多いようです。

もともとは、Colombl先生の発案ですが、今日は、Fajadet先生がLMTで、Serruys先生
がLAD-D1でやっていました。DESだからできるのでしょうが、本当にこんなことやっ
ていいのか、複雑な心境でした。確かに、短時間で終わるのはわかるんです
が・・・。何もDESを使えない日本にいる以上、その是非をとやかくは言えないこと
が残念でした。

最後に、嬉しい光景を目にしました。Fajadet先生が、ライブでいろんなTRIのシース
と穿刺針を紹介しました。まず、Cordis、次にテルモでした。3番目に、ボストンと
言われて、穿刺針を出されましたが、どこかで見たような黄色い針ではありません
か!シース長は17cmです! そうです。我等が○○先生が考案されたMedikitのス
リットシースがOEMで供給され、ヨーロッパではボストンから販売されているわけで
す。その後、スパウターを入れ、スリットから薬液を注入可能なさまも、手短にです
が、紹介されていました。同じ日本人として、とても誇らしい瞬間でした。○○先
生、ありがとうございます。

************************************

○○です

Crash stntingは、昨年のTCTでも、ColomboがLMTからのtrifurcationにCrash
stentingをしていました。昨年のACCのミラノからの発表で、私は正確な内容は確認
していませんが、Crash stentingの側枝の再狭窄率があまり低くなかったと伝え聞い
ています。そして、再狭窄がきたらその側枝にはPCIではアクセスできなくなると思
いますので、対角枝ならともかく、LMTでやっていい手技なのかどうかとても疑問で
す。ミラノの遠隔期データの詳細をご存知の方いらっしゃいますか?
 ○○先生が、以前のTCTでFajadet先生がOchiai cath(MUTA LEFT)を使用し、LMT
stenting行い、とてもいいカテだと評され、Main screenにOchiai cathとテロップが
入った時、先生がとてもお喜びになっていらっしゃいました。その瞬間を先生の横で
同席させていただき私もとてもうれしく思いました。日本の先生方の活躍が世界に広
められていくのはとてもうれしいことであります。○○先生、おめでとうございます。
○○先生、またPCRの話題を提供してください。

************************************

○○です。

Crush Techniqueの最大の特徴は、側枝へのWireのRe-crossが要らないことではなく
○○先生がおっしゃるように側枝の入口部をMetal(Drug付き)でFullcoverすること
だと思います。
以前、本幹のStenting後にWireを側枝にre-crossし側枝にStentを入れるT-stent
techniqueを使ってCypher Stentを入れるSirius BifurcationというStudyがありまし
たが慢性期の再狭窄率が高く失敗に終わりました。原因は側枝の入口部のProximal側
がmetalで完全にCoverされず、そのCoverされていないところに再狭窄がきてしまっ
たようです(Drugがいかないため)。そこで、Crush techniqueを使いmetalで入口部
を完全にCoverしDrugで分岐部を完全にCoverすると再狭窄が少ないのではないかとい
う予想のもと、分岐部にはCrush Techniqueを使うようになったようです。ただ、慢
性期の成績はまだ大きな症例数では発表されていないので本当に良いのかどうかは分
かっていません。
Crush stenting後の側枝へのアプローチですがStent Strutが3重になっているにも
かかわらず、WireをRe-crossしてKissing-balloonをするのはそんなに困難ではない
ようです。Bare stentの時のデータですが、Crush後kissingが必要なのが25%くらい
で成功率は70%くらいでした。あんまり高くはないかもしれませんが。

************************************

はじめまして。○○病院の○○と申します。
平成元年卒、○○大循環器科の関連病院で研修をして
現在に至っております。前任地の○○病院から比べると
PCI件数はガクッと落ちるところなので、TRA-netで刺激を受けながら
やっていきたいと思いますのでよろしくお願い致します。

************************************

○○です。

二日目もDESのオンパレードで終了しました。中継サイトが増え、術者のバラエ
ティーも例年以上であったためかもしれませんが、どうもいつにない違和感を感じた
ライブになりました。

LAD#6入口部(just proximal)で、DCAは議論の対象にもならずDESでした。small
vessel stentingのセッションでは、inferior AMIで灌流域の大きなRCA#3-4AVに、2.
5mmを植え込んだ症例をみました。non-protected LMTに、3.0mmのTaxus stentを入れ
ている症例もありました。カッティングも登場しましたが、サイズはとても小さめで
した。あまりに、日本で普段目にしている(あるいは自分がやっている)やり方と違
うので、その原因は一体なんでだろう? と考えていたのですが、答えは“IVUS”で
はないかと思いました。

こちらでのIVUSは、もちろんその分の保険償還はつかず、DRGプログラムの中に入る
ため、ごく一部の施設を除き、特殊な場合しかやっていないようです。DESの時代に
なり、ライブではそれなりにやられるようになりましたが、一般的に、血管径やステ
ントの広がり、石灰化の程度を見るくらいで、日本でおなじみのCAGとの対比でIVUS
を見ている人はおりませんでした。そういうコメントはありませんでした。ちなみ
に、Dr Topolの教科書にも、そうした記載はありません。せっかくIVUSを用意してい
るのに、なぜか前にはやらず、ステントを入れた後にだけやって、サイズが小さい、
となるケースも少なくありませんでした。

私の知る限り、日本は、(“不幸か県”など限られた地域を除き?)IVUSが、きちん
と保険償還される世界で唯一の国だと思います。DCAはIVUSなしにはできませんし、
hematomaにfenestrationする場合も、IVUSでhematomaの存在と広がりを確認しない限
り、やりようもありません。CTOを通したあとも、IVUSすれば、pseudoを経由したの
かどうかもわかります。自分の手技を理論的にfeedbackできます。

IVUSをご自分ではやられない先生方でも、各地で行われているライブでIVUSに接する
機会は頻繁にあり、そこで、○○先生をはじめとするエキスパートの先生方の読み
方、PCIへの応用を勉強できます。IVUSから解ったいろんなことを、(global
standardから見れば)すごく高いレベルで共有できているのは素晴らしいことだと思
いました。つまり、CAGだけで、IVUSなしでPCIをするときにも、“CAGで小さくて
も、RCAやLMTは普通は4.0mmはある”といったことを、暗黙のうちに了解しながら手
技をやっているところは日本くらいではないでしょうか?

おそらく、現在、日本でやられている、いろんなデバイスを駆使して、“きちんと冠
動脈を広げる”やり方より、今のところは、ポンとDESを入れるほうが、6ヵ月後の再
狭窄率は低いのかもしれませんが、でも、“きちんと冠動脈を広げてDESをいれれ
ば”、もっとよい成績になるように思いました。LMTにKBTなしのCrash stentingをす
るより、(時間・造影剤・コストのことはさておき)DCAして、DESをLMT→LADにい
れ、KBTで終わるほうがずっと“患者さんの体にやさしい、長い先を考えた治療なの
では”、と思いました。

こうしていろんなことを考えると、確かに、複雑病変に対するPCIを考え抜かれ、実
践されてきた偉大な先達の先生方のご苦労は、第一にあげなくてはなりませんが、
IVUSに保険償還を認めた厚労省の功績を認めないわけにはいきません。新しいデバイ
スの許認可問題などについては、皆いつも悪口ばかりを言っていますが、この国の保
険行政において当局が果たした(数少ない?)善行のひとつだと思いました。もちろ
ん、単なる偶然の可能性は、低くありませんが・・・。長文ですいません。

************************************

○○です。
TRA-net に参加させていただけることを大変光栄に思います。
TRA/TRI の経験は7年になります(大学病院ですから症例数は
多くはないのですが.....)。TRA-net の皆様のアドバイスをいただく
機会も多くなると思いますので、ご指導のほど、よろしくお願いい
たします。
本日午後の症例は、IHD,ASO の80才男性で、RCA #2-100%
に対するPCI です。対側造影は左上腕からの予定です。結果が
出ましたら報告させていただきます。

************************************

みなさん初めまして、このMLに登録した直後にPCが吹っ飛んでしまい、しばらくの
間ご挨拶ができませんでした。

○○ともうします。愛知県の○○病院循環器科で卒後4年目に突入し、
循環器医としては2年目になります。卒業は○○医大で、○○先生に勧められ当院へ
来ました。
PCI歴は半年です。ほとんどROMですが、宜しくお願いいたします。

************************************

○○です。

御無沙汰しております。
お礼が遅くなりましたが先日はIVUSセミナーで○○先生をはじめ大変お世話になりま
した。
○○Hp.○○先生には特にお世話になってしまいました。
(いらっしゃっていた方はお分かりと思いますが、いろんな意味で嬉しかったで
す。)

さて、先日久しぶりにやっちゃったな〜という症例を経験しました。
なんとかrecoverできたのと結構きれいなIVUSがとれたのでよろしければご意見お願
い致します。

Case 74y.o. male
risk factor: HT, Smoking

2M前よりexertional chest painあり、3日前よりrestでchest painが出現するように
なりattack時のECGはT,aVLのST dep.を認めます。V1-3はQS〜poorRでA-SはOMIと思
われました。

Sub-Emでangioを行ったところご覧の通り#1:90%, #2:90%, #6:90%(tandem), #1190%,
#13:90%の3VDでした。
CABGをお勧めしたのですが、”絶対に胸は切らない、PCIして欲しい”との希望でし
た。
UAPですし、やるなら今日、と思いDirect-PCIしました。

rt.radialからはBrachiocepharic A.のtortuosityのため断念。IABP supportで
7Fr.TFI行いました。
今回のcalpritはLCxと判断し、まずLADへPOBA→Bx3.5×8mmの後#13へ
Penta3.0×18mm、#11へBx3.5×18mm+Penta3.5×18mm(28mmまでしかありませんでした
ので)を留置しました。
このときはcomplicationもなく終わり、よかった、よかった、とほっと胸をなでおろ
しました。

LAD pre
CX pre
RCA pre
CX post
LAD post

後日、RCAに対しPCIしたのですが、これがいただけませんでした。
lt.TRI 6Fr.Zuma2MAC3.75SHで始めました。#2があったのでこのGCを選択しました。
注意したつもりだったのですが、ちょろりんとtest shotをしてISDNを5ccばかりちょ
ろりんと入れて、更にちょろりんともう一度test shotしたところがtotalになってま
した。
airを打ち込んだ覚えは全くないし、delayでも流れもないためこれは間違いなく割っ
てしまったな、と思いました。恐る恐る造影するとやはり肩の辺りにいかにも、とい
う造影剤のpoolingがあり、”これこの間のIVUS seminarの○○先生のlectureで出て
きたのそっくりだ!”と思いました。
既に出していたWhisperMSで曲げを少し大きめにしてRCAの天井からtrueをget出来る
ように攻めたところ運良くRV br.へ抜けました。これは死んでも抜くわけにはいかん
とRouteを取り出し本幹をgetに成功、とりあえず2wireにしてIVUSしました。すると
これまた”これこの間のIVUS seminarの○○先生のlectureで出てきたのそっくりだ
!”と思わせる綺麗なhematomaが見えました。(今だからこんな風に言えるのです
が、その時はすっごくいやな汗かいてました。)
で、少し小さ目のPenta3.5×13mmを置いてbail out、#2へPenta2.75×8mmを置いて終
了しました。
なんとかrecover出来たのでよかったですが、本当に肝が冷えました。

SHがあるからということで少し油断していたということと、そんなに深く入っていな
いと思っていたのですが、思ったより深くengageしていたことに気づかなかったこと
が悪かったと思います。CBの辺りまで入っていました。
最近、自分の中では気を引き締めなおす症例でしたのでご報告いたしました。

お叱り等お願い致します。

RCA PCI中
RCA post
IVUS distal
IVUS dissection


************************************

○○です
 
私はMACは使った事ないのですが、写真を見る限りでは
結構奥まで入ってますね
このRCAはいかにも深くGCが入りそうな所に狭窄あるし
全体的に細いし、関西弁では難儀やなぁ〜〜ってやる前から
ひるんでしまいそうですね
よくぞBail outできたと思います
ところで、WisperのようなコーティングワイヤーはFalseに
入っても分かりにくいので、こういうときはコイルワイヤーを
使用するようにしています

************************************
 
 ○○です。

○○先生良い汗をかきましたね!
質問ですが、whisperMSを最初から使おうと思ったのは何故です?
右冠動脈の曲がり具合を見るとbalanceとかrouteの方がそれなりに血管を延ばしてく
れてモノが持ち込みやすいのではと思ってしまいます。whisperの印象はMSでもあま
りサポートがないように感じていましたが、、、
あと、皆さんにも質問です。”ペンタで私なりに気をつけていること”の時にもレス
しようと思っていたのですが、ペンタを右冠動脈の曲がったところ(○○先生のケー
スだと肩の部分など)にそろりと高圧をかけず10気圧ぐらいで置いてくると、その後
モノの持ち込みが非常に辛くなるということありませんか?私は2例ほど続けてスト
ラットにひっかかるのかIVUSやpost balloonがつっかえたことがあります。Biwireで
なんとか通るようにはなるのですが、今回のように最初に手前をステントでFixする
場合はペンタは使用しないようにしています。

************************************ 

 ○○です。

○○先生、○○先生resありがとうございます。


> 質問ですが、whisperMSを最初から使おうと思ったのは何故です?
> 右冠動脈の曲がり具合を見るとbalanceとかrouteの方がそれなりに血管を延ばして

> れてモノが持ち込みやすいのではと思ってしまいます。whisperの印象はMSでもあ

> りサポートがないように感じていましたが、、、
血管内腔がゴツゴツしていてそれなりに屈曲の高度なRCAだと思います。コーティン
グワイヤーの方がstressなくcrossできそうだと思いました。
support性に関してですが、個人的にはWhisperは通常のFroppy wire(balanceとか
route etc.)と比較して同等という認識をもっておりました。経験不足で申し訳あり
ません。すこしsupportのよいwireの方がよかったかもしれませんが、なんとなく病
変のcross性を重視して、もしsupport性に問題あれば2nd wireを・・・といった気持
ちを持っておりました。

Biwire

> なんとか通るようにはなるのですが、今回のように最初に手前をステントでFixす

> 場合はペンタは使用しないようにしています。
ちなみに先生のケースは肩のド真ん中にステントを入れた場合でしょうか?それとも
私のようにprox.?それともdist.?ですか。prox.だとあんまり問題にはなりそうにあ
りませんし、dist.だとどんなステントでも通過障害を発生する可能性はある程度あ
ると思います。RCAの肩(屈曲部)にかかる位置に(何本かだけですが)Pentaを入れ
たあと特別に通過障害を感じた経験は今のところありません。今回は#2のlesionへは
stent deriveryするのにもともとの血管の蛇行のためになかなか通らないし、アコー
ディオン現象も起きるはでそっちのほうに気を取られていて先生のご指摘の点につい
ては気付きませんでした。
でも、今後注意して使いたいと思います。ところでその理由は何なのでしょうか?
designの問題ですか?

************************************

○○です

このRCAには私も最初からWisperを使うと思います
サポート性を重視したら、あの屈曲を超えるのに大変そうですし
コーティングだと○○先生の言われるようにストレスが減ると
思います。 最近、Wisperを結構使っていますが、サポート性でそんな困った
事はありませし、あかんかったらバディーワイヤー(当然コーティングワイヤー
を使って)します

Choiceは014より若干太い?ので最近のデバイス
が入らない事や抵抗があることがあります
最近は使っていません バディーワイヤーに使う程度です

でも、解離とかステント入れた直後にもう一度ステント内を通すときは
使いません 抵抗が分かりにくいので・・・・

************************************

○○です。

○○先生いつも夜遅く(朝早く?)のレスお疲れさまです。
私がペンタで引っ掛かったのは肩のド真ん中に入れた症例です。
原因は良く分かりませんが、同じ場所にBxやマルチリンクプラスを入れてもあまり
気になったことはありません。たぶん、多少なりとも肩が延ばされることや、Bxな
どは16気圧までかけているのでしっかり拡がってくれているのだと思います。ペン
タを10気圧ぐらいで肩に置いてくると、あまりカーブが変わらないのでバルーン
やIVUSの先端が引っ掛かりやすいのと、design(特にステントの厚みがでこぼこになっ
ている)が関係しているのではないかと思います。もっとも最初からちゃんとしたバ
ルーンに乗っていたら気にせず16気圧ぐらいまでかけれるので問題ないんでしょう
けどね!

************************************

はじめまして、○○成人病センターの○○と申します。
ご挨拶が遅くなりまして申しわけありません。
平成11年卒です。○○大学第二内科に入局後、関連病院で研修中です。
○○病院では○○先生にお世話になりました。

今の病院では人工透析の患者さんが非常に多く、
石灰化病変に苦労しております。
TRA-netの諸先生方にいろいろなアドバイスをいただきたいと思っております。
よろしくお願いいたします。

************************************

○○大学循環器内科の○○と申します。
平成3年○○大学卒です。
現在○○先生のご指導のもと、PCIを勉強しています。
会員の皆様のPCIへの熱き思いを少しでも吸収できればと
思います。
今後ともよろしくお願いします。

************************************

○○です。

6月より鎌倉市の○○病院へ赴任します。斉藤先生を擁するTRIの総本山がす
ぐ近くで条件的に厳しいのでが、これからはTRIを中心にやっていきたいと思い
ます。今後もよろしくお願いします。

************************************

○○です。

○○先生、○○先生resありがとうございます。
CPが数日間ご機嫌斜めでしたのでご返事が遅くなりました。

どうしてstentで引っかかるかと考えるとコーナー出口でtipがstrutに当たるからで
はないかと思います。
ということは
@血管追従性の良くないstentほどコーナーを伸展させ、通過障害を発生しにくい?
Aplaqueがprolapseするくらいにガッツリ開いてstrutをplaqueにめり込ませたほう
が引っか
かりにくい?
Bdesignについてはよくは分かりませんがstrutが大きい又はすごく小さいものが
引っかかりにくいような気がします。
などと自分なりにfactorを考えてみました。見当はずれでしたらすみません。
Stentの選択の際のKEYになる可能性もあると思います。
皆様どのようにお考えでしょうか?御教授お願い致します。

************************************

○○病院循環器科 ○○と申します。

○○医大平成2年卒業です。現在は今の病院でPCIに挑戦中です。

色々と勉強させてください、宜しくお願い申し上げます。

************************************

○○です。

久しぶりにradialist.comのホームページを見ようと思ったら、だいぶスリムになって
ましたね。
○○先生、よそのカテ室のコーナーはやめたんですか?
あれ、レジデントのオリエンテーション資料にけっこう役に立つんですよ。
復活を楽しみにしています。

************************************

○○です。

最近TRA-netは巨大組織となり、メールするのにかなり気後れしてしまう今日この頃
ですが、ひとこと ご挨拶申し上げます。

平成15年6月1日より○○病院に勤務させて頂くことになりました。
というか、しております。採血、末梢ルート確保、くだ入れ(男性)などはほとんど
初心者同様です。カテ室でのマナーの違いも多々あり、枕が変わって熟睡できない・・
・みたいな心境ですが、早く慣れてぐっすり眠りたいと思います。

前任地の○○病院では、特に九州・熊本の偉大な先生方に大変お世話
になりました。(○○先生に頂いたお言葉(at Tokagen)は心に刻みこんでい
ます)

今後とも宜しくお願い申し上げます。

追伸;「プチ」の響きがとても好きで、勝手に使わせて頂いております。○○先生、
ご容赦下さい。

************************************

○○です。

○○先生、採血までせにゃんとですか?
がんばってください。

************************************

TRA-net の皆様、今度入会させていただきました○○病院 循環器科の○○です。

よろしくお願いいたします。

PCIは、はじめて15年くらいになりますが、○○病院にきてからは3年
になります。ことしなんとか ROTA の施設基準に通ったところです。

○○病院でも2ヶ月前からとりあえず(いまのところ私だけですが)、診
断カテをできる人はすべて右radial a.から行ってみています。心配していた穿
刺も1例以外は問題なく、テルモのTRバンドを使えば、なにより患者さんが楽で
すし、看護婦の方も”とめ太くん”よりも扱いが簡単でTRAは双方に好評です。
私は現在も念のため Allen’s test をしていますが、斉藤滋先生の講演では、
その必要もないというデータがありました。皆様のところではAllen’s testを
行わないで問題となる症例は全くないものでしょうか。お教えください。

************************************

横レスですが、○○です。

○○先生、大変ご無沙汰申し上げております。ご多忙の噂は伺っております。また
熊本の諸先輩方は、あんな善良な紳士である○○先生が、果たして大都会でうまく生
きて行けるのか、さぞかしご心配と思います。私も心配しております。(笑) まだ
着任されて4日目ですが、電子カルテと格闘されながら、元気に頑張っておられま
す。

採血についてですが、うちの病院は一応大学病院なので、部門によっては採血も医師
の業務だったりするんです。しかし、救急センターなど特殊な部門だけで、あとは結
構コメディカルがやっています。男性患者の尿バルーン挿入も、循環器病棟やカテ室
では看護師がします。医師と看護師の業務分担は、病棟ごとに現場の婦長の判断(裁
量)と医師側との話し合いで決定しています。研修医まで含めたドクターの数が、
650床の大学病院分院としては極端に少ないので、比較的好意的な側面も多いのです
が、なかには何でも本学のやり方に統一したがるオバチャンがいて困りもんです。ア
ダプティの管理は当然Nsですが、最後にはずすのは医師だったりと、ビミョーに大学
病院です。

私にとっては同じ熊本出身の同僚が着任して、精神的に大きな支えです。○○先生が
当院でもご活躍されるように、全力でサポートしたいと思います。今後ともよろしく
お願い申し上げます。

************************************

○○です

○○先生、こんにちは。

「プチ」どんどん使って下さい!
親分の○○先生に、「おかしな人に影響されるンじゃぁない!」と、言われそうです
が...お許し下さい。

“puti-α”なんて言葉が普及するはずはないのですが...

M社のマーケの方が当院へ外人の開発の方を連れてきたときに、私のプレゼンを見て
「ピゥティー アルファ」と発音して通訳・説明していました。
外人さんは、青い目を白黒させて悩んでいました。

先日の北海道TRIライブで、T社のガイディング開発の方のプレゼンで「アルファやプ
チアルファを描くのに適したガイディングで...」と説明をしてました。
皆さま聞き流したか、何だろうなぁ程度に過ぎていたのですが、”プチ”な私にはピー
ンと耳に響いていました。
ちょっと嬉しい瞬間でした。

インタベ総会で“α loopの秘密”を発表いたします。ポスターですが頑張ります。
「プチ」な言葉を広めるべく頑張ります。
○○先生、応援に来てください!
よろしくお願いいたします。

************************************

○○です。

○○先生とうとう来ましたか。これで
やっとまた合同ライブデモができますね
♪♪
先生が持っているウン十万円のGibsonも
度々手をかけてあげないと
胴鳴りしなくなりますよ。たまにはかき
鳴らしてあげましょう。
○○先生・○○先生・○○先生たまには
○○先生を貸してください。
○○先生、同郷人として先生のご発展を
心より祈念しております。
○○先生お久しぶりです。at Tokagen
の意味がどうしてもわからないのですが
そのこころはなんなのでしょうか?アヤ
シサ感じるのは小生だけでしょうか?

************************************

○○大学循環器内科所属の○○といいます。

土曜日のライブが多くて(大学にいるものとしてはバイトの都合で)参加が難し
いので、日曜日のライブは貴重です。小旅行がてら病棟が落ち着いていれば是非
行きたいと思うのですが、どうやって行けばいいのでしょうか?新幹線で行くつ
もりなのですが・・・

ほかにも参加希望の人はいると思うので、交通手段・場所などのアナウンスを是
非お願いいたします。

************************************